Мембранопроліферативний гломерулонефрит

(мезангіокапілярний гломерулонефрит; часточковий гломерулонефрит)

ЗаFrank O'Brien, MD, Washington University in St. Louis
ПереглянутоNavin Jaipaul, MD, MHS, Loma Linda University School of Medicine
Переглянуто/перевірено Змінено квіт. 2025
v8400241_uk

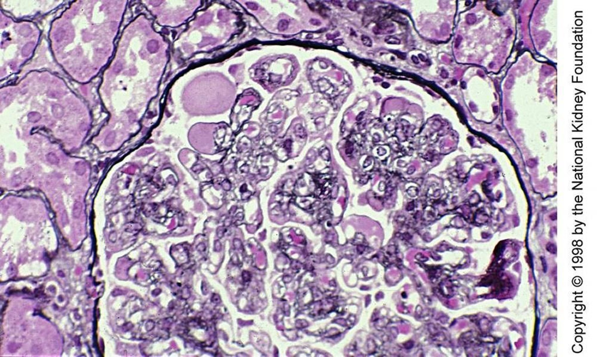
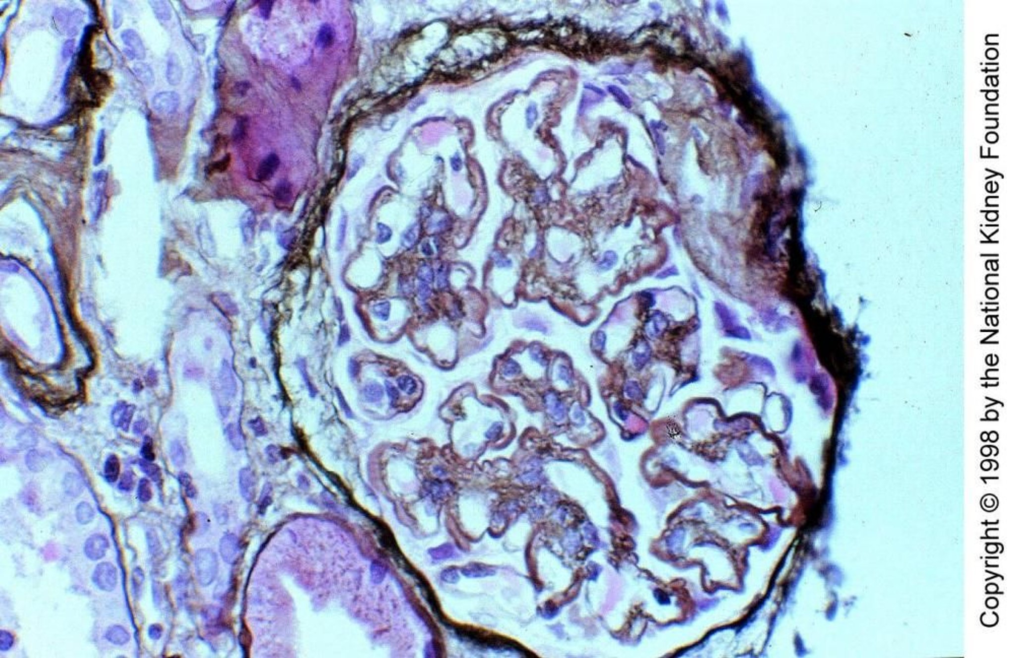
Membranoproliferative glomerulonephritis (MPGN) is characterized by a pattern of glomerular injury on light microscopy, including hypercellularity and thickening of the glomerular basement membrane. The clinical presentation usually consists of mixed nephritic and nephrotic features. Cause is idiopathic or secondary to another disorder. Diagnosis is by renal biopsy. Treatment is directed at the underlying disorder, when present. For patients with idiopathic disease, treatment may be supportive or include corticosteroids and other immunosuppressive agents.

(See also Overview of Nephrotic Syndrome.)

Membranoproliferative glomerulonephritis (MPGN) is characterized histologically by glomerular basement membrane (GBM) thickening and proliferative changes on light microscopy.

The preferred classification is based on pathophysiologic processes and informed by findings on immunofluorescence microscopy (1). This classification scheme broadly divides MPGN into

  • Immunoglobulin/immune complex–mediated MPGN

  • Complement-mediated MPGN

  • MPGN without immunoglobulin or complement deposition

An underlying (secondary) cause is present in the majority of cases regardless of type. Idiopathic (primary) cases are less common and usually observed within the immunoglobulin/immune complex–mediated category.

Primary forms affect children, particularly between 2 and 15 years of age (2), and account for < 10% of cases of nephrotic syndrome in children (3); secondary forms tend to affect adults. Familial cases suggest genetic factors play a role in at least some cases. Many factors contribute to hypocomplementemia.

МПГН, опосередкований імуноглобулінами/імунними комплексами

Immunoglobulin/immune complex–mediated MPGN is due to chronic antigenemia and/or circulating immune complexes and most commonly occurs secondary to one of the following:

Immunofluorescence microscopy findings may suggest certain underlying diseases.

МПГН, опосередкований комплементом

Complement-mediated MPGN is less common than immunuglobulin/immune complex–mediated MPGN. It is caused by dysregulation and persistent activation of the alternative complement pathway, and there is deposition of complement products along the capillary walls and in the mesangium. Complement-mediated MPGN can be further categorized based on features observed on immunofluorescence and electron microscopy as C3 or C4 glomerulonephritis or dense deposition disease (DDD).

Мембранопроліферативний тип МПГН без відкладення імуноглобуліну або комплементу

MPGN without immunoglobulin or complement deposition may occur in:

Histology suggests endothelial injury and reparative changes. Immunofluorescence microscopy does not show significant immunoglobulin or complement deposition, and electron microscopy does not show electron-dense deposits along the capillary walls.

Довідкові матеріали загального характеру

  1. 1. Kidney Disease: Improving Global Outcomes (KDIGO) Glomerular Diseases Work Group. KDIGO 2021 Clinical Practice Guideline for the Management of Glomerular Diseases. Kidney Int 2021;100(4S):S1-S276. doi:10.1016/j.kint.2021.05.021

  2. 2. Wong EKS, Marchbank KJ, Lomax-Browne H, et al. C3 Glomerulopathy and Related Disorders in Children: Etiology-Phenotype Correlation and Outcomes. Clin J Am Soc Nephrol 2021;16(11):1639-1651. doi:10.2215/CJN.00320121

  3. 3. Coppo R, Gianoglio B, Porcellini MG, Maringhini S. Frequency of renal diseases and clinical indications for renal biopsy in children (report of the Italian National Registry of Renal Biopsies in Children). Group of Renal Immunopathology of the Italian Society of Pediatric Nephrology and Group of Renal Immunopathology of the Italian Society of Nephrology. Nephrol Dial Transplant 1998;13(2):293-297. doi:10.1093/oxfordjournals.ndt.a027821

Symptoms and Signs of Membranoproliferative Glomerulonephritis

Symptoms and signs are similar to those for other types of glomerulonephritis. The urine sediment may reveal hematuria (with dysmorphic red cells and/or red cell casts). The degree of proteinuria is variable. The serum creatinine may be normal or elevated.

Patients with dense deposition disease, a subtype of complement-mediated MPGN, have a greater incidence of ocular abnormalities (basal laminar drusen, diffuse retinal pigment alterations, diskiform macular detachment, choroidal neovascularization), which ultimately impair vision (1).

Довідковий матеріал щодо симптомів та ознак

  1. 1. Appel GB, Cook HT, Hageman G, et al. Membranoproliferative glomerulonephritis type II (dense deposit disease): an update. J Am Soc Nephrol 2005;16(5):1392-1403. doi:10.1681/ASN.2005010078

Diagnosis of Membranoproliferative Glomerulonephritis

  • Renal biopsy

  • Serum complement profile

  • Specific laboratory tests based on the classification of the membranoproliferative lesion and associated underlying disorders

Diagnosis is confirmed by renal biopsy. The pattern of immunoglobulin and complement deposition on immunofluorescence microscopy helps classify the type of MPGN lesion. Additional tests are also performed to help identify the underlying cause of the MPGN lesion.

Hypocomplementemia is more frequently present in all types of MPGN than in other glomerular disorders and provides supportive evidence of the diagnosis (see table Serum Complement Profiles in Membranoproliferative Glomerulonephritis). In immunoglobulin/immune complex–mediated MPGN, the classic complement pathway is activated; C3 is normal or mildly decreased, and C4 is typically decreased. In complement-mediated MPGN, the alternate complement pathway is activated; C3 is decreased, but C4 is normal. In MPGN without immunoglobulin complement deposition, C3 and C4 are normal.

Таблиця
Таблиця

Specific laboratory testing for secondary causes is based on their associations with the types of MPGN.

Complete blood count (CBC), often obtained in the course of diagnostic evaluation, demonstrates normochromic-normocytic anemia, often out of proportion to the stage of chronic kidney disease (possibly because of hemolysis), and thrombocytopenia from platelet consumption.

Treatment of Membranoproliferative Glomerulonephritis

  • For adults, renin-angiotensin system inhibition, and/or immunosuppressive therapy

  • Corticosteroids for children with nephrotic-range proteinuria

  • Kidney transplantation for patients with kidney failure

Underlying disorders are treated when possible. Patients with mild disease (ie, normal kidney function and non–nephrotic-range proteinuria or significant hematuria) are typically treated with angiotensin-converting enzyme (ACE) inhibitors or angiotensin II receptor blockers (ARBs). Additional immunosuppressive therapy is typically not indicated in such patients.

Among patients with nephrotic-range proteinuria ( 3 g/day) and normal kidney function, treatment with corticosteroids (eg, prednisone for 1 year, followed by tapering to maintenance therapy) may stabilize kidney function. However, corticosteroid treatment may retard growth in children and cause hypertension. Calcineurin inhibitors (eg, cyclosporine, tacrolimus) may be used as alternatives for patients who do not tolerate or wish to receive corticosteroids. Patients who present with rapidly progressive crescentic MPGN should be treated more aggressively with corticosteroids plus cyclophosphamide (1). Kidney transplantation may be necessary in kidney failure.

Other general supportive measures include dietary and sodium restriction, antihypertensive therapy, renin-angiotensin inhibition, and treatment of dyslipidemia.

Довідковий матеріал щодо лікування

  1. 1. Kidney Disease: Improving Global Outcomes (KDIGO) Glomerular Diseases Work Group. KDIGO 2021 Clinical Practice Guideline for the Management of Glomerular Diseases. Kidney Int 2021;100(4S):S1-S276. doi:10.1016/j.kint.2021.05.021

Prognosis for Membranoproliferative Glomerulonephritis

Prognosis varies based on histopathologic classification, and whether the disease is primary or has a treatable secondary cause (1).

Довідковий матеріал щодо прогнозу

  1. 1. Noris M, Daina E, Remuzzi G. Membranoproliferative glomerulonephritis: no longer the same disease and may need very different treatment. Nephrol Dial Transplant 2023;38(2):283-290. doi:10.1093/ndt/gfab281

Ключові моменти

  • Membranoproliferative glomerulonephritis (MPGN) is a pattern of glomerular injury with characteristic findings on light microscopy, including hypercellularity and thickening of the glomerular basement membrane.

  • Patients most often present with nephrotic syndrome, but they may present with nephritic syndrome.

  • Confirm the diagnosis with renal biopsy and obtain serum complement (C3, C4) and additional tests to classify MPGN as immune complex/monoclonal immunoglobulin-mediated MPGN, complement-mediated MPGN, or MPGN without immunoglobulin or complement deposition.

  • Test for underlying diseases based on clinical presentation and specific type of MPGN.

  • Treat nephrotic-range proteinuria with corticosteroids and consider immunosuppressants depending upon progression of kidney dysfunction; target additional therapy at any specific underlying disease.