Defisiensi Vitamin C

(Scurvy)

OlehLarry E. Johnson, MD, PhD, University of Arkansas for Medical Sciences
Ditinjau OlehGlenn D. Braunstein, MD, Cedars-Sinai Medical Center
Ditinjau/Direvisi Dimodifikasi Aug 2024
v766627_id

Di negara-negara dengan tingkat kerawanan pangan yang rendah, defisiensi vitamin C dapat terjadi karena pola makan rendah vitamin C, tetapi defisiensi berat (yang menyebabkan scurvy) tergolong jarang terjadi.

  • Kurangnya konsumsi buah-buahan dan sayuran segar dapat menyebabkan defisiensi.

  • Orang merasa lelah, lemah, dan mudah marah.

  • Defisiensi berat, yang disebut scurvy dapat menyebabkan memar, masalah gusi dan gigi, rambut dan kulit kering, serta anemia.

  • Diagnosis didasarkan pada gejala dan kadang-kadang dilakukan tes darah.

  • Peningkatan konsumsi buah-buahan dan sayuran segar atau meminum suplemen vitamin C secara oral biasanya membantu mengatasi defisiensi.

Vitamin C (asam askorbat) sangat penting untuk pembentukan, pertumbuhan, dan perbaikan tulang, kulit, dan jaringan ikat (yang mengikat jaringan dan organ lain secara bersamaan dan mencakup tendon, ligamen, dan pembuluh darah). Vitamin ini juga penting untuk fungsi normal pembuluh darah. Vitamin C membantu menjaga kesehatan gigi dan gusi. Zat ini membantu tubuh menyerap zat besi, yang diperlukan untuk membuat sel darah merah. Vitamin C juga membantu mengatasi luka bakar dan penyembuhan luka. Sumber vitamin C yang baik meliputi buah jeruk, tomat, kentang, brokoli, stroberi, dan paprika manis. (Lihat juga Gambaran Umum Vitamin.)

Seperti halnya vitamin E, vitamin C juga merupakan antioksidan: Zat ini melindungi sel dari kerusakan akibat radikal bebas, yang merupakan produk sampingan dari aktivitas sel normal dan yang berpartisipasi dalam reaksi kimia di dalam sel. Beberapa reaksi ini dapat menyebabkan kerusakan seumur hidup bagi seseorang.

Penyebab Defisiensi Vitamin C

Pada orang dewasa, defisiensi vitamin C biasanya disebabkan oleh

  • Pola makan rendah vitamin C

Misalnya, defisiensi vitamin C dapat terjadi akibat pola makan yang kurang asupan buah-buahan dan sayuran segar. Selain itu, memasak dapat memusnahkan sebagian vitamin C dalam makanan.

Kondisi berikut dapat meningkatkan kebutuhan tubuh akan vitamin C secara signifikan dan risiko defisiensi vitamin C:

  • Kehamilan

  • Menyusui

  • Gangguan yang menyebabkan demam atau peradangan tinggi

  • Kelenjar tiroid yang terlalu aktif (hipertiroidisme)

  • Diare yang berlangsung lama

  • Tindakan bedah

  • Luka Bakar

  • Merokok, yang meningkatkan kebutuhan vitamin C sebesar 30%

Tahukah Anda...

  • Kehamilan, menyusui, demam, diare, pembedahan, dan merokok sangat meningkatkan kebutuhan tubuh akan vitamin C.

Scurvy

Defisiensi vitamin C yang parah dapat menyebabkan scurvy. Scurvy pada bayi jarang terjadi karena ASI biasanya memasok cukup vitamin C dan susu formula bayi diperkaya dengan vitamin tersebut. Scurvy jarang terjadi di Amerika Serikat tetapi dapat terjadi pada orang-orang dengan gangguan penggunaan alkohol dan lansia yang kekurangan gizi.

Gejala Defisiensi Vitamin C

Orang dewasa merasa lelah, lemah, dan mudah marah jika pola makan mereka rendah vitamin C. Mereka dapat mengalami penurunan berat badan serta nyeri otot dan sendi yang tidak jelas.

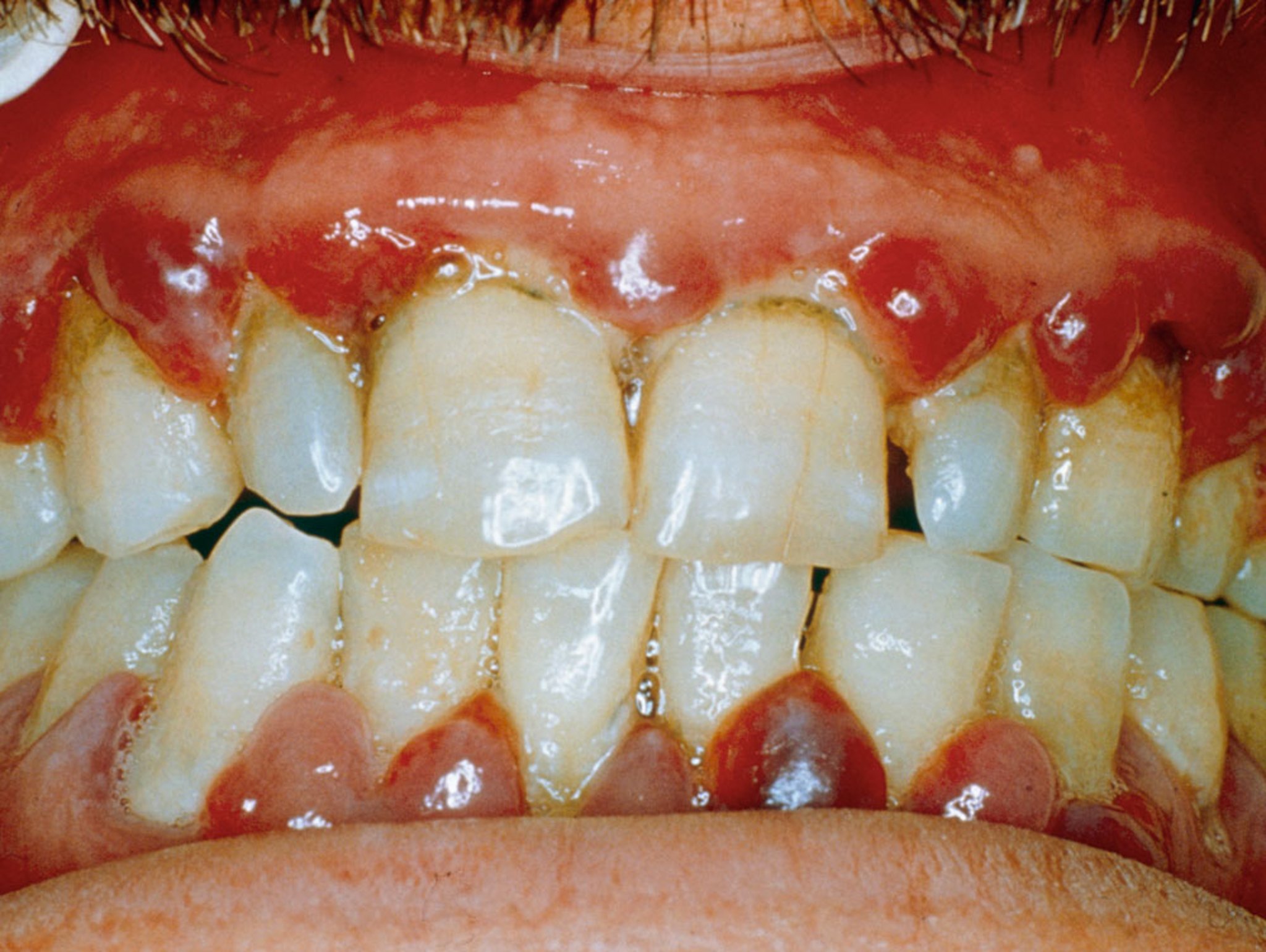
Gejala scurvy terjadi setelah defisiensi berlangsung selama beberapa bulan. Perdarahan dapat terjadi di bawah kulit (terutama di sekitar folikel rambut atau memar), di sekitar gusi, dan ke dalam sendi. Gusi menjadi bengkak, berwarna ungu, dan lunak. Gigi pada akhirnya dapat goyah. Rambut menjadi kering, rapuh, dan tergulung (seperti pembuka botol), dan kulit menjadi kering, kasar, dan bersisik. Cairan dapat terakumulasi di kaki. Anemia dapat terjadi. Infeksi dapat terjadi, dan luka tidak sembuh.

Bayi mungkin menjadi rewel, nyeri saat bergerak, dan kehilangan nafsu makannya. Bayi tidak mengalami pertambahan berat badan seperti biasanya. Pada bayi dan anak-anak, pertumbuhan tulang terganggu, dan perdarahan serta anemia dapat terjadi.

Diagnosis Defisiensi Vitamin C

  • Pemeriksaan fisik

  • Terkadang dilakukan tes darah

  • Pada anak-anak, dilakukan sinar-x pada tulang

Diagnosis scurvy didasarkan pada gejala. Mengukur kadar vitamin C dalam darah dapat membantu menetapkan diagnosis, tetapi tes ini tidak selalu tersedia.

Tes darah dapat dilakukan untuk memeriksa anemia.

Pada anak-anak, sinar-x dilakukan untuk memeriksa gangguan pertumbuhan tulang.

Pengobatan untuk Defisiensi Vitamin C

  • Suplemen vitamin C

  • Pola makan bergizi dengan konsumsi buah dan sayuran segar yang ditingkatkan

  • Untuk scurvy, diberikan suplemen vitamin C dosis tinggi

Scurvy diobati dengan suplemen vitamin C (asam askorbat) dosis tinggi setiap hari, diikuti dengan pola makan bergizi yang memasok 1 sampai 2 kali jumlah vitamin C yang dianjurkan setiap hari. Pola makan tersebut harus mencakup peningkatan konsumsi buah-buahan dan sayuran segar.

Sebagian besar gejala hilang setelah 1 hingga 2 minggu. Masalah gusi dapat berlangsung lebih lama.

Pencegahan Defisiensi Vitamin C

Defisiensi vitamin C dapat dicegah dengan mengonsumsi buah dan sayuran segar dalam jumlah yang dianjurkan atau dengan mengonsumsi vitamin C dalam jumlah yang dianjurkan menggunakan suplemen harian. Orang yang merokok membutuhkan lebih banyak.

Uji Pengetahuan Anda
Uji Pengetahuan AndaTake a Quiz!