Gotta

DiSarah F. Keller, MD, MA, Cleveland Clinic, Department of Rheumatic and Immunologic Diseases
Reviewed ByBrian F. Mandell, MD, PhD, Cleveland Clinic Lerner College of Medicine at Case Western Reserve University
Revisionato/Rivisto Modificata lug 2025
v906376_it
Visualizzazione l’educazione dei pazienti

La gotta è un disturbo causato dalla precipitazione di cristalli di urato monosodico all'interno e attorno alle articolazioni, causando solitamente artrite acuta ricorrente o cronica. L'attacco iniziale della gotta è generalmente monoarticolare e spesso interessa la 1a articolazione metatarsofalangea. I sintomi della gotta comprendono dolore acuto e grave, dolorabilità, calore, arrossamento e tumefazione. Un'iperuricemia (urato sierico > 6,8 mg/dL [> 0,4 mmol/L]) è quasi sempre presente. La diagnosi certa richiede l'identificazione dei cristalli nel liquido sinoviale. La terapia di esacerbazioni acute consiste nell'utilizzo di farmaci antinfiammatori. Le riacutizzazioni acute possono essere trattate con farmaci anti-infiammatori non steroidei (FANS), colchicina, glucocorticoidi e/o occasionalmente con inibitori dell'IL-1 (p. es., Anakinra). La gestione a lungo termine per prevenire riacutizzazioni ricorrenti comporta un abbassamento persistente del livello di urato sierico al di sotto del suo livello di saturazione (< 6,8 mg/dL [< 0,4 mmol/L]) con allopurinolo, febuxostat o farmaci uricosurici come il probenecid.

La gotta è più frequente negli uomini che nelle donne. Generalmente, si sviluppa durante la mezza età negli uomini e dopo la menopausa nelle donne (l'estrogeno ha un effetto parzialmente protettivo). La gotta è rara in età giovanile, ma presenta una maggiore gravità in coloro che sviluppano la malattia prima dei 30 anni. C'è una forte componente ereditaria nello sviluppo di iperuricemia e gotta. Anche i pazienti con sindrome metabolica sono a rischio aumentato di gotta.

Fisiopatologia della gotta

Maggiori sono il valore e la durata dell'iperuricemia, tanto più elevata è la probabilità di sviluppare la gotta (1). I livelli di acido urico possono essere elevati a causa di

  • Diminuzione dell'escrezione renale (più frequente) o gastrointestinale (2)

  • Aumentata produzione (raro)

  • L'aumento dell'assunzione di purine (di solito in combinazione con un'escrezione ridotta) è generalmente solo un fattore minore

Non è ancora noto il motivo per il quale solo alcuni soggetti, con livelli elevati di acido urico (urato) sierico, sviluppano riacutizzazioni della gotta.

La ridotta escrezione renale è sicuramente la causa più comune di iperuricemia (2) Può essere ereditaria (p. es., a causa di variazioni nell'efficienza del trasportatore di acido urico) e si verifica anche nei pazienti trattati con diuretici tiazidici e dell'ansa e in quelli con malattie che riducono la velocità di filtrazione glomerulare. L'etanolo induce un aumento del catabolismo delle purine nel fegato e della formazione di acido lattico, che blocca l'escrezione di urati dai tubuli renali e può anche stimolare la sintesi di acido urico dal fegato (3).

L'aumentata produzione di urati può derivare dall'elevato ricambio nucleoproteico nelle malattie ematologiche (p. es., linfoma, leucemia, anemia emolitica) e da quelle situazioni in cui vi è un elevato indice di proliferazione e morte cellulare (p. es., psoriasi, chemioterapia citotossica, sindrome da lisi tumorale [4], radioterapia). L'aumentata produzione di acido urico può verificarsi anche come alterazione primaria ereditaria e nell'obesità, essendo la produzione correlata con la superficie corporea (5). Nella maggior parte dei casi, la causa della sovrapproduzione di acido urico è sconosciuta, ma raramente si può attribuire ad anomalie enzimatiche; una possibile rara causa è il deficit di ipoxantina-guanina fosforibosiltransferasi (il deficit enzimatico completo determina la sindrome di Lesch-Nyhan), come pure l'iperattività della fosforibosilpirofosfato sintetasi (6).

L'aumentata assunzione di cibi ricchi di purine (p. es., frutti di mare, carne rossa, fegato, rene, acciughe, asparagi, brodo, aringhe, sughi a base di carne e brodi, funghi, cozze, sardine, animelle) può contribuire all'iperuricemia (7). La birra, compresa la birra analcolica, è particolarmente ricca di guanosina, un nucleoside purinico (8). Tuttavia, una rigorosa dieta a basso contenuto di purine riduce l'urato sierico solo di circa 1 mg/dL (0,1 mmol/L) e quindi è raramente una terapia sufficiente per i pazienti con la gotta. Lo sciroppo di mais ad alto contenuto di fruttosio stimola anche la sintesi epatica di urato. Mentre la dieta nella maggior parte dei pazienti è un contributo lieve al livello di urato sierico, il consumo eccessivo di fruttosio può alterare l'ambiente infiammatorio e aumentare la probabilità che il sistema immunitario reagisca ai depositi di acido urico, causando una riacutizzazione.

L'acido urico precipita sotto forma di cristalli aghiformi di urato monosodico, che si depositano in sede extracellulare nei tessuti avascolari (p. es., cartilagine) o poco vascolarizzati (p. es., tendini, guaine tendinee, legamenti, pareti delle borse) e nella cute intorno alle articolazioni periferiche e nei tessuti distali più freddi (p. es., orecchie, falangi distali). Nelle forme croniche gravi, i cristalli di urato monosodico possono depositarsi nelle articolazioni centrali più grandi e nel parenchima di organi come i reni. Al pH acido dell'urina, l'urato precipita rapidamente sotto forma di piccoli cristalli di forma appiattita o di acido urico a forma di diamante, che si possono aggregare a formare granelli o calcoli, i quali possono ostruire il flusso urinario. I tofi sono aggregati di cristalli di urato monosodico, che si sviluppano con maggior frequenza nelle articolazioni e nel tessuto cutaneo. Di solito sono racchiusi in una matrice fibrosa granulomatosa, che impedisce loro di causare un'infiammazione acuta.

L'artrite gottosa acuta può essere scatenata da traumi, da stress medici (p. es., infezioni), dalla chirurgia, dall'uso di diuretici tiazidici o di farmaci con effetti ipouricemizzanti (p. es., allopurinolo, febuxostat, probenecid, nitroglicerina), o dall'eccessivo consumo di cibi ricchi di purine o dall'alcol (9). Le riacutizzazioni sono spesso precipitate da un improvviso aumento o, più comunemente, da un'improvvisa riduzione dei livelli sierici di urato (10). Non è noto il motivo per il quale gli attacchi acuti seguano tali condizioni scatenanti. I tofi intra ed extra-articolari possono limitare il movimento e causare deformità, determinando la cosiddetta artrite gottosa tofacea cronica. La gotta aumenta il rischio di sviluppare un'artrosi secondaria (11).

Riferimenti relativi alla fisiopatologia

  1. 1. Choi HK, Mount DB, Reginato AM; American College of Physicians; American Physiological Society. Pathogenesis of goutAnn Intern Med. 2005;143(7):499-516. doi:10.7326/0003-4819-143-7-200510040-00009

  2. 2. Perez-Ruiz F, Calabozo M, Erauskin GG, Ruibal A, Herrero-Beites AM. Renal underexcretion of uric acid is present in patients with apparent high urinary uric acid output. Arthritis Rheum. 2002;47(6):610-613. doi:10.1002/art.10792

  3. 3. Yamamoto T, Moriwaki Y, Takahashi S. Effect of ethanol on metabolism of purine bases (hypoxanthine, xanthine, and uric acid). Clin Chim Acta. 2005;356(1-2):35-57. doi:10.1016/j.cccn.2005.01.024

  4. 4. Howard SC, Jones DP, Pui CH. The tumor lysis syndrome [published correction appears in N Engl J Med. 2018 Sep 13;379(11):1094.]. N Engl J Med. 2011;364(19):1844-1854. doi:10.1056/NEJMra0904569

  5. 5. Choi HK, Ford ES. Prevalence of the metabolic syndrome in individuals with hyperuricemia. Am J Med. 2007;120(5):442-447. doi:10.1016/j.amjmed.2006.06.040

  6. 6. Torres RJ, Puig JG. Hypoxanthine-guanine phosophoribosyltransferase (HPRT) deficiency: Lesch-Nyhan syndrome. Orphanet J Rare Dis. 2007;2:48. Published 2007 Dec 8. doi:10.1186/1750-1172-2-48

  7. 7. Choi HK, Atkinson K, Karlson EW, Willett W, Curhan G. Purine-rich foods, dairy and protein intake, and the risk of gout in men. N Engl J Med. 2004;350(11):1093-1103. doi:10.1056/NEJMoa035700

  8. 8. Choi HK, Atkinson K, Karlson EW, Willett W, Curhan G. Alcohol intake and risk of incident gout in men: a prospective study. Lancet. 2004;363(9417):1277-1281. doi:10.1016/S0140-6736(04)16000-5

  9. 9. Helget LN, Mikuls TR. Environmental Triggers of Hyperuricemia and Gout. Rheum Dis Clin North Am. 2022;48(4):891-906. doi:10.1016/j.rdc.2022.06.009

  10. 10. Urano W, Yamanaka H, Tsutani H, et al. The inflammatory process in the mechanism of decreased serum uric acid concentrations during acute gouty arthritis. J Rheumatol. 2002;29(9):1950-1953.

  11. 11. Yokose C, Chen M, Berhanu A, Pillinger MH, Krasnokutsky S. Gout and Osteoarthritis: Associations, Pathophysiology, and Therapeutic Implications. Curr Rheumatol Rep. 2016;18(10):65. doi:10.1007/s11926-016-0613-9

Sintomatologia della gotta

L'artrite gottosa acuta generalmente esordisce con un improvviso dolore (spesso notturno). Il più delle volte viene coinvolta l'articolazione metatarsofalangea dell'alluce (la cosiddetta podagra), ma anche il collo del piede, la caviglia, il ginocchio, il polso e il gomito sono sedi frequenti. Raramente sono coinvolte le articolazioni coxo-femorale, della spalla, sacroiliaca, sternoclavicolare o della colonna cervicale. Il dolore diviene progressivamente più intenso, in genere nel giro di alcune ore, e spesso è intollerabile. La tumefazione, il calore, l'arrossamento e la dolorabilità selettiva possono suggerire un'infezione. La cute sovrastante può divenire tesa, calda, lucida e di colore rosso o violaceo. Talvolta compaiono febbre, tachicardia, brividi e malessere.

Evoluzione

Le prime riacutizzazioni di solito interessano solo una singola articolazione e tipicamente si risolvono spontaneamente in 7-10 giorni (1). Gli attacchi successivi possono colpire varie articolazioni contemporaneamente o sequenzialmente e persistere fino a 3 settimane se non trattati. Successivamente gli attacchi si presentano dopo intervalli asintomatici progressivamente sempre più brevi. Infine, possono verificarsi più attacchi ogni anno. Se una terapia ipouricemizzante continua non viene iniziata, i pazienti possono sviluppare l'artrite deformante cronica da gotta tofacea dovuta alla deposizione continua di urato in corso.

Tofi

I tofi palpabili si sviluppano in pazienti con gotta e possono raramente presentarsi in pazienti che non hanno mai avuto un'artrite gottosa acuta. Sono in genere papule o noduli solidi gialli o bianchi, singoli o multipli. Si possono sviluppare in diverse sedi, normalmente dita, mani, piedi e attorno all'olecrano o al tendine di Achille. I tofi possono svilupparsi nei reni, in altri organi e nel sottocute delle orecchie. I pazienti con noduli artrosici di Heberden possono formare tofi all'interno dei noduli stessi. Questo sviluppo si verifica il più delle volte nelle donne anziane che assumono diuretici, ed essi possono diventare notevolmente infiammati e mal diagnosticati come artrosi infiammatoria. Normalmente indolori, i tofi, specie nelle borse olecraniche, possono andare incontro a infiammazione acuta e divenire dolenti, spesso dopo un danno non evidente o lieve. Possono ulcerare la cute, determinando la secrezione di masse gessose di cristalli di urato. Queste fistole possono diventare infette. I tofi intra- e periarticolari possono successivamente causare deformità e artrosi secondaria.

Complicanze della gotta

L'artrite gottosa può causare dolore, deformità e limitazione della motilità articolare. L'infiammazione può svilupparsi in alcune articolazioni e placarsi in altre. I pazienti con gotta possono sviluppare una litiasi renale da calcoli di acido urico o di ossalato di calcio.

Le complicanze della gotta comprendono ostruzione e infezione renale, con patologia tubulointerstiziale secondaria. Una disfunzione renale progressiva non trattata, il più delle volte correlata a un'ipertensione coesistente e, meno frequentemente, a un'altra causa di nefropatia, compromette ulteriormente l'escrezione di urato, accelerando la deposizione di cristalli nei tessuti.

C'è un'aumentata incidenza di infarto miocardico dopo riacutizzazioni acute (2). Tra i pazienti gottosi sono frequenti patologie cardiovascolari, apnea ostruttiva del sonno, malattia epatica associata a disfunzione metabolica (MASLD), e componenti di sindrome metabolica.

Riferimenti relativi alla sintomatologia

  1. 1. Neogi T. Clinical practice. Gout. N Engl J Med. 2011;364(5):443-452. doi:10.1056/NEJMcp1001124

  2. 2. Cipolletta E, Tata LJ, Nakafero G, Avery AJ, Mamas MA, Abhishek A. Association Between Gout Flare and Subsequent Cardiovascular Events Among Patients With Gout. JAMA. 2022;328(5):440-450. doi:10.1001/jama.2022.11390

Diagnosi della gotta

  • Anamnesi ed esame obiettivo

  • Analisi del liquido sinoviale

La diagnosi di gotta va sospettata nei pazienti con artrite acuta mono-articolare o artrite oligoarticolare, soprattutto negli anziani o in quelli con altri fattori di rischio. La podagra e l'infiammazione ricorrente del collo del piede sono particolarmente indicative. Sono anche caratteristiche le pregresse riacutizzazioni che sono iniziate in modo esplosivo e si sono risolte spontaneamente entro 7-10 giorni. Sintomi simili possono aversi nelle seguenti patologie:

  • Artrite acuta da calcio pirofosfato (malattia da deposizione di cristalli di pirofosfato di calcio diidrato) (tuttavia, il deposito di pirofosfato di calcio insorge generalmente nelle articolazioni più grandi, non è associata a tofi, e il suo decorso clinico è spesso più lieve ma protratto)

  • Febbre reumatica acuta con interessamento articolare e artrite idiopatica giovanile (comunque, tali patologie insorgono soprattutto in soggetti giovani, raramente affetti da gotta, e la prima è spesso migratoria con versamenti articolari minimi)

  • Artrite reumatoide (tuttavia, l'artrite reumatoide tende a essere simmetrica e persistente, con articolazioni più colpite durante una riacutizzazione, riacutizzazioni che persistono per periodi di tempo più lunghi, e riacutizzazioni in tutte le articolazioni che regrediscono insieme; mentre nella gotta, l'infiammazione di solito si manifesta in alcune articolazioni mentre regredisce in altre)

  • Una frattura acuta in pazienti incapaci di fornire un'anamnesi (in particolare fratture metatarsali da stress)

  • Artrite infettiva acuta o artrite infettiva cronica (la diagnosi differenziale richiede l'analisi del liquido sinoviale)

  • Reumatismo palindromico

  • Periartrite calcifica acuta causata da fosfato di calcio basico

Il reumatismo palindromico è caratterizzato da acute e ricorrenti esacerbazioni di infiammazione all'interno o nelle vicinanze di una o occasionalmente più articolazioni o guaine tendinee con spontanea risoluzione; il dolore può avere la stessa gravità della gotta. Le riacutizzazioni spesso regrediscono spontaneamente e completamente ma possono durare da giorni a settimane. Tali acutizzazioni possono preannunciare l'insorgenza di artrite reumatoide e la presenza di anticorpi anti-fattore reumatoide e peptide citrullinato anticiclico (anti-CCP) può aiutare nella differenziazione; sono positivi in circa il 50% dei pazienti (1).

Analisi del liquido sinoviale

Nel sospetto di un'artrite gottosa acuta, deve essere eseguita l'artrocentesi e l'analisi del liquido sinoviale all'esordio dei sintomi (2). In un paziente con diagnosi di gotta precedentemente documentata, non è indispensabile l'artrocentesi in caso di una tipica recidiva, ma va eseguita in presenza di diagnosi dubbia o se i fattori di rischio del paziente o altre caratteristiche cliniche suggeriscono un'artrite infettiva (3, 4). In alcuni casi, una diagnosi di gotta può essere ragionevolmente presunta sulla base dell'anamnesi del paziente e delle caratteristiche cliniche o dei risultati di imaging nei casi in cui il liquido articolare non può essere ottenuto; tuttavia, ogni tentativo deve essere fatto per documentare la presenza di cristalli di urato monosodico nel liquido sinoviale da un'articolazione colpita.

L'analisi del liquido sinoviale può confermare la diagnosi identificando cristalli aghiformi di urato, fortemente negativi alla birifrangenza, liberi nel liquido o inglobati dai fagociti. Il liquido sinoviale durante le riacutizzazioni presenta caratteristiche infiammatorie (vedi tabella Esame microscopico dei cristalli nelle articolazioni), normalmente 2000-100 000 globuli bianchi/mcL, con > 80% di globuli bianchi polimorfonucleati ( 5). Questi reperti si sovrappongono considerevolmente all'artrite infettiva, che deve essere esclusa con colorazione di Gram (che è insensibile) ed esame colturale ( 4).

Tabella
Tabella

Uricemia

Un elevato livello di urato sierico supporta la diagnosi di gotta, ma non è né specifico né sensibile; almeno il 30% dei pazienti ha un livello di urato sierico normale durante una riacutizzazione acuta in parte a causa delle proprietà uricosuriche della citochina proinfiammatoria interleuchina-6 (IL-6) o perché un abbassamento improvviso dell'urato sierico ha scatenato la riacutizzazione (6). Tuttavia, il livello basale di urato sierico tra le riacutizzazioni riflette le dimensioni del pool di urato extracellulare miscibile. Il livello deve essere misurato 2 o 3 volte in pazienti con gotta di recente scoperta, per fornire un dato di riferimento. L'uricemia può essere bassa immediatamente dopo l'inizio della terapia, ma le riacutizzazioni possono continuare a verificarsi fino a quando rimangono depositi nei tessuti. La dissoluzione dei depositi di urato può richiedere molti mesi dopo l'inizio della terapia.

Diagnosi di artrite gottosa cronica

I reperti del liquido sinoviale da versamenti cronici delle articolazioni colpite sono di solito diagnostici. Le radiografie dell'articolazione colpita non sono necessarie se la diagnosi di gotta acuta è stata posta con l'analisi del liquido sinoviale e raramente mostrano erosioni al momento dei primi attacchi.

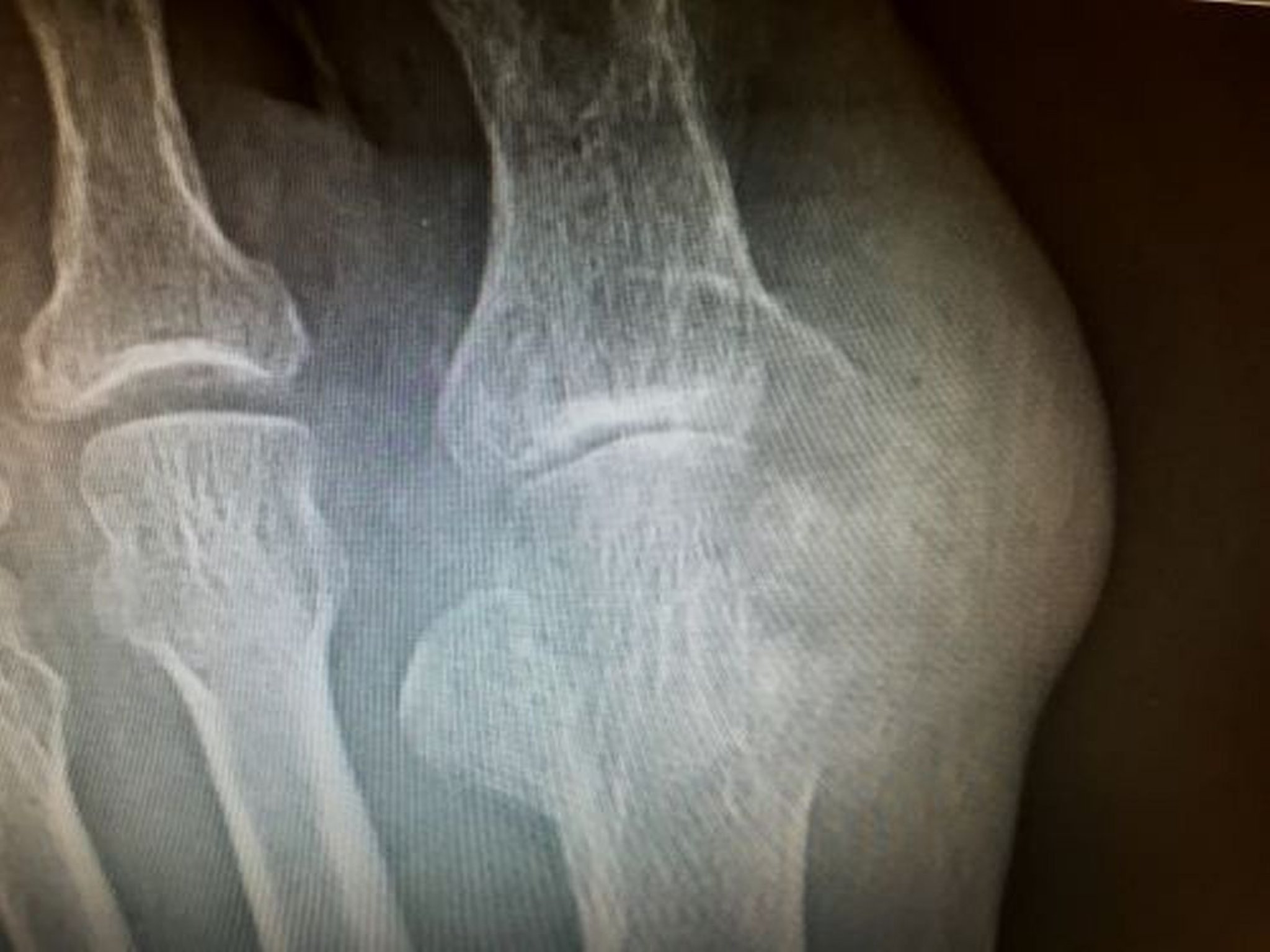
L'artrite gottosa cronica deve essere presa in considerazione nei pazienti con persistente malattia articolare inspiegabile o con tofi sottocutanei o ossei. Possono risultare utili RX della 1a articolazione metatarsofalangea o delle altre articolazioni colpite. Queste RX possono mostrare lesioni a stampo nell'osso subcondrale con margini ossei debordanti, soprattutto a livello della prima articolazione metatarsofalangea; le lesioni devono avere un diametro 5 mm per essere visibili alla RX. Lo spazio articolare è tipicamente conservato fino agli stadi tardivi della malattia.

L'ecografia diagnostica è sempre più utilizzata per rilevare un segno tipico di doppio contorno che suggerisce la deposizione di cristalli di urato, ma la sensibilità è operatore-dipendente e la differenziazione dal deposito di cristalli di pirofosfato di calcio può essere più difficile da fare in modo conclusivo. La deposizione di urati sulla cartilagine articolare (segno a doppio contorno) e tofi clinicamente non evidenti sono cambiamenti caratteristici. Questi risultati possono essere evidenti anche prima della prima crisi di gotta. La TC a doppia energia può anche rivelare depositi di acido urico e può essere utile se la diagnosi non è chiara in base alla valutazione clinica standard e ai test (7), in particolare se l'aspirazione e l'analisi del liquido sinoviale non possono essere eseguite. Nessuna modalità di imaging è completamente accurata, in particolare quando si valuta una prima riacutizzazione.

Riferimenti relativi alla diagnosi

  1. 1. Salvador G, Gomez A, Vinas O, et al. Prevalence and clinical significance of anti-cyclic citrullinated peptide and antikeratin antibodies in palindromic rheumatism. An abortive form of rheumatoid arthritis?. Rheumatology (Oxford). 2003;42(8):972-975. doi:10.1093/rheumatology/keg268

  2. 2. Qaseem A, McLean RM, Starkey M, et al. Diagnosis of Acute Gout: A Clinical Practice Guideline From the American College of Physicians. Ann Intern Med. 2017;166(1):52-57. doi:10.7326/M16-0569

  3. 3. Horowitz DL, Katzap E, Horowitz S, Barilla-LaBarca ML. Approach to septic arthritis. Am Fam Physician. 2011;84(6):653-660.

  4. 4. Becker JA, Daily JP, Pohlgeers KM. Acute Monoarthritis: Diagnosis in Adults. Am Fam Physician. 2016;94(10):810-816.

  5. 5. Dore RK. The gout diagnosis. Cleve Clin J Med. 2008;75 Suppl 5:S17-S21. doi:10.3949/ccjm.75.suppl_5.s17

  6. 6. Zhang J, Sun W, Gao F, et al. Changes of serum uric acid level during acute gout flare and related factors.Front Endocrinol (Lausanne). 2023;14:1077059. Published 2023 Feb 21. doi:10.3389/fendo.2023.1077059

  7. 7. Singh JA, Budzik JF, Becce F, Pascart T. Dual-energy computed tomography vs ultrasound, alone or combined, for the diagnosis of gout: a prospective study of accuracy. Rheumatology (Oxford). 2021;60(10):4861-4867. doi:10.1093/rheumatology/keaa923

Trattamento della gotta

  • Interruzione di una riacutizzazione con farmaci antinfiammatori non steroidei (FANS), colchicina, glucocorticoidi o un inibitore dell'interleuchina-1 (IL-1)

  • Prevenire l'ulteriore deposito di cristalli di urato monosodico, ridurre l'incidenza degli attacchi, e risolvere i tofi esistenti abbassando il livello di urato sierico (diminuendo la produzione di urato con allopurinolo o febuxostat, sciogliendo i depositi con terapia sostitutiva con uricasi, o aumentando l'escrezione di urato con probenecid)

  • Prevenzione degli attacchi acuti ricorrenti con colchicina giornaliera o un FANS

  • Trattamento di ipertensione, iperlipidemia e obesità coesistenti e l'evitare l'eccesso di purine nella dieta

Terapia degli attacchi acuti

L'approccio al trattamento di una riacutizzazione acuta di gotta è l'inizio rapido della terapia antinfiammatoria per risolvere il dolore e ripristinare la funzione, con opzioni di prima linea che includono colchicina, FANS e glucocorticoidi (1, 2). La scelta di questi agenti è individualizzata, basata principalmente su comorbidità e controindicazioni. Gli inibitori dell'interleuchina-1 (IL-1) (p. es., l'anakinra) possono essere utilizzati per i pazienti che non tollerano o hanno controindicazioni alle terapie di prima linea, o se le terapie di prima linea sono inefficaci.

I FANS sono efficaci nel trattare gli attacchi acuti e sono generalmente ben tollerati. Tuttavia, possono avere effetti avversi, tra cui disturbi gastrointestinali o sanguinamenti, iperkaliemia, aumento della creatinina e ritenzione idrica. I pazienti anziani e disidratati sono particolarmente a rischio, soprattutto se con storia di nefropatia. Praticamente qualsiasi FANS utilizzato a dosi (alte) antinfiammatorie è efficace e può esercitare un effetto analgesico che inizia entro alcune ore. Il trattamento deve essere continuato per diversi giorni dopo la remissione del dolore e dei segni di infiammazione per prevenire le ricadute.

La colchicina orale, una terapia tradizionale, produce una risposta significativa in alcuni pazienti se iniziata subito dopo la comparsa dei sintomi; è più efficace se iniziata entro 12-24 h da un'esacerbazione acuta. Una dose di 1,2 mg può essere seguita da 0,6 mg 1 h dopo; il dolore articolare tende a diminuire dopo 12-24 h e a volte cessa entro 3-7 giorni, ma il dosaggio continuo generalmente è necessario per raggiungere la risoluzione, che può richiedere del tempo. Se la colchicina è tollerata, si può continuare con una dose di 0,6-1,2 mg 1 volta/die sino alla remissione dell'esacerbazione. L'insufficienza renale e le interazioni farmacologiche, specialmente con gli inibitori del CYP3A4 (come claritromicina, antimicotici e succo di pompelmo) e alcune statine possono richiedere una riduzione del dosaggio o l'uso di altri trattamenti. Disturbi gastrointestinali e diarrea sono effetti avversi comuni.

I glucocorticoidi vengono impiegati per il trattamento delle esacerbazioni acute. L'aspirazione delle articolazioni colpite, seguita da un'iniezione intra-articolare di glucocorticoidi (in pazienti che non hanno sospetta artrite settica), è molto efficace, in particolare per i sintomi monoarticolari; triamcinolone acetonide o metilprednisolone acetato possono essere utilizzati, con una dose che dipende dalle dimensioni delle articolazioni colpite. Prednisone orale (circa 0,5 mg/kg 1 volta/die con riduzione graduale) o metilprednisolone, glucocorticoidi IM o EV possono essere efficaci, in particolare se sono coinvolte articolazioni multiple. Come la terapia con i FANS, il trattamento con glucocorticoidi deve essere protratto per alcuni giorni dopo la risoluzione completa della riacutizzazione, per prevenire ricadute.

Se la monoterapia è inefficace o le dosi (p. es., dei FANS) sono limitate dalla tossicità, la colchicina può essere combinata con FANS o glucocorticoidi.

In associazione ai FANS o ai glucocorticoidi, possono essere utili analgesici di supporto, riposo, applicazione di ghiaccio e immobilizzazione con tutore dell'articolazione infiammata. Se i pazienti assumono farmaci che abbassano l'urato quando inizia un attacco acuto, i farmaci devono essere continuati alla stessa dose; aggiustamenti della dose sono differiti fino a quando l'attacco non si è placato. Non vi è alcuna controindicazione all'inizio di una terapia ipouricemizzante durante una riacutizzazione acuta se viene fornita una terapia antinfiammatoria appropriata.

Se i glucocorticoidi, colchicina, e FANS sono controindicati o inefficaci, può essere utilizzato un inibitore dell'IL-1, come l'anakinra (3). L'anakinra può accelerare la risoluzione di una riacutizzazione e ridurre la degenza di un paziente con comorbilità multiple che limitano l'uso di altri farmaci. L'anakinra viene in genere somministrato a 100 mg sottocute 1 volta/die fino alla risoluzione dei sintomi. L'anakinra ha il vantaggio di non influenzare i livelli di glucosio o la funzione renale o di causare ritenzione di liquidi e può essere utilizzata in un paziente con un'infezione attiva che viene adeguatamente trattata. A causa di considerazioni sui costi, l'anakinra non viene in genere utilizzato per il trattamento di riacutizzazioni acute della gotta in regime ambulatoriale.

Prevenzione di riacutizzazioni ricorrenti

La frequenza delle riacutizzazioni acute viene ridotta assumendo 0,6 mg di colchicina 1 o 2 volte/die (massimo 1,2 mg/die a seconda della tolleranza e della funzione renale). Ulteriori 2 compresse da 0,6 mg di colchicina, assunte ai primi segni di un attacco, possono bloccarlo. Se il paziente sta assumendo dosi profilattiche di colchicina e ha assunto dosi più alte di colchicina per trattare un attacco acuto nelle ultime 2 settimane, deve essere utilizzato un FANS o glucocorticoidi per cercare di interrompere l'attacco.

In corso di assunzione cronica di colchicina, possono insorgere una neuropatia (reversibile) e/o una miopatia. Questa condizione si verifica con più probabilità in pazienti con insufficienza renale, e anche in pazienti in terapia con alcune statine o macrolidi, ma si verifica raramente in pazienti senza nessuno di questi fattori di rischio. La dose di colchicina deve essere ridotta o evitata nei pazienti con insufficienza renale o in quelli che assumono inibitori del CYP3A4.

La frequenza delle riacutizzazioni può anche essere ridotta con FANS giornalieri a basse dosi se la funzione renale lo consente. L'uso cronico di glucocorticoidi non è una terapia profilattica ideale a causa del suo potenziale effetto avverso.

Riduzione dei livelli di uricemia

La colchicina, i FANS e i glucocorticoidi non rallentano il progressivo danno articolare causato dai tofi, perché non abbassano il livello sierico di urato o sciolgono i depositi di urato monosodico. Il danno articolare può essere prevenuto e, se presente, si può fare regredire con farmaci ipouricemizzanti. I depositi tofacei vengono riassorbiti abbassando l'urato sierico o si dissolvono con la terapia sostitutiva con uricasi. Il mantenimento di un livello di urato sierico al di sotto del punto di saturazione (l'obiettivo è di solito < 6 mg/dL [< 0,35 mmol/L]), alla fine, diminuirà la frequenza delle riacutizzazioni artritiche acute quando i depositi sono dissolti. Tale riduzione si ottiene

  • Bloccando la produzione di acido urico con inibitori della xantina ossidasi (allopurinolo o febuxostat)

  • Aumentando l'escrezione di acido urico con un farmaco uricosurico (probenecid o losartan)

  • Usando insieme entrambi i tipi di farmaci nella gotta tofacea grave o in pazienti intolleranti a dosi più alte di un inibitore della xantina ossidasi

  • Aumentando l'escrezione di urato convertendo l'urato in allantoina, che è più solubile e prontamente escreta, con terapia sostitutiva con uricasi in pazienti come quelli che hanno una grave gotta tofacea o non hanno risposto ad altre terapie ipouricemizzanti

La terapia ipouricemizzante è indicata nei pazienti con

  • Depositi tofacei

  • Evidenza di danno articolare dovuto alla gotta negli studi di imaging

  • Riacutizzazioni frequenti o invalidanti (p. es., > 2 riacutizzazioni/anno) di artrite gottosa

  • Urolitiasi

  • Pazienti con riacutizzazioni infrequenti, ma il cui livello sierico di acido urico è > 9 mg/dL (> 0,5 mmol/L) o pazienti per i quali qualunque riacutizzazione pone particolari difficoltà

  • Comorbilità multiple (p. es., ulcere gastroduodenali, malattia renale cronica) che sono controindicazioni relative ai farmaci utilizzati per il trattamento degli attacchi acuti ricorrenti (FANS o glucocorticoidi)

L'iperuricemia di solito non viene trattata in assenza di riacutizzazioni della gotta o di nefrolitiasi dell'acido urico.

L'obiettivo della terapia ipouricemizzante è di abbassare il livello di urato sierico. Se non sono presenti tofi, un livello target accettabile è < 6 mg/dL (< 0,35 mmol/L), che è al di sotto del livello di saturazione (> 6,8 mg/dL [> 0,4 mmol/L] alla temperatura e al pH corporeo normali). Dati convincenti dimostrano una ridotta frequenza delle riacutizzazioni quando l'uricemia si riduce a < 6 mg/dL con questa strategia di trattamento mirata. Due studi randomizzati hanno dimostrato che una quantità significativamente minore di pazienti con uricemia < 6 mg/dL ha avuto riacutizzazioni della gotta rispetto a quelli con un'uricemia più elevata. I pazienti con un livello target di urato sierico (< 6 mg/dL) che hanno avuto riacutizzazioni hanno mostrato un minor numero di riacutizzazioni di gotta rispetto ai pazienti con livelli superiori a tale soglia di urato sierico (4).

Se sono presenti tofi palpabili o se c'è marcata disabilità da depositi tofacei, un obiettivo ragionevole è di scioglierli più rapidamente, e questo richiede un livello target ancora più basso. Più basso è il livello di urato sierico, più rapida è la risoluzione dei tofi. Dopo la presunta completa dissoluzione dei depositi, si può lasciare che l'urato sierico raggiunga un livello < 6 mg/dL.

I farmaci sono efficaci nell'abbassare l'uricemia; la dieta con ridotto introito di purine è meno efficace, ma l'elevato consumo di cibi ricchi di purine, l'alcol (in particolare la birra), e la birra non alcolica vanno comunque evitati. La restrizione dei carboidrati (specialmente l'evitamento dello sciroppo di mais ad alto contenuto di fruttosio) e la perdita di peso possono abbassare il livello di urato sierico, in particolare nei pazienti con insulina-resistenza perché alti livelli di insulina sopprimono l'escrezione di urato. L'assunzione di prodotti lattiero-caseari a basso contenuto di grassi deve essere incoraggiata. Poiché le esacerbazioni acute tendono a svilupparsi durante i primi mesi della terapia ipouricemizzante, tale terapia va iniziata in concomitanza con una o due assunzioni giornaliere di colchicina o FANS.

Il riassorbimento dei tofi può richiedere molti mesi anche mantenendo l'uricemia a livelli bassi. L'uricemia va misurata periodicamente, in genere mensilmente quando si determina il dosaggio necessario dei farmaci, e quindi almeno annualmente per confermare l'efficacia della terapia o più spesso se ci sono cambiamenti di farmaci o aumento di peso. La terapia ipouricemizzante non deve essere interrotta se un paziente ha una riacutizzazione.

L'allopurinolo, un inibitore della xantina ossidasi che inibisce la sintesi di acido urico, è la terapia ipouricemizzante iniziale maggiormente prescritta e preferita. I calcoli o la sabbia di acido urico possono dissolversi durante il trattamento con l'allopurinolo. Il trattamento di solito inizia con 50-100 mg per via orale 1 volta/die e può essere aumentata lentamente fino a 800 mg per via orale 1 volta/die. La dose può essere suddivisa se un singolo dosaggio giornaliero causa disturbi gastrointestinali. Alcuni medici raccomandano di diminuire la dose iniziale nei pazienti con insufficienza renale (p. es., 50 mg per via orale 1 volta/die se la clearance della creatinina è < 60 mL/min/1,73 m2) per ridurre potenzialmente l'incidenza di reazioni di ipersensibilità sistemica rare ma gravi; tuttavia, i dati che confermano l'efficacia di questo approccio sono limitati. La dose finale di allopurinolo deve essere determinata dal livello di urato sierico bersaglio. La dose giornaliera in genere usata è di 300 mg, ma questo dosaggio è efficace nella riduzione dei livelli di acido urico sierico a < 6 mg/dL (< 0,35 mmol/L) in meno del 40% dei pazienti con gotta. L'assorbimento di allopurinolo può diminuire a dosi superiori a 300 mg, pertanto deve essere considerata la somministrazione frazionata (p. es., 2 volte/die).

Gli effetti avversi dell'allopurinolo comprendono lievi disturbi gastrointestinali e eruzione, che possono precedere una sindrome di Stevens-Johnson, epatite potenzialmente letale, vasculite o leucopenia. Tali effetti avversi sono più frequenti nei pazienti con disfunzione renale. I portatori di HLA-B*5801 sono a più alto rischio di sindrome da ipersensibilità da allopurinolo (che comprende gravi reazioni avverse cutanee), e la prevalenza di HLA-B*5801 varia a seconda della razza (5). Pertanto, la guida di un esperto consiglia di eseguire il test per l'allele HLA B*5801 prima del trattamento in pazienti di origine del Sud-Est asiatico (p. es., cinesi Han, coreani, tailandesi) e afroamericani, e di utilizzare un farmaco alternativo se tale marker genetico è presente (6). L'allopurinolo è controindicato nei pazienti che assumono azatioprina o mercaptopurina perché può diminuire il metabolismo e pertanto potenziare gli effetti citolitici e immunosoppressivi di questi farmaci. Il valore delle transaminasi epatiche può diventare elevato e deve essere misurato periodicamente.

Il febuxostat è più costoso (negli Stati Uniti) ma è un inibitore della xantina ossidasi più potente nella sintesi dell'urato. È particolarmente utile nei pazienti che non tollerano l'allopurinolo, che hanno controindicazioni per l'allopurinolo, o in cui l'allopurinolo non riesce sufficientemente a ridurre i livelli di urato. Sembra che il febuxostat prevenga le riacutizzazioni acute con la stessa efficacia dell'allopurinolo (7). Il febuxostat viene iniziato a 20–40 mg per via orale 1 volta/die e aumentato a 80-120 mg per via orale 1 volta/die se l'urato non diminuisce a < 6 mg/dL (< 0,35 mmol/L). Il febuxostat (come l'allopurinolo) è controindicato nei pazienti che assumono azatioprina o mercaptopurina perché può diminuire il metabolismo di questi farmaci. Rispetto all'allopurinolo, il febuxostat ha aumentato il rischio di mortalità in uno studio su pazienti con malattie cardiovascolari note (8), ma diversi studi aggiuntivi non hanno confermato questa osservazione (9). Il valore delle transaminasi può diventare elevato e deve essere misurato periodicamente.

La pegloticasi è una forma pegilata di uricasi ricombinante. L'uricasi è un enzima, assente nell'uomo, che converte l'urato in allantoina, che è più solubile. La pegloticasi è costosa e viene utilizzata principalmente in pazienti con gotta in cui altri trattamenti non hanno avuto successo nell'abbassamento del livello di urato sierico. La pegloticasi può anche essere utilizzata in pazienti che hanno un alto carico di depositi tofacei che non verrebbero probabilmente disciolti in un periodo di tempo ragionevole da altre terapie ipouricemizzanti. Viene somministrata EV ogni 2 settimane per molti mesi (tipicamente almeno 6-9 mesi) per esaurire completamente i depositi di urato in eccesso; spesso abbassa il livello di urato sierico di < 1 mg/dL (< 0,1 mmol/L). La pegloticasi è controindicata nei pazienti con carenza di glucosio-6-fosfato deidrogenasi (G6PD) perché può causare emolisi e metaemoglobinemia. L'infusione di pegloticasi può raramente essere associata a sintomi compatibili con l'anafilassi. L'efficacia della preparazione attualmente disponibile è limitata da un alto tasso di sviluppo di anticorpi neutralizzanti il farmaco. Una mancata diminuzione dei livelli di urato a < 6 mg/dL (< 0,35 mmol/L) dopo un'infusione di pegloticasi indica la probabile presenza di anticorpi anti-glicole polietilenico (anti-PEG) e un aumentato rischio di future reazioni allergiche; le infusioni regolari vengono quindi sospese. Per evitare che altri farmaci ipouricemizzanti mascherino l'inefficacia della pegloticasi, questo gruppo di farmaci non va utilizzato insieme alla pegloticasi. La co-somministrazione di immunosoppressori (p. es., il metotrexato) con pegloticasi può prevenire lo sviluppo degli anticorpi neutralizzanti.

La terapia uricosurica può essere utile nei pazienti che hanno una ridotta escrezione di acido urico (la maggioranza dei pazienti con iperuricemia), con funzionalità renale normale, e che non hanno avuto calcoli renali. Il probenecid è l'unico farmaco uricosurico disponibile negli Stati Uniti. Il probenecid può essere usato come monoterapia se sia l'allopurinolo sia il febuxostat sono controindicati o non tollerati. Il probenecid perde efficacia con il declino della funzionalità renale e generalmente non è altrettanto utile con una velocità di filtrazione glomerulare < 50 mL/min/1,73 m2. È efficace se aggiunto a un inibitore della xantina ossidasi, ma è raramente necessario. Il benzbromarone è un uricosurico più potente che è disponibile al di fuori degli Stati Uniti.

Il farmaco antipertensivo losartan e il farmaco che riduce i trigliceridi fenofibrato hanno entrambi effetti uricosurici e possono essere utilizzati per ridurre l'acido urico in pazienti che hanno altri motivi per assumere questi farmaci. Basse dosi di salicilati possono ridurre l'escrezione di acido urico e peggiorare l'iperuricemia, ma solo in modo banale, e non devono essere evitate se indicato diversamente come nella prevenzione secondaria delle malattie cardiovascolari.

Altri trattamenti

Per tutti i pazienti è auspicabile l'assunzione di 3 L/die di liquidi, in particolare per quelli che eliminano cronicamente renella o calcoli di urato.

Anche l'alcalinizzazione dell'urina (con citrato di potassio 20-40 mEq per via orale 2 volte/die o acetazolamide 500 mg per via orale prima di andare a letto) è talvolta efficace nei soggetti con urolitiasi persistente da acido urico, nonostante la terapia ipouricemizzante e un'adeguata idratazione. Tuttavia, l'eccessiva alcalinizzazione dell'urina può causare la deposizione di cristalli di ossalato e di fosfato di calcio. Per disintegrare i calcoli renali può essere necessaria la litotrissia extracorporea con onde d'urto. Per disintegrare i calcoli renali può essere necessaria la litotrissia extracorporea con onde d'urto.

I grandi tofi in aree con cute sana possono essere eliminati chirurgicamente; tutti gli altri devono scomparire lentamente con una terapia ipouricemizzante aggressiva.

Riferimenti relativi al trattamento

  1. 1. FitzGerald JD, Dalbeth N, Mikuls T, et al. 2020 American College of Rheumatology Guideline for the Management of Gout [published correction appears in Arthritis Rheumatol. 2021 Mar;73(3):413. doi: 10.1002/art.41688.]. Arthritis Rheumatol. 2020;72(6):879-895. doi:10.1002/art.41247

  2. 2. Qaseem A, Harris RP, Forciea MA, et al. Management of Acute and Recurrent Gout: A Clinical Practice Guideline From the American College of Physicians. Ann Intern Med. 2017;166(1):58-68. doi:10.7326/M16-0570

  3. 3. Schlesinger N, Pillinger MH, Simon LS, Lipsky PE. Interleukin-1β inhibitors for the management of acute gout flares: a systematic literature review. Arthritis Res Ther. 2023;25(1):128. Published 2023 Jul 25. doi:10.1186/s13075-023-03098-4

  4. 4. Stamp LK, Frampton C, Morillon MB, et al. Association between serum urate and flares in people with gout and evidence for surrogate status: a secondary analysis of two randomised controlled trials. Lancet Rheumatol 4: e53-e60, 2022. doi.org/10.1016/S2665-9913(21)00319-2

  5. 5. Jutkowitz E, Dubreuil M, Lu N, et al:.The cost-effectiveness of HLA-B*5801 screening to guide initial urate-lowering therapy for gout in the United States. Semin Arth Rheum 46:594-600, 2017. doi: 10.1016/j.semarthrit.2016.10.009

  6. 6. FitzGerald JD, Dalbeth N, Mikuls T, et al. 2020 American College of Rheumatology Guideline for the Management of Gout [published correction appears in Arthritis Care Res (Hoboken). 2020 Aug;72(8):1187. doi: 10.1002/acr.24401.] [published correction appears in Arthritis Care Res (Hoboken). 2021 Mar;73(3):458. doi: 10.1002/acr.24566.]. Arthritis Care Res (Hoboken). 2020;72(6):744-760. doi:10.1002/acr.24180. Erratum. Arthritis Care Res (Hoboken). 2021;73(3):458. doi:10.1002/acr.24566

  7. 7. O'Dell JR, Brophy MT, Pillinger MH, et al. Comparative effectiveness of allopurinol and febuxostat in gout management. NEJM Evid 1(3):10.1056/evidoa2100028, 2022. doi: 10.1056/evidoa2100028.

  8. 8. White WR, Saag KG, Becker MA, et al. Cardiovascular safety of febuxostat or allopurinol in patients with gout. N Engl J Med. 378:1200-1210, 2018. doi: 10.1056/NEJMoa1710895

  9. 9. Mackenzie IS, Ford I, Nuki G, et al. Long-term cardiovascular safety of febuxostat compared with allopurinol in patients with gout (FAST): a multicentre, prospective, randomised, open-label, non-inferiority trial. Lancet. 396(10264):1745-1757, 2020. doi: 10.1016/S0140-6736(20)32234-0

Prognosi della gotta

Con la diagnosi precoce della gotta, la terapia ipouricemizzante per tutta la vita consente alla maggior parte dei pazienti di ottenere il controllo dei sintomi e preservare la funzione articolare. Per molti pazienti con malattia avanzata, la drastica riduzione del livello di urato sierico può risolvere i tofi e migliorare la funzionalità articolare. La gotta è generalmente più grave nei pazienti i cui sintomi iniziali si manifestano prima dei 30 anni e il cui livello di acido urico sierico al basale è > 9 mg/dL (> 0,53 mmol/L). Tuttavia, l'alta prevalenza della sindrome metabolica e delle malattie cardiovascolari è associata a un aumento della mortalità nei pazienti con gotta (1).

Alcuni pazienti non migliorano in maniera adeguata con il trattamento. Le ragioni più frequenti comprendono un'inadeguata educazione fornita ai pazienti, la non aderenza, l'alcolismo, e principalmente un trattamento medico dell'iperuricemia non sufficiente.

Riferimento relativo alla prognosi

  1. 1. Schlesinger N, Elsaid MI, Rustgi VK. The relationship between metabolic syndrome severity and the risk of mortality in gout patients: a population-based study. Clin Exp Rheumatol. 2022;40(3):631-633. doi:10.55563/clinexprheumatol/2rn9fv

Iperuricemia asintomatica

L'iperuricemia asintomatica consiste nell'innalzamento dell'urato sierico > 7 mg/dL (> 0,4 mmol/L) in assenza di sintomatologia tipica della gotta.

Generalmente, l'iperuricemia asintomatica non necessita di trattamento. La maggior parte dei pazienti con iperuricemia asintomatica con uricemia fino a 10 mg/dL (0,6 mmol/L) non sviluppa riacutizzazioni della gotta in 10 anni. Tuttavia, i pazienti con iperescrezione di urato e calcoli renali di acido urico ricorrenti possono ricevere allopurinolo.

I dati di osservazione hanno suggerito che l'iperuricemia può contribuire alla progressione della malattia renale cronica, delle malattie cardiovascolari e, negli adolescenti, dell'ipertensione primaria. Prove di alta qualità non hanno costantemente dimostrato che l'abbassamento del livello sierico di urato riduca la progressione della malattia renale (1).

Riferimento

  1. 1. Sampson AL, Singer RF, Walters GD. Uric acid lowering therapies for preventing or delaying the progression of chronic kidney disease. Cochrane Database Syst Rev. 2017;10(10):CD009460. Published 2017 Oct 30. doi:10.1002/14651858.CD009460.pub2

Punti chiave

  • Anche se l'aumento dell'assunzione di purine e l'aumento della produzione possono contribuire all'iperuricemia, la causa più comune di gotta è la ridotta escrezione di urato secondaria a disturbi renali o alla variabilità genetica nell'efficienza del trasportatore di acido urico.

  • La gotta va sospettata in pazienti con improvvisa ed inspiegabile artrite acuta monoarticolare o oligoarticolare, in particolare se sono interessati l'alluce o il mesopiede o vi è una precedente storia di episodi inspiegabili di artrite acuta improvvisa con remissione spontanea in 7-10 giorni.

  • La diagnosi può essere confermata identificando cristalli aghiformi di urato, fortemente negativi alla birifrangenza, nel liquido articolare; o tramite TC a doppia energia o ecografia. La documentazione dell'iperuricemia non è sufficiente a confermare la diagnosi di artrite gottosa.

  • Trattare le riacutizzazioni acute della gotta con colchicina orale, un FANS, un glucocorticoide, una combinazione di colchicina con un FANS o un glucocorticoide, o un inibitore dell'interleuchina-1 (IL-1).

  • La riduzione dei livelli di urato cura la gotta e riduce il rischio di riacutizzazioni future, di solito prescrivendo allopurinolo o febuxostat da soli o in combinazione con un farmaco uricosurico, con un obiettivo di urato sierico < 6 mg/dL

  • Il trattamento dell'iperuricemia asintomatica generalmente non è necessario.

quizzes_lightbulb_red
Test your KnowledgeTake a Quiz!
iOS ANDROID
iOS ANDROID
iOS ANDROID