Viêm cầu thận bội nhiễm xảy ra sau khi bị nhiễm trùng, thường là do một chủng vi khuẩn liên cầu tan máu beta nhóm A. Chẩn đoán được đề xuất bởi bệnh sử và phân tích nước tiểu và được xác nhận bằng cách tìm thấy mức bổ thể thấp và đôi khi bằng xét nghiệm kháng thể. Điều trị là hỗ trợ. Tiên lượng rất tốt.
Căn nguyên của bệnh viêm cầu thận sau nhiễm trùng
Viêm cầu thận sau nhiễm trùng (PIGN), một hội chứng viêm thận, là nguyên nhân phổ biến nhất gây viêm cầu thận cấp ở trẻ em từ 3 tuổi đến 15 tuổi. Bệnh phổ biến hơn ở các khu vực đông dân cư và có hoàn cảnh khó khăn về kinh tế (1).
Hầu hết các trường hợp là do các chủng liên cầu khuẩn beta tan máu nhóm A gây bệnh thận, đáng chú ý nhất là loại 12 (gây viêm họng) và loại 49 (gây bệnh chốc lở). Thời gian ủ bệnh điển hình từ 6 đến 21 ngày từ khi nhiễm khuẩn đến khi khởi phát viêm cầu thận, nhưng thời gian ủ bệnh có thể kéo dài đến 6 tuần. Thời gian này dài hơn khoảng thời gian tiềm ẩn giữa bệnh thận globulin miễn dịch A và tình trạng nhiễm trùng trước đó.
PIGN liên quan đến nhiễm trùng do tụ cầu đang gia tăng tỷ lệ mắc bệnh và ảnh hưởng đến quần thể người cao tuổi (1).
Các tác nhân gây bệnh ít phổ biến hơn là các loại vi khuẩn không phải liên cầu khuẩn, vi rút, ký sinh trùng, rickettsia và nấm (xem bảng Nguyên nhân gây viêm cầu thận). Viêm nội tâm mạc nhiễm khuẩn và nhiễm trùng dẫn lưu não thất với buồng tim đóng vai trò quan trọng trong cơ chế gây bệnh viêm cầu thận sau nhiễm trùng (PIGN); dẫn lưu não thất ổ bụng thường ít nguy cơ nhiễm trùng hơn.
Cơ chế vẫn chưa được biết rõ, nhưng người ta cho rằng kháng nguyên vi khuẩn liên kết với màng đáy cầu thận và chủ yếu kích hoạt con đường bổ thể thay thế trực tiếp và thông qua tương tác với kháng thể lưu thông, gây tổn thương cầu thận, có thể khu trú hoặc lan tỏa. Ngoài ra, các phức hợp miễn dịch tuần hoàn có thể lắng đọng trên màng đáy cầu thận.
Tài liệu tham khảo nguyên nhân gây bệnh
1. Satoskar AA, Parikh SV, Nadasdy T. Epidemiology, pathogenesis, treatment and outcomes of infection-associated glomerulonephritis. Nat Rev Nephrol 2020;16(1):32-50. doi:10.1038/s41581-019-0178-8
Triệu chứng và dấu hiệu của bệnh viêm cầu thận sau nhiễm trùng
Các triệu chứng và dấu hiệu bao gồm từ đi tiểu ra máu không triệu chứng và protein niệu nhẹ đến viêm thận toàn phát với đi tiểu ra máu vi thể hoặc đại thể (nước tiểu màu coca, nâu, khói hoặc có máu), protein niệu (đôi khi ở mức thận hư), thiểu niệu, phù, tăng huyết áp và tổn thương thận cấp tính. Sốt thường ít gặp nếu có thường gợi ý tình trạng nhiễm trùng kéo dài.
Suy thận, có thể gây quá tải dịch với suy tim và tăng huyết áp nặng cần lọc máu, ảnh hưởng đến khoảng 1% số trẻ em bị PIGN (1).
Đái máu và tăng huyết áp có thể tồn tại sau khi bệnh đã khỏi. Ít gặp hơn, hội chứng thận hư có thể kéo dài sau khi giải quyết các tình trạng nặng.
Các biểu hiện lâm sàng của PIGN không do liên cầu có thể giống các bệnh lý khác (ví dụ: viêm nút quanh động mạch, thuyên tắc thận, viêm thận kẽ cấp tính do thuốc kháng sinh).
Tài liệu tham khảo về các triệu chứng và dấu hiệu
1. Ong LT. Management and outcomes of acute post-streptococcal glomerulonephritis in children. World J Nephrol 2022;11(5):139-145. doi:10.5527/wjn.v11.i5.139
Chẩn đoán viêm cầu thận sau nhiễm trùng
Bằng chứng lâm sàng của nhiễm trùng gần đây
Xét nghiệm nước tiểu điển hình cho thấy có hồng cầu (RBC) biến dạng, trụ hồng cầu, protein niệu, bạch cầu (WBC) và tế bào ống thận.
Thường có giảm bổ thể máu.
PIGN do liên cầu được gợi ý khi có tiền sử bị viêm họng hoặc bị chốc lở cùng với các triệu chứng điển hình của PIGN hoặc các phát hiện tình cờ trên phân tích nước tiểu. Bằng chứng về giảm bổ thể máu là cần thiết để xác định chẩn đoán.
Các xét nghiệm được thực hiện để xác nhận chẩn đoán phụ thuộc vào các dấu hiệu lâm sàng. Các kháng thể kháng Antistreptolysin O, hyaluronidase và kháng thể kháng dexyribonuclease (kháng DNAase) thường được đánh giá. Cũng thường đo nồng độ creatinine huyết thanh và bổ sung (C3 và CH50 [tổng hoạt động bổ sung tán huyết]); tuy nhiên, ở những bệnh nhân có biểu hiện lâm sàng điển hình, một số xét nghiệm có thể được bỏ qua. Đôi khi các xét nghiệm khác được thực hiện. Sinh thiết có thể xác nhận chẩn đoán nhưng hiếm khi cần thiết.
Nồng độ Antistreptolysin O, Bằng chứng xét nghiệm phổ biến nhất về nhiễm trùng liên cầu khuẩn gần đây tăng lên và duy trì ở mức cao trong nhiều tháng ở hầu hết bệnh nhân viêm họng và ở nhiều bệnh nhân bị chốc lở, nhưng không đặc hiệu.
Xét nghiệm nước tiểu thường cho thấy protein niệu (0,5 đến 2 g/m2/ngày); hồng cầu biến dạng; bạch cầu; các tế bào ống thận và có thể có trụ hồng cầu, trụ bạch cầu và các trụ hạt. Tỷ lệ protein/creatinine niệu ngẫu nhiên (tại chỗ) thường trong khoảng 0,2 đến 2 (bình thường < 0,2) nhưng đôi khi có thể ở mức thận hư (≥ 3 g/ngày).
Creatinine huyết thanh có thể tăng nhanh nhưng đỉnh thường dưới mức cần phải lọc.
Nồng độ C3 và CH50 giảm trong thời gian bệnh hoạt động và trở lại bình thường trong vòng 6 tuần đến 8 tuần ở 80% số trường hợp PIGN; Nồng độ C1q, C2 và C4 chỉ giảm tối thiểu hoặc vẫn bình thường. Cryoglobulin máu có thể xuất hiện hoặc kéo dài trong vài tháng, trong khi đó các phức hợp miễn dịch tuần hoàn chỉ phát hiện được trong vài tuần.
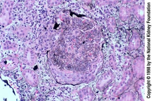
Mẫu sinh thiết cho thấy cầu thận tăng sinh tế bào và giãn rộng, ban đầu là xâm nhập bạch cầu đa nhân trung tính và sau đó là xâm nhập các bạch cầu đơn nhân. Sự tăng sản tế bào biểu mô là một dấu hiệu sớm, thoáng qua. Vi huyết khối có thể xảy ra; nếu tổn thương nặng, huyết động rối loạn do tăng sinh tế bào và phù nề cầu thận gây ra thiểu niệu, thỉnh thoảng kèm theo tổn thương hình liềm biểu mô (hình thành trong khoang Bowman do tăng sản tế bào biểu mô). Tăng sinh tế bào nội mô và tế bào gian mạch và vùng gian mạch thường giãn rộng do phù và chứa các bạch cầu đa nhân trung tính, tế bào chết, mảnh vỡ tế bào và các lắng đọng điện tử dưới biểu mô.
Tăng tế bào nội mô và gian mạch kèm theo thâm nhiễm bạch cầu trung tính (nhuộm bạc Jones ×400).
Tăng tế bào nội mô và gian mạch kèm theo thâm nhiễm bạch cầu trung tính (nhuộm bạc Jones ×400).
Hình ảnh do bác sĩ Agnes Fogo và American Journal of Kidney Diseases' Atlas of Renal Pathology cung cấp (xem www.ajkd.org).
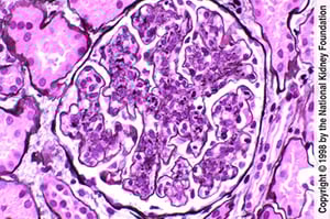
Biểu mô hình liềm đặc biệt phổ biến khi sinh thiết thực hiện ở giai đoạn muộn, sau khi không có đáp ứng với điều trị. Mô hình liềm đã bị vỡ bao Bowman (nhuộm bạc Jones, ×200).
Biểu mô hình liềm đặc biệt phổ biến khi sinh thiết thực hiện ở giai đoạn muộn, sau khi không có đáp ứng với điều trị. M
Hình ảnh do bác sĩ Agnes Fogo và American Journal of Kidney Diseases' Atlas of Renal Pathology cung cấp (xem www.ajkd.org).
Trong hình ảnh bên trái, nhuộm huỳnh quang miễn dịch với kháng IgG cho thấy sự lắng đọng IgG không đều trong các quai mao mạch (×400). Trong hình ảnh bên phải, nhuộm huỳnh quang miễn dịch với kháng C3 chứng tỏ sự lắng đọng C3 dạng hạt rải rác trong thành mao mạch (×400).
Trong hình ảnh bên trái, nhuộm huỳnh quang miễn dịch với kháng IgG cho thấy sự lắng đọng IgG không đều trong các quai m
Hình ảnh do bác sĩ Agnes Fogo và American Journal of Kidney Diseases' Atlas of Renal Pathology cung cấp (xem www.ajkd.org).
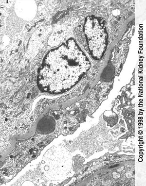
Các lắng đọng phức hợp miễn dịch hình bướu (màu xám đen) kèm theo xóa chân giả rộng và tăng sinh nội mao mạch được quan sát thấy trên ảnh hiển vi điện tử truyền qua (×11.250).
Các lắng đọng phức hợp miễn dịch hình bướu (màu xám đen) kèm theo xóa chân giả rộng và tăng sinh nội mao mạch được quan
Hình ảnh do bác sĩ Agnes Fogo và American Journal of Kidney Diseases' Atlas of Renal Pathology cung cấp (xem www.ajkd.org).
Kính hiển vi miễn dịch huỳnh quang thường cho thấy có lắng đọng phức hợp miễn dịch IgG và bổ thể dưới hình ảnh dạng hạt. Trên kính hiển vi điện tử, các lắng đọng này có hình bán nguyệt hay hình đường cong lồi và nằm trong lớp dưới biểu mô. Sự có mặt của những lắng đọng này và các lắng đọng nhỏ trong gian mạch và lớp dưới biểu mô gợi ý có tình trạng viêm qua trung gian bổ thể dẫn đến phá hủy cầu thận. Kháng nguyên chính có thể là zymogen cysteine proteinase ngoại độc tố B (Zymogen/SPE B).
Điều trị bệnh viêm cầu thận sau nhiễm trùng
Chăm sóc hỗ trợ
Điều trị hỗ trợ và có thể bao gồm chế độ ăn hạn chế protein, natri và dịch trong chế độ ăn và trong các trường hợp nặng cần điều trị phù và tăng huyết áp. Lọc máu đôi khi cần thiết. Trong thực hành lâm sàng, liệu pháp kháng sinh dường như chỉ có tác dụng phòng ngừa khi được dùng trong vòng 36 tiếng sau khi nhiễm bệnh và trước khi viêm cầu thận hình thành.
Tiên lượng về bệnh viêm cầu thận sau nhiễm trùng
Phần lớn bệnh nhân đều duy trì hoặc phục hồi được chức năng thận bình thường. Mức lọc cầu thận (GFR) thường trở lại bình thường sau 1 tháng đến 3 tháng, nhưng protein niệu và đi tiểu ra máu vi thể có thể kéo dài tới 5 năm (1). Sự thay đổi thoáng qua của cặn nước tiểu có thể tái diễn với các đợt nhiễm khuẩn đường hô hấp nhẹ. Sự tăng sinh tế bào thận sẽ biến mất trong vòng vài tuần, nhưng sự xơ cứng còn lại là phổ biến. Trong 10% người lớn và 1% trẻ em, PIGN tiến triển thành viêm cầu thận tiến triển nhanh.
Tài liệu tham khảo về tiên lượng bệnh
1. Satoskar AA, Parikh SV, Nadasdy T. Epidemiology, pathogenesis, treatment and outcomes of infection-associated glomerulonephritis. Nat Rev Nephrol 2020;16(1):32-50. doi:10.1038/s41581-019-0178-8
Những điểm chính
Cần nghĩ đến PIGN ở những bệnh nhân trẻ bị viêm họng hoặc chốc lở cùng với các dấu hiệu của viêm cầu thận.
Hiệu giá kháng thể hỗ trợ chẩn đoán và việc chứng minh tình trạng giảm bổ thể về cơ bản mang tính xác nhận.
Sinh thiết giúp xác định chẩn đoán nhưng hiếm khi cần thiết.
Điều trị hỗ trợ thường giúp phục hồi chức năng thận.
