Wucherungen können überall im Gewebe in und um den Mund entstehen, einschließlich dem Bindegewebe, den Knochen, Muskeln und Nerven. Am häufigsten bilden sich Wucherungen auf den Lippen, den Zungenseiten, dem Mundboden und am weichen Gaumen. Einige Wucherungen verursachen Schmerzen oder Reizungen. Die Wucherungen können vom Patienten selbst bemerkt oder bei einer Untersuchung entdeckt werden.
(Siehe auch Beurteilung des Zahnpatienten, Orales Plattenepithelkarzinom, Oropharyngeales Plattenepithelkarzinom und Candidiasis [Mukokutan].)
Ätiologie der oralen Wucherungen
Oral Wucherungen können
Gutartig
Prä-bösartig (dysplastisch)
Bösartig
Gutartige Wucherungen im Mundraum
Die meisten oralen Wucherungen sind gutartig; es gibt zahlreiche Typen.
Dieses Foto zeigt ein orales Wachstum, das durch eine chronische Reizung verursacht wurde. In diesem Fall bildete sich ein Fibrom an der Innenseite der Wange durch die Reibung einer kieferorthopädischen Zahnspange.
Dieses Foto zeigt ein orales Wachstum, das durch eine chronische Reizung verursacht wurde. In diesem Fall bildete sich
DR P. MARAZZI/SCIENCE PHOTO LIBRARY
Dieses Beispiel eines oralen papillären Papilloms ist eine gewöhnliche Warze (Verruca vulgaris), die als erhabene, abgerundete, fleischfarbene Läsion auf der Oberfläche der Zunge erscheint.
Dieses Beispiel eines oralen papillären Papilloms ist eine gewöhnliche Warze (Verruca vulgaris), die als erhabene, abge
DR P. MARAZZI/SCIENCE PHOTO LIBRARY
Dieses Foto zeigt eine Warze, die als gestieltes Papillom (exophytisches Wachstum, blumenkohlartig) auf der Unterseite der Zunge erscheint. HPV kann eine Ursache sein.
Dieses Foto zeigt eine Warze, die als gestieltes Papillom (exophytisches Wachstum, blumenkohlartig) auf der Unterseite
CLINICA CLAROS/SCIENCE PHOTO LIBRARY
Im Inneren des Mundes sind cremeweiße Flecken zu sehen, die beim Abkratzen bluten können. Dieser Befund ist typisch für Soor, der durch eine Infektion mit Candida verursacht wird.
Im Inneren des Mundes sind cremeweiße Flecken zu sehen, die beim Abkratzen bluten können. Dieser Befund ist typisch für
Image provided by Thomas Habif, MD.
Dieses Foto zeigt eine Nahaufnahme einer Ranula (Mitte) im Mund einer Person. Ranulas sind Mukozelen, die im Mundboden auftreten (im Allgemeinen größer als Mukozelen, die an anderen Stellen in der Mundhöhle auftreten). Die Quelle des Muzingehalts in Ranulas ist in der Regel die sublinguale Drüse (gelegentlich auch der submandibuläre Drüsengang).
Dieses Foto zeigt eine Nahaufnahme einer Ranula (Mitte) im Mund einer Person. Ranulas sind Mukozelen, die im Mundboden
CLINICA CLAROS/SCIENCE PHOTO LIBRARY
Torus palatinus ist eine häufige knöcherne harte Masse, die entlang der Mittellinie des harten Gaumens auftritt (oft bilateral, wie hier zu sehen ist).
Torus palatinus ist eine häufige knöcherne harte Masse, die entlang der Mittellinie des harten Gaumens auftritt (oft bi
DR P. MARAZZI/SCIENCE PHOTO LIBRARY
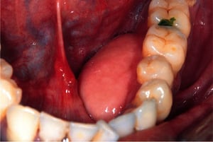
Hier ist eine gutartige Wucherung des lingualen Anteils des Unterkiefers auf der linken Seite des Mundes des Patienten zu sehen.
Hier ist eine gutartige Wucherung des lingualen Anteils des Unterkiefers auf der linken Seite des Mundes des Patienten
© Springer Science+Business Media
Dieses Foto zeigt eine Labialmukozele, eine gutartige Masse, die aus einem geschwollenen, mit Schleim gefüllten Beutel besteht. Mukozelen sind oft fluktuierend, obwohl sich manche bei Palpation fester anfühlen können.
Dieses Foto zeigt eine Labialmukozele, eine gutartige Masse, die aus einem geschwollenen, mit Schleim gefüllten Beutel
DR P. MARAZZI/SCIENCE PHOTO LIBRARY
Das pleomorphe Adenom ist die häufigste intraorale gutartige Neoplasie. Die Gaumenschleimhaut ist die häufigste Lokalisation der Erkrankung.
Das pleomorphe Adenom ist die häufigste intraorale gutartige Neoplasie. Die Gaumenschleimhaut ist die häufigste Lokalis
DR. P. MARAZZI/SCIENCE PHOTO LIBRARY
Diese Patientin hat einen großen rechten Tumor der Ohrspeicheldrüse. Die weißlichen Papeln auf ihrer Haut sind ein zufälliger Befund aufgrund von Frambösie (einer chronischen Hautinfektion, die durch Treponema pallidum subspecies pertenue verursacht wird).
Diese Patientin hat einen großen rechten Tumor der Ohrspeicheldrüse. Die weißlichen Papeln auf ihrer Haut sind ein zufä
Image courtesy of K. Mae Lennon und Clement Benjamin über die Public Health Image Library der Centers for Disease Control and Prevention.
Chronische Reizung kann eine persistierende Geschwulst oder einen erhabenen Bereich auf der Gingiva verursachen. Gutartige Wucherungen, die durch Reizung entstehen, sind relativ häufig und können, falls nötig, operativ entfernt werden. Gutartige Wucherungen auf der Gingiva treten bei 10 bis 40% der Patienten wieder auf, weil die Reizung fortbesteht. Gelegentlich können solche Reizungen, besonders wenn sie über einen längeren Zeitraum bestehen, zu prä-bösartigen oder bösartigen Veränderungen führen.
Warzen kann im Mund auftreten (orale papilläre Papillome). Gewöhnliche Warzen (Verrucae vulgaris) können den Mund infizieren, wenn eine Person an einer Warze, die an ihrem Finger wächst, saugt oder kaut. Durch eine Infektion mit dem humanen Papillomavirus verursachte Genitalwarzen (HPV) können auch in der Mundhöhle auftreten, wenn sie durch Oralsex übertragen werden. Mundwarzen können sich spontan, aber langsam (über Monate oder Jahre) zurückbilden. Eine typische Behandlung ist, wenn möglich, eine vollständige chirurgische Exzision.
Orale Candidose (Soor) erscheint häufig als weiße, käsige Plaques, die fest an den Schleimhäuten sitzen und rote Erosionen hinterlassen, wenn versucht wird, diese abzuwischen. Soor tritt am häufigsten bei Patienten mit Diabetes oder Immunschwäche auf und bei Patienten, die Antibiotika einnehmen.
Zysten vielerlei Art verursachen Kieferschmerzen und Schwellungen. Sie gehen oftmals einher mit einem impaktierten Weisheitszahn und können erhebliche Bereiche des Unterkiefers zerstören, wenn sie sich verbreiten. Bestimmte Arten von Zysten rezidivieren eher nach der operativen Entfernung. Verschiedene Arten von Zysten können sich auf dem Mundboden entwickeln. Oftmals werden diese Zysten operativ entfernt, weil sie Schluckbeschwerden verursachen oder weil sie optisch stören.
Mukozelen (Schleimretentionszysten und Ranulas) sind schmerzlose, gutartige intraorale Schwellungen aufgrund zystischer oder pseudozystischer Ansammlungen von Speicheldrüsenschleim. Sie sind oft traumatischen Ursprungs. Bei weitem die häufigste Läsion, Mukozelen, treten am häufigsten in der lateralen Unterlippe auf und haben oft eine bläulich durchscheinende Farbe aufgrund des Auftretens von verschüttetem Mucin unter der Mukosa. Sie sind in der Regel die Folge versehentlichen Beißens der (unteren) Lippe und tritt auf, wenn Speichel, der aus der kleinen Speicheldrüse in den Mund fließt, blockiert wird. Die meisten Mukozelen verschwinden in einer oder zwei Wochen. Ranulas sind große, meist bläuliche Mukozelen am Boden des Mundes. Die Behandlung ist eine chirurgische Exzision.
Ein Torus ist eine runde Knochenerhebung, die sich in der Mitte des harten Gaumens (Torus palatinus) oder auf der Innenseite des Unterkiefers (Torus mandibularis) bildet. Diese harte Wucherung ist zwar verbreitet aber harmlos. Auch eine große Wucherung kann in Ruhe gelassen werden, solange sie nicht während der Nahrungsaufnahem verletzt wird oder die Person eine Prothese benötigt, die den Bereich abdeckt.
Das Gardner-Syndrom ist eine Art der familiären adenomatösen Polyposis, eine hereditäre Erkrankung des gastrointestinaen Trakts, die multiple kolorektale Polypen einschließt. Patienten, die Gardner-Syndrom haben, stellen sich oft mit mehreren oralen Osteomen vor, die klinisch mehreren Torus-Läsionen ähneln können, vor allem am Körper und dem Winkel des Unterkiefers.
Keratoakanthome sind Wucherungen, die sich auf den Lippen und anderen sonnenlichtexponierten Bereichen wie Gesicht, Unterarme und Hände bilden. Ein Keratoakanthom erreicht seine volle Größe von etwa 1 bis 3 cm Durchmesser oder mehr innerhalb von 1 oder 2 Monaten, beginnt dann nach ein paar weiteren Monaten zu schrumpfen und kann schließlich ohne Behandlung ganz verschwinden. In der Vergangenheit wurden alle Keratoakanthome als nicht-kanzerös angesehen, aber manche Experten stufen nun diejenigen, die nicht an Größe verlieren, als Krebsläsionen niedrigen Grades ein; Biopsie oder Exzision wird derzeit für solche Läsionen empfohlen. Einige Pathologen halten das Keratoakanthom für eine beginnende Variante des Plattenepithelkarzinoms (1).
Odontome sind Wucherungen der zahnbildenden Zellen, die wie kleine, deformierte zusätzliche Zähne aussehen. Bei Kindern können sie im Zuge des normalen Zahndurchbruchs auftreten. Bei Erwachsenen können sie die Zähne aus ihrer Anordung drücken. Große Odontome können auch eine Vergrößerung des Ober- oder Unterkiefers verursachen. Sie werden in der Regel operativ entfernt.
Speicheldrüsentumore sind meist gutartig, langsam wachsend und schmerzlos. Sie treten in der Regel als einzelne, weiche und bewegliche Geschwulst unter normal erscheinender Haut oder unter der Mundschleimhaut auf. Gelegentlich sind sie fest, dabei hohl und mit Flüssigkeit gefüllt. Die häufigste Form ist ein pleomorphes Adenom (ein Mischtumor), das hauptsächlich bei Frauen > 40 Jahre auftritt. Pleomorphe Adenome können bösartig werden und werden operativ entfernt. Wenn nicht vollständig entfernt, ist diese Art von Tumor in der Regel rezidivierend. Andere Formen gutartiger Tumore werden auch chirurgisch entfernt, werden in der Regel aber auch weniger häufig bösartig oder rezidivierend.
Prä-maligne (dysplastische) Veränderungen
Weiße, rote oder weiß-rot gemischte Stellen, die nicht einfach weggewischt werden können, für > 2 Wochen bestehen und als anderer Befund nicht definierbar sind, können dysplastisch sein. Bei dysplastischen Veränderungen sind die gleichen Risikofaktoren beteiligt wie bei bösartigen Wucherungen, und dysplastische Veränderungen können bösartig werden, wenn sie nicht entfernt werden.
Dieses Foto zeigt eine dicke Plaque aus Leukoplakie, die sich weit über den Zungenrücken erstreckt.
Leukoplakie ist ein flacher weißer Fleck, der entstehen kann, wenn die Mundschleimhaut über längere Zeit gereizt ist. Der Begriff Leukoplakie wird verwendet, wenn eine weiße Läsion auf der Mundschleimhaut nicht als eine andere definierbare Läsion charakterisiert werden kann. Die gereizte Stelle erscheint weiß, weil sie eine verdickte Keratinschickt aufweist, die normalerweise weniger häufig in der Mundschleimhaut vorhanden ist. Zu den Faktoren, die oft mit der Entwicklung einer idiopathischen oralen Leukoplakie assoziiert sind, gehören Tabakkonsum; Alkoholkonsum; Mangel an Vitaminen C, B12, B6, B3; und endokrine Störungen.
Leukoplakie ist eine allgemeine Bezeichnung für weiße hyperkeratotische Plaques, die sich im Mund entwickeln. Die meisten erweisen sich als gutartig. In diesem Bild ist jedoch ein Plattenepithelkarzinom in einer der leukoplakischen Läsionen auf der ventralen Oberfläche der Zunge vorhanden (Pfeil).
Erythroplakie ist eine rote und flach oder abgenutzte Stelle, die aus einer Ausdünnung der Mundschleimhaut resultiert. Der Bereich erscheint rot, weil die darunter liegenden Kapillare sichtbarer sind. Erythroplakie ist ein viel bedrohlicherer Risikofaktor für Mundkrebs als Leukoplakie.
Erythroplakie ist ein allgemeiner Begriff, der rote, flache oder erodierte, samtige Läsionen im Mundbereich beschreiben kann. Auf diesem Bild ist ein exophytisches Plattenepithelkarzinom auf der Zunge von einem Erythroplakiesaum umgeben.
Mixed-Läsionen zeigen vermischte Bereiche der Leukoplakie und der Erythroplakie und können ebenfalls eine Vorstufe von Krebs darstellen.
Mundkrebs
Personen, die Tabak, Alkohol oder beides konsumieren, haben ein viel höheres Risiko an Mundkrebs zu erkranken. Für Personen, die Kautabak und Schnupftabak verwenden, sind die Innenseiten der Wangen und Lippen häufig betroffene Stellen. Bei anderen Personen sind die am häufigsten betroffenen Regionen für Krebs die Seitenränder der Zunge, der Mundboden und der Oropharynx. Die Infektion mit dem humanen Papillomavirus (HPV), insbesondere mit dem Typ 16, ist ein Risikofaktor für Mundkrebs, vor allem an den Mandeln und am Zungengrund; an diesen Stellen hat HPV16 das Rauchen als Hauptursache abgelöst. Selten metastasieren Krebserkrankungen im Mundbereich aus der Lunge, der Brust oder der Prostata.
Mundkrebs kann viele verschiedene Erscheinungen haben, aber in der Regel ähneln sich die dysplastischen Läsionen (z. B. weiße, rote oder weiß-rot gemischte Stellen, die nicht einfach weggewischt werden können).
Hinweis
1. Kwiek B, Schwartz RA: Keratoacanthoma (KA): An update and review. J Am Acad Dermatol 74(6):1220-1233, 2016. doi: 10.1016/j.jaad.2015.11.033
Abklärung oraler Wucherungen
Anamnese
Der aktuelle Krankheitsverlauf beinhaltet Fragen, wie lange die Wucherung schon besteht, ob sie schmerzhaft ist und ob es irgendeine andere Verletzung an dieser Stelle gab (z. B. Wangenbeißen, Abschürfung durch eine scharfe Zahnkante oder Zahnrestauration). Die Patienten werden über die Symptome einer systemischen Erkrankung befragt, insbesondere zu Gewichtsverlust und Unwohlsein.
Die Anamnese sollte Risikofaktoren für Candidiasis, einschließlich einer kürzlich erfolgten Antibiotikaeinnahme, Diabetes und HIV-Infektion (oder Risikofaktoren für HIV) berücksichtigen. Die Menge und Dauer des Konsums von Alkohol und Tabak werden vermerkt.
Körperliche Untersuchung
Die körperliche Untersuchung konzentriert sich auf den Mund und den Hals, der gesamte Mund- und Rachenraum wird untersucht und abgetastet, einschließlich der Bereich unter der Zunge. Der Hals wird nach Lymphadenopathien abgetastet, die auf einen möglichen Krebs oder eine chronische Infektion hinweisen.
Warnzeichen
Die folgenden Befunde sind von besonderer Bedeutung:
Gewichtsverlust
Raumforderung am Hals
Persistierende Halsschmerzen
Schluckbeschwerden
Interpretation der Befunde
Hauptanliegen ist es, einen Mundkrebs oder eine dysplastische Läsion nicht mit einer gutartigen Erkrankung zu verwechseln. Ärzte sollten höchst wachsam bleiben und den Patienten an eine Biopsie verweisen, wenn die Läsion nicht innerhalb weniger Wochen verschwindet.
Tests
Der Verdacht auf Candidose kann bestätigt werden, wenn in Proben einer Läsion Hefe und Pseudohyphen in 10%igen Kaliumhydroxid-Nativpräparaten nachgewiesen werden. Andere akute Läsionen, insbesondere solche, die im Zusammenhang mit einer lokalen Schädigung oder Reizung auftreten, sollten beobachtet werden. Allerdings sollten Läsionen, die mehr als ein paar Wochen vorhanden sind und diejenigen, deren Dauer unbekannt ist, biopsiert werden, da der klinische Ausschluss von Krebs schwierig ist.
Behandlung von oralen Wucherungen
Die Behandlung hängt von der Ursache, den ästhetischen und funktionellen Beeinträchtigungen, den Schmerzen und dem bösartigen Potenzial der diagnostizierten Wucherung ab.
Wichtige Punkte
Die meisten oralen Wucherungen sind gutartig.
Warzen, Candida-Infektionen und wiederholte Verletzungen sind häufige Ursachen gutartiger Wucherungen.
Der Konsum von Alkohol und Tabak sowie eine orale HPV-Infektion sind Risikofaktoren für Krebs.
Da Krebs durch eine Untersuchung schwer zu diagnostizieren ist, ist oftmals eine Biopsie notwendig.



