Ultrasound

OlehMustafa A. Mafraji, MD, Rush University Medical Center
Ditinjau OlehWilliam E. Brant, MD, University of Virginia
Ditinjau/Direvisi Dimodifikasi Sept 2025
v833294_id

Ultrasound adalah jenis pencitraan medis yang menggunakan gelombang suara frekuensi tinggi (ultrasound) untuk menghasilkan gambar organ internal dan jaringan lainnya.

Selama ultrasound, perangkat yang disebut transduser mengubah arus listrik menjadi gelombang suara, yang dikirim ke jaringan tubuh. Gelombang suara memantul dari struktur dalam tubuh dan tecermin kembali ke transduser, yang mengubah gelombang menjadi sinyal listrik. Komputer mengubah pola sinyal listrik menjadi gambar, yang ditampilkan pada monitor dan direkam sebagai gambar komputer digital. Tidak ada sinar-x yang digunakan, sehingga tidak ada paparan radiasi selama ultrasound.

Ultrasound tidak menimbulkan rasa sakit, relatif murah, dan dianggap sangat aman, bahkan selama kehamilan. (Lihat juga Gambaran Umum tentang Tes Pencitraan dan Perawatan Medis Selama Kehamilan: Ultrasound.)

Prosedur untuk Ultrasound

Jika bagian tertentu dari perut diperiksa selama ultrasound, orang tersebut mungkin diminta untuk tidak makan dan minum selama beberapa jam sebelum tes. Penumpukan gas normal di usus akibat makan atau minum terkadang dapat membuat citra ultrasound sulit diperoleh. Dalam kasus lain, seperti ultrasound organ reproduksi perempuan, perempuan tersebut mungkin diminta untuk meminum cairan dalam jumlah besar untuk mengisi kandung kemih mereka.

Biasanya, penguji menempatkan gel tebal pada kulit di atas area yang akan diperiksa untuk memastikan transmisi suara yang baik. Transduser genggam ditempatkan pada kulit dan dipindahkan ke area yang akan dievaluasi.

Untuk mengevaluasi beberapa bagian tubuh, penguji menyisipkan transduser ke dalam tubuh—misalnya, ke dalam vagina untuk lebih menggambarkan rahim dan ovarium atau ke dalam anus untuk menggambarkan kelenjar prostat.

Penguji terkadang memasang transduser ke tabung tampilan yang disebut endoskop dan mengeluarkannya ke dalam tubuh. Prosedur ini disebut ultrasound endoskopi. Endoskop dapat dimasukkan ke dalam tenggorokan untuk melihat jantung (ekokardiografi transesofageal) atau melalui lambung untuk melihat hati dan organ lain di dekatnya.

Setelah tes, sebagian besar orang dapat segera melanjutkan aktivitas yang biasa mereka lakukan.

Tahukah Anda

  • Ultrasound dan pencitraan resonansi magnetik (MRI) tidak menggunakan sinar-x.

Penggunaan Ultrasound

Gambar ultrasound diperoleh cukup cepat untuk menunjukkan gerakan organ dan struktur dalam tubuh dalam waktu nyata (seperti dalam film). Misalnya, gerakan jantung yang berdetak dapat dilihat, bahkan pada janin.

Ultrasound secara efektif digunakan untuk memeriksa pertumbuhan dan benda asing yang dekat dengan permukaan tubuh, seperti kelenjar tiroid, payudara, testis, dan anggota badan, serta beberapa kelenjar getah bening.

Ultrasound juga digunakan untuk menggambarkan organ internal di abdomen, panggul, dan dada. Namun, karena gelombang suara terhalang oleh gas (misalnya, di paru-paru atau usus) dan oleh tulang, ultrasound organ internal membutuhkan keterampilan khusus. Orang yang telah dilatih secara khusus untuk melakukan pemeriksaan ultrasound disebut sonografer.

Ultrasound umumnya digunakan untuk mengevaluasi yang berikut ini:

  • Jantung: Misalnya, untuk mendeteksi ketidaknormalan pada cara jantung berdetak, ketidaknormalan struktural, seperti katup jantung yang cacat, dan pembesaran abnormal bilik atau dinding jantung (ultrasound jantung disebut ekokardiografi)

  • Pembuluh darah: Misalnya, untuk mendeteksi pembuluh darah yang melebar dan menyempit

  • Kandung empedu dan saluran empedu: Misalnya, untuk mendeteksi batu empedu dan penyumbatan pada saluran empedu

  • Hati, limpa, dan pankreas: Misalnya, untuk mendeteksi tumor dan gangguan lainnya

  • Saluran kemih: Misalnya, untuk membedakan kista jinak dari massa padat (yang mungkin merupakan kanker) di ginjal atau untuk mendeteksi penyumbatan, seperti batu atau ketidaknormalan struktural lainnya di ginjal, ureter, atau kandung kemih

  • Organ reproduksi perempuan: Misalnya, untuk mendeteksi tumor dan peradangan dalam ovarium, tuba falopi, atau rahim

  • Kehamilan: Misalnya, untuk mengevaluasi pertumbuhan dan perkembangan janin serta untuk mendeteksi ketidaknormalan plasenta (seperti plasenta yang salah ditempatkan, disebut plasenta previa)

  • Struktur muskuloskeletal: Misalnya, untuk mendeteksi pembengkakan dalam sendi atau ligamen yang robek

Ultrasound juga dapat digunakan untuk memandu dokter ketika mereka mengambil sampel jaringan untuk biopsi. Ultrasound dapat menunjukkan posisi instrumen biopsi, serta area yang akan dibiopsi (seperti massa). Dengan demikian, dokter dapat melihat tempat untuk memasukkan instrumen dan dapat memandunya langsung ke targetnya.

Variasi Ultrasound

Informasi ultrasound dapat ditampilkan dalam beberapa cara:

  • Mode A: Sebagai lonjakan pada grafik (digunakan untuk memindai mata)

  • Mode B: Gambar anatomis 2 dimensi (digunakan selama kehamilan untuk mengevaluasi janin yang sedang berkembang atau untuk mengevaluasi organ dalam). Sebagai pencitraan 3 dimensi untuk menunjukkan volume (bermanfaat dalam mengevaluasi anatomi janin). Sebagai pencitraan 4 dimensi untuk menambahkan waktu sebagai faktor (bermanfaat dalam mengevaluasi struktur bergerak, seperti gerakan janin atau gerakan jantung)

  • Mode M: Sebagai gelombang yang ditampilkan secara terus-menerus untuk menunjukkan struktur bergerak (digunakan untuk mengevaluasi denyut jantung janin atau untuk mengevaluasi gangguan katup jantung)

Ultrasound mode-B paling sering dilakukan.

Ultrasound doppler

Ultrasound Doppler menggunakan perubahan yang terjadi dalam frekuensi gelombang suara ketika tercermin dari objek bergerak (disebut efek Doppler). Dalam pencitraan medis, benda bergerak tersebut adalah sel darah merah dalam darah. Dengan demikian, ultrasound Doppler dapat digunakan untuk mengevaluasi:

  • Apakah darah mengalir melalui pembuluh darah

  • Seberapa cepat darah tersebut mengalir

  • Ke arah mana ia mengalir

Ultrasonografi Doppler digunakan:

  • Untuk mengevaluasi seberapa baik fungsi jantung (sebagai bagian dari ekokardiografi)

  • Untuk mendeteksi pembuluh darah yang tersumbat, terutama pada pembuluh darah kaki, seperti trombosis vena dalam, ketika pembuluh darah terhalang oleh bekuan darah

  • Untuk mendeteksi arteri yang menyempit, terutama arteri karotis di leher, yang membawa darah ke otak

Ultrasound Doppler Spektral

Ultrasound Doppler Spektral menunjukkan informasi aliran darah sebagai grafik. Tes ini dapat digunakan untuk mengkaji berapa banyak pembuluh darah yang diblokir.

Ultrasonografi Duplex Doppler

Ultrasound Doppler Dupleks menggabungkan ultrasound spektral dan mode-B.

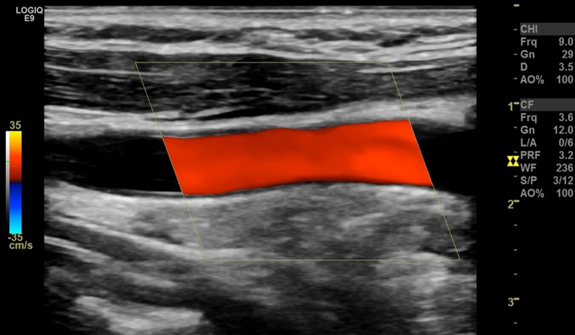
Ultrasound Doppler Berwarna

Untuk ultrasound Doppler berwarna, warna ditempatkan di atas gambar nuansa abu-abu aliran darah yang dihasilkan oleh ultrasound Doppler. Warna menunjukkan arah aliran darah. Merah dapat digunakan untuk mengindikasikan aliran menuju transduser, dan biru dapat digunakan untuk mengindikasikan aliran menjauh dari transduser. Kecerahan warna menunjukkan seberapa cepat darah mengalir.

Ultrasound Doppler Warna dapat membantu menilai risiko stroke karena membantu dokter mengidentifikasi dan mengevaluasi penyempitan atau penyumbatan arteri di leher dan kepala. Prosedur ini berguna untuk mengevaluasi orang yang mengalami serangan iskemik transien atau stroke dan orang yang memiliki faktor risiko aterosklerosis, tetapi tidak memiliki gejala. Ultrasound Doppler Warna juga digunakan untuk menilai aliran darah ke organ internal dan tumor.

Kerugian Ultrasound

Jika penguji memasukkan transduser ke dalam tubuh untuk ultrasound, pemasangan transduser dapat menyebabkan ketidaknyamanan. Jarang terjadi, saat transduser dimasukkan, jaringan rusak, yang menyebabkan perdarahan atau infeksi.

Tulang atau gas dapat menghalangi ultrasound. Dengan demikian, sulit untuk mendapatkan gambar dari struktur tertentu (struktur yang ada di balik tulang atau gas) menggunakan ultrasound.

Uji Pengetahuan Anda
Uji Pengetahuan AndaTake a Quiz!