Tumor yang awalnya bermula di tulang disebut tumor tulang primer. Tumor tulang primer dapat bersifat nonkanker (jinak) atau kanker (ganas).
Setelah kanker didiagnosis, penentuan stadium akan dilakukan. Penentuan stadium adalah cara menggambarkan tingkat perkembangan kanker, termasuk kriteria seperti tingkat keganasan (seberapa besar kemungkinan kanker menyebar, berdasarkan penampilan sel tumor di bawah mikroskop), seberapa besar ukurannya, dan apakah kanker telah menyebar ke jaringan sekitar atau lebih jauh lagi ke kelenjar getah bening atau organ lain.
(Lihat juga Gambaran Umum tentang Tumor Tulang dan Gambaran Umum tentang Kanker.)
Adamantinoma
Adamantinoma adalah tumor langka yang paling sering terjadi pada tulang kering (tibia). Tumor biasanya terjadi pada orang muda dan paruh baya, tetapi dapat terjadi pada usia berapa pun. Tumor ini sering menyebabkan nyeri dan dapat dirasakan keberadaannya di bawah kulit ketika diraba dengan jari.
Tumor ini tumbuh secara perlahan dan merupakan kanker tingkat rendah, yang berarti tumor ini cenderung tidak menyebar (bermetastasis) daripada beberapa tumor lainnya. Meski jarang terjadi, metastasis tetap terjadi (sebagian besar ke paru-paru).
Untuk mendiagnosis adamantinoma, dokter akan melakukan pemeriksaan sinar-x dan mengambil sampel jaringan untuk diperiksa dengan mikroskop (biopsi).
Untuk mengobati adamantinoma, dokter akan mengangkatnya melalui tindakan pembedahan tanpa memotong bagian dalamnya karena hal itu dapat menyebabkan sel tumor menyebar. Jika sel tumor tumpah, kanker dapat kambuh. Dalam kasus yang jarang terjadi, pengangkatan tungkai yang terpengaruh melalui pembedahan (amputasi) mungkin diperlukan, tergantung lokasi tumor atau apakah tumor tersebut kambuh.
Kondrosarkoma
Kondrosarkoma adalah tumor yang terdiri dari sel tulang rawan yang bersifat kanker. Tumor ini cenderung terjadi pada orang paruh baya dan lansia. Tumor ini sering terjadi pada tulang datar, seperti panggul atau tulang belikat (skapula), tetapi dapat terjadi pada bagian mana pun dari tulang mana pun dan juga dapat terjadi pada jaringan di sekitar tulang. Kebanyakan kasus kondrosarkoma merupakan tumor yang tumbuh dengan lambat atau tingkat rendah, yang berarti bahwa tumor ini cenderung tidak menyebar (bermetastasis) daripada beberapa tumor lainnya. Namun, beberapa kasus kondrosarkoma merupakan tumor yang tumbuh dengan cepat atau tingkat tinggi, yang cenderung bermetastasis.
Untuk mendiagnosis kondrosarkoma, dokter akan melakukan pemeriksaan sinar-x dan melakukan pemindaian tulang dan pencitraan resonansi magnetik (MRI). Dokter juga mengambil sampel jaringan untuk diperiksa dengan mikroskop (biopsi).
Kondrosarkoma tingkat rendah biasanya diangkat dari tulang dengan cara mengikisnya menggunakan alat berbentuk sendok (kuretase) dan menggunakan nitrogen cair, fenol, semen tulang (metil metakrilat), atau sinar argon untuk membunuh sel tumor yang tertanam di permukaan tulang. Hampir semua tumor tingkat rendah dapat sembuh dengan prosedur pembedahan tersebut.
Kondrosarkoma tingkat tinggi atau kondrosarkoma yang tumbuh dengan cepat adalah tumor agresif dan lebih cenderung bermetastasis daripada beberapa tumor lainnya. Tumor ini harus diangkat sepenuhnya melalui pembedahan tanpa memotong bagian dalamnya karena hal itu dapat menyebabkan sel tumor menyebar. Jika sel tumor tumpah, kanker dapat kambuh.
Kondrosarkoma tingkat tinggi maupun rendah tidak merespons kemoterapi atau terapi radiasi. Pengangkatan lengan atau tungkai yang terpengaruh (amputasi) melalui pembedahan jarang diperlukan.
Kordoma
Kordoma adalah tumor langka yang bersifat kanker yang cenderung terjadi di ujung tulang belakang, biasanya di bagian tengah pangkal tulang belakang (sakrum) atau tulang ekor, atau di dekat pangkal tengkorak. Kordoma yang memengaruhi sakrum atau tulang ekor menyebabkan nyeri yang parah. Kordoma di pangkal tengkorak dapat menyebabkan masalah pada saraf di pangkal tengkorak (saraf kranial), paling umumnya di saraf optik. Gejalanya mungkin terjadi selama berbulan-bulan hingga bertahun-tahun sebelum didiagnosis. Kordoma biasanya tidak menyebar (bermetastasis) ke area lain seperti paru-paru, kecuali jika lebih agresif, tetapi dapat kambuh setelah pengobatan.
Untuk membantu mendiagnosis kordoma, dokter akan melakukan pencitraan resonansi magnetik (MRI). Dokter juga melakukan biopsi.
Kordoma yang memengaruhi sakrum atau tulang ekor dapat disembuhkan dengan pengangkatan tumor ini melalui pembedahan. Kordoma di pangkal tengkorak biasanya tidak dapat disembuhkan melalui pembedahan, tetapi terapi radiasi dapat mengecilkan tumor untuk sementara waktu dan membantu meredakan nyeri.
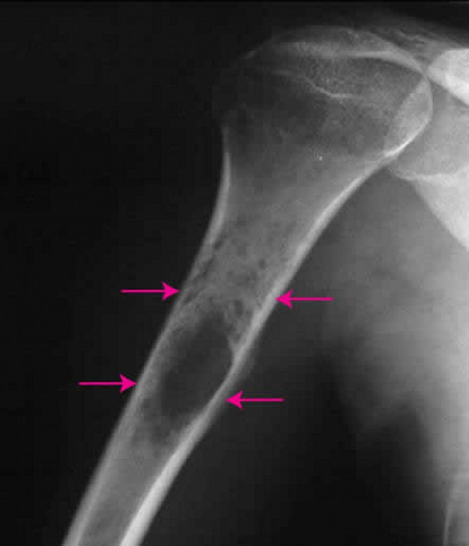
Sarkoma Ewing pada tulang
Sarkoma Ewing adalah tumor kanker yang lebih sering memengaruhi pria daripada wanita dan paling sering muncul pada individu berusia 10 hingga 20 tahun. Sebagian besar tumor ini berkembang di lengan atau tungkai, tetapi dapat berkembang di tulang apa pun. Nyeri dan pembengkakan adalah gejala yang paling umum. Tumor ini dapat membesar dan terkadang memengaruhi seluruh panjang tulang. Tumor ini dapat melibatkan sejumlah besar jaringan lunak.
Untuk mendiagnosis sarkoma Ewing, dokter akan melakukan pemeriksaan sinar-x. Meski pemeriksaan sinar-x dapat menunjukkan beberapa detail, pencitraan resonansi magnetik (MRI) dapat membantu menentukan ukuran pasti tumor ini. Untuk mengonfirmasi diagnosis, dokter akan melakukan biopsi.
Pemeriksaan sinar-x pada bahu ini menunjukkan sarkoma Ewing (panah) di dalam tulang lengan bagian atas.
Gambar milik Michael J. Joyce, MD, dan Hakan Ilaslan, MD.
Pengobatan sarkoma Ewing mencakup berbagai kombinasi pembedahan, kemoterapi, dan terapi radiasi, tergantung apakah pembedahan dapat dilakukan atau, jika diakukan, akan berhasil. Kombinasi pengobatan ini dapat menyembuhkan lebih dari 60% penderita sarkoma Ewing.
Limfoma pada tulang
Limfoma tulang adalah tumor kanker yang biasanya memengaruhi orang dewasa. Tumor ini dapat bermula dari tulang mana pun atau bagian lain dalam tubuh dan kemudian menyebar luas ke sumsum tulang. Biasanya, tumor ini menyebabkan nyeri dan pembengkakan serta akumulasi jaringan lunak. Tulang yang rusak cenderung patah (fraktur).
Untuk mendiagnosis limfoma tulang, dokter melakukan pemeriksaan sinar-x dan pencitraan resonansi magnetik (MRI) untuk mendapatkan gambaran yang lebih akurat tentang tingkat keterlibatan jaringan lunak dan tulang.
Pengobatan limfoma pada tulang biasanya terdiri dari kombinasi kemoterapi dengan atau tanpa terapi radiasi yang tampaknya sama efektifnya dengan pengangkatan tumor melalui pembedahan. Amputasi jarang diperlukan. Jika tulang tampak berisiko mengalami fraktur, dokter dapat menstabilkannya melalui prosedur bedah untuk mencegah patah tulang.
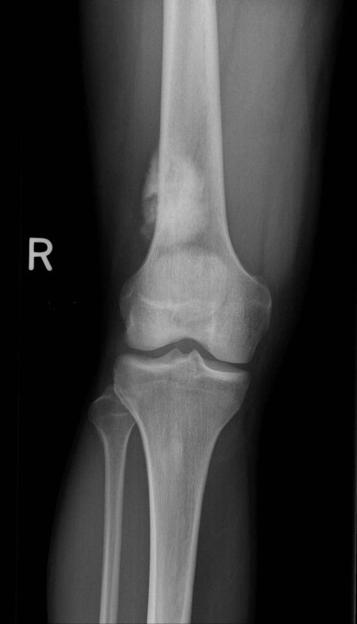
Osteosarkoma (sarkoma osteogen)
Osteosarkoma adalah jenis tumor tulang kanker primer yang paling umum jika multiple myeloma dianggap sebagai tumor hematologi. Meskipun paling banyak terjadi pada anak-anak dan remaja, osteosarkoma dapat terjadi pada usia berapa pun. Anak-anak yang membawa gen retinoblastoma herediter dan sindrom Li-Fraumeni berisiko lebih tinggi mengalami osteosarkoma. Lansia di atas 60 tahun, terutama yang menderita penyakit Paget pada tulang, orang yang telah menjalani terapi radiasi tulang untuk kanker lain, atau yang memiliki area jaringan tulang mati (disebut infark tulang) dan kondisi lain, terkadang menderita jenis tumor ini.
Osteosarkoma biasanya terjadi di dalam atau di sekitar lutut, tetapi dapat bermula dari tulang mana pun. Tumor ini cenderung menyebar (bermetastasis) ke paru-paru atau tulang lainnya. Biasanya, tumor ini menyebabkan nyeri dan pembengkakan atau akumulasi jaringan lunak, dan hilangnya gerakan sendi.
Pemeriksaan sinar-x dan pengambilan sampel jaringan untuk pemeriksaan dengan mikroskop (biopsi) diperlukan untuk mendiagnosis osteosarkoma. Diperlukan foto sinar-x pada dada dan pemindaian tomografi terkomputasi (CT) pada dada untuk mendeteksi kanker yang telah bermetastasis ke paru-paru, dan pemindaian tulang diperlukan untuk mendeteksi kanker yang telah menyebar ke tulang lain. Pencitraan resonansi magnetik (MRI) dan tomografi emisi positron (PET) yang dikombinasikan dengan tomografi terkomputasi (PET-CT) adalah uji pencitraan lain yang juga dilakukan.
Pemeriksaan sinar-x pada lutut ini menunjukkan osteosarkoma pada tulang paha di atas lutut.
Gambar milik Michael J. Joyce, MD, dan Hakan Ilaslan, MD.
Lebih dari 65% penderita tumor jenis ini bertahan hidup setidaknya selama 5 tahun setelah didiagnosis ketika kemoterapi dilakukan dan kankernya tidak bermetastasis. Jika kemoterapi menghancurkan hampir semua kanker, peluang untuk bertahan setidaknya 5 tahun setelah didiagnosis lebih besar dari 90%. Karena prosedur bedah telah berkembang, lengan atau tungkai yang terpengaruh biasanya dapat diselamatkan dan direkonstruksi. Dulu, lengan atau tungkai yang terpengaruh biasanya harus diamputasi.
Osteosarkoma biasanya diobati dengan kombinasi kemoterapi dan pembedahan. Kemoterapi biasanya dilakukan terlebih dahulu. Nyeri biasanya berkurang selama fase pengobatan ini. Kemudian, tumor diangkat melalui pembedahan tanpa memotong bagian dalamnya. Memotong bagian dalam tumor dapat menyebabkan sel tumor menyebar sehingga menyebabkan kanker kambuh pada area yang sama. Kemoterapi dilanjutkan setelah pembedahan.
