Trombosi venosa profonda

DiJames D. Douketis, MD, McMaster University
Reviewed ByJonathan G. Howlett, MD, Cumming School of Medicine, University of Calgary
Revisionato/Rivisto dic 2023 | Modificata gen 2024
v940913_it
Visualizzazione l’educazione dei pazienti

La trombosi venosa profonda consiste nella formazione di un coagulo di sangue in una vena profonda di un arto (solitamente a livello del polpaccio o della coscia) o della pelvi. La trombosi venosa profonda è la causa principale dell'embolia polmonare. La trombosi venosa profonda è secondaria a condizioni che compromettono il ritorno venoso, causano un danno o una disfunzione endoteliale o provocano uno stato di ipercoagulabilità. La trombosi venosa profonda può essere asintomatica o causare dolore e tumefazione di un arto; l'embolia polmonare ne costituisce una complicanza immediata. La diagnosi si basa sull'anamnesi, sull'esame obiettivo ed è confermata da segni oggettivi utilizzando in genere l'ecografia Doppler. Il dosaggio dei D-dimeri viene a volte utilizzato quando si sospetta una trombosi venosa profonda; un risultato negativo aiuta a escludere una trombosi venosa profonda, mentre un risultato positivo è aspecifico e richiede ulteriori test per confermare la trombosi venosa profonda. Il trattamento si basa sull'uso degli anticoagulanti. La prognosi è generalmente buona con un trattamento tempestivo e adeguato. Tra le più frequenti complicanze a lungo termine ricordiamo l'insufficienza venosa associata o meno alla sindrome post-trombotica.

La trombosi venosa profonda si verifica in genere a livello delle estremità inferiori o del bacino (vedi figura Vene profonde delle gambe). La trombosi venosa profonda è meno frequente nelle vene profonde degli arti superiori (< 5% dei casi di trombosi venosa profonda) (1).

Vene profonde delle gambe

La trombosi venosa profonda dell'arto inferiore è la causa più frequente di embolia polmonare, forse a causa della maggiore massa del coagulo. Circa il 90% delle trombosi venose profonde prossimali coinvolge le vene femorali o poplitee e il 10% si estende più prossimalmente per coinvolgere le vene ileofemorali (2). La trombosi venosa profonda delle vene distali o del polpaccio solitamente coinvolge le vene tibiali posteriori o peroneali. La trombosi venosa profonda delle vene distali o del polpaccio è con minore probabilità fonte di grandi emboli, ma può estendersi alle vene limitrofe della coscia e da qui provocare embolia polmonare. Circa il 50% dei pazienti con trombosi venosa profonda ha un'embolia polmonare occulta e, almeno nel 30% dei pazienti con embolie, è dimostrabile una trombosi venosa profonda (3).

Consigli ed errori da evitare

  • Circa il 50% dei pazienti con trombosi venosa profonda presenta embolie polmonari occulte.

Riferimenti generali

  1. 1. Yamashita Y, Morimoto T, Amano H, et al. Deep vein thrombosis in upper extremities: Clinical characteristics, management strategies and long-term outcomes from the COMMAND VTE Registry. Thromb Res 2019;177:1-9. doi:10.1016/j.thromres.2019.02.029

  2. 2. Douketis JD, Kearon C, Bates S, Duku EK, Ginsberg JS. Risk of fatal pulmonary embolism in patients with treated venous thromboembolism. JAMA 1998;279(6):458-462. doi:10.1001/jama.279.6.458

  3. 3. Stevens SM, Woller SC, Kreuziger LB, et al. Antithrombotic Therapy for VTE Disease: Second Update of the CHEST Guideline and Expert Panel Report [published correction appears in Chest. 2022 Jul;162(1):269]. Chest 2021;160(6):e545-e608. doi:10.1016/j.chest.2021.07.055

Eziologia della trombosi venosa profonda

Numerosi fattori possono contribuire alla genesi della trombosi venosa profonda (vedi tabella Fattori di rischio per trombosi venosa profonda ed embolia polmonare). Il cancro è un fattore di rischio per la trombosi venosa profonda, in particolare nei pazienti anziani e nei pazienti con trombosi ricorrenti. L'associazione è più forte per i tumori del polmone, dell'ovaio, dello stomaco, del cervello o del pancreas, dove il 10-15% dei pazienti può sviluppare un tromboembolismo venoso (1). Tumori occulti possono essere presenti in pazienti con trombosi venosa profonda evidentemente idiopatica, ma un vasto approfondimento diagnostico per i tumori nei pazienti non è raccomandato, a meno che i pazienti non abbiano fattori di rischio maggiori per tumore o sintomi che suggeriscono un tumore occulto.

Riferimenti relativi all'eziologia

  1. 1. Farge D, Frere C, Connors JM, et al. 2022 international clinical practice guidelines for the treatment and prophylaxis of venous thromboembolism in patients with cancer, including patients with COVID-19. Lancet Oncol 2022;23(7):e334-e347. doi:10.1016/S1470-2045(22)00160-7

Fisiopatologia della trombosi venosa profonda

La trombosi venosa profonda degli arti inferiori in genere è il risultato di

  • Alterato ritorno venoso (p. es., nei pazienti immobilizzati)

  • Danno o disfunzione endoteliale (p. es., dopo fratture di arti inferiori)

  • Ipercoagulabilità

La trombosi venosa profonda dell'arto superiore in genere deriva da

  • Danno endoteliale da catetere venoso centrale, pacemaker o infusione di farmaci EV

La trombosi venosa profonda dell'arto superiore a volte si presenta come parte della sindrome della vena cava superiore (compressione o invasione della vena cava superiore da parte di un tumore che causa sintomi come edema facciale, vene del collo dilatate e flushing del volto) o è causata da uno stato di ipercoagulabilità o da una compressione della vena succlavia a livello dell'egresso toracico (1). La compressione può essere dovuta a una prima costa accessoria o a una banda fibrosa (sindrome dello stretto toracico) o si può verificare durante uno sforzo intenso con le braccia (trombosi da sforzo o sindrome di Paget Schroetter che è raro).

La trombosi venosa profonda origina solitamente a livello delle cuspidi della valvola venosa. I trombi sono costituiti da trombina, fibrina e globuli rossi con relativamente poche piastrine (trombo rosso); senza trattamento, il trombo si può estendere prossimalmente o migrare verso i polmoni.

Complicanze

Le complicanze frequenti della trombosi venosa profonda comprendono le seguenti

Più raramente, la trombosi venosa profonda acuta massiva porta alla phlegmasia alba dolens o phlegmasia cerulea dolens che, se non rapidamente diagnosticate e trattate, possono causare una gangrena venosa.

Nella phlegmasia alba dolens, una rara complicanza della trombosi venosa profonda in gravidanza, l'arto assume un colorito bianco latte. La fisiopatologia non è nota, ma l'edema può aumentare la pressione dei tessuti molli oltre la pressione di perfusione capillare, causando ischemia tissutale e gangrena venosa. La phlegmasia alba dolens può progredire verso la phlegmasia cerulea dolens.

Nella phlegmasia cerulea dolens, la trombosi venosa massiva iliaco-femorale causa un'occlusione venosa pressoché totale; la gamba diventa ischemica, estremamente dolorosa e cianotica. Il meccanismo può coinvolgere la stasi completa del flusso venoso e arterioso a livello dell'arto inferiore per il blocco del ritorno venoso o per la presenza di un edema massivo che impediscono il flusso arterioso. Si può sviluppare una gangrena venosa.

L'infezione raramente si sviluppa nei coaguli venosi. La tromboflebite suppurativa della vena giugulare (sindrome di Lemierre), un'infezione batterica (normalmente anaerobica) della vena giugulare interna e dei tessuti molli circostanti, può seguire una faringotonsillite ed è spesso complicata da batteriemia e sepsi. Nelle tromboflebiti settiche della pelvi, le trombosi pelviche si sviluppano nel post-partum e si infettano, causando febbre intermittente. La tromboflebite suppurativa (settica), un'infezione batterica di una vena periferica superficiale, consiste in un'infezione con formazione di un coagulo, ed è causata in genere da un cateterismo venoso.

Riferimenti relativi alla fisiopatologia

  1. 1. Bosch FTM, Nisio MD, Büller HR, van Es N. Diagnostic and Therapeutic Management of Upper Extremity Deep Vein Thrombosis. J Clin Med 2020;9(7):2069. doi:10.3390/jcm9072069

Sintomatologia della trombosi venosa profonda

La trombosi venosa profonda può verificarsi in pazienti che camminano o come complicanza di un intervento chirurgico o di patologia medica maggiore. Tra i pazienti ospedalizzati ad alto rischio, la maggior parte dei trombi delle vene profonde si verifica nelle piccole vene del polpaccio, è asintomatica e può non essere riconosciuta.

Quando presente, la sintomatologia della trombosi venosa profonda (p. es., vago dolore costrittivo, dolorabilità lungo il territorio di distribuzione superficiale delle vene, edema, eritema) è aspecifica, varia in frequenza e gravità ed è simile nelle braccia e nelle gambe. Le vene collaterali superficiali dilatate, possono divenire visibili o palpabili. La sensazione di fastidio al polpaccio provocata dalla dorsiflessione della caviglia con il ginocchio esteso (segno di Homans) si verifica a volte nelle trombosi venose profonde distali della gamba, ma non è un segno sensibile né specifico. Possono avere una maggiore specificità la dolorabilità della gamba, un aumento di volume dell'intera gamba, una differenza > 3 cm tra le circonferenze dei polpacci, un edema con segno della fovea e l'evidenza di circoli venosi collaterali superficiali; la trombosi venosa profonda è probabile quando sono presenti 3 segni in assenza di un'altra diagnosi verosimile (vedi tabella Probabilità di trombosi venosa profonda in base a fattori clinici).

Può essere presente una lieve iperpiressia; la trombosi venosa profonda può essere la causa di una febbre senza una causa riconosciuta, specialmente nei pazienti durante il decorso postoperatorio. I sintomi di embolia polmonare, se si verifica, possono essere affanno e dolore toracico pleuritico.

Tabella
Tabella

Le cause frequenti di gonfiore asimmetrico degli arti inferiori che simulano una trombosi venosa profonda sono

  • Trauma dei tessuti molli

  • Cellulite

  • Compressione di una vena pelvica

  • Ostruzione di un vaso linfatico nella pelvi

  • Borsite poplitea (cisti di Baker) che ostruisce il ritorno venoso

Cause meno frequenti sono i tumori addominali o pelvici che ostacolano il ritorno venoso o linfatico.

Il gonfiore simmetrico bilaterale degli arti inferiori è la tipica conseguenza dell'uso di farmaci che provocano edemi declivi (p. es., i calcio-antagonisti diidropiridinici, gli estrogeni o le alte dosi di oppioidi), l'ipertensione venosa (solitamente dovuta a insufficienza cardiaca destra) e l'ipoalbuminemia; tuttavia, tale gonfiore può essere asimmetrico se coesiste un'insufficienza venosa e se è maggiore in un arto.

Le cause frequenti di dolore al polpaccio che simulano una trombosi venosa profonda acuta comprendono

  • Insufficienza venosa e sindrome post-trombotica

  • Cellulite che causa un eritema doloroso al polpaccio

  • Rottura di una cisti poplitea (cisti di Baker o pseudo-trombosi venosa profonda), che causa gonfiore, dolore e talvolta ecchimosi nella regione del malleolo mediale

  • Lacerazioni parziali o complete dei muscoli o dei tendini del polpaccio

Diagnosi della trombosi venosa profonda

  • Ecografia

  • A volte dosaggio del D-dimero

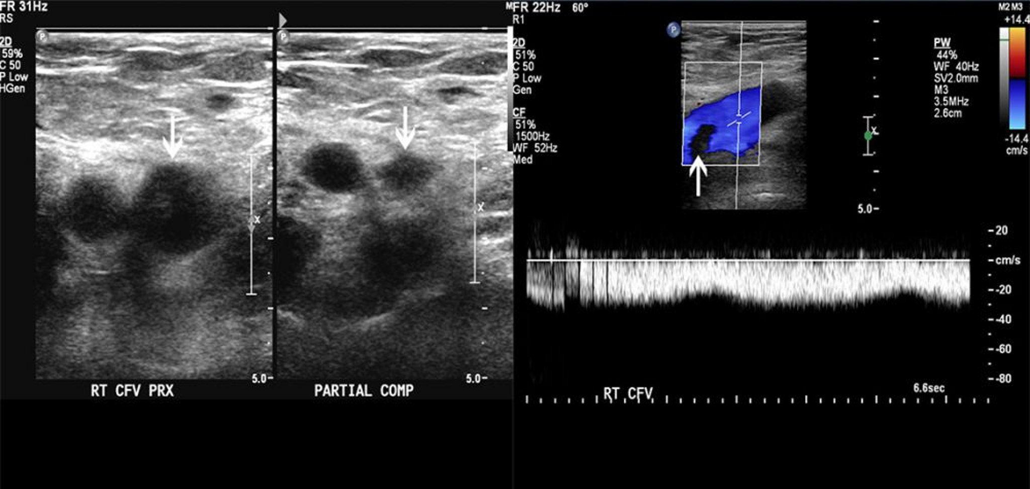
L'anamnesi e l'esame obiettivo aiutano a stabilire la probabilità di una trombosi venosa profonda prima dell'esecuzione degli esami (vedi tabella Probabilità di trombosi venosa profonda in base a fattori clinici). La diagnosi si basa solitamente sull'ecodoppler duplex con studio doppler del flusso. La necessità di ulteriori approfondimenti diagnostici (p. es., dosaggio del D-dimero) e la loro scelta e sequenza dipende dalla probabilità pre-test e a volte dai risultati dell'esame ultrasonografico. Nessun singolo protocollo diagnostico si è dimostrato superiore agli altri; un approccio è descritto nella figura Approccio diagnostico in caso di sospetta trombosi venosa profonda.

Approccio diagnostico in caso di sospetta trombosi venosa profonda

Ecografia

L'ecografia identifica i trombi visualizzando direttamente il rivestimento venoso e dimostrando un'alterata compressibilità venosa o, con studi di flusso Doppler, un flusso venoso compromesso. Il test ha una sensibilità > 90% e una specificità > 95% in caso di trombosi delle vene femorale e poplitea, ma è meno accurato in caso di trombosi delle vene iliache o del polpaccio (1).

D-Dimero

Il D-dimero è un prodotto della fibrinolisi; livelli elevati suggeriscono la recente presenza e lisi di trombi. I saggi per la misurazione del D-dimero variano in sensibilità e specificità; tuttavia, la maggior parte è sensibile e non specifica. Un risultato positivo del test non è specifico; dato che i livelli possono essere aumentati da altre condizioni (p. es., malattie del fegato, traumi, gravidanza, fattore reumatoide positivo, infiammazione, recente intervento chirurgico, cancro), e occorre proseguire con altri test. Occorre utilizzare solo i test più accurati. Per esempio, un test altamente sensibile è il test del saggio immuno-assorbente legato ad un enzima (enzyme-linked immunosorbent assay, [ELISA]), che ha una sensibilità di circa il 95% (2). I livelli di D-dimero aumentano anche con l'età, il che riduce ulteriormente la specificità nei pazienti anziani (3).

La strategia Pulmonary Embolism Graduated D-dimer (PEGeD) è un approccio diagnostico per l'embolia polmonare che adatta i livelli di D-dimero in base alla probabilità clinica pretest del paziente (4):

  • Se la probabilità pretest di trombosi venosa profonda è bassa, la trombosi venosa profonda può generalmente essere esclusa in pazienti con un livello di D-dimero < 1000 ng/mL (< 5476 nmol/L) con un test sensibile.

  • Se la probabilità pre-test di trombosi venosa profonda è moderata, la trombosi venosa profonda può essere esclusa nei pazienti con un normale valore del D-dimero (ossia, < 500 ng/mL) valutato mediante un test sensibile. I pazienti con un test positivo richiedono ulteriori test per escludere una trombosi venosa profonda.

  • Qualora la probabilità pre-test di trombosi venosa profonda sia elevata, il test del D-dimero può essere eseguito contemporaneamente all'ecografia duplex. Un risultato positivo ecografico conferma la diagnosi indipendentemente dal livello del D-dimero. Se l'ecografia non rivela segni di trombosi venosa profonda, un normale livello del D-dimero aiuta a escludere trombosi venosa profonda. I pazienti con un elevato livello di D-dimero devono essere sottoposti nuovamente a ecografia dopo alcuni giorni o a ulteriori esami di imaging, come la venografia, a seconda del sospetto clinico.

Ulteriori esami

Se la sintomatologia è indicativa di un'embolia polmonare, è necessario un imaging aggiuntivo (p. es., angio-TC polmonare o meno frequentemente scintigrafia ventilazione/perfusione).

Imaging alternativo

La venografia computerizzata con contrasto e la venografia con risonanza magnetica sono altre modalità di imaging raramente utilizzate nella diagnosi di trombosi venosa profonda. Esse sono generalmente riservate ai casi in cui i risultati dell'ecografia sono negativi o indeterminati e se il sospetto clinico di trombosi venosa profonda rimane elevato. Questi test di imaging sono meno validati per la trombosi venosa profonda, sono più costosi e possono essere associati ad altre complicanze (p. es., correlate all'esposizione a radiazioni e agenti di contrasto).

La flebografia era il test definitivo per la diagnosi di trombosi venosa profonda nel passato ma è stata ampiamente soppiantata dall'ecografia che è un esame non invasivo, più facilmente disponibile e quasi egualmente accurato per la dimostrazione della trombosi venosa profonda.

Determinazione della causa

I pazienti con una trombosi venosa profonda confermata e una causa evidente (p. es., immobilizzazione, intervento chirurgico, trauma della gamba) non necessitano di ulteriori esami. L'esecuzione di indagini per evidenziare gli stati di ipercoagulabilità è controversa ma viene talvolta praticata nei pazienti selezionati affetti da trombosi venosa profonda idiopatica (o ingiustificata) o da trombosi venosa profonda ricorrente, nei pazienti con un'anamnesi personale o familiare di altre trombosi e nei soggetti giovani senza evidenti fattori predisponenti. Alcune evidenze suggeriscono che il test per la presenza di ipercoagulabilità in pazienti con o senza fattori di rischio clinici non predice la recidiva di trombosi venosa profonda (5, 6, 7).

Lo screening per le neoplasie nei pazienti con una trombosi venosa profonda è poco utile. Un'indagine selettiva guidata da anamnesi completa, esame obiettivo ed esami di base (emocromo con formula, RX torace, esame delle urine, enzimi epatici, elettroliti sierici, azotemia e creatininemia) volta a diagnosticare un eventuale tumore è probabilmente sufficiente. Inoltre, i pazienti devono esser sottoposti a screening appropriato per il cancro (p. es., mammografia, colonscopia).

Riferimenti relativi alla diagnosi

  1. 1. Lensing AW, Prandoni P, Brandjes D, et al. Detection of deep-vein thrombosis by real-time B-mode ultrasonography. N Engl J Med 1989;320(6):342-345. doi:10.1056/NEJM198902093200602

  2. 2. Di Nisio M, Squizzato A, Rutjes AW, Büller HR, Zwinderman AH, Bossuyt PM. Diagnostic accuracy of D-dimer test for exclusion of venous thromboembolism: a systematic review [published correction appears in J Thromb Haemost 2013 Oct;11(10):1942]. J Thromb Haemost 2007;5(2):296-304. doi:10.1111/j.1538-7836.2007.02328.x

  3. 3. Righini M, Van Es J, Den Exter PL, et al. Age-adjusted D-dimer cutoff levels to rule out pulmonary embolism: the ADJUST-PE study [published correction appears in JAMA. 2014 Apr 23-30;311(16):1694]. JAMA 2014;311(11):1117-1124. doi:10.1001/jama.2014.2135

  4. 4. Kearon C, de Wit K, Parpia S, et al. Diagnosis of Pulmonary Embolism with d-Dimer Adjusted to Clinical Probability. N Engl J Med 2019;381(22):2125-2134. doi:10.1056/NEJMoa1909159

  5. 5. Coppens M, Reijnders JH, Middeldorp S, Doggen CJ, Rosendaal FR. Testing for inherited thrombophilia does not reduce the recurrence of venous thrombosis. J Thromb Haemost 2008;6(9):1474-1477. doi:10.1111/j.1538-7836.2008.03055.x

  6. 6. Lijfering WM, Middeldorp S, Veeger NJ, et al. Risk of recurrent venous thrombosis in homozygous carriers and double heterozygous carriers of factor V Leiden and prothrombin G20210A. Circulation 2010;121(15):1706-1712. doi:10.1161/CIRCULATIONAHA.109.906347

  7. 7. Segal JB, Brotman DJ, Necochea AJ, et al. Predictive value of factor V Leiden and prothrombin G20210A in adults with venous thromboembolism and in family members of those with a mutation: a systematic review. JAMA 2009;301(23):2472-2485. doi:10.1001/jama.2009.853

Trattamento delle trombosi venose profonde

  • Anticoagulazione

  • A volte filtro sulla vena cava inferiore, terapia trombolitica o intervento chirurgico

Il trattamento mira soprattutto alla prevenzione dell'embolia polmonare e secondariamente al sollievo dei sintomi e alla prevenzione della ricorrenza della trombosi venosa profonda, dell'insufficienza venosa cronica e della sindrome post-trombotica. Il trattamento è generalmente lo stesso per la trombosi venosa profonda degli arti superiori e inferiori.

Misure generali di supporto includono il controllo del dolore con analgesici, che può includere una breve terapia (da 3 a 5 giorni) con FANS. Il trattamento prolungato con FANS o aspirina deve essere evitato perché i loro effetti antipiastrinici possono aumentare il rischio di complicanze emorragiche. Inoltre, l'elevazione delle gambe (supportate da un cuscino o da un'altra superficie morbida per evitare la compressione venosa) è consigliata nei periodi di inattività. I pazienti possono fare attività fisica fin tanto che la tollerino; non vi è evidenza che l'attività fisica precoce aumenti il rischio di dislocamento del coagulo e di embolia polmonare, ed inoltre potrebbe ridurre il rischio di insorgenza di sindrome post-trombotica.

Anticoagulanti

(Per i dettagli sui farmaci e sulle loro complicanze, vedi Farmaci per la trombosi venosa profonda)

Quasi tutti i pazienti con trombosi venosa profonda sono trattati con anticoagulanti (1, 2). Vari anticoagulanti sono adatti per la terapia iniziale, e la scelta dell'agente è influenzata dalle comorbilità del paziente (p. es., disfunzione renale, cancro), dalle preferenze, dal costo e dalla convenienza.

Ad alcuni pazienti viene inizialmente somministrata eparina iniettabile (tipicamente a basso peso molecolare) per 5-7 giorni, seguita da un trattamento a lungo termine con un agente orale. Il warfarin, se usato, viene iniziato entro 24 h dopo l'inizio dell'eparina iniettabile. Sebbene l'eparina agisca rapidamente e fornisca un'immediata terapia anticoagulante, il warfarin impiega circa 5 giorni per ottenere un effetto terapeutico; quindi, l'eparina è necessaria per 5-7 giorni. Per i pazienti che devono iniziare l'edoxaban (un inibitore orale del fattore Xa) o il dabigatran (un inibitore diretto della trombina), l'agente orale viene iniziato dopo 5 giorni di eparina iniettabile.

In alternativa, la terapia anticoagulante può essere iniziata immediatamente con determinati anticoagulanti orali diretti (rivaroxaban o apixaban) senza aver prima somministrato un'eparina iniettabile. L'inizio del rivaroxaban o dell'apixaban senza eparina è giustificato sulla base dei risultati di studi clinici. Il fondaparinux, un inibitore parenterale del fattore Xa, viene talvolta sostituito all'eparina a basso peso molecolare e può anche essere usato per trattare la trombosi venosa profonda acuta.

Per i pazienti selezionati (p. es., con estesa trombosi venosa profonda iliofemorale o cancro), può essere preferito il trattamento continuo con eparina a basso peso molecolare piuttosto che passare a un agente orale.

Un'anticoagulazione inadeguata nelle prime 24-48 h può aumentare il rischio di ricorrenza o di embolia polmonare. Una trombosi venosa profonda acuta può essere trattata in regime ambulatoriale a meno che siano presenti sintomi importanti che richiedano analgesici parenterali, altri disturbi che precludano una dimissione sicura o altri fattori (p. es., funzionali, socioeconomici) che possano impedire al paziente di seguire la terapia prescritta.

Filtro sulla vena cava inferiore

Il filtro cavale inferiore può aiutare a prevenire l'embolia polmonare nei pazienti con una trombosi venosa profonda degli arti inferiori che hanno controindicazioni alla terapia con anticoagulanti o nei pazienti con trombosi venosa profonda ricorrente (o embolie) nonostante l'adeguata anticoagulazione. Il filtro cavale inferiore viene collocato nella vena cava inferiore appena al di sotto della vena renale tramite il cateterismo di una vena giugulare interna o di una vena femorale. Alcuni filtri cavali inferiori sono rimovibili e possono essere usati temporaneamente (p. es., sino a quando le controindicazioni agli anticoagulanti diminuiscono o si risolvono).

Il filtro cavale inferiore riduce il rischio di complicanze trombotiche acute, ma presenta delle complicanze a lungo termine (p. es., si possono sviluppare vie venose collaterali, che forniscono agli emboli una via per oltrepassare il filtro, e vi è anche un aumentato rischio di trombosi venosa profonda ricorrente). Inoltre, i filtri cavali inferiori possono dislocarsi o essere ostruiti da un coagulo. Pertanto, i pazienti che soffrono di trombosi venosa profonda ricorrente o hanno fattori di rischio non modificabili per la trombosi venosa profonda possono ancora richiedere un trattamento anticoagulante nonostante l'impianto di un filtro cavale inferiore.

Un filtro con occlusione trombotica può causare congestione venosa bilaterale degli arti inferiori (compresi la flegmasia cerulea dolens acuta), ischemia della porzione inferiore del corpo, e danno renale acuto. Il trattamento di un filtro dislocato è la rimozione, attraverso approccio angiografico o chirurgico. Nonostante il diffuso utilizzo dei filtri cavali inferiori, la loro efficacia nel prevenire l'embolia polmonare è poco studiata e non dimostrata (3). I filtri cavali inferiori devono essere rimossi quando possibile.

Terapia trombolitica (fibrinolitica)

I farmaci trombolitici, fra cui l'alteplase, la tenecteplase e la streptochinasi, lisano i coaguli e possono risultare più efficaci rispetto ai soli anticoagulanti in pazienti selezionati, ma il rischio di sanguinamento è più elevato che con l'eparina. Di conseguenza, i farmaci trombolitici devono essere considerati solo in pazienti altamente selezionati con trombosi venosa profonda. I pazienti che possono trarre beneficio dai trombolitici comprendono quelli < 60 anni con trombosi venosa profonda ileo-femorale estesa che hanno ischemia degli arti in evoluzione o esistente (p. es., flegmasia cerulea dolens) e che non presentano fattori di rischio per sanguinamento (4).

La trombolisi diretta con catetere ha ampiamente sostituito la somministrazione sistemica quando utilizzata per la trombosi venosa profonda.

Chirurgia

Il ricorso alla chirurgia è raramente necessario. Tuttavia, la trombectomia, la fasciotomia o entrambe sono obbligatorie nella phlegmasia alba dolens o nella phlegmasia cerulea dolens resistenti ai trombolitici, per tentare di prevenire una gangrena che può mettere in pericolo l'arto.

Riferimenti relativi al trattamento

  1. 1. Ortel TL, Neumann I, Ageno W, et al: American Society of Hematology 2020 guidelines for management of venous thromboembolism: treatment of deep vein thrombosis and pulmonary embolism. Blood Adv 4(19):4693-4738, 2020. doi: 10.1182/bloodadvances.2020001830

  2. 2. Stevens SM, Woller SC, Kreuziger LB, et al: Antithrombotic Therapy for VTE Disease: Second Update of the CHEST Guideline and Expert Panel Report [published correction appears in Chest 2022 Jul;162(1):269]. Chest 160(6):e545-e608, 2021. doi:10.1016/j.chest.2021.07.055

  3. 3. Turner TE, Saeed MJ, Novak E, Brown DL: Association of Inferior Vena Cava Filter Placement for Venous Thromboembolic Disease and a Contraindication to Anticoagulation With 30-Day Mortality. JAMA Netw Open 1(3):e180452, 2018. Published 2018 Jul 6. doi:10.1001/jamanetworkopen.2018.0452

  4. 4. Kearon C, Akl EA, Comerota AJ, et al. Antithrombotic therapy for VTE disease: Antithrombotic Therapy and Prevention of Thrombosis, 9th ed: American College of Chest Physicians Evidence-Based Clinical Practice Guidelines [published correction appears in Chest 2012 Dec;142(6):1698-1704]. Chest 2012;141(2 Suppl):e419S-e496S. doi:10.1378/chest.11-2301

Prognosi della trombosi venosa profonda

Senza un adeguato trattamento, la trombosi venosa profonda dell'arto inferiore presenta un rischio del 3% di embolia polmonare fatale (1, 2); il decesso dovuto alla trombosi venosa profonda degli arti superiori è molto raro. Il rischio di ricorrenza della trombosi venosa profonda è minimo nei pazienti con fattori di rischio transitori (p. es., chirurgia, traumi, immobilità temporanea) e maggiore nei pazienti con fattori di rischio permanenti (p. es., neoplasia), trombosi venosa profonda idiopatica o incompleta risoluzione di precedente trombosi venosa profonda (trombo residuo). Un livello di D-dimero normale ottenuto dopo l'interruzione dell'anticoagulazione per 3-4 settimane può aiutare a predire un rischio relativamente basso di recidiva di trombosi venosa profonda o di embolia polmonare, più nelle donne che negli uomini. Il rischio dell'insufficienza venosa è difficile da prevedere. I fattori di rischio per la sindrome post-trombotica comprendono la trombosi prossimale, la trombosi venosa profonda omolaterale ricorrente, e un indice di massa corporea 22 kg/m2.

Riferimenti relativi alla prognosi

  1. 1. Yamashita Y, Murata K, Morimoto T, et al. Clinical outcomes of patients with pulmonary embolism versus deep vein thrombosis: From the COMMAND VTE Registry. Thromb Res 2019;184:50-57. doi:10.1016/j.thromres.2019.10.029

  2. 2. Douketis JD, Kearon C, Bates S, Duku EK, Ginsberg JS. Risk of fatal pulmonary embolism in patients with treated venous thromboembolism. JAMA 1998;279(6):458-462. doi:10.1001/jama.279.6.458

Prevenzione della trombosi venosa profonda

È preferibile e più sicuro prevenire la trombosi venosa profonda che trattarla, in particolare nei pazienti ad alto rischio. Vengono utilizzate le seguenti modalità (per una discussione più completa, vedi Prevenzione della trombosi venosa profonda).

  • Prevenzione dell'immobilità

  • Anticoagulazione profilattica (p. es., eparina a basso peso molecolare, fondaparinux, warfarin a dosaggio aggiustato, anticoagulante orale diretto)

  • Compressione pneumatica intermittente

I pazienti che non devono ricevere anticoagulanti possono trarre beneficio dalla compressione pneumatica intermittente, da calze elastiche o da entrambe.

I filtri cavali inferiori non prevengono la trombosi venosa profonda, ma a volte sono impiantati nel tentativo di prevenire l'embolia polmonare. Un filtro cavale inferiore può aiutare a prevenire l'embolia polmonare nei pazienti con una trombosi venosa profonda degli arti inferiori che hanno controindicazioni alla terapia con anticoagulanti o nei pazienti con trombosi venosa profonda ricorrente (o embolie) nonostante l'adeguata anticoagulazione. I filtri cavali inferiori sono talvolta utilizzati per la prevenzione primaria dell'embolia polmonare dopo alcuni tipi di interventi chirurgici o in pazienti con lesioni gravi multiple; tuttavia, il loro uso non è raccomandato di routine per queste indicazioni data la mancanza di prove di efficacia (1).

Riferimento relativo alla prevenzione

  1. 1. Ho KM, Rao S, Honeybul S, et al. A Multicenter Trial of Vena Cava Filters in Severely Injured Patients. N Engl J Med 2019;381(4):328-337. doi:10.1056/NEJMoa1806515

Punti chiave

  • I sintomi e i segni sono aspecifici, quindi i medici devono essere attenti, in particolare nei pazienti ad alto rischio.

  • I pazienti a basso rischio possono essere sottoposti al dosaggio dei D-dimeri, perché un risultato normale esclude essenzialmente la trombosi venosa profonda; gli altri devono essere sottoposti a ecografia.

  • Il trattamento iniziale è con un'eparina iniettabile (eparina non frazionata o a basso peso molecolare) seguita da un anticoagulante orale (warfarin, dabigatran o un inibitore del fattore Xa) oppure con un'eparina a basso peso molecolare; in alternativa, gli inibitori orali del fattore Xa il rivaroxaban e l'apixaban possono essere utilizzati per il trattamento iniziale o in corso.

  • La durata del trattamento è tipicamente di 3 o 6 mesi, a seconda della presenza e della natura dei fattori di rischio; alcuni pazienti richiedono un trattamento per tutta la vita.

  • Il trattamento preventivo è necessario per i pazienti allettati con gravi malattie e/o quelli sottoposti a determinate procedure chirurgiche.

  • La mobilizzazione precoce, l'elevazione della gamba e un anticoagulante sono le misure preventive consigliate; pazienti che non devono ricevere anticoagulanti possono trarre beneficio dalla compressione pneumatica intermittente, da calze elastiche o da entrambe.

quizzes_lightbulb_red
Test your KnowledgeTake a Quiz!
iOS ANDROID
iOS ANDROID
iOS ANDROID