Unter Markschwammniere versteht man die Bildung von diffusen beidseitigen Markzysten, verursacht durch Anomalien in den terminalen Sammelgängen.
(Siehe auch Übersicht der zystischen Nierenerkrankheiten.)
Die Ursache der Markschwammniere ist unbekannt, und die genetische Penetranz ist variabel (1, 2).
Die meisten Patienten sind asymptomatisch, und die Störung bleibt gewöhnlich undiagnostiziert. Sie disponiert zu Steinbildung (oft mit einer erhöhten Ca-Exkretion) und Harnwegsinfektion, sodass die häufigsten Symptome folgende sind:
Die Markschwammniere ist gutartig und die Langzeitprognose gut. Eine Obstruktion durch Nierensteine mag vorübergehend die glomeruläre Filtrationsrate reduzieren und das Serumkreatinin ansteigen lassen.
Literatur
1. Klemme L, Fish AJ, Rich S, Greenberg B, Senske B, Segall M. Familial ureteral abnormalities syndrome: genomic mapping, clinical findings. Pediatr Nephrol. 1998 Jun;12(5):349-56. doi: 10.1007/s004670050465. PMID: 9686951.
2. Goldman SH, Walker SR, Merigan TC Jr, Gardner KD Jr, Bull JM. Hereditary occurrence of cystic disease of the renal medulla. N Engl J Med. 1966 May 5;274(18):984-92. doi: 10.1056/NEJM196605052741802. PMID: 5909742.
Diagnose der Markschwammniere
CT oder intravenöse Urographie (IVU)
Die Diagnose wird bei Patienten mit rezidivierenden HWI oder Steinbildung vermutet oder auf der Grundlage von zufälligen radiologischen Befunde gestellt wie medulläre Nephrokalzinose und dilatierte kontrastgefüllte Sammelgänge. Die Urinanalyse zeigt typischerweise Anzeichen einer inkompletten distaltubulären Azidose (eine allgemeine metabolische Azidose ist selten) sowie eine verminderte Urinkonzentrationsfähigkeit bei Patienten ohne symptomatische Polyurie.
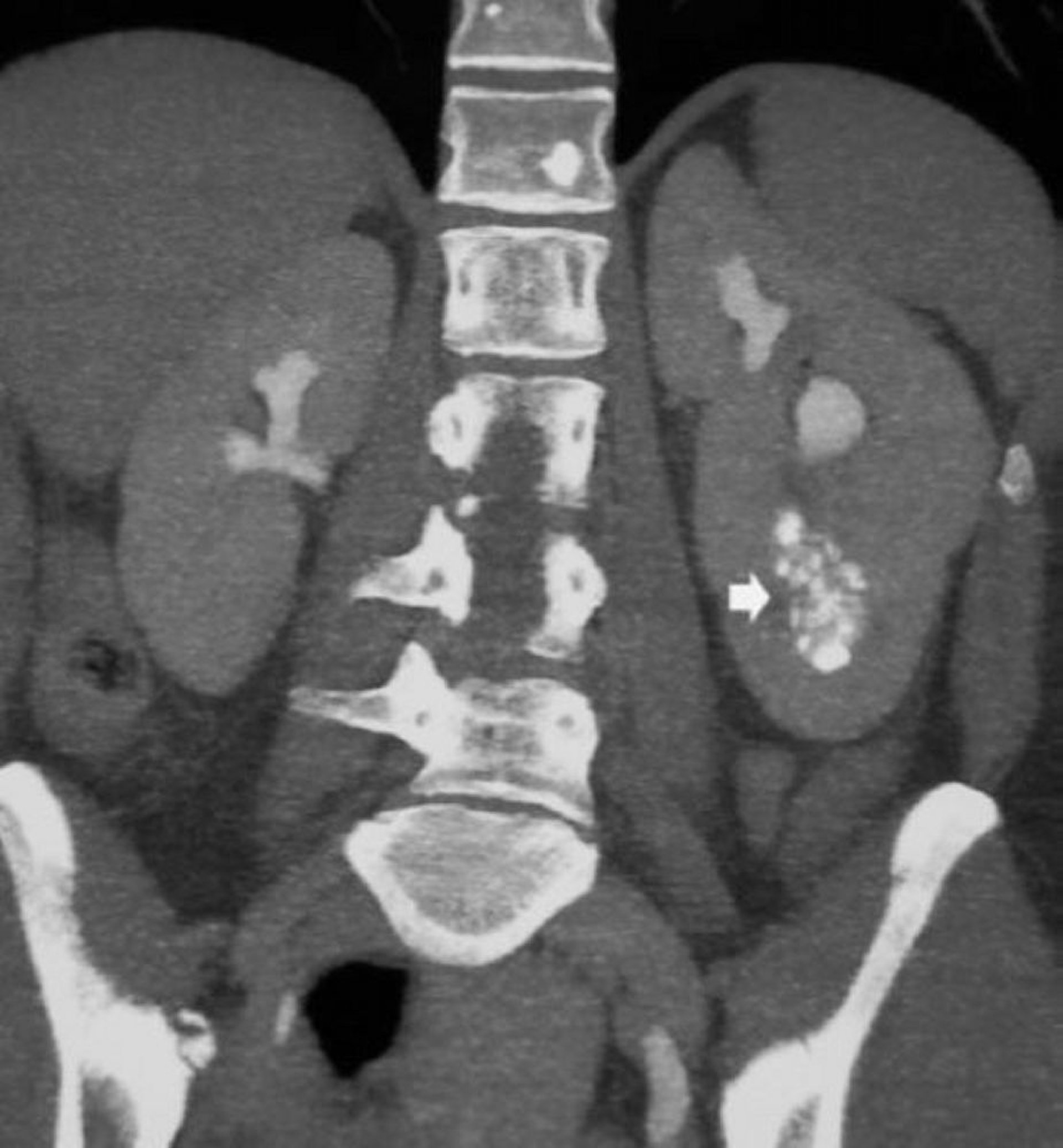
Diese Abbildung zeigt eine medulläre Nephrokalzinose und erweiterte kontrastmittelgefüllte Sammelkanäle bei einem Patienten mit einer Nierenschwammniere (Pfeil).
© Springer Science+Business Media
Die Diagnose wird üblicherweise durch CT bestätigt, aber Ausscheidungsurografie kann ebenfalls verwendet werden. Eine Ultraschalluntersuchung ist nicht hilfreich, weil die Zysten klein sind und tief im Nierenmark liegen.
Behandlung der Markschwammniere
Kontrolle von Komplikationen (z. B. Harnwegsinfektionen, Nierensteine)
Eine Therapie ist nur bei HWI und bei wiederholten Steinbildungen angezeigt. Thiaziddiuretika (z. B. Hydrochlorothiazid, 25 mg oral 1-mal täglich), Kaliumcitrattherapie (30 mEq oral 1-mal täglich) und gesteigerte Flüssigkeitszufuhr können Steinformationen verhindern, indem sie die Kalziumexkretion im Urin reduzieren und Harnstau verhindern (1). Der Patient sollte auch dazu angehalten werden, eine natriumarme, normalkalziumhaltige und normalproteinhaltige Ernährung einzuhalten. Diese Bemühungen können die Häufigkeit obstruktiver Komplikationen bei Patienten mit rezidivierender Steinbildung reduzieren.
Literatur zur Therapie
1. Cicerello E, Ciaccia M, Cova G, Mangano M. The impact of potassium citrate therapy in the natural course of Medullary Sponge Kidney with associated nephrolithiasis. Arch Ital Urol Androl. 2019;91(2):10.4081/aiua.2019.2.102. Published 2019 Jul 2. doi:10.4081/aiua.2019.2.102



