Плевральний випіт

ЗаNajib M Rahman, BMBCh MA (oxon) DPhil, University of Oxford
ПереглянутоRichard K. Albert, MD, Department of Medicine, University of Colorado Denver - Anschutz Medical
Переглянуто/перевірено Змінено лип. 2025
v922580_uk

Pleural effusions are accumulations of fluid within the pleural space. They have multiple causes and are usually classified as transudates or exudates. Detection is by physical examination, chest radiograph, and bedside thoracic ultrasound. Thoracentesis and pleural fluid analysis are often required to determine cause. Asymptomatic bilateral transudates require no treatment. Symptomatic transudates and most exudates require thoracentesis, chest tube drainage, and definitive pleural management (indwelling pleural catheter, talc pleurodesis, thoracic surgery, or a combination).

Normally, 10 to 20 mL of pleural fluid, similar in composition to plasma but lower in protein (< 1.5 g/dL [< 15 g/L]), is spread thinly over the visceral and parietal pleurae, facilitating movement between the lungs and chest wall. The fluid enters the pleural space from systemic capillaries in the parietal pleurae and exits via parietal pleural stomas and lymphatics. The fluid ultimately drains into the right atrium, so clearance is dependent on capillary and, in part, right-sided pressures. Pleural fluid accumulates as an effusion when too much fluid enters or too little fluid exits the pleural space.

Etiology of Pleural Effusion

Pleural effusions are usually categorized as:

  • Transudates

  • Exudates

Categorization of the effusions is based on laboratory characteristics of the fluid (see table Criteria for Identifying Exudative Pleural Effusions). Whether unilateral or bilateral, a transudate can usually be treated without extensive evaluation, whereas the cause of an exudate requires investigation. There are numerous (> 50) causes (see table Some Causes of Pleural Effusion).

Transudative effusions are caused by some combination of increased hydrostatic pressure and decreased plasma oncotic pressure. Heart failure is the most common cause, followed by cirrhosis with ascites, and by hypoalbuminemia in conjunction with increased hydrostatic pressure as occurs in the nephrotic syndrome (1, 2).

Exudative effusions are caused by local processes that lead to increased capillary permeability, resulting in exudation of fluid, protein, cells, and other serum constituents. Causes are numerous; the most common are infections, including bacterial pneumonia(parapneumonic effusion), viral infection, and tuberculosis (TB), cancer, and pulmonary embolism (1).

Empyema is frank pus in the pleural space. It can occur as a complication of pneumonia, thoracotomy, abscesses (lung, hepatic, or subdiaphragmatic), or penetrating trauma with secondary infection. Empyema necessitates soft-tissue extension of empyema, leading to chest wall infection and external drainage.

Таблиця
Таблиця

Chylous effusion (chylothorax) is a milky white effusion high in triglycerides caused by traumatic, intraoperative, or neoplastic (most often lymphomatous) damage to the thoracic duct. Chylous effusion also occurs with the superior vena cava syndrome.

Chyliform (cholesterol or pseudochylous) effusions resemble chylous effusions but are low in triglycerides and high in cholesterol. Chyliform effusions are thought to be due to release of cholesterol from lysed red blood cells and neutrophils in long-standing effusions when absorption is blocked by the thickened pleura. The most common causes are rheumatoid pleuritis and chronic TB.

Hemothorax is bloody fluid (pleural fluid hematocrit > 50% peripheral hematocrit) in the pleural space due to trauma or, rarely, as a result of coagulopathy or after rupture of a major blood vessel, such as the aorta or pulmonary artery.

Trapped lung is a lung encased by a fibrous peel caused by empyema or tumor. Because the lung cannot expand, the pleural pressure becomes more negative than normal, increasing transudation of fluid from parietal pleural capillaries. The fluid characteristically is borderline between a transudate and an exudate; ie, the biochemical values are within 15% of the cutoff levels for Light’s criteria (see table Criteria for Identifying Exudative Pleural Effusions).

Iatrogenic effusions can be caused by migration or misplacement of a feeding tube into the trachea or perforation of the superior vena cava by a central venous catheter, leading to infusion of tube feedings or IV solution into the pleural space.

Таблиця
Таблиця

Effusions with no obvious cause are often due to occult pulmonary emboli, tuberculosis, or cancer (3). Etiology is unknown for some effusions even after extensive study (also referred to as non-specific pleuritis); many of these effusions are thought to be due to viral infection.

Довідкові матеріали щодо етіології

  1. 1. Feller-Kopman D, Light R. Pleural Disease. N Engl J Med 2018;378(8):740-751. doi:10.1056/NEJMra1403503

  2. 2. Mummadi SR, Stoller JK, Lopez R, Kailasam K, Gillespie CT, Hahn PY. Epidemiology of Adult Pleural Disease in the United States. Chest 2021;160(4):1534-1551. doi:10.1016/j.chest.2021.05.026

  3. 3. Roberts ME, Rahman NM, Maskell NA, et al. British Thoracic Society Guideline for pleural disease. Thorax 2023;78(Suppl 3):s1-s42. doi:10.1136/thorax-2022-219784

Symptoms and Signs of Pleural Effusion

Some pleural effusions are asymptomatic and are discovered incidentally during physical examination or on chest radiograph.

Many effusions cause dyspnea, pleuritic chest pain, or both. Pleuritic chest pain, a vague discomfort or sharp pain that worsens during inspiration, indicates inflammation of the parietal pleura. Pain is usually felt over the inflamed site, but referred pain is possible. The posterior and peripheral portions of the diaphragmatic pleura are supplied by the lower 6 intercostal nerves, and irritation there may cause pain in the lower chest wall or abdomen that may simulate intra-abdominal disease. Irritation of the central portion of the diaphragmatic pleura, innervated by the phrenic nerves, causes pain that is referred to the neck and shoulder.

Physical examination may reveal decreased breath sounds on the side of the effusion, dullness to percussion, and absent tactile fremitus. These findings can also be caused by pleural thickening. With large-volume effusions, respiration may be rapid and shallow.

A pleural friction rub, although infrequent, is the classic physical sign. The friction rub varies from a few intermittent sounds that may simulate crackles to a fully developed harsh grating, creaking, or leathery sound synchronous with respiration, heard during inspiration and expiration. Friction sounds adjacent to the heart (pleuropericardial rub) may vary with the heartbeat and may be confused with the friction rub of pericarditis. (Pericardial rub is best heard over the left border of the sternum in the third and fourth intercostal spaces, is characteristically a to-and-fro sound synchronous with the heartbeat, and is not influenced significantly by respiration).

Sensitivity and specificity of the physical examination for detecting effusion are probably low.

Шум тертя
close sectionНатисніть для відтворення
Pleural Friction Rub

A leathery sound that fluctuates with the respiratory cycle.

Audio file courtesy of David W. Cugell, MD.

close sectionНатисніть для відтворення
Шум тертя перикарда

Friction rubs are frequently described as creaking or scratching but may sound like more common murmurs. This rub is most often triphasic, with a soft systolic component and 2 louder components in quick succession during early diastole.

... прочитати більше

Recording provided by Jules Constant, MD.

Diagnosis of Pleural Effusion

  • Chest radiograph

  • Thoracic ultrasound

  • Pleural fluid analysis

  • Sometimes CT with venous contrast, CT angiography, or other tests

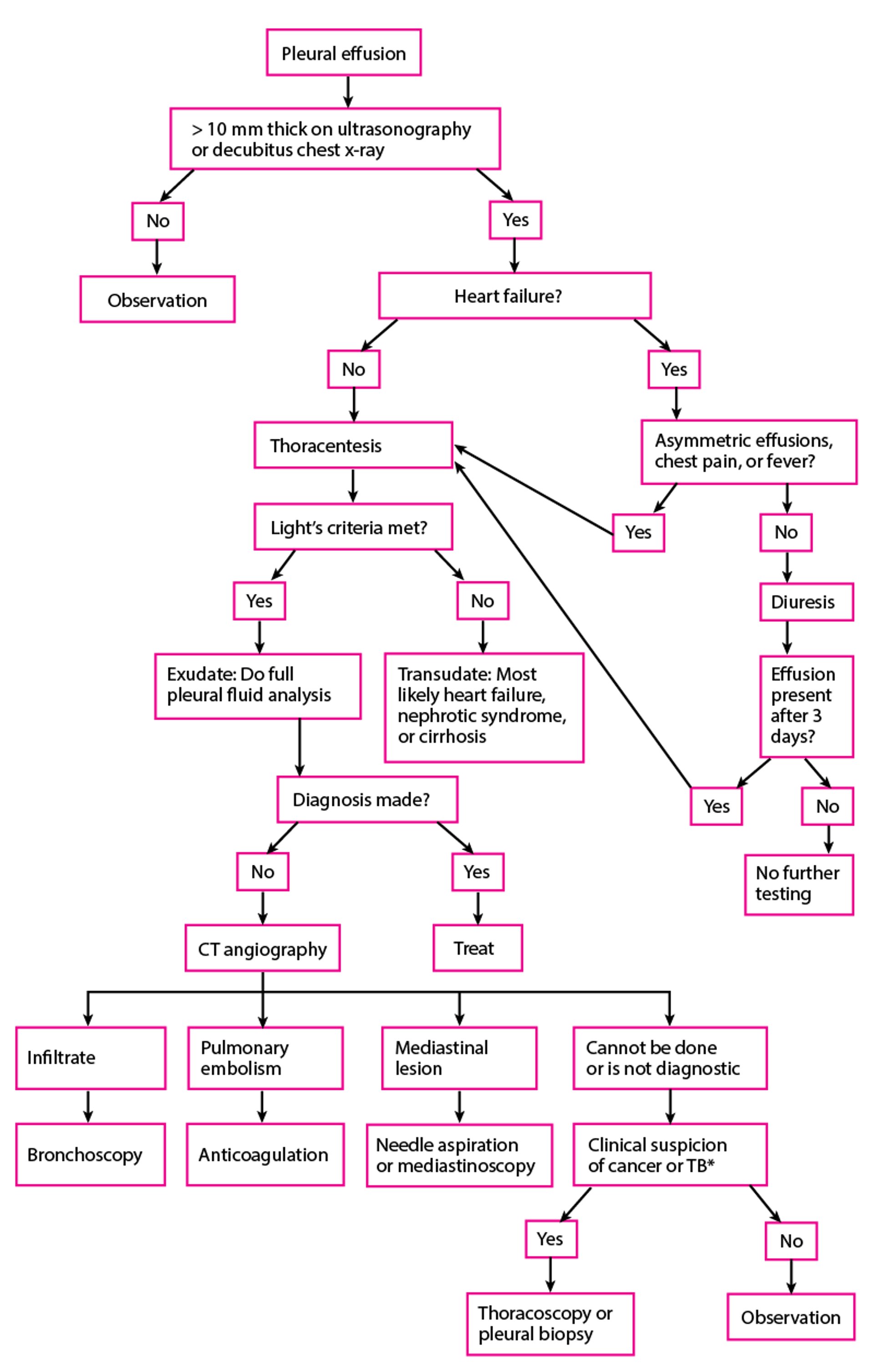
Pleural effusion is suspected in patients with pleuritic pain, unexplained dyspnea, or suggestive signs. Diagnostic tests are indicated to document the presence of pleural fluid and to determine its cause (see figure Diagnosis of Pleural Effusion).

Наявність випоту

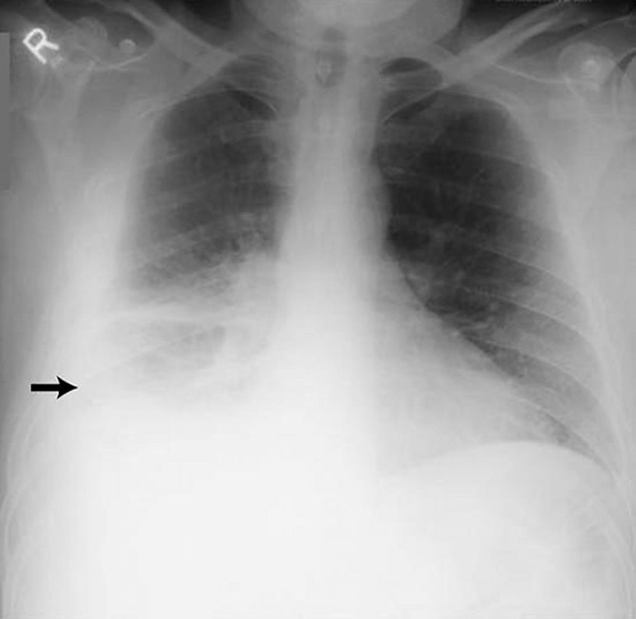
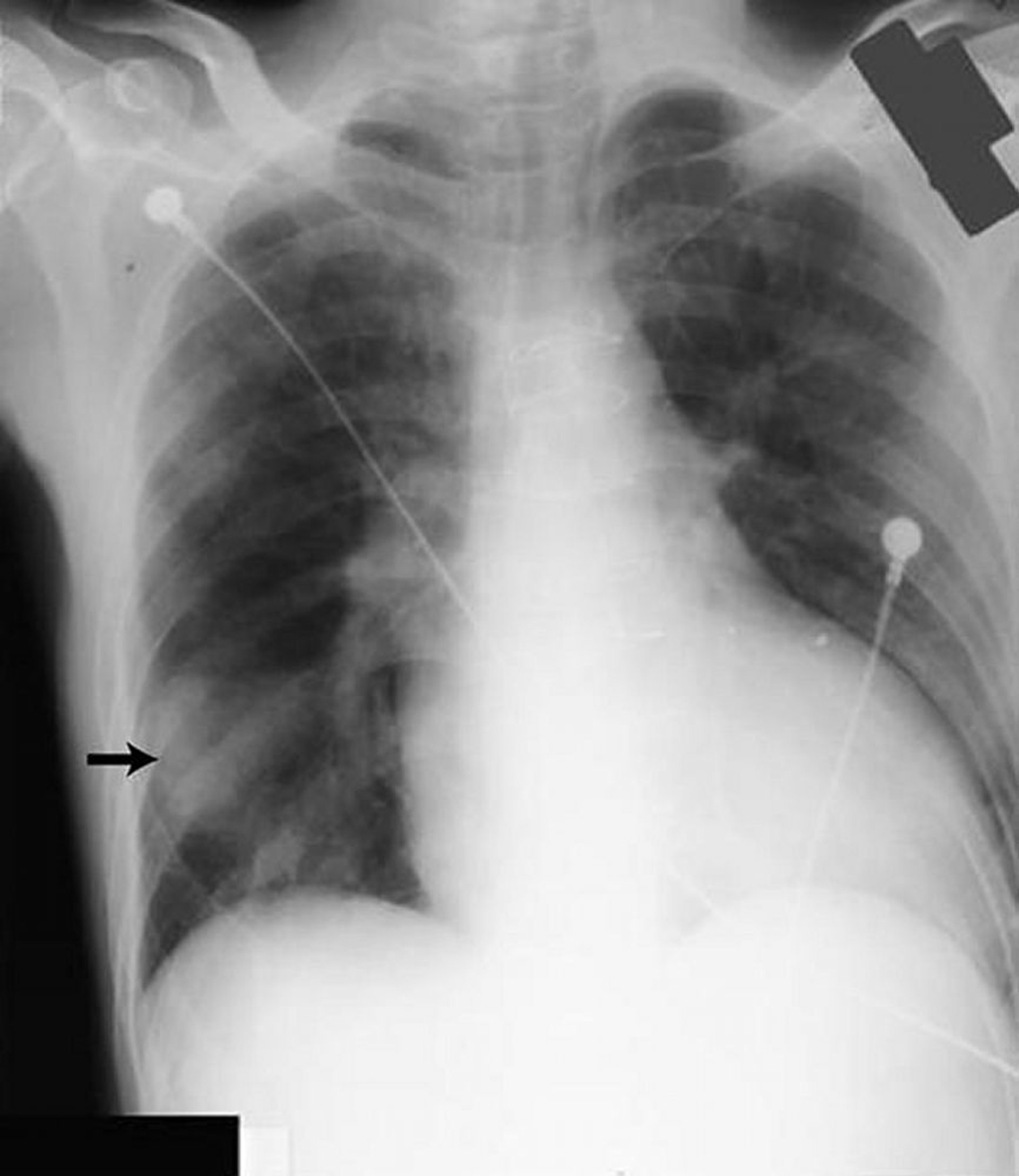
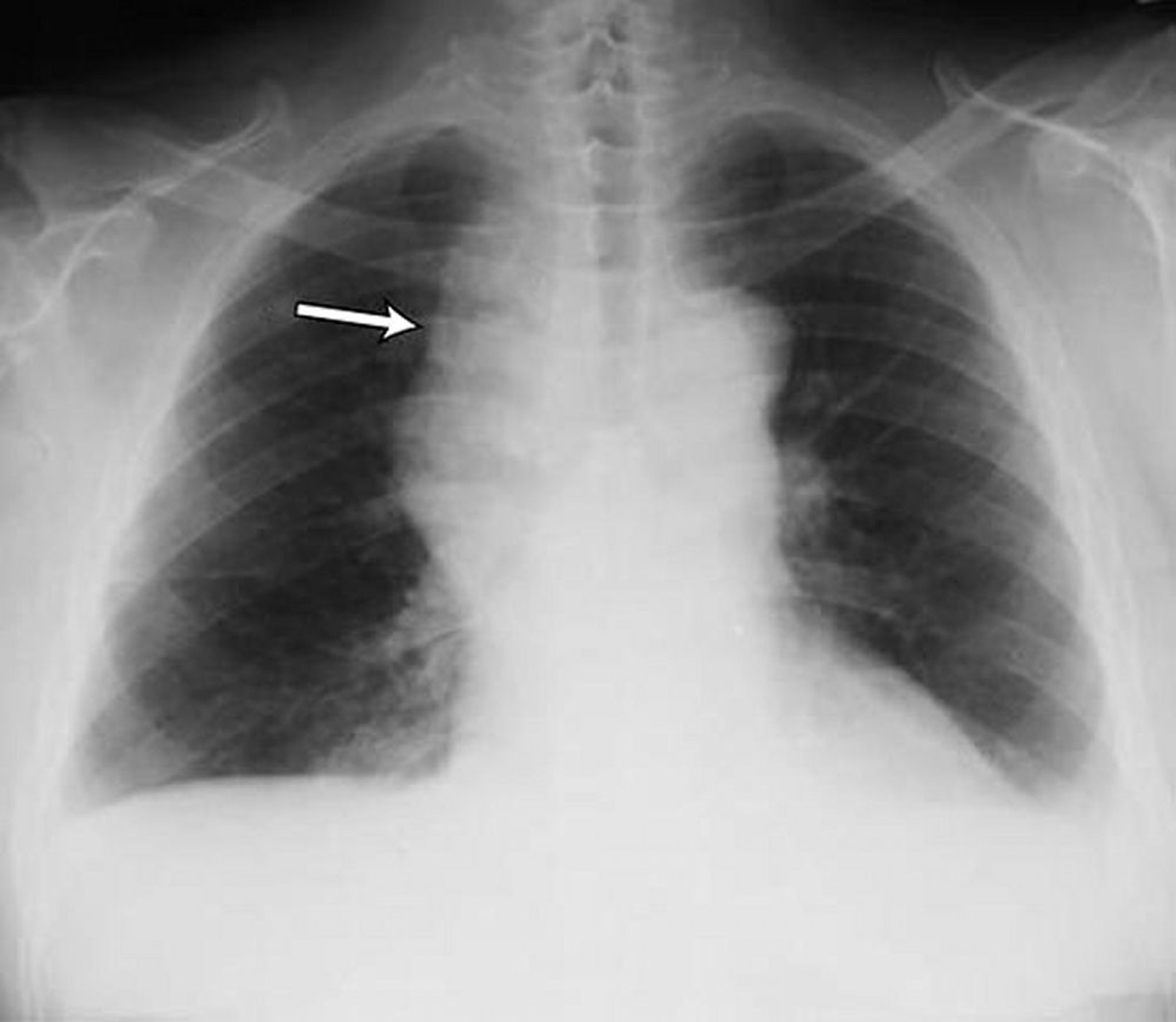
Chest radiograph is the first test performed to confirm the presence of pleural fluid. The lateral upright chest radiograph should be examined when a pleural effusion is suspected. In an upright radiograph, 75 mL of fluid blunts the posterior costophrenic angle. Blunting of the lateral costophrenic angle usually requires about 175 mL but may take as much as 500 mL. Lateral decubitus radiographs (with the side of the effusion down) may be able to detect small fluid volumes more easily than standard upright radiographs, particularly with a free-flowing effusion. Larger pleural effusions opacify portions of the hemithorax and may cause mediastinal shift; effusions > 4 L may cause complete opacification of the hemithorax and mediastinal shift to the contralateral side.

Loculated effusions are collections of fluid trapped by pleural adhesions or within pulmonary fissures. Further imaging (lateral decubitus radiographs, chest CT, or ultrasound) should be performed if it is unclear whether a radiographic density represents fluid or parenchymal infiltrates or whether suspected fluid is loculated or free-flowing; these tests are more sensitive than upright radiographs and can detect small fluid volumes. Loculated effusions, particularly those in the horizontal or oblique fissure, can be confused with a solid pulmonary mass (pseudotumor). They may change shape and size with changes in the patient’s position and the amount of pleural fluid.

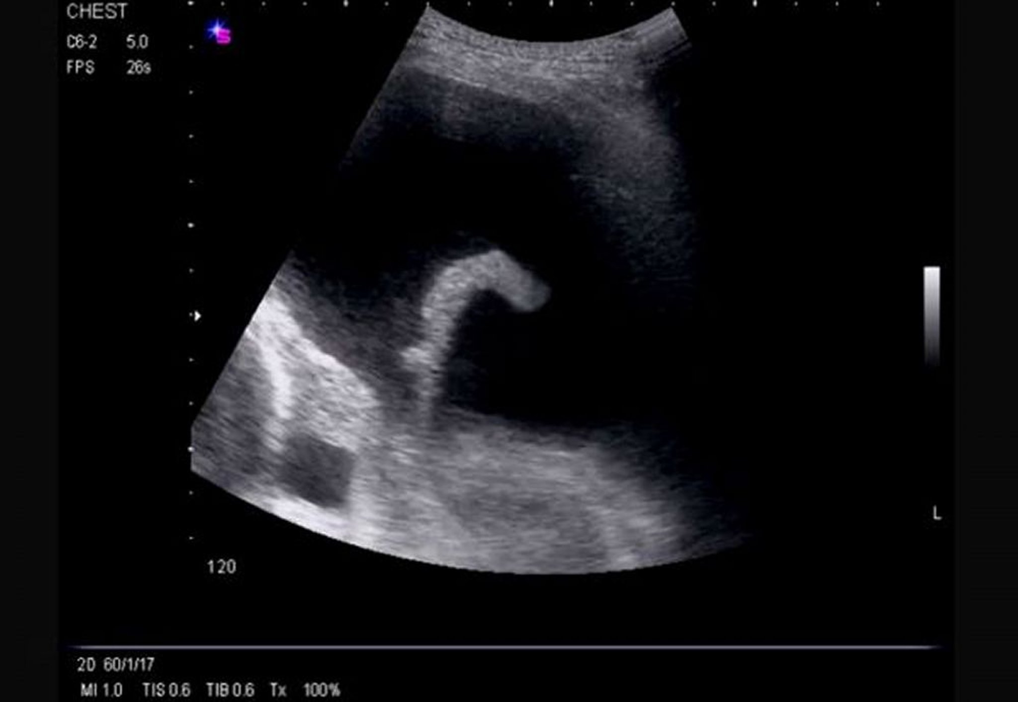
Thoracic ultrasound is considered standard of care for diagnosis of pleural effusion and is performed and interpreted by physicians at the bedside. It is highly accurate for the detection of small volumes of pleural fluid and provides additional diagnostic information (eg, the presence of septation, pleural thickening).

CT with venous contrast is a valuable next investigation that provides information on pleural enhancement and potential pleural nodularity. (Noncontrast CT may be used for initial evaluation but cannot exclude malignancy or infection.) CT with venous contrast is valuable for evaluating the underlying lung parenchyma for infiltrates or masses when the lung is obscured by the effusion or when the detail on chest radiographs is insufficient for distinguishing loculated fluid from a solid mass.

Причини випоту

Thoracentesis should be performed in almost all patients who have pleural fluid that is 10 mm in thickness on CT, ultrasound, or lateral decubitus radiograph and that is new or of uncertain etiology. In general, the only patients who do not require thoracentesis are those who have heart failure with symmetric pleural effusions and no chest pain or fever; in these patients, diuresis can be attempted and thoracentesis avoided unless effusions persist for 3 days. Thoracentesis and subsequent pleural fluid analysis are also often unnecessary for pleural effusions that are chronic, have a known cause, and cause no symptoms.

Thoracentesis should be performed using ultrasonographic guidance in all cases, to improve procedural success and reduce complications (1).

Цінні поради та підводні камені

  • Despite common practice, chest radiograph need not be repeated after thoracentesis unless patients develop symptoms suggesting pneumothorax (dyspnea or chest pain) or unless the clinician suspects that air may have entered the pleural space during the procedure.

Pleural fluid analysis is performed to diagnose the cause of pleural effusion. Analysis begins with visual inspection, which can:

  • Distinguish bloody and chylous (or chyliform) from other effusions

  • Identify purulent effusions strongly suggestive of empyema

  • Identify viscous fluid, which is characteristic of some mesotheliomas

Fluid should always be sent for total protein, glucose, lactate dehydrogenase (LDH), cell count and cell differential, and Gram stain. Other tests such as pleural fluid pH, aerobic and anaerobic bacterial cultures, cytology, tuberculosis fluid markers [adenosine deaminase or interferon-gamma], amylase, mycobacterial and fungal stains and cultures, triglycerides, and cholesterol are used in appropriate clinical settings.

Fluid analysis helps distinguish transudates from exudates; multiple criteria exist, but not one perfectly discriminates between the 2 types. When Light’s criteria are used (see table Criteria for Identifying Exudative Pleural Effusions), serum LDH and total protein levels should be measured as close as possible to the time of thoracentesis for comparison with those in pleural fluid. Light’s criteria correctly identify almost all exudates but misidentify approximately 20% of transudates as exudates (2). If transudative effusion is suspected (eg, due to heart failure or cirrhosis) and none of the biochemical measurements are < 15% above the cutoff levels for Light’s criteria, the difference between serum and the pleural fluid protein is measured. If the difference is > 3.1 g/dL (> 31 g/L), the patient probably has a transudative effusion.

Imaging may also help. If the diagnosis remains unclear after pleural fluid analysis, CT with venous contrast enhancement is indicated to assess for pleural enhancement, pleural nodularity, pulmonary infiltrates, or mediastinal lesions. CT pulmonary angiography can evaluate for a suspected pulmonary embolus. Findings of pulmonary emboli indicate the need for long-term anticoagulation. Pleural nodularity and thickening indicate the need for pleural biopsy (thoracoscopic or image guided). The presence of lung infiltrates or lesions, depending on suspected causes, may indicate the need for bronchoscopy or image-guided lung biopsy.

When tuberculous pleuritis is suspected, the level of adenosine deaminase in the pleural fluid is measured. A level > 40 U/L (667 nkat/L) has a 95% sensitivity and specificity for the diagnosis of tuberculous pleuritis (1); however, the adenosine deaminase level can also be elevated in patients with cancer.

Діагностика плеврального випоту

* Based on presence of fever, weight loss, history of cancer, or other suggestive symptoms.

TB = tuberculosis.

Довідкові матеріали щодо діагностики

  1. 1. Roberts ME, Rahman NM, Maskell NA, et al. British Thoracic Society Guideline for pleural disease. Thorax 2023;78(Suppl 3):s1-s42. doi:10.1136/thorax-2022-219784

  2. 2. Feller-Kopman D, Light R. Pleural Disease. N Engl J Med 2018;378(8):740-751. doi:10.1056/NEJMra1403503

Treatment of Pleural Effusion

  • Treatment of symptoms and underlying disorder

  • Drainage of some symptomatic effusions

  • Other treatments for parapneumonic and malignant effusions

Small (< 10 mm of fluid on lateral decubitus radiograph or ultrasound) and asymptomatic effusions generally do not require treatment because many effusions resorb spontaneously when the underlying disorder is treated, especially effusions due to uncomplicated pneumonias, pulmonary embolism, or surgery. Pleuritic pain can usually be managed with nonsteroidal anti-inflammatory drugs (NSAIDs) or other oral analgesics. At times, a short course of oral opioids is required.

Therapeutic thoracentesis (usually around 1 to 1.5 L in a single treatment) is sufficient for many symptomatic effusions and can be repeated for effusions that reaccumulate. There are no arbitrary limits on the total amount of fluid that can be removed (1). Removal of fluid can be continued until the effusion is drained or the patient develops chest tightness, chest pain, or severe coughing. A rare complication is re-expansion pulmonary edema (REPE) (2). When it occurs, REPE can be life threatening, but it appears to be an unpredictable event.

Effusions that are chronic, recurrent, and causing symptoms can be treated with pleurodesis or by intermittent drainage with an indwelling catheter. Effusions caused by pneumonia or cancer may require additional specific measures.

Парапневмонічний випіт і емпієма

In patients with adverse prognostic factors (pH < 7.20, glucose < 60 mg/dL [< 3.33 mmol/L], positive Gram stain or culture, loculations), the effusion should be completely drained via thoracentesis or tube thoracostomy (3). If complete drainage is impossible, a thrombolytic (fibrinolytic) medication (eg, alteplase) plus a DNAse (eg, dornase alfa) can be administered intrapleurally. If intrapleural treatment is unsuccessful, thoracic surgical intervention is indicated. Video-assisted thoracoscopic surgery (VATS) is usually tried first, although thoracotomy may be required.

Злоякісний плевральний випіт

If dyspnea caused by malignant pleural effusion is relieved by thoracentesis but fluid and dyspnea redevelop, chronic (intermittent) drainage or pleurodesis is indicated. Asymptomatic effusions and effusions causing dyspnea unrelieved by thoracentesis do not require additional procedures.

Indwelling pleural catheters and pleurodesis are equally effective for treating malignant pleural effusion. Choice depends on patient preference. Both decrease dyspnea and improve quality of life effectively. Chemical pleurodesis requires longer hospital stay but long-term complications such as cellulitis are more frequent with indwelling catheters (4).

Pleurodesis is performed by instilling a sclerosing agent into the pleural space to fuse the visceral and parietal pleura and eliminate the space. The most effective and commonly used sclerosing agents are talc, doxycycline, or bleomycin delivered via chest tube or thoracoscopy. Pleurodesis is contraindicated if the lung does not expand after full drainage with a chest tube (entrapped lung), in which case an indwelling pleural catheter is indicated.

Shunting of pleural fluid to the peritoneum (pleuroperitoneal shunt) is rarely performed but is an option in patients who have trapped lung.

Surgical treatment (pleurectomy or decortication) should be considered in patients with trapped lung who have good performance status and a good prognosis.

Довідкові матеріали щодо лікування

  1. 1. Feller-Kopman D, Berkowitz D, Boiselle P, et al. Large-volume thoracentesis and the risk of reexpansion pulmonary edema. Ann Thoracic Surg 2007;84:1656–1662. doi:10.1016/j.athoracsur.2007.06.038

  2. 2. Cusumano G, La Via L, Terminella A, Sorbello M. Re-Expansion Pulmonary Edema as a Life-Threatening Complication in Massive, Long-Standing Pneumothorax: A Case Series and Literature Review. J Clin Med 2024;13(9):2667. Published 2024 May 2. doi:10.3390/jcm13092667

  3. 3. Roberts ME, Rahman NM, Maskell NA, et al. British Thoracic Society Guideline for pleural disease. Thorax 2023;78(Suppl 3):s1-s42. doi:10.1136/thorax-2022-219784

  4. 4. Iyer NP, Reddy CB, Wahidi MM, et al. Indwelling Pleural Catheter versus Pleurodesis for Malignant Pleural Effusions. A Systematic Review and Meta-Analysis. Ann Am Thorac Soc 2019;16(1):124-131. doi:10.1513/AnnalsATS.201807-495OC

Ключові моменти

  • Transudative effusions are caused by some combination of increased hydrostatic pressure and decreased plasma oncotic pressure.

  • Exudative effusions result from increased capillary permeability, leading to leakage of protein, cells, and other serum constituents.

  • The most common causes of transudative effusions are heart failure, cirrhosis with ascites, and nephrotic syndrome.

  • The most common causes of exudative effusions are pneumonia, cancer, pulmonary embolism, and tuberculosis.

  • Evaluation requires imaging (usually chest radiograph and thoracic ultrasound) to confirm presence of fluid and pleural fluid analysis to help determine cause.

  • Lateral decubitus radiographs, chest CT, or ultrasound should be performed if it is unclear whether a radiographic density represents fluid or parenchymal infiltrates or whether suspected fluid is loculated or free-flowing.

  • Larger effusions that are symptomatic require thoracentesis, except for recurrent effusions with a known cause.

  • Effusions that are chronic or recurrent and causing symptoms can be treated with pleurodesis or by intermittent drainage with an indwelling catheter.