Tomografi Terkomputasi (CT)

OlehMustafa A. Mafraji, MD, Rush University Medical Center
Ditinjau OlehWilliam E. Brant, MD, University of Virginia
Ditinjau/Direvisi Nov 2023 | Dimodifikasi Apr 2025
v832951_id

Tomografi terkomputasi (CT) adalah jenis pencitraan medis yang menggabungkan serangkaian sinar-x untuk membuat gambar struktur internal penampang melintang yang terperinci.

Dalam tomografi terkomputasi (CT), yang dulunya disebut tomografi aksial terkomputasi (computed axial tomography, CAT), sumber sinar-x dan detektor sinar-x merotasi seseorang. Pada pemindai modern, detektor sinar-x biasanya memiliki 4 hingga 64 baris sensor atau lebih yang mencatat sinar-x yang melewati tubuh. Data dari sensor menunjukkan serangkaian pengukuran sinar-x yang diambil dari berbagai sudut mengelilingi orang tersebut. Namun, pengukuran tidak dilihat secara langsung, tetapi dikirim ke komputer. Komputer mengubahnya menjadi gambar yang menyerupai irisan 2 dimensi (penampang melintang) dari tubuh tersebut. Komputer juga dapat membangun gambar 3 dimensi dari gambar yang direkam.

(Lihat juga Gambaran Umum tentang Uji Pencitraan.)

Prosedur untuk CT

Untuk CT, seseorang berbaring di atas meja bermotor yang digerakkan melalui bukaan pemindai berbentuk donat. Orang tersebut digerakkan memasuki pemindai saat perangkat ini berputar mengelilingi orang tersebut. Untuk beberapa pemindaian CT, meja bergerak secara bertahap dan berhenti ketika setiap pemindaian (irisan) dilakukan. Untuk pemindaian CT lainnya, meja bergerak terus-menerus selama pemindaian. Karena orang tersebut bergerak dalam garis lurus dan detektor bergerak dalam lingkaran, serangkaian pengukuran tampaknya dilakukan secara spiral di sekitar orang tersebut.

Orang tersebut harus mengenakan pakaian yang tidak memiliki kancing logam, kancing tekan, ritsleting, atau logam lainnya di atas area yang akan dipindai dan harus melepaskan perhiasan. Item tersebut tidak berbahaya, tetapi dapat memblokir sinar-x dan mendistorsi gambar. Selama pengujian berlangsung, orang tersebut harus tetap diam dan menahan napas secara berkala saat sinar-x diambil agar gambar tidak buram. Orang tersebut mungkin mendengar suara pusaran selama prosedur berlangsung.

Prosedur ini, tergantung pada area yang diperiksa dan seberapa modern pemindai yang digunakan, biasanya hanya memerlukan waktu beberapa detik hingga beberapa menit. Pemeriksaan CT pada dada membutuhkan waktu kurang dari satu menit, dan orang tersebut harus menahan napas hanya sekali dan hanya selama beberapa detik.

Untuk CT, orang dapat diberi agen kontras radiopak. Agen kontras adalah zat yang dapat dilihat pada sinar-x dan membantu membedakan satu jaringan dengan jaringan lain. Agen kontras dapat diinjeksikan ke dalam vena, dimasukkan melalui mulut, atau dimasukkan melalui anus. Agen kontras yang digunakan bergantung pada jenis uji yang dilakukan dan bagian tubuh mana yang sedang dievaluasi.

CT biasanya dilakukan sebagai prosedur rawat jalan. Orang tersebut dapat melanjutkan aktivitas normal mereka segera setelah tes.

Pencitraan Interior: Tomografi Terkomputasi

Dalam tomografi terkomputasi, pemindai menghasilkan dan merekam sinar-x saat berputar mengelilingi seseorang, yang bergerak memasuki pemindai pada meja bermotor. Di satu sisi pemindai terdapat tabung sinar-x, yang menghasilkan sinar-x, dan di sisi lain terdapat detektor sinar-x.

Penggunaan CT

Gambar yang sangat detail memberikan detail lebih lanjut tentang kepadatan jaringan dan lokasi ketidaknormalan dibandingkan sinar-x, sehingga dokter dapat menemukan struktur dan ketidaknormalan dengan tepat. CT memungkinkan penguji untuk membedakan antara berbagai jenis jaringan, seperti otot, lemak, dan jaringan ikat. Dengan demikian, CT dapat memberikan gambar detail organ spesifik yang tidak terlihat pada sinar-x dan lebih berguna untuk pencitraan sebagian besar struktur di otak, kepala, leher, dada, dan perut.

CT dapat mendeteksi dan memberikan informasi tentang gangguan di hampir setiap bagian tubuh. Misalnya, dokter dapat menggunakan CT untuk mendeteksi tumor, mengukur ukurannya, menemukan lokasinya dengan tepat, dan menentukan seberapa jauh penyebaran tumor ke jaringan di sekitar. CT juga dapat membantu dokter memantau efektivitas pengobatan (seperti antibiotik untuk abses otak atau terapi radiasi untuk tumor).

Tabel
Tabel

Variasi CT

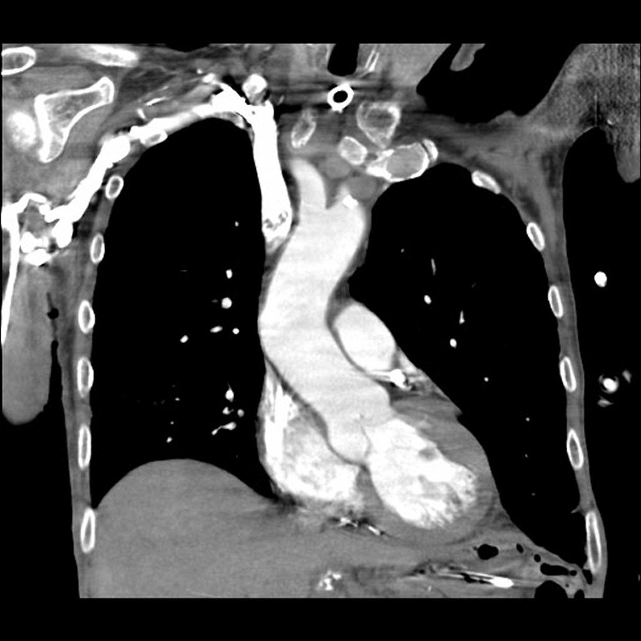
Angiografi CT

Angiografi CT menggunakan CT dan agen kontras radiopak untuk menghasilkan gambar 2 dan 3 dimensi pembuluh darah, termasuk arteri yang memasok jantung (arteri koroner). Agen kontras diinjeksikan ke dalam vena (bukan arteri seperti pada angiografi konvensional), biasanya di lengan. Gambar diambil dengan cepat dan terwaktu sehingga menunjukkan agen kontras radiopak yang mengalir melalui pembuluh darah yang sedang dievaluasi. Komputer secara digital menghapus semua jaringan kecuali pembuluh darah dari gambar. (Lihat juga Angiografi Koroner.)

Angiografi CT digunakan untuk mendeteksi hal berikut:

  • Penyempitan atau penyumbatan (seperti pembekuan darah) di arteri

  • Tonjolan (aneurisme) dan robekan (diseksi) di arteri besar

  • Tidak normalnya pembuluh darah yang membawa darah ke tumor

Angiografi CT umumnya digunakan alih-alih angiografi konvensional karena aman dan tidak terlalu invasif (tidak memerlukan penyisipan kateter ke dalam arteri, yang memiliki risiko sedikit lebih besar dibandingkan penyisipan kateter ke dalam vena). Angiografi CT menunjukkan ketidaknormalan pada pembuluh darah yang sama akuratnya dengan angiografi resonansi magnetik, tetapi sedikit kurang akurat dibandingkan angiografi konvensional.

Angiografi CT biasanya hanya membutuhkan waktu 1 hingga 2 menit.

Variasi lainnya

CT dapat digunakan untuk memberikan gambar

Kerugian CT

Biasanya, CT pada perut menggunakan sekitar 300 hingga 400 kali jumlah radiasi yang digunakan untuk sinar-x bidang tunggal pada dada. Meskipun teknik CT yang lebih baru menggunakan dosis radiasi yang jauh lebih rendah dibandingkan yang digunakan sebelumnya, CT memperhitungkan sebagian besar paparan terhadap radiasi buatan manusia dalam populasi umum dan sekitar 70% paparan radiasi dalam praktik medis. Oleh karena itu, dokter dan orang tersebut harus mempertimbangkan dengan cermat manfaat dari setiap prosedur CT dibandingkan risikonya (lihat Risiko Radiasi). Umumnya, CT jika dimungkinkan dapat dihindari pada perempuan hamil kecuali jika tidak ada alternatif yang baik. Penggunaan CT pada anak-anak harus dibatasi sebanyak mungkin.

Agen kontras radiopak yang digunakan dalam angiografi CT mengandung iodin—disebut zat kontras teriodinasi. Beberapa orang mengalami reaksi alergi ringan hingga berat atau kerusakan ginjal setelah agen kontras tersebut diinjeksikan. Orang yang pernah mengalami reaksi terhadap agen kontras ini harus memberi tahu dokter mereka sebelum angiografi CT dilakukan.

Di beberapa negara dan di beberapa wilayah di Amerika Serikat, CT tidak tersedia.

Tahukah Anda

  • Sebagian besar paparan radiasi dalam praktis medis berasal dari tomografi terkomputasi (CT).

  • Sebelum menjalani CT, orang tersebut harus memberi tahu dokter apakah mereka pernah mengalami reaksi terhadap agen kontras yang digunakan dalam CT.

Informasi Lebih Lanjut

Referensi berbahasa Inggris berikut ini mungkin akan berguna. Harap diperhatikan bahwa MANUAL ini tidak bertanggung jawab atas konten referensi ini.

  1. Apa Saja Risiko Radiasi dari CT?: Sumber daya Food and Drug Administration (FDA) ini menjelaskan berbagai jenis tes pencitraan yang digunakan untuk skrining dan diagnosis serta risiko dan manfaat dari setiap tes.

Uji Pengetahuan Anda
Uji Pengetahuan AndaTake a Quiz!