Il rene a spugna midollare consiste nella formazione di cisti midollari diffuse e bilaterali dovute ad anomalie dei dotti collettori pericaliceali terminali.
(Vedi anche Panoramica sulla malattia cistica renale.)
La causa del rene a spugna midollare è sconosciuta e la penetranza genetica è variabile (1, 2).
La maggior parte dei pazienti è asintomatica e la malattia rimane generalmente non diagnosticata. Predispone alla formazione di calcoli (spesso con secrezione aumentata del calcio urinario) e infezioni delle vie urinarie, per cui i sintomi più frequenti di esordio sono i seguenti:
Il rene a spugna midollare è una patologia benigna e la prognosi a lungo termine è eccellente. L'ostruzione da parte di calcoli renali può ridurre temporaneamente la velocità di filtrazione glomerulare e fare aumentare la creatinina sierica.
Riferimenti
1. Klemme L, Fish AJ, Rich S, Greenberg B, Senske B, Segall M. Familial ureteral abnormalities syndrome: genomic mapping, clinical findings. Pediatr Nephrol. 1998 Jun;12(5):349-56. doi: 10.1007/s004670050465. PMID: 9686951.
2. Goldman SH, Walker SR, Merigan TC Jr, Gardner KD Jr, Bull JM. Hereditary occurrence of cystic disease of the renal medulla. N Engl J Med. 1966 May 5;274(18):984-92. doi: 10.1056/NEJM196605052741802. PMID: 5909742.
Diagnosi del rene a spugna midollare
Urografia TC o endovenosa
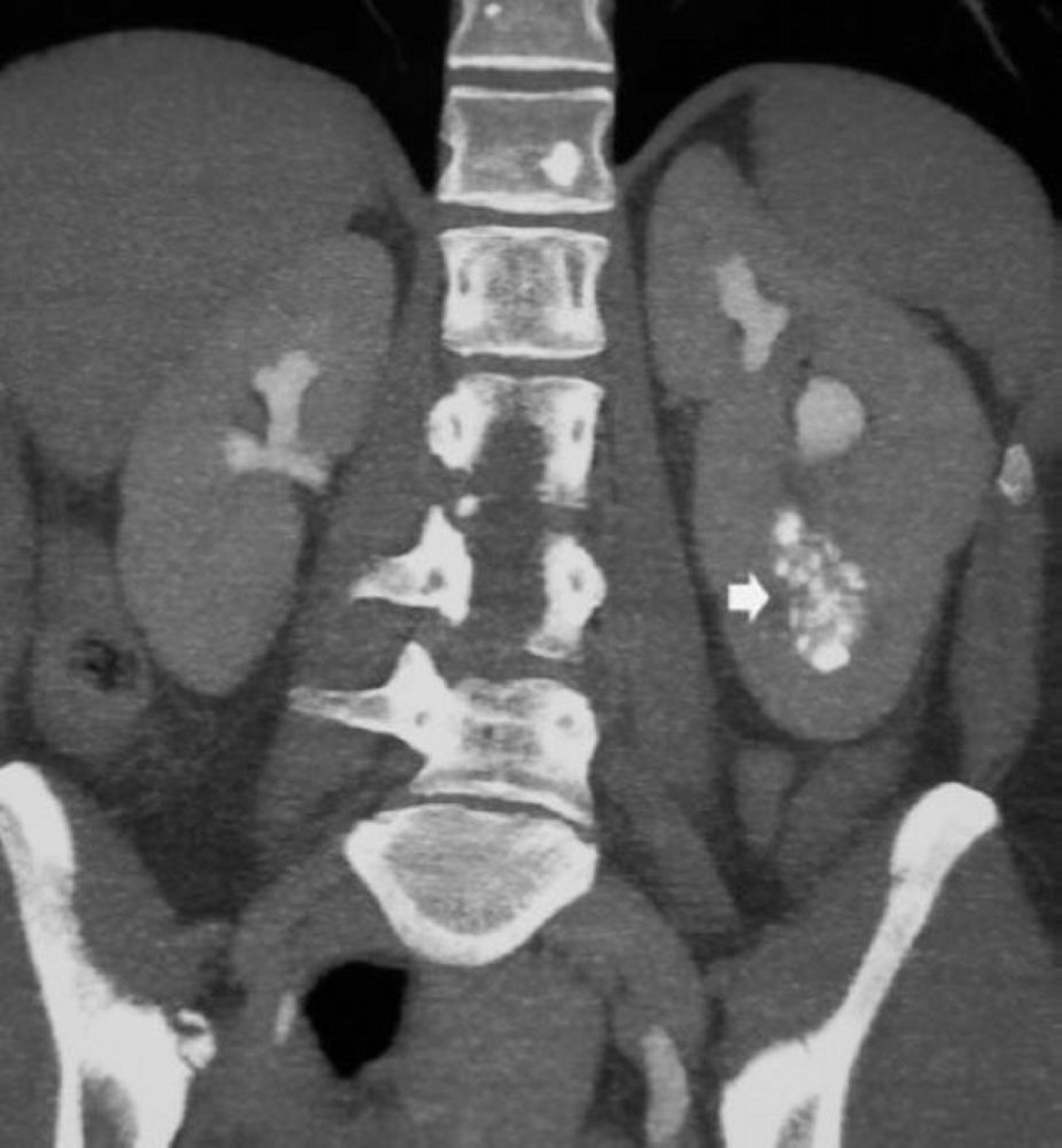
La diagnosi viene sospettata in pazienti con calcoli o infezioni delle vie urinarie ricorrenti o sulla base di riscontri RX incidentali come nefrocalcinosi midollare e dotti dilatati pieni di contrasto. Tipicamente, l'analisi delle urine mette in evidenza un'acidosi tubulare renale distale incompleta (una franca acidosi metabolica è rara) e una ridotta capacità di concentrazione urinaria in pazienti che non presentano poliuria sintomatica.
© Springer Science+Business Media
La diagnosi viene generalmente confermata mediante la TC, ma si può fare ricorso anche all'urografia EV. L'ecografia non è utile perché le cisti sono piccole e localizzate profondamente nella midollare.
Trattamento del rene a spugna midollare
Controllo di complicanze (p. es., infezione urinaria, calcoli renali)
Il trattamento è indicato soltanto per le infezioni delle vie urinarie e per la formazione ricorrente di calcoli. I diuretici tiazidici (p. es., idroclorotiazide 25 mg per via orale 1 volta/die), la terapia con citrato di potassio (30 mEq per via orale 1 volta/die) e un'elevata assunzione di liquidi possono inibire la formazione di calcoli riducendo l'escrezione urinaria di calcio e prevenendo la stasi urinaria (1). Il paziente deve anche essere incoraggiato a seguire una dieta a basso contenuto di sodio, normale per il calcio e per le proteine. Questo può ridurre l'incidenza delle complicanze ostruttive in pazienti con calcoli ricorrenti.
Riferimento relativo al trattamento
1. Cicerello E, Ciaccia M, Cova G, Mangano M. The impact of potassium citrate therapy in the natural course of Medullary Sponge Kidney with associated nephrolithiasis. Arch Ital Urol Androl. 2019;91(2):10.4081/aiua.2019.2.102. Published 2019 Jul 2. doi:10.4081/aiua.2019.2.102



