Gingivitis adalah bentuk ringan penyakit periodontal yang ditandai dengan inflamasi gusi (gingiva).
Gingivitis paling sering terjadi akibat menyikat gigi dan penggunaan benang gigi yang tidak memadai, tetapi dapat terjadi akibat gangguan medis atau penggunaan obat-obatan tertentu.
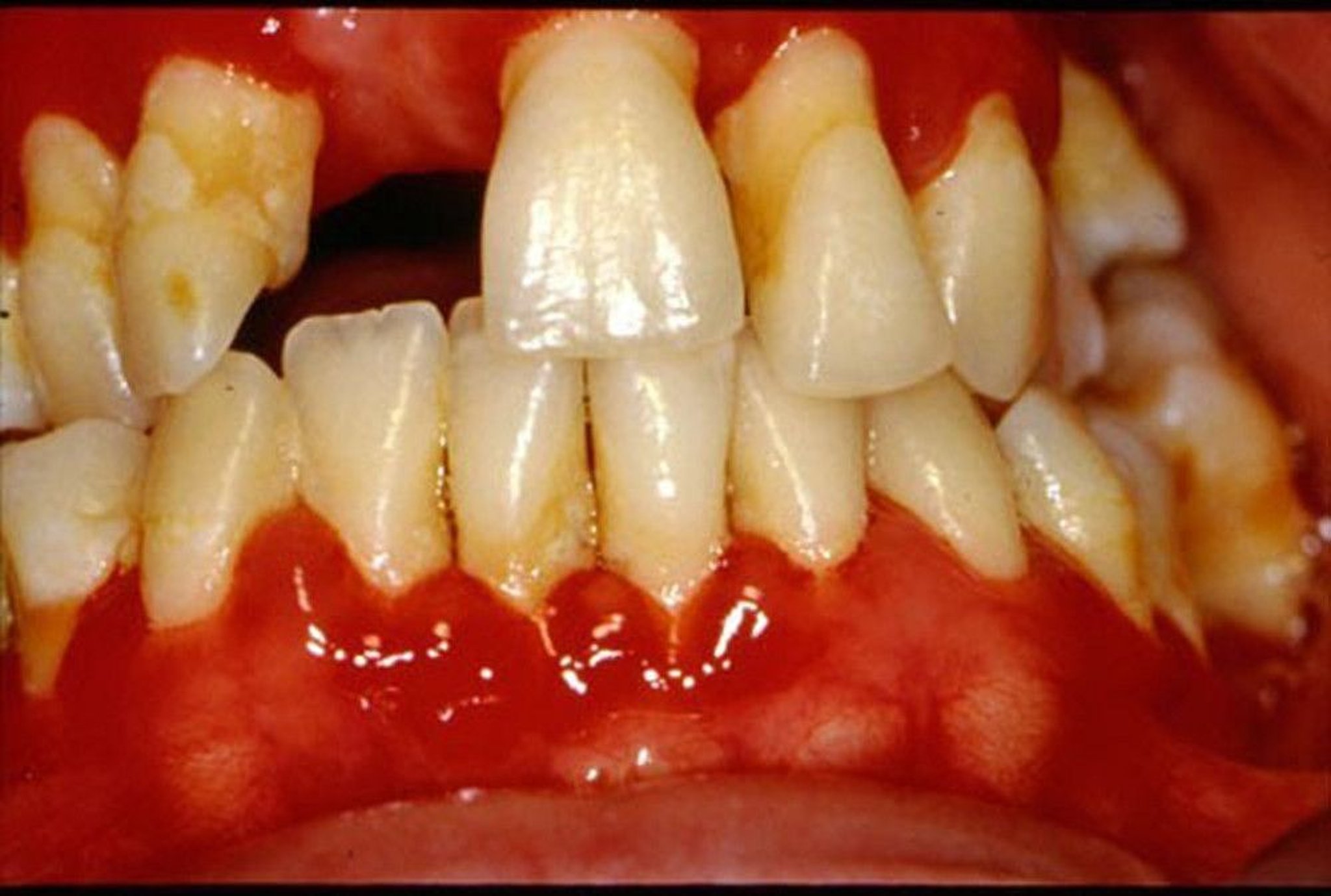
Gusi menjadi merah, bengkak, dan mudah berdarah.
Diagnosis biasanya ditetapkan berdasarkan pemeriksaan gusi oleh dokter gigi.
Kebersihan mulut yang baik, pembersihan profesional yang sering, dan nutrisi yang memadai biasanya menghilangkan gingivitis, dan beberapa obat kumur dapat membantu.
Gingivitis adalah penyakit yang sangat umum terjadi di mana gusi menjadi merah dan bengkak serta mudah berdarah. Gingivitis tidak begitu sakit pada tahap awalnya sehingga mungkin tidak terasa. Meskipun demikian, gingivitis yang tidak diobati dapat berkembang menjadi periodontitis, penyakit gusi yang lebih parah yang dapat menyebabkan kehilangan gigi.
Gingivitis menyebabkan kemerahan dan pembengkakan gusi.
Gambar disediakan oleh Jonathan A. Ship, DMD.
Gingivitis dibagi menjadi 2 kategori:
Gingivitis karena plak
Gingivitis bukan karena plak
Gingivitis Karena Plak
Hampir semua gingivitis disebabkan oleh plak gigi, yang merupakan zat mirip lapisan tipis yang terutama terbentuk dari bakteri, air liur, serpihan makanan, dan sel-sel mati yang terus-menerus menempel pada gigi. Sejauh ini, penyebab paling umum adalah
Kurang menyikat gigi dan menggunakan benang gigi
Tanpa menyikat gigi yang memadai, plak tetap berada di sepanjang garis gusi dan terbentuk di antara gusi dan gigi (gingivitis tidak terjadi di tempat-tempat yang giginya hilang). Plak juga terakumulasi dalam tambalan yang rusak dan di sekitar gigi di samping gigi palsu parsial, bridge, dan peralatan ortodontik yang tidak dibersihkan dengan baik. Jika plak tetap berada di gigi selama lebih dari 72 jam, plak dapat mengeras menjadi karang gigi (kalkulus), yang tidak dapat dihilangkan sepenuhnya dengan menyikat gigi dan menggunakan benang gigi.
Plak mengiritasi gusi dan membuat kantong di antara gigi dan gusi. Bakteri yang hidup di kantong ini dapat menyebabkan gingivitis serta gigi berlubang di akar gigi. Gusi tampak merah dan bengkak serta menjadi bisa digerakkan alih-alih keras dan kencang menahan gigi. Gusi dapat berdarah dengan mudah, terutama saat menyikat gigi atau makan. Orang biasanya tidak mengalami nyeri.
Gingivitis akibat plak dapat dicegah dengan kebersihan mulut yang baik—penggunaan sikat gigi dan benang gigi setiap hari. Beberapa obat kumur juga membantu mengontrol plak. Jika telah terbentuk, karang gigi hanya dapat diangkat oleh dokter gigi atau ahli kesehatan gigi. Orang-orang biasanya memerlukan pembersihan profesional (disebut scaling dan profilaksis) setiap 6 sampai 12 bulan. Namun demikian, orang-orang dengan kebersihan mulut yang buruk, kondisi medis yang dapat menyebabkan gingivitis, atau kecenderungan untuk mengalami plak lebih cepat daripada biasanya mungkin memerlukan pembersihan profesional lebih sering. Karena pasokan darahnya yang sangat baik, gusi akan segera kembali sehat setelah karang gigi dan plak dihilangkan, selama orang terus menyikat gigi dan menggunakan benang gigi dengan hati-hati.
Selain kebersihan mulut yang buruk, gingivitis akibat plak juga dapat dimulai atau diperburuk oleh
Obat-obatan
Perubahan hormon
Leukemia dan leukopenia (jumlah sel darah putih rendah)
Gingivitis akibat obat-obatan
Beberapa obat dapat menyebabkan pertumbuhan berlebih (hiperplasia) pada jaringan gusi, sehingga menghilangkan plak menjadi lebih sulit, dan gingivitis sering kali terjadi. Misalnya, fenitoin (untuk mengendalikan kejang), siklosporin (untuk orang-orang yang pernah menjalani transplantasi organ), dan pemblokir saluran kalsium seperti nifedipin (untuk mengendalikan tekanan darah dan kelainan irama jantung) dapat menyebabkan pertumbuhan yang berlebihan. Kontrasepsi oral atau injeksi juga dapat memperparah gingivitis, demikian pula paparan terhadap timbal atau bismut (yang digunakan secara ekstensif dalam kosmetik) atau logam berat lainnya seperti nikel (digunakan dalam perhiasan).
Kondisi medis yang dapat menyebabkan atau memperparah gingivitis harus diobati atau dikendalikan. Jika orang harus meminum obat yang menyebabkan pertumbuhan jaringan gusi berlebihan, kelebihan jaringan gusi mungkin perlu diangkat melalui pembedahan. Namun demikian, kebersihan mulut yang teliti di rumah dan sering melakukan pembersihan oleh dokter gigi atau ahli kesehatan gigi dapat memperlambat laju pertumbuhan jaringan dan menghilangkan kebutuhan akan operasi.
Gingivitis akibat defisiensi vitamin
Defisiensi vitamin, dalam kasus yang jarang terjadi, dapat menyebabkan gingivitis. Defisiensi vitamin C (scurvy) dapat menyebabkan gusi mengalami inflamasi dan perdarahan (lihat Periodontitis). Bintik-bintik merah atau ungu dan memar dapat muncul di mulut.
Defisiensi Niasin (pellagra) juga menyebabkan gusi yang meradang dan berdarah serta kecenderungan infeksi mulut tertentu, seperti seriawan, atau peradangan lidah (glossitis). Selain itu, bibir warnanya merah dan retak, lidah halus dan merah terang, serta lidah dan lapisan mulut mungkin mengalami luka.
Defisiensi ini jarang terjadi di Amerika Serikat.
Defisiensi vitamin C dan niasin dapat diobati dengan suplemen vitamin C dan niasin, ditambah diet yang mencakup lebih banyak buah dan sayuran segar.
Gingivitis karena perubahan hormon
Kehamilan dapat memperparah gingivitis ringan, terutama karena perubahan hormon. Beberapa wanita hamil mungkin secara tidak sadar berkontribusi terhadap masalah tersebut dengan mengabaikan kebersihan mulut karena mereka merasa mual di pagi hari (mual pagi) dan kelelahan. Juga selama kehamilan, iritasi ringan, sering kali karena penumpukan karang gigi atau gigi yang telah direstorasi dengan tepi yang kasar, dapat menyebabkan pertumbuhan jaringan gusi yang lembut, merah, dan menyerupai benjolan, yang disebut tumor kehamilan (granuloma pirogenik). Jaringan yang bengkak ini akan mudah berdarah jika terluka dan dapat mengganggu pola makan.
Jika wanita hamil mengabaikan kebersihan mulut karena mual di pagi hari dan/atau kelelahan, dokter gigi dapat menyarankan cara-cara untuk menjaga kebersihan gigi dan gusi tanpa memperburuk mual. Menyikat gigi dengan lembut tanpa pasta gigi, atau bahkan bilasan air garam setelah menyikat gigi, dapat membantu. Tumor kehamilan yang mengganggu dapat diangkat melalui pembedahan. Namun demikian, tumor tersebut cenderung kambuh hingga, dan bahkan setelah, kehamilan berakhir.
Menopause dapat menyebabkan gingivitis deskuamatif, kondisi yang kurang dipahami dan menyakitkan yang paling sering terjadi pada wanita pascamenopause. Dalam kondisi ini, lapisan luar gusi mudah berdarah dan terpisah dari jaringan di bawahnya (deskuamat), sehingga ujung saraf menjadi terbuka. Lapisan luar jaringan gusi dapat digosok dengan kapas atau ditiup dengan alat suntik udara dokter gigi.
Jika gingivitis deskuamatif terjadi selama menopause, terapi hormon dapat membantu. Jika tidak, dokter gigi dapat meresepkan pembilasan kortikosteroid atau pasta kortikosteroid yang diaplikasikan langsung ke area yang mengalami inflamasi.
Gingivitis karena leukemia
Leukemia dapat menyebabkan gingivitis. Bahkan, gingivitis adalah tanda pertama penyakit pada sekitar 25% anak-anak yang mengidap leukemia. Infiltrasi sel leukemia ke dalam gusi menyebabkan gingivitis, dan penurunan kemampuan untuk memerangi infeksi memperburuknya. Gusi mudah membengkak, terasa sakit, serta memerah dan berdarah. Sering kali, perdarahan berlanjut selama beberapa menit atau lebih karena darah tidak membeku secara normal pada orang yang mengidap leukemia. Tidak umum, kanker dapat terbentuk di jaringan gusi.
Orang yang menderita gingivitis akibat leukemia dapat mencegah perdarahan dengan menyeka gigi dan gusi secara perlahan menggunakan kain kasa atau spons alih-alih menyikat gigi dan menggunakan benang gigi. Dokter gigi dapat meresepkan pembilasan mulut chlorhexidine untuk mengendalikan plak dan mencegah infeksi mulut. Ketika leukemia sedang dalam remisi (saat bukti kanker menghilang), perawatan gigi yang baik dapat memulihkan gusi menjadi sehat.
Gingivitis Bukan Karena Plak
Gingivitis yang tidak disebabkan oleh plak terjadi pada sebagian kecil orang. Penyebabnya meliputi infeksi, alergi, gangguan medis lainnya, dan cedera.
Gingivitis akibat infeksi
Infeksi virus dapat menyebabkan gingivitis. Gingivostomatitis herpetik akut adalah infeksi virus yang menyakitkan pada gusi dan bagian mulut lainnya yang disebabkan oleh virus herpes. Infeksi ini mengubah gusi menjadi merah terang dan menyebabkan banyak luka putih atau kuning kecil terbentuk di dalam mulut.
Gingivostomatitis herpetik akut biasanya membaik dalam 2 minggu tanpa pengobatan. Pembersihan intensif tidak membantu, sehingga seseorang harus menyikat gigi dengan lembut saat infeksi masih terasa sakit. Dokter gigi dapat merekomendasikan obat kumur anestesi untuk menghilangkan ketidaknyamanan saat makan dan minum.
Infeksi jamur juga dapat menyebabkan gingivitis. Jamur biasanya tumbuh di mulut dalam jumlah yang sangat kecil. Penggunaan antibiotik atau perubahan kesehatan secara keseluruhan dapat meningkatkan jumlah jamur di mulut. Seriawan (kandidiasis) adalah infeksi jamur di mana pertumbuhan jamur yang berlebihan, terutama Candida albicans, membentuk bercak putih atau merah yang mengiritasi gusi. Bercak juga dapat melapisi lidah dan sudut mulut dan meninggalkan permukaan yang berdarah jika diseka.
Seriawan dapat diobati dengan obat antijamur, seperti nistatin, dalam bentuk obat kumur atau tablet hisap yang dirancang untuk larut secara perlahan di mulut. Gigi palsu juga harus direndam semalaman dalam larutan nistatin. Kebersihan mulut yang baik (sikat gigi dan benang gigi yang tepat) dan pengobatan masalah gigi yang mendasarinya, seperti gigi palsu yang tidak cocok, juga dapat membantu.
Gingivitis karena gigi yang terkena (perikoronitis)
Gingivitis dapat terjadi pada gusi di sekitar mahkota gigi impaksi (gigi yang belum sepenuhnya muncul). Dalam kondisi ini, yang disebut perikoronitis, gusi membengkak di atas gigi yang belum sepenuhnya muncul. Kelepak gusi di atas gigi yang muncul sebagian dapat memerangkap cairan, potongan makanan, dan bakteri.
Perikoronitis paling sering terjadi di sekitar gigi bungsu (geraham ketiga), terutama gigi bungsu bawah. Jika gigi geraham bungsu bagian atas muncul sebelum yang bawah, ini dapat menggigit kelepak tersebut, meningkatkan iritasi. Infeksi dapat berkembang dan menyebar ke tenggorokan atau pipi. Kelepak menghilang setelah gigi benar-benar muncul.
Apabila orang mengalami perikoronitis, dokter gigi dapat menyiram air garam di bawah kelepak gusi untuk membilas serpihan dan bakteri. Terkadang, orang diperintahkan untuk membilasnya di rumah dengan air garam, hidrogen peroksida, atau klorheksidin antiseptik. Jika hasil sinar-x menunjukkan bahwa gigi bawah kemungkinan tidak akan benar-benar muncul, dokter gigi dapat mencabut gigi atas dan meresepkan antibiotik selama beberapa hari sebelum mencabut gigi bawah. Kadang-kadang dokter gigi segera mencabut gigi bawah.
Informasi Lebih Lanjut
Sumber daya berbahasa Inggris berikut ini mungkin berguna. Harap diperhatikan bahwa MANUAL ini tidak bertanggung jawab atas konten sumber daya ini.
Mouth Healthy: Ini memberikan informasi tentang kesehatan mulut, termasuk nutrisi dan panduan dalam memilih produk yang memiliki stempel persetujuan American Dental Association. Terdapat juga saran untuk mencari dokter gigi serta cara dan waktu untuk berkunjung.
National Institute of Dental and Craniofacial Research: Situs pemerintah ini mencakup berbagai topik terkait kesehatan mulut dan gigi (dalam bahasa Inggris dan Spanyol), termasuk definisi istilah umum dan informasi terbaru tentang uji klinis terkait penyakit mulut dan gigi.
