La sindrome di Alport è una malattia geneticamente eterogenea caratterizzata da sindrome nefritica (ossia, ematuria, proteinuria, ipertensione e potenziale malattia renale cronica) spesso con sordità neurosensoriale e, meno comunemente, sintomi oftalmici. La causa consiste in una mutazione genica che interessa il collagene di tipo IV. La diagnosi si basa sull'anamnesi, compresa quella familiare, sull'esame delle urine e sulla biopsia (renale o cutanea). Il trattamento è lo stesso di quello della malattia renale cronica e talvolta comprende il trapianto renale.
(Vedi anche Panoramica sulla sindrome nefritica.)
La sindrome di Alport è una sindrome nefritica causata da mutazioni nei geni COL4A3, COL4A4 e COL4A5 che codificano la catena alfa-5 del collagene di tipo IV e che si traducono in alterazioni dei filamenti di collagene di tipo IV. Il meccanismo con cui un'anomalia del collagene causa una malattia glomerulare è ignoto, ma si presume vi sia un'alterazione della struttura e della funzione; nella maggior parte delle famiglie sono presenti ispessimento e assottigliamento della membrana basale glomerulare e tubulare con multilaminazione della lamina densa a distribuzione focale o locale (pattern a trama di cesto). L'evoluzione finale può portare a sclerosi glomerulare e fibrosi interstiziale.
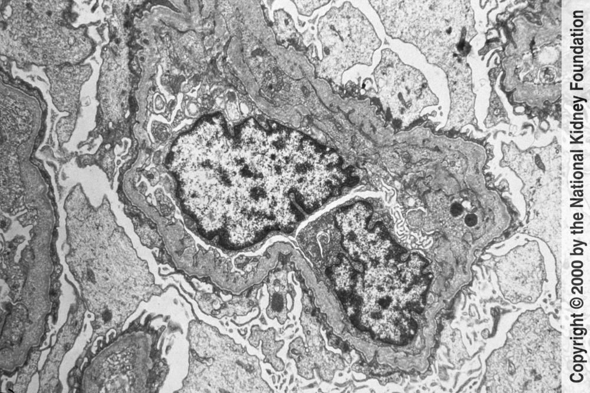
Le membrane basali glomerulari in la microscopia elettronica a trasmissione mostrano assottigliamenti e ispessimenti irregolari con aspetto a trama di cesto. I cambiamenti sono causati dai danni e dal rimodellamento (×6000).
Imagine fornita da Agnes Fogo, MD, and the American Journal of Kidney Diseases' Atlas of Renal Pathology (vedi www.ajkd.org).
La trasmissione ereditaria è in genere legata al cromosoma X, sebbene esistano varianti a trasmissione autosomica recessiva e, raramente, dominante. I casi con ereditarietà legata al cromosoma X possono essere clinicamente classificati come:
Forma giovanile: la malattia renale cronica si sviluppa tra i 20 e i 30 anni
Forma adulta: la malattia renale cronica si sviluppa in persone > 30 anni
Sintomatologia della sindrome di Alport
La malattia classica legata al cromosoma X nei maschi e la malattia autosomica recessiva sono clinicamente simili. I pazienti sviluppano una sintomatologia renale coi caratteri della sindrome nefritica acuta (p. es., ematuria microscopica, ipertensione, finalmente anche macroematuria con proteinuria) con evoluzione fino alla malattia renale cronica tra i 20 e i 30 anni di età (forme giovanili).
È frequentemente presente una perdita neurosensoriale dell'udito per le frequenze più alte; può non essere evidente durante la prima infanzia.
Anomalie oftalmologiche — cataratta (la più comune), lenticono anteriore (una protrusione conica regolare sulla parte anteriore del cristallino causata da un assottigliamento della capsula), sferofachia (deformazione sferica del cristallino che può predisporre alla sublussazione del medesimo), nistagmo, retinite pigmentosa e cecità — si manifestano anche, ma meno frequentemente della perdita dell'udito e tipicamente nella tarda adolescenza.
La malattia legata al cromosoma X si verifica nelle donne eterozigote, che, poiché hanno un cromosoma X normale, di solito hanno sintomi meno gravi, che progrediscono più lentamente rispetto agli uomini.
Alcuni uomini con malattia legata al cromosoma X sviluppano malattia renale cronica dopo i 30 anni con una perdita dell'udito che si verifica tardivamente o è lieve, e la malattia autosomica dominante in genere non provoca malattia renale fino all'età di ≥ 45 anni (forme adulte).
In alcuni pazienti con malattia legata al cromosoma X, la sordità neurosensoriale di solito si manifesta durante l'infanzia, mentre la malattia renale spesso non si manifesta fino all'età adulta.
Altre manifestazioni extrarenali comprendono raramente polineuropatia e trombocitopenia.
Diagnosi della sindrome di Alport
Livelli di creatinina sierica
Esame delle urine
Biopsia renale
Analisi genetiche molecolari
La diagnosi va considerata nei pazienti con ematuria microscopica o episodi ricorrenti di ematuria macroscopica, ancor più se sono presenti anomalie dell'udito o della vista o un'anamnesi familiare di malattia renale cronica.
Il livello sierico di creatinina è controllato per valutare la funzione renale. Si effettuano le analisi delle urine e, di solito, anche la biopsia renale. In aggiunta agli eritrociti dismorfici, l'urina può contenere proteine, globuli bianchi e cilindri di vario tipo. Una sindrome nefrotica è raramente presente. Alla microscopia ottica non si osservano alterazioni istologiche caratteristiche. La diagnosi può essere confermata con una delle seguenti modalità:
Biopsia renale con immunoistochimica per i sottotipi di collagene di tipo IV
Disorganizzazione caratteristica della lamina densa con incostante ispessimento e assottigliamento della membrana basale dei capillari glomerulari evidente alla microscopia elettronica
Biopsia cutanea con immunoistochimica per i sottotipi di collagene di tipo IV in un paziente con un'anamnesi familiare positiva
Analisi genetica molecolare dei geni COL4A
Una combinazione di immunoistochimica e microscopia elettronica è spesso necessaria per distinguere la sindrome di Alport da alcune forme di malattia della membrana basale sottile.
Trattamento della sindrome di Alport
Lo stesso che per altre cause di malattia renale cronica
Trapianto di rene
È stato dimostrato che il blocco precoce della renina-angiotensina con un inibitore dell'enzima di conversione dell'angiotensina (ACE) o un inibitore dei recettori dell'angiotensina II rallenta la progressione della malattia (1, 2). Il suo trattamento è simile a quello di altre cause di malattia renale cronica. Il trapianto ha avuto successo, ma è possibile che nel rene trapiantato si verifichi la malattia da anticorpi anti-membrana basale glomerulare, in genere solo negli uomini. È indicata una consulenza genetica.
La perdita dell'udito e/o la compromissione oculare sono gestite con misure di supporto (p. es., apparecchi acustici).
Riferimenti relativi al trattamento
1. Gross O, Tönshoff B, Weber LT, et al: A multicenter, randomized, placebo-controlled, double-blind phase 3 trial with open-arm comparison indicates safety and efficacy of nephroprotective therapy with ramipril in children with Alport's syndrome. Kidney Int 97(6):1275-1286, 2020. doi: 10.1016/j.kint.2019.12.015
2. Savige J, Lipska-Zietkiewicz BS, Watson E, et al: Guidelines for Genetic Testing and Management of Alport Syndrome [published correction appears in Clin J Am Soc Nephrol 2023 Apr 1;18(4):510. doi: 10.2215/CJN.0000000000000095]. Clin J Am Soc Nephrol 17(1):143-154, 2022. doi:10.2215/CJN.04230321
Punti chiave
Bisogna prendere in considerazione la sindrome di Alport quando i pazienti hanno ematuria e in più anomalie dell'udito e/o della visione o un'anamnesi familiare positiva per malattia renale cronica.
Bisogna confermare la diagnosi con la biopsia renale o talvolta cutanea e con l'immunoistochimica per sottotipi di collagene di tipo IV o test genetici molecolari.
Trattare la malattia renale cronica e prendere in considerazione il trapianto.



