Загальні відомості про переломи

ЗаDanielle Campagne, MD, University of California, San Francisco
ПереглянутоDiane M. Birnbaumer, MD, David Geffen School of Medicine at UCLA
Переглянуто/перевірено бер. 2025 | Змінено трав. 2025
v1110321_uk

Більшість переломів кісток є результатом однієї значної сили, прикладеної до нормальної кістки.

Окрім переломів, до травм опорно-рухового апарату належать:

Травми опорно-рухового апарату виникають досить часто і суттєво варіюють в залежності від механізмів розвитку, ступеня тяжкості та лікування. В результаті травми можуть спостерігатися ушкодження кінцівок, хребта і тазових кісток.

Травми опорно-рухового апарату можуть виникати окремо або в складі політравми (див. розділ «Ведення пацієнта з травмою»). Більшість травм опорно-рухового апарату виникають унаслідок тупої травми, однак проникаюча травма також може пошкодити кістково-м’язові структури.

Патофізіологія переломів

Переломи класифікують на:

  • Відкриті: порушується цілісність шкіри, а зламана кістка контактує з навколишнім середовищем через просвіт рани.

  • Закритий доступ: цілісність шкіри, яка покриває кістку, не порушена.

Патологічні переломи виникають, коли помірна або мінімальна сила викликає перелом ділянки кістки, ослабленої захворюванням (наприклад, остеопорозом, раком, інфекцією, кістою кістки). При остеопорозі такого роду переломи часто називають стресовими переломами або патологічними переломами.

Стресові переломи виникають внаслідок повторюваного прикладання помірної сили, наприклад, як це може статися у бігунів на довгі дистанції або у солдат, які крокують із важким вантажем за плечима. Як правило, кістки, уражені мікротравмами в разі навантажень помірної сили самостійно відновлюються під час періодів відпочинку, однак багаторазовий вплив сили в одному і тому ж самому місці призводить до подальшого травмування та поширення мікротравми.

Загоєння

Швидкість загоєння перелому залежить від віку пацієнта та супутніх захворювань. Наприклад, у дітей кістки зростаються значно швидше, ніж у дорослих; хвороби, які погіршують периферичний кровообіг (наприклад, цукровий діабет, захворювання периферичних судин) здатні сповільнювати процес загоєння кісткової тканини.

Переломи загоюються у 3 стадії, які плавно переходять один в одного:

  • Стадія запалення

  • Стадія відновлення

  • Стадія ремоделювання

Стадія запалення стартує першою. У місці перелому утворюється гематома, а також резорбується невелика кількість кісткової тканини в дистальних фрагментах перелому. Якщо лінію перелому не видно на рентгенограмі спочатку (наприклад, при деяких переломах без зміщення), її зазвичай можна виявити приблизно через 1 тиждень після травми, оскільки ця невелика кількість кістки резорбується.

Під час стадії відновлення утворюється кісткова мозоль. Утворюються нові кровоносні судини, які уможливлюють розвиток хрящової тканини вздовж усієї лінії перелому. Протягом перших 2 стадій важливо забезпечити іммобілізацію (наприклад, шинування), що уможливить формування нових кровоносних судин. Стадія відновлення закінчується клінічним зростанням перелому (тобто, коли вже відсутній біль в ділянці перелому, уражену кінцівку можна використовувати без болю, а під час клінічного обстеження рухи кісток не виявляються).

На стадії ремоделювання утворена мозоль, яка спочатку була утворена із хрящової тканини, поступово проходить етап окостеніння, а кістка резорбується і відновлюється (ремоделюється). На цій стадії пацієнтів слід проінструктувати щодо поступового відновлення рухової активності ураженої кінцівки, включаючи поступове навантаження на неї.

Ускладнення

Серйозні ускладнення переломів є нечастими, але можуть ставити під загрозу життєздатність кінцівки або викликати постійну дисфункцію кінцівки. Ризик ускладнень високий при відкритих переломах (які сприяють розвитку інфекції) та при пошкодженні кровоносних судин, перфузії тканин та/або нервів. Закриті переломи, які не уражають кровоносні судини або нерви, особливо ті, які швидко були вправлені, найімовірніше не призводять до серйозних ускладнень.

Гострі ускладнення (пов'язані з травмою ушкодження) включають наступне:

  • Кровотеча. Кровотеча супроводжує всі переломи (та травми м’яких тканин). У рідкісних випадках внутрішня або зовнішня кровотеча є досить тяжкою і здатна спричинити геморагічний шок (наприклад, при переломах кісток тазу, стегна та деяких відкритих переломах).

  • Ушкодження судин. Деякі відкриті переломи порушують функціонування кровоносних судин. Надвиросткові переломи плечової кістки зі зміщенням дозаду здатні порушувати васкуляризацію в достатній мірі, щоб спричинити ішемію дистальних відділів кінцівки. Таке пошкодження судин може бути клінічно прихованим протягом годин після травми.

  • Ураження нервів. Пошкодження нервів може виникати при їх розтягненні зміщеними фрагментами зламаної кістки, забитті при тупій травмі, розчавленні при тяжкій травмі з розтрощенням або при їх розриві гострими уламками кістки. При забитті нервів (нейропраксія) блокується нервова провідність, але нерв не має стійкого ушкодження. Нейропраксія викликає тимчасову моторну та (або) сенсорну недостатність; неврологічна функція відновлюється повністю приблизно через 6–8 тижнів. Коли нерви роздроблюються (так званий аксонотмезис), аксон травмується, а мієлінова оболонка — ні. Ця травма важча, ніж нейропраксія. Залежно від ступеня ураження, нерв може регенеруватися протягом кількох тижнів або років. Як правило, нерви розриваються (цнейротмезис, або повний анатомічний розрив нерва) при відкритих травмах. Розірвані нерви не загоюються спонтанно і можуть потребувати хірургічного втручання.

  • Тромбоемболія легеневої артерії. У пацієнтів із переломами стегна або кісток тазу існує високий ризик тромбоемболії легеневої артерії внаслідок ураження судин та іммобілізації. Тромбоемболія легеневої артерії є найпоширенішим летальним ускладненням серйозних переломів кісток стегна або тазу.

  • Жирова тромбоемболія. При переломах довгих кісток (найчастіше переломах стегнової кістки) може вивільнятися жир (та інші компоненти кісткового мозку), який емболізує легені та викликає синдром жирової емболії (СЖЕ), який характеризується дихальним дистресом, неврологічними порушеннями та петехіальним висипом (1).

  • Компартмент-синдром. Тиск у тканинах збільшується в закритому фасціальному просторі, що порушує кровопостачання та знижує тканинну перфузію. Часто роздавлені травми або переломи з великою кількістю уламків є поширеною причиною підвищення тиску у тканинах та розвитку набряку. Такий ризик є досить високим при переломах передпліччя з ураженням променевої та ліктьової кісток, переломах верхньої суглобової поверхні великогомілкової кістки (переломи проксимальних ділянок великогомілкової кістки, що простягаються у суглобовий простір), або переломах діафізу великогомілкової кістки (2). Нелікований компартмент-синдром може призвести до рабдоміолізу, гіперкаліємії та інфекції. Протягом тривалого часу він також може викликати котрактури, зниження чутливості та параліч. Компартмент-синдром може загрожувати життєздатності кінцівки (може знадобитися ампутація кінцівки).

  • Інфекція. При будь-якому переломі може розвинутися інфекція, але ризик найвищий при відкритих переломах або тих, для лікування яких проводилося хірургічне втручання. Гостра інфекція може призвести до розвитку остеомієліту, який може важко піддаватися лікуванню.

Довгострокові ускладнення переломів включають наступне:

  • Нестабільність. Різні переломи можуть призвести до нестабільності суглобів. Нестабільність може призвести до втрати працездатності та підвищити ризик розвитку остеоартриту.

  • Скутість і скорочення діапазону рухів у суглобах. Переломи, які уражають суглоби, як правило, порушують функцію суглобової хрящової тканини; нерівності суглобового хряща можуть рубцюватися, викликаючи остеоартрит і погіршуючи діапазон рухів суглобів. Скутість частіше виникає в тих випадках, коли суглоб потребує тривалої іммобілізації. Коліно, лікоть і плече особливо схильні до посттравматичної скутості, особливо у людей похилого віку.

  • Різке або відстрочене зрощення кісткової тканини. Інколи переломи не зростаються (так звані незрощення кістки) або ж таке зрощення є сповільненим у часі. Основні фактори, що сприяють цьому, є неповна іммобілізація, часткове порушення судинного кровообігу, а також фактори з боку пацієнтів, які погіршують процес зрощення кісток (наприклад, застосування кортикостероїдів або гормонів щитовидної залози).

  • Неправильне зрощення кісток. Неправильне зрощення кісток призводить до збереження залишкової деформації. Воно є більш імовірним, коли після перелому кісткові уламки не були належним чином зміщені і стабілізовані.

  • Остеонекроз: Частина фрагмента кістки після перелому може стати некротичною, особливо тоді, коли спостерігається порушення кровопостачання. Закриті переломи, серед яких спостерігається більша схильність до остеонекрозу, включають переломи передплесна, переломи шийки стегнової кістки зі зміщенням та переломи шийки таранної кістки зі зміщенням.

  • Остеоартрит. Переломи, які порушують цілісність поверхні опорних суглобів або які призводять до неправильного розташування та нестабільності суглобів, спричиняють дегенерацію суглобового хряща та остеоартрит.

  • Невідповідність довжини кінцівок. Якщо перелом у дітей зачіпає зону росту, ріст кістки може порушуватися, що може призвести до нерівності довжини кінцівок. У дорослих хірургічне втручання з приводу перелому, особливо перелому стегнової кістки, може призвести до різної довжини ніг (3), що тягне за собою виникнення труднощів під час ходіння та необхідність застосування підйомної підкладки для взуття для коротшої ноги.

Довідкові матеріали щодо ускладнень

  1. 1. Rothberg DL, Makarewich CA. Fat Embolism and Fat Embolism Syndrome. J Am Acad Orthop Surg. 2019;27(8):e346-e355. doi:10.5435/JAAOS-D-17-00571

  2. 2. McQueen MM, Gaston P, Court-Brown CM. Acute compartment syndrome. Who is at risk? J Bone Joint Surg Br. 82 (2):200–203, 2000. PMID: 10755426

  3. 3. Vaidya R, Anderson B, Elbanna A, et al. CT scanogram for limb length discrepancy in comminuted femoral shaft fractures following IM nailing. Injury. 43 (7):1176–1181, 2012. doi: 10.1016/j.injury.2012.03.022

Оцінка переломів

  • Збір анамнезу та фізикальне обстеження

  • Рентгенограми

  • Іноді МРТ або КТ

У відділенні невідкладної допомоги, якщо механізм травми вказує на потенційно тяжкі або численні травми (наприклад, у разі автомобільної аварії, що сталася на високій швидкості, або падіння з висоти), пацієнтів спочатку оцінюють від голови до ніг на предмет серйозних травм будь-якої системи органів і, за необхідності, реанімують (див. Підходи до лікування пацієнтів із травмами). Пацієнтам, особливо тим, у яких переломи кісток тазу або стегнової кістки, проводять обстеження на предмет геморагічного шоку внаслідок прихованої крововтрати. У разі пошкодження кінцівки негайно виконують оцінку на предмет відкритих ран та симптомів або ознак пошкодження нейроваскулярної системи (оніміння, парез, порушення перфузії) та наявності компартмент-синдрому (наприклад, біль не пропорційний травмам, блідість, парестезії, відчуття холоду, відсутність пульсу).

Клініцисти можуть підозрювати переломи на підставі симптомів та результатів фізикального обстеження, але для підтвердження діагнозу необхідно провести візуалізуюче дослідження (зазвичай рентгенографію).

Пацієнтів слід обстежити на предмет ураження зв’язок, сухожиль та м’язів, а також на предмет наявності переломів. Наявність перелому може обмежити таку частину цього обстеження (наприклад, обстеження з навантаженням не може бути проведене, оскільки йому початково перешкоджає біль).

Слід також оглянути суглоб над і під травмою, оскільки поширеними є супутні травми та іррадіюючий біль.

Історія

На тип травми може вказувати механізм виникнення такої травми (наприклад, напрямок і величина зусилля). Однак багато пацієнтів не пам'ятають або не можуть описати точний механізм отримання травми.

Відчуття тріску або хлопка під час травми може сигналізувати про перелом (або пошкодження зв’язки чи сухожилля). Переломи та серйозні ушкодження зв’язок зазвичай викликають негайний біль; біль, який починається через кілька годин чи днів після травми, свідчить про незначну травму. Біль, який не є пропорційним очевидній тяжкості травми, або біль, який стійко погіршується в перші години чи дні одразу після травми, свідчить про компартмент-синдром або ішемію.

Фізикальне обстеження

Обстеження включає:

  • оцінку судин та нервів дистальніше місця травми;

  • огляд відкритих ран, деформацій, набряків, екхімозів, а також зменшення або патологічного діапазону рухів;

  • пальпаторне визначення болючості, крепетації та видимих анатомічних дефектів кісток або сухожиль;

  • обстеження суглобів над та нижче ураженої ділянки (наприклад, плечового суглоба, шийного відділу хребта та ліктя)

  • Після виключення перелому та вивиху (клінічно або під час візуалізації) проводять обстеження з навантаженням уражених суглобів на предмет наявності болю та нестабільності;

Якщо м’язовий спазм і біль обмежують проведення фізикального обстеження (особливо обстеження з навантаженням), його іноді стає легше виконати після введення пацієнту системного анальгетика або місцевого анестетика. Або ж перелом можна знерухомити до тих пір, поки м’язовий спазм не вщухне, зазвичай на кілька днів, а потім пацієнта можна повторно обстежити.

Деякі результати можуть вказувати на перелом або інші ураження опорно-рухового апарату.

Деформація може вказувати на перелом, але також може вказувати на вивих або підвивих (часткове відокремлення кісток у суглобі).

Набряк часто вказує на перелом або інші значні травми опорно-рухового апарату, але для того, щоб він розвинувся, може знадобитися кілька годин. Якщо протягом цього часу не виникне жодного набряку, перелом малоймовірний. У разі деяких переломів (наприклад, компресійний веретеноподібний перелом, дрібні переломи без зміщення) набряк може бути слабким, але відсутній зовсім він буває рідко.

Болючість супроводжує майже всі ураження опорно-рухового апарату, а у багатьох пацієнтів пальпація в будь-якій частині ураженої ділянки викликає дискомфорт. Однак помітне підвищення болючості в одній локалізованій ділянці (точкова болючість) свідчить про перелом.

При деяких переломах дефект може пальпуватися в ураженій кістці.

Крепитація (характерний пальпаторний та/або звуковий феномен, що утворюється під час руху суглоба) може також вказувати на перелом.

Якщо поблизу перелому є рана, перелом вважається відкритим. Відкриті переломи можна класифікувати за допомогою системи Гастильо-Андерсона (1):

  • Ступінь I: Рана < 1 см, з мінімальним забрудненням, роздробленням та пошкодженням м'яких тканин.

  • Ступінь II: Рана > 1 см, з помірним ушкодженням м'яких тканин та мінімальним ступенем відшарування окістя.

  • Ступінь IІIА: Значне ушкодження м'яких тканин та суттєве забруднення з адекватним закриттям м'якими тканинами.

  • Ступінь IІIВ: Значне ушкодження м'яких тканин та суттєве забруднення з неадекватним закриттям м'якими тканинами.

  • Ступінь IІIС: Відкритий перелом з травмою артерії, що вимагає відновлення.

Що вищий клас, то вищим є ризик інфекції та розвиток пізнього остеомієліту (2), однак надійність оцінки за допомогою цієї системи у різних спостерігачів не є високою, а деякі аспекти взагалі можуть бути найкраще оцінені під час хірургічного втручання.

Під час обстеження звернення уваги на певні ділянки може допомогти виявити травми, які зазвичай пропускаються (див. таблицю Обстеження на предмет переломів, які часто пропускають).

Таблиця
Таблиця

Якщо при фізикальному обстеженні суглоби є в межах норми, але пацієнт скаржиться на біль, причиною може бути фантомний біль. Наприклад, у пацієнтів із епіфізіолізом голівки стегнової кістки (або рідше при переломі стегна) біль може віддавати у коліно.

Діагностична візуалізація

Не всі підозрювані переломи вимагають проведення діагностичної візуалізації. Деякі переломи є незначними та лікуються аналогічно травмам м’яких тканин. Наприклад, більшість травм пальців ніг з 2-го по 5-й і багато травм кінчиків пальців лікуються симптоматично, незалежно від наявності або відсутності перелому, тому рентгенологічне обстеження проводити не потрібно. Наприклад, у багатьох пацієнтів із розтягненнями надп'ятково-гомілкового суглоба ймовірність виявлення перелому, що потребує зміни лікування, є прийнятно низькою, тому рентгенографія не завжди потрібна. Правила прийняття клінічних рішень, які допомагають визначити, які пацієнти з більшою ймовірністю мають перелом, що потребує спеціального лікування (наприклад, Оттавські правила щодо надп'ятково-гомілкового суглоба), можуть допомогти визначити, яким пацієнтам рентгенографія потрібна (3).

Якщо потрібна візуалізація, спочатку виконується рентгенологічне дослідження.

Рентгенограми показують головним чином кісткову тканину (і випіт у суглобі на фоні кровотечі або прихованого перелому), тому вони корисні для діагностики переломів. Рентгенівське обстеження повинно включати щонайменше 2 візуалізації, зроблені в різних проекціях (зазвичай передньо-задня та латеральна проекції).

Обстеження у додаткових проекціях (наприклад, у косій) можуть бути виконані у випадках, коли:

  • результати обстеження свідчать про наявність перелому, але результати візуалізації у 2 проекціях є негативними;

  • вони є рутинними для певних суглобів (наприклад, для оцінки надп'ятково-гомілкового суглоба потрібна передньо-задня проекція, а для оцінки стопи потрібна коса проекція);

  • підозрюються певні аномалії.

При виконанні латерального візуалізаійного обстеження пальців, палець, що обстежується, повинен бути відокремлений від інших.

МРТ або КТ можна проводити, якщо:

  • перелом не візуалізується на оглядовій рентгенограмі, але є клінічна підозра (що часто спостерігається при переломах човноподібної кістки та вколочених переломах шийки стегна [нижче голівки]).

  • потрібна більш детальна інформація для планування лікування (наприклад, при переломах лопатки, тазових кісток або внутрішньосуглобових переломах).

Наприклад, якщо результати дослідження після падіння свідчать про перелом стегна, але рентгенограми в межах норми, слід виконати КТ або МРТ, щоб перевірити наявність прихованого перелому стегна.

Задля перевірки наявності супутніх травм можуть проводитися й інші обстеження:

  • артеріографія або КТ-ангіографія з метою перевірки на предмет підозрюваних ушкоджень артерій (наприклад, робиться для оцінки підколінної артерії при вивиху колінного суглоба);

  • електроміографія та/або дослідження провідності нервів (рідко проводиться негайно проводиться; натомість проводиться зазвичай, коли нервові симптоми зберігаються протягом декількох тижнів чи місяців після травми).

Опис перелому

Вигляд перелому на рентгенограмі можна описати наступним чином:

Терміни, що стосуються розташування переломів:

  • досальний або долонний;

  • епіфіз (іноді із суглобовою поверхнею), який може стосуватися проксимального кінця кістки (голівки) або дистального кінця кістки

  • метафіз (шийка — частина довгої кістки між епіфізом та діафізом);

  • діафіз (тіло кістки, що поділяється на проксимальну, середню та дистальну третини)

Поширені типи ліній переломів

При поперечних переломах лінія зламу перпендикулярна довгій осі кістки.

При косих переломах лінія зламу знаходиться під кутом.

При спіральних переломах лінія зламу зумовлена механізмом обертання кістки; на рентгенограмі вони відрізняються від косих переломів складовою, паралельною довгій осі кістки, принаймні в 1 проекції.

Уламкові переломи характеризуються наявністю > 2 фрагментів кістки. Уламкові переломи включають сегменарні переломи (2 окремих переломи кістки).

Авульсійні переломи виникають внаслідок зміщення кісткового фрагмента надмірно напруженим сухожиллям.

При вколочених переломах кісткові фрагменти проникають один в одного, що скорочує довжину кістки; такі переломи можуть візуалізуватися як вогнищева аномальна щільність у трабекулярній кістці або ж у вигляді нерівномірностей кіркового кісткового шару.

Для дітей характерні компресійні веретеноподібні переломи (прогинання кіркового кісткового шару) та переломи по типу «зеленої гілки» (тріщини лише з 1 боку кіркового кісткового шару).

Різні типи переломів
Поперечний перелом діафізу великогомілкової кістки
Поперечний перелом діафізу великогомілкової кістки

Такий поперечний перелом уражає середню частину великогомілкової кістки.

Такий поперечний перелом уражає середню частину великогомілкової кістки.

Знімок люб'язно надано лікарем Даніелем Кампаньє [Danielle Campagne], MD.

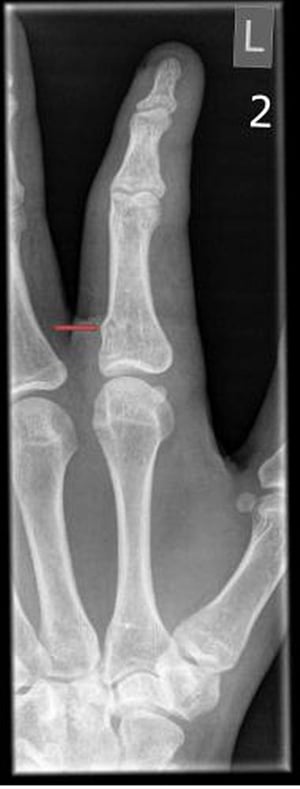
Компресійний веретеноподібний перелом кісток пальця
Компресійний веретеноподібний перелом кісток пальця

Компресійний веретеноподібний перелом може візіалізуватися лише у вигляді дрібних нерівностей кіркового кісткового шару.

Компресійний веретеноподібний перелом може візіалізуватися лише у вигляді дрібних нерівностей кіркового кісткового шару

... прочитати більше

PHOTOSTOCK-ISRAEL/НАУКОВА ФОТОБІБЛІОТЕКА

Компресійний веретеноподібний перелом зап'ястка
Компресійний веретеноподібний перелом зап'ястка

Такий компресійний веретеноподібний перелом дистального відділу променевої кістки візуалізується лише у вигляді незначних нерівностей кіркового кісткового шару.

Такий компресійний веретеноподібний перелом дистального відділу променевої кістки візуалізується лише у вигляді незначн

... прочитати більше

LIVING ART ENTERPRISES, LLC/НАУКОВА ФОТОБІБЛІОТЕКА

Перелом обох кісточок
Перелом обох кісточок

Це поєднаний перелом медіальної кісточки (великогомілкової кістки) і латеральної кісточки (малогомілкової кістки).

Це поєднаний перелом медіальної кісточки (великогомілкової кістки) і латеральної кісточки (малогомілкової кістки).

НАУКОВА ФОТОБІБЛІОТЕКА

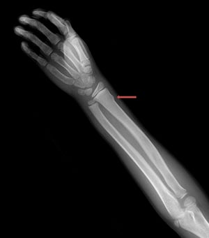
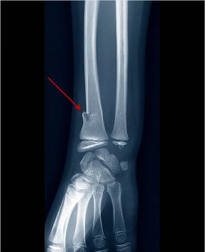
Перелом дистального відділу променевої кістки по типу «зеленої гілки»
Перелом дистального відділу променевої кістки по типу «зеленої гілки»

На даній рентгенограмі показаний перелом по типу «зеленої гілки», видимий у вигляді розриву (ступінчастість) в променевій частині кіркового кісткового шару (стрілка).

На даній рентгенограмі показаний перелом по типу «зеленої гілки», видимий у вигляді розриву (ступінчастість) в променев

... прочитати більше

ZEPHYR / НАУКОВА ФОТОБІБЛІОТЕКА

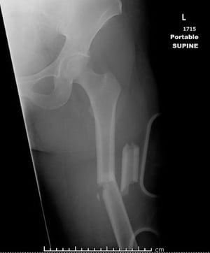
Перелом середньої частини стегнової кістки (1)
Перелом середньої частини стегнової кістки (1)

На цьому зображенні показано уламковий перелом діафіза стегнової кістки з кутовою деформацією та укороченням.

На цьому зображенні показано уламковий перелом діафіза стегнової кістки з кутовою деформацією та укороченням.

Знімок люб'язно надано лікарем Даніелем Кампаньє [Danielle Campagne], MD.

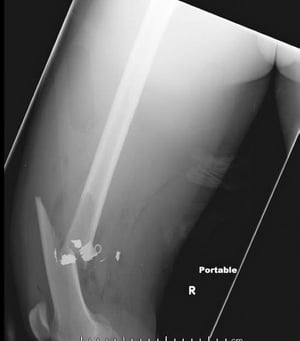
Перелом середньої частини стегнової кістки (2)
Перелом середньої частини стегнової кістки (2)

На даній рентгенограмі стегнової кістки в латеральній проекції показаний перелом стегнової кістки в її середній частині із наявністю повітря в м'яких тканинах і сторонніх металевих предметів.

На даній рентгенограмі стегнової кістки в латеральній проекції показаний перелом стегнової кістки в її середній частині

... прочитати більше

Знімок люб'язно надано лікарем Даніелем Кампаньє [Danielle Campagne], MD.

Просторове співвідношення фрагментів перелому

При переломах може виникнути розходження, зміщення уламків, кутова деформація або вкорочення кістки (заходження фрагментів кістки один в одного).

Розходження — це відокремлення фрагменту по поздовжній осі.

Зміщення — це рівень відхилення кінців перелому від правильного положення кістки; він описується в міліметрах або у відсотках до діаметру кістки.

Кутова деформація — це кут дистального фрагмента, виміряний по відношенню до проксимального фрагмента.

Зміщення та кутова деформація можуть спостерігатися у вентрально-дорсальній, латерально-медіальній площині або в обох площинах.

Довідкові матеріали щодо обстеження

  1. 1. Gustilo RB, Anderson JT. Prevention of infection in the treatment of one thousand and twenty-five open fractures of long bones: retrospective and prospective analyses. J Bone Joint Surg Am. 1976;58(4):453-458.

  2. 2. Kim PH, Leopold SS. In brief: Gustilo-Anderson classification. [corrected] [published correction appears in Clin Orthop Relat Res. 2012 Dec;470(12):3624] [published correction appears in Clin Orthop Relat Res. 2019 Oct;477(10):2388. doi: 10.1097/CORR.0000000000000950]. Clin Orthop Relat Res. 2012;470(11):3270-3274. doi:10.1007/s11999-012-2376-6

  3. 3. Gomes YE, Chau M, Banwell HA, Causby RS. Diagnostic accuracy of the Ottawa ankle rule to exclude fractures in acute ankle injuries in adults: a systematic review and meta-analysis. BMC Musculoskelet Disord. 2022;23(1):885. Published 2022 Sep 23 doi:10.1186/s12891-022-05831-7

Лікування переломів

  • Репозиція, якщо показано, накладання шини та знеболення

  • За показами — застосування методик RICE (відпочинок [rest], лід [ice], тиснуча пов'язка [compression] та підняття [elevation]) або PRICE (захист [protection] з використанням шини або гіпсової пов'язки, відпочинок [rest], лід [ice], тиснуча пов'язка [compression] та підняття [elevation])

  • Звичайна іммобілізація

  • Іноді хірургічне втручання

  • Лікування супутніх травм

Початкове лікування

Серйозні супутні порушення, якщо такі наявні, розглядаються в першу чергу. Геморагічний шок слід лікувати негайно. Ушкодження артерій, окрім дрібних судин з колатеральним кровообігом, відновлюються хірургічним шляхом. За наявності лікують компартмент-синдром.

Важко уражені нерви лікуються хірургічним шляхом; при нейропраксії та аксонотмезі первинне лікування зазвичай передбачає спостереження, вживання підтримувальних заходів, а іноді і фізіотерапію.

В разі підозри на відкритий перелом необхідно накласти на рану стерильну пов'язку, здійснити профілактику правцю, застосувати антибіотики широкого спектру (наприклад, цефалоспорин другого покоління з аміноглікозидом) та виконати хірургічне втручання з промиванням та санацією рани (з метою запобігання інфекції). Щоб звести до мінімуму ризик інфікування відкритих переломів, антибіотики для в/в введення слід застосовувати на ранній стадії, наприклад, протягом 1 години після доставлення у відділення невідкладної медичної допомоги (1).

Більшість переломів середнього і важкого ступенів, особливо вкрай нестабільних або з деформаціями, які спричиняють розтягнення шкіри з можливим її некрозом, слід негайно іммобілізувати шляхом накладання шини (іммобілізація за допомогою нежорсткого або неокружного пристрою) з метою зменшення болю та запобігання подальшому травмуванню м’яких тканин нестабільним переломом. У пацієнтів з переломами довгих кісток накладення шини може запобігти жировій емболії.

Біль слід починати контролювати якомога швидше, зазвичай за допомогою опіоїдів або за допомогою регіонарної анестезії. Якщо у пацієнта ізольований перелом кінцівки, проте підозра на компартмент-синдром відсутня, може бути застосована регіонарна анестезія; цей підхід може допомогти мінімізувати використання опіоїдів і забезпечити ефективніше полегшення болю у порівнянні з опіоїдами (2).

Після початкового лікування проводять вправляння перелому, іммобілізують місце травми та проводять симптоматичне лікування, якщо є відповідні показання.

Вправлення

При ротаційному зміщенні та значній кутовій деформації внаслідок перелому зазвичай проводиться репозиція перелому (вирівнювання кісток або фрагментів кісток за допомогою відповідних маніпуляцій), що зазвичай вимагає проведення знеболення та/або седації. До винятків належать деякі переломи у дітей, у яких ремоделювання кісток з плином часу може виправити суттєві деформації.

За можливості проводиться закрита репозиція (за допомогою маніпуляцій без розрізу на шкірі). Якщо закриту репозицію виконати неможливо, виконується відкрита репозиція (з розрізом на шкірі); при цьому необхідно виконати знеболення відповідної ділянки.

Після закритої репозиції переломів зазвичай накладають гіпсову пов'язку, однак для деяких переломів може знадобитися лише накладення шини або підтримувальної фіксувальної пов'язки.

Після проведення відкритої репозиції переломи зазвичай фіксуються різними зовнішніми та/або внутрішніми хірургічними пристроями. При відкритій репозиції з внутрішньою фіксацією (ORIF, open reduction with internal fixation) фрагменти перелому вирівнюються та фіксуються на місці за допомогою комбінації спиць, гвинтів і пластин. ORIF зазвичай застосовують у наступних випадках:

  • внутрішньосуглобові переломи зі зміщенням (для точного вирівнювання поверхні суглоба);

  • ORIF забезпечує кращі результати, ніж нехірургічне лікування окремих типів переломів;

  • закрита репозиція була неефективною;

  • патологічні переломи виникають у кістках, ослаблених внаслідок онкологічної хвороби; такі кістки зазвичай не загоюються нормально, а ORIF дозволяє мінімізувати больовий синдром швидше, ніж інші види лікування, і робить можливою ранню мобілізацію.

  • Тривала нерухомість (необхідна для загоєння переломів) є небажаною (наприклад, при переломах шийки стегна або діафізу стегнової кістки); ORIF забезпечує ранню структурну стабільність, мінімізує біль і полегшує мобілізацію.

PRICE

Доцільним може бути застосування концепції PRICE (захист [protection], спокій [rest], лід [ice], тиснуча пов'язка [compression] та підняття [elevation]).

Захист [Protection] допомагає запобігти подальшим травмам. Він може передбачати обмеження використання травмованої частини тіла, накладання шини або гіпсової пов'язки або використання милиць.

Спокій допоможе запобігти подальшому травмуванню та прискорити загоєння.

Лід та тиснуча пов'язка здатні мінімізувати набряк і біль. Лід кладуть у поліетиленовий пакет або рушник та періодично прикладають протягом перших 24–48 годин (на період від 15 до 20 хвилин так часто, як це потрібно). Досягти необхідної компресії травми можливо за допомогою шини, еластичного бинта або, у разі певних травм, які можуть викликати сильний набряк, компресійної пов'язки Джонса. Пов'язка Джонса складається з 4 шарів; шари 1 (внутрішня частина) і 3 представляють собою бавовняну тканину, а шари 2 і 4 представлені у вигляді еластичних бинтів.

Підняття ушкодженої кінцівки вище рівня серця протягом перших 2 діб забезпечує безперервний відтік рідини під дією сили тяжіння, що дозволяє мінімізувати набряк.

Через 48 годин періодичне використання тепла (наприклад, грілки-подушки) протягом 15–20 хвилин може зменшити біль і прискорити загоєння.

Іммобілізація

Іммобілізація зменшує біль і сприяє загоєнню травм, попереджуючи подальше травмування, а також дозволяє утримувати фрагменти кістки в правильному положенні. Суглоби, що розташовані проксимальніше та дистальніше відносно місця травми, слід іммобілізувати.

Більшість переломів іммобілізують за допомогою гіпсової пов'язки, яку накладають на декілька тижнів (жорстка пов'язка навколо ураженої кінцівки). На стабільні переломи, які швидко загоюються (наприклад, компресійні веретеноподібні переломи зап’ястя у дітей) пов'язку не накладають; на ранніх стадіях мобілізація забезпечує найкращі результати.

Гіпсові пов'язки зазвичай застосовується при переломах, що потребують кількох тижнів іммобілізації. У рідкісних випадках набряк під гіпсом може посилюватися, що може стати причиною розвитку компартмент-синдрому. Якщо лікарі підозрюють сильний набряк під гіпсом, гіпс (і всі підкладки) розрізаються від кінця до кінця медіально і латерально (двостулковий доступ).

Пацієнтам із гіпсом слід надати письмові інструкції, включаючи наступне:

  • Тримайте гіпс сухим.

  • Тримайте відкриту ділянку шкіри навколо країв гіпсової пов'язки чистою та сухою.

  • Ніколи не кладіть сторонні предмети під гіпсову пов'язку.

  • Щодня оглядайте краї гіпсу та шкіру навколо гіпсу та реєструйте почервоніння або запалення.

  • Для запобігання травмування шкіри краї гіпсу слід захистити за допомогою м’якої клейкої стрічки, тканини або інших м’яких матеріалів.

  • Під час відпочинку обережно розташовуйте гіпсову пов'язку, можливо, використовуйте маленьку подушку або підкладку, щоб запобігти защемленню або врізанню гіпсу у краї шкіри.

  • В разі можливості забезпечуйте підвищене положення для кінцівки з гіпсом, щоб контролювати набряк.

  • Негайно зверніться по медичну допомогу, якщо біль не зникає або якщо є відчуття, що гіпс сидить надто тісно.

  • Негайно зверніться по медичну допомогу, якщо з-під гіпсової пов'язки з'являється неприємний запах, або якщо у Вас підвищується температура, що може свідчити про інфекцію.

  • Негайно зверніться по допомогу, якщо біль прогресує, або виникло будь-яке нове оніміння або слабкість (що може вказувати на компартмент-синдром).

Шину (див. рисунок Іммобілізація суглобів як невідкладне лікування: деякі часто використовувані методики) можна використовувати для іммобілізації деяких стабільних ушкоджень, включаючи деякі підозрювані, але непідтверджені переломи і переломи, які швидко загоюються та які потребують іммобілізації протягом декількох днів або менше. Шина не охоплює повністю кінцівку, тому вона дозволяє пацієнтам накладати лід і рухатися більше, ніж при накладеному гіпсі. Крім того, вона дозволяє контролювати набряк, а отже не спричиняє появу компартмент-синдрому. Деякі травми, які в кінцевому підсумку потребують накладання гіпсу, спочатку іммобілізуються шиною, доки не мине більша частина набряку.

Як застосовувати іммобілізаційні пристрої
How To Apply a Posterior Ankle Splint
How To Apply a Posterior Ankle Splint
How To Apply a Knee Immobilizer
How To Apply a Knee Immobilizer
How to Apply Plaster Splints
How to Apply Plaster Splints

© Elsevier Inc. All Rights Reserved.

This video is for personal informational use. Users are prohibited from copying, reproducing, licensing, subscribing, selling, leasing or distributing this video.

How to Apply Fiberglass Splints
How to Apply Fiberglass Splints

© Elsevier Inc. All Rights Reserved.

This video is for personal informational use. Users are prohibited from copying, reproducing, licensing, subscribing, selling, leasing or distributing this video.

How To Apply a Long Arm Splint
How To Apply a Long Arm Splint
How To Apply a Sugar Tong Ankle Splint
How To Apply a Sugar Tong Ankle Splint
How To Apply a Thumb Spica Splint
How To Apply a Thumb Spica Splint
Як накладати ліктьову жолобувату шину
Як накладати ліктьову жолобувату шину
Як накладати укорочену гіпсову пов'язку на ногу
Як накладати укорочену гіпсову пов'язку на ногу
How To Apply a Shoulder Sling and Swathe and Shoulder Immobilizer
How To Apply a Shoulder Sling and Swathe and Shoulder Immobilizer
Як накладати вкорочену гіпсову пов'язку на руку
Як накладати вкорочену гіпсову пов'язку на руку
How To Apply a Volar Arm Splint
How To Apply a Volar Arm Splint

Іммобілізація суглобів як невідкладне лікування: Деякі часто використовувані методики

Підтримувальна пов'язка забезпечує певний рівень підтримки та комфорту, а також обмеження рухливості. Вона може бути корисною для деяких переломів (наприклад, мінімально зміщених переломів ключиць, деякі переломи проксимальної частини плечової кістки), особливо якщо повна іммобілізація є небажаною (наприклад, в разі травми плечового суглоба, при повній іммобілізації котрого може швидко розвинутися адгезивний капсуліт [синдром «замороженого плеча»]).

Для запобігання вивертання руки назовні, особливо вночі, можна разом з підтримувальною пов'язкою використовувати бандаж (шматок тканини або ремінець). Бандаж обертають навколо спини та поверх травмованої частини кінцівки. Для іммобілізації однокомпонентних проксимальних переломів плечової кістки іноді використовують бандаж разом із підтримувальною пов'язкою.

Ліжковий режим, який іноді необхідний при деяких переломах (наприклад, при деяких переломах хребта або кісток тазу), може бути причиною деяких ускладнень (наприклад, тромбозу глибоких вен, інфекції сечовивідних шляхів, м’язових розладів).

Тривала іммобілізація суглоба може викликати скутість, контрактури та атрофію м'язів і зазвичай не рекомендується. Ці ускладнення можуть розвиватися швидко і бути досить стійкими, особливо у людей похилого віку. Деякі травми, які швидко загоюються, краще лікувати відновленням активного руху протягом перших декількох днів або тижнів. Раннє відновлення рухливості може мінімізувати контрактури та атрофію м'язів, тим самим прискорюючи функціональне відновлення. Шини та гіпсові пов'язки повинні іммобілізувати суглоби в положеннях, що оптимізують ймовірність відновлення повної функції (наприклад, іммобілізація п’ястно-фалангових (ПФ) суглобів повинна позиціонувати ПФ суглоб в позиції згинання задля збереження сухожиль рук у витягнутому стані).

Фізіотерапевти можуть порадити пацієнтам, що вони можуть робити під час іммобілізації задля збереження максимального числа функцій. Після іммобілізації фізіотерапевти можуть порекомендувати пацієнтам вправи для покращення діапазону рухів та м'язової сили, зміцнення та стабілізації ураженого суглоба, а отже, допомогти запобігти рецидивам та тривалому порушенню функції.

Інші процедури

Може знадобитися ендопротезування суглобів (артропластика), що трапляється зазвичай коли переломи сильно пошкоджують верхній кінець стегнової кістки або плечової кістки.

Пересадка (трансплантація) кісткової тканини може виконуватися негайно, якщо проміжок між фрагментами кістки занадто великий. Пересадку можна виконати пізніше. коли процес загоєння затримується (затримка зрощення кістки) або не відбувається (відсутність зрощення кістки).

Довідкові матеріали щодо лікування

  1. 1. Lack WD, Karunakar MA, Angerame MR, et al. Type III open tibia fractures: immediate antibiotic prophylaxis minimizes infection. J Orthop Trauma. 29(1):1–6, 2015. doi: 10.1097/BOT.0000000000000262. Erratum in: J Orthop Trauma. 29(6):e213, 2015. PMID: 25526095

  2. 2. Beaudoin FL, Haran JP, Liebmann O. A comparison of ultrasound-guided three-in-one femoral nerve block versus parenteral opioids alone for analgesia in emergency department patients with hip fractures: A randomized controlled trial. Acad Emerg Med. 20(6):584–591, 2013. doi: 10.1111/acem.12154

Засади геріатрії: Переломи

Люди похилого віку схильні до переломів через наступні причини:

  • Схильність до частого падіння (наприклад, через вікову втрату пропріоцептивних навичок, несприятливий вплив лікарських препаратів на пропріоцептивну функцію або постуральні рефлекси, ортостатичну гіпотензію)

  • Порушення захисних рефлексів під час падіння

  • Остеопороз, який з віком стає більш поширеним

Поширені переломи в результаті падінь включають переломи дистального відділу променевої кістки, проксимального відділу плечової кістки, стегнових кісток, тазових кісток та хребта.

Для літніх пацієнтів метою лікування є швидке повернення до повсякденної діяльності, а не відновлення ідеальної орієнтації та довжини кінцівок.

Оскільки у пацієнтів похилого віку нерухомість (іммобілізація суглобів або ліжковий режим) більш ймовірно матиме небажані ефекти (наприклад, декондиціонування, пролежні), у пацієнтів похилого віку без проблем зі здоров'ям, які можуть зробити хірургічне втручання неприйнятно ризикованим, для лікування переломів нижніх кінцівок перевага надається методиці відкритої репозиції із внутрішньою фіксацією (ORIF).

Рання мобілізація (забезпечувана ORIF) та фізіотерапія мають важливе значення для відновлення функції.

Супутні розлади (наприклад, артрит) можуть впливати на процес відновлення.

Ключові моменти

  • Переломи, які порушують артеріальне кровопостачання та/або призводять до компартмент-синдрому, загрожують життєздатності кінцівок і можуть зрештою загрожувати життю.

  • Перевірте зв’язки, сухожилля та м’язи на предмет ушкоджень, а також проведіть оцінку задля виявлення переломів; наявність перелому може обмежувати або затримати цю оцінку.

  • Огляньте суглоби вище та нижче ураженої ділянки.

  • Оцініть наявність фантомного болю, особливо якщо з фізичної точки зору суглоб виглядає неушкодженим, але пацієнт характеризує його як болючий (наприклад, біль у коліні у пацієнтів із переломом стегна).

  • При багатьох травмах дистальних відділів кінцівок (наприклад, травма пальців ніг з 2 по 5, деякі розтягнення надп'ятково-гомілкового суглоба) рентгенографію для виявлення перелому проводити не потрібно, оскільки його наявність/відсутність не змінює стратегії лікування.

  • Якщо початкові рентгенограми в межах норми, але в пацієнта є серйозна клінічна підозра на перелом (наприклад, у людини похилого віку, яка страждає на біль у стегні і не може ходити після падіння), розгляньте можливість проведення МРТ (іноді КТ).

  • Слід негайно проводити терапію будь-яких серйозних супутніх травм, накласти шину на нестабільні переломи та якомога швидше усунути біль та вправити переломи з кутовою деформацією чи зміщенням.

  • Одразу іммобілізуйте нестабільні переломи; за допомогою гіпсової пов'язки або шини іммобілізуйте переломи одразу після проведення репозиції.

  • При переломах застосовуйте методику PRICE (захист, спокій, лід, компресія, підвищене положення).

  • Надайте пацієнтам чіткі письмові інструкції щодо медичного догляду за шиною чи гіпсовою пов'язкою.

  • При лікуванні пацієнтів похилого віку обирайте той метод, який дозволить досягти якнайшвидшої мобілізації.