Panoramica sulle fratture

DiDanielle Campagne, MD, University of California, San Francisco
Reviewed ByDiane M. Birnbaumer, MD, David Geffen School of Medicine at UCLA
Revisionato/Rivisto mar 2025 | Modificata mag 2025
v1110321_it
Visualizzazione l’educazione dei pazienti

La maggior parte delle fratture ossee è causata da una singola forza ad alta energia su un osso sano.

In aggiunta alle fratture, le lesioni muscolo-scheletriche comprendono

Le lesioni muscolo-scheletriche sono frequenti e variano notevolmente per il meccanismo di insorgenza, per la gravità e il tipo di trattamento. Gli arti, la colonna vertebrale e la pelvi possono essere colpiti da tali traumi.

Le lesioni muscolo-scheletriche possono verificarsi da sole o come parte di un politrauma (vedi Approccio al paziente traumatizzato). La maggior parte delle lesioni muscolo-scheletriche è il risultato di un trauma contusivo, ma anche un trauma penetrante può danneggiare le strutture muscolo-scheletriche.

Fisiopatologia delle fratture

Le fratture possono essere

  • Aperte: la cute sovrastante viene lesionata e l'osso fratturato diviene in comunicazione con l'ambiente esterno tramite ferita cutanea.

  • Chiuse: la cute sovrastante è intatta.

Le fratture patologiche si verificano quando una forza lieve o minima causa la frattura di un'area ossea indebolita da un disturbo (p. es., osteoporosi, cancro, infezione, cisti ossea). Quando il disturbo osseo è l'osteoporosi, queste fratture vengono spesso denominate fratture da insufficienza o da fragilità.

Le fratture da stress sono il risultato dell'applicazione ripetitiva di una forza moderata, come succede nei maratoneti o nei soldati durante la marcia con carichi pesanti. Normalmente, l'osso danneggiato da microtraumi dati da una forza moderata si possono auto-riparare durante i periodi di riposo, ma una costante applicazione di una forza nella stessa posizione induce un ulteriore indebolimento e causa la propagazione della forza traumatica.

Cicatrizzazione

La velocità con cui una frattura guarisce varia a seconda dell'età del paziente e dei disturbi coesistenti. Per esempio, i bambini guariscono molto più velocemente degli adulti; i disturbi che compromettono la circolazione periferica (p. es., il diabete, la malattia vascolare periferica) rallentano la guarigione.

Le fratture guariscono in 3 fasi che si succedono:

  • Fase infiammatoria

  • Fase riparativa

  • Fase di rimodellamento

La fase infiammatoria è la prima ad avvenire. Si forma un ematoma nel sito di frattura, e viene riassorbita una piccola quantità di frammenti ossei della frattura. Se la linea di frattura inizialmente non è visibile alla radiografia (p. es., in alcune fratture non scomposte), in genere può essere rilevata circa 1 settimana dopo la lesione quando questa piccola quantità di osso viene riassorbita.

Durante la fase riparativa, si forma un callo osseo. Dei nuovi vasi sanguigni si sviluppano, consentendo di formare nuovo osso tra le linee di frattura. L'immobilizzazione (p. es., il tutore gessato) è necessaria durante i primi 2 stadi per consentire la formazione di nuovi vasi sanguiferi. La fase riparativa termina con l'unione clinica della frattura (ossia, quando cessa il dolore nel sito della frattura, l'estremità ossea fratturata può essere mossa senza dolore, e l'esame clinico non rileva alcun movimento dei monconi ossei).

Durante la fase di rimodellamento, il callo, che inizialmente era di natura cartilaginea, inizia a ossificare e l'osso è degradato e ricostruito (rimodellato). Durante questa fase, i pazienti devono essere istruiti a riprendere normalmente i movimenti della parte lesa, compresa l'applicazione di carichi su di esso.

Complicanze

Le complicanze serie delle fratture sono rare ma possono minacciare la vitalità dell'arto o causarne un'alterazione funzionale permanente. Il rischio di complicanze è elevato in caso di fratture aperte (che predispongono a un'infezione) e con le fratture che lesionano i vasi sanguigni, la perfusione tissutale, e/o nervi. Le fratture chiuse che non coinvolgono i vasi sanguigni o i nervi, soprattutto quelle che sono velocemente ridotte, hanno meno probabilità di causare gravi complicanze.

Le complicanze acute (associate alle lesioni) includono le seguenti:

  • Emorragia: il sanguinamento accompagna tutte le fratture (e le lesioni dei tessuti molli). Raramente, l'emorragia interna o esterna è abbastanza grave da provocare shock emorragico (p. es., nelle fratture pelviche, femorali, ed in qualche fratture esposte).

  • Lesioni vascolari: alcune fratture esposte lacerano i vasi sanguigni. Le fratture sovracondilari di omero lussate posteriormente possono interrompere l'afflusso vascolare in misura sufficiente a provocare un'ischemia distale; questa lesione vascolare può essere clinicamente occulta per ore dopo l'infortunio.

  • Lesioni nervose: i nervi possono essere lesionati quando stirati da frammenti ossei di una frattura scomposta, quando contusi da un colpo contundente, quando compressi in un grave trauma da schiacciamento o quando lacerati da frammenti ossei affilati. Quando i nervi sono contusi (chiamata neuraprassia), la conduzione nervosa è bloccata, ma il nervo non è permanentemente danneggiato. La neuroaprassia provoca temporaneo deficit motorio e/o sensoriale; la funzione neurologica viene ristabilita completamente in circa 6 o 8 settimane. Quando i nervi sono schiacciati (situazione chiamata assonotmesi), l'assone è lesionato, ma non lo è la guaina mielinica. Questa lesione è più grave della neuraprassia. A seconda dell'entità del danno, il nervo può rigenerarsi in un periodo variabile da qualche settimana a qualche anno. Di solito, i nervi sono strappati nelle fratture aperte (situazione chiamata neurotmesi). I nervi strappati non guariscono spontaneamente e devono essere riparati chirurgicamente.

  • Embolia polmonare: nei pazienti con frattura dell'anca o pelvica, il rischio di embolia polmonare è alto a causa di lesioni vascolari e immobilizzazione. L'embolia polmonare è la più comune complicanza fatale delle fratture gravi dell'anca o del bacino.

  • Embolia grassa: le fratture delle ossa lunghe (più comunemente, le fratture femorali) possono rilasciare grasso (e altri contenuti del midollo) che embolizza nei polmoni e causa una sindrome da embolia grassa, caratterizzata da distress respiratorio, compromissione neurologica ed eruzione cutanea petecchiale (1).

  • Sindrome compartimentale: la pressione tissutale aumenta in uno spazio chiuso fasciale, interrompendo l'irrorazione vascolare e riducendo la perfusione sanguigna dei tessuti. Le lesioni da schiacciamento o le fratture pluriframmentate sono una causa frequente, che incrementa la pressione tissutale come l'edema che si sviluppa. Il rischio è alto con fratture dell'avambraccio che coinvolgono sia il radio che l'ulna, con le fratture del piatto tibiale (fratture prossimali della tibia che si estendono nello spazio articolare) o con le fratture della diafisi tibiale (2). La sindrome compartimentale non trattata può portare a rabdomiolisi, ad iperkaliemia, e ad infezioni. Nel lungo termine, essa può anche causare retrazioni, deficit sensoriali e paralisi. La sindrome compartimentale minaccia la vitalità dell'arto (persino fino a richiederne l'amputazione) e la sopravvivenza.

  • Infezione: qualsiasi frattura può diventare infetta, ma il rischio è più alto con quelle esposte o trattate chirurgicamente. Un'infezione acuta può portare a osteomielite, che può essere difficile da curare.

Le complicanze a lungo termine delle fratture comprendono:

  • Instabilità: varie fratture possono portare all'instabilità articolare. L'instabilità può essere invalidante e aumenta il rischio di artrosi.

  • Rigidità e riduzione del movimento: le fratture che si estendono alla superficie dell'articolazione spesso lesionano la cartilagine articolare; un'alterazione della superficie cartilaginea porta a una cicatrizzazione, che causa artrosi e compromette la capacità di movimento. La rigidità è più probabile se un'articolazione ha bisogno di un'immobilizzazione prolungata. Il ginocchio, il gomito e la spalla sono particolarmente soggetti a rigidità post-traumatica, soprattutto in età avanzata.

  • Pseudoartrosi o ritardo di consolidazione: occasionalmente, le fratture non guariscono (in questo caso si parla di pseudoartrosi), o la guarigione è ritardata. I principali fattori predisponenti includono l'immobilizzazione incompleta, la parziale interruzione della fornitura vascolare, e i fattori legati al paziente che compromettono la guarigione (p. es., l'uso di corticosteroidi o di ormone tiroideo).

  • Malconsolidamento: il malconsolidamento è la guarigione con una deformità residua. Esso è più probabile se la frattura non è adeguatamente ridotta e stabilizzata.

  • Osteonecrosi: una parte di un frammento di frattura può diventare necrotica, soprattutto quando l'apporto vascolare è danneggiato. Le fratture chiuse a rischio di osteonecrosi sono le fratture dello scafoide carpale, le fratture scomposte del collo del femore, e le fratture scomposte del collo dell'astragalo.

  • Artrosi: le fratture che interrompono le superfici portanti delle articolazioni o che provocano mal allineamento articolare e un'instabilità predispongono alla degenerazione della cartilagine articolare ed all'artrosi.

  • Discrepanza della lunghezza degli arti: se una frattura nei bambini coinvolge una cartilagine di accrescimento, la crescita può essere influenzata, risultando in un arto più corto dell'altro. Negli adulti, la riparazione chirurgica di una frattura, in particolare delle fratture del femore, può causare discrepanza nella lunghezza della gamba (3), che può portare a difficoltà a camminare e la necessità di un plantare nella scarpa per la gamba più corta.

Riferimenti relativi alle complicazioni

  1. 1. Rothberg DL, Makarewich CA. Fat Embolism and Fat Embolism Syndrome. J Am Acad Orthop Surg. 2019;27(8):e346-e355. doi:10.5435/JAAOS-D-17-00571

  2. 2. McQueen MM, Gaston P, Court-Brown CM. Acute compartment syndrome. Who is at risk? J Bone Joint Surg Br. 82 (2):200–203, 2000. PMID: 10755426

  3. 3. Vaidya R, Anderson B, Elbanna A, et al. CT scanogram for limb length discrepancy in comminuted femoral shaft fractures following IM nailing. Injury. 43 (7):1176–1181, 2012. doi: 10.1016/j.injury.2012.03.022

Valutazione delle fratture

  • Anamnesi ed esame obiettivo

  • Radiografie

  • A volte RM o TC

In pronto soccorso, se l'evento traumatico della lesione suggerisce delle lesioni potenzialmente gravi o multiple (p. es., nel caso di un incidente stradale ad alta velocità o di una caduta dall'alto), i pazienti vengono dapprima controllati interamente per escludere lesioni agli organi e, se necessario, vengono rianimati (vedi Approccio al paziente traumatizzato). I pazienti, specialmente quelli con fratture del femore o del bacino, sono valutati per la presenza di uno shock emorragico dovuto a perdite ematiche occulte. Se un arto è lesionato, viene immediatamente valutato per le ferite aperte e per i sintomi o segni di una lesione neurovascolare (intorpidimento, paresi, scarsa perfusione) e per la sindrome compartimentale (p. es., dolore sproporzionato alla lesione, pallore, parestesie, riduzione della temperatura, assenza di pulsazioni dei polsi periferici).

I medici possono sospettare fratture sulla base dei sintomi e dei risultati dell'esame obiettivo, ma per confermare la diagnosi è necessaria l'acquisizione di immagini (solitamente radiografie).

I pazienti devono essere controllati per lesioni ai legamenti, ai tendini ed ai muscoli così come per le fratture. La presenza di una frattura può limitare questa parte di questa valutazione (p. es., il test di stress non può essere fatto perché il dolore è inizialmente proibitivo).

Anche le articolazioni sopra e sotto l'articolazione lesionata devono essere esaminate.

Anamnesi

Il meccanismo della lesione (p. es., la direzione e la potenza della forza traumatica) può suggerire il tipo di lesione. Tuttavia, molti pazienti non ricordano o non possono descrivere l'esatta dinamica del trauma.

Un rumore tipo schiocco o scroscio percepito al momento del trauma può essere predittiva di una frattura (o di una lesione tendinea o legamentosa). Di solito le fratture e le lesioni legamentose gravi causano un dolore immediato; il dolore che inizia ore o giorni dopo il trauma è indicativo di lesioni di lieve entità. Un dolore che è sproporzionato all'effettiva gravità della lesione o che peggiora costantemente nelle prime ore o giorni immediatamente successivi al trauma suggeriscono la presenza di una sindrome compartimentale o di un'ischemia.

Esame obiettivo

L'esame obiettivo comprende

  • Valutazione neurologica e vascolare distale alla lesione

  • Ispezionare per valutare ferite aperte, eventuali deformità, edema, ecchimosi ed alterazioni del range di motilità degli arti

  • Palpazione per verificare la dolorosità, il crepitio ed i difetti evidenti nelle ossa o nei tendini

  • Esame obiettivo delle articolazioni poste sopra o sotto l'area lesionata (p. es., per l'articolazione della spalla, la colonna cervicale e il gomito)

  • Dopo che sono state escluse eventuali fratture e lussazioni (con l'esame clinico o radiografico), si esegue lo stress test delle articolazioni colpite per controllare il dolore e l'instabilità

Se la contrattura muscolare e il dolore limitano l'esame obiettivo (e in particolare il test da stress), l'esame diventa talvolta più facile dopo la somministrazione di un analgesico sistemico o di un anestetico locale. O la frattura può essere immobilizzata fino a quando la contrattura muscolare diminuisce, di solito per alcuni giorni, e successivamente il paziente può essere riesaminato.

Alcuni reperti possono indicare una frattura o un'altra lesione muscolo-scheletrica.

La presenza di una deformità anatomica può suggerire una frattura, ma può anche indicare una lussazione o una sublussazione (perdita parziale dei rapporti articolari delle ossa di un'articolazione).

Il gonfiore comunemente indica una frattura o un altro danno muscolo-scheletrico significativi, ma può svilupparsi molte ore dopo l'evento traumatico. Se non si verifica alcun edema entro breve tempo, una frattura è improbabile. Con alcune fratture (p. es., le infrazioni ossee, le piccole fratture composte), il gonfiore può essere lieve, ma esso è raramente assente.

La dolorabilità accompagna quasi tutte le lesioni muscolo-scheletriche e, per molti pazienti, la palpazione in qualsiasi punto intorno all'area lesa causa fastidio. Tuttavia, un notevole aumento del dolore in una zona ben localizzata (punto dolente) può suggerire una frattura.

Un difetto può essere palpabile nell'osso colpito in alcune fratture.

Il crepitio (un particolare segno palpabile e/o udibile di tritatura prodotta dall'articolazione in movimento) può essere un segno di frattura.

Se una ferita cutanea è vicina a una frattura, allora la frattura è considerata come esposta. Le fratture esposte sono classificate in base al sistema di Gustilo-Anderson (1):

  • Grado I: ferita < 1 cm, con minima contaminazione, frammentazione e danno ai tessuti molli.

  • Grado II: ferita > 1 cm, con moderato danno dei tessuti molli e minimo interessamento del periostio

  • Grado IIIA: grave danno dei tessuti molli e sostanziale contaminazione, con adeguata copertura dei tessuti molli

  • Grado IIIB: grave danno dei tessuti molli e sostanziale contaminazione, con insufficiente copertura dei tessuti molli

  • Grado IIIC: frattura esposta con lesione arteriosa che richiede riparazione

Gradi più alti indicano un rischio maggiore di infezione e successiva osteomielite (2); tuttavia, l'affidabilità inter-osservatore di questo sistema di classificazione non è elevata e alcuni aspetti possono essere valutati al meglio durante l'intervento chirurgico.

L'attenzione a certe aree durante l'esame obiettivo può aiutare a individuare traumi comunemente non rilevati (vedi tabella Esame obiettivo per fratture comunemente non rilevate).

Tabella
Tabella

Se l'esame obiettivo è normale in un'articolazione che i pazienti indicano come dolorosa, la causa può essere dolore riferito. Per esempio, i pazienti con scivolamento dell'epifisi femorale dovuto a una frattura attraverso la cartilagine di crescita (o meno frequentemente la frattura dell'anca) possono sentire dolore al loro ginocchio.

Diagnostica per immagini

Non tutte le fratture sospettate richiedono l'utilizzo delle immagini radiografiche. Alcune fratture sono di lieve entità e sono trattate in modo simile a delle lesioni dei tessuti molli. Per esempio, la maggior parte delle lesioni delle dita (dal 2o al 5o dito) e molte lesioni della punta delle dita sono trattate in modo sintomatico a prescindere se la frattura sia presente o no; pertanto, le radiografie non sono necessarie. Per esempio, in molti pazienti con lesioni della caviglia, la probabilità di trovare una frattura che richiederebbe un cambiamento nel trattamento è accettabilmente bassa, quindi le radiografie non sono sempre necessarie. Le regole di decisione clinica che aiutano a determinare quali pazienti hanno più probabilità di avere una frattura che richiede un trattamento specifico (p. es., le regole di Ottawa per la caviglia) possono aiutare a determinare quali pazienti necessitano di radiografie (3).

Se è necessario l'imaging, le radiografie vengono eseguite per prime.

Le RX mostrano principalmente l'osso (e un versamento articolare secondario a sanguinamento o una frattura occulta) e sono quindi utili per la diagnosi delle fratture. Devono comprendere almeno 2 proiezioni eseguite su piani diversi (solitamente anteroposteriore e laterale).

Proiezioni aggiuntive (p. es., oblique) possono essere eseguite quando

  • L'esame clinico suggerisce l'esistenza di una frattura e le 2 proiezioni sono negative.

  • Queste proiezioni sono di routine per alcune articolazioni (p. es., una proiezione mortis per valutare una caviglia, una proiezione obliqua per valutare un piede).

  • Si sospettano alcune anomalie.

Per le proiezioni laterali delle dita, le dita da studiare devono essere separate dalle altre.

La RM o la TC possono essere impiegate se

  • Una frattura non è visibile sulle RX ma vi è un forte sospetto clinico (questo è comune nel caso di fratture dello scafoide carpale e nel caso di fratture impattate del collo femorale [sottocapitate] dell'anca).

  • Sono necessari ulteriori approfondimenti per guidare il trattamento (p. es., per fratture scapolari, fratture pelviche o fratture intra-articolari).

Per esempio, se i risultati dopo una caduta fanno sospettare una frattura dell'anca, ma le radiografie sono normali, deve essere eseguita una TC o una RM per verificare la presenza di una frattura occulta.

Altri test possono essere eseguiti per verificare eventuali lesioni correlate:

  • Arteriografia o angio-TC per verificare la presenza di lesioni arteriose sospette (p. es., eseguite per valutare l'arteria poplitea quando il ginocchio è lussato)

  • Elettromiografia e/o studi della conduzione nervosa (raramente condotti immediatamente; più tipicamente vengono effettuati quando i sintomi al nervo persistono da settimane a mesi dopo il trauma)

Descrizione della frattura

L'aspetto di una frattura alla radiografia può essere descritto da:

I termini per la localizzazione della frattura comprendono:

  • Dorsale o volare

  • Epifisi (talvolta interessante la superficie articolare), che può riferirsi all'estremo prossimale dell'osso (testa) o distale

  • Metafisi (collo, parte di un osso lungo tra l'epifisi e la diafisi)

  • Diafisi (la parte centrale, suddivisa in prossimale, media, o terzo distale)

Tipi comuni di rime di frattura

Le fratture traverse sono perpendicolari all'asse maggiore dell'osso.

Le fratture oblique sono angolate.

Le fratture spirali sono dovute a un meccanismo rotatorio del trauma; sulle radiografie, esse si differenziano dalle fratture oblique per una componente parallela all'asse lungo dell'osso in almeno 1 proiezione radiografica.

Le fratture comminute sono caratterizzate dalla presenza di > 2 frammenti ossei. Le fratture comminute comprendono le fratture segmentarie (2 separate frain un osso).

Le fratture da avulsione sono causate da un tendine che strappa un frammento osseo.

Nelle fratture ingranate, i frammenti ossei vengono spinti l'uno nell'altro, accorciando l'osso; queste fratture possono essere visibili come una densità anormale focale delle trabecole ossee o come un'irregolarità della corticale ossea.

Le fratture del toro (caratterizzate da un'infrazione della corticale ossea) e le fratture a legno verde (lesioni che interessano un solo lato della corticale) sono fratture dell'infanzia.

Diversi tipi di fratture
Frattura trasversale della diafisi della tibia
Frattura trasversale della diafisi della tibia

Questa frattura trasversale colpisce la parte mediale della diafisi della tibia.

Questa frattura trasversale colpisce la parte mediale della diafisi della tibia.

Image courtesy of Danielle Campagne, MD.

Frattura del toro del dito
Frattura del toro del dito

Le fratture del toro possono essere visibili solo come sottili irregolarità nella corteccia ossea.

Le fratture del toro possono essere visibili solo come sottili irregolarità nella corteccia ossea.

PHOTOSTOCK-ISRAEL/SCIENCE PHOTO LIBRARY

Frattura del toro del polso
Frattura del toro del polso

Questa frattura del toro del radio distale è visibile solo come una leggera irregolarità della corticale ossea.

Questa frattura del toro del radio distale è visibile solo come una leggera irregolarità della corticale ossea.

LIVING ART ENTERPRISES, LLC/SCIENCE PHOTO LIBRARY

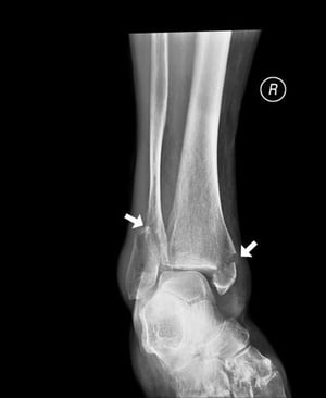
Frattura in entrambi i malleoli della caviglia
Frattura in entrambi i malleoli della caviglia

Questa frattura della caviglia coinvolge il malleolo mediale (della tibia) e il malleolo laterale (del perone).

Questa frattura della caviglia coinvolge il malleolo mediale (della tibia) e il malleolo laterale (del perone).

SCIENCE PHOTO LIBRARY

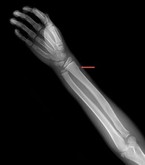
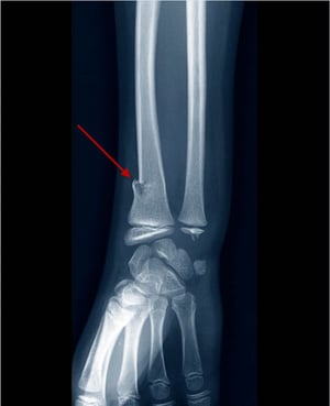
Frattura a legno verde del radio distale
Frattura a legno verde del radio distale

Questa radiografia mostra una frattura a legno verde del radio distale, visibile come discontinuità nella parte radiale della corticale (freccia).

Questa radiografia mostra una frattura a legno verde del radio distale, visibile come discontinuità nella parte radial

... maggiori informazioni

ZEPHYR/SCIENCE PHOTO LIBRARY

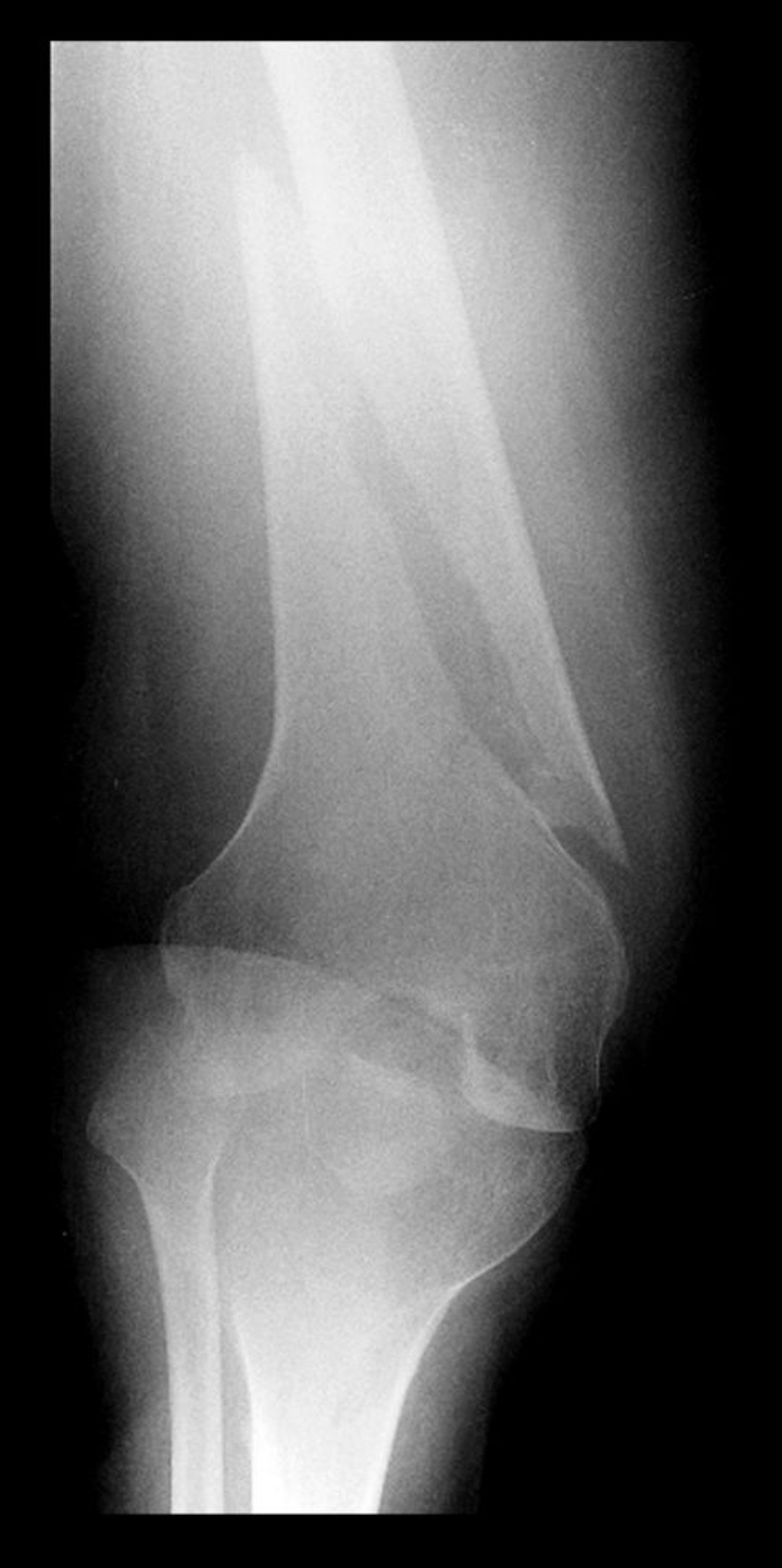
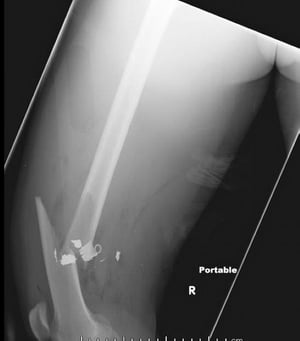
Frattura mediale della diafisi femorale (1)
Frattura mediale della diafisi femorale (1)

Questa immagine mostra una frattura comminuta, angolata e accorciata mediale della diafisi femorale.

Questa immagine mostra una frattura comminuta, angolata e accorciata mediale della diafisi femorale.

Image courtesy of Danielle Campagne, MD.

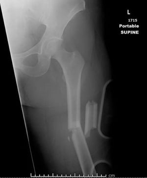
Frattura mediale della diafisi femorale (2)
Frattura mediale della diafisi femorale (2)

Questa radiografia di profilo del femore mostra una frattura mediale della diafisi femorale con aria nei tessuti molli e corpi estranei di densità metallica trattenuti.

Questa radiografia di profilo del femore mostra una frattura mediale della diafisi femorale con aria nei tessuti molli

... maggiori informazioni

Image courtesy of Danielle Campagne, MD.

Relazione spaziale tra i frammenti della frattura

Si possono avere distrazione, scomposizione, angolazione o accorciamento (sovrapposizione).

La distrazione è una separazione sull'asse longitudinale.

La scomposizione è il grado con cui gli estremi della frattura sono fuori dall'allineamento fisiologico l'uno con l'altro; è descritta in millimetri o in percentuale di larghezza dell'osso.

L'angolazione è l'angolo formato dal frammento distale rispetto al frammento prossimale.

La scomposizione e l'angolazione possono avvenire rispetto ai piani volare-dorsale, laterale-mediale o entrambi.

Riferimenti relativi alla valutazione

  1. 1. Gustilo RB, Anderson JT. Prevention of infection in the treatment of one thousand and twenty-five open fractures of long bones: retrospective and prospective analyses. J Bone Joint Surg Am. 1976;58(4):453-458.

  2. 2. Kim PH, Leopold SS. In brief: Gustilo-Anderson classification. [corrected] [published correction appears in Clin Orthop Relat Res. 2012 Dec;470(12):3624] [published correction appears in Clin Orthop Relat Res. 2019 Oct;477(10):2388. doi: 10.1097/CORR.0000000000000950]. Clin Orthop Relat Res. 2012;470(11):3270-3274. doi:10.1007/s11999-012-2376-6

  3. 3. Gomes YE, Chau M, Banwell HA, Causby RS. Diagnostic accuracy of the Ottawa ankle rule to exclude fractures in acute ankle injuries in adults: a systematic review and meta-analysis. BMC Musculoskelet Disord. 2022;23(1):885. Published 2022 Sep 23. doi:10.1186/s12891-022-05831-7

Trattamento delle fratture

  • Riduzione in base al caso, immobilizzazione, e analgesia

  • RICE (riposo, ghiaccio, compressione ed elevazione) o PRICE (protezione [con un tutore o un gesso], riposo, ghiaccio, compressione ed elevazione) come indicato

  • Generalmente immobilizzazione

  • Talvolta chirurgia

  • Trattamento delle lesioni associate

Trattamento iniziale

Gravi problemi associati, se presenti, vengono trattati per primi. Lo shock emorragico va trattato immediatamente. Le lesioni delle arterie sono riparate chirurgicamente a meno che il danno non riguarda solo piccole arterie con un buon circolo collaterale. La sindrome compartimentale viene trattata, se presente.

I nervi recisi vengono riparati chirurgicamente; per neuropraxia e assonotmesi, il trattamento iniziale consiste solitamente in osservazione, misure di supporto e talvolta fisioterapia.

Le sospette fratture esposte richiedono una medicazione sterile, una profilassi antitetanica, antibiotici ad ampio spettro (p. es., un'associazione di una cefalosporina di 2a generazione con un aminoglicoside) ed un intervento chirurgico per irrigarle e sbrigliarle (e quindi prevenire l'infezione). Per ridurre al minimo il rischio di infezione nelle fratture esposte, gli antibiotici EV devono essere somministrati precocemente, per esempio entro 1 h dalla presentazione al pronto soccorso (1).

La maggior parte delle fratture moderate e gravi, particolarmente quelle grossolanamente instabili o quelle con deformità che causano tensione della pelle con possibile necrosi cutanea, sono ridotte e immobilizzate immediatamente mediante splintaggio (immobilizzazione con un dispositivo non rigido o non circonferenziale) per ridurre il dolore e prevenire ulteriori lesioni ai tessuti molli da fratture instabili. Nei soggetti con fratture delle ossa lunghe, l'immobilizzazione può prevenire l'embolia grassosa.

Il dolore viene trattato il più presto possibile spesso con l'uso di oppioidi o con blocchi nervosi regionali. Se un paziente ha una frattura degli arti isolati e non si sospetta la sindrome compartimentale, può essere utilizzata l'anestesia regionale; questo approccio può aiutare a minimizzare l'uso di oppioidi e fornisce un maggiore sollievo dal dolore rispetto agli oppioidi da soli (2).

Dopo il trattamento iniziale, le fratture sono ridotte, immobilizzate, e trattate in modo sintomatico, come indicato.

Riduzione

Il mal allineamento rotazionale o per un'importante angolazione o per scomposizione delle fratture è tipicamente trattato con una riduzione (riallineamento delle ossa o dei frammenti ossei con la manipolazione), che di solito richiede analgesia e/o sedazione. Le eccezioni includono alcune fratture nei bambini in cui il rimodellamento nel corso del tempo può correggere le malformazioni significative.

Quando è possibile, si ricorre alla riduzione chiusa (mediante manipolazione, senza incisione cutanea). Se la riduzione chiusa non è possibile, viene eseguita una riduzione cruenta (con incisione cutanea); è richiesta l'anestesia.

La riduzione chiusa delle fratture viene di solito mantenuta tramite un gesso, ma alcune fratture richiedono solo una stecca o un bendaggio.

La riduzione aperta viene di solito ottenuta da vari mezzi di sintesi chirurgici, esterni e/o interni. Nella riduzione a cielo aperto con fissazione interna, i frammenti di frattura sono riallineati e tenuti in posizione utilizzando una combinazione di chiodi, viti e placche. La riduzione a cielo aperto con fissazione interna è indicata generalmente quando

  • La frattura intra-articolare è scomposta (per allineare con precisione la superficie articolare).

  • La riduzione a cielo aperto con fissazione interna ha dimostrato di avere migliori risultati rispetto al trattamento non chirurgico per alcuni tipi di frattura.

  • La riduzione chiusa è inefficace.

  • Le fratture patologiche si verificano in un osso indebolito da un tumore; tale osso non guarisce normalmente, e la tecnica di riduzione a cielo aperto con fissazione interna riduce il dolore più rapidamente di altri trattamenti e rende possibile la deambulazione in tempi brevi.

  • L'immobilità prolungata (necessaria per la guarigione della frattura) non è auspicabile (p. es., per le fratture dell'anca o della diafisi femorale); la riduzione a cielo aperto con fissazione interna fornisce una stabilità strutturale precoce, minimizza il dolore, e facilita la mobilizzazione.

PRICE (protezione, riposo [rest], ghiaccio [ice], compressione, elevazione)

La terapia PRICE (protezione, riposo, ghiaccio, compressione ed elevazione) può essere vantaggiosa.

La protezione aiuta a prevenire ulteriori lesioni. Può comportare la limitazione dell'uso della parte lesa, applicando una stecca o un gesso, o usando le stampelle.

Il riposo può prevenire ulteriori danni e velocizza la guarigione.

Il ghiaccio e la compressione possono ridurre il gonfiore e il dolore. Il ghiaccio è avvolto in una busta di plastica o in un asciugamano ed è applicato in modo discontinuo durante le prime 24-48 h (da 15 a 20 min, il più frequentemente possibile). Le lesioni possono essere compresse con un tutore, un bendaggio elastico o, per alcune lesioni che possono causare un grave gonfiore, un bendaggio compressivo di Jones. Il bendaggio di Jones è composto da 4 strati; il 1o strato (il più interno) e il 3o strato sono di ovatta, mentre il 2o e il 4o strato sono bende elastiche.

Elevare l'arto leso sopra il livello del cuore durante i primi 2 giorni in una posizione che favorisca un flusso discendente ininterrotto; tale posizione consente alla forza di gravità di drenare il liquido edematoso e minimizzare il gonfiore.

Dopo 48 h, l'applicazione periodica di calore (p. es., un impacco caldo) per 15-20 minuti può alleviare il dolore e accelerare la guarigione.

Immobilizzazione

L'immobilizzazione diminuisce il dolore e facilita la guarigione, prevenendo ulteriori danni e mantenendo i monconi della frattura in allineamento. L'articolazione prossimale e quella distale alla lesione devono essere immobilizzate.

La maggior parte delle fratture viene immobilizzata per settimane in un cast (un dispositivo rigido avvolgente l'arto). Alcune fratture stabili che guariscono rapidamente (p. es., fratture del polso nei bambini) non vengono immobilizzate con un gesso; una mobilizzazione precoce dai migliori risultati.

Un gesso è solitamente utilizzato per le fratture che richiedono settimane di immobilizzazione. Raramente, un gonfiore sotto un tutore rigido è abbastanza grave da provocare una sindrome compartimentale. Se il medico sospetta un importante gonfiore sotto il gesso, il gesso stesso (e tutte le sue imbottiture) viene aperto da un capo all'altro medialmente e lateralmente (bivalva).

Ai pazienti portatori di un gesso devono essere fornite istruzioni scritte, tra cui le seguenti:

  • Mantenere il gesso asciutto.

  • Mantenere pulita e asciutta l'area di pelle esposta attorno ai bordi del gesso.

  • Mai inserire un oggetto all'interno del gesso.

  • Ispezionare quotidianamente i bordi del gesso e la cute circostante e segnalare eventuali aree arrossate o dolenti.

  • Imbottire eventuali rugosità con morbido nastro adesivo, tessuto, o altro materiale morbido per evitare che i bordi del tutore possano lesionare la pelle.

  • A riposo, posizionare il tutore con attenzione, possibilmente utilizzando un piccolo cuscino o imbottitura, per evitare che il bordo pizzichi o comprima la pelle.

  • Quando possibile sollevare l'arto ingessato per domare il gonfiore.

  • Consultare immediatamente un medico se il dolore persiste o se il gesso risulta eccessivamente stretto.

  • Consultare immediatamente un medico se dal gesso emana cattivo odore o se si sviluppa febbre, che potrebbe indicare un'infezione.

  • Richiedere immediatamente un consulto medico in caso di progressivo peggioramento del dolore o di qualsiasi nuovo intorpidimento o debolezza che possano indicare sindrome compartimentale.

Una stecca (vedi figura Immobilizzazione dell'articolazione interessata come trattamento acuto: alcune tecniche comunemente usate) può essere utilizzata per immobilizzare alcune lesioni stabili, incluse alcune fratture sospette ma non confermate e fratture a guarigione rapida che richiedono l'immobilizzazione per diversi giorni o meno. Una stecca non circonda l'arto; quindi, consente ai pazienti di applicare ghiaccio e spostare l'arto di più di quanto farebbero con un gesso. Inoltre, consente un certo gonfiore, quindi non contribuisce alla sindrome compartimentale. Alcune lesioni che richiedono in ultima analisi un gesso, sono immobilizzate inizialmente con una stecca fino alla risoluzione dell'edema.

Come applicare i presidi di immobilizzazione
Come applicare una stecca posteriore per la caviglia
Come applicare una stecca posteriore per la caviglia
Come applicare un immobilizzatore per il ginocchio
Come applicare un immobilizzatore per il ginocchio
Come applicare una stecca lunga per il braccio
Come applicare una stecca lunga per il braccio
Come applicare una stecca Sugar Tong per la caviglia
Come applicare una stecca Sugar Tong per la caviglia
Come applicare una stecca per il pollice
Come applicare una stecca per il pollice
Come applicare una stecca ulnare
Come applicare una stecca ulnare
Come applicare un gesso corto alla gamba
Come applicare un gesso corto alla gamba
Come applicare un reggibraccio a tracolla e un tutore di spalla
Come applicare un reggibraccio a tracolla e un tutore di spalla
Come applicare un gesso corto al braccio
Come applicare un gesso corto al braccio
Come applicare una stecca volare per il braccio
Come applicare una stecca volare per il braccio

Immobilizzazione dell'articolazione interessata come trattamento acuto: alcune tecniche comunemente usate

Il tutore fornisce un certo grado di supporto e comfort e limita la mobilità; può essere utile per alcune fratture (p. es., fratture della clavicola minimamente scomposte, alcune fratture prossimali dell'omero), soprattutto se l'immobilizzazione completa non è auspicabile (p. es., per lesioni alla spalla che, se completamente immobilizzate, possono portare rapidamente a capsulite adesiva [spalla congelata]).

Una fascia (un pezzo di stoffa o una cinghia) può essere utilizzata con un tutore per evitare che il braccio oscilli verso l'esterno, soprattutto di notte. La fascia è avvolta attorno alla schiena e sulla parte lesa. A volte, una fascia viene utilizzata con un tutore per immobilizzare le fratture monocomponenti dell'omero prossimale.

Il riposo a letto, che a volte è necessario per le fratture (p. es., alcune fratture vertebrali o pelviche), può causare problemi (p. es., trombosi venosa profonda, infezione delle vie urinarie, decondizionamento muscolare).

L'immobilizzazione prolungata di un'articolazione può causare rigidità, retrazioni e atrofia muscolare e di solito non è raccomandata. Queste complicanze possono insorgere rapidamente e possono essere permanenti, particolarmente nei pazienti anziani. Alcune lesioni a guarigione rapida sono trattate meglio con la ripresa del movimento attivo nei primi giorni o settimane. La mobilizzazione precoce può minimizzare le contratture e l'atrofia muscolare, accelerando così il recupero funzionale. Le stecche e le ingessature devono immobilizzare le articolazioni in posizioni che ottimizzano la probabilità di ritorno della piena funzionalità (p. es., l'immobilizzazione delle articolazioni metacarpofalangee deve posizionare le articolazioni metacarpofalangee in flessione per mantenere l'allungamento dei tendini della mano).

I fisioterapisti possono consigliare ai pazienti cosa possono fare durante l'immobilizzazione per mantenere la massima funzionalità possibile. Dopo l'immobilizzazione, i fisioterapisti possono fornire ai pazienti esercizi per migliorare la gamma di movimenti e la forza muscolare, rafforzare e stabilizzare l'articolazione coinvolta, e quindi aiutare a prevenire recidive e compromissione a lungo termine.

Altre procedure

L'artroplastica (sostituzione articolare) può essere necessaria, di solito quando le fratture danneggiano gravemente l'estremità superiore del femore o dell'omero.

L'innesto osseo può essere eseguito immediatamente se lo spazio tra i frammenti ossei è troppo ampio. Può essere eseguito in seguito se la guarigione è ritardata (ritardo di consolidazione) o non avviene (pseudoartrosi).

Riferimenti relativi al trattamento

  1. 1. Lack WD, Karunakar MA, Angerame MR, et al. Type III open tibia fractures: immediate antibiotic prophylaxis minimizes infection. J Orthop Trauma. 29(1):1–6, 2015. doi: 10.1097/BOT.0000000000000262. Erratum in: J Orthop Trauma. 29(6):e213, 2015. PMID: 25526095

  2. 2. Beaudoin FL, Haran JP, Liebmann O. A comparison of ultrasound-guided three-in-one femoral nerve block versus parenteral opioids alone for analgesia in emergency department patients with hip fractures: A randomized controlled trial. Acad Emerg Med. 20(6):584–591, 2013. doi: 10.1111/acem.12154

Elementi di geriatria: fratture

Gli anziani sono predisposti alle fratture per i seguenti motivi:

  • Una tendenza a cadere frequentemente (p. es., a causa della perdita propriocettiva legata all'età, effetti avversi dei farmaci sulla propriocezione o sui riflessi posturali, ipotensione ortostatica)

  • Riflessi protettivi deteriorati durante le cadute

  • L'osteoporosi, che diventa più comune con l'invecchiamento

Le fratture comuni dovute a cadute comprendono le fratture del radio distale, dell'omero prossimale, delle pelvi, del femore prossimale, e delle vertebre.

Per i pazienti anziani, lo scopo del trattamento è il rapido ritorno alle normali attività autonome della vita quotidiana piuttosto che il ripristino del perfetto allineamento e della lunghezza dell'arto.

Poiché l'immobilità (immobilizzazione articolare o riposo a letto) è più probabile che abbia effetti avversi (p. es., decondizionamento, piaghe da decubito) nei pazienti anziani, l'uso della riduzione a cielo aperto con fissazione interna (ORIF) per trattare le fratture dell'arto inferiore è preferito nei pazienti anziani senza problemi di salute che renderebbero inaccettabilmente rischioso l'intervento chirurgico.

La mobilizzazione precoce (possibilmente eseguita dopo tecnica di riduzione a cielo aperto con fissazione interna) e la fisioterapia precoce sono essenziali per il recupero funzionale.

Disturbi coesistenti (p. es., l'artrosi), possono interferire con il recupero.

Punti chiave

  • Le fratture che interrompono l'irrorazione arteriosa e/o causano una sindrome compartimentale minacciano la vitalità dell'arto e possono alla fine minacciare la vita.

  • Verificare la presenza di lesioni dei legamenti, dei tendini, e dei muscoli, così come di fratture; la presenza di una frattura può limitare o ritardare questa valutazione.

  • Esaminare le articolazioni sopra e sotto la zona lesa.

  • Considerare dolore riferito, in particolare se i segni fisici sono normali in un'articolazione che i pazienti riferiscono come dolorosa (p. es., dolore al ginocchio in pazienti con una frattura all'anca).

  • Per molte lesioni delle estremità distali (p. es., alcune lesioni alle dita dei piedi dal 2° al 5°, alcune distorsioni della caviglia), non è necessario eseguire radiografie per verificare la presenza di fratture, poiché la presenza di una frattura non cambierebbe il trattamento.

  • Considerare di utilizzare la RM (a volte anche la TC) quando le radiografie sono normali, ma la frattura è fortemente sospettata clinicamente (p. es., in una persona anziana che ha dolore all'anca e non può camminare dopo una caduta con radiografie iniziali normali).

  • Trattare subito le gravi lesioni associate, steccare le lesioni instabili, e, non appena possibile, trattare il dolore e ridurre alcune fratture angolate o spostate.

  • Immobilizzare immediatamente le fratture instabili; utilizzare un gesso o una stecca per immobilizzare tutte le fratture che richiedono una riduzione, non appena ridotte.

  • Trattare le fratture con la tecnica PRICE (protezione, riposo, ghiaccio, compressione, elevazione).

  • Fornire ai pazienti esplicite istruzioni scritte sulla cura con il tutore gessato.

  • Quando si trattano gli anziani, di solito scegliere il metodo terapeutico che si risolve con una precoce mobilizzazione.

quizzes_lightbulb_red
Test your KnowledgeTake a Quiz!
iOS ANDROID
iOS ANDROID
iOS ANDROID