Benda asing adalah benda yang tertelan atau dimasukkan ke dalam saluran pencernaan. Benda asing tersebut dapat tersangkut di saluran pencernaan dan terkadang melubangi (menusuk) organ tersebut.
Benda asing dapat tertelan atau ditempatkan di dalam rektum secara tidak sengaja atau sengaja.
Benda asing tidak menyebabkan gejala apa pun atau dapat menyebabkan gejala, tergantung pada posisi mereka terjebak.
Diagnosis dapat didasarkan pada kombinasi sinar-x, endoskopi, atau terkadang tomografi terkomputasi.
Sebagian besar benda asing keluar tanpa pengobatan, tetapi beberapa perlu dikeluarkan secara endoskopis, bedah, atau manual.
Benda asing dapat tersangkut di berbagai bagian saluran pencernaan, seperti:
Benda asing mungkin tertelan secara tidak sengaja. Anak-anak dapat menelan makanan kecil dan bulat (seperti anggur, kacang, atau permen), yang dapat menjadi macet. Selain itu, bayi dan balita yang penasaran sering kali tanpa sengaja menelan berbagai benda yang tidak dapat dimakan (seperti koin dan disk atau baterai kancing), yang beberapa di antaranya tersangkut di esofagus. Orang yang mengenakan gigi palsu, lansia, dan orang dewasa yang mabuk berisiko secara tidak sengaja menelan makanan yang tidak cukup dikunyah (terutama daging, seperti steik atau hotdog), yang mungkin terjebak dalam esofagus. (Dalam situasi ini, orang tersebut mungkin juga berisiko menghirup benda yang sama ke dalam saluran napas, yang terpisah dari esofagus.)
Terkadang benda asing sengaja ditelan, seperti ketika penyelundup (penyelundup dalam tubuh) atau penelan barang selundupan menelan balon, kemasan, atau vial yang berisi obat-obatan terlarang untuk menghindari deteksi. Orang yang memiliki gangguan kesehatan mental juga dapat secara sengaja dan berulang kali menelan benda asing.
Jika benda yang tidak dapat dicerna tersebut berukuran kecil, benda tersebut akan melewati sistem pencernaan sampai kemudian dikeluarkan bersama feses. Namun demikian, benda yang berukuran lebih besar atau benda tajam, seperti tusuk gigi dan tulang ayam atau ikan, dapat tersangkut di esofagus atau lambung atau di area usus yang berbelok tajam atau sempit secara alamiah atau dipersempit oleh penyakit, pembedahan sebelumnya, tumor, atau struktur yang tidak normal. Benda yang melewati usus mungkin masih tersangkut di rektum.
Benda asing dapat dimasukkan ke dalam rektum dengan sengaja (seperti saat melakukan permainan seksual), tetapi dapat tersangkut secara tidak sengaja (lihat juga Benda Asing di Rektum).
Gejala Badan Asing dalam Saluran Pencernaan
Benda asing menimbulkan gejala tergantung pada sifat benda asing tersebut dan tempatnya terjebak.
Benda asing di dalam esofagus
Benda tumpul kecil yang tertelan dapat menyebabkan sensasi tersangkut di esofagus dan sulit menelan (disfagia). Perasaan ini dapat berlangsung dalam waktu singkat bahkan setelah benda tersebut masuk ke lambung. Benda tajam kecil yang tertelan dapat masuk ke dalam esofagus dan menyebabkan nyeri, meskipun orang tersebut dapat menelan secara normal. Ketika esofagus tersumbat sepenuhnya, orang tersebut tidak dapat menelan apa pun, bahkan air liur, dan menyebabkannya selalu mengiler dan meludah. Air liur bisa ternoda darah, dan orang tersebut dapat tersedak dan tercekik. Orang tersebut mungkin mencoba untuk muntah, tetapi tidak ada yang keluar.
Benda asing di dalam lambung dan usus
Jika benda asing menghalangi sebagian lambung, usus kecil, atau usus besar (jarang terjadi), obstruksi tersebut dapat menyebabkan kram, kembung, nyeri perut, mual, dan muntah. Jika obstruksi selesai, nyeri dapat menjadi parah dan gejalanya dapat mengancam jiwa atau menyebabkan komplikasi (lihat Obstruksi Usus).
Benda asing di dalam rektum
Komplikasi benda asing dalam saluran pencernaan
Jika benda tajam menembus esofagus, konsekuensinya mungkin serius. Makanan dan isi esofagus lainnya dapat bocor ke dalam rongga dada (mediastinum) dan menyebabkan peradangan yang mengancam jiwa (mediastinitis). Benda tajam juga dapat menyebabkan perforasi pada lambung, usus besar, atau rektum. Perforasi (lubang) memungkinkan makanan, cairan pencernaan, atau isi usus, termasuk feses, bocor ke dalam perut. Kebocoran tersebut merupakan kondisi darurat medis karena dapat menyebabkan peritonitis (peradangan rongga perut).
Bahkan benda tumpul, jika menyebabkan himpitan besar di esofagus selama berjam-jam (misalnya, lebih dari 24 jam), dapat menyebabkan masalah serius. Objek yang menghimpit tersebut dapat memberikan tekanan yang cukup pada dinding esofagus sehingga menyebabkan kematian pada bagian esofagus tersebut dan risiko perforasi, yang mengakibatkan mediastinitis.
Orang yang telah menelan baterai disk atau baterai kancing, yang dapat mengikis lapisan esofagus atau lambung, dapat mengalami luka bakar pada esofagus atau lambung. Hal ini dapat berkembang dengan cepat menjadi perforasi esofagus atau lambung, sehingga baterai yang tertelan harus dikeluarkan dari esofagus atau lambung secepatnya.
Terkadang, benda asing menyebabkan darah di dalam feses.
Jika seseorang telah menelan benda yang diisi obat, benda tersebut dapat pecah, yang kemudian dapat menyebabkan overdosis obat.
Diagnosis Benda Asing dalam Saluran Pencernaan
Tes pencitraan (biasanya sinar-x)
Endoskopi
Sering kali, benda asing dapat terlihat melalui pemeriksaan sinar-x pada perut, dan terkadang pada dada. Terkadang dilakukan tes pencitraan lain, seperti tomografi terkomputasi (CT), untuk membantu mengidentifikasi dan menemukan lokasi benda asing tersebut.
Biasanya, endoskopi (pemeriksaan visual saluran pencernaan menggunakan slang fleksibel yang disebut endoskop) dilakukan untuk menentukan sifat dan lokasi tepat dari benda asing tersebut dan untuk mengesampingkan tumor atau gangguan lainnya.
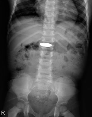
Sinar-x ini menunjukkan koin yang ditelan oleh anak kecil.
Sinar-x ini menunjukkan koin yang ditelan oleh anak kecil.
PERPUSTAKAAN FOTO DU CANE MEDICAL IMAGING LTD/SCIENCE
Gambar ini menunjukkan kemasan obat di dalam lambung.
Gambar ini menunjukkan kemasan obat di dalam lambung.
Gambar disediakan oleh Alan Gingold, DO.
Gambar ini menunjukkan benda asing yang tajam di dalam lambung.
Gambar ini menunjukkan benda asing yang tajam di dalam lambung.
Gambar disediakan oleh Uday Shankar, MD.
Benda asing yang tersangkut di dalam rektum sering kali dapat dirasakan oleh dokter selama pemeriksaan digital, yang mana dokter memasukkan jari bersarung tangan ke dalam rektum orang tersebut.
Dokter dapat menggunakan pendeteksi logam genggam untuk mendeteksi benda asing logam (seperti koin dan baterai), yang sangat berguna untuk memeriksa anak-anak. Namun, benda-benda logam ini biasanya terdeteksi dengan sinar-x, atau terkadang, pemindaian CT.
Pengobatan untuk Benda Asing di dalam Saluran Pencernaan
Untuk benda asing di dalam esofagus, kadang-kadang diberi glukagon, dan biasanya dilakukan endoskopi
Untuk benda asing di dalam lambung, biasanya endoskopi
Untuk benda asing di dalam usus, terkadang pengangkatan secara endoskopik atau bedah
Untuk benda asing di dalam rektum, biasanya pengeluaran secara manual atau endoskopi
Beberapa benda asing dikeluarkan secara spontan dan tidak memerlukan pengobatan. Kadang-kadang dokter menyarankan agar orang tersebut mengonsumsi banyak cairan untuk membantu mengeluarkan benda tersebut. Beberapa benda kecil, seperti tusuk gigi dan tulang ikan, dapat tetap berada di saluran pencernaan selama bertahun-tahun tanpa menimbulkan gejala.
Benda asing di dalam esofagus
Orang yang tidak memiliki gejala obstruksi dan yang tidak menelan benda tajam, baterai disk atau baterai kancing, atau paket obat diamati oleh dokter hingga 24 jam untuk melihat apakah benda tersebut keluar dengan sendirinya. Ketika dokter mencurigai bahwa sepotong makanan tersangkut di esofagus, glukagon obat dapat diberikan melalui vena (secara intravena) untuk merelaksasi esofagus dan memungkinkan makanan melewati saluran pencernaan secara spontan.
Dokter biasanya mengeluarkan benda asing yang belum keluar dari esofagus dalam waktu 24 jam karena penundaan pengeluaran akan meningkatkan risiko komplikasi, termasuk perforasi, dan mengurangi kemungkinan berhasilnya pengeluaran.
Dokter dapat mengeluarkan beberapa benda yang tersangkut di esofagus dengan mendorongnya ke lambung menggunakan endoskop atau dengan mengeluarkannya dengan pinset, jaring, atau keranjang melalui endoskop.
Karena benda tajam dapat menusuk dinding esofagus, benda tersebut harus segera dikeluarkan dengan cara endoskopi. Baterai juga harus segera dikeluarkan dari esofagus karena dapat menyebabkan luka bakar internal.
Benda asing di dalam lambung dan usus
Dokter biasanya melakukan endoskopi untuk mengangkat benda tajam dari lambung karena dapat menyebabkan perforasi. Dokter juga melakukan endoskopi untuk mengeluarkan:
Baterai yang menyebabkan gejala atau tanda-tanda cedera lambung
Benda apa pun yang telah berada di lambung lebih dari 3 hingga 4 minggu
Baterai yang telah berada di perut selama lebih dari 48 jam, tetapi tidak menyebabkan cedera
Benda berdiameter lebih dari sekitar 2,5 cm di dalam lambung
Magnet apa pun yang dapat dijangkau dengan endoskop
Benda kecil berbentuk bulat, seperti koin, dapat keluar dengan sendirinya. Dokter menyarankan agar orang tersebut memeriksa feses mereka untuk melihat apakah benda tersebut telah dikeluarkan. Jika benda tersebut tidak terlihat di dalam feses, dokter akan mengulang sinar-x untuk memeriksa apakah benda tersebut telah dikeluarkan.
Benda asing yang keluar dari lambung dan masuk ke usus kecil biasanya melewati saluran pencernaan tanpa masalah. Namun, jika benda tumpul dan pendek tersangkut di usus kecil selama lebih dari 1 minggu dan tidak dapat dikeluarkan dengan endoskopi atau orang tersebut mengalami gejala obstruksi usus, dokter dapat mengeluarkannya melalui pembedahan.
Jika objek yang diduga diisi dengan obat terdeteksi pada orang yang tidak memiliki gejala, orang tersebut dirawat inap dan dipantau secara ketat di unit perawatan intensif (intensive care unit, ICU). Dokter dapat melakukan pembedahan jika orang tersebut mengalami:
Gejala obstruksi usus
Gejala overdosis obat (bila benda tersebut merupakan obat yang bocor)
Tidak mengeluarkan benda tersebut setelah waktu yang cukup lama
Dokter biasanya tidak melakukan endoskopi untuk mengeluarkan benda yang berisi obat karena terdapat risiko tinggi benda tersebut pecah dan terbuka selama pengeluaran dan menyebabkan overdosis serius.
Benda asing di dalam rektum
Benda asing di dalam rektum dapat dikeluarkan secara endoskopi atau manual tergantung pada jenis benda tersebut. Kadang-kadang pengeluaran manual akan mengharuskan anestesi pada anus orang tersebut menggunakan suntikan anestesi lokal dan ditahan agar terbuka dengan instrumen khusus. Dokter kemudian dapat menggunakan pinset untuk menggenggam dan mengeluarkan benda tersebut. Prosedur ini mungkin memerlukan sedasi berat.
Setelah mengeluarkan benda asing, dokter dapat memeriksa rektum dan bagian bawah usus besar menggunakan slang fleksibel yang disebut sigmoidoskop untuk mengecualikan cedera atau perforasi.
