I tumori ossei non cancerosi sono benigni, il che significa che non sono tumori maligni e in generale si diffondono raramente o mai ad altre aree del corpo. Tuttavia, possono causare problemi poiché possono indebolire le ossa, interferire con il movimento articolare o distruggere il tessuto sano circostante.
I tumori benigni possono essere indolori, ma spesso causano dolore osseo. In alcuni casi il dolore può essere grave. Può manifestarsi a riposo o di notte e tende a peggiorare progressivamente.
(Vedere anche Panoramica sui tumori ossei.)
Condroblastomi
I condroblastomi sono tumori rari che crescono a livello delle estremità delle ossa. Di solito si presentano in soggetti di 10-20 anni di età. Questi tumori possono causare dolore.
Per diagnosticare un condroblastoma, il medico esegue una radiografia ed eventualmente altri esami diagnostici, come ad esempio una risonanza magnetica per immagini (RMI). Il medico preleva anche un campione di tessuto per l’esame al microscopio (biopsia).
Radiografia della spalla che mostra un condroblastoma all’estremità dell’osso del braccio (frecce).
Per gentile concessione di Michael J. Joyce, MD e Hakan Ilaslan, MD.
Se non trattati, questi tumori possono continuare a crescere, distruggendo l’osso e l’articolazione. Pertanto il trattamento consiste nella rimozione chirurgica e nell’inserimento di un innesto osseo (trapianto di tessuto osseo da un osso all’altro) che sostituisce l’osso prelevato. Il materiale da innestare può provenire da tessuto osseo rimosso dal bacino del paziente (autoinnesto), da tessuto osseo elaborato proveniente da un’altra persona (alloinnesto) o da un sostituto osseo sintetico. Talvolta, questi tumori si ripresentano dopo l’intervento chirurgico.
Fibromi condromixoidi
I fibromi condromixoidi sono tumori molto rari, che si sviluppano in genere in persone di età inferiore ai 30 anni. Sono solitamente posizionati su un lato in vicinanza delle estremità delle ossa (gli arti). Il dolore è il sintomo usuale.
La diagnosi di fibroma condromixoide viene formulata mediante radiografie e RMI. Per confermare la diagnosi, si procede anche a una biopsia.
Radiografia del ginocchio che mostra un condromixofibroma (frecce) sull’osso dello stinco sotto al ginocchio.
Per gentile concessione di Michael J. Joyce, MD e Hakan Ilaslan, MD.
Il trattamento dei fibromi condromixoide consiste nella rimozione chirurgica, che in genere è curativa. A volte, però, questi tumori si ripresentano.
Encondromi
Gli encondromi possono manifestarsi a qualsiasi età, ma tendono a insorgere nei soggetti di età compresa fra 10 e 40 anni. Si sviluppano nella parte centrale (cavità midollare) delle ossa lunghe.
In genere non causano sintomi, ma alcuni possono crescere e provocare dolore.
Spesso i tumori vengono rilevati nel corso di esami radiografici effettuati per altri motivi e spesso i medici li diagnosticano in base all’immagine radiografica.
Se il tumore non è identificabile con certezza dalle radiografie o se causa dolore, può essere necessario prelevare un campione di tessuto da esaminare al microscopio (biopsia) per confermare la diagnosi di encondroma ed escludere la possibilità di un tumore maligno.
Se un encondroma non causa dolore ed esami radiografici ripetuti non mostrano alcun ingrossamento, non è necessario rimuoverlo o trattarlo.
Gli encondromi possono mutare in un tumore osseo canceroso (maligno) detto condrosarcoma. Questa trasformazione è rara nei soggetti che hanno un solo encondroma, mentre è più comune in coloro che presentano encondromi multipli (detta encondromatosi).
Radiografia dell’osso della coscia (femore) che mostra depositi di calcio all’interno dell’osso (frecce) tipici dell’encondroma.
Per gentile concessione di Michael J. Joyce, MD e Hakan Ilaslan, MD.
Per monitorare eventuali variazioni delle dimensioni del tumore e accertarsi che non si sia trasformato in condrosarcoma, potrebbero essere necessarie radiografie di controllo.
Displasia fibrosa
La displasia fibrosa è uno sviluppo osseo anomalo che si verifica durante l’infanzia. Può colpire un solo osso o più ossa. Le ossa più colpite sono quelle del bacino o delle anche.
I bambini possono presentare voglie e segni di pubertà precoce che indicano un disturbo detto sindrome di Albright (o sindrome di McCune-Albright). La crescita anomala delle ossa smette solitamente di svilupparsi alla pubertà. Questa condizione diventa raramente cancerogena (maligna).
Spesso viene scoperta tramite radiografie eseguite per altri motivi. Se gli esiti della radiografia non sono chiari, il medico esegue una biopsia.
I bifosfonati, farmaci che trattano l’osteoporosi rallentando il processo di degradazione delle ossa, possono essere somministrati in vena per aiutare ad alleviare il dolore. La procedura chirurgica può favorire la correzione di deformità, di fratture che non guariscono nonostante l’ingessatura oppure di un dolore che non si riesce a calmare in altri modi.
Tumori benigni a cellule giganti
I tumori benigni (non cancerosi) a cellule giganti (giant cell tumors, GCT) di solito si sviluppano in soggetti tra i 20 e i 40 anni di età. Questi tumori hanno origine soprattutto nelle estremità delle ossa e possono estendersi ai tessuti adiacenti. Possono causare dolore.
Per diagnosticare i tumori benigni a cellule giganti, si eseguono innanzitutto delle radiografie. Dato che questi tumori si diffondono (metastatizzano) raramente ai polmoni, il medico potrebbe ordinare una tomografia computerizzata (TAC) del torace. Inoltre, esegue una biopsia per assicurarsi che il tumore sia benigno.
Il trattamento dei tumori benigni a cellule giganti dipende dalle dimensioni del tumore. Un tumore può essere asportato chirurgicamente e la zona rimasta vuota può essere riempita con un innesto osseo, un innesto osseo sintetico o con cemento osseo sintetico (metilmetacrilato) per preservare la struttura dell’osso. Talvolta tumori molto estesi possono richiedere l’asportazione del segmento osseo interessato e la ricostruzione dell’articolazione. Il trattamento più comune è una procedura chirurgica detta raschiamento radicale, in cui il tumore viene aggressivamente raschiato con uno strumento a forma di cucchiaio e la cavità viene ulteriormente svuotata utilizzando un fresa ad alta velocità. Dopodiché, i medici possono trattare la cavità con fenolo chimico o congelarla con azoto liquido e riempirla con cemento osseo sintetico. Questi trattamenti contribuiscono a ridurre il rischio di recidiva del tumore. Dopo il trattamento, la ricorrenza dei tumori è di circa il 10%. I tumori a cellule giganti raramente diventano maligni. Se il tumore non è accessibile per la completa asportazione mediante un intervento chirurgico, per il trattamento si può essere utilizzare l’anticorpo monoclonale denosumab. Denosumab viene spesso utilizzato prima dell’intervento chirurgico per solidificare l’involucro esterno del tumore a cellule giganti e consentire un raschiamento più aggressivo.
Fibroma non ossificante (difetto corticale fibroso, fibroxantoma)
Un fibroma non ossificante è un’anomalia che si verifica quando parte dell’osso non si indurisce normalmente e, anziché essere pieno di tessuto osseo, è pieno di tessuto fibroso. Un fibroma non ossificante molto piccolo viene detto difetto corticale fibroso. I fibromi non ossificanti sono comuni nei bambini. In genere si sviluppano in prossimità delle estremità delle ossa delle gambe.
La maggior parte dei fibromi non ossificanti alla fine s’indurisce, a volte più dell’osso normale. I fibromi non ossificanti piccoli non causano sintomi. Tuttavia, alcuni piccoli fibromi possono crescere e causare dolore, oltre ad aumentare il rischio di rottura (frattura).
Il più delle volte i fibromi non ossificanti vengono individuati da una radiografia eseguita per un altri motivi.
Radiografia che mostra un fibroma non ossificante (frecce) del femore sopra al ginocchio.
Per gentile concessione di Michael J. Joyce, MD e Hakan Ilaslan, MD.
I fibromi non ossificanti piccoli non hanno bisogno di trattamento. Tuttavia, i fibromi che causano dolore o che crescono molto vengono rimossi e nella cavità rimasta viene inserito un innesto osseo.
Osteoblastomi
Gli osteoblastomi sono tumori benigni rari. Alcuni medici li considerano semplicemente grandi osteomi osteoidi. Gli osteoblastomi sono molto più diffusi tra i maschi e in genere si sviluppano tra i 10 e i 35 anni d’età. Questi tumori si formano nelle ossa della colonna vertebrale, delle gambe, delle mani e dei piedi. Crescono lentamente causando la distruzione dell’osso normale e sono dolorosi.
Per la diagnosi degli osteoblastomi, il medico esegue una radiografia e altri esami diagnostici come la tomografia computerizzata (TC) e la risonanza magnetica per immagini (RMI). Per confermare la diagnosi di osteoblastoma, il medico preleva un campione di tessuto e lo esamina al microscopio (biopsia).
Il trattamento degli osteoblastomi è di tipo chirurgico. Spesso i tumori vengono rimossi e successivamente viene inserito un innesto osseo (trapianto di tessuto osseo da un osso all’altro) per riempire la cavità rimasta. Talvolta i tumori recidivano dopo l’intervento chirurgico, ma non si diffondono (metastatizzano) ad altre parti del corpo.
Osteocondromi
Gli osteocondromi (esostosi osteocartilaginee), il tipo più comune di tumori ossei non cancerosi, di solito insorgono nei soggetti di età compresa fra i 10 e i 20 anni. Questi tumori appaiono come noduli duri che sporgono dalla superficie di un osso. Un soggetto può avere uno o più tumori. La tendenza a sviluppare diversi tumori può avere carattere familiare.
In un determinato momento della vita, circa il 10% dei soggetti che hanno più di un osteocondroma (detta osteocondromatosi multipla) può sviluppare un tumore osseo canceroso (maligno) detto condrosarcoma (presumibilmente formatosi da un osteocondroma esistente). I soggetti affetti da osteocondromatosi multipla devono recarsi dal medico regolarmente per le visite di controllo. Tuttavia, una persona che presenta un solo osteocondroma difficilmente svilupperà un condrosarcoma. Pertanto in genere in caso di un solo osteocondroma non è necessaria la rimozione chirurgica, a meno che non causi sintomi.
Il medico esegue una radiografia per visualizzare i noduli sulla superficie dell’osso. La maggior parte degli osteocondromi viene diagnosticata mediante una radiografia. Talvolta, in particolare se i riscontri delle radiografie non sono chiari, vengono anche eseguiti esami diagnostici come la risonanza magnetica per immagini (RMI) o, a volte, la tomografia computerizzata (TC).
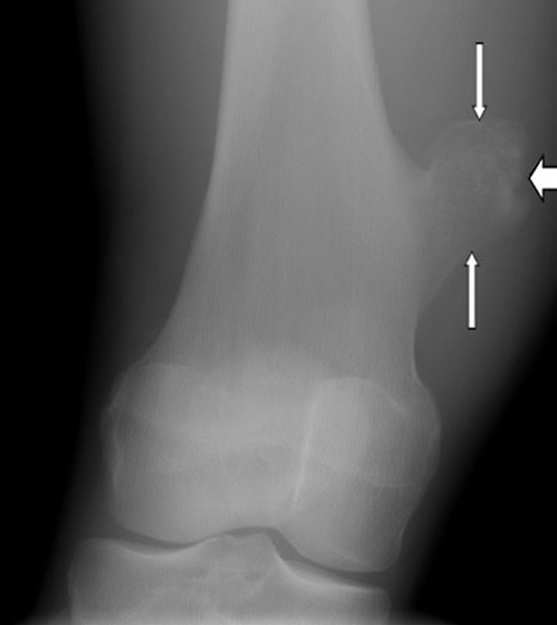
Radiografia del ginocchio che mostra un osteocondroma, la neoplasia sulla superficie del femore (frecce) al di sopra dell’articolazione del ginocchio.
Per gentile concessione di Michael J. Joyce, MD e Hakan Ilaslan, MD.
Generalmente, se cresce molto o se causa nuovi sintomi, l’osteocondroma viene rimosso chirurgicamente. Se, ad esempio, interferisce nella crescita ossea, causa dolore o preme su nervi, muscoli, vasi sanguigni o strutture circostanti, il tumore va rimosso.
Osteomi osteoidi
Gli osteomi osteoidi sono tumori molto piccoli che compaiono di solito nei soggetti di 10-35 anni di età. Sono molto comuni nelle ossa lunghe delle gambe (femori e tibie), ma possono insorgere in qualsiasi osso.
Solitamente, questi tumori causano dolore che peggiora di notte e che migliora con basse dosi di aspirina o altri farmaci antinfiammatori non steroidei (FANS). A volte, i muscoli attorno al tumore si deteriorano (atrofia) perché il dolore causa l’inattività fisica della persona interessata. Questa situazione può migliorare dopo la rimozione del tumore. Se il tumore si sviluppa vicino alla cartilagine di accrescimento (la parte dell’osso nella quale avviene la crescita nei bambini), è possibile che la crescita dell’osso venga stimolata in modo eccessivo. Tale iperstimolazione può causare una crescita degli arti a lunghezze diverse.
Gli osteomi osteoidi vengono diagnosticati con una radiografia. Inoltre si esegue anche una scintigrafia ossea con traccianti radioattivi per cercare di determinare la sede esatta del tumore. A volte il tumore è difficilmente localizzabile e possono essere necessari ulteriori esami diagnostici, come una tomografia computerizzata (TC) o una risonanza magnetica per immagini (RMI). Se i riscontri degli esami di diagnostica per immagini sono ambigui, si procede al prelievo di campioni tissutali per l’analisi al microscopio (biopsia). Talvolta la biopsia viene eseguita durante il trattamento del tumore.
Per trattare il tumore in modo permanente, di solito il medico pratica un foro nella cute e, guidato da un dispositivo per tomografia computerizzata, localizza il tumore e vi inserisce una sonda delle dimensioni di un ago. Quindi applica un impulso a radiofrequenza, che riscalda la sonda ad ago, per distruggere il tumore. Durante questa operazione, il paziente è sedato tramite anestesia generale, spinale o locale. La prognosi è buona e il dolore dovrebbe scomparire. L’asportazione chirurgica del tumore è un altro modo per eliminare definitivamente il dolore. In alternativa, alcune persone preferiscono prendere farmaci antidolorifici (analgesici) in modo permanente piuttosto che subire un intervento. Il dolore può anche scomparire senza trattamento.
