Gigi berlubang

(Karies Gigi)

OlehBernard J. Hennessy, DDS, Texas A&M University, College of Dentistry
Ditinjau OlehDavid F. Murchison, DDS, MMS, The University of Texas at Dallas
Ditinjau/Direvisi Dimodifikasi Nov 2024
v750871_id

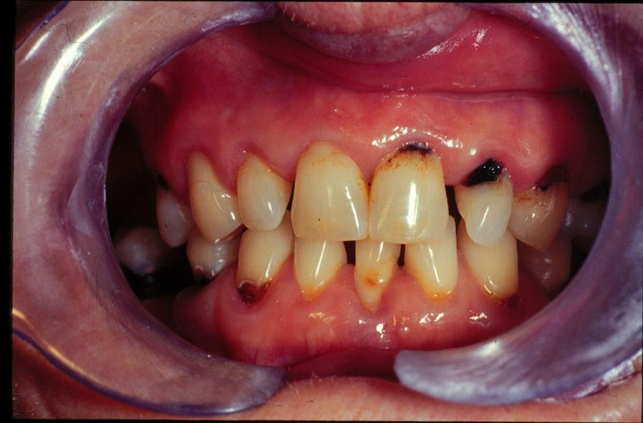
Gigi berlubang merupakan pembusukan area pada gigi, hasil dari proses yang secara bertahap menghancurkan permukaan luar gigi yang keras (enamel) dan berlanjut ke interior.

(Lihat juga Gambaran Umum Tentang Gangguan Gigi.)

  • Bakteri dan serpihan menumpuk pada permukaan gigi, dan bakteri menghasilkan asam yang menyebabkan pembusukan.

  • Nyeri gigi terjadi setelah kerusakan mencapai bagian dalam gigi.

  • Dokter gigi dapat mendeteksi gigi berlubang dengan memeriksa gigi dan menggunakan sinar-x secara berkala.

  • Kebersihan mulut yang baik dan perawatan gigi rutin ditambah diet sehat dapat membantu mencegah gigi berlubang.

  • Pengobatan dengan fluorida dapat membantu penyembuhan lubang pada permukaan enamel gigi, tetapi untuk gigi berlubang yang lebih dalam, dokter gigi harus mengebor kerusakan dan menutup area yang rusak.

Sama halnya dengan penyakit pilek biasa dan penyakit gusi, gigi berlubang (yang disebabkan oleh bakteri) adalah salah satu penderitaan manusia yang paling umum. Apabila gigi berlubang tidak ditangani dengan benar oleh dokter gigi, lubang gigi akan terus membesar. Pada akhirnya, gigi berlubang yang tidak diobati dapat menyebabkan gigi tanggal. Gigi berlubang pada anak-anak dapat menyebabkan gigi susu tanggal terlalu dini, yang mengakibatkan pergeseran gigi di sekitarnya dan dapat mengganggu pertumbuhan gigi permanen.

Faktor risiko gigi berlubang

Ada banyak faktor risiko gigi berlubang:

  • Kontrol plak dan karang gigi yang tidak memadai

  • Cacat pada permukaan gigi

  • Sering mengonsumsi makanan dan cairan manis dan/atau sangat asam

  • Kurangnya asupan fluorida oral

  • Penurunan aliran air liur (misalnya akibat obat-obatan tertentu, terapi radiasi untuk kanker, atau gangguan sistemik yang menyebabkan disfungsi kelenjar ludah)

  • Faktor genetik

Plak adalah zat berbentuk lapisan tipis yang terdiri atas bakteri, air liur, serpihan makanan, dan sel mati yang terus-menerus mengendap pada gigi.

Karang gigi, yang secara ilmiah dikenal sebagai 'kalkulus,' adalah plak yang mengeras. Plak mungkin terlihat putih tetapi lebih sering berwarna kuning dan terbentuk di dasar gigi.

Agar pembusukan gigi dapat berkembang, gigi harus rentan, bakteri penghasil asam harus ada, dan nutrisi (seperti gula) harus tersedia agar bakteri dapat berkembang dan menghasilkan asam. Gigi yang rentan relatif memiliki sedikit perlindungan fluorida yang terkandung dalam enamel atau memiliki lubang, alur, atau retakan (fisura) yang jelas yang menyimpan plak. Kebersihan mulut yang buruk hingga membuat plak dan karang gigi terakumulasi dapat mempercepat proses ini. Meskipun mulut mengandung bakteri dalam jumlah besar, hanya bakteri tertentu yang menghasilkan asam, yang dapat menyebabkan pembusukan.

Nutrisi yang dibutuhkan bakteri penyebab pembusukan berasal dari makanan yang dimakan orang tersebut. Ketika bayi tidur dengan botol yang mengandung apa pun selain air tawar, gigi mereka mengalami kontak berkepanjangan dengan susu formula, susu, atau jus, yang meningkatkan kemungkinan pembusukan. Gula dalam jumlah besar dalam makanan juga menyediakan makanan untuk bakteri.

Asam dalam makanan mempercepat kerusakan gigi. (Misalnya, minuman ringan, minuman olahraga, dan minuman energi, yang semuanya bersifat asam, cenderung menyebabkan kerusakan gigi.)

Penurunan aliran air liur akibat obat-obatan atau gangguan (seperti sindrom Sjögren) menempatkan seseorang pada risiko kerusakan gigi yang lebih besar. Lansia sering meminum obat yang dapat mengurangi aliran air liur, sehingga meningkatkan risiko gigi berlubang.

Sebagian orang memiliki bakteri penyebab pembusukan aktif di mulut mereka. Orang tua dapat menularkan bakteri ini kepada anak melalui ciuman, mencicipi makanan anak, atau berbagi peralatan makan. Bakteri berkembang di mulut anak setelah gigi pertama muncul dan kemudian dapat menyebabkan gigi berlubang. Jadi, kecenderungan terhadap kerusakan gigi yang menurun dalam keluarga tidak selalu mencerminkan kebersihan mulut yang buruk atau kebiasaan makan yang buruk. Bakteri ini juga dapat menyebar (jarang terjadi) melalui kontak sosial dengan orang-orang di luar keluarga.

Resesi gusi juga dapat membuat gigi berlubang lebih mungkin terjadi karena dapat mengekspos akar gigi, yang tidak dilindungi oleh lapisan enamel luar. Sehingga bakteri dapat lebih mudah mengakses lapisan dalam gigi. Resesi gusi dan penurunan aliran liur membuat lansia rentan terhadap gigi berlubang hingga ke akar.

Sorotan tentang Penuaan: Gigi Tanggal

Hanya satu generasi yang lalu, ada ekspektasi bahwa kebanyakan orang akan melewati usia tua dengan gigi palsu atau tidak memiliki gigi sama sekali. Ekspektasi ini telah berubah drastis selama beberapa dekade terakhir di sebagian besar negara dengan akses layanan gigi yang tersedia. Meskipun hampir setengah dari orang yang berusia 85 tahun atau lebih tidak memiliki gigi alami mereka, kemungkinan tanggalnya gigi akibat penuaan terus menurun. Ada beberapa alasan perubahan ini: peningkatan nutrisi, akses yang lebih baik ke layanan perawatan gigi, dan pengobatan yang lebih baik untuk kerusakan gigi dan penyakit periodontal.

Ketika gigi tanggal, mengunyah dapat sangat terganggu, dan berbicara menjadi sulit. Wajah terlihat sangat berbeda tanpa dukungan gigi yang biasanya diberikan pada bibir, pipi, hidung, dan dagu.

Orang yang kehilangan sebagian atau semua gigi mereka masih bisa makan, tetapi mereka cenderung makan makanan yang lunak. Makanan lunak cenderung relatif tinggi karbohidrat dan rendah protein, vitamin, dan mineral. Makanan yang mengandung protein, vitamin, dan mineral tinggi, seperti daging, unggas, biji-bijian, serta buah dan sayuran segar, cenderung lebih sulit untuk dikunyah. Akibatnya, lansia yang makanan utamanya adalah makanan lunak mungkin mengalami kurang gizi.

Terjadinya kerusakan gigi

Pembusukan enamel terjadi secara perlahan. Setelah menembus lapisan gigi kedua—dentin yang agak lebih lunak dan kurang kuat—pembusukan menyebar lebih cepat dan bergerak menuju pulpa, bagian terdalam gigi, yang mengandung saraf dan pasokan darah. Meskipun gigi berlubang dapat memakan waktu 2 atau 3 tahun untuk menembus enamel, gigi berlubang dapat menjalar dari dentin hingga ke pulpa—jarak yang jauh lebih besar—hanya dalam waktu setahun. Dengan demikian, kerusakan akar yang dimulai dari dentin dapat menghancurkan banyak struktur gigi dalam waktu singkat.

Pembusukan permukaan yang halus, jenis yang paling dapat dicegah dan diperbaiki, tumbuh paling lambat. Pada pembusukan permukaan halus, lubang dimulai sebagai titik putih di mana bakteri melarutkan kalsium enamel. Kerusakan permukaan halus antara gigi permanen biasanya dimulai antara usia 20 dan 30 tahun.

Pembusukan pit dan fisura, yang biasanya dimulai selama masa remaja pada gigi permanen, terbentuk pada alur sempit di permukaan kunyah dan di sisi pipi pada gigi belakang. Kerusakan di lokasi-lokasi tersebut berkembang dengan cepat. Banyak orang tidak dapat membersihkan area rentan gigi berlubang ini dengan memadai karena alurnya lebih sempit daripada bulu sikat gigi.

Pembusukan akar dimulai pada permukaan yang menutupi akar (sementum) yang telah terpapar oleh gusi yang surut, biasanya pada seseorang yang telah melewati usia pertengahan. Jenis pembusukan ini sering kali disebabkan oleh kesulitan membersihkan area akar, kurangnya aliran air liur yang memadai, diet tinggi gula, atau kombinasi faktor-faktor tersebut. Kerusakan akar gigi dapat menjadi jenis kerusakan gigi yang paling sulit untuk dicegah dan diobati.

Macam-Macam Gigi Berlubang

Ilustrasi di sebelah kiri menunjukkan gigi tanpa lubang. Ilustrasi di sebelah kanan menunjukkan gigi dengan 3 jenis lubang.

Tahukah Anda...

  • Orang tua dapat menularkan bakteri penyebab kerusakan kepada anak-anak mereka melalui ciuman atau berbagi peralatan makan.

Gejala Gigi Berlubang

Apakah kerusakan gigi menyebabkan rasa sakit tergantung pada bagian gigi mana yang terkena dan seberapa dalam kerusakan tersebut meluas. Lubang pada enamel tidak menimbulkan rasa sakit. Nyeri dimulai ketika kerusakan mencapai dentin. Pada awalnya, seseorang mungkin merasakan nyeri hanya ketika makanan atau minuman panas, dingin, atau manis bersentuhan dengan gigi yang terdampak. Jenis rasa nyeri ini sering menunjukkan bahwa peradangan pada pulpa dapat mereda. Jika pada tahap ini gigi berlubang mendapat perawatan, dokter gigi dapat memulihkan gigi, dan kemungkinan besar tidak akan ada lagi rasa sakit atau kesulitan mengunyah.

Lubang yang mendekati atau benar-benar mencapai pulpa dapat menyebabkan kerusakan yang tidak dapat dipulihkan. Nyeri tetap ada bahkan setelah stimulus (seperti air dingin) dihilangkan. Gigi dapat sakit bahkan tanpa stimulasi (sakit gigi spontan).

Jika terjadi kerusakan permanen pada pulpa dan pulpa kemudian mati, rasa sakit mungkin akan berhenti sementara. Gigi kemudian dapat menjadi sensitif ketika orang itu menggigit atau ketika lidah atau jari menekan gigi akibat area di ujung akar telah mengalami inflamasi atau karena infeksi telah berkembang di akar. Infeksi dapat menyebabkan pengumpulan nanah (abses periapikal), yang menyebabkan rasa sakit terus-menerus yang memburuk ketika seseorang sedang menggigit.

Diagnosis Gigi berlubang

  • Evaluasi dokter gigi

  • Sinar-x gigi rutin

  • Terkadang menggunakan instrumen pengetesan khusus

Jika lubang mendapat perawatan sebelum mulai sakit, kemungkinan kerusakan pada pulpa dapat berkurang, dan lebih banyak struktur gigi yang dapat diselamatkan. Untuk mendeteksi gigi berlubang lebih awal, dokter gigi akan menanyakan tentang nyeri, memeriksa gigi, memeriksa gigi dengan instrumen gigi, dan mungkin melakukan sinar-x. Beberapa dokter gigi juga menggunakan pewarna khusus, lampu seratoptik, dan/atau perangkat baru yang mendeteksi gigi berlubang dengan perubahan konduktivitas listrik atau reflektivitas laser.

Seseorang harus menjalani pemeriksaan gigi setiap 3 hingga 12 bulan, tergantung pada kerentanan mereka terhadap gigi berlubang dan rekomendasi dokter gigi mereka. Tidak setiap pemeriksaan mencakup sinar-x, tetapi sinar-x masih penting untuk mendeteksi gigi berlubang (bahkan yang sudah direstorasi) dan menentukan kedalaman gigi berlubang tersebut. Penilaian dokter gigi terhadap gigi seseorang akan menentukan seberapa sering pemeriksaan sinar-x harus dilakukan. (Sinar-x lebih jarang digunakan pada orang yang berisiko rendah mengalami gigi berlubang baru.)

Tahukah Anda...

  • Lebih dari setengah penduduk Amerika Serikat memiliki air minum yang mengandung fluorida. Namun, banyak orang mungkin tidak mengonsumsi cukup air berflouride untuk mengurangi kerusakan gigi secara signifikan.

Pengobatan Untuk Gigi berlubang

  • Fluorida

  • Tambal gigi

  • Pengobatan saluran akar atau pencabutan gigi

Jika pembusukan dihentikan sebelum permukaan enamel rusak, enamel dapat benar-benar memperbaiki dirinya sendiri (remineralisasi) jika seseorang menggunakan fluorida. Pengobatan dengan fluorida memerlukan penggunaan pasta gigi yang memerlukan resep dokter, yang mengandung konsentrasi natrium fluorida yang lebih tinggi dan banyak pemberian natrium fluorida di klinik dokter gigi. Produk yang mengandung kalsium dan fosfat juga dapat diaplikasikan pada gigi, tetapi kurang efektif dalam remineralisasi gigi dibandingkan fluorida. Silver diamine fluorida (SDF) dapat menghentikan pembentukan lubang dan melakukan remineralisasi gigi yang terdampak. Namun, karena SDF secara permanen membuat karies menjadi hitam, SDF terutama diaplikasikan pada gigi susu.

Setelah kerusakan mencapai dentin dan menyebabkan lubang aktual pada gigi, dokter gigi mengebor material yang rusak di dalam gigi, lalu mengisi ruang yang dihasilkan dengan tambalan (restorasi). Mengobati gigi berlubang pada tahap awal dapat membantu menjaga kekuatan gigi dan membatasi kemungkinan kerusakan pada pulp.

Tambal gigi

Tambalan terbuat dari berbagai bahan dan dapat diletakkan di dalam gigi atau di sekitarnya. Pilihan tambalan bervariasi tergantung pada lokasi dan ukuran lubang.

Amalgam perak (kombinasi perak, merkuri, tembaga, timah, dan terkadang, seng, paladium, atau indium) paling umum digunakan untuk mengisi gigi belakang, yang mementingkan kekuatan dan warna perak relatif tidak mencolok. Amalgam perak relatif murah dan rata-rata dapat bertahan 14 tahun. Namun, amalgam dapat bertahan lebih dari 40 tahun jika ditempatkan dengan hati-hati menggunakan dam karet dan orang tersebut memiliki kebersihan mulut yang baik.

Secara keseluruhan, penambalan dengan amalgam dapat bertahan lebih lama dan lebih tahan terhadap gigi berlubang daripada resin komposit. Meski demikian, penggunaan amalgam menurun karena beberapa alasan:

  1. Hasil penampilannya tidak semenarik seperti yang dicapai dengan resin komposit atau ionomer kaca.

  2. Resin komposit lebih tahan lama dari sebelumnya.

  3. Sekolah kedokteran gigi saat ini secara rutin mengajarkan tentang alternatif penambalan amalgam.

  4. Kekhawatiran lingkungan tentang pemindahan dan pembuangan kandungan merkuri dalam amalgam saat ini sering menjadi bahan pertimbangan.

Penting untuk dicatat bahwa tingkat merkuri dalam darah tidak berhubungan dengan jumlah penambalan amalgam yang dimiliki seseorang, sehingga kekhawatiran tentang "keracunan merkuri" mungkin berlebihan. Jumlah merkuri yang lolos dari amalgam perak terlalu kecil untuk memengaruhi kesehatan. Dokter gigi tidak menyarankan penggantian amalgam karena prosedurnya mahal, merusak struktur gigi, meningkatkan paparan merkuri seseorang, dan mengharuskan penggunaan pemisah amalgam untuk mencegah pelepasan kandungan merkurinya ke lingkungan.

Tambalan emas (inlay dan onlay) sangat bagus tetapi lebih mahal. Selain itu, setidaknya diperlukan 2 kali kunjungan ke layanan perawatan gigi untuk menempatkan tambalan secara permanen.

Resin komposit biasanya digunakan pada gigi depan, di mana perak akan tampak mencolok. Tambalan resin komposit juga semakin sering digunakan pada gigi belakang. Meskipun resin komposit memiliki kelebihan karena memiliki warna yang sama dengan gigi sehingga memungkinkan dokter gigi untuk dapat mempertahankan struktur gigi daripada tambalan amalgam, harga resin komposit lebih mahal daripada amalgam perak dan memiliki kemungkinan lebih besar mengalami peluruhan di sekitar tepian gigi. Ini disebabkan karena resin komposit menyusut ketika mengeras. Resin komposit juga tidak dapat bertahan selama amalgam perak, terutama pada gigi belakang, yang membutuhkan kekuatan penuh ketika mengunyah. Perkembangan resin komposit telah membatasi sebagian penyusutan yang terjadi pada beberapa versi bahan sebelumnya.

Ionomer kaca yang diperkuat, tambalan sewarna gigi, diformulasikan untuk melepaskan fluorida setelah diaplikasikan, bermanfaat bagi orang-orang yang sangat rentan terhadap kerusakan gigi. Ionomer kaca juga digunakan untuk memulihkan area yang rusak akibat menyikat gigi secara berlebihan. Bahan ionomer kaca yang dimodifikasi dengan resin juga tersedia dan memberikan estetika yang lebih baik daripada ionomer kaca konvensional.

Perawatan saluran akar dan pencabutan gigi

Ketika kerusakan gigi cukup parah hingga merusak pulpa secara permanen, satu-satunya cara untuk menghilangkan rasa sakit adalah dengan menghilangkan pulpa dengan perawatan saluran akar (endodontik) atau pencabutan gigi (ekstraksi).

Gigi dibuat mati rasa (dibius), dan dam karet dipasang di sekitar gigi untuk mengisolasinya dari bakteri di bagian mulut lainnya. Sebuah lubang kemudian dibor melalui permukaan kunyahan gigi belakang atau sisi lidah di gigi depan.

Selanjutnya, saluran dibersihkan dan diruncingkan dari bukaan hingga ke ujung akar. Instrumen halus dimasukkan melalui lubang ke dalam ruang kanal pulpa, dan semua pulpa yang tersisa dikeluarkan. Kanal tersebut kemudian ditutup dengan bahan fleksibel (gutta percha) yang akan mengeras seiring berjalannya waktu.

Jika gigi diekstraksi (dicabut), gigi harus segera dievaluasi untuk penggantian sesegera mungkin. Jika tidak, gigi yang berdekatan atau berlawanan dapat berubah posisi dan mengubah gigitan orang tersebut. Ada banyak opsi untuk penggantian gigi yang diekstraksi (lihat Peralatan Gigi).

Pencegahan Gigi berlubang

Beberapa strategi umum adalah kunci untuk mencegah gigi berlubang:

  • Kebersihan mulut yang baik dan perawatan gigi rutin

  • Pola makan sehat

  • Fluorida (dalam air, pasta gigi, atau keduanya)

  • Terkadang fluorida, pengobatan sealant, dan terapi antibakteri

Kebersihan mulut

Kebersihan mulut yang baik, termasuk menyikat gigi sebelum atau setelah sarapan dan sebelum tidur serta menggunakan benang gigi setiap hari untuk menghilangkan plak, dapat secara efektif mengendalikan kerusakan halus pada permukaan gigi. Menyikat gigi membantu mencegah terbentuknya gigi berlubang di bagian atas dan sisi gigi, dan benang gigi dapat menjangkau celah di antara gigi yang tidak terjangkau oleh sikat gigi.

Sikat gigi listrik dan ultrasonik sangat baik, tetapi sikat gigi biasa, yang digunakan dengan benar, sudah cukup memadai. Biasanya, menyikat gigi dengan benar hanya memakan waktu sekitar 3 hingga 4 menit. Seseorang harus menghindari menggunakan terlalu banyak pasta gigi, terutama yang bersifat abrasif, yang dapat mengikis gigi (terutama jika langsung menyikat gigi setelah terpapar minuman asam). Benang gigi digerakkan secara lembut di antara gigi, kemudian dililitkan di sekitar permukaan gigi dan akar dalam bentuk “C” pada garis gusi. Saat benang gigi digerakkan ke atas dan ke bawah 3 kali, benang gigi dapat menghilangkan plak dan serpihan makanan. Ada banyak alat kecil seperti tusuk gigi (disebut sikat interproksimal) dengan bulu sikat atau tonjolan plastik pada ujungnya yang dapat digunakan untuk membersihkan sela-sela gigi. Perangkat tersebut efektif tetapi hanya dapat digunakan jika ada cukup ruang di antara gigi untuk mengakomodasinya. Tersedia dalam berbagai ukuran dan bentuk serta dapat digunakan sendiri atau dengan berbagai pasta gigi atau obat kumur. Perangkat flossing air mungkin terbukti bermanfaat bagi orang-orang yang kesulitan menggunakan benang gigi. Jenis perangkat tersebut dianggap sebagai tambahan, bukan pengganti benang gigi konvensional.

Pada awalnya, plak cukup lunak, dan menghilangkannya dengan sikat gigi berbulu lembut dan benang gigi setidaknya sekali setiap 24 jam dapat mencegah terjadinya pembusukan. Setelah plak mulai mengeras, dalam proses yang dimulai setelah sekitar 72 jam, menghilangkannya menjadi lebih sulit.

Diet

Meskipun semua karbohidrat dapat menyebabkan kerusakan gigi hingga taraf tertentu, penyebab terbesarnya adalah gula. Semua gula sederhana, termasuk gula meja (sukrosa) dan gula dalam madu (levulosa dan dekstrosa), buah (fruktosa), dan susu (laktosa), memiliki efek yang sama pada gigi. Setiap kali gula bersentuhan dengan plak, bakteri mutan Streptococcus dalam plak menghasilkan asam. Jumlah gula yang dimakan tidak terlalu penting dibandingkan seberapa sering orang tersebut makan gula karena yang terpenting adalah lamanya waktu gula bersentuhan dengan gigi. Dengan demikian, menyeruput minuman ringan manis selama satu jam dapat lebih merusak daripada mengonsumsi permen dalam 5 menit, meskipun permen tersebut mungkin mengandung lebih banyak gula. Bayi yang tidur sambil minum dari botol, sekalipun hanya mengandung susu atau formula, juga berisiko mengalami gigi berlubang. Botol minum waktu tidur hanya boleh berisi air.

Seseorang yang memiliki kecenderungan gigi berlubang harus lebih jarang mengonsumsi camilan manis. Membilas mulut dengan air setelah makan kudapan menghilangkan sebagian gula, tetapi menyikat gigi lebih efektif. Minum minuman ringan dengan pemanis buatan juga membantu, meskipun diet cola mengandung asam yang dapat menyebabkan kerusakan gigi. Minum teh atau kopi tanpa gula juga dapat membantu seseorang menghindari gigi berlubang, terutama pada permukaan akar yang terbuka.

Fluorida

Fluorida dapat membuat gigi, terutama enamel, lebih tahan terhadap asam yang membantu menyebabkan gigi berlubang. Fluorida yang dikonsumsi secara internal efektif ketika gigi tumbuh dan mengeras. Air berflourida adalah cara paling efisien untuk memasok fluorida bagi anak-anak, dan lebih dari setengah penduduk Amerika Serikat sekarang memiliki air minum yang mengandung fluorida. Namun, banyak orang mungkin tidak mengonsumsi cukup air berflouride untuk mengurangi kerusakan gigi secara signifikan. Sebaliknya, jika air terlalu banyak mengandung fluorida, dapat menimbulkan bintik dan perubahan warna pada gigi (fluorosis). Perubahan warna dapat berkisar dari ringan hingga berat.

Jika persediaan air anak tidak memiliki cukup fluorida, dokter atau dokter gigi dapat meresepkan natrium fluorida dalam obat tetes, gel, pasta gigi, atau tablet. Tablet harus dikunyah atau dibiarkan larut dalam mulut sebelum ditelan. Anak-anak mulai meminum obat tetes atau tablet pada usia sekitar 6 bulan dan dapat mengonsumsinya sampai usia 16 tahun. Bagi orang-orang dari segala usia yang rentan terhadap kerusakan gigi, dokter gigi dapat mengaplikasikan fluorida secara langsung ke gigi atau meminta orang tersebut untuk mengenakan pelindung mulut yang dibuat khusus yang mengandung fluorida pada malam hari.

Pasta gigi berfluorida bermanfaat bagi orang dewasa maupun anak-anak. Karena anak-anak kecil mungkin menelan pasta gigi saat menyikat gigi, mereka rentan terhadap fluorosis (pembentukan bintik putih atau cokelat pada gigi karena terlalu banyak fluorida). Untuk mencegah masalah tersebut, anak-anak harus menggunakan pasta gigi khusus anak-anak yang mengandung fluorida dalam jumlah lebih rendah.

Sealant

Dokter gigi terkadang menggunakan sealant untuk melindungi lubang dan fisura yang sulit dijangkau, terutama pada gigi belakang. Setelah membersihkan area yang akan ditutup secara menyeluruh, dokter gigi akan mengikis enamel dengan larutan asam untuk membantu sealant menempel pada gigi. Dokter gigi kemudian memasukkan plastik cair ke dalam dan ke atas lubang dan fisura gigi. Ketika cairan mengeras, zat ini membentuk penghalang yang efektif sehingga setiap bakteri di dalam lubang atau fisura berhenti memproduksi asam karena makanan tidak lagi dapat mencapainya. Sekitar 90% sealant tetap ada setelah 1 tahun dan 60% tetap ada setelah 10 tahun. Perlunya memperbaiki atau mengganti sealant sesekali dapat dinilai pada pemeriksaan gigi berkala.

Terapi antibakteri

Seseorang yang sangat rentan terhadap kerusakan gigi mungkin memerlukan terapi antibakteri. Dokter gigi pertama-tama menghilangkan gigi berlubang dan menutup semua lubang dan fisura pada gigi. Selanjutnya, dokter gigi dapat meresepkan obat kumur yang mengandung antiseptik kuat (chlorhexidine) yang digunakan selama 2 minggu untuk membunuh bakteri penyebab gigi berlubang yang tertinggal dalam plak. Bentuk chlorhexidine aksi-panjang juga dapat diaplikasikan oleh dokter gigi. Harapannya adalah bakteri yang tidak terlalu berbahaya akan menggantikan bakteri penyebab gigi berlubang. Namun demikian, efektivitas chlorhexidine dalam mencegah karies pada orang dewasa tidak konsisten. Cara lain untuk menjaga bakteri tetap terkendali adalah dengan membuat seseorang yang rentan terhadap gigi berlubang mengunyah permen karet atau permen keras yang mengandung xylitol (pemanis yang menghambat bakteri penyebab gigi berlubang dalam plak).

Terapi antibakteri dapat digunakan oleh wanita hamil yang memiliki riwayat gigi berlubang parah. Wanita hamil yang tidak dapat menoleransi terapi antibakteri dapat menggunakan xylitol sebagaimana disebutkan di atas. Xylitol dapat digunakan sejak anak lahir hingga usia ketika ibu tidak lagi mencicipi makanan anak. Xylitol dapat membantu mencegah bakteri ibu ditularkan ke anak.

Informasi Lebih Lanjut

Referensi berbahasa Inggris berikut ini mungkin akan berguna. Harap diperhatikan bahwa Manual ini tidak bertanggung jawab atas konten sumber daya ini.

  1. Mouth Healthy: Ini memberikan informasi tentang kesehatan mulut, termasuk nutrisi dan panduan dalam memilih produk yang memiliki stempel persetujuan American Dental Association. Terdapat juga saran untuk mencari dokter gigi serta cara dan waktu untuk berkunjung.

Uji Pengetahuan Anda
Uji Pengetahuan AndaTake a Quiz!