Asbestose ist eine durch Asbest verursachte Form der interstitiellen Lungenfibrose. Asbestose kann eine progressive Dyspnoe bei Anstrengung, nichtproduktivem Husten und Müdigkeit verursachen. Die Diagnose basiert auf Anamnese und Röntgenthorax- oder CT-Befund. Die Therapie ist symptomatisch.
(Siehe auch Übersicht über Asbesterkrankungen und Übersicht über umwelt- und berufsbedingte Lungenerkrankungen.)
Asbest ist eine Familie von natürlich vorkommenden Silikaten, deren hitzebeständige und strukturelle Eigenschaften in Bau- und Schiffsbaustoffen, Autobremsen und einigen Textilien von Nutzen sind. Es gibt zwei Hauptklassen von Asbest: Serpentin (zu dem Chrysotil gehört) und Amphibol (zu dem Amosit, Krokydolith, Anthophyllit, Tremolit und Actinolith gehören).
Asbestose ist eine Form der interstitiellen Lungenerkrankung, die durch Asbestexposition verursacht wird. Die Latenzzeit zwischen Exposition und Auftreten der Krankheit beträgt in der Regel 20 bis 40 Jahre. Asbestose tritt bei Patienten mit längerer und intensiverer Exposition früher auf.
Risikofaktoren
Die direkte berufliche Exposition ist nach wie vor die Hauptursache für asbestbedingte Krankheiten. In den meisten Industrieländern ist die Verwendung von Asbest in den letzten Jahrzehnten zurückgegangen. Asbest ist immer noch in alten Baumaterialien und einigen Produkten zu finden, und die meisten beruflichen Expositionen treten heute bei der Reparatur, Renovierung, Entfernung oder Wartung von asbesthaltigen Produkten auf, die in früheren Epochen installiert wurden. Die Exposition am Arbeitsplatz war in der Vergangenheit im Allgemeinen viel höher.
Zu den Berufen, die traditionell mit dem höchsten Expositionsrisiko in Verbindung gebracht wurden, gehören das Baugewerbe (Isolierer, Rohrleitungsbauer, Zimmerleute, Elektriker, Dachdecker, Trockenbauer), Wartungsarbeiter, Werftarbeiter und Marinepersonal, Kessel- und Ofenbauer, Mechaniker für Autobremsen sowie Personen, die im Asbestbergbau und in der Asbestverarbeitung tätig sind.
Pathophysiologie der Asbestose
Alveolarmakrophagen, die versuchen die inhalierten Fasern zu phagozytieren, setzen Zytokine und Wachstumsfaktoren frei, die Entzündung, oxidative Schädigung, Kollagenablagerung und schließlich Fibrose stimulieren. Asbestfasern können auch direkt toxisch für Lungengewebe sein.
Das Erkrankungsrisiko ist im Allgemeinen von der Dauer und Intensität der Exposition sowie von der Art, Länge und Dicke der inhalierten Fasern abhängig (1).
Hinweis zur Pathophysiologie
1. Solbes E, Harper RW. Biological responses to asbestos inhalation and pathogenesis of asbestos-related benign and malignant disease. J Investig Med 2018;66(4):721-727. doi:10.1136/jim-2017-000628
Symptome und Anzeichen von Asbestose
Das häufigste klinische Bild ist eine allmähliche und progressive Dyspnoe bei Anstrengung, nichtproduktiver Husten und Müdigkeit.
Im Allgemeinen schreitet die Asbestose über viele Jahre hinweg langsam voran und kann auch nach Beendigung der Exposition weiter fortschreiten.
Schwere Fälle können zu Fibrose im Endstadium und Rechtsherzinsuffizienz führen (Cor pulmonale).
Diagnose der Asbestose
Röntgenthorax odervorzugsweise hochauflösende Thorax-CT
Manchmal bronchoalveoläre Lavage oder Lungenbiopsie
Die Diagnose der Asbestose basiert auf der Anamnese der Asbestexposition und einem Röntgenthorax oder einer hochauflösenden CT. Die Anamnese sollte Beginn, Dauer und Art und Intensität der Exposition des Patienten umfassen.
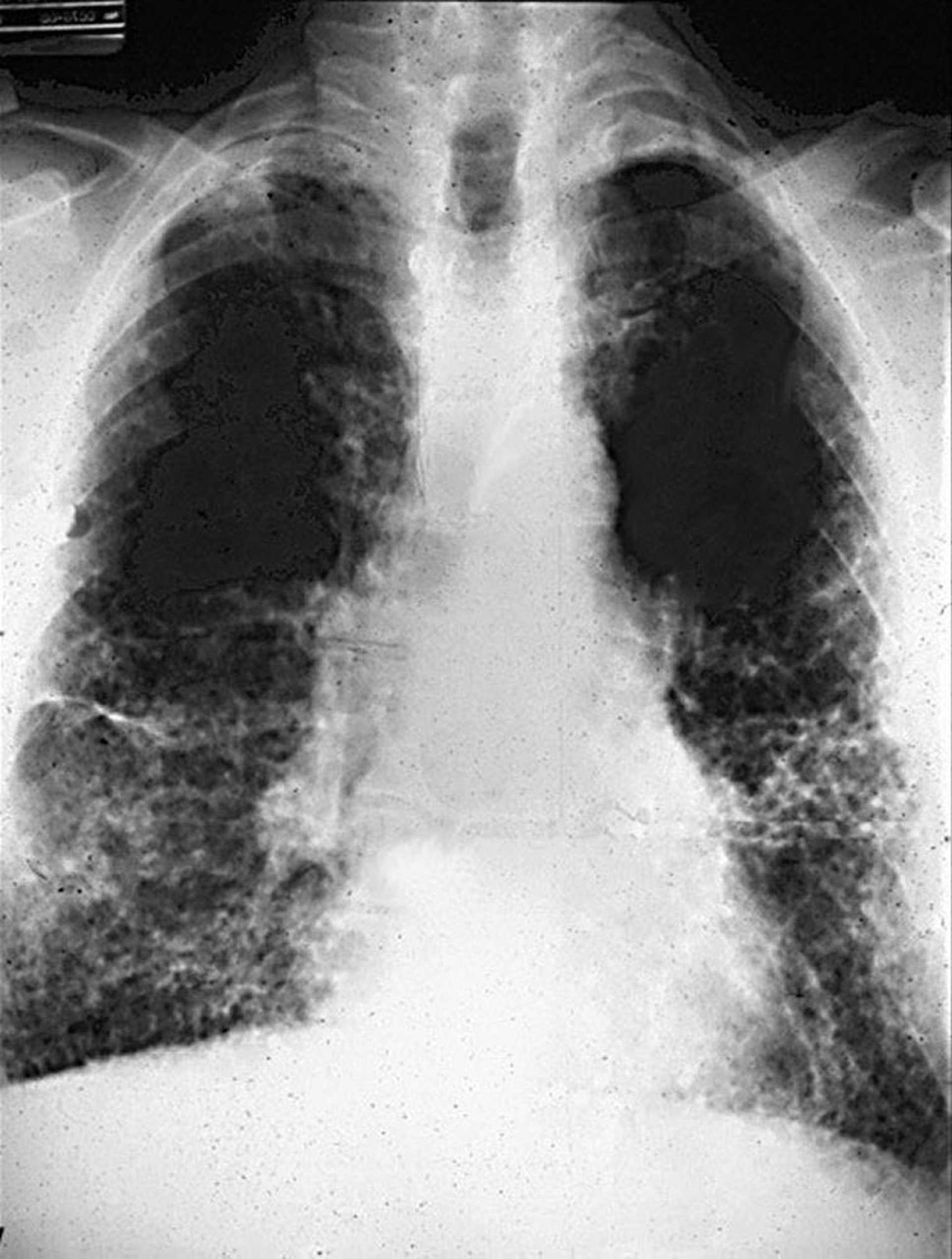
Der Röntgenthorax zeigt bilaterale, lineare retikuläre Trübungen, die eine Fibrose anzeigen, in der Regel in den peripheren Unterlappen, mit oder ohne pleurale Veränderungen. Die Thorax-CT bietet eine höhere Sensitivität bei der Erkennung von Anomalien des Pleuras und des Parenchyms und zeigt in der Regel ein übliches interstitielles Pneumoniemuster der Lungenfibrose. Wabenbildung, die das mittlere und untere Lungenfeld betreffen kann, zeigt eine fortgeschrittenere Erkrankung an.
The International Labour Organization system (International Classification of Radiographs of Pneumoconioses) wird verwendet, um das Vorhandensein und den Schweregrad von Pneumokoniosen basierend auf Größe, Form, Lage und Überfluss von Trübungen zu charakterisieren. Eine Asbestose führt zu retikulären Trübungen mit einem Überwiegen der Unterlappen. Lymphadenopathie von Hilus und Mediastinum und noduläre Zeichnung sind untypisch und legen andere Erkrankungen nahe.
Lungenfunktionstests kann Restriktion, reduzierte Diffusionskapazität für Kohlenmonoxid (DLCO) und/oder leichte Obstruktion des Luftstroms zeigen. Solche Befunde sind unspezifisch, helfen aber, den Schweregrad der Erkrankung zu charakterisieren.
Intakter Asbestkörper aus einer Lungenprobe.
Image courtesy of David W. Cugell, MD.
Retikuläre Veränderungen mit Honigwabenbildung bei Asbestose.
Image courtesy of David W. Cugell, MD.
Eine bronchoalveoläre Lavage oder Lungenbiopsie ist potenziell nützlich, wenn die Diagnose unsicher ist. Der Nachweis von Asbestfasern und/oder Asbestkörpern kann die Diagnose unterstützen, ist aber nicht erforderlich.
Behandlung von Asbestose
Unterstützende Behandlung
Eine spezifische Behandlung gibt es nicht. Die Patienten sollten eine weitere Asbestexposition vermeiden.
Die Behandlung ist unterstützend, einschließlich der Verwendung von zusätzlichem Sauerstoff, wenn dies angezeigt ist, und der sofortigen Behandlung von Atemwegsinfektionen. Antifibrotika und Immuntherapien, die bei anderen interstitiellen Lungenerkrankungen eingesetzt werden, können wirksam sein.
Bei körperlichen Einschränkungen kann eine pulmonale Rehabilitation hilfreich sein.
Patienten mit fortgeschrittener Erkrankung können in Betracht kommen Lungentransplantation.
Eine Impfung gegen Influenza, COVID-19 und Pneumonie ist bei Patienten mit Asbestose wichtig.
Prognose bei Asbestose
Die Prognose ist unterschiedlich; in der Regel schreitet die Asbestose über viele Jahre hinweg langsam voran. Viele Patienten haben leichte Symptome und fühlen sich gut, während manche progressive Dyspnoe und einige wenige einen Atemstillstand, und Rechtsherzinsuffizienz entwickeln.
Patienten mit Asbestose haben ein signifikant erhöhtes Risiko für Lungenkrebs (in der Regel nicht-kleinzelliges Lungenkarzinom). Darüber hinaus haben Asbest und Rauchen eine synergistischen Wirkung auf das Lungenkrebsrisiko. Alle Formen von inhaliertem Asbest wurden mit einem erhöhten Lungenkrebsrisiko in Verbindung gebracht.
Prävention von Asbestose
Präventivmaßnahmen umfassen die Vermeidung von Exposition sowie beruflichen und privaten Asbestsanierungen, außerdem Nikotinkarenz. Raucherentwöhnung ist kritisch, wenn man das synergistische Risiko von Lungenkrebs mit Rauchen und Asbestexposition berücksichtigt.
Es gibt zwar keine spezifische Empfehlung für ein Lungenkrebs-Screening bei Asbestose, doch sollten Patienten, die aufgrund der Empfehlungen für die Allgemeinbevölkerung für ein Lungenkrebs-Screening in Frage kommen, jährlich untersucht werden.
Wichtige Punkte
Obwohl die Verwendung von Asbest zurückgegangen ist, bleibt die Asbestose aufgrund der langen Latenzzeit des Krankheitsausbruchs (20 bis 40 Jahre) ein wichtiges Problem für die öffentliche Gesundheit.
Die Diagnose stützt sich auf eine Asbestexposition in der Anamnese und radiologische Hinweise auf eine interstitielle Lungenerkrankung.
Die Behandlung ist primär unterstützend; Raucherentwöhnung ist wichtig.



