Перикардит

ЗаBrian D. Hoit, MD, Case Western Reserve University School of Medicine
ПереглянутоJonathan G. Howlett, MD, Cumming School of Medicine, University of Calgary
Переглянуто/перевірено Змінено трав. 2024
v939776_uk

Pericarditis is inflammation of the pericardium, often with fluid accumulation in the pericardial space. Pericarditis may be caused by many disorders (eg, infection, myocardial infarction, trauma, tumors, metabolic disorders) but is often idiopathic. Symptoms include chest pain or tightness, often worsened by deep breathing. Cardiac output may be greatly reduced if cardiac tamponade or constrictive pericarditis develops. Diagnosis is based on symptoms, a friction rub, electrocardiographic changes, and evidence of pericardial fluid accumulation on x-ray or echocardiogram. Finding the cause requires further evaluation. Treatment depends on the cause, but general measures include analgesics, anti-inflammatory medications, colchicine, and rarely surgery.

Pericarditis is the most common pericardial disorder. Congenital pericardial disorders are rare.

Anatomy in Pericarditis

The pericardium has 2 layers (1). The visceral pericardium is a single layer of mesothelial cells that is attached to the myocardium, folds back (reflects) on itself over the origin of the great vessels, and joins with a tough, fibrous layer to envelop the heart as the parietal pericardium. The sac created by these layers contains a small amount of fluid (< 25 to 50 mL), composed mostly of an ultrafiltrate of plasma. The pericardium limits acute cardiac distention and enhances the mechanical interactions of the cardiac chambers.

The pericardium is richly innervated with sympathetic and somatic afferents. Stretch-sensitive mechanoreceptors sense changes in cardiac volume and tension and may be responsible for transmitting pericardial pain. The phrenic nerves are embedded in the parietal pericardium and are vulnerable to injury during surgery on the pericardium.

Довідковий матеріал щодо етіології

  1. 1. Hoit BD. Anatomy and Physiology of the Pericardium. Cardiol Clin 2017;35(4):481-490. doi:10.1016/j.ccl.2017.07.002

Pathophysiology of Pericarditis

Pericarditis may be

  • Acute

  • Subacute

  • Chronic

Acute pericarditis develops quickly, causing inflammation of the pericardial sac and often a pericardial effusion. Inflammation can extend to the epicardial myocardium (myopericarditis). Adverse hemodynamic effects and rhythm disturbances are rare, although cardiac tamponade is possible.

Acute disease may resolve completely, resolve and reoccur (up to 30% of acute cases) or become subacute or chronic (1). These forms develop more slowly.

Subacute pericarditis occurs within weeks to months of an inciting event and may resolve spontaneously or with medical therapy.

Chronic pericarditis is defined as pericarditis persisting > 6 months.

Pericardial effusion is accumulation of fluid in the pericardium. The fluid may be serous fluid (sometimes with fibrin strands), serosanguineous fluid, blood, pus, or chyle.

Cardiac tamponade occurs when a moderate or large pericardial effusion impairs cardiac filling, leading to low cardiac output and sometimes shock and death. If fluid (usually blood) accumulates rapidly, even small amounts (eg, 150 mL) may cause tamponade because the pericardium cannot stretch quickly enough to accommodate it. Conversely, slow accumulation of up to 1500 mL may not cause tamponade. Loculated effusion may cause localized tamponade on the right or left side of the heart and may be difficult to diagnose.

Occasionally, pericarditis causes a marked thickening and stiffening of the pericardium (constrictive pericarditis).

Constrictive pericarditis, which is now less common than in the past, results from marked inflammatory, fibrotic thickening of the pericardium. Sometimes the visceral and parietal layers adhere to each other or to the myocardium. The fibrotic tissue often contains calcium deposits. The stiff, thickened pericardium markedly impairs ventricular filling, decreasing stroke volume and cardiac output. Significant pericardial fluid accumulation is rare. Rhythm disturbance is common, particularly atrial fibrillation. The diastolic pressures in the ventricles, atria, and venous beds become virtually the same. Systemic venous congestion occurs, causing considerable transudation of fluid from systemic capillaries, with dependent edema and, later, ascites. Chronic elevation of systemic venous pressure and hepatic venous pressure may lead to liver scarring, called cardiac cirrhosis, in which case, patients may initially present for evaluation of cirrhosis. Constriction of the left atrium, the left ventricle, or both may elevate pulmonary venous pressure. Occasionally, pleural effusion develops.

There are several variants of constrictive pericarditis:

  • Chronic constrictive pericarditis, usually requiring pericardiectomy as definitive treatment

  • Subacute (early stage) constrictive pericarditis, developing weeks to months after an inciting injury and managed initially with medical therapy

  • Transient constrictive pericarditis (typically subacute) is that which resolves spontaneously or after medical therapy

  • Effusive-constrictive pericarditis characterized by pericardial constriction involving the visceral pericardium with significant pericardial effusion sometimes requiring treatment for cardiac tamponade

Довідковий матеріал щодо патофізіології

  1. 1. Imazio M, Gaita F, LeWinter M. Evaluation and Treatment of Pericarditis: A Systematic Review [published correction appears in JAMA 2015 Nov 10;314(18):1978] [published correction appears in JAMA 2016 Jan 5;315(1):90. Dosage error in article text]. JAMA 2015;314(14):1498-1506. doi:10.1001/jama.2015.12763

Etiology of Pericarditis

Acute pericarditis may result from infection, autoimmune or inflammatory disorders, uremia, trauma, myocardial infarction (MI), cancer, radiation therapy, or certain medications (see table Causes of Acute Pericarditis).

Infectious pericarditis is most often viral or idiopathic (often presumed to be viral). Purulent bacterial pericarditis is uncommon but may follow infective endocarditis, pneumonia, septicemia, penetrating trauma, or cardiac surgery. Often, the cause cannot be identified (called nonspecific or idiopathic pericarditis), but many of these cases are probably viral.

Acute myocardial infarction causes 7 to 12% of cases of acute pericarditis (1). Post-myocardial infarction syndrome (Dressler syndrome) is a less common cause, occurring mainly when reperfusion with percutaneous transluminal coronary angioplasty (PTCA) or thrombolytic drugs is ineffective in patients with transmural infarction (2). Pericarditis occurs after pericardiotomy (called postpericardiotomy syndrome) in 5 to 30% of cardiac operations (3). Postpericardiotomy syndrome, post-MI syndrome, and traumatic pericarditis (which includes iatrogenic pericarditis, after, eg, percutaneous cardiac intervention, pacemaker placement, and ablation) comprise the post-cardiac injury syndrome.

Таблиця
Таблиця

Subacute pericarditis is a prolongation of acute pericarditis and thus has the same causes. Some patients have transient constriction occurring days to weeks after recovery from acute pericarditis.

Chronic pericarditis with pericardial effusion or chronic constrictive pericarditis may follow acute pericarditis of almost any etiology. In high-resource areas, the most common antecedents of constrictive pericarditis are idiopathic/viral, prior cardiac surgery, and history of radiation therapy; the most common cause worldwide is tuberculous pericarditis (4). In addition, some cases occur without antecedent acute pericarditis.

Chronic pericarditis with large effusion (serous, serosanguineous, or bloody) is most commonly caused by metastatic tumors (5), most often by lung carcinoma, breast carcinoma, sarcoma, melanoma, leukemia, or lymphoma.

Hypothyroidism may cause pericardial effusion and cholesterol pericarditis. Cholesterol pericarditis is a rare disorder that may be associated with myxedema, in which a chronic pericardial effusion has a high level of cholesterol that triggers inflammation and pericarditis.

Sometimes no cause of chronic pericarditis is identified.

Transient constrictive pericarditis is most commonly caused by infection or postpericardiotomy inflammation or is idiopathic.

Fibrosis of the pericardium, sometimes leading to chronic constrictive pericarditis, may follow purulent pericarditis or accompany a systemic rheumatic disease. In older patients, common causes are malignant tumors, MI, and tuberculosis. Hemopericardium (accumulation of blood within the pericardium) may lead to pericarditis or pericardial fibrosis; common causes include chest trauma, iatrogenic injury (eg, resulting from cardiac catheterization, pacemaker insertion, central venous line placement), and rupture of a thoracic aortic aneurysm.

Довідкові матеріали щодо етіології

  1. 1. Lador A, Hasdai D, Mager A, et al. Incidence and Prognosis of Pericarditis After ST-Elevation Myocardial Infarction (from the Acute Coronary Syndrome Israeli Survey 2000 to 2013 Registry Database). Am J Cardiol 2018;121(6):690-694. doi:10.1016/j.amjcard.2017.12.006

  2. 2. Shahar A, Hod H, Barabash GM, Kaplinsky E, Motro M. Disappearance of a syndrome: Dressler's syndrome in the era of thrombolysis. Cardiology 1994;85(3-4):255-258. doi:10.1159/000176683

  3. 3. Lehto J, Kiviniemi T. Postpericardiotomy syndrome after cardiac surgery. Ann Med 2020;52(6):243-264. doi:10.1080/07853890.2020.1758339

  4. 4. Janus SE, Hoit BD. Effusive-constrictive pericarditis in the spectrum of pericardial compressive syndromes [published correction appears in Heart 2021 Nov;107(22):e17]. Heart Published online January 15, 2021. doi:10.1136/heartjnl-2020-316664

  5. 5. Corey GR, Campbell PT, Van Trigt P, et al. Etiology of large pericardial effusions. Am J Med 1993;95(2):209-213. doi:10.1016/0002-9343(93)90262-n

Symptoms and Signs of Pericarditis

Some patients present with symptoms and signs of inflammation (acute pericarditis); others present with those of fluid accumulation (pericardial effusion) or constriction.

Symptoms and signs vary depending on the severity of inflammation and the amount and rate of fluid accumulation. Even a large amount of pericardial fluid may be asymptomatic if it develops slowly (eg, over months).

Гострий перикардит

Acute pericarditis tends to cause chest pain, fever, and a pericardial rub, sometimes with dyspnea. The first evidence can be tamponade, with hypotension, shock, or pulmonary edema.

Because the innervation of the pericardium and myocardium is the same, the chest pain of pericarditis is sometimes similar to that of myocardial inflammation or ischemia: Dull or sharp precordial or substernal pain may radiate to the neck, trapezius ridge (especially the left), or shoulders. Pain ranges from mild to severe. Unlike chest pain due to ischemia, pain due to pericarditis is usually aggravated by thoracic motion, cough, breathing, or swallowing food; it may be relieved by sitting up and leaning forward.

Tachypnea and nonproductive cough may be present; fever, chills, and weakness are common. In 15 to 25% of patients with idiopathic pericarditis, symptoms recur intermittently for months or years (recurrent pericarditis).

The most important physical finding is a triphasic or a systolic and diastolic precordial friction rub. However, the rub is often intermittent and evanescent; it may be present only during systole or, less frequently, only during diastole. Sometimes, a pleural component to the rub is noted during breathing, which is due to inflammation of the pleura adjacent to the pericardium.

Перикардіальний випіт

Pericardial effusion is often painless, but when it occurs with acute pericarditis, pain may be present. Considerable amounts of pericardial fluid may muffle heart sounds, increase the area of cardiac dullness, and change the size and shape of the cardiac silhouette. A pericardial rub may be heard. With large effusions, compression of the base of the left lung can decrease breath sounds (heard near the left scapula) and cause crackles. Arterial pulse, jugular venous pulse, and blood pressure are normal unless intrapericardial pressure increases substantially, causing tamponade.

In post-MI syndrome, pericardial effusion can occur with fever, friction rub, pleurisy, pleural effusions, and joint pain. This syndrome usually occurs within 10 days to 2 months after MI. It is usually mild but may be severe. Occasionally, the heart ruptures post-MI, causing hemopericardium and tamponade, usually 1 to 10 days post-MI and more commonly in females.

Тампонада серця

(See also Cardiac tamponade due to trauma.)

The clinical findings of cardiac tamponade are similar to those of cardiogenic shock: decreased cardiac output, low systemic arterial pressure, tachycardia, and dyspnea. Neck veins are markedly dilated. Severe cardiac tamponade is nearly always accompanied by a fall of > 10 mm Hg in systolic blood pressure during inspiration (pulsus paradoxus). In advanced cases, pulse may disappear during inspiration. (However, pulsus paradoxus can also occur in chronic obstructive pulmonary disease [COPD], bronchial asthma, pulmonary embolism, right ventricular infarction, and noncardiogenic shock.) Heart sounds are muffled unless the effusion is small. Loculated effusions and eccentric or localized hematoma may cause localized tamponade, in which only selected cardiac chambers are compressed. In these cases, physical, hemodynamic, and some echocardiographic signs may be absent.

Констриктивний перикардит

Fibrosis or calcification rarely causes symptoms unless constrictive pericarditis develops. The only early abnormalities may be elevated ventricular diastolic, atrial, pulmonary, and systemic venous pressures. Symptoms and signs of peripheral venous congestion (eg, peripheral edema, neck vein distention, hepatomegaly) may appear with an early diastolic sound (pericardial knock), often best heard during inspiration. This sound is due to abrupt slowing of diastolic ventricular filling by the rigid pericardium.

Ventricular systolic function (based on ejection fraction) is usually preserved. Prolonged elevation of pulmonary venous pressure results in dyspnea (particularly during exertion) and orthopnea. Fatigue may be severe. Distention of neck veins with a rise in venous pressure during inspiration (Kussmaul sign) is present; it is absent in tamponade. Pulsus paradoxus is rare and is usually less severe than in tamponade. Lungs are not congested unless severe left ventricular constriction develops.

Diagnosis of Pericarditis

  • Electrocardiography (ECG) and chest radiograph

  • Echocardiography

  • Tests to identify cause (eg, pericardial fluid aspiration, pericardial biopsy)

ECG and chest radiograph are done. Echocardiography is done to check for effusion, cardiac filling abnormalities that may suggest cardiac tamponade, and wall motion abnormalities characteristic of myocardial involvement. Blood tests may detect leukocytosis and elevated markers of inflammation (eg, C-reactive protein, erythrocyte sedimentation rate), which may be used to guide duration of therapy.

Гострий перикардит

The diagnosis is based on the presence of the following clinical findings and ECG abnormalities (1); these findings are not present in all cases.

  • Characteristic chest pain

  • Pericardial rub

  • ECG abnormalities

  • Pericardial effusion

Serial ECGs may be needed to show abnormalities. The ECG in acute pericarditis may show abnormalities confined to ST and PR segments and T waves, usually in most leads. (ECG changes in lead aVR are generally in the opposite direction of other leads.) Unlike MI, acute pericarditis does not cause reciprocal depression in ST segments (except in leads aVR and V1), and there are no pathologic Q waves. ECG changes in pericarditis can occur in 4 stages although not all stages are present in all cases.

  • Stage 1: ST segments show upward concave elevation; the PR segments may be depressed (see figure Acute Pericarditis: Stage 1 ECG).

  • Stage 2: ST segments return to baseline; T waves flatten.

  • Stage 3: T waves are inverted throughout the ECG; T wave–inversion occurs after the ST segment has returned to baseline and thus differs from the pattern of acute ischemia or MI.

  • Stage 4: T wave changes resolve.

Echocardiography in acute pericarditis typically shows an effusion, which helps confirm the diagnosis, except in patients with purely fibrinous acute pericarditis in whom echocardiography is often normal. Findings indicating myocardial involvement include new focal or diffuse left ventricular dysfunction.

Cardiac MRI can detect the presence, severity, and acuity of pericardial inflammation but is generally not required to diagnose acute pericarditis. MRI can identify extension of inflammation into the subjacent myocardium (myopericarditis), which occurs in up to 15 to 24% of cases. Unlike perimyocarditis (isolated or prevalent myocarditis), there is no identified adverse long-term outcome (2).

Гострий перикардит: стадія 1 на ЕГК

J points, except aVR and V1, are elevated. T waves are essentially normal. ST segments show upward concave elevation. PR segments, except aVR and V1, are depressed. PR deviations are commonly absent in one limb lead (here, aVL).

Because the pain of pericarditis may resemble that of acute MI or pulmonary infarction, additional tests (eg, serum cardiac biomarker measurement, lung scan) may be required if the history and ECG findings are atypical for pericarditis. Troponin is often elevated in acute pericarditis due to epicardial inflammation, so it cannot discriminate between pericarditis, acute infarction, and pulmonary embolism. Very high levels of troponin may indicate myopericarditis. The CK-MB (creatine kinase muscle band isoenzyme) level, which is less sensitive than the troponin level, is usually normal in acute pericarditis unless myocarditis is also present.

Postpericardiotomy and post-MI syndromes may be difficult to identify and must be distinguished from recent MI, pulmonary embolism, and pericardial infection after surgery. Pain, friction rub, and fever appearing 2 weeks to several months after surgery and a rapid response to aspirin, nonsteroidal anti-inflammatory drugs (NSAIDs), colchicine, or corticosteroids aids diagnosis.

Перикардіальний випіт

Diagnosis is suggested by clinical findings but often is suspected only after finding an enlarged cardiac silhouette on chest radiograph. On ECG, QRS voltage is often decreased, and sinus rhythm remains in most patients. With large, chronic effusions, the ECG may show electrical alternans (ie, P, QRS, or T wave amplitude increases and decreases on alternate beats). Electrical alternans is associated with variation in cardiac position (swinging heart).

Echocardiography estimates the volume of pericardial fluid; identifies cardiac tamponade, sometimes acute myocarditis, and/or heart failure; and may suggest the cause of pericarditis.

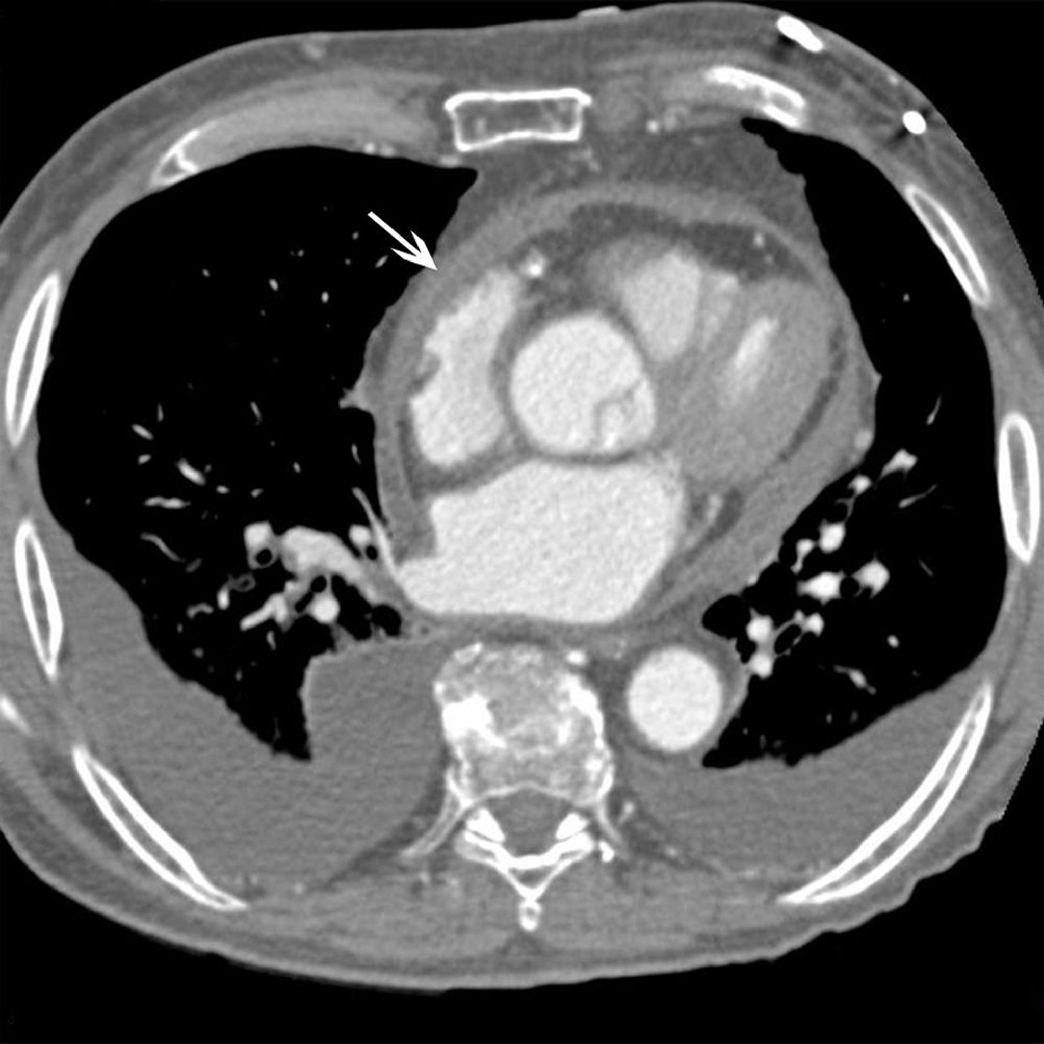
Although CT can detect a pericardial effusion (often incidentally on a scan done for other conditions), it may overestimate its size and is not a first-line test to evaluate possible pericardial effusion.

Patients with a normal ECG, small (< 1 cm on echocardiogram, or 100 mL) effusion, and no suspicious findings from the history and examination may be observed with serial examination and echocardiography. Other patients must be evaluated further to determine etiology.

Констриктивний перикардит

Diagnosis may be suspected based on clinical, ECG, chest x-ray, and Doppler echocardiography findings, but cardiac catheterization and CT (or MRI) are often required. Rarely, right heart biopsy is needed to exclude restrictive cardiomyopathy.

ECG changes are nonspecific. QRS voltage is usually low. T waves are usually nonspecifically abnormal. Atrial fibrillation occurs in about one third of patients; atrial flutter is less common.

Lateral chest x-ray often shows pericardial calcification best, but the finding is nonspecific.

Echocardiography also is nonspecific. When the right and left ventricular filling pressures are equally elevated, Doppler echocardiography helps distinguish constrictive pericarditis from restrictive cardiomyopathy.

  • During inspiration, mitral diastolic flow velocity usually falls > 25% in constrictive pericarditis but < 15% in restrictive cardiomyopathy.

  • In constrictive pericarditis, inspiratory tricuspid flow velocity increases more than it normally does, but it does not do so in restrictive cardiomyopathy.

Determining tissue velocities at the mitral annulus may be helpful when excessively high left atrial pressure blunts respiratory variation in transvalvular velocities. Mitral annular velocities (especially at the septal location) increase in constrictive pericarditis; they decrease in restrictive cardiomyopathy.

Presence of a septal bounce (shift of the interventricular septum towards the left ventricle during inspiration and away from the left ventricle during expiration) and hepatic vein expiratory diastolic flow reversal (which occurs due to a dissociation of intracardiac and intrathoracic pressures and enhanced ventricular interaction) can also be visible in constrictive pericarditis.

Respiration-related ventricular septal shift, preserved or increased medial annular velocity, and hepatic vein expiratory diastolic flow reversal collectively are referred to as the Mayo criteria, but each factor is independently associated with constrictive pericarditis (3).

Cardiac catheterization, right and left sided, is done if clinical and echocardiographic findings suggest constrictive pericarditis. Cardiac catheterization helps confirm and quantify the abnormal hemodynamics that define constrictive pericarditis:

  • Mean pulmonary artery occlusion pressure (pulmonary capillary wedge pressure), pulmonary artery diastolic pressure, right ventricular end-diastolic pressure, and mean right atrial pressure are roughly equal, all at about 10 to 30 mm Hg.

  • The pulmonary artery and right ventricular systolic pressures are normal or modestly elevated, so that pulse pressures are small.

  • In the atrial pressure curve, x and y descents are typically accentuated.

  • In the ventricular pressure curve, a diastolic dip occurs at the time of rapid ventricular filling.

  • During peak inspiration, right ventricular pressure increases when left ventricular pressure is lowest (sometimes called mirror-image discordance, suggesting increased ventricular interdependence).

  • Because ventricular filling is restricted, ventricular pressure tracings show a sudden dip followed by a plateau (resembling a square root sign) in early diastole.

Measuring these changes requires simultaneous right and left heart cardiac catheterization, using separate transducers. These hemodynamic changes almost always occur with significant constrictive pericarditis but may be masked during hypovolemia.

Right ventricular systolic pressure of > 50 mm Hg often occurs in restrictive cardiomyopathy but less often in constrictive pericarditis. When the pulmonary artery occlusion pressure equals the right atrial mean pressure and an early diastolic dip in the ventricular pressure curve occurs with large x and y waves in the right atrial curve, either disorder may be present.

CT or MRI can identify pericardial thickening > 5 mm.

  • Pericardial thickening > 4-mm, with typical hemodynamic changes (assessed by echocardiography and catheterization), can confirm constrictive pericarditis (2).

  • When no pericardial thickening or fluid is seen, the diagnosis of restrictive cardiomyopathy is favored but not proved.

  • A normal pericardial thickness does not exclude constrictive pericarditis.

Increased T2-weighted short TI inversion recovery (STIR) signal and late gadolinium enhancement on cardiac MRI can document active inflammation and resolution of constriction in response to anti-inflammatory therapy, whereas their absence suggests chronic constrictive pericarditis that is unlikely to be responsive to medical therapy. The degree of late gadolinium enhancement of the pericardium may be especially helpful in identifying patients in whom constriction will reverse or resolve.

Тампонада серця

Low voltage and electrical alternans on the ECG suggest cardiac tamponade, but these findings lack sensitivity and specificity (4). When tamponade is suspected, echocardiography is done unless even a brief delay might be life threatening. Then pericardiocentesis is done immediately for diagnosis and treatment. Echocardiographic findings that support tamponade include the following (5):

  • Respiratory variation of transvalvular and venous flows

  • Compression or collapse of right cardiac chambers in the presence of a pericardial effusion

  • Inferior vena caval plethora (decrease in the proximal vena caval diameter by < 50% during deep inspiration)

However, cardiac tamponade is primarily a clinical diagnosis.

Цінні поради та підводні камені

  • Significant cardiac tamponade is a clinical diagnosis; echocardiographic findings alone are not an indication for pericardiocentesis.

If tamponade is suspected but not yet confirmed (eg, by clinical findings and echocardiography), right heart (Swan-Ganz) catheterization may be done. In cardiac tamponade:

  • There is no early diastolic dip in the ventricular pressure record.

  • Diastolic pressures are elevated (about 10 to 30 mm Hg) and equal in all cardiac chambers and in the pulmonary artery.

  • In the atrial pressure curve, x descent is preserved and y descent is lost.

In contrast, in severe congestive states due to dilated cardiomyopathy, pulmonary artery occlusion or left ventricular diastolic pressure usually exceeds right atrial mean pressure and right ventricular diastolic pressure by 4 mm Hg.

Right heart catheterization should be considered particularly when draining an effusion, not only to confirm tamponade, but also to uncover possible constrictive pericarditis with effusion.

Діагностика причини

After pericarditis is diagnosed, tests to determine etiology and the effect on cardiac function are done. In a young, previously healthy adult who presents with a viral infection and acute pericarditis, an extensive evaluation is usually unnecessary. Differentiating viral from idiopathic pericarditis is difficult, can involve extensive testing, and generally of little practical importance.

In other cases, a biopsy of pericardial tissue or aspiration of pericardial fluid may be needed to establish a diagnosis. Acid-fast stains and cultures of pericardial fluid are essential if tuberculosis (TB) is considered possible (TB pericarditis can be aggressive and can worsen rapidly with corticosteroid therapy). Samples are examined for malignant cells. Persistent (usually > 3 months) or progressive effusion, particularly when the etiology is uncertain, also warrants pericardiocentesis.

The choice between needle pericardiocentesis and surgical drainage depends on institutional resources and physician experience, the etiology of the effusion, the need for diagnostic tissue samples, and the prognosis of the patient. Needle pericardiocentesis is often best when the etiology is known or the presence of tamponade is in question. Surgical drainage is best when the presence of tamponade is certain but (because pericardial biopsy can be done surgically) the etiology is unclear.

Laboratory test results of pericardial fluid other than culture and cytology are usually nonspecific. But specific diagnoses are sometimes possible using newer visual, cytologic, and immunologic analysis of fluid obtained via pericardioscopic-guided biopsy.

Cardiac catheterization may be useful for evaluating pericarditis and identifying the cause of reduced cardiac function.

CT or MRI can help identify metastases, although echocardiography is usually sufficient.

Other tests include complete blood count, acute-phase reactants, routine chemistry tests, cultures, autoimmune tests, and, when appropriate, tests for HIV, histoplasmosis complement fixation (in endemic areas), and antibody tests for coxsackievirus, influenza virus, echovirus, and streptococcus. Anti-DNA and anti-RNA antibody tests may be useful. A tuberculin skin test (usually PPD) or interferon gamma release assay is done, but thees tests can give false-negative results; TB pericarditis can be ruled out only by culture of pericardial fluid for acid-fast bacilli.

Довідкові матеріали щодо діагностики

  1. 1. Adler Y, Charron P, Imazio M, et al: 2015 ESC Guidelines for the diagnosis and management of pericardial diseases: The Task Force for the Diagnosis and Management of Pericardial Diseases of the European Society of Cardiology (ESC). Endorsed by: The European Association for Cardio-Thoracic Surgery (EACTS). Eur Heart J 36(42):2921–2964, 2015. doi:10.1093/eurheartj/ehv318

  2. 2. Antonopoulos AS, Vrettos A, Androulakis E, et al. Cardiac magnetic resonance imaging of pericardial diseases: a comprehensive guide [published correction appears in Eur Heart J Cardiovasc Imaging 2024 Feb 22;25(3):e104]. Eur Heart J Cardiovasc Imaging 2023;24(8):983-998. doi:10.1093/ehjci/jead092

  3. 3. Welch TD, Ling LH, Espinosa RE, et al: Echocardiographic diagnosis of constrictive pericarditis: Mayo Clinic criteria. Circ Cardiovasc Imaging 7:526, 2014. 

  4. 4. Mathur AP, Saini A, Lucas BP, AlYousef T, Margeta B, Mba B: Diagnostic accuracy retrospectively of electrocardiographic findings and cancer history for tamponade in patients determined to have pericardial effusion by transthoracic echocardiogram. Am J Cardiol 111(7):1062–1066, 2013. doi:10.1016/j.amjcard.2012.11.064

  5. 5. Klein AL, Abbara S, Agler DA, et al: American Society of Echocardiography clinical recommendations for multimodality cardiovascular imaging of patients with pericardial disease: endorsed by the Society for Cardiovascular Magnetic Resonance and Society of Cardiovascular Computed Tomography. J Am Soc Echocardiogr 26(9):965–1012.e15, 2013. doi: 10.1016/j.echo.2013.06.023

Treatment of Pericarditis

  • Nonsteroidal anti-inflammatory drugs (NSAIDs), colchicine, and, infrequently, corticosteroids for pain and inflammation.

  • Pericardiocentesis for tamponade and some large effusions

  • Sometimes intrapericardial medications (eg, triamcinolone)

  • Sometimes pericardial resection for constrictive pericarditis, particularly when symptomatic

  • Treatment of underlying cause (eg, cancer)

Treatment guidelines are available from the Task Force for the Diagnosis and Management of Pericardial Diseases of the European Society of Cardiology (1). Hospitalization is warranted for some patients with an initial episode of acute pericarditis, particularly those with moderate or large effusions or with high-risk features, such as elevated temperature, subacute onset, immunosuppression, recent trauma, oral anticoagulant therapy, failure to respond to an initial course of aspirin or NSAIDs, and myopericarditis. Hospitalization is needed to determine etiology and to observe for the development of cardiac tamponade. Close, early follow-up is important in patients who are not hospitalized. Possible causative medications (eg, anticoagulants, procainamide, phenytoin) are stopped. For cardiac tamponade, immediate pericardiocentesis (see figure Pericardiocentesis) is done; removal of even a small volume of fluid may be lifesaving.

Перикардіоцентез

Except in emergencies (eg, cardiac tamponade), pericardiocentesis, a potentially lethal procedure, should be done using echocardiographic guidance in a cardiac catheterization laboratory and should be supervised by a cardiologist or thoracic surgeon if possible. Resuscitation equipment must be at hand. IV sedation (eg, morphine 0.1 mg/kg or fentanyl 25 to 50 microgram plus midazolam 3 to 5 mg) is desirable. The patient should be recumbent, with the head elevated 30° from the horizontal.

Under aseptic conditions, the skin and subcutaneous tissues are infiltrated with lidocaine.

A 75-mm short-beveled, 16-gauge needle is attached via a 3-way stopcock to a 30- or 50-mL syringe. The pericardium may be entered via the right or left xiphocostal angle or from the tip of the xiphoid process with the needle directed inward, upward, and close to the chest wall. The needle is advanced with constant suction applied to the syringe.

Echocardiography may be used to guide the needle as agitated saline is injected through it. Echocardiography is also increasingly used to identify the optimal puncture site and the needle trajectory.

Once in place, the needle should be clamped next to the skin to prevent it from entering further than necessary and possibly puncturing the heart or injuring a coronary vessel. ECG monitoring is essential for detecting arrhythmias produced when the myocardium is touched or punctured. As a rule, right atrial pressure and pulmonary artery occlusion pressure (pulmonary capillary wedge pressure) are monitored.

Fluid is withdrawn until intrapericardial pressure falls below right atrial pressure, usually to subatmospheric levels. If continued drainage is needed, a plastic catheter may be passed through the needle into the pericardium and the needle withdrawn. The catheter may be removed when drainage is less than 25–50 mL/24 hours (usually 2–4 days).

Pain can usually be controlled with colchicine (eg, 0.5 or 0.6 to 1.0 or 1.2 mg), aspirin (325 to 650 mg orally every 4 to 6 hours), or other NSAIDs (eg, ibuprofen 600 to 800 mg orally every 6 to 8 hours) (1). A proton pump inhibitor should be considered to improve the gastric tolerability of NSAIDs. The intensity of therapy is dictated by the patient’s distress. Severe pain may require opioids. Risk of recurrence may be decreased with NSAID treatment if the duration of treatment is 3 to 4 weeks, but this approach has not been studied adequately. Colchicine 0.5 or 0.6 mg to 1 or 1.2 mg orally once a day for 3 months as an adjunct significantly decreases the recurrence rate and symptom persistence in patients with a first episode of acute pericarditis and is increasingly being used as first-line therapy (2).

Although most mild cases of idiopathic and viral pericarditis respond well within a week, the optimal duration of treatment is unclear. Typically, patients should be treated at least until any effusion and evidence of inflammation (eg, elevated erythrocyte sedimentation rate or C-reactive protein levels) have resolved.

Corticosteroids (eg, prednisone 60 to 80 mg orally once a day for 1 week, followed by rapid tapering of the dose) may be used in patients with specific indications (eg, systemic rheumatic disease, autoimmune or uremic pericarditis, failure to respond to colchicine or NSAIDs) but are not given routinely because they enhance viral multiplication and recurrence is common when the dosage is tapered; colchicine may be particularly useful during the corticosteroid taper. An alternative approach that may have a lower rate of recurrence is the use of prednisone at a lower dose (0.2 to 0.5 mg/kg orally once a day) for 2 to 4 weeks followed by a slow taper over approximately 3 months. Tuberculous and pyogenic pericarditis should be excluded before corticosteroid therapy is initiated. Intrapericardial instillation of triamcinolone 300 mg/m2 avoids systemic adverse effects and is highly effective but is typically reserved for patients with recurrent or refractory disease.

Anticoagulants are usually contraindicated in acute pericarditis because they may cause intrapericardial bleeding and even fatal tamponade; however, they can be given in early pericarditis complicating acute MI. Uncommonly (eg, with chronic constrictive pericarditis), pericardial resection is required.

Painful recurrences of acute pericarditis may respond to NSAIDs and/or colchicine 0.5 mg orally twice a day for 6 to 12 months with a gradual taper. If these medications do not suffice, corticosteroids may be tried, presuming the cause is not infectious. Refractory cases have been treated with interleukin-1 receptor antagonists (eg, anakinra, canakinumab, rilonacept [3]); however, infection should be ruled out first.

Infections are treated with specific antimicrobials. Complete drainage is often necessary.

In postpericardiotomy syndrome, post-MI syndrome, or idiopathic pericarditis, antibiotics are not indicated. An NSAID at full doses may control pain and effusion. When required to control pain, fever, and effusion, prednisone (eg, 20 to 60 mg orally once a day) may be given for 3 to 4 days. If the response is satisfactory, the dose is gradually reduced, and the medication may be stopped in 7 to 14 days. But sometimes many months of treatment are needed. Beginning on postoperative day 3, colchicine 1 mg orally once a day for 30 days, after a 2-mg load may reduce the incidence of postpericardiotomy syndrome after cardiac surgery. Aspirin should be used when pericarditis occurs in patients with an acute myocardial infarction.

For pericarditis due to rheumatic fever, another systemic rheumatic disease, or tumor, therapy is directed at the underlying process.

For pericardial effusion due to trauma, surgery is sometimes required to repair the injury and remove blood from the pericardium.

Pericarditis due to uremia may respond to increased frequency of hemodialysis, aspiration, or systemic or intrapericardial corticosteroids. Intrapericardial triamcinolone may be useful.

Chronic effusions are best treated by treating the cause, if known. Recurrent or persistent symptomatic effusions may be treated with balloon pericardiotomy or a surgical pericardial window (4). Asymptomatic effusions of unknown cause may require only observation.

Congestion in chronic constrictive pericarditis may be alleviated with salt restriction and diuretics. Digoxin is indicated only if atrial arrhythmias or ventricular systolic dysfunction is present.

Patients with symptomatic constrictive pericarditis (eg, with dyspnea, unexplained weight gain, a new or increased pleural effusion, or ascites) and those with markers of chronic constriction (eg, cachexia, atrial fibrillation, hepatic dysfunction, pericardial calcification) usually require pericardial resection. However, patients with mild symptoms (because they derive little benefit), heavy calcification, or extensive myocardial damage may be poor surgical candidates.

The mortality rate for pericardial resection may approach 40% in patients with New York Heart Association (NYHA) functional class IV (see table New York Heart Association Classification of Heart Failure). Patients who have constrictive pericarditis due to irradiation or a systemic rheumatic disease are especially likely to have severe myocardial damage and may not benefit from pericardial resection.

Patients with newly diagnosed constrictive pericarditis who are hemodynamically stable and without evidence of chronic constriction may be given a 3-month trial of anti-inflammatory medications, rather than pericardiectomy. Patients with pericardial inflammation on MRI may also benefit from a trial of pharmacotherapy first, rather than pericardiectomy.

Measures that minimize the risk of developing constrictive pericarditis include the following (5):

  • Timely guideline-based treatment of acute and recurrent pericarditis

  • Complete drainage of infected pericardial effusions

  • In patients undergoing pericardiotomy, prophylactic colchicine and drainage of postpericardiotomy pericardial effusions

Довідкові матеріали щодо лікування

  1. 1. Adler Y, Charron P, Imazio M, et al: 2015 ESC Guidelines for the diagnosis and management of pericardial diseases: The Task Force for the Diagnosis and Management of Pericardial Diseases of the European Society of Cardiology (ESC). Endorsed by: The European Association for Cardio-Thoracic Surgery (EACTS). Eur Heart J 36(42):2921–2964, 2015. doi:10.1093/eurheartj/ehv318

  2. 2. Imazio M, Brucato A, Cemin R, et al: A randomized trial of colchicine for acute pericarditis. N Engl J Med 369(16):1522–1528, 2013. doi:10.1056/NEJMoa1208536

  3. 3. Abadie BQ, Cremer PC: Interleukin-1 Antagonists for the Treatment of Recurrent Pericarditis. BioDrugs 36(4):459–472, 2022. doi:10.1007/s40259-022-00537-7

  4. 4. Hoit BD: Pericardial Effusion and Cardiac Tamponade Pathophysiology and New Approaches to Treatment. Curr Cardiol Rep 25(9):1003–1014, 2023. doi:10.1007/s11886-023-01920-8

  5. 5. Lazaros G, Vlachopoulos C, Lazarou E, Tsioufis K: New Approaches to Management of Pericardial Effusions. Curr Cardiol Rep 23(8):106, 2021. Published 2021 Jul 1. doi:10.1007/s11886-021-01539-7

Ключові моменти

  • Patients with pericarditis may have symptoms and signs of pericardial inflammation and/or fluid accumulation (effusion).

  • Electrocardiography and echocardiography are usually adequate for diagnosis, but right and left heart catheterization, CT, or MRI may be needed to diagnose constrictive pericarditis.

  • Pain is treated with nonsteroidal anti-inflammatory drugs and/or colchicine; corticosteroids may be added for selected patients in whom the cause is noninfectious.

  • Effusions usually respond to treatment of the cause, but recurrent or persistently symptomatic effusions may require drainage (percutaneous or surgical).

  • Symptomatic chronic constrictive pericarditis usually requires pericardial resection, although patients with early stage constrictive pericarditis can be treated with a trial of pharmacotherapy first.