Огляд інсульту

ЗаAndrei V. Alexandrov, MD, The University of Tennessee Health Science Center;
Balaji Krishnaiah, MD, The University of Tennessee Health Science Center
ПереглянутоMichael C. Levin, MD, College of Medicine, University of Saskatchewan
Переглянуто/перевірено Змінено черв. 2025
v1034450_uk

Strokes are a heterogeneous group of disorders involving sudden, focal interruption of cerebral blood flow that causes neurologic deficit. Strokes can be

Sudden transient neurologic dysfunction caused by focal brain, spinal cord, or retinal ischemia (typically lasting < 1 hour), without evidence of acute cerebral infarction (based on diffusion-weighted MRI) is termed a transient ischemic attack (TIA) (1, 2).

In the United States, stroke is the fifth most common cause of death and the most common cause of neurologic disability in adults.

Strokes involve the arteries of the brain (see figure Arteries of the Brain), either the anterior circulation (branches of the internal carotid artery) or the posterior circulation (branches of the vertebral and basilar arteries).

Артерії головного мозку

The anterior cerebral artery supplies the medial portions of the frontal and parietal lobes and corpus callosum. The middle cerebral artery supplies large portions of the lateral surfaces of frontal, parietal, and temporal lobes. Branches of the anterior and middle cerebral arteries (lenticulostriate arteries) supply the basal ganglia and anterior limb of the internal capsule.

The vertebral and basilar arteries supply the brain stem, cerebellum, posterior cerebral cortex, and medial temporal lobe. The posterior cerebral arteries bifurcate from the basilar artery to supply the medial temporal (including the hippocampus) and occipital lobes, thalamus, and mammillary and geniculate bodies.

Anterior circulation and posterior circulation communicate in the circle of Willis via the posterior communicating artery.

Фактори ризику

The following are modifiable risk factors that contribute to increased risk of stroke:

Unmodifiable risk factors include the following:

  • Prior stroke

  • Older age

  • Family history of stroke

  • Race and ethnicity

  • Genetic factors

Довідкові матеріали

  1. 1. Kokotailo RA, Hill MD. Coding of stroke and stroke risk factors using international classification of diseases, revisions 9 and 10. Stroke. 2005 Aug;36(8):1776-81. doi: 10.1161/01.STR.0000174293.17959.a1. Epub 2005 Jul 14

  2. 2. Sacco RL, Kasner SE, Broderick JP, et al. An updated definition of stroke for the 21st century: a statement for healthcare professionals from the American Heart Association/American Stroke Association [published correction appears in Stroke. 2019 Aug;50(8):e239. doi: 10.1161/STR.0000000000000205.]. Stroke. 2013;44(7):2064-2089. doi:10.1161/STR.0b013e318296aeca

Symptoms and Signs of Stroke

Initial symptoms of stroke occur suddenly. Symptoms depend on the location of infarction (see figure Areas of the Brain by Function).

Thus, symptoms can include numbness, weakness of limbs or face; aphasia; confusion; visual disturbances in one or both eyes (eg, transient monocular blindness, diplopia); dizziness or loss of balance and coordination; and headache.

Ділянки головного мозку за функціонуванням

Neurologic deficits are used to determine the location of stroke (see table Selected Stroke Syndromes). Anterior circulation stroke typically causes unilateral symptoms. Posterior circulation stroke can cause unilateral or bilateral deficits and is more likely to affect consciousness, especially when the basilar artery is involved.

Таблиця
Таблиця

Systemic or autonomic disturbances (eg, hypertension, fever) occasionally occur.

Other manifestations, rather than neurologic deficits, often suggest the type of stroke. For example:

Ускладнення

Stroke complications can include sleep problems, confusion, depression, incontinence, atelectasis, pneumonia, and swallowing dysfunction, which can lead to aspiration, dehydration, or undernutrition. Immobility can lead to thromboembolic disease, deconditioning, sarcopenia, urinary tract infections, pressure ulcers, and contractures.

Daily functioning (including the ability to walk, see, feel, remember, think, and speak) may be decreased.

Evaluation of Stroke

Evaluation aims to establish the following:

  • Whether stroke has occurred

  • Whether stroke is ischemic or hemorrhagic

  • Whether emergency treatment is required

  • What the best strategies for preventing subsequent strokes are

  • Whether and how to pursue rehabilitation

Stroke is suspected in patients with any of the following:

  • Sudden neurologic deficits compatible with brain damage in an arterial territory

  • A particularly sudden, severe headache

  • Sudden, unexplained coma

  • Sudden impairment of consciousness

When stroke is suspected, clinicians may use standardized criteria to grade severity and follow changes over time. This approach can be particularly useful as an outcome measure in efficacy studies. The National Institutes of Health Stroke Scale (NIHSS) is often used. It is a 15-item scale to evaluate the patient's level of consciousness and language function and to identify motor and sensory deficits by asking the patient to answer questions and to perform physical and mental tasks. It is also useful for choosing appropriate treatment and predicting outcome.

Дослідження

Glucose is measured at bedside to rule out hypoglycemia. Measurement of blood glucose is the only blood test needed for all patients before thrombolytics are given. However, if the patient is receiving an anticoagulant, platelet count, international normalized ratio (INR), and partial thromboplastin time are measured.

If stroke is still suspected, immediate neuroimaging is required to differentiate hemorrhagic from ischemic stroke and to detect signs of increased intracranial pressure.

CT without angiogram is sensitive for intracranial blood but may be normal or show only subtle changes during the first hours of symptoms after anterior circulation ischemic stroke. CT also misses some small posterior circulation strokes. MRI is sensitive for intracranial blood and may detect signs of ischemic stroke missed by CT, but CT can usually be performed more rapidly. If CT does not confirm clinically suspected stroke, diffusion-weighted MRI can usually detect ischemic stroke.

Imaging of the cervical and intracranial vessels is generally recommended as a part of the routine workup to determine etiology and guide further management. Guidelines recommend that all patients with clinical suspicion of large vessel occlusion should undergo vessel imaging (CTA or MRA), especially within 24 hours of symptom onset given advances in acute stroke treatment.

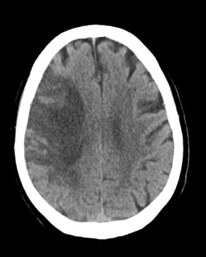
Зображення ішемічного інсульту
Підгострий інфаркт СМА (КТ)
Підгострий інфаркт СМА (КТ)

This image shows low attenuation in the distribution of the right middle cerebral artery consistent with a subacute ischemic stroke with hemorrhage developing in areas of ischemia.

This image shows low attenuation in the distribution of the right middle cerebral artery consistent with a subacute isc

... прочитати більше

© 2017 Elliot K. Fishman, MD.

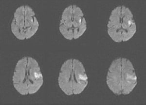
Гострий ішемічний інсульт (МРТ)
Гострий ішемічний інсульт (МРТ)

This MRI scan shows an area of restricted diffusion consistent with an acute ischemic stroke in the left insular and frontal lobes.

This MRI scan shows an area of restricted diffusion consistent with an acute ischemic stroke in the left insular and fr

... прочитати більше

Image courtesy of Ji Y. Chong, MD.

Ішемічний інсульт у лівій середній мозковій артерії (КТ)
Ішемічний інсульт у лівій середній мозковій артерії (КТ)

This noncontrast head CT scan shows a hyperdense left middle cerebral artery. This finding indicates a focal clot in the left middle cerebral artery (arrow).

This noncontrast head CT scan shows a hyperdense left middle cerebral artery. This finding indicates a focal clot in th

... прочитати більше

Image courtesy of Ji Y. Chong, MD.

If consciousness is impaired and lateralizing signs are absent or equivocal, further testing is performed to check for causes other than stroke (eg, postictal state, metabolic encephalopathies, drugs and toxins):

  • Blood tests: Comprehensive metabolic panel (including at least serum electrolytes, blood urea nitrogen [BUN], creatinine, blood glucose, and calcium levels), complete blood count (CBC) with differential and platelets, liver tests, and ammonia level

  • Arterial blood gases (ABGs)

  • Blood and urine culture and routine toxicology

  • Electrocardiography (ECG) to check for myocardial infarction and new arrhythmias

  • Chest radiograph to check for new lung disease that may affect brain oxygenation.

  • Imaging tests to check for masses, hemorrhage, edema, evidence of bone trauma, and hydrocephalus (first, noncontrast head CT, followed by MRI or contrast CT if needed for diagnosis)

  • Echocardiography to check the heart for blood clots, pumping or structural abnormalities, and valve disorders

  • Electroencephalography

After the stroke is identified as ischemic or hemorrhagic, tests are performed to determine the cause. Patients are also evaluated for coexisting acute general disorders (eg, infection, dehydration, hypoxia, hyperglycemia, hypertension). Patients are asked about depression, which commonly occurs after stroke. A dysphagia team evaluates swallowing; sometimes a barium swallow study is necessary.

Treatment of Stroke

Treatment of stroke focuses on interventions to address different needs in the immediate, acute, and convalescent phases of illness, as follows (1):

  • Stabilization

  • Reperfusion for some ischemic strokes

  • Supportive measures and treatment of complications

  • Strategies to prevent future strokes

  • Rehabilitation

Stabilization may need to precede complete evaluation. Comatose or obtunded patients (eg, Glasgow Coma Score 8) may require airway support. If increased intracranial pressure is suspected, intracranial pressure monitoring and measures to reduce cerebral edema may be necessary.

Specific acute treatments vary by type of stroke. They may include reperfusion (eg, IV thrombolysis, mechanical thrombectomy) for some ischemic strokes.

Клінічний калькулятор

Providing supportive care, correcting coexisting abnormalities (eg, fever, hypoxia, dehydration, hyperglycemia, sometimes hypertension), and preventing and treating complications are vital during the acute phase and convalescence (see table Strategies to Prevent and Treat Stroke Complications); these measures clearly improve clinical outcomes (2). During convalescence, measures to prevent aspiration, deep venous thrombosis, urinary tract infections, pressure ulcers, and undernutrition may be necessary. Passive exercises, particularly of paralyzed limbs, and breathing exercises are started early to prevent contractures, atelectasis, and pneumonia.

Таблиця
Таблиця

After a stroke, most patients require rehabilitation (occupational and physical therapy) to maximize functional recovery. Some need additional therapies (eg, speech therapy, feeding restrictions). For rehabilitation, an interdisciplinary approach is best.

Depression after stroke may require antidepressants; many patients benefit from counseling.

Modifying risk factors through lifestyle changes (eg, stopping cigarette smoking) and medications (eg, for hypertension) can help delay or prevent subsequent strokes. Other stroke prevention strategies are chosen based on the patient's risk factors. For ischemic stroke prevention, strategies may include procedures (eg, carotid endarterectomy, stent placement), antiplatelet therapy, and anticoagulation.

Довідкові матеріали щодо лікування

  1. 1. Mead GE, Sposato LA, Sampaio Silva G, et al. A systematic review and synthesis of global stroke guidelines on behalf of the World Stroke Organization. Int J Stroke. 2023;18(5):499-531. doi:10.1177/17474930231156753

  2. 2. Powers WJ, Rabinstein AA, Ackerson T, et al. Guidelines for the Early Management of Patients With Acute Ischemic Stroke: 2019 Update to the 2018 Guidelines for the Early Management of Acute Ischemic Stroke: A Guideline for Healthcare Professionals From the American Heart Association/American Stroke Association [published correction appears in Stroke. 2019 Dec;50(12):e440-e441. doi: 10.1161/STR.0000000000000215.]. Stroke. 2019;50(12):e344-e418. doi:10.1161/STR.0000000000000211

Prognosis for Stroke

The sooner a stroke is treated, the less severe brain damage is likely to be and the better the chances for recovery.

Certain factors, such as type of stroke, older age, and pre-stroke functional dependence, suggest a poor outcome. Strokes that impair consciousness or that affect a large part of the left side of the brain may be particularly grave (1).

Usually, the more quickly patients improve during the days after stroke, the more they will ultimately improve. Improvement commonly continues for 6 to 12 months after the stroke. In adults who have had an ischemic stroke, problems that remain after 12 months are likely to be permanent, but children continue to improve slowly for many months. Older adults fare less well than younger people. For people who already have other serious disorders (eg, dementia), recovery is more limited.

Among all types of strokes, lacunar strokes have the best prognosis.

Compared with ischemic stroke, hemorrhagic stroke is associated with a poorer functional outcome, greater functional dependence, and lower survival. Nevertheless, if a hemorrhagic stroke is not massive and intracranial hypertension is absent, the outcome is likely to be better than that after an ischemic stroke with similar symptoms. Blood (in a hemorrhagic stroke) does not damage brain tissue as much as ischemia does.

Довідковий матеріал щодо прогнозу

  1. 1. Sennfält S, Norrving B, Petersson J, et al. Long-Term Survival and Function After Stroke: A Longitudinal Observational Study From the Swedish Stroke Register. Stroke. 2019;50(1):53-61. doi:10.1161/STROKEAHA.118.022913