Beurteilung des Gastrointestinalpatienten

VonStephanie M. Moleski, MD, Sidney Kimmel Medical College at Thomas Jefferson University
Reviewed ByMinhhuyen Nguyen, MD, Fox Chase Cancer Center, Temple University
Überprüft/überarbeitet Geändert Mai 2025
v888546_de
Aussicht hier klicken.

Gastrointestinale Symptome und Erkrankungen sind recht häufig. Anamnese und körperliche Untersuchung sind bei einigen Patienten oft ausreichend, um eine Diagnose zu stellen; in anderen Fällen sind Tests erforderlich.

Anamnese beim Patienten mit gastrointestinalen Beschwerden

Anhand offener Fragen ermittelt der Arzt zunächst die Stelle und die Qualität der Symptome sowie alle verschlimmernden und lindernden Faktoren.

Bauchschmerzen sind häufige GI-Beschwerden (vgl. Akute Bauchschmerzen und Chronische und wiederkehrende Bauchschmerzen). Bei der Diagnose kann die Bestimmung der Region, in der der Schmerz auftritt, hilfreich sein. Beispielsweise kann Schmerz im Epigastrium auf Probleme der Bauchspeicheldrüse, des Magens oder des Dünndarms hinweisen. Schmerzen im rechten oberen Quadranten können für Probleme der Leber, der Gallenblase und Gallenwege, wie Cholezystitis oder Hepatitis, stehen. Schmerzen im rechten unteren Quadranten können auf eine Entzündung der Appendix, des terminalen Ileums oder Zäkums hinweisen, was eine Appendizitis, Ileitis oder einen Morbus Crohn nahe legt. Schmerzen im linken unteren Quadranten können auf eine Divertikulitis oder Verstopfung hindeuten. Schmerzen entweder im linken oder rechten unteren Quadranten können auf eine Kolitis, Ileitis oder Ursachen im Eierstock hinweisen. (Siehe Abbildung Lokalisation von Bauchschmerzen und mögliche Ursachen.)

Lokalisation von Bauchschmerzen und mögliche Ursachen

Fragen zur Schmerzausstrahlung können bei der Diagnosefindung helfen. Zum Beispiel können in der Schulter ausstrahlende Schmerzen eine Cholezystitis widerspiegeln, da die Gallenblase das Zwerchfell reizen kann. Ausstrahlende Schmerzen in den Rücken können für eine Pankreatitis stehen. Aussagen über den Charakter (d. h. stechend und anhaltend, periodisch dumpfe Schmerzen) und das Einsetzen (plötzlich einsetzend, wie als Folge eines perforierten Viszeralorgans oder einer rupturierten Eileiterschwangerschaft) des Schmerzes können bei der Differenzierung der Ursachen hilfreich sein.

Bei Patienten sollte über Veränderungen in der Ernährung und Ausscheidung sowie Schluckbeschwerden (Dysphagie), Appetitlosigkeit und das Vorliegen von Übelkeit und Erbrechen erfragt werden. Falls die Patienten erbrechen, sollten sie über die Häufigkeit und die Dauer befragt werden und ob sie Blut oder kaffeesatzartiges Material, das auf eine gastrointestinale Blutung hinweist, festgestellt haben. Außerdem sollten Patienten nach der Art und Menge der Flüssigkeiten befragt werden, die sie - falls überhaupt - versucht haben zu trinken und ob sie sie bei sich halten konnten.

Die Patienten sollten auch zur Ausscheidung befragt werden, z. B. wann ihr letzter Stuhlgang war, wie häufig sie Stuhlgang haben und ob diese Häufigkeit eine Veränderung gegenüber ihrer typischen Häufigkeit darstellt. Es ist sinnvoller, spezifische, quantitative Informationen über den Stuhlgang zu erfragen als lediglich sich danach zu erkundigen, ob eine Verstopfung oder Diarrhoe vorliegt, weil diese Begriffe für verschiedene Personen unterschiedliche Bedeutungen haben. Die Patienten sollten auch gebeten werden, die Farbe und Konsistenz des Stuhls zu beschreiben, ebenso, ob der Stuhl schwarz oder blutig (Hinweis auf gastrointestinale Blutung), eitrig oder schleimig aussah. Patienten, die Blut bemerkt haben, sollten gefragt werden, ob es dem Stuhl anhaftete, mit dem Stuhl vermischt war oder ob das Blut ohne Stuhl ausgeschieden wurde.

Eine gynäkologische Anamnese ist bei Frauen wichtig, weil sich Schwangerschaft oder gynäkologische und geburtshilfliche Störungen durch gastrointestinale Symptome manifestieren können.

Begleitende unspezifische Symptome wie Fieber oder Gewichtsverlust müssen beurteilt werden. Ungewollter Gewichtsverlust ist ein Symptom, das auf ein schwerwiegenderes Problem wie Krebs hinweisen kann, und der Arzt sollte zu einer umfassenderen Untersuchung veranlasst werden.

Patienten berichten in Abhängigkeit von ihrer Persönlichkeit, von der Bedeutung der Erkrankung für ihre Lebenssituation und von soziokulturellen Einflüssen unterschiedlich über ihre Symptome. So können beispielsweise Übelkeit und Erbrechen von einem Patienten mit schweren Depressionen heruntergespielt oder indirekt berichtet werden, während sie von einem ängstlichen Patienten mit Dringlichkeit präsentiert werden.

Wichtige Bestandteile der Anamnese sind kürzlich diagnostizierte gastrointestinale Erkrankungen, frühere chirurgische Eingriffe am Abdomen und die Einnahme von Medikamenten und Substanzen, die gastrointestinale Symptome (z. B. nichtsteroidales Antiphlogistikum, Alkohol) verursachen könnten.

Körperliche Untersuchung des Patienten mit gastrointestinalen Beschwerden

Die körperliche Untersuchung kann mit der Inspektion des Mund-Rachen-Raums beginnen, um eine Hydratation, Ulzera oder mögliche Entzündungen zu beurteilen.

Die Inspektion des Abdomens in Rückenlage zeigt eine Vorwölbung der Bauchdecken bei Darmverschluss, Aszites oder selten bei Vorliegen einer großen Raumforderung. Mithilfe der Auskultation werden die Darmgeräusche analysiert und das Vorhandensein weiterer Geräusche festgestellt. Mithilfe der Perkussion kann man einen hypersonoren (tympanischen) Schall bei Darmverschluss und eine Dämpfung bei Aszites erfassen und die Lebergröße bestimmen. Bei der Palpation geht man systematisch vor, indem man vorsichtig mit der Erfassung von druckempfindlichen Regionen beginnt und, wenn es der Patient toleriert, weiter vorsichtig tiefer palpiert, um eine Masse zu lokalisieren oder eine Organvergrößerung festzustellen.

Um die Größe, Konsistenz und Druckempfindlichkeit der Leber zu beurteilen, sollte der Untersucher die untersuchende Hand auf den rechten unteren Quadranten des Abdomens legen, parallel zum Rektusmuskel, und sanft nach oben drücken, während der Patient tief einatmet. Der Leberrand, sofern er tastbar ist, senkt sich und trifft auf die Fingerspitzen.

Wenn der Bauch schmerzhaft ist, sollte bei den Patienten auf peritoneale Zeichen wie Abwehrspannung und Loslassschmerz geachtet werden. Die Abwehrspannung ist eine unwillkürliche Kontraktion der Bauchmuskulatur, die langsamer und dauerhafter ist als das schnelle willkürliche Zurückzucken bei besonders empfindlichen und ängstlichen Patienten. Loslassschmerz ist ein deutliches Zurückzucken als Reaktion auf ein schnelles Zurückziehen der Hand des Untersuchers.

Die Inguinalregion und alle operativen Narben sollten auf das Vorliegen von Hernien palpiert werden.

Eine digital rektale Untersuchung (siehe Abklärung von Anorektalkrankheiten) mit Test auf okkultes Blut und (bei Frauen) eine Untersuchung des Beckens komplettieren die Abklärung des Abdomens.

Tests beim Patienten mit gastrointestinalen Beschwerden

Bei Patienten mit akuten, nichtspezifischen Symptomen (z. B. Dyspepsie, Übelkeit) und wenig bemerkenswerter körperlicher Untersuchung muss man selten weitere Testverfahren einsetzen. Befunde, die den Verdacht auf eine signifikante Erkrankung (Alarmsymptome) begründen, sollten Anlass zu weiterer Abklärung geben:

  • Anorexie

  • Anämie

  • Blut im Stuhl (makroskopisch oder okkult)

  • Dysphagie

  • Fieber

  • Hepatomegalie

  • Schmerzen, die den Patienten aus dem Schlaf erwecken

  • Anhaltende Übelkeit und Erbrechen

  • Gewichtsverlust

Chronische und rezidivierende Symptome erfordern auch bei einer im Wesentlichen unauffälligen Untersuchung ebenfalls weitere Abklärung. Siehe auch Diagnostische und therapeutische GI-Verfahren für spezifische GI-Tests.

CT-Scan von Abdomen und Becken mit normaler Anatomie ohne Kontrastmittel (Folien)
CT-Scan von Abdomen und Becken mit normaler Anatomie ohne Kontrastmittel (Folie 1)
CT-Scan von Abdomen und Becken mit normaler Anatomie ohne Kontrastmittel (Folie 1)

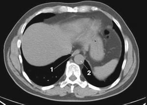
1 = Ösophagus; 2 = Aorta.

1 = Ösophagus; 2 = Aorta.

© Springer Science+Business Media

CT-Scan von Abdomen und Becken mit normaler Anatomie ohne Kontrastmittel (Folie 2)
CT-Scan von Abdomen und Becken mit normaler Anatomie ohne Kontrastmittel (Folie 2)

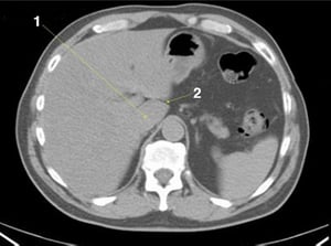
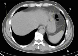
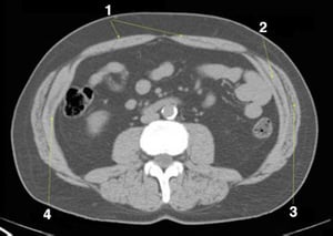
1 = M. serratus anterior; 2 = Magen; 3 = Milz; 4 = M. latissimus dorsi.

1 = M. serratus anterior; 2 = Magen; 3 = Milz; 4 = M. latissimus dorsi.

© Springer Science+Business Media

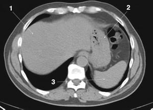
CT-Scan von Abdomen und Becken mit normaler Anatomie ohne Kontrastmittel (Folie 3)
CT-Scan von Abdomen und Becken mit normaler Anatomie ohne Kontrastmittel (Folie 3)

1 = Leber; 2 = Magen; 3 = Milz.

1 = Leber; 2 = Magen; 3 = Milz.

© Springer Science+Business Media

CT-Scan von Abdomen und Becken mit normaler Anatomie ohne Kontrastmittel (Folie 4)
CT-Scan von Abdomen und Becken mit normaler Anatomie ohne Kontrastmittel (Folie 4)

1 = Lobus caudatus der Leber; 2 = Fissur für Ligamentum venosum.

1 = Lobus caudatus der Leber; 2 = Fissur für Ligamentum venosum.

© Springer Science+Business Media

CT-Scan von Abdomen und Becken mit normaler Anatomie ohne Kontrastmittel (Folie 5)
CT-Scan von Abdomen und Becken mit normaler Anatomie ohne Kontrastmittel (Folie 5)

1 = Fissur für Ligamentum teres.

1 = Fissur für Ligamentum teres.

© Springer Science+Business Media

CT-Scan von Abdomen und Becken mit normaler Anatomie ohne Kontrastmittel (Folie 6)
CT-Scan von Abdomen und Becken mit normaler Anatomie ohne Kontrastmittel (Folie 6)

1 = V. cava inferior; 2 = Aorta; 3 = Pfortader.

1 = V. cava inferior; 2 = Aorta; 3 = Pfortader.

© Springer Science+Business Media

CT-Scan von Abdomen und Becken mit normaler Anatomie ohne Kontrastmittel (Folie 7)
CT-Scan von Abdomen und Becken mit normaler Anatomie ohne Kontrastmittel (Folie 7)

1 = Milzvene

1 = Milzvene

© Springer Science+Business Media

CT-Scan von Abdomen und Becken mit normaler Anatomie ohne Kontrastmittel (Folie 8)
CT-Scan von Abdomen und Becken mit normaler Anatomie ohne Kontrastmittel (Folie 8)

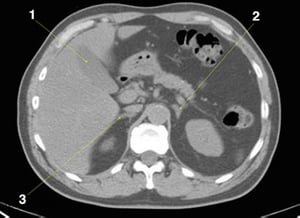
1 = Gallenblase; 2 = linke Nebenniere; 3 = rechte Nebenniere.

1 = Gallenblase; 2 = linke Nebenniere; 3 = rechte Nebenniere.

© Springer Science+Business Media

CT-Scan von Abdomen und Becken mit normaler Anatomie ohne Kontrastmittel (Folie 9)
CT-Scan von Abdomen und Becken mit normaler Anatomie ohne Kontrastmittel (Folie 9)

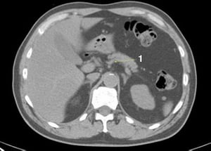
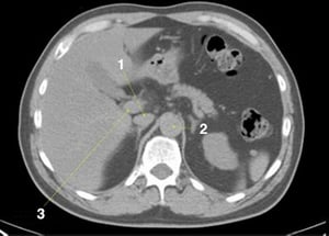
1 = Pankreas; 2 = zöliakale Achse.

1 = Pankreas; 2 = zöliakale Achse.

© Springer Science+Business Media

CT-Scan von Abdomen und Becken mit normaler Anatomie ohne Kontrastmittel (Folie 10)
CT-Scan von Abdomen und Becken mit normaler Anatomie ohne Kontrastmittel (Folie 10)

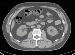
Dieses Bild zeigt die Crura des Zwerchfells (Pfeile).

Dieses Bild zeigt die Crura des Zwerchfells (Pfeile).

© Springer Science+Business Media

CT-Scan von Abdomen und Becken mit normaler Anatomie ohne Kontrastmittel (Folie 11)
CT-Scan von Abdomen und Becken mit normaler Anatomie ohne Kontrastmittel (Folie 11)

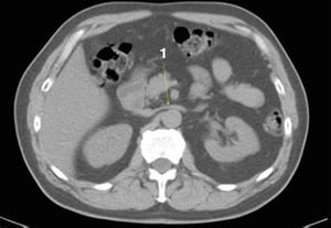
1 = Duodenum.

1 = Duodenum.

© Springer Science+Business Media

CT-Scan von Abdomen und Becken mit normaler Anatomie ohne Kontrastmittel (Folie 12)
CT-Scan von Abdomen und Becken mit normaler Anatomie ohne Kontrastmittel (Folie 12)

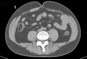
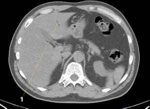
1 = linke Nierenvene.

1 = linke Nierenvene.

© Springer Science+Business Media

CT-Scan von Abdomen und Becken mit normaler Anatomie ohne Kontrastmittel (Folie 13)
CT-Scan von Abdomen und Becken mit normaler Anatomie ohne Kontrastmittel (Folie 13)

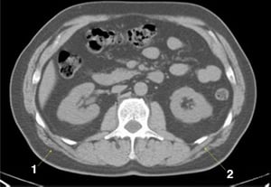
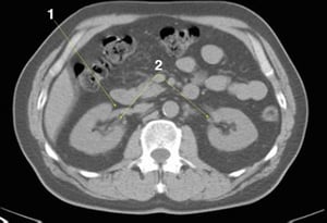
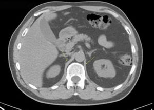
1 = V. mesenterica superior; 2 = A. mesenterica superior.

1 = V. mesenterica superior; 2 = A. mesenterica superior.

© Springer Science+Business Media

CT-Scan von Abdomen und Becken mit normaler Anatomie ohne Kontrastmittel (Folie 14)
CT-Scan von Abdomen und Becken mit normaler Anatomie ohne Kontrastmittel (Folie 14)

1 = rechte Nierenvene; 2 = Nierenhilus.

1 = rechte Nierenvene; 2 = Nierenhilus.

© Springer Science+Business Media

CT-Scan von Abdomen und Becken mit normaler Anatomie ohne Kontrastmittel (Folie 15)
CT-Scan von Abdomen und Becken mit normaler Anatomie ohne Kontrastmittel (Folie 15)

1 = M. latissimus dorsi; 2 = M. serratus posterior.

1 = M. latissimus dorsi; 2 = M. serratus posterior.

© Springer Science+Business Media

CT-Scan von Abdomen und Becken mit normaler Anatomie ohne Kontrastmittel (Folie 16)
CT-Scan von Abdomen und Becken mit normaler Anatomie ohne Kontrastmittel (Folie 16)

Diese Abbildung zeigt die Psoas-Muskeln (Pfeile).

Diese Abbildung zeigt die Psoas-Muskeln (Pfeile).

© Springer Science+Business Media

CT-Scan von Abdomen und Becken mit normaler Anatomie ohne Kontrastmittel (Folie 17)
CT-Scan von Abdomen und Becken mit normaler Anatomie ohne Kontrastmittel (Folie 17)

Dieses Bild zeigt das Kolon (Pfeile).

Dieses Bild zeigt das Kolon (Pfeile).

© Springer Science+Business Media

CT-Scan von Abdomen und Becken mit normaler Anatomie ohne Kontrastmittel (Folie 18)
CT-Scan von Abdomen und Becken mit normaler Anatomie ohne Kontrastmittel (Folie 18)

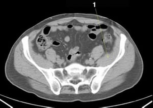
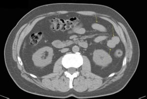
Diese Abbildung zeigt das Jejunum (Pfeile).

Diese Abbildung zeigt das Jejunum (Pfeile).

© Springer Science+Business Media

CT-Scan von Abdomen und Becken mit normaler Anatomie ohne Kontrastmittel (Folie 19)
CT-Scan von Abdomen und Becken mit normaler Anatomie ohne Kontrastmittel (Folie 19)

1 = M. rectus abdominis; 2 = M. obliquus internus abdominis; 3 = M. obliquus externus abdominis; 4 = M. transversus abdominis.

1 = M. rectus abdominis; 2 = M. obliquus internus abdominis; 3 = M. obliquus externus abdominis; 4 = M. transversus abd

... Erfahren Sie mehr

© Springer Science+Business Media

CT-Scan von Abdomen und Becken mit normaler Anatomie ohne Kontrastmittel (Folie 20)
CT-Scan von Abdomen und Becken mit normaler Anatomie ohne Kontrastmittel (Folie 20)

1 = Aortenbifurkation

1 = Aortenbifurkation

© Springer Science+Business Media

CT-Scan von Abdomen und Becken mit normaler Anatomie ohne Kontrastmittel (Folie 21)
CT-Scan von Abdomen und Becken mit normaler Anatomie ohne Kontrastmittel (Folie 21)

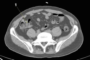
1 = Ileum.

1 = Ileum.

© Springer Science+Business Media

CT-Scan von Abdomen und Becken mit normaler Anatomie ohne Kontrastmittel (Folie 22)
CT-Scan von Abdomen und Becken mit normaler Anatomie ohne Kontrastmittel (Folie 22)

1 = M. iliaca.

1 = M. iliaca.

© Springer Science+Business Media

CT-Scan von Abdomen und Becken mit normaler Anatomie ohne Kontrastmittel (Folie 23)
CT-Scan von Abdomen und Becken mit normaler Anatomie ohne Kontrastmittel (Folie 23)

1 = Ilium; 2 = Sacrum.

1 = Ilium; 2 = Sacrum.

© Springer Science+Business Media

CT-Scan von Abdomen und Becken mit normaler Anatomie ohne Kontrastmittel (Folie 24)
CT-Scan von Abdomen und Becken mit normaler Anatomie ohne Kontrastmittel (Folie 24)

1 = innere iliakale Gefäße; 2 = externe iliakale Gefäße.

1 = innere iliakale Gefäße; 2 = externe iliakale Gefäße.

© Springer Science+Business Media

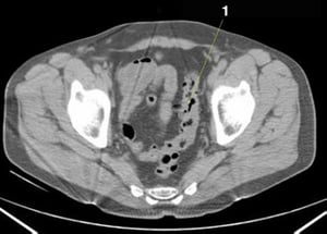
CT-Scan von Abdomen und Becken mit normaler Anatomie ohne Kontrastmittel (Folie 25)
CT-Scan von Abdomen und Becken mit normaler Anatomie ohne Kontrastmittel (Folie 25)

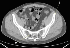
1 = Colon sigmoideum.

1 = Colon sigmoideum.

© Springer Science+Business Media

CT-Scan von Abdomen und Becken mit normaler Anatomie ohne Kontrastmittel (Folie 26)
CT-Scan von Abdomen und Becken mit normaler Anatomie ohne Kontrastmittel (Folie 26)

1 = M. piriformis.

1 = M. piriformis.

© Springer Science+Business Media

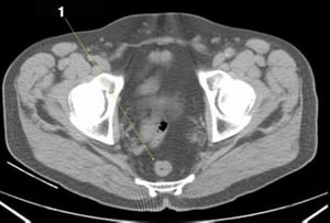
CT-Scan von Abdomen und Becken mit normaler Anatomie ohne Kontrastmittel (Folie 27)
CT-Scan von Abdomen und Becken mit normaler Anatomie ohne Kontrastmittel (Folie 27)

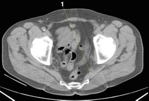
1 = Rektum.

1 = Rektum.

© Springer Science+Business Media

quizzes_lightbulb_red
Test your KnowledgeTake a Quiz!
DE_MSD_Mobile_Pro_326iOS ANDROID
DE_MSD_Mobile_Pro_326iOS ANDROID
DE_MSD_Mobile_QR_Pro_326iOS ANDROID