Periodontitis

(Piorea)

OlehJames T. Ubertalli, DMD, Hingham, MA
Ditinjau OlehDavid F. Murchison, DDS, MMS, The University of Texas at Dallas
Ditinjau/Direvisi Apr 2024 | Dimodifikasi Apr 2025
v751355_id

Periodontitis adalah bentuk gingivitis yang parah, di mana peradangan gusi meluas ke struktur pendukung gigi.

  • Plak dan karang gigi menumpuk di antara gigi dan gusi, kemudian menyebar ke tulang di bawah gigi.

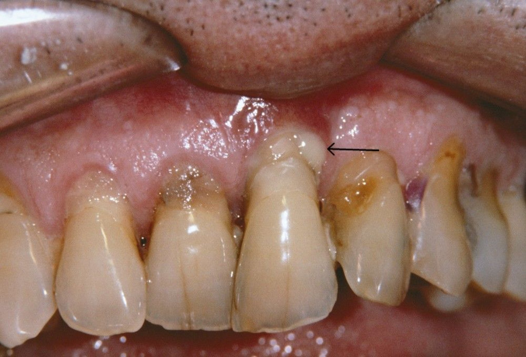
  • Gusi membengkak dan berdarah, napas bau, dan gigi menjadi kendur.

  • Dokter gigi mengambil sinar-x dan mengukur kedalaman kantung di dalam gusi untuk menentukan seberapa parah periodontitisnya.

  • Pembersihan profesional berulang dan terkadang bedah gigi dan antibiotik diperlukan.

Periodontitis yang lebih parah terjadi pada orang-orang yang rentan terhadap infeksi jaringan periodontal (jaringan di sekitar gigi) yang lebih serius dibandingkan yang terjadi pada peradangan gusi sederhana (gingivitis). Banyak penyakit dan gangguan, termasuk diabetes (terutama tipe 1), sindrom Down, penyakit Crohn, leukopenia (jumlah sel darah putih rendah), dan infeksi HIV, dapat menyebabkan seseorang mengalami periodontitis. Pada penderita HIV/AIDS, periodontitis berkembang dengan cepat. Merokok, defisiensi vitamin C (skurvi), dan tekanan emosional juga merupakan faktor risiko periodontitis.

Periodontitis dapat memengaruhi orang-orang dari segala usia, termasuk anak-anak. Beberapa orang menderita gingivitis parah selama bertahun-tahun tanpa mengalami periodontitis. Orang lain dapat mengalami periodontitis, terutama pada usia dini (20 sampai 30 tahun), tanpa menderita gingivitis yang signifikan.

Periodontitis adalah salah satu penyebab utama kehilangan gigi pada orang dewasa dan merupakan penyebab utama kehilangan gigi pada orang dewasa yang lebih tua. Infeksi menghancurkan tulang yang menahan gigi di tempatnya. Erosi melemahkan perlekatan dan mengendurkan gigi. Gigi yang terkena pada akhirnya dapat rontok atau perlu dicabut (diekstraksi).

Penyebab Periodontitis

Sebagian besar periodontitis menyebabkan peradangan gusi (gingivitis) yang diawali oleh akumulasi plak jangka panjang (zat seperti lapisan tipis yang terutama terbentuk dari bakteri, air liur, serpihan makanan, dan sel mati yang terus-menerus menempel pada gigi) dan karang gigi (plak yang mengeras) pada gigi dan gusi. Kantong-kantong terbentuk antara gigi dan gusi dan memanjang ke bawah antara akar gigi dan tulang di bawahnya. Kantong-kantong ini mengumpulkan plak di lingkungan yang miskin oksigen, yang mendorong, terutama pada orang-orang yang rentan terhadap periodontitis, pertumbuhan bentuk bakteri yang agresif. Plak dan bakteri memicu inflamasi kronis yang merusak jaringan dan tulang yang menahan gigi di tempatnya. Jika penyakit berlanjut, pada akhirnya begitu banyak tulang yang hilang sehingga gigi dapat menjadi longgar dan gusi surut. Kehilangan gigi biasanya dimulai pada usia 40-an.

Tahukah Anda...

  • Periodontitis adalah penyebab utama kehilangan gigi pada lansia.

Periodontitis Dari Plak hingga Kehilangan Gigi

Gusi dan tulang yang sehat menahan gigi dengan kuat pada tempatnya.

Penumpukan plak mengiritasi gusi, dan menjadi meradang (gingivitis). Seiring waktu, gusi akan turun menjauhi gigi, menciptakan kantung yang berisi lebih banyak plak.

Kantong semakin dalam, dan plak mengeras menjadi karang gigi. Lebih banyak plak menumpuk di bagian atas.

Infeksi bakteri turun ke akar gigi dan akhirnya menghancurkan tulang yang menopang gigi. Tanpa penopang ini, gigi mengendur dan rontok atau memerlukan ekstraksi karena abses periodontal.

Tingkat terjadinya periodontitis sangat berbeda, bahkan di antara orang-orang dengan jumlah karang gigi yang sama. Perbedaan tersebut terjadi karena plak setiap orang mengandung jenis dan jumlah bakteri yang berbeda dan karena periodontitis disebabkan oleh respons sistem imun unik orang tersebut terhadap bakteri dalam plak. Periodontitis dapat menyebabkan semburan aktivitas destruktif yang berlangsung selama berbulan-bulan, diikuti dengan periode ketika penyakit tersebut tampaknya tidak menyebabkan kerusakan lebih lanjut.

Gejala Periodontitis

Tanda-tanda awal periodontitis adalah pembengkakan, perdarahan, dan gusi merah serta bau mulut (halitosis). Semakin banyak tulang yang hilang, gigi menjadi longgar dan posisi bergeser, dan mengunyah menjadi sakit. Sering kali, gigi depan miring ke arah luar. Periodontitis biasanya tidak menyebabkan nyeri kecuali jika infeksi membentuk kumpulan nanah (abses) di dalam kantong, gigi cukup longgar untuk bergerak saat mengunyah, atau seseorang menderita infeksi HIV.

Diagnosis Periodontitis

  • Evaluasi dokter gigi

  • Terkadang sinar-x

Untuk mendiagnosis periodontitis, dokter gigi memeriksa gigi dan mengukur kedalaman kantong di gusi dengan probe tipis. Sinar-x diambil untuk melihat berapa banyak tulang yang hilang.

Pengobatan Periodontitis

  • Penanganan faktor risiko

  • Pembersihan profesional

  • Kadang-kadang operasi dan mencabut gigi

  • Terkadang, pemberian antibiotik

Memodifikasi faktor risiko, seperti kebersihan mulut yang buruk dan merokok, akan memperbaiki hasil. Bagi penderita diabetes, kontrol yang baik terhadap kadar gula darah sangatlah penting.

Tidak seperti gingivitis, yang biasanya menghilang dengan kebersihan mulut yang baik (menyikat gigi setiap hari dan menggunakan benang gigi), periodontitis membutuhkan perawatan profesional berulang. Orang yang memiliki kebersihan mulut yang baik hanya dapat membersihkan 2 hingga 3 milimeter (kurang dari 1/8 inci) di bawah garis gusi. Namun demikian, dokter gigi dapat membersihkan kantong hingga kedalaman 6 hingga 7 milimeter (1⁄4 inci) menggunakan teknik scaling dan pembersihan akar, yang menghilangkan plak dan karang gigi secara menyeluruh serta permukaan akar yang sakit.

Untuk kantong dengan kedalaman 5 milimeter (sekitar 3/16 inci) atau lebih, sering kali diperlukan pembedahan. Dokter gigi atau periodontis dapat mengakses gigi di bawah garis gusi dengan membuka flap jaringan gusi melalui pembedahan (operasi flapiodontal). Mereka membersihkan gigi secara menyeluruh dan memperbaiki kerusakan tulang (kadang-kadang dengan cangkok tulang) di bawah flap kemudian menjahit flap kembali pada tempatnya. Dokter gigi atau periodontists juga dapat menghilangkan sebagian gusi yang terinfeksi dan terpisah (gingivektomi) sehingga bagian gusi lainnya dapat menempel kembali dengan erat ke gigi dan kemudian orang dapat menghilangkan plak di rumah. Terkadang gigi diangkat (dicabut). Jika mulut sakit setelah pembedahan, pembilasan mulut dengan klorheksidin yang digunakan selama 1 menit dua kali sehari dapat sementara menggantikan menyikat gigi dan menggunakan benang gigi.

Dokter gigi dapat meresepkan antibiotik (seperti amoksisilin atau metronidazol), terutama jika pengumpulan nanah (abses) telah berkembang. Dokter gigi juga dapat memasukkan bahan (filamen atau gel) yang mengandung antibiotik ke dalam kantong gusi yang dalam sehingga konsentrasi obat yang tinggi dapat mencapai area yang sakit. Abses periodontal menyebabkan ledakan kerusakan tulang, tetapi pengobatan segera dengan pembedahan dan antibiotik memungkinkan sebagian besar tulang yang rusak tumbuh kembali dengan cepat.

Informasi Lebih Lanjut

Sumber daya berbahasa Inggris berikut ini mungkin berguna. Harap diperhatikan bahwa MANUAL ini tidak bertanggung jawab atas konten sumber daya ini.

  1. Mouth Healthy: Ini memberikan informasi tentang kesehatan mulut, termasuk nutrisi dan panduan dalam memilih produk yang memiliki stempel persetujuan American Dental Association. Terdapat juga saran untuk mencari dokter gigi serta cara dan waktu untuk berkunjung.

  2. National Institute of Dental and Craniofacial Research: Situs pemerintah ini mencakup berbagai topik terkait kesehatan mulut dan gigi (dalam bahasa Inggris dan Spanyol), termasuk definisi istilah umum dan informasi terbaru tentang uji klinis terkait penyakit mulut dan gigi.

Uji Pengetahuan Anda
Uji Pengetahuan AndaTake a Quiz!