Dokter sering kali dapat mendiagnosis gangguan muskuloskeletal berdasarkan riwayat dan hasil pemeriksaan fisik. Tes laboratorium, tes pencitraan, atau prosedur diagnostik lainnya terkadang diperlukan untuk membantu dokter membuat atau mengonfirmasi diagnosis.
Tes laboratorium
Tes laboratorium sering membantu dalam membuat diagnosis gangguan muskuloskeletal. Misalnya, tes darah dilakukan untuk mengukur kadar protein C-reaktif (CRP) dalam darah dan laju endap darah (LED), laju di mana sel darah merah menetap di bagian bawah tabung uji yang mengandung darah. LED dan CRP biasanya meningkat jika terjadi inflamasi. Meskipun demikian, karena inflamasi terjadi dalam banyak kondisi, tingkat LED dan CRP saja tidak menetapkan diagnosis.
Kadar kreatin kinase (enzim otot normal yang bocor keluar dan dilepaskan ke dalam aliran darah ketika otot rusak) juga dapat diuji. Kadar kreatin kinase meningkat bila terjadi kerusakan otot yang sedang berlangsung secara luas.
Dalam artritis reumatoid, tes darah untuk mengidentifikasi faktor reumatoid atau antibodi peptida sitrullinasi anti-siklik (anti-CCP) berguna dalam membuat diagnosis.
Pada lupus eritematosus sistemik (LES atau lupus), tes darah untuk mengidentifikasi antibodi autoimun (antibodi otomatis), seperti antibodi antinuklir dan antibodi untuk asam deoksiribonukleat untai ganda (DNA), membantu dalam membuat diagnosis.
Tes darah dapat dilakukan untuk mengidentifikasi orang yang memiliki gen tertentu (HLA-B27). Orang yang memiliki gen ini berisiko lebih tinggi mengalami spondiloartritis, sekelompok gangguan yang dapat menyebabkan inflamasi pada punggung dan sendi lainnya serta gejala lainnya, seperti nyeri mata dan kemerahan serta ruam.
Beberapa tes laboratorium juga sering berguna untuk membantu memantau kemajuan pengobatan. Misalnya, LED dapat sangat berguna dalam membantu memantau kemajuan pengobatan dalam artritis reumatoid atau reumatik polimialgia. Penurunan LED menunjukkan bahwa pengobatan bekerja untuk mengurangi inflamasi.
Tes pencitraan
Berbagai jenis tes pencitraan dapat membantu dokter mendiagnosis gangguan muskuloskeletal.
Sinar-X
Sinar-x biasanya dilakukan terlebih dahulu. Mereka paling berharga untuk mendeteksi abnormalitas pada tulang dan digunakan untuk mengevaluasi area tulang yang nyeri, cacat, atau diduga abnormal. Sering kali, sinar-x dapat membantu mendiagnosis fraktur, tumor, cedera, infeksi, dan kelainan bentuk (seperti displasia perkembangan pinggul). Juga, terkadang sinar-x membantu dalam menunjukkan perubahan yang mengonfirmasi seseorang memiliki jenis artritis tertentu (misalnya artritis reumatoid atau osteoartritis). Sinar-x tidak menunjukkan jaringan lunak seperti otot, bursa, ligamen, tendon, atau saraf.
Untuk membantu menentukan apakah sendi telah rusak karena cedera, dokter dapat menggunakan sinar-x biasa (non-stres) atau yang diambil ketika sendi di bawah tekanan yang disebabkan oleh posisi tertentu (sinar-x stres).
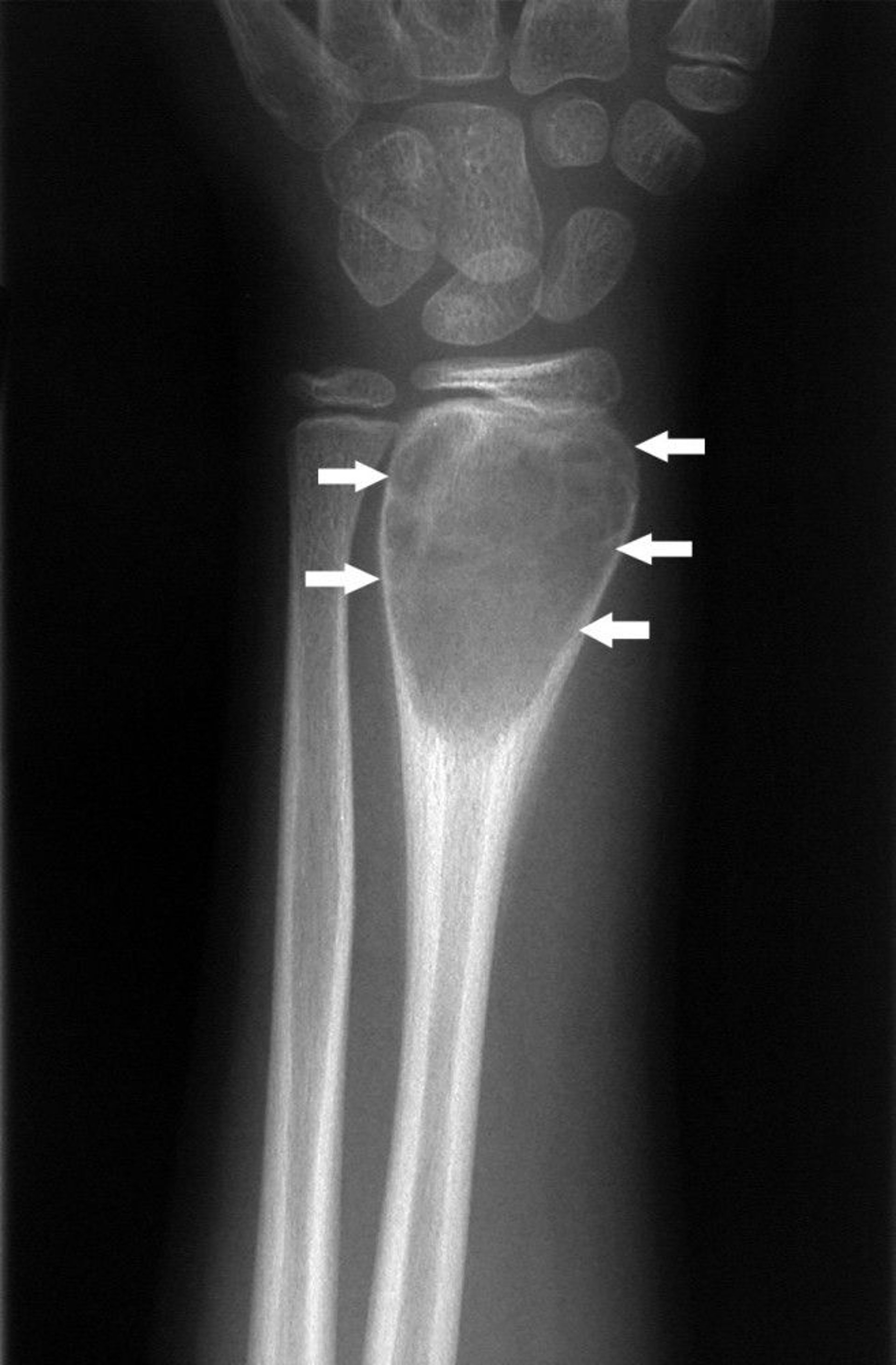
Sinar-x pergelangan tangan ini menunjukkan kista tulang yang menyebabkan ujung tulang membesar (panah).
Gambar milik Michael J. Joyce, MD, dan Hakan Ilaslan, MD.
Artrografi adalah prosedur sinar-x di mana pewarna radiopak diinjeksikan ke dalam ruang sendi untuk menguraikan struktur, seperti ligamen di dalam sendi. Artrografi dapat digunakan untuk melihat ligamen yang robek dan kartilago yang terfragmentasi pada sendi. Akan tetapi, pencitraan resonansi magnetik (MRI) sekarang umumnya digunakan dalam preferensi terhadap artrografi.
Pemindaian tulang
Pemindaian tulang (sejenis pemindaian radionuklida) adalah prosedur pencitraan yang terkadang digunakan untuk mendiagnosis fraktur, terutama jika tes lain, seperti sinar-x biasa dan tomografi terkomputasi (CT scan) atau pencitraan resonansi magnetik (MRI), tidak mengungkapkan fraktur tersebut. Pemindaian tulang melibatkan penggunaan zat radioaktif (technetium-99m berlabel pirofosfat) yang diserap oleh tulang penyembuh. Prosedur ini juga dapat dilakukan jika diduga terdapat infeksi tulang atau tumor yang telah menyebar dari kanker di bagian tubuh lainnya.
Meskipun pemindaian tulang dapat menunjukkan masalah pada tulang, pemindaian tersebut mungkin tidak menunjukkan apakah masalah tersebut berupa fraktur, tumor, atau infeksi. Zat radioaktif diberikan melalui vena (secara intravena) dan dideteksi oleh perangkat pemindaian tulang, yang menciptakan gambar tulang yang dapat dilihat pada layar komputer.
Tomografi terkomputasi (CT scan) dan pencitraan resonansi magnetik (MRI)
Tomografi terkomputasi (CT) dan pencitraan resonansi magnetik (MRI) memberikan lebih banyak detail daripada sinar-x biasa dan dapat dilakukan untuk menentukan tingkat dan lokasi pasti kerusakan. Tes ini juga dapat digunakan untuk mendeteksi fraktur yang tidak terlihat pada sinar-x.
Gambar disediakan oleh Jon A. Jacobson, MD.
MRI sangat penting untuk otot, ligamen, dan tendon pencitraan. MRI dapat digunakan jika penyebab nyeri dianggap sebagai masalah jaringan lunak yang parah (misalnya, pecahnya ligamen atau tendon utama atau kerusakan pada struktur penting di dalam sendi lutut).
CT berguna jika MRI tidak tersedia atau tidak direkomendasikan. CT memaparkan orang pada radiasi pengion (lihat Risiko Radiasi dalam Pencitraan Medis). CT memberikan gambar tulang terbaik dibandingkan dengan struktur lainnya. Namun demikian, MRI lebih baik daripada CT untuk pencitraan beberapa abnormalitas tulang, seperti fraktur kecil pada pinggul dan panggul. Jumlah waktu yang dihabiskan seseorang untuk menjalani CT scan jauh lebih sedikit daripada MRI. MRI lebih mahal dari CT dan, dengan pengecualian ketika digunakan unit sisi terbuka, banyak orang merasa klaustrofobia di dalam unit MRI.
Absorptiometri sinar-x energi ganda (DXA)
Cara paling akurat untuk mengevaluasi kepadatan tulang adalah dengan absorptiometri sinar-x energi ganda (DXA). DXA diperlukan saat skrining atau mendiagnosis osteopenia (penurunan kepadatan tulang) atau perkembangannya menjadi osteoporosis. DXA juga digunakan untuk memprediksi risiko fraktur seseorang dan dapat berguna untuk memantau respons terhadap pengobatan juga. Uji ini cepat dan tidak menimbulkan rasa sakit dan melibatkan radiasi yang sangat sedikit.
Dalam tes ini, sinar-x digunakan untuk memeriksa kepadatan tulang belakang bawah, pinggul, pergelangan tangan, atau seluruh tubuh. Pengukuran kepadatan tulang sangat akurat di lokasi-lokasi ini. Saat melakukan skrining osteoporosis pada orang, dokter lebih memilih melakukan pengukuran tulang belakang dan pinggul bagian bawah. Untuk membantu membedakan osteoporosis (penyebab paling umum dari hasil pemindaian DXA abnormal) dari gangguan tulang lainnya, dokter mungkin perlu mempertimbangkan gejala, kondisi medis, obat-obatan, hasil tes darah atau urine tertentu serta hasil DXA.
Ultrasound
Ultrasound semakin sering digunakan untuk mengidentifikasi abnormalitas dan inflamasi pada dan di sekitar persendian dan air mata atau inflamasi pada tendon. Ultrasound juga digunakan sebagai panduan saat jarum perlu dimasukkan ke dalam sendi (misalnya, untuk menyuntikkan obat atau mengeluarkan cairan sendi). Sebagai alternatif untuk tomografi terkomputasi (CT) dan pencitraan resonansi magnetik (MRI), ultrasonografi lebih murah dan, tidak seperti CT, tidak menggunakan paparan radiasi.
Prosedur Diagnostik Lainnya
Prosedur dan tes lain terkadang diperlukan untuk membantu dokter mendiagnosis gangguan muskuloskeletal.
Artroskopi
Artrosopi adalah prosedur di mana lensa serat optik kecil (berdiameter seperti pensil) dimasukkan ke dalam ruang sendi, memungkinkan dokter untuk melihat ke dalam sendi dan memproyeksikan gambar ke monitor video. Insisi kulit sangat kecil. Prosedur ini dilakukan di rumah sakit atau pusat bedah. Orang tersebut diberi anestesi lokal, spinal, atau umum atau kombinasi.
Selama artroskopi, dokter dapat mengambil sebagian jaringan (seperti kartilago sendi atau kapsul sendi) untuk analisis (biopsi), dan, jika perlu, melakukan operasi untuk memperbaiki kondisi tersebut. Gangguan yang umumnya ditemukan selama artroskopi meliputi
Peradangan sinovium yang melapisi sendi (sinovitis)
Ligamen, tendon, atau sobekan tulang rawan
Potongan tulang atau kartilago yang longgar
Kondisi tersebut memengaruhi orang yang menderita artritis atau cedera sendi sebelumnya serta atlet. Sebagian besar kondisi ini dapat diperbaiki atau dihilangkan selama artroskopi. Ada risiko infeksi sendi yang sangat kecil dengan prosedur ini.
Waktu pemulihan setelah pembedahan artroskopi jauh lebih cepat daripada setelah pembedahan tradisional. Sebagian besar orang tidak perlu bermalam di rumah sakit.
Aspirasi sendi (artrosentesis)
Aspirasi sendi digunakan untuk mendiagnosis masalah sendi tertentu. Misalnya, ini adalah cara paling langsung dan akurat untuk menentukan apakah nyeri dan pembengkakan sendi disebabkan oleh infeksi atau artritis terkait kristal (seperti pirai).
Untuk prosedur ini, dokter terlebih dahulu menyuntikkan anestesi untuk membuat area tersebut mati rasa. Kemudian dokter memasukkan jarum yang lebih besar ke dalam ruang sendi (kadang-kadang dipandu oleh ultrasonografi), mengeluarkan (mengaspirasi) cairan sendi (cairan sinovial), dan memeriksa cairan di bawah mikroskop. Dokter mengeluarkan cairan sebanyak mungkin dan mencatat warna dan kejelasannya. Tes lain, seperti jumlah dan kultur sel darah putih, dilakukan pada cairan.
Dokter sering kali dapat membuat diagnosis setelah menganalisis cairan. Misalnya, sampel cairan dapat mengandung bakteri, yang mengonfirmasi diagnosis infeksi. Atau, mungkin berisi kristal tertentu. Misalnya, menemukan kristal asam urat mengkonfirmasi diagnosis pirai, dan kristal kalsium pirofosfat dihidrat mengonfirmasi diagnosis artritis kalsium pirofosfat (pseudogout).
Biasanya dilakukan di kantor dokter atau unit gawat darurat, prosedur ini biasanya cepat, mudah, dan relatif tidak sakit. Risiko infeksi sendi sangat kecil.
Tes saraf dan otot
Penelitian konduksi saraf membantu menentukan apakah saraf yang memasok otot berfungsi normal. Elektromiografi, biasanya dilakukan pada saat yang sama dengan penelitian konduksi saraf, adalah tes di mana impuls listrik pada otot dicatat untuk membantu menentukan seberapa baik impuls dari saraf mencapai hubungan antara saraf dan otot (sambungan neuromuskular) dan, dari sana, otot.
Penelitian konduksi saraf, bersama dengan elektromiografi, membantu menunjukkan apakah ada masalah terutama dalam
Otot (seperti miositis atau distrofi otot)
Sistem saraf (otak, saraf tulang belakang, dan saraf), yang mengontrol otot (seperti stroke, masalah saraf tulang belakang, atau polineuropati)
Persambungan neuromuskular (seperti myasthenia gravis)
Penelitian konduksi saraf sangat berguna untuk diagnosis gangguan saraf perifer, seperti sindrom lorong karpal dan ulnar nerve palsy.
