Ischämischer Insult

VonAndrei V. Alexandrov, MD, The University of Tennessee Health Science Center;
Balaji Krishnaiah, MD, The University of Tennessee Health Science Center
Reviewed ByMichael C. Levin, MD, College of Medicine, University of Saskatchewan
Überprüft/überarbeitet Juli 2023 | Geändert Apr. 2025
v1034640_de
Aussicht hier klicken.

Der ischämische Schlaganfall zeigt plötzliche neurologische Defizite aufgrund einer fokalen zerebralen Ischämie mit permanentem Hirninfarkt (z. B. positive Ergebnisse bei diffusionsgewichteter MRT). Häufige Ursachen sind atherothrombotische Okklusion von großen Arterien, zerebrale Embolie (embolischer Infarkt); nichtthrombotischer Verschluss von kleinen, tiefen kortikalen Arterien (lakunäre Infarkte) und proximale arterielle Stenose mit Hypotonie, die den zerebralen Blutfluss in den Randzonen vermindert (hämodynamischer Schlaganfall) Bei einem Drittel der ischämischen Schlaganfälle wird zum Zeitpunkt der Entlassung des Patienten keine Ursache festgestellt; diese Schlaganfälle werden als kryptogen kategorisiert. Die Diagnose wird klinisch gestellt, aber CT und MRT werden durchgeführt zum Ausschluss einer Blutung und zur Bestätigung des Vorliegens und der Ausdehnung des Insults. Bei bestimmten Patienten kann eine thrombolytische Therapie, akut durchgeführt, nützlich sein. Je nach Ursache des Schlaganfalls können eine Karotisendarteriektomie oder ein Stent, Thrombozytenaggregationshemmer oder Antikoagulanzien das Risiko für weitere Schlaganfälle verringern.

Ätiologie des ischämischen Schlaganfalls

Die folgenden sind die modifizierbaren Risikofaktoren, die am meisten zu einem erhöhten Risiko für einen ischämischen Schlaganfall beitragen:

Zu den unveränderlichen Risikofaktoren gehören:

  • früherer Schlaganfall

  • Geschlecht

  • Ethnische Zugehörigkeit

  • Höheres Alter

  • Schlaganfall in der Familienanamnese

Die häufigsten Ursachen für einen ischämischen Schlaganfall können klassifiziert werden als

  • kryptogen (d. h., keine eindeutige kardioembolische, lakunäre oder atherosklerotische Quelle; die häufigste Klassifizierung)

  • Kardioembolie

  • Lakunäre Infarkte

  • Atherosklerose der großen Gefäße (die vierthäufigste Ursache)

Kryptogener Schlaganfall

Ein Schlaganfall wird als kryptogen klassifiziert, wenn einer der folgenden Fälle eintritt:

  • Die diagnostische Bewertung ist unvollständig.

  • Trotz umfangreicher Untersuchungen wird keine Ursache gefunden.

  • Es gibt mehr als eine wahrscheinliche Ursache (z. B. Vorhofflimmern und ipsilaterale Karotisstenose).

Ein embolischer Schlaganfall unbestimmter Ursache (ESUS), eine Unterkategorie des kryptogenen Schlaganfalls, wird diagnostiziert, wenn keine Ursache identifiziert werden konnte, nachdem eine ausreichende diagnostische Untersuchung lakunären Schlaganfall, größere kardioembolische Ursachen und eine ipsilaterale steno-okklusive Gefäßerkrankung (> 50% Okklusion) ausgeschlossen hat. Jüngste Erkenntnisse deuten darauf hin, dass eine symptomatische nichtstenotische Karotiserkrankung mit einem Verschluss von < 50% eine wichtige Ursache für einen Schlaganfall sein kann (1).

Kardioembolie

Emboli können sich überall in den Zerebralarterien festsetzen.

Emboli können von kardialen Thromben herrühren, insbesondere unter folgenden Bedingungen:

  • Vorhofflimmern

  • Rheumatische Herzerkranungen (meist Mitralstenose)

  • Post-Myokardinfarkt

  • Vegetationen auf den Herzklappen bei bakterieller oder marantischer Endokarditis

  • Vorhofmyxom

  • Herzklappenprothesen

  • Mechanische Kreislaufunterstützungsgeräte (z. B. linkes Herzunterstützungssystem oder LVAD [2])

Weitere Quellen sind Blutgerinnsel, die sich nach Operationen am offenen Herzen bilden, und Atherome in Halsarterien oder im Aortenbogen. Selten besteht ein Embolus aus Fett (nach Fraktur von langen Röhrenknochen), Luft (bei Dekompressionskrankheit) oder venösen Thromben, die von der rechten zur linken Seite des Herzens durch ein offenes Foramen ovale mit Shunt gelangen (paradoxe Emboli). Emboli können sich spontan oder nach einer invasiven kardiovaskulären Manipulation losreißen (z. B. Katheteruntersuchung). Selten hat eine Thrombose der A. subclavia einen embolischen Schlaganfall in der A. vertebralis oder ihren Ästen zur Folge.

Lakunäre Infarkte

Ein ischämischer Insult kann auch durch lakunäre Infarkte verursacht sein. Diese kleinen Infarkte ( 1,5 cm) können aus der nichtatherothrombotischen Obstruktion kleiner perforierender Arterien entstehen, die tiefe kortikale Strukturen versorgen; die übliche Ursache ist eine Lipohyalinose (Degeneration der Media kleiner Arterien und Ersatz durch Lipide und Kollagen). Embolien können lakunäre Infarkte verursachen. Lakunäre Schlaganfälle > 1,5 cm bei Patienten ohne kardiovaskuläre Risikofaktoren (z. B. Hypertonie, Diabetes, Rauchen) lassen auf eine zentrale Emboliequelle schließen.

Lakunäre Infarkte ereignen sich besonders bei Patienten mit Diabetes mellitus oder schlecht eingestelltem Bluthochdruck.

Atherosklerose der großen Gefäße

Die Atherosklerose der großen Gefäße kann intrakranielle oder extrakranielle Arterien betreffen.

Atherome, insbesondere ulzerierte, prädisponieren zur Thrombenbildung. Atherome können in jeder größeren zerebralen Arterie auftreten und kommen häufig in Gebieten mit turbulenter Strömung, v. a. im Bereich der Karotisbifurkation vor. Ein teilweiser oder kompletter thrombotischer Verschluss ereignet sich meist im Hauptstamm der A. cerebri media und in ihren Ästen, ist aber auch häufig in den großen Arterien der Hirnbasis, in tiefen perforierenden Arterien und in kleinen kortikalen Ästen. Die A. basilaris und das Segment der A. carotis interna zwischen dem Sinus cavernosus und dem Processus supraclinoideus sind häufig verschlossen.

Andere Ursachen

Zu den selteneren Schlaganfallursachen gehören: Gefäßentzündungen als Folge von Störungen wie einer akuten oder chronischen Meningitis, einer Vaskulitis oder Syphilis; Dissektion der intrakraniellen Arterien oder der Aorta; Hyperkoagulabilität (z. B. Antiphospholipidsyndrom, Hyperhomocysteinämie); zugrundeliegende Malignität, Krankheiten mit erhöhter Blutviskosität (z. B. Polyzythämie, Thrombozytose, Hämoglobinopathien, Störungen der Plasmazellen); seltene Krankheiten (z. B. fibromuskuläre Dsyplasie, Moyamoya-Krankheit, M. Binswanger).

Bei Kindern ist Sichelzellenanämie eine häufige Ursache für einen ischämischen Schlaganfall.

Jeder Faktor, der die systemische Perfusion beeinträchtigt (z. B. Kohlenmonoxid-Toxizität, schwere Anämie oder Hypoxie, Polyzythämie, Hypotonie), erhöht das Risiko für alle Arten von ischämischen Schlaganfällen. Ein Schlaganfall kann entlang der Grenzen zwischen den Gebieten der Arterien (Wassereinzugsgebieten) auftreten. An solchen Orten ist die Blutversorgung in der Regel gering, insbesondere wenn die Patienten Hypotonie haben und/oder, wenn wichtige Hirnarterien stenotisch sind.

Seltener sind ischämische Insulte das Ergebnis von Vasospasmen (z. B. während eines Migräneanfalls, nach subarachnoidaler Blutung, nach Gebrauch sympathomimetischer Drogen wie Kokain oder Amphetamine) oder einer Sinusvenenthrombose (z. B. während intrakranieller Infektionen, postoperativ, peripartal, sekundär nach einer Hyperkoagulationsstörung).

Literatur zur Ätiologie

  1. 1. Ospel JM, Kappelhof M, Ganesh A, et al: Symptomatic non-stenotic carotid disease: current challenges and opportunities for diagnosis and treatment. J Neurointerv Surg jnis-2022-020005, 2023.. doi: 10.1136/jnis-2022-020005 Online ahead of print.

  2. 2. Caprio FZ, Sorond FA: Cerebrovascular disease: Primary and secondary stroke Prevention. Med Clin North Am 103 (2):295–308, 2019. doi: 10.1016/j.mcna.2018.10.001 Epub 2018 Nov 28.

Pathophysiology of Ischemic Stroke

Eine inadäquate Durchblutung in einer einzelnen Hirnarterie kann häufig durch ein effizientes Kollateralensystem kompensiert werden, besonders zwischen Karotiden und Vertebralarterien durch Anastomosen des Circulus arteriosus Willisii und in geringerem Ausmaß zwischen den großen Arterien, die die Großhirnhemisphären versorgen. Jedoch kann der Blutfluss in den Kollateralen aufgrund der normalen Variabilität im Circulus arteriosus Willisii und im Kaliber diverser Kollateralgefäße, durch Arteriosklerose und andere erworbene arterielle Läsionen behindert werden, wodurch die Wahrscheinlichkeit zunimmt, dass die Blockade einer einzelnen Arterie zu einer Hirnischämie führt.

Einige Neuronen sterben ab, wenn die Perfusion > 5 min lang < 5% des Normalwerts liegt, jedoch hängt das Ausmaß der Schädigung von der Schwere der Ischämie ab. In leichten Fällen schreitet die Schädigung langsam voran: auch wenn die Perfusion 40% des Normalwerts beträgt, können 3–6 h vergehen, bis Hirngewebe vollständig verlorengeht. Wenn eine schwere Ischämie allerdings über > 15–30 min persistiert, stirbt das betroffene Gewebe vollständig ab (Infarkt). Bei Hyperthermie tritt die Schädigung schneller, bei Hypothermie langsamer ein. Wenn zwar eine Gewebeischämie besteht, aber noch keine irreversible Schädigung eingetreten ist, kann die schnelle Wiederherstellung des Blutflusses das Ausmaß der Insults reduzieren oder ihn rückgängig machen. Zum Beispiel kann ein Eingriff die mäßig ischämischen Bereiche (Penumbra) retten, die oft Bereiche mit schwerer Ischämie umgeben; Penumbra bestehen aufgrund des Kollateralflusses.

Mechanismen der ischämischen Schädigung sind unter anderem

  • Ödeme

  • Microvaskuläre Thrombose

  • Programmierter Zelltod (Apoptose)

  • Infarzierung mit Zell-Nekrose

Inflammatorische Mediatoren (z. B. Interleukin-1-beta, Tumornekrosefaktor-alpha) tragen zum Ödem und der mikrovaskulären Thrombosierung bei. Ein starkes oder ausgedehntes Ödem kann den intrakraniellen Druck erhöhen.

Viele Faktoren können zum Zelltod beitragen; sie umfassen die Leerung der Adenosintriphosphat-Speicher, den Verlust der Ionenhomöostase (inkl. intrazellulärer Kalziumakkumulation), eine oxidative Lipidschädigung an Zellmembranen durch freie Radikale (ein eisenvermittelter Prozess), exzitatorische Neurotoxine (z. B. Glutamat) und intrazelluläre Azidose durch Laktatakkumulation.

Symptome und Anzeichen von ischämischem Schlaganfall

Die Symptome eines ischämischen Schlaganfalls hängen vom betroffenen Teil des Gehirns ab. Die Muster der neurologischen Ausfälle lassen häufig auf die betroffene Arterie schließen (siehe Tabelle Ausgewählte Schlaganfall-Syndrome), aber die Korrelation ist oft ungenau.

Tabelle
Tabelle

Die Defizite können ihr Maximum innerhalb von Minuten nach dem Beginn erreichen, typischerweise bei einem embolischen Insult. Weniger häufig entwickeln sich die Defizite langsam, meist über 24–48 h (als „progressiver Schlaganfall“ bezeichnet), typischerweise beim atherothrombotischen Insult.

Bei den meisten Insulten entwickelt sich ein einseitiges neurologisches Störungsbild (häufig Beginn in einem Arm, dann ipsilaterale Ausbreitung), ohne Kopfschmerzen, andere Schmerzen oder Fieber zu verursachen. Die Progression verläuft meist schrittweise, unterbrochen von Perioden der Stabilität.

Ein Insult wird als inkomplett angesehen, wenn, nachdem er abgeschlossen ist, eine Restfunktion im betroffenen Gebiet bestehen bleibt, was für vitales Gewebe an der Grenze zur Schädigung spricht.

Embolische Insulte ereignen sich häufig tagsüber; Kopfschmerzen können den neurologischen Defiziten vorangehen. Eine Thrombosierung tritt bevorzugt in der Nacht auf und wird deswegen häufig erst beim Aufwachen bemerkt.

Lakunäre Infarkte können eines der klassischen lakunären Syndrome hervorrufen (z. B. reine motorische Hemiparese, reine sensorische Hemianästhesie, kombinierte Hemiparese und Hemianästhesie, ataktische Hemiparese, Dysarthria-clumsy-hand-Syndrom); Anzeichen einer kortikalen Dysfunktion (z. B. Aphasie) sind nicht vorhanden. Multiple lakunäre Infarkte können zu einer Multiinfarktdemenz führen.

Ein Anfall kann bei Symptombeginn öfter in Form eines embolischen als thrombotischen Schlaganfalls auftreten. Anfälle können auch Monate bis Jahre später auftreten; spätere Anfälle entstehen durch Narbenbildung oder Hämosiderinablagerung am Ort der Ischämie.

Gelegentlich entwickelt sich Fieber.

Eine Verschlechterung während der ersten 48–72 h nach Einsetzen der Symptome, besonders bei zunehmend gestörtem Bewusstsein, wird häufiger durch ein zerebrales Ödem als durch eine Ausdehnung des Infarkts verursacht. Wenn der Infarkt nicht sehr groß oder ausgedehnt ist, verbessert sich die Funktion meist innerhalb der ersten Tage; eine weitere Verbesserung kann noch schrittweise bis zu einem Jahr auftreten.

Diagnose von ischämischem Schlaganfall

  • Primär klinische Bewertung

  • zerebrale Bildgebung und Glukosetest am Krankenbett

  • Abklärung der Ursache

Die Diagnose eines ischämischen Schlaganfalls wird durch plötzliche neurologische Defizite suggeriert, die sich auf ein bestimmtes arterielles Gebiet beziehen. Der ischämische Schlaganfall muss von anderen Ursachen ähnlicher fokaler Defizite unterschieden werden (manchmal als Schlaganfall-Mimik bezeichnete nicht-zerebrovaskuläre Störungen, die fokale neurologische Symptome verursachen (z. B. Hypoglykämie), wie

Kopfschmerzen, Koma oder Stupor und Erbrechen sind bei einem hämorrhagischen Schlaganfall wahrscheinlicher als bei einem ischämischen Schlaganfall.

Bei Verdacht auf einen Schlaganfall können Ärzte standardisierte Kriterien zur Einstufung des Schweregrads und zur Beobachtung von Veränderungen im Laufe der Zeit verwenden. Dieser Ansatz kann besonders als Maß für das Outcome in Wirksamkeitsstudien nützlich sein. Die National Institutes of Health Stroke Scale (NIHSS) ist eine 15 Punkte umfassende Skala zur Bewertung des Bewusstseinsgrads und der Sprachfunktion des Patienten sowie zur Feststellung motorischer und sensorischer Defizite, indem der Patient gebeten wird, Fragen zu beantworten und körperliche und geistige Aufgaben zu erfüllen. Sie ist auch nützlich für die Wahl einer geeigneten Behandlung und die Vorhersage der Ergebnisse.

Tabelle
Tabelle

Die Beurteilung eines ischämischen Schlaganfalls erfordert die Beurteilung des Gehirnparenchyms, des Gefäßsystems (einschließlich des Herzens und der großen Arterien) und des Blutes.

Die klinische Differenzierung zwischen den Arten von Schlaganfall ist ungenau; allerdings können einige Hinweise auf der Basis von Symptomprogression, Zeitpunkt des Beginns und der Art des Defizits helfen.

Obwohl die Diagnose klinisch gestellt wird, sind zerebrale Bildgebung und Glukosetest erforderlich.

Die Unterscheidung zwischen lakunärem, embolischem und thrombotischem Schlaganfall aufgrund der Vorgeschichte, Untersuchung und Bildgebung ist nicht immer zuverlässig, sodass routinemäßig Tests zur Feststellung häufiger oder behandelbarer Ursachen und Risikofaktoren für alle diese Schlaganfalltypen durchgeführt werden. Die Patienten sollten auf die folgenden Kategorien von Ursachen und Risikofaktoren untersucht werden:

  • Kardiale (z. B. Vorhofflimmern, mögliche strukturelle Emboliequellen)

  • Vaskuläre (z. B. kritische arterielle Stenose, die durch vaskuläre Bildgebung festgestellt wurde)

  • Blut (z. B. Diabetes, Dyslipidämie, Hyperkoagulabilität)

Bei kryptogenen Schlaganfällen lässt sich keine Ursache feststellen.

Beurteilung des Gehirns

Zunächst wird eine neurologische Bildgebung mit CT oder MRT durchgeführt, um intrazerebrale Blutungen auszuschließen, aber auch subdurale oder epidurale Hämatome und schnell wachsende blutende oder plötzlich symptomatisch werdende Tumoren. Der CT-Nachweis sogar von einem großen ischämischen Insult der vorderen Strombahn kann während der ersten Stunden nur sehr subtil sein; Hypodensität im Parenchym, verminderte Abgrenzbarkeit der Basalganglien und des kortikalen Bandes oder verstrichene Sulci und das hyperdense Mediazeichen Innerhalb von 6 bis 12 h einer Ischämie fangen mittelgroße bis große Infarkte an als Hypodensitäten sichtbar zu werden; kleine Infarkte (z. B. lakunäre Infarkte) können nur mit der MRT erkennbar sein.

Eine diffusionsgewichtete MRT (hochempfindlich für frühe Ischämie) kann sofort nach der ersten CT-Bildgebung durchgeführt werden.

Bilder vom ischämischen Schlaganfall
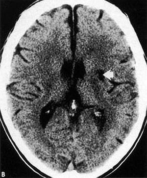
Hypoxische ischämische Hirnschädigung und Hirnödem
Hypoxische ischämische Hirnschädigung und Hirnödem

Dieses Bild zeigt ein nicht kontrastverstärktes CT bei einem Patienten mit hypoxischer Hirnschädigung und Hirnödem. Man beachte den Verlust der Differenzierung zwischen grauer und weißer Substanz (Kreis), die hypoxisch-ischämische Schädigung der Basalganglien (Pfeile) und die Auslöschung der Sulci.

Dieses Bild zeigt ein nicht kontrastverstärktes CT bei einem Patienten mit hypoxischer Hirnschädigung und Hirnödem. Man

... Erfahren Sie mehr

© 2017 Elliot K. Fishman, MD.

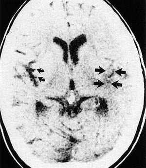
Verlust des Inselbandes
Verlust des Inselbandes

Diese CT-Aufnahme zeigt eine Auslöschung der Sylviasfissur und des Inselbandes (gerade Pfeile) auf der infarzierten Seite des Gehirns im Vergleich zum normalen Inselband (gebogene Pfeile).

Diese CT-Aufnahme zeigt eine Auslöschung der Sylviasfissur und des Inselbandes (gerade Pfeile) auf der infarzierten Sei

... Erfahren Sie mehr

By permission of the publisher. From Geremia G, Greenlee W. In Atlas of Cerebrovascular Disease. Edited by PB Gorelick and MA Sloan. Philadelphia, Current Medicine, 1996.

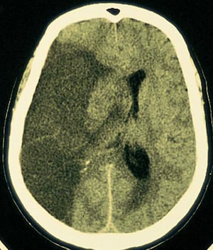
Infarkt der A. cerebri media
Infarkt der A. cerebri media

Im Bereich des von der rechten mittleren Hirnarterie versorgten Gehirns ist ein großer durchscheinender Infarkt zu sehen.

Im Bereich des von der rechten mittleren Hirnarterie versorgten Gehirns ist ein großer durchscheinender Infarkt zu sehe

... Erfahren Sie mehr

By permission of the publisher. From Furie K, et al: Cerebrovascular disease. In Atlas of Clinical Neurology. Edited by RN Rosenberg. Philadelphia, Current Medicine, 2002.

Ischämischer Schlaganfall in der linken mittleren Hirnarterie (CT)
Ischämischer Schlaganfall in der linken mittleren Hirnarterie (CT)

Diese nicht kontrastverstärkte CT-Aufnahme des Schädels zeigt eine hyperdense linke mittlere Hirnarterie. Dieser Befund weist auf ein fokales Gerinnsel in der linken mittleren Hirnarterie hin (Pfeil).

Diese nicht kontrastverstärkte CT-Aufnahme des Schädels zeigt eine hyperdense linke mittlere Hirnarterie. Dieser Befund

... Erfahren Sie mehr

Image courtesy of Ji Y. Chong, MD.

Akuter ischämischer Schlaganfall im linken Insel- und Frontallappen (MRT)
Akuter ischämischer Schlaganfall im linken Insel- und Frontallappen (MRT)

Diese MRT-Aufnahme zeigt einen Bereich mit eingeschränkter Diffusion, der mit einem akuten ischämischen Schlaganfall im linken Insellappen und Frontallappen übereinstimmt.

Diese MRT-Aufnahme zeigt einen Bereich mit eingeschränkter Diffusion, der mit einem akuten ischämischen Schlaganfall im

... Erfahren Sie mehr

Image courtesy of Ji Y. Chong, MD.

Lakunärer Infarkt
Lakunärer Infarkt

Diese CT-Aufnahme zeigt einen gut definierten lakunären Infarkt (Pfeil) mit geringer Dichte innerhalb der Basalganglien.

Diese CT-Aufnahme zeigt einen gut definierten lakunären Infarkt (Pfeil) mit geringer Dichte innerhalb der Basalganglien

... Erfahren Sie mehr

By permission of the publisher. From Geremia G, Greenlee W. In Atlas of Cerebrovascular Disease. Edited by PB Gorelick and MA Sloan. Philadelphia, Current Medicine, 1996.

Kardiale Ursachen

Bei kardialen Ursachen schließen Tests typischerweise EKG, Langzeit-EKG-Telemetrie oder Serum-Troponin sowie transthorakale oder transösophageale Echokardiographie mit ein. Implantierbare Herzmonitore sind nützlich, um zugrunde liegende Vorhofarrhythmien bei Patienten mit kryptogenem Schlaganfall zu erkennen (1).

Vaskuläre Ursachen

Bei vaskulären Ursachen, können Untersuchungen Magnetresonanz-Angiographie (MRA), CT-Angiographie (CTA), A. carotis und transkranielle Duplexsonographie sowie konventionelle Angiographie einschließen. Die Auswahl und Reihenfolge der Prüfungen ist individualisiert, basierend auf klinischen Befunden. MRA, CTA und Karotis-Sonografie zeigen alle den vorderen Kreislauf; jedoch bieten MRA und CTA bessere Bilder des hinteren Kreislauf als ein Karotis-Ultraschall. Im Allgemeinen ist die CTA der MRA vorzuziehen, da Bewegungsartefakte vermieden werden. In der Regel sollte eine CT-Angiographie (CTA) oder MR-Angiographie (MRA) dringend durchgeführt werden, ohne jedoch die Behandlung mit intravenösem Gewebeplasminogenaktivator zu verzögern, wenn diese angezeigt ist.

Blutbedingte Ursachen

Bei Ursachen, die im Zusammenhang mit Blut stehen (z. B. thrombotische Störungen) werden Blutuntersuchungen durchgeführt, um deren Beitrag und den anderer Ursachen zu bewerten. Zu den Routinetests gehören in der Regel ein Gesamtblutbild (CBC), ein Stoffwechselpanel, Prothrombinzeit/Partialthromboplastinzeit (PT/PTT), Nüchternblutzucker, Hämoglobin A1C und ein Lipidprofil.

Je nachdem, welche Ursachen unter klinischem Verdacht stehen, können zusätzliche Tests Messung von Homocystein, die Prüfung auf thrombotische Erkrankungen (Antiphospholipid-Antikörper, Protein S, Protein C, Antithrombin III, Faktor V Leiden), Prüfung auf rheumatische Erkrankungen (z. B. antinukleäre Antikörper, Rheumafaktor Erythrozytensedimentationsrate), Syphilis-Serologie-Tests, Hämoglobin-Elektrophorese sowie ein Drogen-Urin-Screen für Kokain und Amphetamine beinhalten.

Diagnosehinweis

  1. 1. Sanna T , Diener H-C., Passman RS, et al: Cryptogenic stroke and underlying atrial fibrillation. N Engl J Med 370:2478–2486, 2014. doi: 10.1056/NEJMoa1313600

Behandlung von ischämischem Schlaganfall

  • Allgemeine Schlaganfallbehandlungen

  • Akute antihypertensive Therapie nur unter bestimmten Bedingungen

  • Bei der Akutbehandlung manchmal Reperfusion mit rekombinantem Gewebeplasminogenaktivator oder Tenecteplase und/oder mechanische Thrombektomie.

  • Manchmal Karotisendarteriektomie oder Stents

  • Thrombozytenaggregationshemmung

  • Manchmal Antikoagulation

  • Langfristige Kontrolle der Risikofaktoren

  • Bei Langzeitbehandlung: Rehabilitation

Akute Schlaganfallbehandlung

Richtlinien zur frühzeitigen Behandlung von Schlaganfällen sind bei der American Heart Association and American Stroke Association. erhältlich. Patienten mit akuten ischämischen Schlaganfällen werden in der Regel hospitalisiert.

Während der Erstbewertung und Stabilisierung können unterstützende Maßnahmen wie die folgenden erforderlich sein.

  • Unterstützung der Atemwege und Beatmungshilfe, wenn das verminderte Bewusstsein oder die bulbäre Dysfunktion die Atemwege gefährdet

  • Zusätzlicher Sauerstoff nur bei Bedarf zur Aufrechterhaltung einer Sauerstoffsättigung > 94%

  • Korrektur der Hyperthermie (Temperatur > 38° C) durch Einsatz eines fiebersenkenden Medikaments und Identifizierung und Behandlung der Ursache der Unterkühlung

  • Behandlung von Hypoglykämie (Blutzucker < 60 mg/dl)

  • Behandlung von Hyperglykämie zur Senkung des Blutzuckers auf 140 bis 180 mg/dl unter engmaschiger Überwachung auf Hypoglykämie

Die Perfusion eines ischämischen Hirnareals kann einen hohen Blutdruck erfordern, weil die Autoregulation nicht mehr funktioniert; der Blutdruck sollte also, mit Ausnahme der folgenden Fälle, nicht verringert werden:

  • Bei vorliegenden Anzeichen für andere Endorganschäden (z. B. Aortendissektion, akuter Myokardinfarkt, Lungenödem, hypertensive Enzephalopathie, retinale Blutungen, akutes Nierenversagen).

  • Der Einsatz von rekombinantem Gewebeplasminogenaktivator (tPA) und/oder mechanischer Thrombektomie ist wahrscheinlich.

Wenn der Blutdruck bei zwei aufeinander folgenden Messungen im Abstand von 15 Minuten ≥ 220 mmHg systolisch oder ≥ 120 mmHg diastolisch ist, ist eine Senkung des Blutdrucks um 15% innerhalb von 24 Stunden nach Beginn des Schlaganfalls sinnvoll.

Bei Patienten, die für eine akute Reperfusionstherapie in Frage kommen, wird der Blutdruck vor Beginn der intravenösen Thrombolyse mit einer der folgenden Maßnahmen auf < 180/105 mmHg gesenkt:

  • Labetalol 10–20 mg i.v. Bolus über 1 bis 2 Minuten (kann einmal wiederholt werden)

  • Nicardipin 5 mg/Stunde als intravenöse Infusion zu Beginn (die Dosis wird alle 5 bis 15 Minuten um 2,5 mg/Stunde bis zu einem Maximum von 15 mg/Stunde erhöht)

  • Clevidipin 1–2 mg/Stunde i.v. Infusion (titrieren durch Verdoppeln der Dosis alle 2 bis 5 Minuten, bis der gewünschte Blutdruck erreicht ist, bis zu einem Maximum von 21 mg/Stunde)

Patienten mit vermuteten Thromben oder Embolien können mit einer oder mehreren der folgenden Methoden behandelt werden:

  • tPA, Thrombolyse-in-situ und/oder mechanische Thrombektomie

  • Thrombozytenfunktionshemmende Medikamente

  • Antikoagulanzien

Die meisten Patienten sind keine Kandidaten für eine thrombolytische Therapie; sie sollten bei Aufnahme in die Klinik einen Thrombozytenaggregationshemmer (normalerweise Aspirin 325 mg p.o.) erhalten. (Anmerkung für den deutschsprachigen Raum: in der Regel wird Aspirin 100mg pro Tag p.o. verabreicht). Zu den Kontraindikationen der Thrombozytenaggregationshemmer gehören: durch Aspirin-induziertes oder nichtsteroidale Antiphlogistika induziertes Asthma oder Urtikaria, eine andere Überempfindlichkeit gegen Aspirin oder Tartrazin, eine akute gastrointestinale Blutung, G6PD-Mangel und die Einnahme von Warfarin.

Rekombinantes tPA kann bei Patienten mit akutem ischämischem Schlaganfall bis zu 3 Stunden nach Auftreten der Symptome eingesetzt werden, wenn keine Kontraindikationen für tPA vorliegen (siehe Tabelle Ausschlusskriterien für den Einsatz von Gewebeplasminogenaktivator bei Schlaganfall). Einige Experten empfehlen die Verwendung von tPA bis zu 4,5 h nach Symptombeginn (siehe Expansion of the Time Window for Treatment of Acute Ischemic Stroke With Intravenous Tissue Plasminogen Activator); jedoch gelten zwischen 3 h und 4,5 h nach Symptombeginn, zusätzlich die Ausschlusskriterien (siehe Tabelle Ausschlusskriterien für die Anwendung von Tissue-Plasminogen-Aktivator bei Schlaganfall). Daher muss die Therapie mit einem gewebespezifischen Plasminogenaktivator innerhalb von 4,5 h nach Symptombeginn begonnen werden–eine Anforderung, die schwer zu erfüllen ist. Da die genaue Zeit bei Symptombeginn unbekannt sein kann, müssen Ärzte ab dem Zeitpunkt rechnen, zu dem der Patient zuletzt wohlauf gesehen wurde.

Obwohl tPA leichtere und auch tödliche Hirnblutungen hervorrufen kann, haben Patienten, die mit tPA streng nach Protokoll behandelt werden, eine höhere Wahrscheinlichkeit einer funktionellen neurologischen Erholung. Nur in der Insultbehandlung erfahrene Ärzte sollten tPA bei akutem Schlaganfall einsetzen; unerfahrene Ärzte missachten häufiger die Protokolle, was zu mehr Hirnblutungen und Todesfällen führt. Wenn ein gewebespezifischer Plasminogenaktivator (tPA) falsch verabreicht wird (z. B. wenn es trotz Vorliegens von Ausschlusskriterien verabreicht wird), ist das Risiko einer Blutung durch tPA vor allem für Patienten, die einen Schlaganfall hatten, hoch; das Risiko einer Hirnblutung ist sehr gering (etwa 0,5%; 95% Konfidenzintervall von 0 bis 2,0% [1]) für Patienten, die einen Schlaganfall-Imitator hatten (z. B. hemiplegische Migräne, bestimmte ZNS-Infektionen, postiktale Lähmung, funktionelle neurologische Erkrankungen). Wenn erfahrene Ärzte vor Ort nicht verfügbar sind, kann - wenn möglich - die Rücksprache mit einem Experten von einer Stroke Unit (einschließlich Video-Beurteilung des Patienten [Telemedizin]), den Ärztenhelfen, tPA zu verwenden. Da die meisten schlechten Ergebnissen dadurch entstehen, dass sich nicht strikt an das Protokoll gehalten wird, sollte eine Checkliste der Ein- und Ausschlusskriterien verwendet werden.

Vor der Behandlung mit tPA ist Folgendes erforderlich:

  • Hirnblutungen müssen durch CT ausgeschlossen werden.

  • Der systolische Blutdruck muss < 185 mmHg sein

  • Der diastolische Blutdruck muss < 105 mmHg betragen

  • Der Blutzucker muss > 50 mg/dl betragen

Antihypertensiva (IV Nicardipin, IV Labetalol, IV Clevidipin) können wie oben angegeben verabreicht werden. Der Blutdruck sollte für mindestens 24 Stunden nach der Behandlung mit tPA < 180/105 mmHg gehalten werden.

Die tPA-Dosis beträgt 0,9 mg/kg IV (maximale Dosis 90 mg); 10% werden über einen schnellen IV-Bolus über 1 Minut verabreicht, der Rest über eine gleichmäßige Infusion über 60 Minuten. Die Vitalfunktionen werden nach der Behandlung 24 Stunden lang engmaschig überwacht. Alle Blutungskomplikationen werden aggressiv angegangen. Antikoagulanzien und Thrombozytenaggregationshemmer werden nicht innerhalb der ersten 24 h nach der tPA-Behandlung eingesetzt.

Jüngste Erkenntnisse sprechen für Tenecteplase als sinnvolle Alternative zu Alteplase (2). Tenecteplase unterscheidet sich von Alteplase durch drei Aminosäuren in seiner Glykoproteinstruktur. Obwohl es keinen signifikanten Unterschied bei den Ergebnissen oder unerwünschten Ereignissen gibt, sind die Reperfusionsraten bei den mit Tenecteplase behandelten Patienten höher. Im Vergleich zu Alteplase hat Tenecteplase eine stärkere Fibrinbindung, eine höhere Umwandlung von Plasminogen in Plasmin, eine größere Resistenz gegenüber Plasminogenaktivator-Inhibitor und eine einfachere Verabreichung als einmaliger Bolus.

Tabelle
Tabelle

Retrospektive Analysen haben dazu geführt, dass die Liste der absoluten Kontraindikationen für den Einsatz von Alteplase im therapeutischen Fenster nach dem Auftreten von Schlaganfallsymptomen enger geworden ist (3). Bei Patienten mit einer der folgenden Erkrankungen ist das Blutungsrisiko bei Alteplase (tPA) jedoch erhöht und sollte gegen den zu erwartenden Nutzen abgewogen werden (4):

  • Kürzlich durchgeführte größere Operationen oder Eingriffe (z. B. Koronararterien-Bypass-Transplantation, Entbindung, Organbiopsie, vorherige Punktion nicht komprimierbarer Gefäße)

  • Zerebrovaskuläre Krankheit

  • Kürzlich aufgetretene intrakranielle Blutungen

  • Kürzliche gastrointestinale oder urogenitale Blutungen

  • Kürzlich erlittenes Trauma

  • Hypertonie (systolischer Bluddruck > 175 mmHg oder diastolischer Blutdruck > 110 mmHg)

  • Akute Perikarditis

  • Subakute bakterielle Endokarditis

  • Hämostatische Defekte, einschließlich solcher, die auf eine schwere Leber- oder Nierenerkrankung zurückzuführen sind

  • Signifikante Leberfunktionsstörungen

  • Schwangerschaft

  • Hämorrhagische diabetische Retinopathie oder andere hämorrhagische Erkrankungen des Auges

  • Septische Thrombophlebitis oder verschlossene arteriovenöse Kanüle an einer infizierten Stelle

  • Fortgeschrittenes Alter (> 77 Jahre)

  • Derzeitige Verwendung von Antikoagulanzien (z. B. Warfarin)

Die Thrombolyse-in-situ (angiographisch gesteuerte intraarterielle Thrombolyse) eines Thrombus oder Embolus ist fast veraltet, es sei denn, ein Gerinnsel liegt zu weit entfernt, um mit Kathetern erreicht zu werden (z. B. distale A2 [A. cerebri anterior distal der A. communicans anterior]).

Die mechanische Thrombektomie (angiografisch gesteuerte intraarterielle Entfernung eines Thrombus oder Embolus durch ein Stent-Retriever-Gerät) ist in großen Schlaganfallzentren Standard bei Patienten mit kürzlich aufgetretenem Verschluss eines großen Gefäßes im vorderen Kreislauf.

Die mechanische Thrombektomie war bisher auf die Anwendung innerhalb von 6 Stunden nach Auftreten der Symptome bei Patienten mit einem Verschluss der A. carotis interna oder der A. cerebri media beschränkt. In spezialisierten Schlaganfallzentren können jedoch klinische und/oder bildgebende Befunde, die auf eine erhebliche Menge an infarktgefährdetem Gewebe (Penumbra) hinweisen, eine spätere Behandlung rechtfertigen. Zum Beispiel kann das Volumen des infarzierten Gewebes und des gefährdeten unterperfundierten Gewebes (ischämische Penumbra) mittels Perfusions-CT oder Perfusions-MRT ermittelt werden. Eine erhebliche Diskrepanz zwischen dem Infarkt- und dem Risikovolumen, das durch diffusions- oder perfusionsgewichtete Bildgebung identifiziert wurde, deutet darauf hin, dass eine beträchtliche Penumbra noch gerettet werden kann. In der DEFUSE-3-Studie zeigte sich ein Nutzen bis zu 16 Stunden nach Symptombeginn bei Patienten mit einem kleinen Infarkt und einer größeren Penumbra; beide Ergebnisse beruhen auf bildgebenden Kriterien (5). In der DAWN-Studie zeigte sich ein Nutzen bis zu 24 Stunden nach Symptombeginn bei Patienten mit einer großen Diskrepanz zwischen dem Infarktvolumen auf Basis der Bildgebung und dem Schweregrad des klinischen Defizits auf Basis klinischer Kriterien (6); dieser Befund deutet darauf hin, dass eine rettungsfähige Penumbra vorhanden ist.

In letzter Zeit mehren sich die Hinweise auf die Wirksamkeit der mechanischen Thrombektomie bei Patienten mit Schlaganfällen im hinteren Kreislauf (7).

In der Vergangenheit beschränkten klinische Studien die mechanische Thrombektomie auf Patienten mit einem NIHSS-Score > 6; neuere Erkenntnisse sprechen jedoch für den Nutzen der mechanischen Thrombektomie bei Patienten mit einem NIHSS < 6 (8).

Die aktuelle Evidenz unterstützt den Einsatz der mechanischen Thrombektomie mit IV-Thrombolyse (Überbrückungstherapie) bei allen Patienten, die ansonsten für eine Thrombolyse in Frage kommen (9). Es sollte bei Patienten mit akutem ischämischem Schlaganfall nicht als Alternative zu intravenösem rekombinantem tPA verwendet werden, wenn sie für tPA in Frage kommen. Die Vorrichtungen zum Entfernen von Thromben werden verbessert, und die jüngsten Modelle stellen die Perfusion bei 90 bis 100% der Patienten wieder her.

Orale Thrombozytenaggregationshemmer werden in der Akutbehandlung von Schlaganfällen eingesetzt, um das Risiko eines erneuten Schlaganfalls mit Behinderungen zu verringern. Folgendes kann durchgeführt werden:

  • Aspirin 81 bis 325 mg innerhalb von 48 Stunden nach Beginn des Schlaganfalls

  • Doppelte Thrombozytenaggregationshemmer-Therapie mit Aspirin plus Clopidogrel: Aspirin plus Clopidogrel (z. B. 300 bis 600 mg oral einmal, dann 75 mg oral einmal täglich) innerhalb von 24 Stunden nach Beginn des Schlaganfalls bei Patienten mit einem leichten Schlaganfall oder einem hohen Risiko für eine transitorische ischämische Attacke (TIA; ABCD2-Score ≥ 4)

  • Zweifache Thrombozytenaggregationshemmer-Therapie mit Aspirin 81 mg und Ticagrelor mit einer Anfangsdosis von 180 mg an Tag 1, gefolgt von 90 mg 2-mal täglich (möglicherweise vorteilhaft für Patienten mit Clopidogrel-Resistenz CYP2C19 Funktionsverlust-Allel, insbesondere wenn ein extrakranieller oder intrakranieller Stent verwendet wird)

Aspirin, das innerhalb von 48 Stunden verabreicht wird, reduziert das Risiko eines frühen wiederkehrenden Schlaganfalls und des Todes (10).

Wenn Patienten eine TIA oder leichten Schlaganfall haben, scheint Clopidogrel plus ASS innerhalb von 24 Stunden nach Symptombeginn gegeben über 21 Tage fortgeführt wird, effektiver zu sein als Aspirin allein zur Reduzierung des Schlaganfallrisikos in den ersten 90 Tagen und erhöht nicht Blutungsrisiko (11). Eine längere (z. B. > 3 Monate) Anwendung von Clopidogrel plus Aspirin ist zu vermeiden, weil sie keinen Vorteil gegenüber der alleinigen Gabe von Aspirin in der langfristigen Sekundärprävention von Schlaganfällen hat und zu mehr Blutungskomplikationen führt (Ausnahmen: Patienten mit zusätzlicher Indikation wie akutes Koronarsyndrom, koronarer Stent). Eine duale Thrombozytenaggregationshemmer-Therapie mit Aspirin und Ticagrelor kann bei Patienten mit Clopidogrel-Resistenz aufgrund des Vorhandenseins des CYP2C19-Funktionsverlustallels eingesetzt werden.

Die Antikoagulation mit Heparin oder niedermolekularem Heparin wird bei Schlaganfall durch zerebrale Venenthrombose und manchmal bei Schlaganfall durch Zervikalarteriendissektion eingesetzt. Eine Antikoagulation kann auch bei Patienten mit hohem Risiko für rezidivierende kardiale Embolien (z. B. bei Patienten mit kardialen Thromben oder mechanischen Klappen) eingesetzt werden.

In der Regel wird eine Antikoagulation im Akutstadium vermieden, da das Risiko einer Blutung (hämorrhagische Transformation) insbesondere bei großen Infarkten höher ist.

Langfristige Schlaganfallbehandlung

Die unterstützende Behandlung wird während der Rekonvaleszenz fortgesetzt.

  • Die Kontrolle von Hyperglykämie und Fieber kann die Hirnschädigung nach einem Insult begrenzen und zu einem besseren funktionellen Ergebnis führen.

  • Ein Screening auf Dysphagie, bevor Patienten mit dem Essen, Trinken oder der Einnahme von oralen Medikamenten beginnen, kann helfen, Patienten mit erhöhtem Aspirationsrisiko zu identifizieren; es sollte von einem Logopäden oder einer anderen geschulten medizinischen Fachkraft durchgeführt werden.

  • Die enterale Ernährung sollte, falls erforderlich, innerhalb von 7 Tagen nach der Aufnahme nach einem akuten Schlaganfall begonnen werden.

  • Die intermittierende pneumatische Kompression (IPK) zur Prophylaxe der tiefen Venenthrombose wird für immobile Schlaganfallpatienten ohne Kontraindikationen empfohlen.

  • Niedermolekulares Heparin kann bei immobilen Schlaganfallpatienten ohne Kontraindikationen gegeben werden.

  • Maßnahmen zur Vorbeugung von Druckulzera werden frühzeitig begonnen.

  • Physikalische Therapie zur Maximierung der Funktion und zur Verhinderung von Sarkopenie und Gelenkkontrakturen

Langfristiges Management konzentriert sich auch auf die Prävention von wiederkehrenden Schlaganfällen (Sekundärprävention). Modifizierbaren Risikofaktoren (zum Beispiel Bluthochdruck, Diabetes, Rauchen, Alkoholismus, Fettstoffwechselstörungen, Übergewicht) werden behandelt. Die Reduzierung des systolischen Blutdrucks kann effektiver sein, wenn das Ziel des Blutdrucks < 120 mmHg ist und nicht das typische Niveau (< 140 mmHg). Der Zeitplan für die Senkung des Blutdrucks auf diese Werte sollte auf der Grundlage des Gesundheitszustands und des Risikos eines erneuten Schlaganfalls oder anderer kardiovaskulärer Ereignisse des jeweiligen Patienten festgelegt werden.

Depression tritt oft nach einem Schlaganfall auf und kann die Genesung beeinträchtigen. Die Behandlung von Depressionen kann zur Genesung beitragen. Ärzte sollten ihre Patienten fragen, ob sie sich traurig fühlen oder das Interesse oder die Freude an ehemals angenehmen Aktivitäten verloren haben. Die Ärzte sollten auch die Familienmitglieder fragen, ob sie bei dem Patienten Anzeichen einer Depression festgestellt haben.

Eine Endarteriektomie der extrakranialen Karotiden oder Stents ist angezeigt bei Patienten mit kürzlich stattgehabtem submaximalem Insult ohne bleibende Behinderung, der einer ipsilateralen Karotisstenose von 70–99% oder einem ulzerierten Plaque zugeschrieben wird, sofern die Lebenserwartung noch mindestens 5 Jahre beträgt. Bei anderen symptomatischen Patienten (z. B. Patienten mit TIA) ist die Endarteriektomie oder Stents in Kombination mit einer thrombozytenaggregationshemmenden Therapie bei Karotisstenosen von 60% angezeigt, mit oder ohne Ulzeration und sofern die Restlebenserwartung mindestens 5 Jahre beträgt. Diese Operationen sollten von Chirurgen und Interventionisten durchgeführt werden, die bei diesen Operationen eine erfolgreiche Bilanz aufweisen (d. h. eine Morbiditäts- und Mortalitätsrate von < 3%). Bei asymptomatischer Karotisstenose sind eine Endarterektomie oder Stents nur dann von Vorteil, wenn sie von sehr erfahrenen Chirurgen oder Interventionisten durchgeführt werden, wobei dieser Vorteil wahrscheinlich gering ist. Bei vielen Patienten ist ein Stenting der Karotis mit Embolie-Protektion (eine Art Filter) einer Endareterektomie vorzuziehen, besonders wenn die Patienten ≥ 70 Jahre sind und eine hohes Operationsrisiko besitzen. Karotisendarteriektomie und Stenting sind ebenso wirksam zur Schlaganfallprävention. Im periprozeduralen Zeitraum, ist ein Myokardinfarkt wahrscheinlicher nach einer Endarteriektomie und wiederkehrende Schlaganfälle treten eher nach Stentimplantation auf.

Extrakranielle Wirbelangioplastie und/oder Stent-Implantation können bei bestimmten Patienten mit wiederkehrenden Symptome von vertebrobasilärer Ischämie trotz optimaler medizinischer Behandlung und einer Wirbelarterienobstruktion von 50 bis 99% verwendet werden.

Intrakranielle Hauptarterienangioplastie und/oder Stenting kann bei Patienten wirksam sein, bei denen eine optimale medikamentöse Behandlung unwirksam war. Die wichtigsten Faktoren, die es zu berücksichtigen gilt, sind die Merkmale des Patienten (z. B. Kontrolle der Risikofaktoren, Einhaltung des Medikamentenschemas), der Zeitpunkt des Eingriffs (> 3 Wochen nach dem Schlaganfall) und die Erfahrung des Operateurs. Jüngste Erkenntnisse deuten darauf hin, dass die Rate der periprozeduralen unerwünschten Ereignisse nach perkutaner transluminaler Angioplastie und Stenting akzeptabel niedrig sein kann, wenn folgende Faktoren berücksichtigt werden (12).

Der endovaskuläre Verschluss eines offenen Foramen ovale und die Anwendung einer Therapie mit Thrombozytenaggregationshemmern wird für Patienten < 60 Jahre mit einem embolischen Schlaganfall unklarer Ursache trotz umfangreicher Untersuchungen empfohlen (13, 14).

Um weitere nichtkardioembolische (atherothrombotische, lakunäre, kryptogene) Schlaganfälle zu verhindern (sekundäre Prävention), wird eine Therapie mit oralen Thrombozytenaggregationshemmern durchgeführt (Sekundärprophylaxe). Folgendes kann durchgeführt werden:

  • Aspirin 81 oder 325 mg einmal/Tag

  • Clopidogrel 75 mg einmal täglich

  • Ticagrelor 90 mg 2-mal täglich

  • Ein Kombinationspräparat aus Aspirin 25 mg und retardiertem Dipyridamol 200 mg 2-mal täglich.

Bei Patienten, die auf Marcumar eingestellt sind, erhöht die zusätzliche thrombozytenaggregationshemmende Medikation das Blutungsrisiko, und diese sollte deswegen normalerweise vermieden werden; jedoch wird Aspirin gelegentlich bei bestimmten Hochrisikopatienten gleichzeitig mit Warfarin eingesetzt. Clopidogrel ist für Patienten, die allergisch auf Aspirin sind, angezeigt. Wenn ein ischämischer Schlaganfall erneut auftritt, oder wenn ein Koronararterienstent blockiert wird, während die Patienten Clopidogrel einnehmen, sollten Ärzte einen beeinträchtigten Stoffwechsel von Clopidogrel (unwirksame Umwandlung von Clopidogrel in seine aktive Form, weil die Aktivität von Cytochrom P-450 2C19 [CYP2C19]) reduziert ist; ein Test, um CYP2C19-Status (z. B. Gentests für CYP450-Polymorphismen) zu bestimmen, wird empfohlen. Wenn eine Stoffwechselstörung bestätigt wird, ist Aspirin oder eine Kombination aus Aspirin und Ticagrelor eine sinnvolle Alternative.

Clopidogrel plusAspirin wird, wenn es während der Akutbehandlung eingesetzt wird, nur für kurze Zeit (z. B. < 3 Wochen) verabreicht, da es in der langfristigen sekundären Schlaganfallprävention keinen Vorteil gegenüber Aspirin allein hat und zu mehr Blutungskomplikationen führt. Clopidogrel plus Aspirin vor und für ≥ 30 Tage nach Stentimplantation, in der Regel für ≤ 6 Monate; wenn Patienten Clopidogrel nicht vertragen oder aufgrund des Verlusts des CYP2C19-Allels eine Clopidogrel-Resistenz aufweisen, kann Ticagrelor 90 mg zweimal täglich ersetzt werden.

Orale Antikoagulanzien sind für die Sekundärprävention von kardioembolischen Schlaganfällen (wie auch der Primärprävention) angezeigt. Eine angepasste Dosis Warfarin (ein Vitamin K-Antagonist) mit einem auf 2 bis 3 gezielten International Normalized Ratio (INR) wird bei bestimmten Patienten mit nonvalvulärem oder valvulärem Vorhofflimmern eingesetzt. Ein INR-Ziel von 2,5 bis 3,5 wird bei Patienten verwendet, wenn diese eine mechanische Herzklappenprothese haben. Wirksame Alternativen zu Warfarin bei Patienten mit nonvalvulärem Vorhofflimmern umfassen die folgenden neuen Antikoagulanzien:

  • Dabigatran (ein direkter Thrombininhibitor) 150 mg 2-mal täglich bei Patienten ohne schwere Niereninsuffizienz (Kreatinin-Clearance < 15 ml/min) und/oder Leberversagen (erhöhter INR)

  • Apixaban (ein direkter Faktor-Xa-Inhibitor) 5 mg 2-mal täglich; 2,5 mg bei Patienten mit ≥ 2 der folgenden Merkmale: Alter > 80 Jahre, Gewicht < 60 kg, Serum-Kreatinin ≥ 1,5 mg/dl

  • Rivaroxaban (ein direkter Faktor-Xa-Inhibitor) 20 mg 1-mal/Tag für Patienten ohne schwere Niereninsuffizienz (Kreatinin-Clearance < 15 ml/min)

Der Hauptvorteil dieser neuen Antikoagulantien ist die Benutzerfreundlichkeit (z. B. keine Notwendigkeit, Antikoagulation-Spiegel mit einem Bluttest nach der Anfangsdosis zu prüfen oder einen parenteralen Gerinnungshemmer wie unfraktioniertes Heparin durch Dauerinfusion zu geben, wenn von parenteralen auf orale Antikoagulantien umgestellt wird). Ihr Hauptnachteil sind die Kosten. Falls eine hämorrhagische Komplikation auftritt, ist das Gegenmittel für Dabigatran Idarucizumab (13) und das Gegenmittel für Apixaban oder Rivaroxaban Andexanet alfa. Die Wirksamkeit und Sicherheit der Kombination von einem dieser neuen Antikoagulantien mit einem Thrombozytenaggregationshemmer wurde nicht untersucht.

Statine werden verwendet, um wiederkehrende Schläge zu verhindern; Fettwerte müssen durch erhebliche Mengen verringert werden. Atorvastatin oder Rosuvastatin 40 mg 80 mg 1-mal/Tag wird bei Patienten mit Anzeichen eines atherosklerotischen Schlaganfalls und LDL (Low-Density-Lipoprotein-Cholesterin) ≥ 100 mg/dl empfohlen. Eine vernünftiges LDL-Cholesterin-Ziel ist eine 50% Ermäßigung oder ein Spiegel von < 70 mg/dl. Statine (z. B. Simvastatin, Pravastatin) können ebenfalls verwendet werden.

Literatur zur Behandlung

  1. 1. Tsivgoulis G, Zand R, Katsanos AH, et al: Safety of intravenous thrombolysis in stroke mimics: prospective 5-year study and comprehensive meta-analysis. Stroke 46 (5):1281–1287, 2015. doi: 10.1161/STROKEAHA.115.009012

  2. 2. Menon BK, Singh N, Sylaja, PN: Tenecteplase use in patients with acute ischaemic stroke. Lancet 25;401(10377):618–619, 2023. doi: 10.1016/S0140-6736(22)02633-2 Epub 2023 Feb 9.

  3. 3. Frank B, Grotta JC,.Alexandrov AV, et al: Thrombolysis in stroke despite contraindications or warnings? Stroke 44 (3):727–733, 2013. doi: 10.1161/STROKEAHA.112.674622 Epub 2013 Feb 6.

  4. 4. Highlights of prescribing information for alteplase. Accessed 6/17/23.

  5. 5. Albers GW, Marks MP, Kemp S, et al: Thrombectomy for stroke at 6 to 16 hours with selection by perfusion imaging. N Engl J Med 378 (8):708–718, 2018. doi: 10.1056/NEJMoa1713973 Epub 2018 Jan 24.

  6. 6. Nogueira RG, Jadhav AP, Haussen DC, et al: Thrombectomy 6 to 24 hours after stroke with a mismatch between deficit and infarct. N Engl J Med 378 (1):11–21, 2018. doi: 10.1056/NEJMoa1706442 Epub 2017 Nov 11.

  7. 7. Jovin TG, Li C, Wu L, et al: Trial of thrombectomy 6 to 24 hours after stroke due to basilar-artery occlusion. N Engl J Med 2022; 387:1373-1384, 2022. doi: 10.1056/NEJMoa2207576

  8. 8. Abecassis IJ, Almallouhi E, Chalhoub R, et al: Outcomes after endovascular mechanical thrombectomy for low compared to high National Institutes of Health Stroke Scale (NIHSS): A multicenter study. Clin Neurol Neurosurg 225:107592, 2023. doi: 10.1016/j.clineuro.2023.107592 Epub 2023 Jan 13.

  9. 9. Masoud HE, de Havenon A, Castonguay AC, et al: 2022 Brief practice update on intravenous thrombolysis before thrombectomy in patients with large vessel occlusion acute ischemic stroke: A statement from Society of Vascular and Interventional Neurology Guidelines and Practice Standards (GAPS) Committee. Stroke. Vasc Interv Neurol 2 (4) 2022. doi: 10.1161/SVIN.121.000276

  10. 10. Zheng-Ming C, CAST (Chinese Acute Stroke Trial) Collaborative Group: CAST: Randomised placebo-controlled trial of early aspirin use in 20,000 patients with acute ischaemic stroke. Lancet 349 (9065):1641–1649, 1997.

  11. 11. Hao Q, Tampi M, O'Donnell M, et al: Clopidogrel plus aspirin versus aspirin alone for acute minor ischaemic stroke or high risk transient ischaemic attack: Systematic review and meta-analysis. BMJ 363:k5108, 2018. doi: 10.1136/bmj.k5108

  12. 12. Alexander MJ, Zauner A, Chaloupka JC, et al: WEAVE Trial: Final results in 152 on-label patients. Stroke 50 (4):889–894, 2019. doi: 10.1161/STROKEAHA.118.023996

  13. 13. Powers WJ, Rabinstein AA, Ackerson T, et al:Guidelines for the early management of patients with acute ischemic stroke: 2019 update to the 2018 guidelines for the early management of acute ischemic stroke: A guideline for healthcare professionals from the American Heart Association/American Stroke Association. Stroke 50 (12):3331–3332, 2019. doi: 10.1161/STROKEAHA.119.027708 Epub 2019 Oct 30.

  14. 14. Kavinsky CJ, Szerlip M, Goldsweig AM, et al: SCAI guidelines for the management of patent foramen ovale. Standards and guidelines 1 (4), 100039, 2022. doi: 10.1016/j.jscai.2022.100039

Prognose für ischämischen Schlaganfall

Schweregrad und Fortschreiten eines Insults werden häufig unter Verwendung standardisierter Skalen festgelegt, wie z. B. die National Institutes of Health (NIH) Stroke Skala (siehe Tabelle National Institutes of Health Stroke Skala); die Punktzahl auf dieser Skala korreliert mit der Ausdehnung der funktionellen Behinderung und der Prognose. Während der ersten Tage kann es schwierig sein, Verlauf und Ausgang vorherzusagen. Höheres Lebensalter, gestörtes Bewusstsein, Aphasie und Hirnstammzeichen sprechen für eine schlechte Prognose. Frühe Besserung und geringeres Lebensalter lassen eine günstige Prognose erwarten.

Klinischer Rechner

Etwa 50% der Patienten mit mäßiger oder schwerer Hemiparese und die meisten mit leichteren Defiziten haben ein klares Sensorium und können irgendwann ihre Grundversorgung alleine übernehmen und adäquat gehen. Eine komplette Remission der neurologischen Behinderung erfolgt bei etwa 10% der Patienten. Der Gebrauch der betroffenen Extremität ist üblicherweise limitiert, und viele Defizite, die länger als 12 Monate bestehen, sind bleibend. Patienten, die einen Schlaganfall hatten, haben ein hohes Risiko für spätere Schlaganfälle und diese neigen dazu, die neurologische Funktion zu verschlechtern. Ungefähr 25% der Patienten, die sich von einem ersten Schlaganfall erholen, haben einen weiteren Schlaganfall innerhalb von 5 Jahren.

Nach einem ischämischen Schlaganfall sterben etwa 20% der Patienten im Krankenhaus; die Mortalitätsrate nimmt mit dem Alter zu.

Wichtige Punkte

  • Unterscheiden Sie ischämischen Schlaganfall von Mimetika (z. B. postiktale Lähmung, hemiplegische Migräne, ZNS-Infektionen, funktionelle neurologische Störungen).

  • Obwohl die klinische Differenzierung ungenau ist, helfen einige Hinweise, zwischen gängigen Typen von Schlaganfall zu unterscheiden, darunter Symptomprogression (maximale Defizite innerhalb von Minuten nach Beginn mit embolischen vs manchmal schrittweisem oder langsamem Beginn mit thrombotischen), Zeitpunkt des Auftretens (Tag mit embolischen vs Nacht mit thrombotischen) und die Art der Defizite (z. B. spezifische Syndrome und Abwesenheit von kortikalen Zeichen mit lakunären Infarkten).

  • Testen Sie die Patienten auf kardiale Ursachen (einschließlich Vorhofflimmern) und arterielle Stenose (mit vaskulärer Bildgebung) und führen Sie je nach Bedarf Bluttests (z. B. auf thrombotische, rheumatische und andere Erkrankungen) durch.

  • In der Regel sollte der Blutdruck nicht aggressiv kurz nach akutem ischämischen Schlaganfall gesenkt werden.

  • Um die Eignung für tPA festzustellen, verwenden Sie eine Checkliste und, wenn verfügbar, ziehen Sie einen Experten, entweder persönlich oder via Telemedizin zu Rate.

  • Um die Rettung des Penumbralgewebes zu optimieren, sollte die indizierte thrombolytische Therapie oder mechanische Thrombektomie so schnell wie möglich begonnen werden ("time is brain").

  • Um zukünftige ischämische Schlaganfälle zu verhindern, kontrollieren sie modifizierbare Risikofaktoren und behandeln sie gegebenenfalls mit gerinnungshemmender Therapie, Statin-Therapie und/oder Endarteriektomie oder Stenting.

quizzes_lightbulb_red
Test your KnowledgeTake a Quiz!
DE_MSD_Mobile_Pro_326iOS ANDROID
DE_MSD_Mobile_Pro_326iOS ANDROID
DE_MSD_Mobile_QR_Pro_326iOS ANDROID