Tumore epatico metastatico

DiDanielle Tholey, MD, Sidney Kimmel Medical College at Thomas Jefferson University
Reviewed ByMinhhuyen Nguyen, MD, Fox Chase Cancer Center, Temple University
Revisionato/Rivisto mar 2025 | Modificata ago 2025
v760356_it
CONSULTA LA VERSIONE PER I PROFESSIONISTI

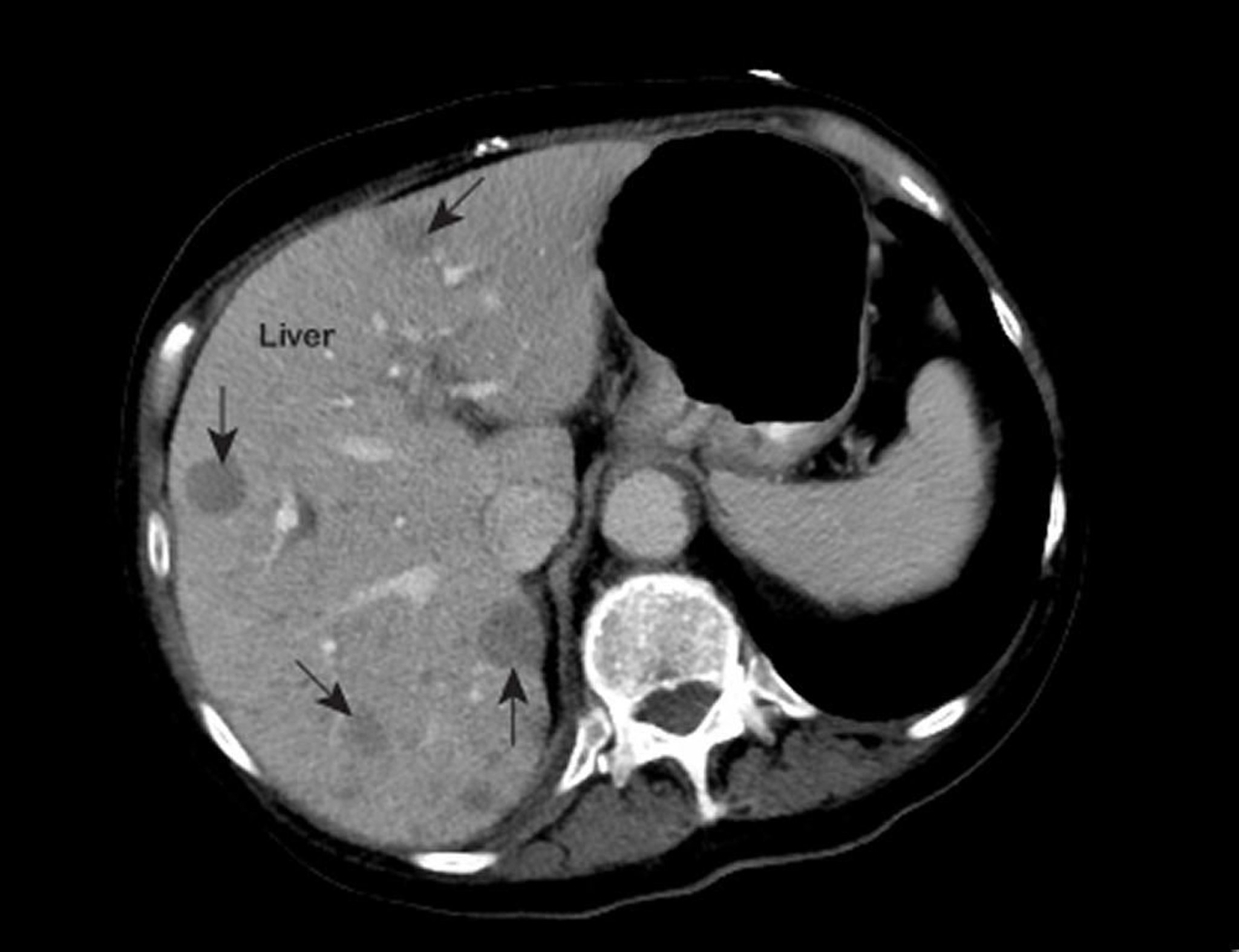
Il tumore epatico metastatico è un tumore che si è sviluppato in altre parti del corpo e si è diffuso al fegato.

  • I primi sintomi comprendono perdita di peso e scarso appetito.

  • Il medico basa la diagnosi sui risultati degli esami del sangue e generalmente sulla biopsia.

  • Gli agenti chemioterapici e la radioterapia possono alleviare i sintomi, ma non curano il cancro.

(Vedere anche Panoramica sui tumori epatici.)

Il tumore epatico metastatico solitamente ha origine nei polmoni, nelle mammelle, nel colon, nel pancreas o nello stomaco. Il fegato può essere interessato anche da leucemia (tumore dei globuli bianchi) e linfoma (tumore del sistema linfatico), in particolare il linfoma di Hodgkin.

I tumori si diffondono al fegato perché esso filtra la maggior parte del sangue proveniente dal resto del corpo: quando le cellule tumorali si distaccano da un tumore primario, spesso entrano nel circolo sanguigno e viaggiano fino al fegato. Talvolta, l’identificazione di un tumore epatico metastatico è il primo segno che indica che la persona è affetta da cancro.

Sintomi di tumore epatico metastatico

Spesso, i primi sintomi sono vaghi e comprendono perdita di peso, inappetenza e talvolta febbre. Tipicamente, il fegato è ingrossato, di consistenza dura, ma può essere molle e spesso bozzoluto. Occasionalmente, la milza risulta ingrossata. Inizialmente, il soggetto può o meno presentare un lieve ittero (anomala colorazione giallastra della cute e delle sclere), a meno che il tumore non ostruisca i dotti biliari. Se il tumore stesso si sviluppa o si diffonde talmente tanto da sostituire la maggior parte del tessuto epatico (malattia infiltrativa), l’addome può gonfiarsi di liquidi (apparire disteso; una condizione definita ascite).

Nelle persone con malattia infiltrativa l’ittero peggiora progressivamente nelle settimane che precedono la morte. Quando nel cervello si accumulano tossine perché il fegato è troppo danneggiato per eliminarle dal sangue, il soggetto può presentare stato confusionale e sonnolenza. Tale patologia è denominata encefalopatia epatica.

Sapevate che...

  • Talvolta, l’identificazione di un tumore epatico metastatico è il primo segno che indica la presenza di un tumore in un’altra parte del corpo.

Diagnosi di tumore epatico metastatico

  • Esami di diagnostica per immagini del fegato

Il medico può sospettare un tumore epatico metastatico nei soggetti che perdono peso e presentano fegato ingrossato, oppure in coloro che sono affetti da un tumore che tende a diffondersi al fegato. Tuttavia, molti medici hanno difficoltà a diagnosticare il tumore se non quando è già in fase avanzata.

Se il medico sospetta un tumore epatico, si effettuano test epatici, semplici esami del sangue per valutare il grado di funzionalità del fegato e i risultati possono essere anomali, come accade in molte altre patologie. Quindi, questi riscontri non possono confermare la diagnosi. Di solito, è utile l’ecografia, ma la tomografia computerizzata (TC) e la risonanza magnetica per immagini (RMI) del fegato sono generalmente più accurate nel rilevare il tumore. Prima di effettuare la TC o l’RMI, di solito si inietta un mezzo di contrasto in vena che facilita la visualizzazione di anomalie eventualmente presenti (vedere Esami di diagnostica per immagini del fegato e della cistifellea). Tuttavia, gli esami di diagnostica per immagini non sempre riescono a rilevare tumori di piccole dimensioni o a distinguere il tumore dalla cirrosi o da altre anomalie.

Esame di laboratorio

Se dopo aver eseguito gli esami di diagnostica per immagini la diagnosi è ancora incerta o se sono necessarie maggiori informazioni per decidere il trattamento da prescrivere, si può ricorrere a una biopsia epatica (la rimozione di un campione di tessuto da esaminare al microscopio) per confermare la diagnosi. Per aumentare le probabilità di prelevare tessuto canceroso, il medico esegue un’agobiopsia sotto guida ecografica o con l’ausilio della TC. In alternativa, per identificare e prelevare il tessuto canceroso, dopo aver effettuato una piccola incisione il medico può inserire nell’addome una sonda flessibile a fibre ottiche (laparoscopio).

Trattamento del tumore epatico metastatico

  • Chemioterapia

  • Irradiazione

  • Trattamento chirurgico

  • Talvolta trapianto di fegato (quando il tumore del colon-retto si diffonde al fegato)

Il trattamento dipende dal tipo di tumore primario e fin dove si è diffuso. Le opzioni terapeutiche prevedono quanto segue:

  • Agenti chemioterapici: questi farmaci possono essere usati per ridurre temporaneamente le dimensioni del tumore e prolungare la sopravvivenza, ma queste cure non sono risolutive. Gli agenti chemioterapici possono essere iniettati nell’arteria principale del fegato (arteria epatica), riversando così un’alta concentrazione di farmaco direttamente nelle cellule tumorali epatiche. Con questo metodo, il resto del corpo è meno esposto ai farmaci e quindi gli effetti collaterali sono minori e più lievi.

  • Radioterapia epatica: talvolta questa terapia riduce l’intenso dolore causato dal tumore in fase avanzata, ma apporta scarsi benefici.

  • Chirurgia: Se nel fegato è presente solo un tumore isolato o ci sono pochi tumori di piccole dimensioni, è possibile rimuoverli chirurgicamente, specialmente se hanno avuto origine nell’intestino. Tuttavia, non tutti gli specialisti prendono in considerazione questo intervento.

Se il tumore primario è una leucemia o un linfoma, il medico si concentra sul trattamento di questo tumore.

In alcuni soggetti il cui tumore del colon-retto si è diffuso al fegato, il trapianto di fegato gioca un ruolo in continua evoluzione.

Se il tumore è ampiamente diffuso, di solito tutto ciò che il medico può fare è alleviare i sintomi (vedere Sintomi di malattia letale). Il soggetto può redigere una dichiarazione anticipata di trattamento che specifichi il tipo di trattamento desiderato nel caso in cui diventi incapace di decidere sulle cure.

Ulteriori informazioni

Di seguito si riportano alcune risorse in lingua inglese che possono essere utili. Si prega di notare che il Manuale non è responsabile del contenuto di queste risorse.

  1. American Cancer Society

  2. American Liver Foundation

quizzes_lightbulb_red
Test your KnowledgeTake a Quiz!