Gan là cơ quan chuyển hóa phức tạp. Các tế bào gan (tế bào biểu mô gan) thực hiện các chức năng chuyển hóa của gan:
Hình thành và bài tiết mật là một phần trong quá trình chuyển hóa bilirubin (xem Tổng quan về chuyển hóa Bilirubin)
Kiểm soát chuyển hóa cholesterol
Hình thành urê, albumin huyết thanh, các yếu tố đông máu, enzyme và nhiều loại protein khác
Tổng quan về cấu trúc gan
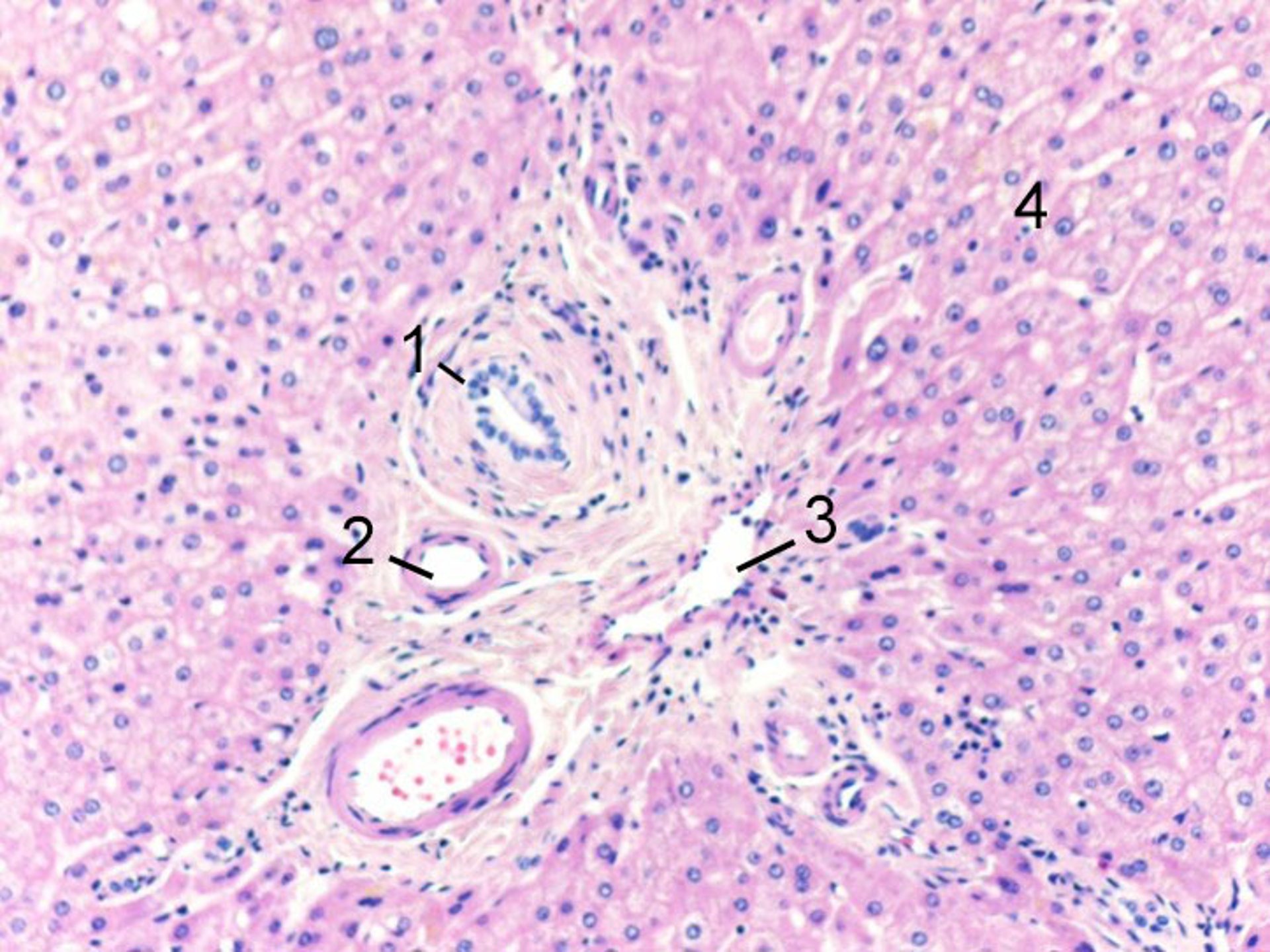
Ở cấp độ tế bào, các tế bào gan được tổ chức trong một thùy, đó là các nhóm tế bào hình lục giác có tĩnh mạch gan ở trung tâm và bộ ba cửa gan xung quanh phần ngoại vi. Bộ ba cửa gan bao gồm các nhánh tận cùng song song và nhánh liền kề của ống mật, tĩnh mạch cửa và động mạch gan. Máu chảy từ động mạch gan và tĩnh mạch cửa (trong bộ ba cửa gan) ở ngoại vi, qua các xoang giữa các tế bào gan, về phía tĩnh mạch trung tâm. Do đó, các tế bào gan ở trung tâm của thùy đó dễ bị thiếu máu cục bộ nhất vì oxy và các chất dinh dưỡng đã được tế bào gan chiết xuất khi máu chảy qua các xoang từ ngoại vi. Các kênh nhỏ hơn, được gọi là ống mật, dẫn mật do các tế bào gan tiết ra vào các ống mật trong gan ở ngoại vi.
Hình ảnh do bác sĩ Danielle Tholey và bác sĩ M. Isabel Fiel MS, FAASLD cung cấp.
Tổng quan về Chuyển hóa Bilirubin
Sự phân hủy hemolobin tạo ra bilirubin (sản phẩm thải trừ không hòa tan) và các sắc tố mật khác. Bilirubin phải được hòa tan trong nước để được bài tiết. Sự chuyển đổi này diễn ra qua 5 bước: hình thành, vận chuyển trong máu, hấp thu ở gan, liên hợp, và bài tiết mật.
Sự hình thành: Khoảng 250 mg đến 350 mg bilirubin không liên hợp được hình thành mỗi ngày; 70-80% từ quá trình phân giải của các hồng cầu thoái hóa và từ 20% đến 30% (bilirubin có đánh dấu ở giai đoạn đầu) chủ yếu xuất phát từ các protein heme khác trong tủy xương và gan. Hemoglobin bị phân hủy thành sắt và biliverdin, chất mà sau đó được chuyển thành bilirubin.
Vận chuyển trong máu: Bilirubin không liên hợp (hoặc “gián tiếp”) không tan trong nước và do đó được vận chuyển trong huyết tương khi gắn kết với albumin. Nó không thể đi qua màng lọc cầu thận vào nước tiểu. Gắn kết với albumin yếu đi trong một số tình trạng bệnh lý (ví dụ: nhiễm toan) và một số chất (ví dụ: salicylat, một số loại kháng sinh) cạnh tranh các vị trí gắn kết.
Hấp thu ở gan: Gan hấp thụ nhanh chóng bilirubin nhưng không hấp thụ albumin huyết thanh kèm theo.
Liên hợp: Bilirubin không liên hợp trong gan được kết hợp để hình thành chủ yếu là bilirubin diglucuronide (bilirubin liên hợp [hoặc “trực tiếp”]). Phản ứng này, được xúc tác bởi enzyme trong ty thể là glucuronyl transferase, làm cho bilirubin hòa tan được trong nước.
Bài tiết mật: Bilirubin liên hợp, cùng với các thành phần khác của mật, được tiết vào các tiểu quản mật rất nhỏ. Các tiểu quản mật này, được hình thành bởi các tế bào gan liền kề, dần dần hợp nhất thành các ống dẫn, ống dẫn mật liên tiểu thùy và các ống gan lớn hơn hợp nhất thành ống gan. Ống gan chính nối với ống túi mật từ túi mật để tạo thành ống mật chủ, ống này đổ vào tá tràng tại bóng Vater.
Trong ruột, vi khuẩn chuyển hóa bilirubin thành urobilinogen, phần lớn trong số đó được chuyển hóa thành stercobilin, làm cho phân màu nâu. Trong tắc nghẽn mật hoàn toàn, phân mất màu bình thường và trở thành màu xám nhạt (phân màu đất sét). Một phần urobilinogen được hấp thu lại, phân giải bởi các tế bào gan, và bài tiết lại vào mật (chu trình gan - ruột). Một lượng nhỏ được bài tiết qua nước tiểu.
Vì chỉ bilirubin liên hợp được bài tiết qua nước tiểu còn bilirubin không liên hợp thì không, chỉ khi xảy ra tăng bilirubin máu liên hợp (ví dụ như vàng da tại gan hoặc vàng da tắc mật) gây ra bilirubin trong nước tiểu.
Các chức năng khác của gan
Gan là một cơ quan phức tạp có liên quan đến nhiều quá trình sinh hóa bao gồm điều hòa chuyển hóa carbohydrate, lipid và protein (bao gồm cả việc lưu trữ glucose và glycogen); kiểm soát chuyển hóa cholesterol; và sự hình thành các protein chính bao gồm albumin, các yếu tố đông máu, enzyme và các bổ thể. Gan cũng có chức năng như một bộ lọc và có vai trò quan trọng trong việc thanh lọc và loại bỏ các chất thải và độc tố (thuốc, chất lạ) khỏi dòng máu. Rối loạn điều hòa chức năng gan bình thường có thể biểu hiện trong các kết quả trên lâm sàng như rối loạn chảy máu, tăng tính nhạy cảm với nhiễm trùng, rối loạn lượng đường trong máu và các biến chứng của tăng áp lực tĩnh mạch cửa như bệnh não gan do tăng tích tụ các chất thải như amoniac.
Sinh lý bệnh các tình trạng rối loạn ở gan
Các rối loạn ở gan có thể là kết quả của nhiều nguyên nhân khác nhau, bao gồm nhiễm trùng, thuốc, chất kích thích bất hợp pháp, độc tố, thiếu máu cục bộ và bệnh tự miễn. Đôi khi, rối loạn chức năng gan có thể xảy ra trong trường hợp hậu phẫu. Hầu hết các bệnh lý gan gây ra các tổn thương và hoại tử tế bào gan ở các mức độ khác nhau, gây nên các biến đổi kết quả xét nghiệm và đôi khi là các triệu chứng lâm sàng. Các triệu chứng có thể là do chính bệnh gan (ví dụ vàng da do viêm gan cấp) hoặc do các biến chứng của bệnh gan (ví dụ, xuất huyết tiêu hóa cấp tính do xơ gan và tăng áp lực tĩnh mạch cửa).
Các bệnh cụ thể ảnh hưởng chủ yếu đến một số cấu trúc hoặc chức năng gan mật:
Viêm gan vi rút cấp: Tổn thương tế bào gan
Viêm đường mật nguyên phát: Suy giảm tiết dịch mật (ứ mật);
Xơ gan: Xơ gan và hậu quả tăng áp lực tĩnh mạch cửa
Vùng hệ thống gan mật bị thương tổn sẽ quyết định các triệu chứng, dấu hiệu và các bất thường về xét nghiệm (xem xét nghiệm để xem có các rối loạn về gan và mật hay không). Một số rối loạn (ví dụ: bệnh gan nặng liên quan đến rượu) ảnh hưởng đến nhiều cấu trúc gan, dẫn đến sự kết hợp của các dạng triệu chứng, dấu hiệu và các bất thường về xét nghiệm.
Sau khi bị hoại tử, gan có thể tự tái tạo. Thậm chí cả hoại tử rộng cũng có thể hồi phục hoàn toàn (ví dụ như viêm gan siêu vi cấp). Mặc dù vậy, sự tái tạo không hoàn toàn và xơ hóa có thể là hậu quả của tổn thương hoàn toàn nhiều tiểu thùy liên tiếp hoặc có thể do các tổn thương ít rõ rệt nhưng liên tiếp.
Tiên lượng các biến chứng nghiêm trọng thường tồi hơn ở người già, những người ít có khả năng hồi phục sau các stress vật lý cũng như khả năng dung nạp các độc chất tích lũy.

