Insufficienza respiratoria acuta ipossiemica (insufficienza respiratoria ipossiemica acuta, sindrome da distress respiratorio acuto)

DiBhakti K. Patel, MD, University of Chicago
Reviewed ByRichard K. Albert, MD, Department of Medicine, University of Colorado Denver - Anschutz Medical
Revisionato/Rivisto apr 2024 | Modificata apr 2025
v927066_it
Visualizzazione l’educazione dei pazienti

L'insufficienza respiratoria ipossiemica acuta è definita come un'ipossiemia grave (PaO2 < 60 mmHg) senza ipercapnia. È causata da uno shunt intrapolmonare del sangue con conseguente disallineamento ventilazione-perfusione (V/Q) a causa di riempimento o collasso dello spazio aereo (p. es., edema polmonare cardiogeno o non cardiogeno, polmonite, emorragia polmonare) o possibile malattia delle vie aeree (p. es., a volte asma, broncopneumopatia cronica ostruttiva); o dallo shunt intracardiaco del sangue dalla circolazione destra a quella sinistra. I segni clinici comprendono la dispnea e la tachipnea. La diagnosi si basa sull'emogasanalisi e sulla RX torace. La gestione comprende varie strategie di ossigenazione non invasiva come l'ossigeno ad alto flusso, la ventilazione a pressione positiva continua delle vie aeree (CPAP), o altre strategie di ossigenazione non invasiva, o la ventilazione meccanica invasiva, quando è necessario.

(Vedi anche Panoramica sulla ventilazione meccanica.)

Eziologia dell'insufficienza respiratoria ipossiemica acuta

Il riempimento degli spazi aerei nell'insufficienza respiratoria ipossiemica acuta può derivare da

  • Elevata pressione idrostatica capillare alveolare, come avviene in caso di insufficienza ventricolare sinistra (causando edema polmonare) o ipervolemia

  • Aumento della permeabilità capillare alveolare, come avviene in una qualsiasi delle condizioni predisponenti alla sindrome da distress respiratorio acuto

  • Sangue (come accade nell'emorragia alveolare diffusa) o essudati infiammatori (come si verificano nella polmonite o in altre malattie polmonari infiammatorie)

Gli shunt intracardiaci destro-sinistro, in cui il sangue venoso deossigenato bypassa i polmoni ed entra nella circolazione sistemica, di solito si verificano come una complicanza a lungo termine di grandi shunt sinistro-destro non trattati (p. es., forame ovale pervio, difetto del setto interatriale). Questo fenomeno viene chiamato sindrome di Eisenmenger. Questa discussione si concentra sull'ipossiemia refrattaria dovuta a cause polmonari.

Fisiopatologia dell'insufficienza respiratoria ipossiemica acuta

Sindrome da distress respiratorio acuto

La sindrome da distress respiratorio acuto è una lesione polmonare diffusa e infiammatoria che è causa di insufficienza respiratoria ipossiemica acuta (1). La sindrome da distress respiratorio acuto è divisa in 3 categorie di severità: lieve, moderata e grave basate sui difetti di ossigenazione e criteri clinici. La categoria lieve corrisponde alla categoria precedentemente definita come danno polmonare acuto.

Tabella
Tabella

La diagnosi di sindrome da distress respiratorio acuto basata sulla definizione di Berlino rappresenta un problema nel contesto dei cambiamenti della pratica clinica (ossia, l'uso crescente di cannule nasali ad alto flusso e l'uso ubiquitario della pulsossimetria) e spesso non può essere applicata in ambienti con poche risorse (a causa della mancanza di accesso facile alla radiografia del torace, al prelievo di sangue arterioso e alla ventilazione meccanica). Pertanto, un gruppo di esperti ha proposto di modificare la definizione di Berlino per includere l'ecografia per la conferma delle opacità bilaterali; l'uso della pressione positiva di fine espirazione e l'ossigeno ad alto flusso (di almeno 30 L/minuto); e la saturazione di O2/frazione di ossigeno inspirato (FiO2) 315 se la saturazione di O2 è 97% (2). Le nuove definizioni per le situazioni con poche risorse non classificano la gravità.

Nella sindrome da distress respiratorio acuto l'infiammazione polmonare o sistemica determina il rilascio in circolo di citochine e di altre molecole proinfiammatorie. Le citochine attivano i macrofagi alveolari e reclutano nei polmoni i neutrofili, che a loro volta rilasciano leucotrieni, ossidanti, il fattore di attivazione piastrinica e le proteasi, contribuendo al danno tissutale nei polmoni e in altri organi (biotrauma). Queste sostanze danneggiano l'endotelio capillare e l'epitelio alveolare, distruggendo le barriere esistenti tra i capillari e gli spazi aerei. L'edema, le proteine e i detriti cellulari riempiono gli spazi aerei e l'interstizio, causando la distruzione del surfattante, il collasso degli alveoli, un mismatch tra ventilazione e perfusione, shunt, e ipertensione polmonare. L'atelettasia più comunemente si verifica nelle zone polmonari dipendenti. Questa fase iniziale della sindrome da distress respiratorio acuto è definita essudativa. Più tardi, vi è la proliferazione dell'epitelio alveolare e la fibrosi, che costituiscono la fase fibro-proliferativa.

Un danno polmonare diretto o indiretto può essere implicato tra le cause della sindrome da distress respiratorio acuto.

Cause frequenti di danno polmonare diretto sono

Cause meno frequenti di danno polmonare diretto sono

Le cause frequenti di danno polmonare indiretto comprendono

  • Sepsi

  • Trauma con prolungato shock ipovolemico

Cause meno frequenti di danno polmonare indiretto sono

La sepsi e la polmonite sono responsabili di circa il 60% dei casi di sindrome da distress respiratorio acuto.

Ipossiemia refrattaria

Qualunque sia la causa del riempimento dello spazio aereo nell'insufficienza respiratoria acuta ipossiemica, gli spazi aerei riempiti da liquido o collassati non consentono la penetrazione di nessun gas inspirato, così il sangue che perfonde questi alveoli resta con il contenuto di ossigeno venoso misto a prescindere dall'entità della frazione inspirata di ossigeno (FiO2). Questo effetto determina una mescolanza costante di sangue non ossigenato nelle vene polmonari e pertanto un'ipossiemia arteriosa. Al contrario, l'ipossiemia che risulta dalla ventilazione degli alveoli che hanno meno ventilazione che perfusione (ossia, basso rapporto ventilazione perfusione come avviene nell'asma o nella broncopneumopatia cronica ostruttiva e, in una certa misura, nella sindrome da distress respiratorio acuto) è facilmente corretta con ossigeno supplementare; così, l'insufficienza respiratoria causata dall'asma o da una broncopneumopatia cronica ostruttiva è in genere piuttosto un'insufficienza respiratoria ventilatoria che ipossiemica.

Riferimenti relativi alla fisiopatologia

  1. 1. Grasselli G, Calfee CS, Camporota L, et al: ESICM guidelines on acute respiratory distress syndrome: definition, phenotyping and respiratory support strategies. Intensive Care Med 49(7):727–759, 2023. doi:10.1007/s00134-023-07050-7

  2. 2. Matthay MA, Arabi Y, Arroliga AC, et al. A New Global Definition of Acute Respiratory Distress Syndrome. Am J Respir Crit Care Med 2024;209(1):37-47. doi:10.1164/rccm.202303-0558WS

Sintomatologia dell'insufficienza respiratoria ipossiemica acuta

L'ipossiemia acuta (vedi anche Desaturazione di ossigeno) può causare dispnea, irrequietezza e ansia. I segni comprendono confusione mentale o alterazione dello stato di coscienza, cianosi, tachipnea, tachicardia e sudorazione. Si possono verificare aritmie cardiache e coma.

L'apertura inspiratoria delle vie aeree chiuse provoca crepitii, rilevati durante l'auscultazione toracica; i crepitii sono tipicamente diffusi ma a volte peggiori alle basi polmonari, in particolare nel lobo inferiore sinistro poiché il peso del cuore aumenta l'atelectasia. La distensione delle vene giugulari si verifica in presenza di alti livelli di pressione positiva di fine espirazione o di insufficienza ventricolare destra.

Diagnosi dell'insufficienza respiratoria ipossiemica acuta

L'ipossiemia viene di solito all'inizio riconosciuta con l'uso della pulsossimetria. I pazienti con bassa saturazione di ossigeno devono eseguire un RX torace e devono essere trattati con ossigeno supplementare in attesa dei risultati degli esami. Non tutti i pazienti con bassa saturazione di ossigeno richiedono l'emogasanalisi.

Se l'ossigeno supplementare non determina un miglioramento della saturazione di ossigeno > 90%, bisogna sospettare uno shunt ematico destro-sinistro. Un infiltrato alveolare evidente alla RX torace suggerisce come causa un riempimento alveolare, piuttosto che uno shunt intracardiaco. Tuttavia, al momento della comparsa della malattia, l'ipossiemia può verificarsi prima che le modifiche siano visibili su RX.

Una volta diagnosticata l'insufficienza respiratoria ipossiemica acuta, la causa deve essere determinata. Devono essere considerate sia le cause polmonari che quelle extrapolmonari. Talvolta una patologia nota in atto (p. es., infarto del miocardio acuto, pancreatite, sepsi) rappresenta una causa evidente. In altri casi, l'anamnesi è indicativa; si sospetta una polmonite in un paziente immunocompromesso; e un'emorragia alveolare è sospettata dopo un trapianto di midollo osseo o in un paziente con malattie reumatiche sistemiche. Di frequente, tuttavia, i pazienti in condizioni critiche hanno ricevuto una massiccia infusione EV di liquidi per la rianimazione e l'insufficienza respiratoria ipossiemica acuta ad alta pressione (p. es., causata da insufficienza ventricolare o sovraccarico di liquidi) dovuta al trattamento deve essere distinta da un'insufficienza respiratoria acuta ipossiemica a bassa pressione soggiacente (p. es., causata da sepsi o polmonite).

L'edema polmonare ad alta pressione dovuto a insufficienza ventricolare sinistra è indicato da un 3o tono cardiaco (S3), dalla distensione delle vene giugulari, e dall'edema periferico all'esame obiettivo e dalla presenza di diffusi infiltrati centrali, di cardiomegalia e di un ilo vascolare molto slargato alla RX torace. Gli infiltrati diffusi bilaterali della sindrome da distress respiratorio acuto sono generalmente più periferici. Gli infiltrati focali sono generalmente causati da polmonite lobare, atelettasia o contusione polmonare. Sebbene l'ecocardiografia possa mostrare una disfunzione ventricolare sinistra, implicando un'origine cardiaca, questo reperto non è specifico in quanto la sepsi può ridurre la contrattilità miocardica.

Immagini toraciche di sindrome da distress respiratorio acuto
Sindrome da distress respiratorio acuto
Sindrome da distress respiratorio acuto

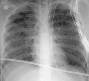
Questa radiografia del torace in posizione verticale mostra opacità bilaterali diffuse caratteristiche della sindrome da distress respiratorio acuto.

Questa radiografia del torace in posizione verticale mostra opacità bilaterali diffuse caratteristiche della sindrome d

... maggiori informazioni

By permission of the publisher. Da Herdegen J, Bone R. In Atlas of Infectious Diseases: Pleuropulmonary and Bronchial Infections. Edited by G Mandell (series editor) and MS Simberkoff. Philadelphia, Current Medicine, 1996.

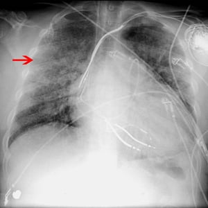
TC di un paziente con sindrome da distress respiratorio acuto
TC di un paziente con sindrome da distress respiratorio acuto

La freccia rossa indica le opacità alveolari diffuse in un paziente con sindrome da distress respiratorio acuto. Il paziente ha anche cardiomegalia, un defibrillatore automatico impiantabile a tre elettrocateteri con punte nel ventricolo destro, e un catetere di Swan Ganz con punta nell'arteria polmonare.

La freccia rossa indica le opacità alveolari diffuse in un paziente con sindrome da distress respiratorio acuto. Il paz

... maggiori informazioni

© 2017 Elliot K. Fishman, MD.

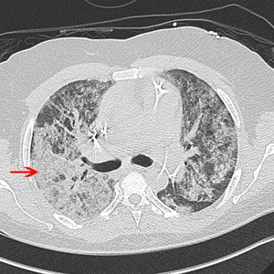
RX di un paziente con sindrome da distress respiratorio acuto
RX di un paziente con sindrome da distress respiratorio acuto

La freccia indica alcune delle opacità alveolari diffuse in un paziente con sindrome da distress respiratorio acuto.

La freccia indica alcune delle opacità alveolari diffuse in un paziente con sindrome da distress respiratorio acuto.

© 2017 Elliot K. Fishman, MD.

Quando la sindrome da distress respiratorio acuto è diagnosticata, se la causa non è ovvia (p. es., trauma, sepsi, infezione polmonare grave, pancreatite), la revisione delle terapie farmacologiche assunte, delle indagini diagnostiche e di laboratorio, e delle procedure e trattamenti eseguiti di recente può suggerire una causa non riconosciuta, come l'uso di mezzo di contrasto RX, un'embolia gassosa o una trasfusione. Quando nessuna causa predisponente può essere scoperta, alcuni esperti raccomandano di eseguire una broncoscopia con lavaggio broncoalveolare per escludere un'emorragia alveolare e una polmonite eosinofila e, se questa procedura non è dirimente, una biopsia polmonare per escludere altre patologie (p. es., polmonite da ipersensibilità, polmonite interstiziale acuta).

Trattamento dell'insufficienza respiratoria ipossiemica acuta

  • Supporto di ossigenazione non invasivo

  • Ventilazione meccanica, se la saturazione di ossigeno è < 90% sull'ossigeno ad alto flusso

L'insufficienza respiratoria ipossiemica acuta è di solito inizialmente trattata con ossigenazione non invasiva al 70-100% (p. es., con una maschera facciale non-rebreather) (1). Tuttavia, l'uso di un supporto di ossigeno non invasivo, come la cannula nasale ad alto flusso e la ventilazione a pressione positiva non invasiva, per la gestione iniziale dell'insufficienza respiratoria ipossiemica acuta è aumentato durante la pandemia del COVID-19 a causa degli effetti che possono potenzialmente evitare l'uso del ventilatore.

Il supporto non invasivo di ossigeno può evitare l'intubazione endotracheale e le sue complicanze; tuttavia, la respirazione spontanea con uno sforzo eccessivo può indurre un danno polmonare noto come danno polmonare auto-inflitto dal paziente. Uno studio clinico che ha confrontato l'efficacia di cannula nasale ad alto flusso, ventilazione non invasiva a pressione positiva con maschera facciale e ossigeno standard per la prevenzione dell'intubazione endotracheale ha suggerito che la cannula nasale ad alto flusso può prevenire l'intubazione endotracheale in pazienti con un rapporto PaO2/FiO2 < 200 (2). C'è stato un aumento della mortalità a 90 giorni osservato nei pazienti randomizzati alla maschera facciale per ventilazione a pressione positiva non invasiva e all'ossigeno standard rispetto alla cannula nasale ad alto flusso. Una spiegazione per questo eccesso di mortalità nel gruppo con maschera facciale per ventilazione a pressione positiva non invasiva può essere che un eccessivo volume corrente peggiora il danno polmonare.

Un altro piccolo studio clinico che ha confrontato la somministrazione di ossigeno mediante casco con quella con maschera facciale ha rilevato tassi più bassi di intubazione endotracheale e mortalità quando è stato utilizzato il casco (3). Ci sono dati limitati che confrontano l'uso della ventilazione non invasiva a pressione positiva con casco alla cannula nasale ad alto flusso in pazienti con insufficienza respiratoria acuta ipossiemica correlata al COVID-19, suggerendo che la ventilazione non invasiva a pressione positiva con casco può ridurre i tassi di intubazione endotracheale, ma non migliora i giorni senza supporto respiratorio (4). Pertanto, non vi è alcuna evidenza conclusiva che indichi la superiorità di entrambi gli approcci per la gestione iniziale dell'ipossiemia. Considerate le preoccupazioni riguardo l'aumento della mortalità, probabilmente a causa di un ritardo nell'intubazione in pazienti con un rapporto PaO2/FiO2 150, il supporto non invasivo di ossigeno nell'ipossiemia da moderata a grave deve essere usato con cautela (5).

Se l'ossigenazione non invasiva non induce una saturazione di ossigeno > 90%, probabilmente la ventilazione meccanica deve essere considerata. Il trattamento specifico varia a seconda della patologia soggiacente.

Calcolatore Clinico

Ventilazione meccanica nell'edema polmonare cardiogeno

La ventilazione meccanica (vedi anche Panoramica sulla ventilazione meccanica) arreca beneficio al ventricolo sinistro insufficiente in diversi modi. La pressione inspiratoria positiva riduce il precarico ventricolare sinistro e destro e il postcarico del ventricolo sinistro e riduce il lavoro respiratorio. La riduzione del lavoro respiratorio può permettere la ridistribuzione di una gittata cardiaca limitata lontano dai muscoli respiratori oberati di lavoro. La pressione espiratoria (pressione positiva espiratoria delle vie aeree) ridistribuisce l'edema polmonare dagli alveoli all'interstizio, permettendo a più alveoli di partecipare allo scambio gassoso. (Tuttavia, nel liberare i pazienti con bassa gittata cardiaca dalla ventilazione meccanica a quella non invasiva, il passaggio dalla pressione positiva delle vie aeree a quella negativa può aumentare il postcarico e causare edema polmonare acuto o peggioramento dell'ipotensione.)

La ventilazione non invasiva a pressione positiva, sia la ventilazione a pressione positiva continua che la ventilazione a due livelli, è utile per evitare l'intubazione endotracheale in molti pazienti, nei quali la terapia farmacologica spesso porta a un rapido miglioramento. Le impostazioni tipiche sono una pressione inspiratoria positiva delle vie aeree di 10-15 cm-H2O e una pressione espiratoria positiva delle vie aeree tra i 5 e gli 8 cm-H2O.

La ventilazione meccanica convenzionale può usare diversi modi di ventilazione. Il più delle volte, in situazioni acute si utilizza una ventilazione assistita controllata (A/C), se si desidera un supporto ventilatorio completo. Le impostazioni iniziali sono un volume corrente di 6-8 mL/kg di peso corporeo ideale, una frequenza respiratoria di 25/min, una FiO2 di 1,0 e una pressione positiva di fine espirazione di 5-8 cm-H2O. La pressione positiva di fine espirazione può quindi essere aumentata con incrementi di 2,5 cm-H2O, mentre la FiO2 viene ridotta a livelli non tossici.

La ventilazione a supporto pressorio può essere anche utilizzata (con livelli simili di pressione positiva di fine espirazione). La pressione inspiratoria delle vie aeree somministrata all'inizio deve essere sufficiente a mettere a riposo i muscoli respiratori come indicato dalla valutazione soggettiva del paziente, dalla frequenza respiratoria e dall'uso dei muscoli accessori. Generalmente, è necessario un livello di supporto pressorio di 10-20 cm-H2O in più rispetto alla pressione positiva di fine espirazione.

Ventilazione meccanica in corso di sindrome da distress respiratorio acuto

Quasi tutti i pazienti con sindrome da distress respiratorio acuto necessitano di ventilazione meccanica (1) che, oltre a migliorare l'ossigenazione, riduce la richiesta di ossigeno da parte dei muscoli respiratori. Gli obiettivi comprendono

  • Pressioni di plateau alveolare < 30 cm-H2O (fattori che potenzialmente diminuiscono la compliance toracica e addominale considerati)

  • Volume corrente di 6 mL/kg di peso corporeo ideale per ridurre al minimo ulteriori lesioni polmonari

  • FIO2 più bassa possibile per mantenere un'adeguata saturazione di O2 per ridurre al minimo la possibile tossicità da O2

La pressione positiva di fine espirazione deve essere sufficiente per mantenere gli alveoli aperti e ridurre al minimo FiO2 fino a una pressione di plateau 28 a 30 cm-H2O. I pazienti con sindrome da distress respiratorio acuto da moderata a grave hanno più probabilità di avere una riduzione della mortalità con l'uso di una maggiore pressione positiva di fine espirazione.

La ventilazione non invasiva a pressione positiva è talvolta utile nella sindrome da distress respiratorio acuto. Tuttavia, rispetto al trattamento dell'edema polmonare cardiogeno, spesso sono necessari dei livelli maggiori di supporto per un tempo maggiore e una pressione espiratoria positiva delle vie aeree di 8-12 cm-H2O è spesso necessaria per mantenere un'adeguata ossigenazione. Il raggiungimento di questa pressione espiratoria richiede una pressione inspiratoria > 18 a 20 cm-H2O, che non è ben tollerata; mantenere una tenuta adeguata diventa difficile, la maschera diventa più fastidiosa e possono comparire necrosi cutanea e insufflazione gastrica. Inoltre, i pazienti trattati con ventilazione non invasiva a pressione positiva che successivamente necessitano dell'intubazione generalmente sono progrediti verso una condizione più avanzata che non sarebbe comparsa se fossero stati intubati prima; così, al momento dell'intubazione è possibile una desaturazione critica. Sono quindi necessari un monitoraggio intensivo e un'attenta selezione dei pazienti per la ventilazione non invasiva a pressione positiva.

La ventilazione meccanica convenzionale in corso di sindrome da distress respiratorio acuto precedentemente si focalizzava sulla normalizzazione dei valori dell'emogasanalisi. È chiaro che la ventilazione con bassi volumi correnti riduce la mortalità. Di conseguenza, nella maggior parte dei pazienti, il volume corrente deve essere fissato a 6 mL/kg di peso corporeo ideale (vedi barra laterale Gestione iniziale della ventilazione nella sindrome da distress respiratorio acuto). Questa regolazione richiede un aumento della frequenza respiratoria, anche fino a 35/min, per produrre una ventilazione alveolare sufficiente per un'adeguata rimozione di diossido di carbonio. Occasionalmente, comunque, si sviluppa un'acidosi respiratoria, che in lieve grado viene accettata per il maggior beneficio di limitare il danno polmonare associato alla ventilazione meccanica che di solito è ben tollerato, particolarmente quando il pH è 7,15. Se il pH scende sotto 7,15, l'infusione di bicarbonato può essere utile. Allo stesso modo, la saturazione di ossigeno al di sotto dei livelli "normali" può essere accettata; l'obiettivo di saturazione dell'88-95% limita l'esposizione a livelli tossici eccessivi di FiO2 e ha ancora un beneficio in termini di sopravvivenza.

Dato che l'ipercapnia o un basso volume corrente isolatamente può causare dispnea e indurre il paziente a respirare in modo non coordinato con il ventilatore, analgesici (fentanil o morfina) e sedativi (p. es., propofol con dosaggio di 5 mcg/kg/min e aumentando fino a 50 mcg/kg/min; a causa del rischio di ipertrigliceridemia, i trigliceridi devono essere controllati ogni 48 h) possono essere necessari (vedi anche Sedazione e comfort). La sedazione è preferita al blocco neuromuscolare, perché il blocco richiede comunque una sedazione e può causare debolezza residua.

La pressione positiva di fine espirazione migliora l'ossigenazione nella sindrome da distress respiratorio acuto aumentando il volume di polmone aerato attraverso il reclutamento alveolare, permettendo l'impiego di una FiO2 inferiore. Il livello ottimale di pressione positiva di fine espirazione e il modo di identificarlo sono già stati discussi. L'uso di routine delle manovre di reclutamento (p. es., titolazione della pressione positiva di fine espirazione alla pressione massima di 35-40 cm-H2O e mantenuta per 1 minuto) seguito da decrementale titolazione della pressione positiva di fine espirazione è stato associato a una maggiore mortalità a 28 giorni (6). Pertanto, molti medici usano la minima quantità di pressione positiva di fine espirazione che determina un'adeguata saturazione arteriosa di ossigeno a una FiO2 non tossica. Nella maggior parte dei pazienti, questo livello è una pressione positiva di fine espirazione da 8 a 15 cm-H2O, sebbene, di tanto in tanto, i pazienti con sindrome da distress respiratorio acuto grave richiedano livelli > 20 cm-H2O. In questi casi, bisogna prestare estrema attenzione agli altri mezzi che ottimizzano l'erogazione di ossigeno e minimizzano il consumo di ossigeno.

Il migliore indicatore dell'iperdistensione alveolare è la misurazione della pressione di plateau attraverso una manovra manuale di fine inspirazione; la misurazione della pressione di plateau va ripetuta ogni 4 h e dopo ogni cambiamento della pressione positiva di fine espirazione o del volume corrente. La pressione target al plateau è < 30 cm H2O nei pazienti con normale compliance della parete toracica (capacità della parete di espandersi e contrarsi). Per evitare un'ipoventilazione, l'obiettivo di pressione plateau può essere più alto in caso di anomalie della compliance della parete toracica (p. es., ascite, versamento pleurico, distensione addominale acuta, trauma toracico). Al contrario, se la pressione di plateau supera i 30 cm H2O e se non vi è alcun problema di parete toracica che potrebbe contribuirvi, il medico deve ridurre il volume corrente in incrementi di 0,5 mL/kg a 1,0 mL/kg, secondo tolleranza a un minimo di 4 mL/kg, aumentando la frequenza respiratoria per compensare la riduzione della ventilazione al minuto e controllando la forma dell'onda di ventilazione per assicurarsi che si verifichi una completa espirazione. La frequenza respiratoria spesso può essere aumentata fino a 35/min prima che si verifichi un evidente intrappolamento di aria dovuta a espirazione incompleta. Se la pressione di plateau è < 25 cm-H2O e il volume corrente è < 6 mL/kg, quest'ultimo può essere aumentato fino a 6 mL/kg o fino al raggiungimento di una pressione di plateau di > 25 cm-H2O.

Alcuni ricercatori credono che la ventilazione a controllo pressorio protegga i polmoni in modo migliore del controllo volumetrico, ma mancano dati a sostegno ed è la pressione di picco piuttosto che la pressione di plateau che viene controllata. Con la ventilazione a pressione controllata, poiché il volume corrente varierà in base alla compliance polmonare del paziente, è necessario monitorarlo di continuo e regolare la pressione inspiratoria per garantire che il paziente non riceva un volume corrente troppo alto o troppo basso.

Gestione iniziale della ventilazione nella sindrome da distress respiratorio acuto

Generalmente, si raccomanda il seguente approccio per la gestione dei ventilatori in caso di sindrome da distress respiratorio acuto:

  • Una modalità a controllo assistito è di solito usata inizialmente con un volume corrente di 6 mL/kg con peso corporeo ideale, frequenza respiratoria di 25/min, flusso di 60 L/min, FiO2 di 1,0 e pressione positiva di fine espirazione di 15 cm-H2O.

  • Una volta che la saturazione di ossigeno è > 90%, la FiO2 è diminuita.

  • A questo punto, la pressione positiva di fine espirazione viene ridotta con incrementi di 2,5 cm-H2O a seconda della tolleranza del paziente per trovare la minima pressione positiva di fine espirazione associata a una saturazione di ossigeno del 90% con una FiO2 di 0,6.

  • La frequenza respiratoria viene poi aumentata fino a 35/min per ottenere un pH > 7,15, o fino a quando il tracciato del flusso espiratorio mostra la presenza di un flusso di fine espirazione.

Per determinare il volume corrente ideale nei pazienti con pneumopatia, sottoposti a ventilazione meccanica, si utilizza il peso corporeo ideale piuttosto che quello reale:

La posizione prona migliora l'ossigenazione in alcuni pazienti in quanto consente il reclutamento delle regioni polmonari non ventilate. Alcune prove suggeriscono che questo posizionamento migliori sostanzialmente la sopravvivenza (7, 8). È interessante notare che il tasso di mortalità migliora con la posizione prona e non è correlato al grado di ipossiemia o all'entità dell'alterazione dello scambio gassoso, ma probabilmente è correlato alla riduzione del danno polmonare associato alla ventilazione meccanica.

La gestione dei liquidi ottimale nei pazienti con sindrome da distress respiratorio acuto bilancia l'esigenza di un volume circolante sufficiente per preservare la perfusione d'organo, con l'obiettivo di ridurre il precarico e limitando in tal modo la trasudazione di liquido nei polmoni. Un vasto studio multicentrico ha dimostrato che un approccio conservativo per la gestione dei liquidi, in cui ne sono somministrati di meno, accorcia la durata della ventilazione meccanica e la degenza in unità di terapia intensiva rispetto a una strategia diversa. Tuttavia, non vi era alcuna differenza nella sopravvivenza tra i 2 approcci, e anche l'uso di un catetere arterioso polmonare non migliora il risultato (9). I pazienti non in stato di shock sono candidati per tale approccio, ma devono essere attentamente monitorati per eventuali segni di ridotta perfusione d'organo, come ipotensione, oliguria, pulsazioni flebili, o estremità fredde.

È ancora da identificare un trattamento farmacologico definitivo per la sindrome da distress respiratorio acuto che riduca la morbilità e la mortalità. L'inalazione di ossido nitrico, la terapia sostitutiva con surfattante, proteina C attivata (drotrecogin alfa), e molti altri farmaci diretti a modulare la risposta infiammatoria sono stati studiati e non si sono rivelati in grado di ridurre la morbilità o la mortalità (10). I dati sull'efficacia dei corticosteroidi nella sindrome da distress respiratorio acuto sono inconcludenti (11). Un recente studio clinico non in cieco con desametasone somministrato precocemente in casi di sindrome da distress respiratorio acuto da moderata a grave ha suggerito miglioramenti nei giorni senza ventilatore e nella mortalità, ma lo studio è stato interrotto precocemente a causa dell'arruolamento lento, che può amplificare gli effetti del trattamento (12). Così, il ruolo dei corticosteroidi nella sindrome da distress respiratorio acuto rimane incerto e sono necessari ulteriori dati.

Riferimenti relativi al trattamento

  1. 1. Grasselli G, Calfee CS, Camporota L, et al: ESICM guidelines on acute respiratory distress syndrome: definition, phenotyping and respiratory support strategies. Intensive Care Med 49(7):727–759, 2023. doi:10.1007/s00134-023-07050-7

  2. 2. Frat JP, Thille AW, Mercat A, et al: High-flow oxygen through nasal cannula in acute hypoxemic respiratory failure. N Engl J Med 372:2185–2196, 2015. doi: 10.1056/NEJMoa1503326

  3. 3. Patel BK, Wolfe KS, Pohlman AS, et al: Effect of noninvasive ventilation delivered by helmet vs face mask on the rate of endotracheal intubation in patients with acute respiratory distress syndrome: A randomized clinical trial. J AMA 315(22):2435–2441, 2016. doi: 10.1001/jama.2016.6338

  4. 4. Grieco DL, Menga LS, Cesarano M, et al: Effect of helmet noninvasive ventilation vs high-flow nasal oxygen on days free of respiratory support in patients With COVID-19 and moderate to severe hypoxemic respiratory failure: The HENIVOT randomized clinical trial. JAMA 325(17):1731–1743, 2021. doi: 10.1001/jama.2021.4682

  5. 5. Bellani G, Laffey JG, Pham T, et al: Noninvasive ventilation of patients with acute respiratory distress syndrome. Insights from the LUNG SAFE study. Am J Respir Crit Care Med 195(1):67–77, 2017. doi: 10.1164/rccm.201606-1306OC

  6. Demiselle J, Calzia E, Hartmann C, et al: Target arterial PO2 according to the underlying pathology: a mini-review of the available data in mechanically ventilated patients. Ann Intensive Care 11(1):88, 2021. doi:10.1186/s13613-021-00872-y

  7. 6. Writing Group for the Alveolar Recruitment for Acute Respiratory Distress Syndrome Trial (ART) Investigators, Cavalcanti AB, Suzumura ÉA, et al: Effect of lung recruitment and titrated positive end-expiratory pressure (PEEP) vs low PEEP on mortality in patients with acute respiratory distress syndrome: A randomized clinical trial. JAMA 318(14):1335–1345, 2017. doi: 10.1001/jama.2017.14171

  8. 7. Guérin C, Reignier J, Richard JC, et al: Prone positioning in severe acute respiratory distress syndrome. N Engl J Med 368(23):2159–2168, 2013. doi: 10.1056/NEJMoa1214103

  9. 8. Scholten EL, Beitler JR, Prisk GK, et al: Treatment of ARDS with prone positioning. Chest 151:215–224, 2017. doi: 10.1016/j.chest.2016.06.032. Epub 2016 Jul 8

  10. 9. National Heart, Lung, and Blood Institute Acute Respiratory Distress Syndrome (ARDS) Clinical Trials Network, Wiedemann HP, Wheeler AP, et al: Comparison of two fluid-management strategies in acute lung injury. N Engl J Med 354(24):2564–2575, 2006. doi: 10.1056/NEJMoa062200

  11. 10. Qadir N, Chang SY: Pharmacologic Treatments for Acute Respiratory Distress Syndrome. Crit Care Clin 37(4):877–893, 2021. doi:10.1016/j.ccc.2021.05.009

  12. 11. Lewis SR, Pritchard MW, Thomas CM, Smith AF: Pharmacological agents for adults with acute respiratory distress syndrome. Cochrane Database Syst Rev 7(7):CD004477, 2019. doi:10.1002/14651858.CD004477.pub3

  13. 12. Villar J, Ferrando C, Martinez D, et al: Dexamethasone treatment for the acute respiratory distress syndrome: a multicentre, randomised controlled trial. Lancet Respir Med 8: 267–276, 2020. doi: 10.1016/S2213-2600(19)30417-5

Prognosi dell'insufficienza respiratoria ipossiemica acuta

La prognosi è molto variabile e dipende da una varietà di fattori, tra cui

  • Eziologia dell'insufficienza respiratoria

  • Gravità della malattia

  • Età

  • Stato di salute cronico

In generale, la mortalità della sindrome da distress respiratorio acuto era molto alta (dal 40 al 60%) ma si è ridotta negli ultimi anni al 25-40% (1), forse grazie ai miglioramenti della ventilazione meccanica e del trattamento della sepsi. Tuttavia, la mortalità rimane molto elevata (> 40%) per i pazienti con sindrome da distress respiratorio acuto grave (ossia, quelli con un PaO2:FiO2 < 100 mmHg).

Il più delle volte, il decesso non è causato dalla disfunzione respiratoria ma dalla sepsi e dall'insufficienza multiorgano. La persistenza di neutrofili e di alti livelli di citochine nel liquido del lavaggio broncoalveolare annuncia una prognosi scarsa. Negli altri casi la mortalità aumenta con l'età, la presenza di sepsi e con la gravità dell'insufficienza d'organo preesistente o della disfunzione d'organo coesistente.

La funzione polmonare ritorna più vicina al normale in 6-12 mesi nella maggior parte dei pazienti che sopravvivono alla sindrome da distress respiratorio acuto; tuttavia, i pazienti con un decorso clinico protratto o con malattia grave possono presentare sintomi polmonari residui e molti hanno una debolezza neuromuscolare persistente, limitazioni dello sforzo e danno cognitivo.

Riferimento relativo alla prognosi

  1. 1. Bellani G, Laffey JG, Pham T, et al. Epidemiology, Patterns of Care, and Mortality for Patients With Acute Respiratory Distress Syndrome in Intensive Care Units in 50 Countries [published correction appears in JAMA 2016 Jul 19;316(3):350] [published correction appears in JAMA 2016 Jul 19;316(3):350]. JAMA 2016;315(8):788-800. doi:10.1001/jama.2016.0291

quizzes_lightbulb_red
Test your KnowledgeTake a Quiz!
iOS ANDROID
iOS ANDROID
iOS ANDROID