La nefropatia diabetica consiste nella sclerosi e nella fibrosi glomerulari causate dalle alterazioni metaboliche ed emodinamiche del diabete mellito. Si manifesta come albuminuria lentamente progressiva, con un peggioramento dell'ipertensione e della malattia renale cronica. La diagnosi si basa su anamnesi, esame obiettivo, analisi delle urine e rapporto albumina/creatinina urinaria. Il trattamento consiste nello stretto controllo glicemico, nell'inibizione dell'angiotensina (usando ACE-inibitori o bloccanti dei recettori dell'angiotensina II), e nel controllo della pressione arteriosa e dei lipidi.
(Vedi anche Complicanze del diabete mellito; Nefropatia diabetica.)
La nefropatia diabetica è la causa più frequente di sindrome nefrotica negli adulti. La nefropatia diabetica è anche la causa più comune di insufficienza renale a livello mondiale, rappresentando fino alla metà dei nuovi casi negli Stati Uniti. La prevalenza nel corso della vita dell'insufficienza renale è di circa il 40% tra i pazienti con diabete mellito (1, 2). L'insufficienza renale associata al diabete è particolarmente comune in alcuni gruppi etnici; negli Stati Uniti l'insufficienza renale è comune tra le persone di origine africana, ispanica e nativo-americana (3). Altri fattori di rischio comprendono:
Durata e grado dell'iperglicemia
Alcuni polimorfismi che interessano il sistema renina-angiotensina-aldosterone
Anamnesi familiare di nefropatia diabetica
Variabili genetiche (riduzione del numero di glomeruli)
Poiché il diabete di tipo 2 è spesso presente per diversi anni prima di essere riconosciuto, la nefropatia può essere presente al momento della diagnosi; il 25% dei pazienti con diabete di tipo 2 presenterà microalbuminuria 10 anni dopo la diagnosi (4). L'insufficienza renale può impiegare da 10 a 20 anni per svilupparsi; per esempio, uno studio riporta una durata media dalla diagnosi di diabete di tipo 2 all'insufficienza renale di 14 anni (5).
Riferimenti generali
1. de Boer IH, Khunti K, Sadusky T, et al. Diabetes management in chronic kidney disease: a consensus report by the American Diabetes Association (ADA) and Kidney Disease: Improving Global Outcomes (KDIGO). Kidney Int 2022;102(5):974-989. doi:10.1016/j.kint.2022.08.012
2. Burrows NR, Koyama A, Pavkov ME. Reported Cases of End-Stage Kidney Disease - United States, 2000-2019. MMWR Morb Mortal Wkly Rep 2022;71(11):412-415. Published 2022 Mar 18. doi:10.15585/mmwr.mm7111a3
3. United States Renal Data System. 2024 USRDS Annual Data Report: Epidemiology of kidney disease in the United States. National Institutes of Health, National Institute of Diabetes and Digestive and Kidney Diseases, Bethesda, MD, 2024.
4. Adler AI, Stevens RJ, Manley SE, et al. Development and progression of nephropathy in type 2 diabetes: the United Kingdom Prospective Diabetes Study (UKPDS 64). Kidney Int 2003;63(1):225-232. doi:10.1046/j.1523-1755.2003.00712.x
5. Ng YP, Ahmed R, Ooi GS, Lau CY, Balasubramanian GP, Yap CH. The rate of progression of type 2 diabetes mellitus to end stage renal disease - A single centred retrospective study from Malaysia. Diabetes Metab Syndr 2018;12(6):1025-1030. doi:10.1016/j.dsx.2018.06.018
Fisiopatologia della nefropatia diabetica
La patogenesi inizia con l'interessamento dei piccoli vasi. La fisiopatologia è complessa, interessando glicosilazione delle proteine, rilascio di citochine a controllo ormonale (p. es., tGF-beta), deposito di matrice mesangiale e alterazione dell'emodinamica glomerulare. L'iperfiltrazione, un'alterazione funzionale precoce, è soltanto un indicatore relativo di evoluzione verso l'insufficienza renale.
L'iperglicemia determina la glicosilazione delle proteine glomerulari, cosa che può essere responsabile della proliferazione delle cellule mesangiali e dell'espansione della matrice, nonché delle lesioni dell'endotelio vascolare. La membrana basale glomerulare classicamente si ispessisce.
Sono caratteristiche le lesioni della glomerulosclerosi intercapillare diffusa o nodulare; aree di nefrosclerosi nodulare possono essere attribuite a lesioni di Kimmelstiel-Wilson. Vi è una marcata ialinosi, così come un'arteriosclerosi delle arteriole afferenti ed efferenti; possono essere presenti fibrosi interstiziale e atrofia tubulare. L'espansione della matrice mesangiale sembra essere correlata all'evoluzione verso l'insufficienza renale terminale (1).
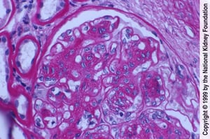
La proliferazione delle cellule mesangiali e l'espansione della matrice con danno endoteliale si manifestano qui come ispessimento delle membrane basali glomerulari senza evidenti depositi di immunocomplessi (colorazione con acido periodico di Schiff, ×400).
La proliferazione delle cellule mesangiali e l'espansione della matrice con danno endoteliale si manifestano qui come i
Imagine fornita da Agnes Fogo, MD, and the American Journal of Kidney Diseases' Atlas of Renal Pathology (vedi www.ajkd.org).
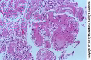
La formazione di noduli acellulari all'interno della matrice mesangiale è una caratteristica distintiva della nefropatia diabetica (colorazione con acido periodico di Schiff, ×200).
La formazione di noduli acellulari all'interno della matrice mesangiale è una caratteristica distintiva della nefropati
Imagine fornita da Agnes Fogo, MD, and the American Journal of Kidney Diseases' Atlas of Renal Pathology (vedi www.ajkd.org).
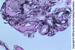
Ialinosi delle arteriole sia afferenti che efferenti.
Ialinosi delle arteriole sia afferenti che efferenti.
Imagine fornita da Agnes Fogo, MD, and the American Journal of Kidney Diseases' Atlas of Renal Pathology (vedi www.ajkd.org).
La nefropatia diabetica inizia con iperfiltrazione glomerulare (aumento della velocità di filtrazione glomerulare); la velocità di filtrazione glomerulare si normalizza con l'instaurarsi di danno renale precoce e di ipertensione lieve che peggiora nel tempo. Compare allora microalbuminuria, cioè escrezione urinaria di albumina in un range di 30-300 mg (0,03 a 0,3 g) albumina/die. A queste concentrazioni, l'albumina urinaria è definita microalbuminuria perché non può essere rilevata dall'analisi routinaria delle urine con striscia reattiva delle urine, che in genere richiede > 300 mg (0,3 g)/die di albumina nelle urine. La microalbuminuria progredisce in macroalbuminuria (proteinuria > 300 mg/die [0,3 g/die] in un corso variabile), di solito negli anni. La sindrome nefrotica (proteinuria ≥ 3 g/die) precede l'insufficienza renale di diversi anni, ma questa tempistica è molto variabile.
Tra le altre anomalie delle vie urinarie presenti comunemente con la nefropatia diabetica e che possono accelerare il declino della funzione renale vi sono la necrosi papillare, l'acidosi tubulare renale di tipo IV e le infezioni delle vie urinarie. Nella nefropatia diabetica, i reni sono solitamente di dimensioni normali o aumentate (> 10-12 cm in lunghezza).
Riferimenti relativi alla fisiopatologia
1. Mottl AK, Gasim A, Schober FP, et al. Segmental Sclerosis and Extracapillary Hypercellularity Predict Diabetic ESRD. J Am Soc Nephrol 2018;29(2):694-703. doi:10.1681/ASN.2017020192
Sintomatologia della nefropatia diabetica
La nefropatia diabetica è asintomatica nelle fasi precoci. La microalbuminuria persistente è il primo segno. Ipertensione ed edemi declivi si sviluppano col tempo nella maggior parte dei pazienti non trattati.
Negli stadi avanzati, i pazienti possono presentare la sintomatologia propria dell'uremia (p. es., nausea, vomito, inappetenza) più precocemente (ossia, con velocità di filtrazione glomerulare più alta) rispetto ai pazienti senza nefropatia diabetica, forse perché l'associazione del danno d'organo bersaglio dovuto al diabete (p. es., neuropatia) e dell'insufficienza renale peggiora i sintomi.
Diagnosi della nefropatia diabetica
Screening annuale di tutti i pazienti diabetici con misurazione del rapporto albumina/creatinina su un campione random di urine
Analisi delle urine per i sintomi di altri disturbi renali (p. es., ematuria, cilindri eritrocitari)
La diagnosi viene sospettata in pazienti con diabete che hanno proteinuria, in particolare in presenza di retinopatia diabetica (indicativa di malattia dei piccoli vasi) o fattori di rischio per nefropatia diabetica. Altre malattie renali devono essere considerate in presenza di qualsiasi delle seguenti:
Proteinuria marcata in un paziente con diabete insorto da poco
Assenza di retinopatia diabetica
Proteinuria elevata a rapida insorgenza
Macroematuria
Cilindri eritrocitari
Rapido declino della velocità di filtrazione glomerulare
Reni di piccole dimensioni
Proteinuria
Ai pazienti viene fatta eseguire un'analisi delle urine di routine per la rilevazione della proteinuria; se è presente, il test per la microalbuminuria non è necessario perché il paziente ha già una macroalbuminuria indicativa per nefropatia diabetica. Nei pazienti senza proteinuria all'analisi delle urine, il rapporto albumina/creatinina deve essere misurato su un campione di urine di metà mattina. Un rapporto ≥ 30 mg/g (≥ 3,4 mg/mmol) creatinina indica microalbuminuria se è presente in almeno 2 di 3 misurazioni eseguite entro 3-6 mesi e se non può essere spiegato dalla presenza di infezioni o dall'esercizio fisico.
La microalbuminuria può essere misurata su una raccolta di urine delle 24 ore, ma questo approccio è meno pratico e molti pazienti hanno difficoltà a raccogliere il campione in maniera accurata. Il rapporto albumina/creatinina su campione random può sovrastimare la microalbuminuria rispetto alla raccolta urinaria delle 24 h nei soggetti anziani e sottopeso a causa della ridotta produzione di creatinina dovuta a una riduzione della massa muscolare (1). Risultati inaccurati possono verificarsi anche in pazienti molto muscolosi o se un'attività fisica intensa precede la raccolta delle urine.
Per la maggior parte dei pazienti diabetici che presentano proteinuria, la diagnosi è clinica. La biopsia renale può confermare la diagnosi, ma è raramente necessaria.
Screening
I pazienti con diabete di tipo 1, in assenza di patologia renale nota, devono essere sottoposti allo screening per proteinuria e se questa è assente in un esame delle urine di routine, per microalbuminuria, iniziando 5 anni dopo la diagnosi e in seguito almeno con cadenza annuale (2).
I pazienti con diabete di tipo 2 devono essere sottoposti a screening al momento della diagnosi e in seguito annualmente (2).
Riferimenti relativi alla diagnosi
1. Carter CE, Gansevoort RT, Scheven L, et al. Influence of urine creatinine on the relationship between the albumin-to-creatinine ratio and cardiovascular events. Clin J Am Soc Nephrol 2012;7(4):595-603. doi:10.2215/CJN.09300911
2. de Boer IH, Khunti K, Sadusky T, et al. Diabetes management in chronic kidney disease: a consensus report by the American Diabetes Association (ADA) and Kidney Disease: Improving Global Outcomes (KDIGO). Kidney Int 2022;102(5):974-989. doi:10.1016/j.kint.2022.08.012
Trattamento della nefropatia diabetica
Mantenimento dell'emoglobina glicosilata (emoglobina A1C) ≤ 7,0
Aggressivo controllo della pressione arteriosa, iniziando con inibitori del sistema renina-angiotensina
Trattamento della dislipidemia
Controllo della glicemia
Il trattamento primario prevede uno stretto controllo glicemico per mantenere l'HbA1C ≤ 7,0; il mantenimento dell'euglicemia riduce la microalbuminuria, ma può non ritardare la progressione della malattia una volta che la nefropatia diabetica si è stabilita.
Controllo della pressione arteriosa
Il controllo della glicemia deve essere associato anche a uno stretto controllo della pressione arteriosa < 130/80 mmHg, sebbene alcuni esperti raccomandino una pressione arteriosa < 140/90 mmHg. Alcuni suggeriscono che la pressione arteriosa deve essere 110-120/65-80 mmHg, in particolare nei pazienti con escrezione di proteine > 1 g/die; tuttavia, altri sostengono che i valori di pressione arteriosa < 120/85 mmHg sono associati a un aumento del rischio di mortalità cardiovascolare e insufficienza cardiaca.
L'inibizione del sistema renina-angiotensina è la terapia di prima linea. Quindi, gli ACE-inibitori o gli inibitori dei recettori dell'angiotensina II sono gli antipertensivi di scelta; questi riducono la pressione arteriosa e la proteinuria e rallentano la progressione della nefropatia diabetica. Gli ACE-inibitori sono in genere provati per primi, in parte perché sono meno costosi, ma gli inibitori dei recettori dell'angiotensina II possono essere utilizzati, in alternativa, se gli ACE-inibitori provocano tosse persistente. Il trattamento deve essere iniziato quando viene rilevata microalbuminuria, indipendentemente dalla presenza o meno di ipertensione; alcuni esperti raccomandano di utilizzare i farmaci perfino prima che compaiano segni di malattia renale.
Nella maggior parte dei pazienti, per raggiungere livelli target di pressione arteriosa, è necessario aggiungere i diuretici all'inibizione del sistema renina-angiotensina. La dose deve essere ridotta se compaiono sintomi di ipotensione ortostatica o un incremento della creatinina sierica di oltre il 30%.
Anche i calcio-antagonisti non-diidropiridinici (diltiazem e verapamil) hanno un effetto antiproteinurico e nefroprotettore e rappresentano una ragionevole alternativa quando la proteinuria non si riduce significativamente al raggiungimento del target di pressione arteriosa, o per i pazienti con iperkaliemia o altre controindicazioni all'uso degli ACE-inibitori o degli inibitori dei recettori dell'angiotensina II.
Al contrario, i calcio-antagonisti diidropiridinici (p. es., nifedipina, felodipina, amlodipina) non riducono la proteinuria, anche se contribuiscono al controllo della pressione arteriosa e possono avere un effetto cardioprotettivo in combinazione con gli ACE-inibitori. Gli ACE-inibitori e i calcio-antagonisti non-diidropiridinici hanno un effetto antiproteinurico e nefroprotettore maggiore quando utilizzati insieme e il loro effetto antiproteinurico è aumentato dalla restrizione di sodio. I calcio-antagonisti non-diidropiridinici devono essere usati con cautela nei pazienti che assumono beta-bloccanti a causa del potenziale peggioramento di bradicardia.
Dislipidemia
Anche la dislipidemia deve essere trattata.
Le statine devono essere utilizzate come terapia di prima linea per il trattamento della dislipidemia nei pazienti con nefropatia diabetica perché riducono la mortalità cardiovascolare e la proteinuria.
Altri trattamenti
La restrizione delle proteine alimentari produce risultati contrastanti. L'American Diabetes Association e la National Kidney Foundation raccomandano un obiettivo di 0,8-1,2 g di proteine/kg/die per i pazienti con diabete e nefropatia conclamata, ma la restrizione al di sotto di 0,8 g di proteine/kg/die non è raccomandata (1).
Gli inibitori di SGLT 2 (Sodium-glucose cotransporter-2) devono essere somministrati anche ai pazienti con diabete di tipo 2, ma non a quelli con diabete di tipo 1 o a quelli con una velocità di filtrazione glomerulare di < 20 mL/minuto. L'inibizione del trasportatore sodio-glucosio ha dimostrato di ridurre la progressione della malattia renale (2, 3, 4).
Supplementazione di vitamina D, in genere con colecalciferolo (vitamina D3).
Il bicarbonato di sodio, somministrato per mantenere una concentrazione di bicarbonato sierico > 22 mEq/L (22 mmol/L), può rallentare la progressione della malattia nei pazienti con malattia renale cronica e acidosi metabolica.
I trattamenti per l'edema possono comprendere i seguenti:
Restrizione dietetica di sodio (p. es., < 2 g/die)
Restrizione idrica
Diuretici, se necessario, con un'attenta titolazione per evitare l'ipovolemia
Trapianto di rene
Il trapianto di rene con o senza trapianto simultaneo o successivo di pancreas rappresenta un'opzione attuabile per i pazienti con insufficienza renale terminale. Il tasso di sopravvivenza a 5 anni per i pazienti con diabete di tipo 2 che ricevono un trapianto di rene è quasi del 77%, rispetto all'88% dei pazienti non diabetici. I tassi di sopravvivenza dell'allotrapianto renale sono del > 97% tra i riceventi di trapianto da donatore vivente e del 77% tra i riceventi di trapianto da donatore deceduto a 5 anni (5, 6).
Riferimenti relativi al trattamento
1. de Boer IH, Khunti K, Sadusky T, et al. Diabetes management in chronic kidney disease: a consensus report by the American Diabetes Association (ADA) and Kidney Disease: Improving Global Outcomes (KDIGO). Kidney Int 2022;102(5):974-989. doi:10.1016/j.kint.2022.08.012
2. Heerspink HJL, Stefánsson BV, Correa-Rotter R, et al: Dapagliflozin in patients with chronic kidney disease. N Engl J Med 383(15):1436-1446, 2020. doi: 10.1056/NEJMoa202481
3. Perkovic V, Jardine MJ, Neal B, et al: Canagliflozin and renal outcomes in type 2 diabetes and nephropathy. N Engl J Med 13;380(24):2295-2306, 2019. doi: 10.1056/NEJMoa1811744
4. Zinman B, Wanner C, Lachin JM, et al: Empagliflozin, cardiovascular outcomes, and mortality in type 2 diabetes. N Engl J Med 373(22):2117-2128, 2015. doi: 10.1056/NEJMoa1504720
5. United States Renal Data System. 2024 USRDS Annual Data Report: Epidemiology of kidney disease in the United States. National Institutes of Health, National Institute of Diabetes and Digestive and Kidney Diseases, Bethesda, MD, 2024.
6. Harding JL, Pavkov M, Wang Z, et al: Long-term mortality among kidney transplant recipients with and without diabetes: A nationwide cohort study in the USA. BMJ Open Diabetes Res Care 9(1):e001962, 2021. doi: 10.1136/bmjdrc-2020-001962
Prognosi della nefropatia diabetica
La prognosi è buona per i pazienti che sono accuratamente trattati e monitorati. Una tale cura è spesso difficile nella pratica, tuttavia, e la maggior parte dei pazienti perde lentamente la funzione renale; anche uno stato di preipertensione (pressione arteriosa 120-139/80-89 mmHg) o di ipertensione di stadio 1 (pressione arteriosa 140-159/90-99 mmHg) possono accelerare il danno renale. L'aterosclerosi sistemica (ictus, infarto del miocardio, arteriopatia periferica) è predittiva per un aumento della mortalità.
Punti chiave
La nefropatia diabetica è molto comune, asintomatica fino alla fase avanzata e deve essere sottoposta a screening in tutti i pazienti con diabete.
Bisogna sottoporre, periodicamente, tutti i pazienti con diabete ad esame delle urine; se la proteinuria è assente, bisogna calcolare il rapporto albumina/creatinina su un campione di urine della metà mattinata.
Trattare la pressione arteriosa aggressivamente, di solito iniziando con inibitori del sistema renina-angiotensina.
Trattare l'aumento dell'albuminuria con inibizione dell'angiotensina.
Controllare il glucosio per mantenere l'HbA1C a ≤ 7,0.
Trattare la dislipidemia con una statina.
Per ulteriori informazioni
Le seguenti risorse in lingua inglese possono essere utili. Si noti che il Manuale non è responsabile per il contenuto di queste risorse.
American Diabetes Association Professional Practice Committee. Summary of Revisions: Standards of Care in Diabetes-2025. Diabetes Care 2025;48(1 Suppl 1):S6-S13. doi:10.2337/dc25-SREV



