Періодонтит

(піорея)

ЗаJames T. Ubertalli, DMD, Hingham, MA
ПереглянутоDavid F. Murchison, DDS, MMS, The University of Texas at Dallas
Переглянуто/перевірено Змінено квіт. 2024
v43449216_uk

Periodontitis is a chronic inflammatory oral disease that progressively destroys the tooth-supporting apparatus. It usually manifests as a worsening of gingivitis and then, if untreated, with loosening and loss of teeth. Other symptoms are rare except in patients with HIV infection or in whom abscesses develop, in which case pain and swelling are common. Diagnosis is based on inspection, periodontal probing, and x-rays. Treatment involves dental cleaning that extends under the gingival (gum) tissues and a vigorous home hygiene program. Advanced cases may require antibiotics and surgery.

Pathophysiology of Periodontitis

Periodontitis develops when gingivitis, usually with abundant plaque and calculus (a concretion of bacteria, food residue, saliva, and mucus with calcium and phosphate salts) beneath the gingival margin, has not been adequately treated. In periodontitis, deep pockets form in the periodontal tissue and can harbor anaerobic organisms that do more damage than those usually present in simple gingivitis. Colonizing organisms include Aggregatibacter actinomycetemcomitans, Porphyromonas gingivalis, Eikenella corrodens, and many gram-negative bacilli.

The organisms trigger chronic release of inflammatory mediators, including cytokines, prostaglandins, and enzymes from neutrophils and monocytes. The resulting inflammation affects the periodontal ligament, gingiva, cementum, and alveolar bone. The gingiva progressively loses its attachment to the teeth, bone loss begins, and periodontal pockets deepen. With progressive bone loss, teeth may loosen, and gingiva recedes. Tooth migration is common in later stages, and tooth loss can occur.

Risk Factors for Periodontitis

Modifiable risk factors that contribute to periodontitis include

Addressing these conditions can improve the treatment outcomes of periodontitis.

Classification of Periodontitis

The American Academy of Periodontology's (1) classification of periodontal diseases and conditions distinguishes 3 forms of periodontitis:

  • Necrotizing periodontitis

  • Periodontitis as a direct manifestation of systemic disease

  • Periodontitis

Некротичний періодонтит

Necrotizing periodontitis is a particularly virulent, rapidly progressing disease characterized by

  • Necrosis or ulceration of the interdental papillae

  • Bleeding gingiva

  • Pain

Necrotizing periodontitis typically occurs in patients with an impaired immune system and thus is often called HIV-associated periodontitis because HIV is a common cause (1). Clinically, it resembles acute necrotizing ulcerative gingivitis combined with generalized aggressive periodontitis. Patients may lose 9 to 12 mm of attachment in as little as 6 months.

In some patients, inflammation also involves the oral cavity, causing necrotizing stomatitis or a life-threatening variant, noma (cancrum oris).

Періодонтит як безпосередній прояв системного захворювання

Periodontitis as a direct manifestation of systemic disease is considered in patients who have inflammation disproportionate to plaque or other local factors and who also have a systemic disease. However, distinguishing whether a disease is causing periodontitis or contributing to plaque-induced periodontitis is often difficult.

Systemic diseases associated with hematologic disease that can manifest as periodontitis include

Systemic diseases associated with genetic disorders that can manifest as periodontitis include

Періодонтит

Disease severity is classified as stage I through IV, and rate of progression as grade A through C (1).

Periodontitis can begin anywhere between early childhood and older adulthood. In 2009, approximately 47% of the population was affected with some degree of periodontitis; 64% of adults ≥ 65 years had moderate or severe periodontitis (2).

Important severity factors include

  • Amount of loss of attachment (of soft tissue to teeth)

  • Depth of pockets

  • Amount of bone loss seen on x-ray

Інші захворювання періодонту

Other periodontal conditions included in the AAP designations are periodontal abscesses, periodontitis associated with endodontic lesions, developmental or acquired deformities and conditions, and peri-implant diseases.

Periodontal abscesses are accumulations of pus that usually occur in pre-existing pockets, sometimes related to impacted foreign material. Tissue may be rapidly destroyed, risking tooth loss.

Periodontitis associated with endodontic lesions involves a communication between the pulp and periodontal tissues.

In developmental or acquired deformities and conditions, faulty occlusion, causing an excessive functional load on teeth, plus the requisite plaque and gingivitis may contribute to progression of a particular type of periodontitis characterized by angular bony defects.

Довідкові матеріали щодо класифікації

  1. 1. Caton JG, Armitage G, Berglundh T, et al: A new classification scheme for periodontal and peri-implant diseases and conditions – Introduction and key changes from the 1999 classification. J Periodontol 89(S1), 2018.  https://doi.org/10.1002/JPER.18-0157

  2. 2. Eke PI, Dye BA, Wei L, et al: Prevalence of periodontitis in adults in the United States: 2009 and 2010. J Dent Res 91(10):914-920, 2012. doi: 10.1177/0022034512457373

Symptoms and Signs of Periodontitis

Pain is usually absent unless an acute infection forms in one or more periodontal pockets or if HIV-associated periodontitis is present. Impaction of food in the pockets can cause pain at meals. Abundant plaque along with redness, swelling, and exudate are characteristic. Gums may be tender and bleed easily, and breath may be foul. As teeth loosen, particularly when only one third of the root is in the bone, chewing becomes painful.

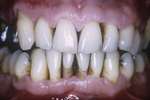
Періодонтит
Periodontitis (Loss of Supporting Tissues of the Tooth)
Periodontitis (Loss of Supporting Tissues of the Tooth)

This photo shows a close-up of tissue loss in a person with periodontal disease. Periodontal disease has caused a loss of gum tissue and bone around the teeth.

This photo shows a close-up of tissue loss in a person with periodontal disease. Periodontal disease has caused a loss

... прочитати більше

Dr. W. GREEN/CNRI/SCIENCE PHOTO LIBRARY

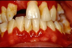
Періодонтит
Періодонтит

This photo shows receding gums and a periodontal abscess (arrow) in a person who has periodontitis.

This photo shows receding gums and a periodontal abscess (arrow) in a person who has periodontitis.

CNRI/SCIENCE PHOTO LIBRARY

Хронічний періодонтит
Хронічний періодонтит

This photo shows chronic plaque-induced inflammation of the soft tissues resulting in loss of gum tissue and supporting bone, tooth movement, and loss of teeth.

This photo shows chronic plaque-induced inflammation of the soft tissues resulting in loss of gum tissue and supporting

... прочитати більше

Image provided by Jonathan A. Ship, DMD.

Diagnosis of Periodontitis

  • Clinical evaluation

  • Sometimes dental x-rays

Inspection of the teeth and gingiva combined with probing of the pockets and measurement of their depth are usually sufficient for diagnosis. Pockets deeper than 4 mm indicate periodontitis.

Dental x-rays reveal alveolar bone loss adjacent to the periodontal pockets.

Treatment of Periodontitis

  • Treatment of risk factors

  • Scaling and root planing

  • Sometimes oral antibiotics, antibiotic packs, or both

  • Surgery or extraction

Modifying risk factors, such as poor oral hygiene and smoking, improves outcomes. For patients with diabetes, adequate control of blood glucose levels is important.

For all forms of periodontitis, the first phase of treatment consists of thorough scaling (professional cleaning with hand or ultrasonic instruments) and root planing (removal of diseased or toxin-affected cementum and dentin followed by smoothing of the root) to remove plaque and calculus deposits. Thorough home oral hygiene is necessary and includes careful brushing and flossing to help clean. It may include chlorhexidine swabs or rinses. A dental hygienist should help teach the patient how to do these procedures. The patient is reevaluated after 3 weeks. If pockets are no deeper than 4 mm at this point, the only treatment needed is regular cleanings. Sometimes a flap of gum tissue is made to allow access for scaling and planing of deeper parts of the root.

If deeper pockets persist, systemic antibiotics can be used. A common regimen is amoxicillin 500 mg orally 3 times a day for 10 days. In addition, a gel containing doxycycline or microspheres of minocycline can be placed into isolated recalcitrant pockets. These medications are resorbed in 2 weeks.

Another approach is to surgically eliminate the pocket and recontour the bone (pocket reduction/elimination surgery) so that the patient can clean the depth of the normal crevice (sulcus) between the tooth and gingiva. In certain patients, regenerative surgery and bone grafting are done to encourage alveolar bone growth. Splinting of loose teeth and selective reshaping of tooth surfaces to eliminate traumatic occlusion may be necessary. Extractions are often necessary in advanced disease. Contributing systemic factors should be controlled before initiating periodontal therapy.

Many patients with necrotizing ulcerative periodontitis due to HIV (HIV-associated periodontitis) respond to combined treatment with scaling and planing, irrigation of the sulcus with povidone-iodine (which the dentist applies with a syringe), regular use of chlorhexidine mouth rinses, and systemic antibiotics, usually metronidazole 250 mg orally 3 times a day for 14 days (1, 2).

Localized aggressive periodontitis requires periodontal surgery plus oral antibiotics (eg, amoxicillin 500 mg 4 times a day or metronidazole 250 mg 3 times a day for 14 days).

Довідкові матеріали щодо лікування

  1. 1. Caton JG, Armitage G, Berglundh T, et al: A new classification scheme for periodontal and peri-implant diseases and conditions – Introduction and key changes from the 1999 classification. J Periodontol 89(S1), 2018.  https://doi.org/10.1002/JPER.18-0157

  2. 2. Loesche WJ, Syed SA, Laughon BE, Stoll J: The bacteriology of acute necrotizing ulcerative gingivitis. J Periodontol 53: 223–230, 1982. doi: 10.1902/jop.1982.53.4.223

Ключові моменти

  • Periodontitis is an inflammatory reaction triggered by bacteria in dental plaque.

  • There is loss of alveolar bone, formation of deep gum pockets, and eventually loosening of teeth.

  • Treatment involves scaling and root planing and sometimes antibiotics and/or surgery.