Un ascesso cerebrale è una raccolta intracerebrale di pus. I sintomi possono comprendere cefalea, letargia, febbre e deficit neurologici focali. La diagnosi si effettua con la TC o con la RM con mezzo di contrasto. Il trattamento consiste in antibiotici e di solito aspirazione stereotassica guidata da TC o drenaggio chirurgico.
(Vedi anche Introduzione a infezioni cerebrali.)
Un ascesso si forma quando un'area di flogosi cerebrale diventa necrotica e viene incapsulata da cellule gliali e fibroblasti. L'edema che circonda l'ascesso può aumentare la pressione endocranica, così come l'ascesso stesso.
Eziologia dell'ascesso cerebrale
Un ascesso cerebrale può derivare da
Estensione diretta di infezioni a partenza da altri distretti cranici (p. es., osteomielite, mastoidite, sinusite ed empiema subdurale)
Ferite penetranti del cranio (comprese le procedure neurochirurgiche)
Diffusione per via ematogena (p. es., in caso di endocardite batterica [1], malattie cardiache congenite con shunt destro-sinistro o abuso di droghe per EV)
Cause sconosciute
I batteri coinvolti sono di solito anaerobi e talvolta misti, trattasi spesso di anaerobi, come i Bacteroides e gli streptococchi anaerobi e microaerofili. I stafilococchi sono comunemente coinvolti dopo traumi cranici, neurochirurgia o endocardite. Le enterobacteriaceae possono essere isolate nelle infezioni croniche dell'orecchio. Dopo l'otite media cronica suppurativa, batteri anaerobi, streptococchi e batteri Gram-negativi sono cause frequenti.
Gli ascessi possono anche essere causati da funghi (p. es., Aspergillus) e protozoi (p. es., Toxoplasma gondii, specialmente nei pazienti infettati dall'HIV).
Riferimenti relativi all'eziologia
1. Bakshi R, Wright PD, Kinkel PR, et al: Cranial magnetic resonance imaging findings in bacterial endocarditis: The neuroimaging spectrum of septic brain embolization demonstrated in twelve patients. J Neuroimaging 9(2):78-84, 1999. doi: 10.1111/jon19999278
Sintomatologia dell'ascesso cerebrale
I sintomi derivano dall'aumento della pressione endocranica, dall'effetto massa e talvolta da lesioni cerebrali focali. Normalmente sintomi quali cefalea, nausea, vomito, letargia, convulsioni, cambiamenti della personalità, papilledema e deficit neurologici focali si sviluppano nel giro di giorni o settimane; tuttavia, questo tipo di sintomatologia può manifestarsi in maniera molto sfumata o essere del tutto assente per tutto il decorso clinico.
Febbre, brividi e leucocitosi possono presentarsi prima che l'infezione sia incapsulata, ma possono risultare assenti all'insorgenza, regredire nel tempo, o non svilupparsi.
Diagnosi dell'ascesso cerebrale
RM con mezzo di contrasto o, se non disponibile, TC con contrasto
Quando i sintomi suggeriscono un ascesso, si effettua RM con mezzo di contrasto con immagini pesate in diffusione o, se la RM è non disponibile, TC con contrasto. Uno sviluppo completo dell'ascesso appare come una massa edematosa con un anello di ipercaptazione (enhancement) del mezzo di contrasto, che può essere difficile da distinguere da un tumore cerebrale o, più raramente, da un infarto; al fine diagnostico possono pertanto rendersi necessari un drenaggio TC-guidata, la coltura, l'escissione chirurgica o una combinazione dei precedenti.
La coltura del pus aspirato dall'ascesso può rendere mirata la terapia antibiotica dell'ascesso. Tuttavia, gli antibiotici non vanno sospesi fino a quando i risultati della coltura non saranno disponibili.
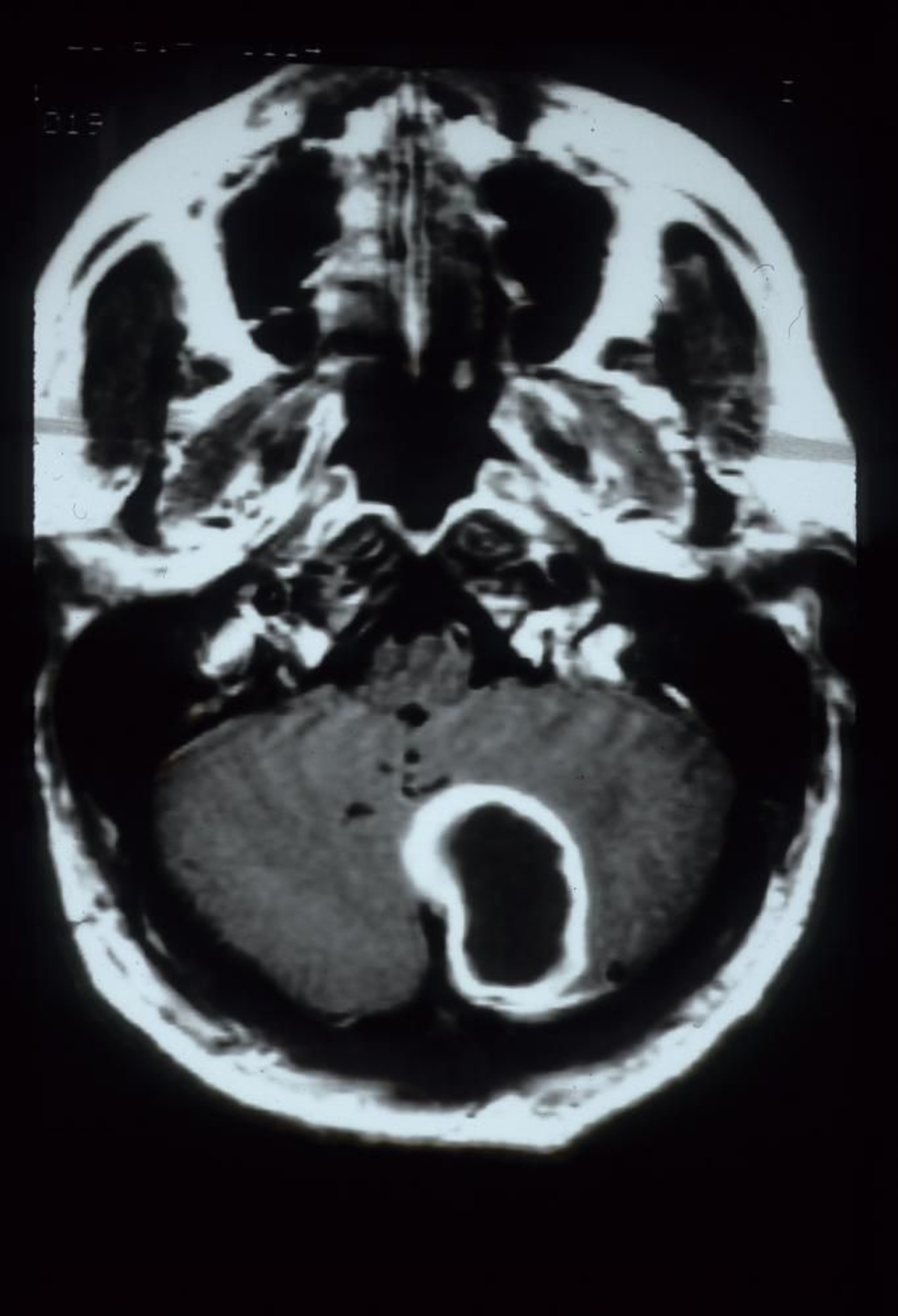
Questa scansione RM potenziata con gadolinio mostra un ascesso cerebellare, che appare come una grande lesione cavitaria a bordi intensi nell'emisfero cerebellare sinistro.
Courtesy of John E. Greenlee, MD.
La rachicentesi non viene effettuata poiché il procedimento può causare un'erniazione transtentoriale ed i segni rilevabili nel liquido cerebrospinale sono aspecifici (vedi tabella ).
Trattamento dell'ascesso cerebrale
Antibiotici (come terapia empirica iniziale cefotaxime o ceftriaxone, più metronidazolo per Bacteroides spp o più vancomicina per Staphylococcus aureus basandosi sul sospetto clinico, per poi successivamente adeguare la terapia in base al risultato della coltura e delle prove di sensibilità)
Di solito aspirazione stereotassica o drenaggio chirurgico TC-guidati
A volte corticosteroidi, anticonvulsivanti o entrambi
A tutti i pazienti vengono somministrati antibiotici per un minimo di 4-8 settimane (1). Gli antibiotici empirici iniziali comprendono uno dei seguenti:
Cefotaxime
Ceftriaxone
Entrambi sono efficaci contro gli streptococchi, le Enterobacteriaceae, e la maggior parte dei batteri anaerobi eccetto contro i Bacteroides fragilis. In caso di sospetto clinico di infezione da Bacteroides spp (come nella sinusite o nell'otite croniche), il metronidazolo è necessario. Qualora vi sia sospetto di infezione da S. aureus (p. es., dopo un trauma cranico o neurochirurgia o in un'endocardite), si somministra vancomicina (associata a cefotaxime o ceftriaxone) finché non si sarà stabilita la sensibilità alla nafcillina. La risposta agli antibiotici deve essere valutata mediante controlli seriati con RM o TC.
Il drenaggio (TC-guidato per via stereotassica o a cielo aperto) è la terapia ottimale e si rende necessario per la maggior parte degli ascessi singoli e posti in siti accessibili chirurgicamente, in particolare quando hanno dimensioni > 2 cm. Per ascessi di dimensioni < 2 cm di diametro si può utilizzare la sola terapia antibiotica, per poi monitorarli con controlli seriati con frequenti RM o TC (inizialmente ogni 2 o 3 giorni); se tali ascessi dopo essere stati trattati con la terapia antibiotica dovessero aumentare di volume sarà necessario effettuare il drenaggio chirurgico.
I pazienti con aumento della pressione endocranica (valutati da segni e risultati di neuroimaging) possono trarre beneficio da un breve ciclo di corticosteroidi ad alto dosaggio (desametasone 10 mg EV 1 volta, poi 4 mg EV ogni 6 h per 3 o 4 giorni).
I farmaci anticonvulsivanti sono spesso usati per prevenire le crisi.
La velocità di guarigione dipende dalla riuscita dell'eradicazione degli ascessi e dallo stato immunitario del paziente.
Se i pazienti immunocompromessi (p. es., i pazienti con infezione da HIV non controllata) hanno un ascesso dovuto a Toxoplasma gondii o a un micete, possono dover assumere antibiotici per il resto della loro vita.
Riferimento relativo al trattamento
1. Widdrington JD, Bond H, Schwab U, et al: Pyogenic brain abscess and subdural empyema: Presentation, management, and factors predicting outcome. Infection 46(6):785-792, 2018. doi: 10.1007/s15010-018-1182-9
Punti chiave
Un ascesso cerebrale può derivare da estensione diretta da altri siti cranici (p. es., mastoidite, osteomielite, sinusite o empiema subdurale), ferite penetranti (anche dovute alla neurochirurgia) o propagazione ematogena.
Cefalea, nausea, vomito, letargia, convulsioni, cambiamenti della personalità, papilledema e deficit neurologici focali si sviluppano nel giro di giorni o settimane; la febbre può essere assente all'esordio.
Eseguire la RM con mezzo di contrasto o, se non è disponibile la RM, la TC con mezzo di contrasto.
È necessario trattare tutti gli ascessi cerebrali con antibiotici (di solito inizialmente con ceftriaxone o cefotaxime più metronidazolo in caso di sospetto di infezione da Bacteroides spp o con più vancomicina se si sospetta un'infezione da S. aureus), a tale terapia normalmente deve far seguito l'aspirazione stereotassica TC-guidata o il drenaggio chirurgico.
Gli ascessi < 2 cm di diametro possono essere trattati con la sola terapia antibiotica, e dovranno poi essere attentamente monitorati con la RM o la TC; se dopo la terapia antibiotica tali ascessi aumenteranno di dimensione sarà necessario eseguire il drenaggio chirurgico.



