Bronquiectasia

PorTrevor Steinbach, MD, University of Colorado
Reviewed ByRichard K. Albert, MD, Department of Medicine, University of Colorado Denver - Anschutz Medical
Revisado/Corrigido: abr. 2025 | modificado jul. 2025
v918598_pt
Visão Educação para o paciente

Bronquiectasia se refere à dilatação, espessamento e destruição de brônquios maiores causada por infecção e inflamação crônicas. As causas comuns são: fibrose cística, defeitos imunes e infecções recorrentes, embora em alguns casos pareça ser idiopática. Sintomas comuns são tosse crônica e expectoração purulenta com ou sem dispneia. Os sintomas podem piorar e podem incluir febre durante exacerbações agudas. O diagnóstico baseia-se na história e exames de imagem, habitualmente a tomografia computadorizada (TC) de alta resolução, embora as radiografias de tórax convencionais possam ser diagnósticas. O tratamento e a prevenção das agudizações compreendem broncodilatadores, eliminação de secreções, antibióticos e terapêutica de complicações como hemoptise e outras lesões pulmonares devido a infecções resistentes ou oportunísticas. Quando for possível, é importante tratar as causas subjacentes.

Etiologia da bronquiectasia

Estima-se que a bronquiectasia afete 680/100.000 indivíduos anualmente em todo o mundo (1). A bronquiectasia é mais bem considerada como o ponto final comum de várias doenças que causam inflamação crônica das vias respiratórias. A bronquiectasia pode ser difusa (afetando muitas áreas dos pulmões) ou focal (aparecendo em apenas 1 ou 2 áreas pulmonares).

A bronquiectasia se desenvolve mais frequentemente em pacientes com defeitos genéticos, imunológicos ou anatômicos que afetam as vias respiratórias. A causa de muitos casos parece ser idiopática, em parte porque provavelmente o início é tão lento que o problema desencadeador não é prontamente evidente no momento em que a bronquiectasia é reconhecida. Entretanto, após investigação utilizando testes genéticos e imunológicos, uma etiologia é mais frequentemente encontrada nesses casos idiopáticos (2).

Fibrose cística (FC) é comumente associada à bronquiectasia difusa que predomina classicamente nos lobos superiores, e a FC não diagnosticada anteriormente pode representar até 20% dos casos idiopáticos. Mesmo pacientes heterozigotos, que normalmente não têm manifestações clínicas da fibrose cística, podem ter maior risco de bronquiectasias.

Bronquiectasia também frequentemente coexiste com condições mais comuns como doença pulmonar obstrutiva crônica (DPOC) e asma. É uma complicação cada vez mais reconhecida de aspiração crônica e recorrente e refluxo gastroesofágico.

Imunodeficiências, como a imunodeficiência variável comum (CVID), também podem levar à doença difusa.

Em regiões onde a tuberculose é comum, a bronquiectasia é uma complicação comum, particularmente em pacientes com função imunológica prejudicada devido à desnutrição ou infecção por HIV.

Anormalidades raras na estrutura das vias respiratórias podem levar à bronquiectasia difusa.

Defeitos congênitos na depuração mucociliar, como as síndromes de discinesia ciliar primária (DCP), também podem ser uma causa, explicando quase 3% dos casos que antes eram considerados idiopáticos.

A bronquiectasia, às vezes, complica doenças autoimunes, como artrite reumatoide, lúpus eritematoso sistêmico (LES), síndrome de Sjögren e doença inflamatória intestinal. Também pode ocorrer em pacientes com malignidade hematológica ou transplante de órgãos, ou decorrer de imunocomprometimento associado ao tratamento nessas condições.

Aspergilose broncopulmonar alérgica é uma reação de hipersensibilidade a Aspergillus spp que ocorre quase exclusivamente em pessoas asmáticas, mas às vezes em pacientes com fibrose cística, pode causar ou contribuir para bronquiectasia.

A bronquiectasia focal ou localizada pode se desenvolver como resultado de pneumonia não tratada ou obstrução nas vias respiratórias maiores (p. ex., devido a corpos estranhos, tumores, alterações pós-cirúrgicas, linfadenopatia). Micobactérias (tuberculosas ou não tuberculosas) podem causar bronquiectasia focal e colonizar os pulmões de pacientes com bronquiectasia decorrente de outras doenças (ver tabela Fatores que predispõem à bronquiectasia).

Tabela
Tabela

Referências sobre etiologia

  1. 1. Wang L, Wang J, Zhao G, Li J. Prevalence of bronchiectasis in adults: a meta-analysis. BMC Public Health 2024;24(1):2675. doi:10.1186/s12889-024-19956-y

  2. 2. Gómez-Olivas JD, Oscullo G, Martínez-García MÁ. Etiology of Bronchiectasis in the World: Data from the Published National and International Registries. J Clin Med 2023;12(18):5782. doi:10.3390/jcm12185782

Fisiopatologia da bronquiectasia

Bronquiectasia representa um desfecho comum de várias doenças que predispõem à inflamação crônica das vias respiratórias. O modelo mais amplamente aceito descreve um "ciclo vicioso" que resulta em lesão e dilatação das vias respiratórias (1). Uma agressão inicial às vias respiratórias (p. ex., infecciosa, autoimune, inalações tóxicas, etc.) leva à inflamação das vias respiratórias e ao dano epitelial. Este dano inicial e a resposta inflamatória resultante criam alterações estruturais nas vias respiratórias que prejudicam a depuração mucociliar e promovem a colonização bacteriana e a infecção. Este processo se perpetua, resultando, em última instância, em dano irreversível às vias respiratórias se o ciclo continuar sem tratamento (2).

O papel da inflamação neutrofílica no desenvolvimento da bronquiectasia é cada vez mais reconhecido. A inflamação das vias respiratórias de pequeno e médio calibre, decorrente do distúrbio causador, libera mediadores inflamatórios, como proteases (especificamente, elastase) provenientes dos neutrófilos presentes no lúmen. Os mediadores inflamatórios destroem a elastina, a cartilagem e o músculo nas vias respiratórias de grosso calibre, resultando em broncodilatação irreversível. Armadilhas extracelulares de neutrófilos (NETs, na sigla em inglês), uma rede de DNA expelido pelos neutrófilos, recoberta por enzimas e proteínas dos grânulos neutrofílicos, constituem um mecanismo-chave subjacente à inflamação crônica e autoperpetuante das vias respiratórias. Simultaneamente, nas vias respiratórias inflamadas de pequeno e médio calibre, os macrófagos e linfócitos formam infiltrados crônicos que engrossam as camadas mucosas. Esse espessamento provoca a obstrução das vias respiratórias frequentemente observada durante os testes de função pulmonar.

Com a progressão da doença, a inflamação se espalha além das vias respiratórias, causando fibrose do parênquima pulmonar circundante. O fator que leva à inflamação das vias respiratórias de pequeno calibre depende da etiologia da bronquiectasia. Contribuintes comuns incluem o prejuízo na desobstrução das vias respiratórias (em razão da produção de muco viscoso espesso na fibrose cística, falta de motilidade ciliar na discinesia ciliar primária [DCP] ou danos aos cílios e/ou vias respiratórias secundários à infecção ou à lesão) e defesas prejudicadas do hospedeiro; esses fatores predispõem os pacientes à infecção e inflamação crônicas. A inflamação atópica envolvendo IgE pode contribuir para o dano das vias respiratórias em pacientes com asma e ABPA. No caso da deficiência imunitária (particularmente a IDCV) e causas autoimunes, a inflamação autoimunitária também pode contribuir.

Quando a agressão inicial é localizada, por exemplo, quando uma via aérea grande fica obstruída, o dano pode ser mais focal nos pulmões. A incapacidade resultante de remover secreções leva a um ciclo semelhante de infecção, inflamação e danos nas paredes das vias respiratórias, conforme descrito acima. O lobo médio direito na maioria das vezes está envolvido, porque seu brônquio é pequeno, angulado e tem linfonodos próximos. Linfadenopatia decorrente de infecção micobacteriana às vezes provoca obstrução brônquica e bronquiectasias focais.

À medida que a inflamação contínua altera a anatomia das vias respiratórias, bactérias patogênicas (às vezes incluindo micobactérias) colonizam as vias respiratórias (3). Alguns organismos comuns são:

  • Pseudomonas aeruginosa

  • Staphylococcus aureus

  • Haemophilus influenzae

  • Micobactérias não tuberculosas

  • Moraxella catarrhalis

  • Streptococcus pneumoniae

A colonização por S. aureus está fortemente associada à fibrose cística; um resultado positivo na cultura de S. aureus deve levar à suspeita de FC não diagnosticada.

A colonização por P. aeruginosa tende a indicar doença grave e prediz desfechos piores, incluindo maior risco de exacerbações, hospitalização, baixa qualidade de vida, declínio rápido na função pulmonar e morte.

A colonização por múltiplos organismos é comum. A resistência a antibióticos é uma preocupação em pacientes que exigem cursos frequentes de antibióticos para o tratamento das exacerbações.

Complicações

À medida que a doença progride, a inflamação crônica e a hipoxemia podem causar neovascularização das artérias brônquicas (não as pulmonares). As paredes das artérias brônquicas se rompem facilmente, levando à hemoptise, que pode ser maciça e potencialmente fatal. Outras complicações vasculares incluem a hipertensão pulmonar decorrente da vasoconstrição, arterite e, às vezes, derivação dos vasos brônquicos para os vasos pulmonares. Insuficiência cardíaca direita e insuficiência respiratória podem ocorrer em casos graves.

A colonização por organismos resistentes a múltiplos fármacos pode levar à inflamação crônica de baixo grau das vias respiratórias. Essa inflamação pode se tornar irreversível, causando exacerbações recorrentes e piorando a limitação do fluxo de ar nos testes de função pulmonar.

Inflamação e excesso de citocinas podem contribuir para a redução da massa corporal magra (4).

Referências sobre fisiopatologia

  1. 1. Cole PJ: Inflammation: a two-edged sword—the model of bronchiectasis. Eur J Respir Dis Suppl 147:6–15, 1986.

  2. 2. O'Donnell AE: Bronchiectasis - A Clinical Review. N Engl J Med 387(6):533–545, 2022. doi:10.1056/NEJMra2202819

  3. 3. Aksamit TR, O'Donnell AE, Barker A, et al: Adult Patients With Bronchiectasis: A First Look at the US Bronchiectasis Research Registry. Chest 151(5):982–992, 2017. doi:10.1016/j.chest.2016.10.055

  4. 4. Ionescu AA, Nixon LS, Evans WD, et al: Bone density, body composition, and inflammatory status in cystic fibrosis. Am J Respir Crit Care Med 162(3 Pt 1):789–794, 2000. doi:10.1164/ajrccm.162.3.9910118

Sinais e sintomas da bronquiectasia

Os sintomas caracteristicamente começam de modo insidioso, pioram de maneira gradual ao longo dos anos e podem ser acompanhados por episódios de exacerbação aguda. Uma pequena proporção dos pacientes pode não ter sintomas.

O sintoma mais comum de apresentação é tosse crônica que produz escarro espesso, viscoso e, frequentemente, purulento. Dispneia e sibilos são comuns e dor torácica pleurítica pode se desenvolver. Em casos avançados, a hipoxemia e insuficiência cardíaca direita decorrentes da hipertensão pulmonar podem piorar a dispneia. Hemoptise pode ocorrer em alguns pacientes devido à neovascularização das vias respiratórias e pode ser maciça e representar risco de vida.

As exacerbações agudas podem ser comuns e frequentemente resultam de infecção nova ou piorada. Exacerbações são marcadas pela piora da tosse e aumentos na dispneia e volume e purulência do escarro. Também pode haver febre baixa e sintomas constitucionais (p. ex., fadiga, mal-estar).

Halitose e sons respiratórios anormais, incluindo crepitações, roncos e sibilos, são resultados típicos do exame físico. Macicez sobre áreas do parênquima pulmonar ou das vias respiratórias obstruídas por muco pode estar presente à percussão. Baqueteamento digital é incomum, mas pode estar presente, particularmente em pacientes com fibrose cística. Rinossinusite crônica e pólipos nasais podem estar presentes, também em pacientes com FC ou DCP. A massa corporal magra normalmente diminui em pacientes com fibrose cística ou má absorção.

Diagnóstico da bronquiectasia

  • Radiografia de tórax

  • Tomografia computadorizada (TC) de alta resolução

  • Testes de função pulmonar para avaliação basal e monitoramento da progressão da doença

  • Cultura de escarro para bactérias e micobactérias a fim de determinar os microrganismos colonizadores

  • Exames específicos para suspeita de doenças predisponentes

O diagnóstico baseia-se em história, exame físico e testes radiológicos, iniciando-se pela radiografia do tórax. A bronquite crônica pode imitar a bronquiectasia clinicamente, mas a bronquiectasia se distingue por maior purulência e volume de escarro diário e por vias respiratórias dilatadas mostradas em estudos imagiológicos.

Exames de imagem

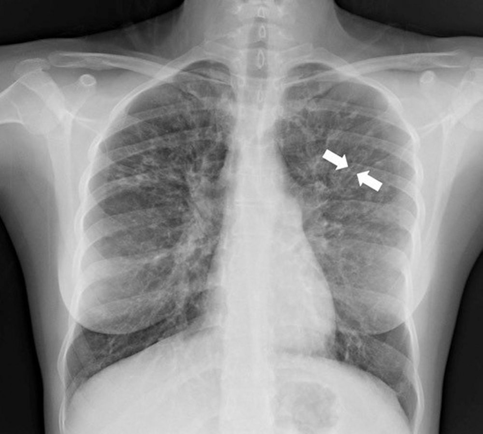
A radiografia de tórax isolada pode às vezes ser diagnóstica. Os achados radiográficos sugestivos de bronquiectasia envolvem um espessamento das paredes e/ou dilatação das vias respiratórias; os achados típicos incluem densidades peri-hilares lineares mal definidas com indistinção das artérias pulmonares centrais, anéis indistintos em razão do espessamento das vias respiratórias vistos transversalmente (paralelo ao feixe de radiografia), e "trilhos de trem" (ou sinal do trilho de trem) causados por vias respiratórias espessadas e dilatadas perpendiculares ao feixe de radiografia. As vias respiratórias dilatadas preenchidas por tampões mucosos também podem causar opacidades tubulares alongadas dispersas.

Os padrões radiográficos podem diferir com base na doença subjacente; a bronquiectasia decorrente da fibrose cística se desenvolve predominantemente nos lobos superiores, enquanto a bronquiectasia causada pela obstrução endobrônquica provoca mais anormalidades focais na radiografia.

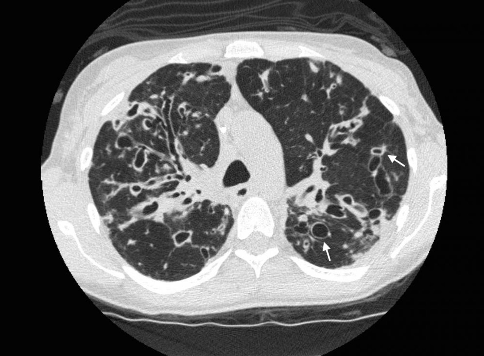
A TC de alta resolução é a modalidade de exame de imagem de escolha para diagnosticar definitivamente, bem como definir a extensão da bronquiectasia. Achados típicos da TC incluem dilatação das vias respiratórias (em que o lúmen interno de 2 ou mais vias respiratórias excede o diâmetro da artéria adjacente) e o sinal de anel de sinete, em que uma via respiratória dilatada e espessada aparece adjacente a uma artéria menor na incidência transaxial. A ausência do afilamento brônquico normal pode resultar em brônquios de médio calibre visíveis estendendo-se quase até a pleura. "Sinal do trilho de trem" pode ser facilmente visível na TC e é indicativo de paredes das vias respiratórias dilatadas e espessadas (linhas paralelas) preenchidas com muco.

Como os danos às vias respiratórias pioram ao longo do tempo, as alterações bronquiectásicas progridem de achados cilíndricos a varicosos e então a achados císticos nas imagens. Atelectasia, consolidação, tampões mucosos e diminuição da vascularização são achados inespecíficos.

A bronquiectasia de tração ocorre devido à tensão e abertura das vias respiratórias pelo parênquima pulmonar fibrótico adjacente, o que é um achado secundário e um marco de várias doenças pulmonares fibróticas, incluindo fibrose pulmonar idiopática (FPI) ou outras formas de doença pulmonar intersticial. A bronquiectasia de tração não é considerada uma bronquiectasia primária.

Testes de função pulmonar

Testes de função pulmonar (TFPs) podem ser úteis para documentar a função basal e para monitorar a progressão da doença; no entanto, os resultados dos TFPs devem ser interpretados no contexto do curso evolutivo da doença e do quadro clínico geral. Os TFPs podem ser normais. Obstrução do fluxo aéreo (volume expiratório forçado em 1 segundo [VEF1] reduzido com redução da relação VEF1/capacidade vital forçada [CVF]) é a anormalidade mais comum presente nas bronquiectasias, com ou sem resposta significativa aos broncodilatadores beta-agonistas. A CVF pode estar reduzida, seja devido à retenção de ar no contexto de obstrução do fluxo aéreo ou ao desenvolvimento de fibrose parenquimatosa e restrição em casos mais avançados. Medidas do volume pulmonar podem distinguir entre esses 2 processos. Na doença mais avançada, também pode ser observada uma diminuição da capacidade de difusão do monóxido de carbono (DLCO).

Diagnóstico da causa

Durante um período sem exacerbação, todos os pacientes devem passar por cultura do escarro expectorado ou induzido para determinar as bactérias colonizantes predominantes e suas sensibilidades. Essas informações ajudam na escolha do antibiótico a ser utilizado durante as exacerbações.

Um hemograma completo (HC) e uma contagem diferencial podem ajudar a determinar a gravidade da atividade da doença e identificar a eosinofilia, que pode sugerir diagnósticos com complicações, como asma alérgica ou aspergilose broncopulmonar alérgica (ABPA).

Coloração de Gram e culturas de escarro para bactérias, micobactérias (complexo Mycobacterium avium e M. tuberculosis) e organismos fúngicos (Aspergillus spp) também podem ajudar a identificar causas infecciosas de inflamação crônica das vias respiratórias.

Infecção micobacteriana não tuberculosa clinicamente significativa é diagnosticada isolando esses organismos em ≥ 2 culturas a partir de amostras seriais de escarro (expectoradas ou induzidas) ou uma única amostra de lavado broncoalveolar. A infecção também pode ser diagnosticada histopatologicamente se houver inflamação granulomatosa presente na biópsia, além de uma cultura positiva.

Testes adicionais com base na história e nos achados dos exames de imagem podem ser realizados quando a causa da bronquiectasia não é clara. Testes específicos para identificar a causa da bronquiectasia podem incluir:

  • Nível de alfa1-antitripsina para avaliar se há deficiência de alfa-1-antitripsina caso a TC de alta resolução mostrar enfisema no lobo inferior

  • Teste do fator reumatoide (FR), anticorpos antinucleares (ANA) e anticorpo anticitoplasma de neutrófilos (ANCA) se houver suspeita de doença reumática sistêmica

  • Imunoglobulinas séricas (IgG, IgA e IgM) via eletroforese de proteínas séricas para diagnosticar imunodeficiência variável comum

  • Níveis séricos de IgE, testes cutâneos de alergia e precipitinas de Aspergillus (IgG) se os pacientes tiverem eosinofilia, para excluir ABPA

  • Testes de cloro no suor (um teste positivo deve ser confirmado pela repetição do exame) e análise de mutação do gene CFTR para diagnosticar fibrose cística (incluindo em adultos > 40 anos sem uma causa identificável de bronquiectasia, especialmente aqueles com envolvimento do lobo superior, má absorção ou infertilidade masculina)

  • Teste de HIV para excluir imunodeficiência adquirida

Deve-se encaminhar os pacientes com evidências laboratoriais de imunodeficiência para avaliação por um especialista em imunologia porque os resultados dos testes muitas vezes são difíceis de interpretar. Testes especializados adicionais, incluindo análise quantitativa e qualitativa dos subconjuntos de células B e T, subclasses de IgG e respostas sorológicas a vacinas, também podem ser necessários para confirmar o tipo de imunodeficiência presente e determinar as opções de tratamento.

A discinesia ciliar primária deve ser considerada em caso de adultos com bronquiectasia que também têm doença sinusal ou otite média crônicas, especialmente se os problemas persistem desde a infância. A bronquiectasia nesses pacientes pode ter predomínio no lobo médio direito e língula, e pode haver infertilidade em homens ou dextrocardia na radiografia. O nível de óxido nítrico exalado nasal ou oral (FeNO) costuma ser baixo. O diagnóstico definitivo requer exame de uma amostra nasal ou epitelial brônquica à procura de estrutura ciliar anormal utilizando microscopia eletrônica de transmissão. O diagnóstico da DCP normalmente deve ser feito em centros especializados, porque a avaliação pode ser desafiadora. Defeitos estruturais não específicos podem estar presentes em até 10% dos cílios de pessoas saudáveis ou com doença pulmonar, e a infecção pode causar discinesia transitória. A ultraestrutura ciliar também pode ser normal em alguns pacientes com síndromes de DCP, exigindo mais testes para identificar se há função ciliar anormal.

Indica-se a broncoscopia quando houver suspeita de lesão anatômica ou obstrutiva como a causa da bronquiectasia. Também é utilizada para remover qualquer corpo estranho que possa estar presente e levando à bronquiectasia. A broncoscopia é ocasionalmente necessária para diagnosticar infecções como micobactérias não tuberculosas (MNT).

Definição e avaliação das exacerbações

Define-se uma exacerbação de bronquiectasia como um paciente com bronquiectasia com deterioração por pelo menos 48 horas e ≥ 3 dos seguintes sintomas (1):

  • Respiração e/ou intolerância a exercícios

  • Tosse

  • Fadiga e/ou mal-estar

  • Hemoptise

  • Aumento da purulência do escarro

  • Aumento da consistência e/ou volume do escarro

Além disso, um médico deve determinar que uma mudança no tratamento é justificada.

Uma vez identificada uma exacerbação, os testes devem incluir cultura de escarro e coloração de Gram para identificar quaisquer organismos causadores e determinar padrões de sensibilidade antimicrobiana. A oximetria de pulso deve ser medida se houver preocupação com hipoxemia. Radiografia de tórax deve ser realizada em pacientes com febre, calafrios, hipoxemia ou dispneia mais intensa para avaliar pneumonia sobreposta ou excluir complicações como abscesso pulmonar e empiema. Sintomas sistêmicos mais graves ou sinais de sepse devem levar à realização de exames laboratoriais como hemograma completo (CBC), função renal e eletrólitos, gasometria arterial e lactato sérico.

Referência sobre diagnóstico

  1. 1. Hill AT, Haworth CS, Aliberti S, et al: Pulmonary exacerbation in adults with bronchiectasis: A consensus definition for clinical research. Eur Respir J 49:1700051, 2017.

Tratamento da bronquiectasia

  • Prevenção das exacerbações com vacinas regulares e algumas vezes com antibióticos supressores

  • Medidas para ajudar a limpar secreções das vias respíratórias

  • Broncodilatadores em pacientes com obstrução do fluxo aéreo e/ou dispneia significativa

  • Corticoides inalados se houver asma ou ABPA complicantes

  • Antibióticos e broncodilatadores para agudizações

  • Tratamento precoce com antivirais de quaisquer infecções virais, particularmente influenza e covid-19

  • Às vezes, ressecção cirúrgica para doença localizada com sintomas intratáveis ou sangramento

  • Transplante de pulmão em pacientes cuidadosamente selecionados que têm doença avançada apesar de terapia máxima

Os principais objetivos do tratamento são controlar os sintomas e melhorar a qualidade de vida, reduzir a frequência das exacerbações e preservar a função pulmonar (1).

Como para todos os pacientes com doença pulmonar crônica, as recomendações são

A reabilitação pulmonar é recomendada para pacientes com bronquiectasia para melhorar a capacidade de exercício e a qualidade de vida relacionada à saúde, e para reduzir sintomas como dispneia e fadiga (2). Os pacientes também podem ser instruídos e treinados na realização de desobstrução das vias respiratórias durante as sessões de reabilitação.

As técnicas de desobstrução das vias respiratórias são componentes essenciais do tratamento que visam reduzir a tosse crônica em pacientes com produção significativa de escarro e entupimento mucoso e reduzir os sintomas durante as exacerbações. Essas técnicas compreendem prática regular de exercícios, fisioterapia torácica com drenagem postural e percussão torácica, dispositivos de pressão expiratória positiva, ventiladores percussivos intrapulmonares, coletes pneumáticos e drenagem autógena ou ciclo ativo da respiração (técnicas respiratórias consideradas capazes de auxiliar na mobilização das secreções das vias respiratórias periféricas para as centrais, facilitando, assim, a expectoração). Um terapeuta respiratório deve ensinar os pacientes como utilizar essas técnicas e eles devem utilizar aquela que é mais eficaz e sustentável; nenhuma evidência favorece uma técnica específica. Os pacientes devem ser aconselhados a continuar suas técnicas de desobstrução das vias respiratórias por pelo menos 10 minutos e podem parar quando produzirem 2 tosses ou sibilos (3) ou 30 minutos se passaram.

As sessões de limpeza das vias respiratórias para bronquiectasias devem ser feitas na seguinte ordem, dependendo de quais agentes são prescritos:

  1. Broncodilatadores inaláveis de ação curta

  2. Terapia mucolítica (se prescrita)

  3. Técnica de desobstrução das vias respiratórias

  4. Quaisquer antibióticos inaláveis ou nebulizáveis, broncodilatadores de ação prolongada ou corticoides prescritos

Para pacientes com obstrução das vias respiratórias, a terapia com broncodilatadores (p. ex., com alguma combinação de um agonista beta-adrenérgico de ação prolongada [LABA] e/ou um antagonista muscarínico de ação prolongada [LAMA]) pode ser utilizada como indicado pelos sintomas e gravidade da obstrução pulmonar, semelhante ao uso em pacientes com DPOC. Evidências limitadas sugerem que a terapia broncodilatadora pode ajudar a melhorar a função pulmonar (4). Corticoides inalados (CIs) podem ser utilizados em alguns pacientes, especificamente naqueles com asma coexistente, mas podem aumentar o risco de infecção em outros pacientes sem indicações claras (1). Agonistas beta-adrenérgicos de ação curta (SABA), como o salbutamol, são utilizados para aliviar a obstrução aguda das vias respiratórias que causa sibilos ou dispneia. Em alguns pacientes com inflamação eosinofílica das vias respiratórias, como aqueles com asma, podem ser necessárias terapias biológicas direcionadas às respostas mediadas por IgE induzidas pelas células T auxiliares do tipo 2 (Th2) e à atividade dos eosinófilos (como omalizumabe, mepolizumabe, dupilumabe) para a manutenção a longo prazo. Manter a hidratação adequada também é importante.

Em pacientes com fibrose cística, diversos tratamentos com nebulização, incluindo uma soro fisiológico mucolítico (rhDNase, também chamada dornase alfa) e hipertônico (7%), podem ajudar a diminuir a viscosidade do escarro e possibilitar melhor desobstrução das vias respiratórias. Nos pacientes sem fibrose cística, as evidências do benefício dessas medidas são inconclusivas, portanto, recomenda-se apenas umidificadores e nebulização com soro fisiológico como tratamento inalatório. A rhDNnase inalável pode ser prejudicial em pacientes com bronquiectasia não causada por FC.

O uso de antibióticos supressivos regularmente ou em esquema rotativo reduz os sintomas e as exacerbações, mas pode aumentar o risco de que as infecções futuras envolvam organismos resistentes. As diretrizes sugerem a utilização de antibióticos em pacientes com ≥ 3 exacerbações por ano e possivelmente também naqueles com menos exacerbações que têm cultura comprovada de colonização por P. aeruginosa. Algumas diretrizes sugerem a tentativa de erradicação de organismos como P. aeruginosa ou S. aureus quando estes são inicialmente detectados em culturas de escarro (3).

A terapia crônica com macrolídeo (p. ex., azitromicina oral administrada uma vez ao dia ou 3 vezes por semana) reduz as exacerbações agudas em pacientes com bronquiectasia e pode retardar o declínio da função pulmonar em pacientes com fibrose cística (5). Considera-se que os macrolídeos são benéficos principalmente em razão dos seus efeitos anti-inflamatórios ou imunomoduladores. Antibióticos nebulizados (p. ex., amicacina, aztreonam, ciprofloxacina, gentamicina, tobramicina) podem reduzir a carga bacteriana no escarro e também diminuir a frequência das exacerbações. As evidências que apoiam o uso e benefício são mais fortes em pacientes com FC.

A maioria dos pacientes com bronquiectasia que desenvolvem infecção por influenza ou SARS-CoV-2 devem ser tratados com medicamentos antivirais para prevenir complicações e desenvolvimento de doença grave. Para a influenza, o tratamento é tipicamente com oseltamivir, independentemente da duração dos sintomas virais. Infecções por SARS-CoV-2 devem ser tratadas o mais rápido possível em pacientes com bronquiectasia, especialmente naqueles com supressão imunitária subjacente. A abordagem do tratamento é individualizada, dependendo da gravidade da infecção e de outros fatores de risco do paciente. Corticoides orais não são recomendados para pacientes ambulatoriais com covid-19 na ausência de uma condição coexistente, como asma ou DPOC, que é conhecida por se beneficiar dos corticoides. Pacientes com bronquiectasia devem ser monitorados atentamente quanto à coinfecção bacteriana, e qualquer exacerbação desencadeada por infecção viral deve ser tratada.

Deve-se tratar as doenças subjacentes para desacelerar a progressão da doença pulmonar.

  • Para pacientes com estados de imunodeficiência subjacentes: terapias de reposição de imunoglobulina intravenosa ou subcutânea programadas (que reduzem a frequência de infecções do trato respiratório inferior [6])

  • Para pacientes com fibrose cística: antibióticos e broncodilatadores inalatórios, bem como suporte abrangente e suplementação dietética. A maioria dos pacientes com fibrose cística podem se beneficiar da terapia com moduladores do CFTR, que pode diminuir as exacerbações. Pacientes com FC devem receber todo ou parte de seus cuidados por equipes especializadas na doença, geralmente em um centro de atendimento específico para a FC.

  • Para pacientes com aspergilose broncopulmonar alérgica: corticoides e às vezes antifúngicos azóis

  • Agentes biológicos podem ser utilizados para tratar asma tipo 2 (Th2-alta) com inflamação eosinofílica das vias respiratórias.

  • Para pacientes com deficiência de alfa-1 antitripsina: terapia de reposição para aqueles que se qualificam com base nos níveis séricos e FEV1.

Abordagens que se mostraram promissoras estão sob investigação para o tratamento da bronquiectasia.

Exacerbações agudas

As exacerbações agudas são tratadas com antibióticos, broncodilatadores inalados (particularmente se os pacientes estão dispneicos ou com sibilos), tentativas aprimoradas de remover o muco, utilizando técnicas mecânicas, tratamento da desidratação (se presente), umidificação e nebulização com soro fisiológico (e mucolíticos para pacientes com fibrose cística). Corticoides sistêmicos não devem ser utilizados rotineiramente para tratar exacerbações, exceto em pacientes com DPOC ou asma. A escolha do antibiótico depende dos resultados prévios da cultura e se os pacientes têm ou não fibrose cística (7).

Os antibióticos iniciais para pacientes sem fibrose cística e sem nenhum resultado prévio de cultura devem ser eficazes contra o H. influenzae, o M. catarrhalis, o S. aureus e o S. pneumoniae. Exemplos incluem amoxicilina/ácido clavulânico, azitromicina, claritromicina e doxiciclina. Os pacientes com colonização conhecida por P. aeruginosa ou exacerbações mais graves devem receber antibióticos eficazes contra esse organismo (p. ex., ciprofloxacina ou levofloxacina) até que os resultados da repetição da cultura estejam disponíveis. Deve-se ajustar a dose dos antibióticos com base nos resultados da cultura; em geral, são administrados por 14 dias, especialmente se for detectado P. aeruginosa. Reservam-se os cursos mais curtos para pacientes com doença leve.

A seleção do antibiótico inicial para pacientes com fibrose cística é orientada de acordo com os resultados prévios da cultura do escarro (feitos rotineiramente em todos os pacientes com fibrose cística). Durante a infância, microrganismos infecciosos comuns são o S. aureus e o H. influenzae, e quinolonas, como ciprofloxacino e levofloxacino, podem ser utilizadas. Nos estágios mais avançados da fibrose cística, as infecções envolvem cepas altamente resistentes de certos organismos Gram-negativos, incluindo P. aeruginosa, Burkholderia cepacia e Stenotrophomonas maltophilia. Em pacientes com infecções causadas por esses organismos, o tratamento é com múltiplos antibióticos (p. ex., tobramicina, ceftazidima, cefepima, piperacillin/tazobactam, meropenem). Frequentemente, é necessária a administração por via intravenosa.

Complicações

A hemoptise grave geralmente é tratada com embolização da artéria brônquica, mas a ressecção cirúrgica pode ser considerada se a embolização é ineficaz e a função pulmonar está adequada.

A colonização com organismos micobacterianos como o complexo M. avium quase sempre requer múltiplos regimes antibióticos que incluem claritromicina ou azitromicina; rifampicina ou rifabutina; e etambutol. Em geral, a terapia com antibióticos é mantida até que as culturas de escarro, repetidas a cada 1 a 2 meses, sejam negativas por 12 meses. Regimes mais complexos com múltiplos medicamentos podem ser necessários para pacientes com micobactérias resistentes a medicamentos ou infecções difíceis de erradicação.

A ressecção cirúrgica raramente é indicada, mas pode ser considerada quando a bronquiectasia é focal ou localizada, o tratamento médico foi otimizado e os sintomas são intoleráveis. Em certos pacientes com bronquiectasia difusa, especialmente fibrose cística, o transplante de pulmão também é uma opção.

Referências sobre tratamento

  1. 1. O'Donnell AE: Bronchiectasis - A Clinical Review. N Engl J Med 387(6):533–545, 2022. doi:10.1056/NEJMra2202819

  2. 2. Rochester CL, Alison JA, Carlin B, et al: Pulmonary Rehabilitation for Adults with Chronic Respiratory Disease: An Official American Thoracic Society Clinical Practice Guideline. Am J Respir Crit Care Med 208(4):e7–e26, 2023. doi:10.1164/rccm.202306-1066ST

  3. 3. Hill AT, Sullivan AL, Chalmers JD, et al: British Thoracic Society Guideline for bronchiectasis in adults. Thorax 74(Suppl 1):1–69, 2019. doi: 10.1136/thoraxjnl-2018-212463

  4. 4. Jeong HJ, Lee H, Carriere KC, et al: Effects of long-term bronchodilators in bronchiectasis patients with airflow limitation based on bronchodilator response at baseline. Int J Chron Obstruct Pulmon Dis 11:2757–2764, 2016. doi:10.2147/COPD.S115581

  5. 5. Chalmers JD, Boersma W, Lonergan M, et al. Long-term macrolide antibiotics for the treatment of bronchiectasis in adults: an individual participant data meta-analysis. Lancet Respir Med 7(10):845–854, 2019. doi:10.1016/S2213-2600(19)30191-2

  6. 6. Quinti I, Sorellina A, Guerra A, et al: Effectiveness of immunoglobulin replacement therapy on clinical outcome in patients with primary antibody deficiencies: Results from a multicenter prospective cohort trial. J Clin Immunol 31: 315–322, 2011.

  7. 7. Flume PA, Mogayzel PJ Jr, Robinson KA, et al: Cystic fibrosis pulmonary guidelines: Treatment of pulmonary exacerbations. Am J Respir Crit Care Med 80:802–808, 2009. doi: 10.1164/rccm.200812-1845PP

Prognóstico da bronquiectasia

O prognóstico varia significativamente. Nos Estados Unidos, a taxa geral de mortalidade por todas as causas em 5 anos para pacientes com qualquer tipo de bronquiectasia foi de 12,1%, indicando um prognóstico geralmente favorável (1). A redução anual média no FEV1 é de cerca de 50 a 55 mL (a diminuição normal em pessoas saudáveis é cerca de 20 a 30 mL).

Pacientes com FC historicamente têm o pior prognóstico, com sobrevida média de 36 anos. Entretanto, o advento da terapia com um modulador do CFTR (regulador de condutância transmembrana da fibrose cística) resultou em melhorias significativas nos desfechos, mesmo em pacientes com doença pulmonar avançada (2).

Referências sobre prognóstico

  1. 1. Aksamit TR, Locantore N, Addrizzo-Harris D, et al: Five-Year Outcomes among U.S. Bronchiectasis and NTM Research Registry Patients. Am J Respir Crit Care Med 210(1):108–118, 2024. doi:10.1164/rccm.202307-1165OC

  2. 2. Shteinberg M, Taylor-Cousar JL: Impact of CFTR modulator use on outcomes in people with severe cystic fibrosis lung disease. Eur Respir Rev 29(155):190112, 2020. doi: 10.1183/16000617.0112-2019

Pontos-chave

  • Na bronquiectasia, a inflamação crônica de várias causas destrói a elastina, a cartilagem e o músculo nas vias respiratórias maiores, resultando em danos irreversíveis e vias respiratórias dilatadas que são cronicamente colonizadas por organismos infecciosos.

  • Os pacientes têm tosse produtiva crônica com exacerbações agudas intermitentes.

  • O diagnóstico é feito com imagens, geralmente uma TC; deve-se fazer exame de cultura para identificar o organismo (s) colonizador (es).

  • Prevenir as exacerbações utilizando vacinas adequadas, medidas de desobstrução das vias respiratórias e, às vezes, antibióticos macrolídeos.

  • Tratar as exacerbações com antibióticos, broncodilatadores, maior frequência de realização de medidas de desobstrução das vias respiratórias e, às vezes, corticoides.

quizzes_lightbulb_red
Test your KnowledgeTake a Quiz!
ANDROID iOS
ANDROID iOS
ANDROID iOS