Sarcoidosi

DiBirendra P. Sah, MD, FCCP, Upstate Medical University
Reviewed ByRichard K. Albert, MD, Department of Medicine, University of Colorado Denver - Anschutz Medical
Revisionato/Rivisto Modificata feb 2025
v920669_it
Visualizzazione l’educazione dei pazienti

La sarcoidosi è una malattia infiammatoria caratterizzata dalla presenza di granulomi non caseosi in uno o più organi o tessuti; l'eziologia è sconosciuta. I polmoni e il sistema linfatico sono gli organi colpiti il più delle volte, ma la sarcoidosi può interessare qualsiasi organo. La sintomatologia respiratoria è varia: il paziente può essere asintomatico o presentare tosse, dispnea da sforzo; raramente, insufficienza respiratoria o insufficienza d'organo. Generalmente l'ipotesi diagnostica viene inizialmente sospettata per l'interessamento polmonare all'imaging del torace (radiografia o TC) e confermata dalla biopsia e dall'esclusione di altre cause di infiammazione granulomatosa. Il decorso clinico della sarcoidosi è eterogeneo e imprevedibile. La maggior parte dei pazienti è asintomatica al momento della diagnosi e va in remissione senza trattamento. Il trattamento è di solito indicato nei pazienti sintomatici. Il trattamento di prima linea è costituito dai corticosteroidi. La prognosi è favorevole per la malattia limitata, ma diventa infausta per la malattia avanzata.

Epidemiologia della sarcoidosi

La sarcoidosi colpisce più frequentemente persone di età compresa tra i 20 i 40 anni, occasionalmente colpisce bambini e anziani. La sarcoidosi ha una distribuzione mondiale, ma la prevalenza è maggiore tra gli afroamericani e nelle etnie del Nord Europa, specialmente quella scandinava. Le manifestazioni d'esordio della malattia variano enormemente in base ai fattori razziali ed etnici; gli afroamericani presentano più frequentemente manifestazioni extratoraciche (1). La prevalenza della sarcoidosi è leggermente maggiore nelle donne.

Riferimento epidemiologico

  1. 1. Baughman RP, Field S, Costabel U, et al. Sarcoidosis in America. Analysis Based on Health Care Use. Ann Am Thorac Soc 2016;13(8):1244-1252. doi:10.1513/AnnalsATS.201511-760OC

Eziologia della sarcoidosi

Si ritiene che la sarcoidosi sia dovuta a una risposta infiammatoria esagerata a determinati fattori scatenanti antigenici in una persona geneticamente predisposta (1, 2). I trigger proposti comprendono

  • Agenti infettivi: Propionibacterium acnes e micobatteri (potenzialmente l'enzima catalasi-perossidasi [mKatG] del Mycobacterium tuberculosis)

  • Esposizioni ambientali: muffe o funghi e alcune sostanze non identificate (organiche e inorganiche) presenti nei luoghi di lavoro con odori di muffa

  • Occupational exposures: Employment in metal (beryllium), agricultural and pesticide-using industries,ship workers, fire fighters and rescue workers who responded to the attacks on the World Trade Center (3)

L'uso del tabacco è inversamente correlato alla sarcoidosi (2).

Le prove che suggeriscono una suscettibilità genetica includono le seguenti (4):

  • Più alto tasso di concordanza della malattia in gemelli monozigoti rispetto ai dizigoti

  • Aumentata prevalenza della sarcoidosi tra i parenti di primo o secondo grado di pazienti affetti da sarcoidosi

  • Marcato aumento del rischio relativo di sviluppare sarcoidosi nei fratelli di pazienti con sarcoidosi

  • Identificazione di diversi potenziali geni HLA (antigene leucocitario umano) e non HLA associati al rischio, all'evoluzione e al fenotipo della sarcoidosi

Per esempio, l'aplotipo HLA-DRB1*03/DQB1*02 è associato alla sindrome di Löfgren e predice una prognosi eccellente, in contrasto con l'HLA-DRB1*15/HLADQB1*0602, che predice una malattia persistente.

Riferimenti relativi all'eziologia

  1. 1. Chen ES, Moller DR. Etiologies of Sarcoidosis. Clin Rev Allergy Immunol 2015;49(1):6-18. doi:10.1007/s12016-015-8481-z

  2. 2. Newman LS, Rose CS, Bresnitz EA, et al. A case control etiologic study of sarcoidosis: environmental and occupational risk factors. Am J Respir Crit Care Med 2004;170(12):1324-1330. doi:10.1164/rccm.200402-249OC

  3. 3. Newman KL, Newman LS. Occupational causes of sarcoidosis. Curr Opin Allergy Clin Immunol 2012;12(2):145-150. doi:10.1097/ACI.0b013e3283515173

  4. 4. Iannuzzi MC. Advances in the genetics of sarcoidosis. Proc Am Thorac Soc 2007;4(5):457-460. doi:10.1513/pats.200606-136MS

Fisiopatologia della sarcoidosi

L'antigene sconosciuto scatena una risposta immunitaria cellulo-mediata caratterizzata dall'accumulo di cellule T e macrofagi, rilascio di citochine e chemochine, tra cui il fattore di necrosi tumorale alfa (TNF-alfa), e organizzazione delle cellule attivate in granulomi (1, 2). La presenza in alcune famiglie o comunità di gruppi di malati suggerisce una predisposizione genetica, un'esposizione comune o, meno probabilmente, una trasmissione interpersonale.

Il processo infiammatorio porta alla formazione di granulomi non caseosi, segno patognomonico della sarcoidosi. I granulomi sono gruppi di cellule mononucleate e macrofagi che si differenziano in cellule epitelioidi e in cellule giganti multinucleate e sono circondate da linfociti, plasmacellule, fibroblasti e collagene. I granulomi si formano in genere nei polmoni e linfonodi, ma possono coinvolgere qualsiasi organo e causare disfunzioni significative. I granulomi nel polmone sono distribuiti lungo i vasi linfatici, maggiormente nelle regioni peribronchiolari, sottopleuriche e perilobulari. L'accumulo di granuloma distorce l'architettura degli organi colpiti. I granulomi sarcoidali possono persistere, risolversi o portare alla fibrosi. Non è noto se i granulomi conducano direttamente alla fibrosi o seguano un corso parallelo.

L'ipercalcemia può manifestarsi per via dell'incremento della conversione di vitamina D nella forma attiva (1,25 idrossi vitamina D) da parte dei macrofagi. L'ipercalciuria può essere presente anche in pazienti con normali livelli sierici di calcio. Possono verificarsi nefrolitiasi e nefrocalcinosi, portando talvolta a malattia renale cronica.

Riferimenti relativi alla fisiopatologia

  1. 1. Baughman RP, Culver DA, Judson MA. A concise review of pulmonary sarcoidosis. Am J Respir Crit Care Med 2011;183(5):573-581. doi:10.1164/rccm.201006-0865CI

  2. 2. Soler P, Basset F. Morphology and distribution of the cells of a sarcoid granuloma: ultrastructural study of serial sections. Ann N Y Acad Sci 1976;278:147-160. doi:10.1111/j.1749-6632.1976.tb47026.x

Sintomatologia della sarcoidosi

I sintomi e i segni clinici dipendono dalla sede e dal grado di interessamento e variano nel tempo, passando dalla remissione spontanea a una malattia cronica ad andamento torpido. Di conseguenza, sono necessarie frequenti rivalutazioni in caso di nuovi sintomi e coinvolgimento di organi diversi. Probabilmente la maggior parte dei casi è asintomatica e quindi non viene identificata. La localizzazione polmonare è presente in > 90% dei pazienti adulti con sarcoidosi (1, 2).

La sintomatologia può comprendere dispnea, tosse, dolore toracico e fini crepitii (3). Astenia, malessere, debolezza, inappetenza, dimagrimento e febbricola sono altrettanto frequenti. La sarcoidosi può manifestarsi con febbre di origine sconosciuta.

L'interessamento sistemico è causa di vari sintomi (vedi tabella Coinvolgimento sistemico nella sarcoidosi), che variano in base alla razza, al sesso e all'età. I pazienti di colore presentano più frequentemente, rispetto alla popolazione bianca, interessamento oculare, epatico, cutaneo, midollare e linfonodale; mentre l'eritema nodoso è un'eccezione. Le donne presentano più frequentemente l'eritema nodoso e il coinvolgimento oculare o del sistema nervoso. Gli uomini e i pazienti anziani sono più frequentemente ipercalcemici.

Tabella
Tabella
Sarcoidosi (dacriocistite)
Nascondi dettagli

Questa immagine mostra la dacriocistite che si manifesta con un'infiammazione del lobo palpebrale delle ghiandole lacrimali in entrambe le palpebre superiori in un paziente con sarcoidosi.

© Springer Science+Business Media
Alcune manifestazioni della sarcoidosi cutanea
Sarcoidosi cutanea (placche)
Sarcoidosi cutanea (placche)

Questa foto mostra placche facciali eritematose in un paziente con sarcoidosi.

Questa foto mostra placche facciali eritematose in un paziente con sarcoidosi.

© Springer Science+Business Media

Eritema nodoso
Eritema nodoso

Questa foto mostra i caratteristici noduli sottocutanei dolenti, eritematosi, sugli stinchi di un paziente con eritema nodoso.

Questa foto mostra i caratteristici noduli sottocutanei dolenti, eritematosi, sugli stinchi di un paziente con eritema

... maggiori informazioni

Foto fornita da Thomas Habif, MD.

Sarcoidosi cutanea (lupus pernio)
Sarcoidosi cutanea (lupus pernio)

Questa foto mostra placche violacee sul naso di un paziente con sarcoidosi.

Questa foto mostra placche violacee sul naso di un paziente con sarcoidosi.

© Springer Science+Business Media

Sarcoidosi cutanea (nodulare)
Sarcoidosi cutanea (nodulare)

Questa immagine mostra noduli della pelle in un paziente con sarcoidosi.

Questa immagine mostra noduli della pelle in un paziente con sarcoidosi.

Image courtesy of Karen McKoy, MD.

Sarcoidosi cutanea (papulare)
Sarcoidosi cutanea (papulare)

Questa immagine mostra papule multiple sulle labbra di un paziente con sarcoidosi.

Questa immagine mostra papule multiple sulle labbra di un paziente con sarcoidosi.

Image courtesy of Karen McKoy, MD.

Sarcoidosi cutanea (ipopigmentazione)
Sarcoidosi cutanea (ipopigmentazione)

Aree ipopigmentate e noduli sottocutanei in un paziente con sarcoidosi.

Aree ipopigmentate e noduli sottocutanei in un paziente con sarcoidosi.

Image courtesy of Karen McKoy, MD.

Sindrome di Löfgren

La sindrome di Löfgren si presenta clinicamente con triade poliartrite acuta migratoria, eritema nodoso e adenopatia ilare (3). Possono essere presenti anche febbre, malessere, uveite e parotite. La sindrome di Löfgren è più frequente tra le persone di origine europea. La sindrome Löfgren è autolimitante. I pazienti di solito possono essere trattati con i FANS da soli. Il tasso di recidiva è basso.

Sindrome di Heerfordt

La sindrome di Heerfordt (febbre uveoparotidica) si manifesta come gonfiore della ghiandola parotide (a causa di infiltrazioni di sarcoide), uveite, febbre cronica e meno frequentemente paralisi del nervo facciale. La sindrome di Heerfordt può essere autolimitante. Il trattamento è simile a quello previsto per la sarcoidosi.

Sindrome di Blau

La sindrome di Blau è una malattia simil-sarcoidosi ereditaria trasmessa con modalità autosomica dominante che si manifesta nei bambini. Non è noto se la sindrome di Blau si manifesti attraverso lo stesso meccanismo della sarcoidosi diagnosticata negli adulti. Nella sindrome di Blau, i bambini manifestano prima dei 4 anni artrite, rash e uveite. La sindrome di Blau è spesso autolimitante. I sintomi di solito sono controllati con i FANS.

Riferimenti relativi alla sintomatologia

  1. 1. Baughman RP, Teirstein AS, Judson MA, et al. Clinical characteristics of patients in a case control study of sarcoidosis. Am J Respir Crit Care Med 2001;164(10 Pt 1):1885-1889. doi:10.1164/ajrccm.164.10.2104046

  2. 2. Iannuzzi MC, Fontana JR. Sarcoidosis: clinical presentation, immunopathogenesis, and therapeutics. JAMA 2011;305(4):391-399. doi:10.1001/jama.2011.10

  3. 3. Carmona EM, Kalra S, Ryu JH. Pulmonary Sarcoidosis: Diagnosis and Treatment. Mayo Clin Proc 2016;91(7):946-954. doi:10.1016/j.mayocp.2016.03.004

Diagnosi della sarcoidosi

  • Imaging del torace

  • Biopsia

  • Esclusione di altre cause di malattie granulomatose

La sarcoidosi è il più delle volte sospettata quando un'adenopatia ilare, con o senza infiltrati polmonari, viene rilevata incidentalmente alla radiografia del torace. L'adenopatia ilare bilaterale rappresenta l'anomalia più frequente.

Se si sospetta la sarcoidosi, un RX torace deve essere il primo esame, se non è già stato eseguito (1). L'aspetto RX tende a predire la probabilità di remissione spontanea della sarcoidosi polmonare (vedi tabella Stadiazione della sarcoidosi tramite RX torace). Tuttavia, la stadiazione della sarcoidosi sulla base della RX torace può essere fuorviante per quanto riguarda la valutazione della gravità della malattia; per esempio, la sarcoidosi extrapolmonare, come la sarcoidosi cardiaca o neurologica può indicare una prognosi sfavorevole in assenza di evidenza di coinvolgimento polmonare. Inoltre, i risultati della RX torace non sono ben correlati con i test di funzionalità polmonare e quindi potrebbero non indicare accuratamente la gravità della sarcoidosi polmonare.

Tabella
Tabella

Una RX torace normale (fase 0) non esclude la diagnosi di sarcoidosi, in particolare quando si sospetta il coinvolgimento cardiaco o neurologico. Una TC ad alta risoluzione è più sensibile per identificare linfoadenopatia ilare e mediastinica e anomalie parenchimali. L'interessamento parenchimale polmonare è prevalentemente a carico dei lobi superiori, ma può essere presente in qualsiasi parte dei polmoni. I reperti TC (vedi anche immagine TC del torace nella sarcoidosi polmonare) in stadi più avanzati (da II a IV) comprendono i seguenti:

  • Ispessimento dei fasci broncovascolari e delle pareti bronchiali

  • Bordatura dei setti interlobulari

  • Opacità a vetro smerigliato

  • Noduli, cisti o cavità parenchimali

  • Bronchiectasie da trazione

Imaging nella sarcoidosi
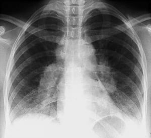
Sarcoidosi (stadio I)
Sarcoidosi (stadio I)

Adenopatia ilare bilaterale nella sarcoidosi di stadio I.

Adenopatia ilare bilaterale nella sarcoidosi di stadio I.

By permission of the publisher. Da Tanoue L, Elias J. In Bone's Atlas of Pulmonary and Critical Care Medicine. Edited by J Crapo. Philadelphia, Current Medicine, 2005.

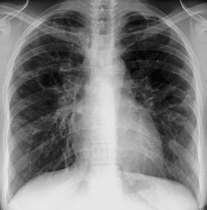
Sarcoidosi (stadio II)
Sarcoidosi (stadio II)

Adenopatie ilari bilaterali con opacità interstiziali nella sarcoidosi al II stadio.

Adenopatie ilari bilaterali con opacità interstiziali nella sarcoidosi al II stadio.

By permission of the publisher. Da Tanoue L, Elias J. In Bone's Atlas of Pulmonary and Critical Care Medicine. Edited by J Crapo. Philadelphia, Current Medicine, 2005.

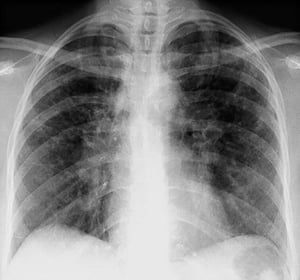
Sarcoidosi (stadio III)
Sarcoidosi (stadio III)

Opacità interstiziali diffuse senza adenopatia ilare nello stadio III della sarcoidosi.

Opacità interstiziali diffuse senza adenopatia ilare nello stadio III della sarcoidosi.

By permission of the publisher. Da Tanoue L, Elias J. In Bone's Atlas of Pulmonary and Critical Care Medicine. Edited by J Crapo. Philadelphia, Current Medicine, 2005.

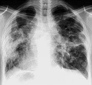
Sarcoidosi (stadio IV)
Sarcoidosi (stadio IV)

Grave fibrosi diffusa con adenopatia ilare e alterazioni cistiche dei lobi superiori nella sarcoidosi allo stadio IV.

Grave fibrosi diffusa con adenopatia ilare e alterazioni cistiche dei lobi superiori nella sarcoidosi allo stadio IV.

By permission of the publisher. From: Tanoue L, Elias J. In Bone's Atlas of Pulmonary and Critical Care Medicine. Edited by J Crapo. Philadelphia, Current Medicine, 2005.

TC del torace nella sarcoidosi polmonare
TC del torace nella sarcoidosi polmonare

Questa TC ad alta risoluzione del torace di un paziente con sarcoidosi polmonare mostra ispessimento dei fasci broncovascolari e perline dei setti interlobulari.

Questa TC ad alta risoluzione del torace di un paziente con sarcoidosi polmonare mostra ispessimento dei fasci broncova

... maggiori informazioni

Image courtesy of Birendra P. Sah, MD, FCCP.

Quando la radiologia suggerisce la sarcoidosi, la diagnosi è confermata dal riscontro bioptico di granulomi non caseosi e dall'esclusione delle altre cause di malattia granulomatosa (vedi tabella Diagnosi differenziale della sarcoidosi). Finché il paziente non presenta fattori di rischio che suggeriscono una tubercolosi, la sindrome di Löfgren di solito non richiede la conferma mediante biopsia.

Perciò la valutazione diagnostica implica quanto segue (1):

  • Selezione di un sito per la biopsia

  • Esclusione delle altre cause di patologia granulomatosa

  • Valutazione della gravità e dell'estensione della malattia per determinare se la terapia è indicata

Tabella
Tabella

Siti per la biopsia

L'esame obiettivo e la valutazione iniziale possono individuare le sedi idonee per la biopsia; i linfonodi periferici, le lesioni cutanee e la congiuntiva sono sedi facilmente accessibili. L'agoaspirato transbronchiale con guida ecografica endobronchiale (EBUS-TBNA) di un linfonodo mediastinico o ilare ha un successo diagnostico di circa il 90% ed è la procedura diagnostica di scelta nei pazienti con coinvolgimento intratoracico (2).

Quando si sospetta una sarcoidosi polmonare e che la biopsia endobronchiale ecoguidata e l'agoaspirato transbronchiale non sono diagnostici, può essere effettuata una biopsia polmonare transbronchiale broncoscopica con lavaggio broncoalveolare. Può anche essere utilizzata in pazienti senza infiltrati parenchimali polmonari perché la resa diagnostica per la biopsia polmonare transbronchiale nella sarcoidosi allo stadio I è di circa il 50% (3). Se la biopsia transbronchiale per via broncoscopica non risulta diagnostica, può essere ripetuta.

Se l'agoaspirato transbronchiale ecoguidato (EBUS-TBNA) e le biopsie transbronchiali per via broncoscopica non risultano diagnostici o se la broncoscopia non può essere tollerata, si può eseguire una mediastinoscopia per biopsiare i linfonodi mediastinici o ilari, oppure si può effettuare una biopsia polmonare tramite toracoscopia video-assistita (VAT) o una biopsia polmonare a cielo aperto per ottenere tessuto polmonare. Se c'è un forte sospetto di sarcoidosi, in assenza di un sito idoneo per biopsia evidenziabile all'esame clinico o tramite tecniche di imaging, la PET (positron emission tomography) può aiutare a identificare siti attivi occulti come osso, muscolo, fegato e milza.

Esclusione di altre diagnosi

È estremamente importante escludere le altre diagnosi, specie quando i sintomi e i segni radiologici sono sfumati, poiché molte altre malattie e condizioni cliniche possono provocare un'infiammazione granulomatosa (vedi tabella Diagnosi differenziale della sarcoidosi). Il tessuto bioptico deve essere coltivato per la ricerca di funghi e micobatteri. Si deve valutare con l'anamnesi l'esposizione ad antigeni professionali (p. es., silicati, berillio), ambientali (fieno ammuffito, volatili e altri antigeni scatenanti polmoniti da ipersensibilità) e infettivi (p. es., tubercolosi, coccidioidomicosi, istoplasmosi). Si deve eseguire precocemente il test cutaneo alla tubercolina o il test di rilascio di interferone gamma.

Valutazione della gravità della malattia

La gravità viene valutata in base al coinvolgimento di un organo, quindi, ad esempio, con il solo coinvolgimento polmonare

  • Prove di funzionalità respiratoria

Negli stadi precoci le prove di funzionalità respiratoria sono spesso normali, ma nella malattia avanzata mostrano un difetto restrittivo e una ridotta capacità di diffusione del monossido di carbonio (DLCO). Si può verificare anche un'ostruzione al flusso aereo, possibile segno di interessamento della mucosa bronchiale. L'aggiunta di un test del cammino di 6 minuti può fornire una valutazione più completa della compromissione funzionale rispetto ai soli risultati delle prove di funzionalità respiratoria. I pazienti con un ampio coinvolgimento polmonare possono avere una normale saturazione di ossigeno a riposo, ma possono mostrare desaturazione durante lo sforzo.

I test di screening di routine raccomandati per la malattia extrapolmonare comprendono:

  • ECG basale a 12 derivazioni, ecocardiografia e monitoraggio Holter solo in caso di sintomi di palpitazione o sincope

  • Esame oftalmologico con lampada a fessura

  • Esami del sangue di routine per valutare la funzionalità renale ed epatica

  • Livelli di calcio sierici ed escrezione urinaria di calcio nelle 24 h

  • Emocromo completo con formula

Diagnostica per immagini

L'imaging è spesso necessario per rilevare la sarcoidosi extrapolmonare.

La RM cardiaca con o senza gadolinio può essere opportuna nei pazienti con sintomi cardiaci.

Nei pazienti con sintomi neurologici, la RM cerebrale o spinale con o senza gadolinio può essere necessaria.

L'elettromiografia può essere appropriata in pazienti con sintomi di neuropatia periferica.

La PET sembra essere il test più sensibile per la rilevazione della sarcoidosi ossea e delle altre forme extrapolmonari e viene utilizzato insieme alla RM in pazienti con coinvolgimento cardiaco.

La TC addominale con mezzi di contrasto non è raccomandata routinariamente, ma può evidenziare il coinvolgimento epatico o splenico (p. es., aumento di volume e lesioni ipodense).

La scintigrafia total body con gallio è stata ampiamente sostituita dalla PET. Se disponibile, la scintigrafia con gallio può fornire un utile supporto in assenza della conferma istologica. L'aumentata e simmetrica captazione da parte dei linfonodi mediastinici e ilari (segno del lambda) e delle ghiandole lacrimali, parotidee e salivari (segno del panda), suggeriscono fortemente la sarcoidosi. Un risultato negativo in pazienti che assumono prednisone è poco affidabile.

Esami di laboratorio

Gli esami di laboratorio svolgono un ruolo complementare nello stabilire la diagnosi e nel determinare l'estensione del coinvolgimento d'organo.

L'emocromo completo con formula può mostrare anemia, eosinofilia, leucopenia o trombocitopenia. Il calcio sierico deve essere dosato per individuare ipercalcemia.

L'azotemia, la creatininemia e gli esami epatici possono risultare alterati nella sarcoidosi renale ed epatica. Le proteine totali possono essere elevate a causa di un'ipergammaglobulinemia.

L'aumento della velocità di eritrosedimentazione (VES) e della proteina C-reattiva è frequente, ma aspecifico. In un paziente con anamnesi positiva per calcoli renali, per escludere un'ipercalciuria, anche se la calcemia è normale, è consigliato dosare il calcio in un campione di urine delle 24 h.

Anche elevati livelli sierici di ACE suggeriscono la sarcoidosi ma non sono specifici e possono presentarsi elevati in pazienti con altre condizioni (p. es., ipertiroidismo, diabete, malattia di Gaucher, silicosi, micobatteriosi, infezioni fungine, polmonite da ipersensibilità, linfoma). I livelli dell'enzima di conversione dell'angiotensina (ACE), se elevati, possono essere utili per seguire l'aderenza alla terapia cortisonica. I livelli di ACE diminuiscono drasticamente anche quando i pazienti assumono corticosteroidi a basso dosaggio.

Lavaggio broncoalveolare

Il lavaggio broncoalveolare deve essere eseguito insieme alla biopsia broncoscopica per escludere sospetti di infezioni (p. es., quando i risultati con mezzi meno invasivi come l'imaging non sono tipici della sarcoidosi) e per escludere altre forme di malattia polmonare interstiziale se la diagnosi di sarcoidosi è dubbia. I dati ottenuti sul liquido di lavaggio broncoalveolare sono variabili, ma il riscontro di una linfocitosi (linfociti > 15%) e/o un rapporto CD4+/CD8+> 3,5 nelle cellule del lavaggio broncoalveolare suggeriscono la diagnosi, in un contesto clinico appropriato. Tuttavia, l'assenza di questi reperti non esclude la sarcoidosi.

Riferimenti relativi alla diagnosi

  1. 1. Crouser ED, Maier LA, Wilson KC, et al. Diagnosis and Detection of Sarcoidosis. An Official American Thoracic Society Clinical Practice Guideline. Am J Respir Crit Care Med 2020;201(8):e26-e51. doi:10.1164/rccm.202002-0251ST

  2. 2. Tremblay A, Stather DR, MacEachern P, Khalil M, Field SK. A randomized controlled trial of standard vs endobronchial ultrasonography-guided transbronchial needle aspiration in patients with suspected sarcoidosis. Chest 2009;136(2):340-346. doi:10.1378/chest.08-2768

  3. 3. Akten HS, Kilic H, Celik B, et al. Diagnostic Yield of Transbronchial Biopsy in Comparison to High Resolution Computerized Tomography in Sarcoidosis Cases. Asian Pac J Cancer Prev 2018;19(4):1029-1033. doi:10.22034/APJCP.2018.19.4.1029

Trattamento della sarcoidosi

  • Farmaci antinfiammatori non steroidei (FANS)

  • Corticosteroidi

  • Altri immunosoppressori

  • Anticorpi contro il fattore di necrosi antitumorale

Poiché la sarcoidosi si risolve spesso spontaneamente, i pazienti asintomatici e quelli con una sintomatologia lieve non necessitano di un trattamento, anche se devono essere costantemente monitorati per rilevare i segni di un peggioramento. Questi pazienti possono essere seguiti con periodici controlli che includono l'RX torace, le prove di funzionalità respiratoria (compresa la capacità di diffusione) e i marker di interessamento extratoracico (p. es., test della funzionalità renale ed epatica, esame oftalmologico annuale con lampada a fessura). La frequenza dei controlli è determinata dalla gravità della malattia.

I pazienti che richiedono un trattamento a prescindere dallo stadio della RX torace comprendono quelli con:

  • Peggioramento dei sintomi

  • Limitazione delle attività

  • Funzionalità polmonare fortemente alterata o in peggioramento

  • Alterazioni radiologiche significative (p. es., escavazione, fibrosi, masse conglomerate, segni di ipertensione polmonare)

  • Interessamento del cuore, del sistema nervoso o degli occhi

  • Insufficienza renale o epatica

  • Ipercalcemia da moderata a grave

  • Lesioni cutanee permanenti (p. es., lupus pernio) o disturbi articolari

L'ipercalcemia lieve può essere trattata con una dieta a basso contenuto di calcio, idratazione e riducendo al minimo l'esposizione alla luce solare.

I FANS sono usati per trattare l'eritema nodoso e il lieve fastidio muscolo-scheletrico.

Corticosteroidi

La gestione dei sintomi di solito inizia con i corticosteroidi (1). La presenza di anomalie all'imaging del torace senza sintomi significativi o evidenza di declino della funzione dell'organo non è un'indicazione per il trattamento.

Un protocollo standard prevede la somministrazione di prednisone dai 20 ai 40 mg per via orale 1 volta/die, in base alla sintomatologia e alla gravità obiettivata. Possono essere utilizzati regimi a giorni alterni: p. es., prednisone 40 mg per via orale 1 volta a giorni alterni. Sebbene i pazienti richiedano raramente dosaggi > 40 mg/die, dosi maggiori possono essere necessarie per ridurre le complicanze in caso di malattia neurologica o cardiaca severa.

Di solito la risposta si verifica entro 6-12 settimane e quindi la rivalutazione dei sintomi, altri marker di gravità della malattia e dei risultati delle prove di funzionalità polmonare può essere ripetuta fra le 6 e le 12 settimane. I casi cronici subdoli possono rispondere con maggior lentezza. Con il riscontro di effetti positivi della terapia, la terapia corticosteroidea viene ridotta alla dose di mantenimento (p. es., prednisone 10-15 mg/die) che viene poi continuata per almeno 6-9 mesi supplementari in caso di miglioramento.

La durata ottimale del trattamento non è nota. Una riduzione prematura della dose può provocare una ricaduta. In caso di risposta assente o dubbia, il farmaco viene sospeso gradualmente. Alla fine è possibile sospendere i corticosteroidi nella maggior parte dei pazienti, ma dato che la percentuale di ricadute arriva fino al 50%, i controlli devono essere ripetuti, di solito ogni 3-6 mesi. Il trattamento con corticosteroidi dev'essere ripreso in caso di recidiva della sintomatologia. Dal momento che la produzione di ACE (angiotensin-converting enzyme) viene soppressa con basse dosi di corticosteroidi, il dosaggio dei livelli sierici di ACE può essere utile per valutare l'aderenza al trattamento con corticosteroidi nei pazienti in cui sono noti alti livelli di ACE di partenza.

I corticosteroidi per via inalatoria possono alleviare la tosse nei pazienti con coinvolgimento endobronchiale. Un broncodilatatore per via inalatoria può essere aggiunto in pazienti con malattia ostruttiva delle vie aeree.

I corticosteroidi topici possono essere utili nei disturbi dermatologici, dei seni nasali ed oculari.

La profilassi contro le polmoniti da Pneumocystis jirovecii è raccomandata mentre i pazienti assumono > 20 mg di prednisone al giorno o il suo equivalente per più di un mese e per quelli che stanno assumendo immunosoppressori.

L'alendronato o un altro bisfosfonato possono essere il trattamento di scelta per la prevenzione dell'osteoporosi indotta dai corticosteroidi nelle persone a rischio (p. es., pazienti anziani). L'uso di integratori di calcio o di vitamina D comporta un rischio di ipercalcemia dovuta alla produzione endogena di vitamina D attiva (1,25 diidrossi-vitamina D) da parte dei granulomi sarcoidali. Le misurazioni del calcio sierico e urinario nelle 24 h devono essere normali prima di iniziare l'assunzione di tali integratori.

Consigli ed errori da evitare

  • La presenza di anomalie agli esami radiologici del torace senza sintomi significativi o evidenza di declino della funzione degli organi non è un'indicazione per il trattamento con corticosteroidi.

Altri immunosoppressori

Altri immunosoppressori sono utilizzati quando

  • I pazienti non possono tollerare il prednisone

  • La sarcoidosi è refrattaria a dosi da moderate a elevate di prednisone

  • La dose di prednisone non può essere ridotta al di sotto dei 10-15 mg/die dopo 3 mesi

Prima di aggiungere altri immunosoppressori, si devono considerare le possibili ragioni della mancanza di miglioramento clinico, come l'inadempienza, la comorbilità (p. es., asma, insufficienza cardiaca, anemia), ipertensione polmonare e la fibrosi allo stadio terminale. 

Il metotrexato è l'immunosoppressore più comunemente uilizzato. I pazienti devono ricevere un ciclo di 6 mesi di metotrexato da 10 a 15 mg/settimana. Prima di iniziare il metotrexato, i pazienti devono essere testati per l'infezione da virus dell'epatite B e dal virus dell'epatite C.

All'inizio, il metotrexato e i corticosteroidi vengono somministrati insieme; la dose del corticosteroide può essere ridotta nel corso di 6-8 settimane e, in molti casi, può essere sospesa. La risposta massima al metotrexato, comunque, si può avere a 6-12 mesi. In tal caso, il prednisone deve essere scalato più lentamente. Si devono controllare serialmente l'emocromo e gli enzimi epatici, inizialmente ogni 2-4 settimane e poi, raggiunto un dosaggio stabile, ogni 6-12 settimane. Nei pazienti trattati con metotrexato, viene raccomandata la terapia con acido folico (1 mg per via orale 1 volta/die) per ridurre il rischio di effetti avversi.

Altri immunosoppressori non biologici includono azatioprina, micofenolato, ciclofosfamide, leflunomide e idrossiclorochina. L'idrossiclorochina di solito è efficace per il trattamento dell'ipercalcemia, dell'artralgia, della sarcoidosi cutanea o dei linfonodi periferici ingrossati, fastidiosi o deturpanti. La valutazione oftalmologica si deve effettuare prima dell'inizio dell'idrossiclorochina e poi ogni 12 mesi durante il trattamento, per monitorare la sua tossicità oculare.

La recidiva è frequente dopo la sospensione di un immunosoppressore.

Inibitori del fattore di necrosi tumorale

L'infliximab viene solitamente usato per trattare la sarcoidosi refrattaria e per trattare i pazienti intolleranti sia ai corticosteroidi che ai suddetti immunosoppressori non biologici. Prima di iniziare la terapia, i pazienti devono avere un test di Mantoux o un test di rilascio dell'interferone gamma per lo screening di una tubercolosi latente. L'infliximab viene somministrato per via endovenosa e possono essere necessari fino a 3-6 mesi per la massima risposta. L'infliximab è di solito associato a basse dosi di metotrexato o di azatioprina per prevenire la formazione di anticorpi contro di esso.

L'adalimumab può essere preso in considerazione per i pazienti con sarcoidosi oculare o cutanea e per i pazienti che sono stati trattati con successo con l'infliximab ma hanno sviluppato anticorpi o reazioni all'infusione.

Altre considerazioni sul trattamento

I pazienti che presentano blocco cardiaco o aritmie ventricolari dovute al coinvolgimento cardiaco devono ricevere un defibrillatore cardiaco e pacemaker impiantabile oltre alla terapia farmacologica.

Gli antibiotici tetraciclinici come la doxiciclina o la minociclina possono essere provati per la sarcoidosi cutanea (2).

Nessuno dei farmaci disponibili si è dimostrato in grado di prevenire in modo significativo la fibrosi polmonare.

Il trattamento dell'ipertensione arteriosa polmonare associata alla sarcoidosi è di supporto con la diuresi e la somministrazione di ossigeno supplementare. Il ruolo dei vasodilatatori polmonari nel trattamento dell'ipertensione arteriosa polmonare associata alla sarcoidosi non è ben definito; alcuni piccoli studi hanno suggerito un'efficacia, ma sono necessari studi più ampi per confermarla (3).

Per i pazienti con interessamento polmonare, cardiaco o epatico terminale, una possibilità terapeutica è rappresentata dal trapianto d'organo, anche se la malattia si potrebbe ripresentare nell'organo trapiantato.

I pazienti con sarcoidosi che presentano una compromissione moderata o grave della funzione polmonare o cardiaca e che sono trattati con immunosoppressori sono a maggior rischio di sviluppare infezioni virali gravi (p. es., influenza, virus respiratorio sinciziale [VRS], COVID-19) e polmonite pneumococcica. La vaccinazione contro queste infezioni è fortemente raccomandata nei pazienti con sarcoidosi perché questi vaccini potrebbero ridurre la mortalità e la gravità della malattia.

Riferimenti relativi al trattamento

  1. 1. Baughman RP, Valeyre D, Korsten P, et al: ERS clinical practice guidelines on treatment of sarcoidosis. Eur Respir J 58(6):2004079, 2021. doi:10.1183/13993003.04079-2020

  2. 2. Bachelez H, Senet P, Cadranel J, Kaoukhov A, Dubertret L: The use of tetracyclines for the treatment of sarcoidosis. Arch Dermatol 137(1):69-73, 2001. doi:10.1001/archderm.137.1.69

  3. 3. Humbert M, Kovacs G, Hoeper MM, et al: 2022 ESC/ERS Guidelines for the diagnosis and treatment of pulmonary hypertension. Eur Respir J 61(1): 1-144, 2023. doi:10.1183/13993003.00879-2022

Prognosi della sarcoidosi

Sebbene la remissione spontanea sia comune, le manifestazioni e la gravità della malattia sono molto variabili, e molti pazienti richiedono corticosteroidi per alleviare i sintomi o rallentare il declino progressivo della funzione d'organo in qualche momento durante il decorso della malattia. Sono pertanto necessari controlli ripetuti per individuare le recidive. Quasi due terzi dei pazienti con sarcoidosi alla fine raggiungono la remissione con nessuna o poche sequele (1). In circa il 50% dei pazienti che presentano una remissione spontanea, questa si presenta in genere entro i 3 anni dalla diagnosi. Meno del 10% di questi pazienti recidiva dopo 2 anni. I pazienti che non hanno remissione entro 2 a 3 anni sono affetti verosimilmente dalla forma cronica.

Si pensa che la sarcoidosi sia cronica fino nel 30% dei pazienti e che il 10-20% di questi abbia delle sequele permanenti (1). La malattia è fatale in meno del 10% dei pazienti, in genere a causa di insufficienza respiratoria causata da complicanze polmonari seguita da grave coinvolgimento cardiaco (2). La cardiomiopatia infiltrativa che causa aritmie e insufficienza cardiaca è una causa comune di decesso.

La prognosi è peggiore nei pazienti con sarcoidosi extrapolmonare e per i pazienti neri.

I segni prognostici positivi comprendono

  • Sindrome di Löfgren (triade composta da poliartrite acuta, eritema nodoso e adenopatia ilare)

I segni prognostici negativi comprendono

  • Uveite cronica

  • Lupus pernio

  • Ipercalcemia cronica

  • Neurosarcoidosi

  • Coinvolgimento cardiaco

  • Coinvolgimento polmonare diffuso e/o sviluppo di ipertensione polmonare

Ci sono poche differenze dimostrabili nella prognosi a lungo termine tra i pazienti trattati e quelli non trattati e le recidive sono frequenti quando si interrompe il trattamento.

Riferimenti relativi alla prognosi

  1. 1. Iannuzzi MC, Rybicki BA, Teirstein AS. Sarcoidosis. N Engl J Med 2007;357(21):2153-2165. doi:10.1056/NEJMra071714

  2. 2. Drent M, Crouser ED, Grunewald J. Challenges of Sarcoidosis and Its Management. N Engl J Med 2021;385(11):1018-1032. doi:10.1056/NEJMra2101555

Punti chiave

  • Il coinvolgimento sistemico ed extrapolmonare sono comuni nella sarcoidosi, ma > 90% dei pazienti adulti presenta coinvolgimento polmonare.

  • Ottenere uno studio di imaging del torace ma confermare la diagnosi con la biopsia, di solito endobronchiale ecoguidata e l'agoaspirato transbronchiale di un linfonodo mediastinico o ilare.

  • Valutare la gravità polmonare con prove di funzionalità respiratoria e pulsossimetria durante l'esercizio fisico.

  • Indagini per coinvolgimento extrapolmonare con ECG, esame con lampada a fessura, test di funzionalità renale ed epatica, dosaggio sierico e urinario del calcio.

  • Trattare i pazienti con corticosteroidi per via sistemica quando indicato (p. es., sintomi gravi, ipercalcemia, progressiva disfunzione d'organo, coinvolgimento cardiaco o neurologico).

  • Trattare con altri immunosoppressori i pazienti che non possono tollerare dosi moderate di corticosteroidi, se la sarcoidosi è resistente ai corticosteroidi, o se i corticosteroidi sono necessari per un lungo periodo.

quizzes_lightbulb_red
Test your KnowledgeTake a Quiz!
iOS ANDROID
iOS ANDROID
iOS ANDROID