La polmonite criptogenetica organizzata è una condizione idiopatica in cui un tessuto di granulazione ostruisce i dotti alveolari e gli spazi alveolari con infiammazione cronica negli alveoli adiacenti. La diagnosi si basa sull'imaging (TC ad alta risoluzione e radiografia); a volte, è indicata la biopsia polmonare. Il trattamento si basa sull'impiego dei glucocorticoidi. La prognosi è ottima.
La polmonite criptogenetica organizzata (precedentemente nota come polmonite organizzata con bronchiolite obliterante), una forma di polmonite interstiziale idiopatica, colpisce uomini e donne allo stesso modo, solitamente durante cinquantina e sessantina (1). Il fumo di sigaretta non sembra essere un fattore di rischio.
La causa è spesso sconosciuta. Le forme secondarie di polmonite organizzata possono avere un trigger (fattore scatenante) noto (p. es., infettivo, reumatologico, indotto da farmaci).
I reperti istologici caratteristici sono tappi di polmonite organizzativa. Il processo patologico sospetto inizia con un danno epiteliale alveolare che porta a denudazione e interruzioni della struttura alveolare. Vi è una successiva fuoriuscita di proteine plasmatiche con formazione di fibrina, che è pro-infiammatoria, risultando in un afflusso di cellule infiammatorie croniche come i fibroblasti. Queste cellule infiammatorie si differenziano ulteriormente e formano gemme fibroinfiammatorie (note come corpi di Masson).
Riferimento generale
1. King TE Jr, Lee JS. Cryptogenic Organizing Pneumonia. N Engl J Med 2022;386(11):1058-1069. doi:10.1056/NEJMra2116777
Sintomatologia della polmonite criptogenetica organizzata
Circa la metà dei pazienti ricorda di aver avuto una malattia simile a una polmonite acquisita in comunità (non nosocomiale) (ossia, una sindrome simil-influenzale non risolta, caratterizzata da congestione nasale, tosse, febbre con brividi e sudorazione, malessere generale, astenia e perdita di peso) al presentarsi della malattia. L'emottisi è rara. In genere sono la tosse progressiva e la dispnea da sforzo a portare il paziente dal medico.
L'esame del torace rivela crepitii inspiratori fini, secchi (crepitii tipo velcro) in fino al 60% dei pazienti.
Diagnosi della polmonite criptogenetica organizzata
TC ad alta risoluzione
A volte biopsia polmonare
La diagnosi di polmonite criptogenetica organizzata richiede test di imaging e, se la diagnosi non è altrimenti chiara, una biopsia polmonare.
L'RX torace mostra opacità alveolari diffuse, bilaterali, distribuite perifericamente, con volumi polmonari normali; si può verificare una distribuzione periferica simile alla polmonite eosinofila cronica. Di rado, le opacità alveolari sono unilaterali. Sono frequenti le opacità polmonari recidivanti e migranti. Di rado, all'esordio sono visibili irregolari opacità interstiziali nodulari o lineari o con aspetto a nido d'ape.
La TC ad alta risoluzione mostra addensamenti a chiazze degli spazi aerei polmonari (presenti nel 90% dei pazienti), opacità a vetro smerigliato, piccole opacità nodulari e ispessimento e dilatazione delle pareti bronchiali. Le opacità a chiazze sono più frequenti nella periferia del polmone, spesso nei campi inferiori. La TC ad alta risoluzione può mostrare una malattia molto più estesa di quanto ci si aspetti dalla RX torace. Possono essere notati piccoli versamenti pleurici. Il segno dell'alone invertito (bordo di consolidamento con chiarezza centrale) è raro ma sembra essere relativamente specifico per la polmonite organizzativa.
Le prove di funzionalità respiratoria di solito mostrano un difetto restrittivo, anche se in alcuni pazienti si riscontra un difetto ostruttivo (rapporto tra volume espiratorio forzato in 1 secondo e capacità vitale forzata [FEV1/CVF] < 70%), e la funzione polmonare è occasionalmente normale. La capacità di diffusione del polmone per il monossido di carbonio (DLCO) è tipicamente bassa.
I risultati degli esami di laboratorio di routine sono aspecifici. In circa la metà dei pazienti si riscontra una leucocitosi senza incremento degli eosinofili. Spesso la velocità di eritrosedimentazione (VES) o la proteina C-reattiva (CRP o PCR) è elevata all'inizio. La sierologia per autoanticorpi può essere eseguita quando si sospetta un disturbo autoimmune.
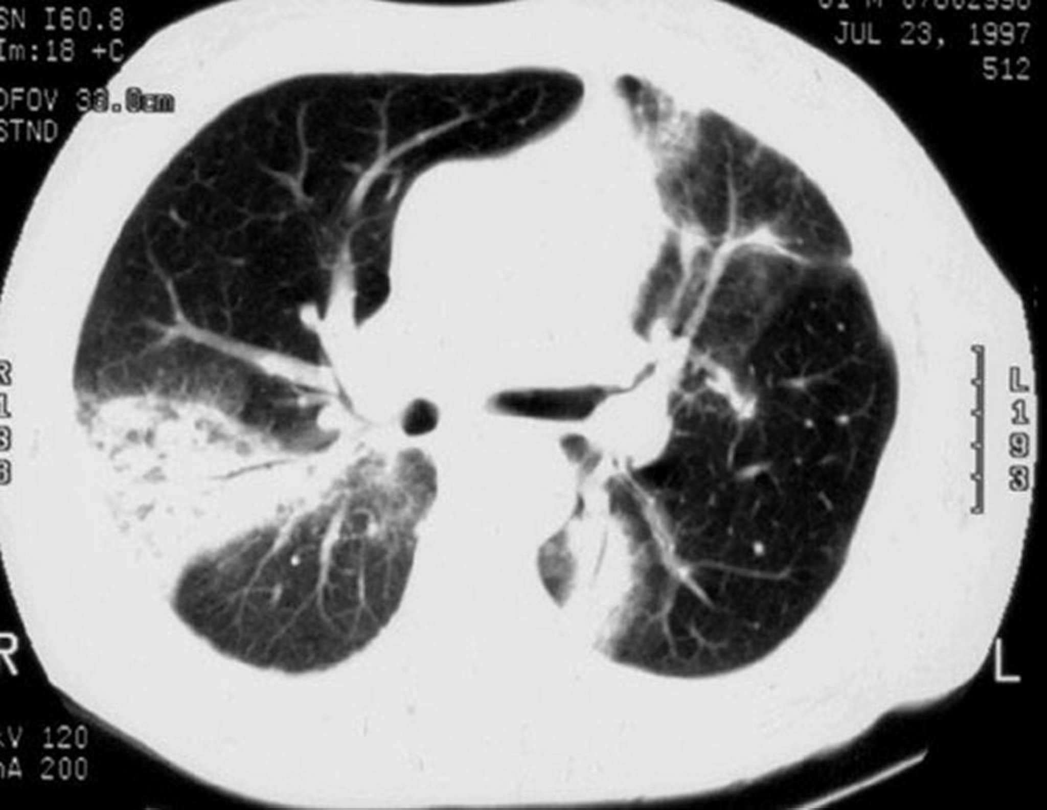
La TC ad alta risoluzione mostra addensamenti a chiazze degli spazi aerei, opacità a vetro smerigliato, piccole opacità nodulari e ispessimento e dilatazione delle pareti bronchiali (broncogramma aereo).
Image courtesy of Talmadge E. King, MD.
La biopsia polmonare (chirurgica o broncoscopica) è tipicamente riservata ai casi di incertezza diagnostica. La lesione istopatologica caratteristica mostra una proliferazione eccessiva di tessuto di granulazione all'interno delle piccole vie aeree e dei dotti alveolari, con infiammazione cronica degli alveoli circostanti. Può essere visto un segno a farfalla, che è un pattern istologico creato da tessuto connettivo lasso che si estende da un alveolo a uno adiacente attraverso i pori di Kohn.
I foci di polmonite organizzata non sono specifici e possono manifestarsi secondariamente ad altre patologie, comprese infezioni, vasculiti, linfomi e altre malattie polmonari interstiziali come la fibrosi polmonare idiopatica, la polmonite interstiziale aspecifica, la malattia polmonare interstiziale associata a una malattia reumatica sistemica, la malattia polmonare farmaco-indotta, la polmonite da ipersensibilità e la polmonite eosinofila cronica.
Trattamento della polmonite criptogenetica organizzata
Glucocorticoidi
I glucocorticoidi sistemici sono il cardine del trattamento nei pazienti con polmonite criptogenetica organizzata. La guarigione clinica segue il trattamento con glucocorticoidi nella maggior parte dei pazienti, spesso entro 2 settimane.
La polmonite criptogenetica organizzata recidiva in fino al 25% dei pazienti (1). Le recidive appaiono correlate alla durata del trattamento, per cui il trattamento di solito deve essere somministrato da 6 a 12 mesi. La malattia ricorrente in genere risponde a ulteriori cicli di glucocorticoidi. Altri agenti immunosoppressivi sono generalmente riservati ai pazienti refrattari o che non tollerano i glucocorticoidi.
Il recupero dopo il trattamento è frequente quando la polmonite criptogenetica organizzata appare alla TC ad alta risoluzione come consolidamento parenchimale, a vetro smerigliato o noduli. Al contrario, il recupero è meno frequente quando la polmonite criptogenetica organizzata appare alla TC ad alta risoluzione come opacità lineare e reticolare.
La prognosi è eccellente, e le recidive sono rare ma possibili.
Riferimento relativo al trattamento
1. King TE Jr, Lee JS. Cryptogenic Organizing Pneumonia. N Engl J Med 2022;386(11):1058-1069. doi:10.1056/NEJMra2116777



