Nefrite tubulointerstiziale

DiFrank O'Brien, MD, Washington University in St. Louis
Reviewed ByNavin Jaipaul, MD, MHS, Loma Linda University School of Medicine
Revisionato/Rivisto Modificata gen 2024
v1057040_it
Visualizzazione l’educazione dei pazienti

La nefrite tubulointerstiziale è un danno primario ai tubuli renali e all'interstizio, che risulta in una ridotta funzionalità renale. La forma acuta è il più delle volte dovuta a reazioni allergiche da farmaci o a infezioni. La forma cronica si verifica per diverse cause, tra cui disturbi genetici o metabolici, l'uropatia ostruttiva e l'esposizione cronica a tossine ambientali o ad alcuni farmaci ed erbe. La diagnosi viene suggerita dall'anamnesi e dall'analisi delle urine ed è spesso confermata per mezzo della biopsia. Il trattamento e la prognosi variano in base all'eziologia ed alla potenziale reversibilità della patologia al momento della diagnosi.

(Vedi anche Panoramica sulle malattie tubulointerstiziali.)

Eziologia della nefrite tubulointerstiziale acuta

La nefrite tubulointerstiziale può essere primaria, ma un processo simile può derivare da un danno glomerulare o da disturbi renovascolari.

La nefrite tubulointerstiziale primitiva può essere

  • Acuta (vedi tabella )

  • Cronica (vedi tabella )

Nefrite tubulointerstiziale acuta

La nefrite tubulointerstiziale acuta è caratterizzata da un infiltrato infiammatorio e da un edema a carico dell'interstizio renale, spesso a sviluppo nel giro di giorni o mesi. Oltre il 95% dei casi è dovuto a infezioni o a reazioni allergiche da farmaci.

La nefrite tubulointerstiziale acuta causa danno renale acuto; nei casi gravi, una terapia ritardata o il proseguimento di un farmaco dannoso possono portare a lesioni permanenti e a una malattia renale cronica.

Si verifica anche la sindrome renale-oculare, nefrite tubulointerstiziale acuta più uveite, ed è idiopatica.

Nefrite tubulointerstiziale cronica

La nefrite tubulointerstiziale cronica insorge quando le lesioni tubulari croniche causano graduale infiltrazione e fibrosi dell'interstizio, atrofia e disfunzione tubulari e un graduale peggioramento della funzionalità renale, di solito nel corso di anni. L'interessamento glomerulare concomitante (glomerulosclerosi) è molto più frequente nella nefrite tubulointerstiziale cronica che nella nefrite tubulointerstiziale acuta.

Le cause di nefrite tubulointerstiziale cronica sono molto numerose; esse comprendono patologie immunologicamente mediate, infezioni, nefropatia da reflusso o ostruttiva, farmaci ed altre patologie. La nefrite tubulointerstiziale cronica dovuta a tossine, alterazioni metaboliche, ipertensione e patologie ereditarie causa una malattia simmetrica e bilaterale; quando la nefrite tubulointerstiziale cronica è dovuta ad altre cause, la cicatrizzazione renale può essere asimmetrica e interessare soltanto un rene. Alcune forme ben caratterizzate di nefrite tubulointerstiziale cronica comprendono

La nefropatia da reflusso e il mieloma possono causare danni tubulointerstiziali ma la patologia predominante in queste condizioni è la malattia glomerulare.

Le malattie renali cistiche ereditarie sono trattate altrove.

Tabella
Tabella
Tabella
Tabella

Riferimenti generali

  1. 1. Yamaguchi Y, Kanetsuna Y, Honda K, et al: Characteristic tubulointerstitial nephritis in IgG4-related disease. Hum Pathol 43(4):536-549, 2012. doi: 10.1016/j.humpath.2011.06.002

  2. 2. Correa-Rotter R, Wesseling C, Johnson RJ: CKD of unknown origin in Central America: The case for Mesoamerican nephropathy. Am J Kidney Dis 63(3):506-520, 2014. doi: 10.1053/j.ajkd.2013.10.062

Sintomatologia della nefrite tubulointerstiziale acuta

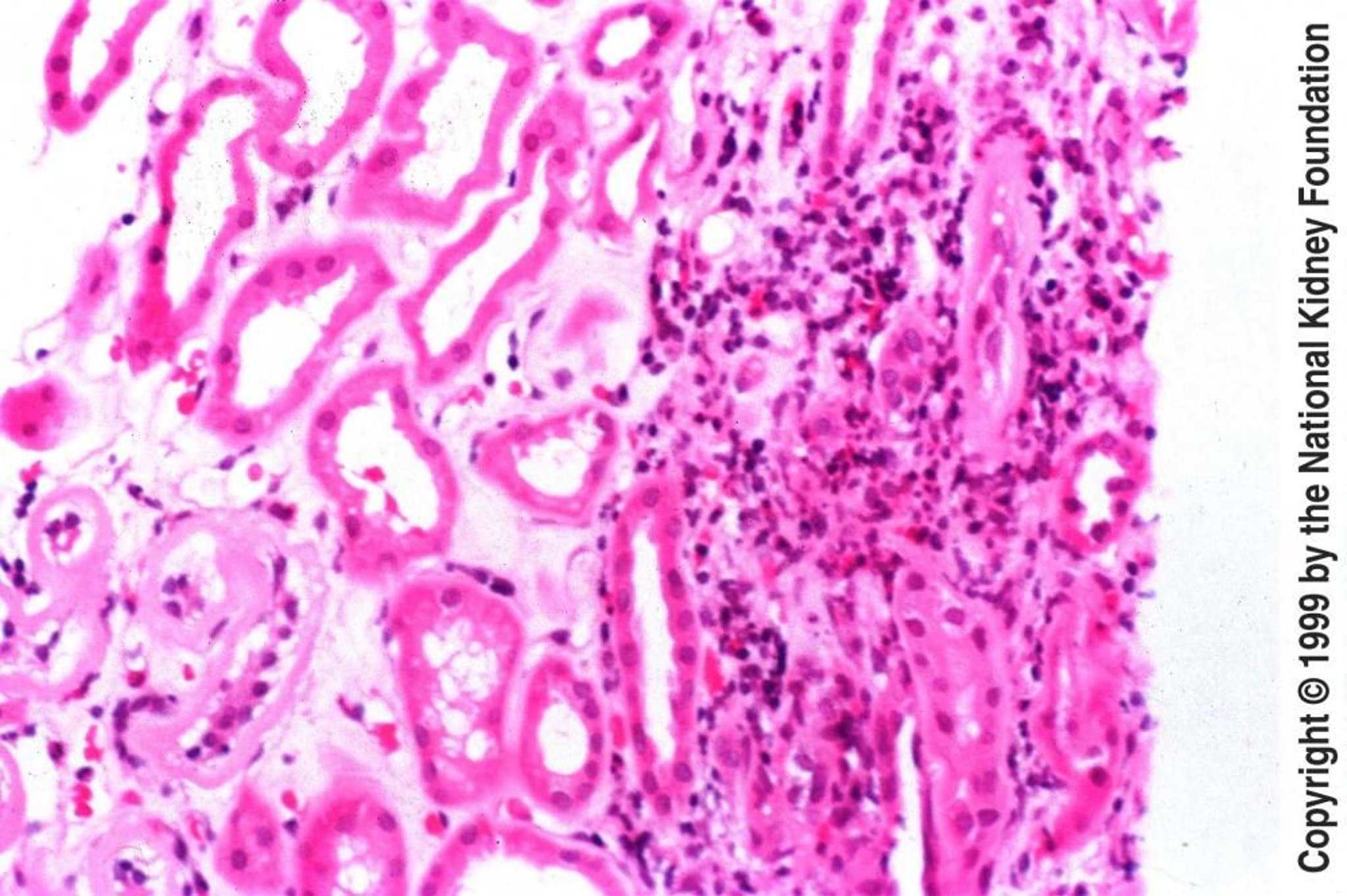
Nefrite tubulointerstiziale acuta

La sintomatologia della nefrite tubulointerstiziale acuta può non essere specifica ed è spesso assente, a meno che non si sviluppino sintomi e segni di insufficienza renale. Molti pazienti presentano poliuria e nicturia (a causa di un difetto di concentrazione urinaria e di riassorbimento di sodio).

L'esordio della sintomatologia della nefrite tubulointerstiziale acuta può ritardare di diverse settimane dopo l'iniziale esposizione alle sostanze tossiche o essere di appena 3-5 giorni dopo la 2a esposizione; il tempo di latenza varia da 1 giorno con la rifampicina a 18 mesi con i FANS. Febbre e eruzione cutanea orticarioide sono caratteristiche manifestazioni precoci di nefrite tubulointerstiziale acuta farmaco-indotta, ma la triade classicamente descritta, ovvero febbre, eruzione cutanea ed eosinofilia, è presente in < 10% dei pazienti con nefrite tubulointerstiziale acuta farmaco-indotta. Anche il dolore addominale, il dimagrimento e l'ingrossamento renale bilaterale (provocato dall'edema interstiziale) possono essere presenti nella nefrite tubulointerstiziale acuta e in caso di febbre possono suggerire falsamente una neoplasia renale o un rene policistico. Gli edemi declivi e l'ipertensione sono insoliti a meno che non si sviluppi un'insufficienza renale.

Nefrite tubulointerstiziale cronica

La sintomatologia è generalmente assente nella nefrite tubulointerstiziale cronica a meno che non si sviluppi un'insufficienza renale. Abitualmente non è presente edema e la pressione arteriosa è normale o soltanto moderatamente elevata negli stadi iniziali. Si verificano poliuria e nicturia.

Diagnosi della nefrite tubulointerstiziale

  • Fattori di rischio

  • Nella nefrite tubulointerstiziale acuta, sedimento urinario attivo con piuria sterile

  • Talvolta biopsia renale

  • Di solito diagnostica per immagini per escludere altre cause

Pochi semplici esami clinici e di laboratorio sono specifici per la nefrite tubulointerstiziale. La patologia va fortemente sospettata quando sono presenti i seguenti:

  • Sintomatologia tipica

  • Fattori di rischio, in particolare una relazione temporale tra l'inizio e l'uso di un farmaco potenzialmente causativo

  • Risultati delle analisi delle urine caratteristici, in particolare piuria sterile

  • Proteinuria modesta, solitamente < 1 g/die (tranne che con l'uso di FANS, che possono causare proteinuria di entità simile alla nefrosi, 3,5 g/die)

  • Evidenza di disfunzione tubulare (p. es., acidosi tubulare renale, sindrome di Fanconi)

  • Difetto di concentrazione fuori proporzione rispetto al grado di insufficienza renale

Non ci si può affidare all'eosinofiluria per effettuare o escludere la diagnosi. Altri test (p. es., diagnostica per immagini) sono in genere necessari per differenziare la nefrite tubulointerstiziale acuta o la nefrite tubulointerstiziale cronica da altri disturbi. La diagnosi clinica presuntiva di nefrite tubulointerstiziale acuta viene spesso eseguita sulla base dei risultati specifici di cui sopra, ma la biopsia renale è necessaria per stabilire una diagnosi definitiva.

Nefrite tubulointerstiziale acuta

Le analisi delle urine che mostrano segni di infiammazione renale attiva (sedimento urinario attivo) compresi globuli rossi, globuli bianchi e cilindri leucocitari e l'assenza di batteri nella coltura (piuria sterile) sono tipiche; sono infrequenti una marcata ematuria e globuli rossi dismorfici. L'eosinofiluria è stata tradizionalmente pensata per suggerire la nefrite tubulointerstiziale acuta; tuttavia, la presenza o l'assenza di eosinofili urinari non è particolarmente utile a livello diagnostico. La proteinuria è di solito minima, ma può raggiungere un range simil-nefrotico con l'associazione nefrite tubulointerstiziale acuta-malattia glomerulare indotta da FANS, ampicillina, rifampicina, interferone alfa o ranitidina.

I risultati delle analisi del sangue di disfunzione tubulare comprendono ipopotassiemia (causata da un difetto nel riassorbimento di potassio) e acidosi metabolica senza gap anionico (causata da un difetto di riassorbimento prossimale tubulare di bicarbonato o di escrezione distale tubulare di acidi). Elevati livelli sierici totali di immunoglobulina G (IgG) e/o IgG4 e basse concentrazioni sieriche del complemento (ossia, bassi livelli di C3 e C4) possono essere presenti in pazienti con malattia correlata con le IgG4 o con nefrite interstiziale ipocomplementemica.

Possono essere necessarie ecografia e/o scintigrafia con radionuclidi per differenziare nefrite tubulointerstiziale acuta da altre cause di danno renale acuto quando la biopsia renale non è possibile. Nella nefrite tubulointerstiziale acuta, l'ecografia può mostrare reni di dimensioni aumentate ed ecogeni per la presenza di cellule infiammatorie interstiziali e edema. La scintigrafia con radionuclidi può mostrare reni che assumono grandi quantità di gallio-67 radioattivo o globuli bianchi radio-marcati. Scansioni positive suggeriscono fortemente nefrite tubulointerstiziale acuta (e indicano che la necrosi tubulare acuta è meno probabile), ma una scansione negativa non esclude la nefrite tubulointerstiziale acuta.

La biopsia renale è generalmente riservata ai pazienti con le seguenti:

  • Diagnosi incerta

  • Danno renale progressivo

  • Nessun miglioramento dopo sospensione di potenziali farmaci causali

  • Risultati che suggeriscono una malattia precoce

  • Nefrite tubulointerstiziale acuta farmaco-indotta per cui la terapia con corticosteroidi è da valutare

Nella nefrite tubulointerstiziale acuta, i glomeruli sono di solito normali. Il reperto più precoce è l'edema interstiziale, seguito tipicamente dall'infiltrazione interstiziale di linfociti, plasmacellule, eosinofili e alcuni leucociti polimorfonucleati. Nei casi gravi, si possono osservare le cellule infiammatorie invadere lo spazio tra le cellule che rivestono la membrana basale tubulare (tubulite); in altri campioni, si possono osservare reazioni granulomatose che derivano dall'esposizione ad antibiotici beta-lattamici, sulfamidici, micobatteri o miceti. La presenza di granulomi non caseosi è indicativa di sarcoidosi. Un'infiltrazione linfoplasmocitica dell'interstizio renale con fibrosi storiforme suggerisce una nefrite tubulo-interstiziale IgG4-correlata. L'immunofluorescenza o la microscopia elettronica raramente rivelano alterazioni patognomoniche.

Nefrite tubulointerstiziale cronica

I reperti della nefrite tubulointerstiziale cronica sono in genere simili a quelli della nefrite tubulointerstiziale acuta, sebbene non sia frequente la presenza di globuli rossi e globuli bianchi nelle urine. Poiché la nefrite tubulointerstiziale cronica è insidiosa al suo esordio e la fibrosi interstiziale è frequente, le tecniche di imaging possono mostrare reni piccoli con evidenza di aree di cicatrizzazione e asimmetria.

Nella nefrite tubulointerstiziale cronica la biopsia renale non viene eseguita spesso a fini diagnostici. Tuttavia, se vi è preoccupazione per diagnosi alternative, potrebbe essere eseguita. I glomeruli variano da una situazione di normalità fino alla distruzione completa. I tubuli possono essere assenti o atrofizzati. I lumi tubulari variano in diametro, ma possono mostrare una marcata dilatazione con formazione di cilindri omogenei. L'interstizio contiene gradi variabili di cellule infiammatorie e fibrosi. Le aree non cicatrizzate appaiono quasi normali. Macroscopicamente, i reni sono piccoli e atrofici.

Trattamento della nefrite tubulointerstiziale

  • Trattamento della causa (p. es., sospensione del farmaco responsabile)

  • Corticosteroidi per la nefrite tubulointerstiziale immuno-mediata acuta e talvolta farmaco-indotta

Il trattamento sia della nefrite tubulointerstiziale acuta che della nefrite tubulointerstiziale cronica consiste nella gestione della causa.

Nelle forme immunologicamente indotte di nefrite tubulointerstiziale acuta e, a volte, nelle forme indotte da farmaci di nefrite tubulointerstiziale acuta i corticosteroidi (p. es., prednisone 1 mg/kg per via orale 1 volta/die con graduale riduzione della dose in 4-6 settimane) possono accelerare il recupero.

Per la nefrite tubulointerstiziale acuta farmaco-indotta, i corticosteroidi sono più efficaci quando somministrati entro 2 settimane dalla sospensione dei farmaci responsabili. La nefrite tubulointerstiziale acuta indotta da FANS è meno sensibile ai corticosteroidi rispetto all'altra nefrite tubulointerstiziale acuta farmaco-indotta. La nefrite tubulointerstiziale acuta deve essere confermata tramite biopsia prima di poter avviare il trattamento a base di corticosteroidi.

Il trattamento della nefrite tubulointerstiziale cronica spesso richiede misure di supporto quali il controllo della pressione arteriosa e il trattamento dell'anemia associata alla malattia renale. Nei pazienti affetti da nefrite tubulointerstiziale cronica e danno renale progressivo, gli ACE-inibitori o gli inibitori dei recettori dell'angiotensina II possono rallentare la progressione della malattia ma non devono essere utilizzati insieme a causa del rischio aggiuntivo di ipercalemia e dell'accelerazione della progressione della malattia.

Consigli ed errori da evitare

  • Nei pazienti con nefrite tubulointerstiziale cronica, gli inibitori dell'enzima di conversione dell'angiotensina (ACE) e gli inibitori dei recettori dell'angiotensina II (ARBs) non devono essere usati insieme a causa del rischio aggiuntivo di iperkaliemia e dell'accelerazione della progressione della malattia.

Prognosi della nefrite tubulointerstiziale

Nefrite tubulointerstiziale acuta

Nella nefrite tubulointerstiziale acuta indotta da farmaci, la funzione renale di solito si ristabilisce entro 6-8 settimane quando il farmaco responsabile viene sospeso, sebbene sia frequente qualche sequela residua. La guarigione può essere incompleta, con persistenza di iperazotemia. La prognosi è di solito peggiore se la nefrite tubulointerstiziale acuta è causata da FANS che con altri farmaci. Quando altri fattori causano la nefrite tubulointerstiziale acuta, le alterazioni istologiche sono solitamente reversibili se la causa viene riconosciuta e rimossa; tuttavia, alcuni casi gravi progrediscono fino alla fibrosi e all'insufficienza renale cronica. Indipendentemente dalla causa, un danno irreversibile è suggerito dai seguenti:

  • Infiltrato interstiziale diffuso piuttosto che parcellare

  • Significativa fibrosi interstiziale

  • Ritardata risposta al prednisone

  • Danno renale acuto della durata di > 3 settimane

Nefrite tubulointerstiziale cronica

Nella nefrite tubulointerstiziale cronica, la prognosi dipende dalla causa e dalla capacità di riconoscere e interrompere il processo prima che si instauri una fibrosi irreversibile. Molte cause genetiche (p. es., malattia cistica renale), metaboliche (p. es., cistinosi) e tossiche (p. es., precedente esposizione a metalli pesanti) possono non essere modificabili, nel qual caso la nefrite tubulointerstiziale cronica generalmente evolve verso l'insufficienza renale terminale.

Punti chiave

  • Le cause di nefrite tubulointerstiziale cronica sono molteplici e molto più diversificate rispetto a quelle di nefrite tubulointerstiziale acuta che di solito è causata da una reazione allergica, da un farmaco o da un'infezione.

  • I sintomi sono spesso assenti o non specifici, in particolare per la nefrite tubulointerstiziale cronica.

  • La diagnosi va sospettata basandosi sui fattori di rischio e sui reperti del sedimento urinario, una volta escluse altre cause utilizzando la diagnostica per immagini, e talvolta tale diagnosi va confermata mediante la biopsia.

  • Sarà necessario sospendere i farmaci responsabili, trattare qualsiasi altra eventuale causa ed avviare un trattamento di supporto.

  • La nefrite tubulointerstiziale acuta immuno-mediata, e talvolta anche quella farmaco-indotta, una volta confermata la diagnosi tramite biopsia, andranno trattate con corticosteroidi (entro 2 settimane dalla sospensione dei farmaci responsabili).

quizzes_lightbulb_red
Test your KnowledgeTake a Quiz!
IOS ANDROID
IOS ANDROID
IOS ANDROID