Tubulointerstitielle Nephritis

VonFrank O'Brien, MD, Washington University in St. Louis
Reviewed ByNavin Jaipaul, MD, MHS, Loma Linda University School of Medicine
Überprüft/überarbeitet Geändert Jan. 2024
v1057040_de
Aussicht hier klicken.

Die tubulointerstitielle Nephritis ist eine primäre Schädigung der Nierentubuli und des Interstitiums, die zu einer Abnahme der Nierenfunktion führt. Die akute Form beruht meist auf einer allergischen Medikamentenreaktion oder einer Infektion. Die chronische Form tritt mit einem breiten Spektrum von Ursachen auf, darunter genetische oder metabolische Störungen, obstruktive Uropathie und chronische Exposition gegenüber Umwelttoxinen sowie gewissen Medikamenten und Kräutern. Die Diagnose wird aufgrund der Anamnese und des Urinbefunds vermutet und häufig durch Biopsie bestätigt. Behandlung und Prognose unterscheiden sich je nach der Ätiologie und der möglichen Reversibilität des Schadens zum Zeitpunkt der Diagnosestellung.

(Siehe auch Überblick zu den tubulointerstitiellen Krankheiten.)

Ätiologie der tubulointerstitiellen Nephritis

Die tubulointerstitielle Nephritis kann primär sein, aber ein ähnlicher Prozess kann auch als Folge einer glomerulären Schädigung oder renovaskulären Krankheit auftreten.

Eine primäre tubulointerstitielle Nephritis kann in zwei Formen auftreten:

  • akut (siehe Tabelle )

  • Chronisch (siehe Tabelle )

Akute tubulointerstitielle Nephritis

Eine akute tubulointerstitielle Nephritis (ATIN) zeigt sich mit entzündlichen Infiltraten und Ödemen, die ds Niereninterstitium betreffen und entwickelt sich oft über Tage oder Monate. Mehr als 95% der Fälle resultieren aus Infektionen oder allergische Reaktionen auf Arzneimittel.

Die ATIN führt zu akuter Niereninschädigung. Schwere Fälle, verzögerte Therapie oder die fortwährende Einnahme eines schädigenden Medikaments können zu Dauerschäden mit chronischem Nierenversagen führen.

Renal-Okulares-Syndrom, akute tubulointerstitielle Nephritis zzgl. Uveitis tritt ebenfalls auf und ist idiopathisch.

Chronische tubulointerstitielle Nephritis

Eine chronische tubolointerstitiale Nephritis entsteht, wenn ein chronischer tubulärer Schaden meist über Jahre zu einer graduellen interstitiellen Infiltration und Fibrose, tubulären Atrophie und Dysfunktion sowie einer allmählichen Verschlechterung der Nierenfunktion führt. Eine gleichzeitige glomeruläre Beteiligung (Glomerulosklerose) ist bei CTIN wesentlich häufiger als bei ATIN.

Die Ursachen der chronischen tubulointerstitiellen Nephritis sind vielfältig. Zu diesen gehören immunologisch vermittelte Krankheiten, gefolgt von Infektionen, Reflux- oder obstruktiver Nephropathie, Medikamenten und anderen Störungen. Eine durch Toxine, metabolische Störungen, Hypertonie und vererbte Störungen bedingte CTIN führt zu einer symmetrischen und bilateralen Krankheit. Wenn die CTIN andere Ursachen hat, kann die Nierenvernarbung ungleichmäßig sein und auch nur eine Niere betreffen. Einige gut charakterisierte Formen von CTIN umfassen

Reflux-Nephropathie und Myelom können eine tubulointerstitielle Verletzung verursachen, aber die vorherrschende Pathologie bei diesen Zuständen ist die glomeruläre Erkrankung.

Erbliche zystische Nierenerkrankungen werden an anderer Stelle erörtert.

Tabelle
Tabelle
Tabelle
Tabelle

Allgemeine Literatur

  1. 1. Yamaguchi Y, Kanetsuna Y, Honda K, et al: Characteristic tubulointerstitial nephritis in IgG4-related disease. Hum Pathol 43(4):536-549, 2012. doi: 10.1016/j.humpath.2011.06.002

  2. 2. Correa-Rotter R, Wesseling C, Johnson RJ: CKD of unknown origin in Central America: The case for Mesoamerican nephropathy. Am J Kidney Dis 63(3):506-520, 2014. doi: 10.1053/j.ajkd.2013.10.062

Symptome und Anzeichen einer tubulointerstitiellen Nephritis

Akute tubulointerstitielle Nephritis

Symptome und Beschwerden einer akuten tubulointerstitiellen Nephritis (ATIN) können unspezifisch sein und treten oft gar nicht auf, sei denn, es entwickeln sich Symptome und Beschwerden eines Nierenversagens. Viele Patienten entwickeln eine Polyurie und Nykturie als Folge eines Defektes der Urinkonzentration und Natriumreabsorption.

Die Symptome von ATIN können erst mehrere Wochen nach dem ersten Kontakt mit dem Toxin oder kurzfristig innerhalb von 3–5 Tagen nach einer weiteren Exposition einsetzen. Im Extremfall reicht die Latenzzeit von einem Tag bei Rifampicin bis 18 Monate bei nichtsteroidalen Antrheumatika (NSAR). Fieber und urtikarielles Exanthem sind charakteristische frühe Manifestationen einer medikamenteninduzierten ATIN, aber die klassisch beschriebene Trias aus Fieber, Hautausschlag und Eosinophilie zeigt sich bei < 10% der Patienten mit medikamenteninduzierter ATIN. Bauchschmerzen, Gewichtsverlust, beidseitige Vergrößerung der Nieren (verursacht durch interstitielles Ödem) können bei ATIN ebenso auftreten und zusammen mit Fieber fälschlicherweise ein Nierenmalignom oder eine polyzystische Nierenkrankheit vermuten lassen. Wenn es nicht zu Nierenversagen kommt, sind periphere Ödeme und Hypertonie seltene Befunde.

Chronische tubulointerstitielle Nephritis

Bei einer chronischen tubulointerstitiellen Nephritis fehlen im Allgemeinen Symptome und Befunde, außer wenn sich ein Nierenversagen entwickelt. Üblicherweise gibt es kein Ödem. Der Blutdruck ist in frühen Stadien normal oder nur leicht erhöht. Polyurie und Nykturie können sich entwickeln.

Diagnose der tubulointerstitiellen Nephritis

  • Risikofaktoren

  • Bei akuter tubulointerstitieller Nephritis (ATIN): aktives Harnsediment mit steriler Pyurie

  • Manchmal Nierenbiopsie

  • Gewöhnlich Bildgebung, um andere Ursachen auszuschließen

Wenige klinische und Routinelaborbefunde sind spezifisch für tubulointerstitielle Nephritis. So besteht der dringende Verdacht, wenn folgendes auftritt:

  • Typische Symptome oder Beschwerden

  • Risikofaktoren, insbesondere eine zeitliche Beziehung zwischen dem Beginn und der Verwendung eines potentiell ursächlichen Medikaments

  • Charakteristische Befunde der Urinanalyse, insbesondere sterile Pyurie

  • Mäßige Proteinurie, in der Regel < 1 g/Tag (außer bei Verwendung von nichtsteroidalen Antiphlogistika, die zu einer Proteinurie im nephrotischen Bereich, 3,5 g/Tag führen können)

  • Der Nachweis einer tubulären Dysfunktion (z. B. tubuläre Azidose, Fanconi-Syndrom)

  • Konzentrierender Effekt in keinem Verhältnis zu dem Grad des Nierenversagens

Auf die Eosinophilurie kann man sich nicht verlassen, um die Diagnose zu stellen oder auszuschließen. In der Regel sind weitere Untersuchungen (z. B. bildgebende Verfahren) erforderlich, um ATIN oder chronische tubulointerstitielle Nephritis (CTIN) von anderen Erkrankungen zu unterscheiden. Eine klinische Verdachtsdiagnose von ATIN wird oft auf der Grundlage von den oben erwähnten, speziellen Befunden gestellt, aber eine Nierenbiopsie ist notwendig, um eine definitive Diagnose zu stellen.

Akute tubulointerstitielle Nephritis

Eine Urinanalyse, die Zeichen einer aktiven Nierenentzündung (aktives Harnsediment) zeigt, einschließlich Erythrozyten, Leukozyten und Leukozytenzylinder sowie das Fehlen von Bakterien in Kulturen (sterile Pyurie) ist typisch. Eine ausgesprochene Hämaturie und dysmorphe Erythrozyten sind selten. Bei Eosinophilurie ist man traditionell davon ausgegangen, dass diese auf eine ATIN hindeutet; jedoch ist die Anwesenheit oder Abwesenheit von Harn- Eosinophilen nicht besonders diagnostisch nützlich. Die Proteinurie ist meist nur geringgradig, kann aber in Kombination mit einer ATIN und einer glomerulären Krankheit durch nichtsteroidale Antiphlogistika, Ampicillin, Rifampicin, Interferon alfa und Ranitidin nephrotische Ausmaße annehmen.

Zu den Blutbefunden einer tubulären Dysfunktion gehören eine Hypokaliämie (verursacht durch einen Defekt in der Kaliumreabsorption) und eine metabolische Azidose ohne Anionenlücke (verursacht durch einen Defekt in der proximalen tubulären Bicarbonat-Reabsorption oder in der distalen tubulären Säureausscheidung). Erhöhte Gesamt-Immunglobulin-G (IgG)- und/oder IgG4-Spiegel im Serum und niedrige Serumkomplementkonzentrationen (d. h. Niedrige C3. und C4-Werte) können bei Patienten mit IgG4-bedingter Erkrankung oder hypokomplementämischer interstitieller Nephritis auftreten.

Sonographie, Radionuklid-Scanning oder beides können notwendig sein, um eine akute tubulointerstitielle Nephritis von anderen Ursachen einer akuten Nierenschädigung zu unterscheiden, wenn eine Nierenbiopsie nicht möglich ist. Bei einer ATIN kann eine Sonographie aufgrund von interstitiellen Entzündungszellen und Ödemen stark vergrößerte und echogene Nieren zeigen. Nieren können bei Radionukliduntersuchungen reichlich radioaktives Gallium-67 oder Radionuklid-markierte Leukozyten speichern. Positive Scans deuten stark auf eine ATIN hin (und zeigen, dass eine akute tubuläre Nekrose weniger wahrscheinlich ist), aber ein negativer Scan schließt eine ATIN nicht aus

Eine Nierenbiopsie erfolgt in der Regel bei Patienten mit:

  • Einer unsicheren Diagnose

  • Progressiver Nierenschädigung

  • Ohne Besserung nach Absetzen von möglichen ursächlichen Medikamenten

  • Befunden, die auf eine Krankheiten im frühen Stadium hindeuten

  • Medikamenten-induzierten ATIN, für die eine Kortikosteroid-Behandlung in Betracht gezogen wird

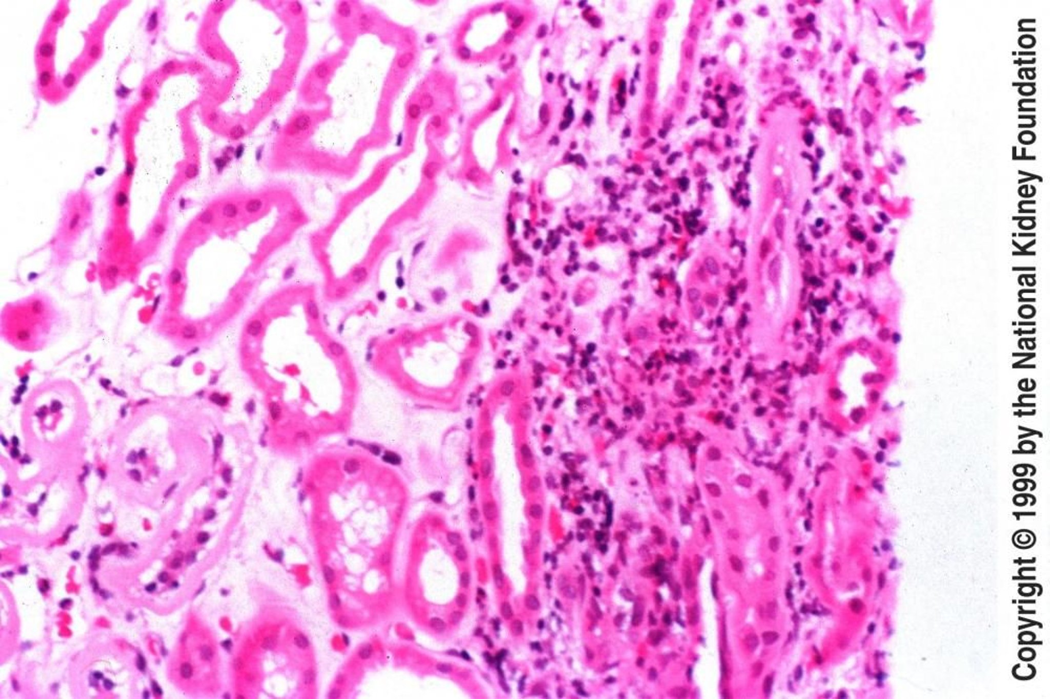
Bei akuter tubulointerstitieller Nephritis sind Glomeruli meist normal. Der früheste Befund ist ein interstitielles Ödem, typischerweise gefolgt von einer interstitiellen Leukozyteninfiltration (mit Lymphozyten, Plasmazellen, Eosinophilen und einigen polymorphkernigen Leukozyten). In schweren Fällen kann man Entzündungszellen erkennen, die in den Raum zwischen den Zellen der tubulären Basalmembran eindringen (Tubulitis). Bei anderen Proben kann eine granulomatöse Reaktion aufgrund der Exposition gegenüber Beta-Lactam-Antibiotika, Sulfonamiden, Mykobakterien und Pilzen erkennbar sein. Das Vorhandensein nichtverkäsender Granulome spricht für eine Sarkoidose. Eine lymphoplasmozytäre Infiltration des Niereninterstitiums mit korbgeflechtartiger (storiformer) Fibrose lässt auf eine IgG4-bedingte tubulointerstitielle Nephritis schließen. Die Immunfluoreszenz- oder Elektronenmikroskopie deckt nur selten irgendwelche pathognomonischen Veränderungen auf.

Chronische tubulointerstitielle Nephritis

Die Befunde bei CTIN sind im Allgemeinen denen einer ATIN ähnlich, obgleich Erythrozyten und Leukozyten im Urin ungewöhnlich sind. Da eine CTIN schleichend beginnt und eine interstitielle Fibrose häufig ist, können die Nieren bei bildgebenden Verfahren klein sein und Zeichen einer Vernarbung und Asymmetrie aufweisen.

Bei chronischer tubulointerstitieller Nephritis wird eine Nierenbiopsie zu diagnostischen Zwecken nicht oft durchgeführt. Wenn jedoch Bedenken hinsichtlich alternativer Diagnosen bestehen, könnten diese weiterverfolgt werden. Glomeruli variieren von normal bis vollständig zerstört. Die Tubuli können fehlen oder atrophiert sein. Die tubulären Lumina variieren im Durchmesser, können aber eine starke Dilatation mit homogenen Zylindern aufweisen. Das Interstitium enthält in unterschiedlichem Maße entzündliche Zellen und Fibrosen. Nichtnarbige Regionen erscheinen fast normal. Im Ganzen sind die Nieren klein und atrophisch.

Behandlung der tubulointerstitiellen Nephritis

  • Die Behandlung der Ursache (z. B. Absetzen der ursächlichen Medikament)

  • Kortikosteroide bei immunvermittelter und manchmal medikamenteninduzierter akuter tubulointerstitiellen Nephritis

Die Therapie von ATIN und CTIN besteht in der Behandlung der Ursache.

Bei immunologisch induzierter ATIN und manchmal auch bei medikamentös induzierter ATIN können Kortikosteroide (z. B. Prednison 1 mg/kg oral einmal täglich mit schrittweiser Reduzierung der Dosis über 4–6 Wochen) die Genesung beschleunigen.

Bei medikamenteninduzierter ATIN sind Kortikosteroide am effektivsten, wenn sie innerhalb von 2 Wochen gegeben werden, nachdem die verursachenden Medikamente abgesetzt wurden. Eine NSAR-induzierte ATIN spricht weniger auf Kortikosteroide an als eine medikamenteninduzierte ATIN. Eine ATIN sollte durch Biopsie nachgewiesen werden, bevor Kortikosteroiden genommen werden.

Die Behandlung einer chronischen tubulointerstitiellen Nephritis erfordert oft supportive Maßnahmen wie Blutdruckkontrolle und Behandlung einer Anämie, die mit einer Nierenerkrankung assoziiert ist. Bei Patienten mit CTIN und progressiver Niereninschädigung können auch ACE-Hemmer und Angiotensin-II-Rezeptorantagonisten den Krankheitsprogress verlangsamen, sollten aber wegen eines zusätzlichen Risikos von Hyperkalämie und beschleunigtem Krankheitsverlauf nicht zusammen angewendet werden.

Tipps und Risiken

  • Bei Patienten mit chronischer tubulointerstitieller Nephritis sollten Angiotensin-konvertierendes Enzym-Hemmer und Angiotensin II-Rezeptor-Blocker wegen des additiven Risikos von Hyperkaliämie und Beschleunigung des Krankheitsverlaufs nicht zusammen verwendet werden.

Prognose für tubulointerstitielle Nephritis

Akute tubulointerstitielle Nephritis

Bei der medikamenteninduzierten ATIN erholt sich die Nierenfunktion üblicherweise innerhalb von 6–8 Wochen nach Absetzen des ursächlichen Medikaments, wenngleich eine gewisse Vernarbung zurückbleibt. Die Erholung kann unvollständig sein, mit einer anhaltenden Azotämie oberhalb des Normalwertes. Die Prognose ist in der Regel schlimmer, wenn ATIN durch nichtsteroidale Antiphlogistika als von anderen Drogen verursacht wird. Bei anderen Ursachen der ATIN sind die histologischen Veränderungen meist reversibel, wenn die Ursache erkannt und behoben ist. Allerdings schreiten schwere Fälle bis zu Fibrose und chronischen Nierenerkrankung fort. Unabhängig von der Ursache, besteht der Verdacht, dass eine irreversible Schädigung durch folgendes hervorgerufen wird:

  • Diffuses statt fleckenförmiges interstitielles Infiltrat

  • Signifikante interstitielle Fibrose

  • Verzögerte Reaktion auf Prednison

  • Akute Nierenschädigung, die > 3 Wochen andauert

Chronische tubulointerstitielle Nephritis

Bei der CTIN richtet sich die Prognose nach der Ursache sowie der Möglichkeit, den Krankheitsprozess zu erkennen und zum Stillstand zu bringen, bevor eine irreversible Fibrose entsteht. Viele genetische (z. B. zystische Nierenderkrankung), metabolische (z. B. Zystinose) und toxische (z. B. frühere Exposition gegenüber Schwermetallen) Ursachen lassen sich möglicherweise nicht ändern, sodass sich die CTIN in der Regel zu einer Nierenerkrankung im Endstadium entwickelt.

Wichtige Punkte

  • Die Ursachen der chronischen tubulointerstitiellen Nephritis (CTIN) sind vielfältig und viel vielfältiger als die der akuten tubulointerstitiellen Nephritis (ATIN), die meist durch eine allergische Reaktion auf ein Medikament oder eine Infektion verursacht wird.

  • Die Symptome sind oft unspezifisch oder fehlen, insbesondere bei CTIN.

  • Die Verdachtsdiagnose wird basierend auf Risikofaktoren und Harnsediment gestellt, andere Ursachen müssen mittels Bildgebung ausgeschlossen und die Diagnose manchmal durch eine Biopsie bestätigt werden.

  • Ursächliche Medikamente müssen abgesetzt und andere Ursachen behandelt werden. Eine supportive Behandlung soll erfolgen.

  • Eine durch Biopsie nachgewiesene, immunvermittelte und manchmal medikamenteninduzierte ATIN wird mit Kortikosteroiden (innerhalb von 2 Wochen nach Absetzen aller ursächlichen Medikamente) behandelt.

quizzes_lightbulb_red
Test your KnowledgeTake a Quiz!
DE_MSD_Mobile_Pro_326IOS ANDROID
DE_MSD_Mobile_Pro_326IOS ANDROID
DE_MSD_Mobile_QR_Pro_326iOS ANDROID