تُسمَّى الأورام التي تبدأ أوَّلًا في العظام بأورام العظام الأوَّلية primary bone tumors.يمكن أن تكونَ أورام العظام الأوَّلية غير سرطانية (حميدة) أو سرطانية (خبيثة).
بعد تشخيص السرطان، يجري تحديد المرحلة التي وصل إليها.تحديد مرحلة السرطان هي وسيلة لوصف مدى تقدم السرطان، وتتضمن عدداً من المعايير مثل درجة العدوانية (احتمال انتشاره، بناءً على مظهر الخلايا السرطانية تحت المجهر)، وحجمه، وما إذا كان قد انتشر إلى الأنسجة المجاورة أو إلى ما هو أبعد من ذلك، مثل العقد اللمفية أو الأعضاء الأخرى.
(انظر أيضًا لمحة عامَّة عن أورام العظام ولمحة عامَّة عن السرطان).
الأورامُ المينائيَّة
الأورام المينائيَّة adamantinomas هي أورام نادرة تحدث في معظم الأحيان في عظم الظنبوب.تحدث الأورام عادةً في الشباب وفي منتصف العمر، ولكنها قد تحدث في أي عمر.وهي تُسبِّب الألم غالبًا، ويشعر الأشخاص بالورم تحت الجلد غالبًا عندما يُمرِّرون أصابعهم فوقه.
تنمو هذه الأورام ببطء وهي من السَّرطانات منخفضة الدَّرجة، ممَّا يعني أنَّها أقلُّ عُرضة للانتشار (أو الانتقال) من بعض الأورام الأخرى؛إلَّا أنَّه يحدث انتقالٌ في حالاتٍ نادرة (إلى الرِّئتين في معظم الأحيان).
لتشخيص الأورام الصلبة يقوم الأطباء بإجراء صورةٍ بالأشعة السَّينيَّة واستئصال عيِّنة من النَّسيج لفحصها تحت المجهر (خزعة).
يحتاج علاجُ الأورام المينائيَّة إلى استئصالها جراحيًّا مع الحرص على عدم بضع الورم، وذلك لتجنُّب مخاطر تسرُّب خلايا الورم.يمكن أن تعودَ الإصابة بالورم إذا ما تسرَّبت الخلايا.يمكن أن يكون الاستئصال الجراحي للساق المصابة (البتر) ضروريًا في حالاتٍ نادرة وفقًا لموضع الورم أو اعتمادًا على عودة الورم.
السَّاركومَاتُ الغضروفيَّة
السَّاركومَات الغضروفيَّة chondrosarcomas هي أورامٌ مُكوَّنة من خلايا غضروفية سرطانية.تميلُ هذه الأورامُ إلى أن تُصيبَ البالغين في منتصف العمر وكبار السن.وهي تحدثُ في العظام المسطحة غالبًا، مثل الحوض أو لوح الكتف، ولكن يمكن أن تَحدُثَ في أي جزءٍ من أيِّ عظم، كما يمكن أن تَحدُثَ في الأنسجة المحيطة بالعظام أيضًا.تكون الكثيرُ من أنواع السَّاركومَة الغضروفيَّة أورامًا بطيئة النمو أو منخفضة الدرجة، ممَّا يعني أنها أقلُّ عرضةً للانتشار (الانتقال) من بعض الأورام الأخرى.لكنَّ بعضَ أنواع السَّاركومَة الغضروفيَّة هي أورام سريعة النمو أو مرتفعة الدرجة، وهي تميل إلى الانتقال.
يستدعي تشخيصُ السَّاركومَة الغضروفيَّة قيام الأطبَّاء بإجراء صورةٍ بالأشعَّة السِّينيَّة ومسحٍ للعظام وصورة بالرَّنين المغناطيسي (MRI).كما يقوم الأطباء باستئصال عَيِّنَة نسيجيَّة للفحص تحت المجهر (خزعة).
تُستأصلُ السَّاركومَة الغضروفيَّة المنخفضة الدَّرجة للعظم من خلال كشطها باستعمال أداة تجريف حادَّة (تجريف curettage) غالبًا، وباستعمال النتروجين السَّائِل أو الفينول أو الملاط العظمي (ميثيل ميثاكريلات)، أو شعاع الأرغون للقضاء على خلايا الورم السطحية المُنطمرة في العظم.تُعالَج جميع الأورام المنخفضة الدرجة تقريبًا بهذه المُعالجَات الجراحية.
تُعدُّ السَّاركومَةُ الغضروفيَّة المرتفعة الدرجة أو السَّريعة النُّمو من الأورام العدوانيَّة، وتكون أكثر ميلًا للانتقال مقارنةً ببعض أنواع الأورام الأخرى.يجب استئصالها جراحيًّا بشكلٍ كامل مع الحرص على عدم بضع الورم، وذلك تجنُّبًا لخطر تسرُّب خلايا الورم.يمكن أن تعودَ الإصابة بالورم إذا ما تسرَّبت الخلايا.
لا تستجيب السَّاركومَةُ الغضروفيَّة من أيَّة درجة للعلاج الكيميائي أو الشعاعي.وليس من الضروري إجراء استئصالٍ جراحيٍّ للذراع أو الساق المصابة (البتر amputation) إلَّا في حالاتٍ نادرة.
الأورامُ الحبليَّة Chordomas
تُعدُّ الأورامُ الحبليَّة chordomas من الأورام النَّادرة والسَّرطانيَّة، وتميل إلى الحدوث في نهايات العمود الفقري، حيث تحدث في منتصف قاعدة العمود الفقري (العَجُز) أو في العصعص أو بالقرب من قاعدة الجمجمة عادةً.يُسبِّبُ الورم الحبلي الذي يُصيبُ العجز أو العصعص ألمًا شديدًا.ويمكن أن يُسبِّب الورم الحبلي في قاعدة الجمجمة مشاكلَ في الأعصاب في قاعدة الجمجمة (الأعصاب القِحفيَّة)، وغالبًا ما يكون في العصب البصري.وقد تستمرُّ المعاناة من الأَعرَاض مدَّة أشهر، وقد تمتدُّ إلى سنوات قبل وضع التَّشخيص.لا تنتشر الأورام الحبليَّة (تنتقل) إلى مناطق أخرى مثل الرئة مالم تكن عدوانية، ولكنها قد تعود بعد المعالجة.
يُوصي الأطبَّاء بإجراء صورة بالتصوير بالرنين المغناطيسي للمساعدة على تشخيص الورم الحبلي.كما يُوصي الأطبَّاء باستئصال خزعة.
وقد يكون بالإمكان مُعالَجَة الورم الحبلي الذي أصاب العجز أو العصعص من خلال الاستئصال الجراحي.تتعذّر معالجة الورم الحبلي عندَ إصابته لقاعدة الجمجمة جراحيًّا عادةً، إلَّا أنَّ المُعالجَة الشعاعيَّة قد تُقلِّص حجم الورم مؤقَّتا، وتساعد على تسكين الألم.
ساركومة يُوينغ العظميَّة
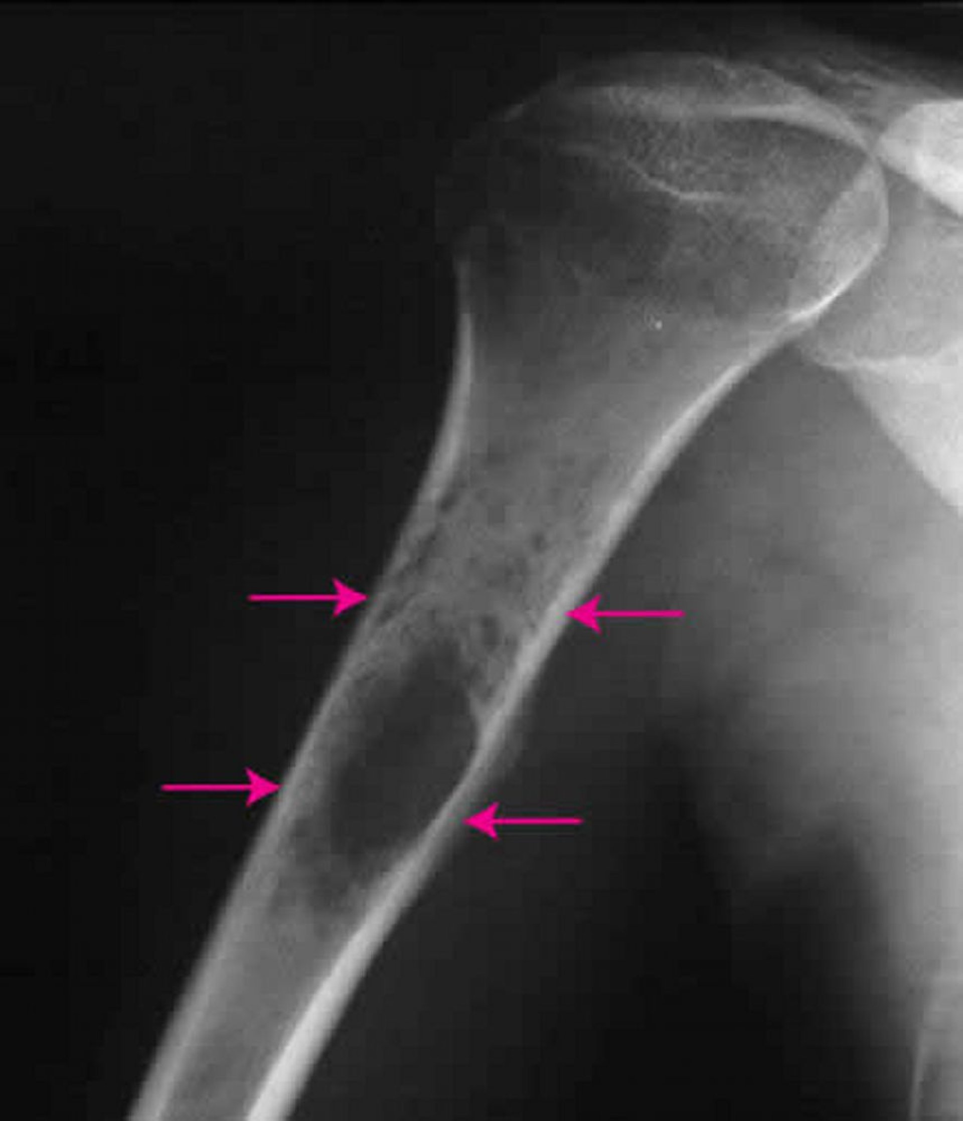
ساركومة يوينغ Ewing sarcoma of bone ورمٌ سرطانيٌّ يُصيبُ الذكورَ أكثر من الإناث غالبًا، ويبدو أكثر شُيُوعًا عند الذين تتراوح أعمارهم بين 10-20 عامًا.تحدث معظمُ هذه الأورام في الذراعين أو الساقين، ولكنَّها قد تصيب أيَّ عظم.ويُعدُّ الألم والتورُّم العَرَضين الأكثر شُيُوعًا.قد تصبح الأورام كبيرةً جدًّا، مما يؤثر في الطول الكلِّي للعظام أحيانًا.قد يتضمن الورم كتلةً كبيرةً من النسيج الرَّخو.
يُوصي الأطباءُ بإجراء صورة بالأشعَّة السِّينية لتشخيص ساركومة يوينغ.ورغم أنَّ الأشعَّة السِّينية يمكن أن تُظهِر بعض التفاصيل، إلَّا أنَّ التصوير بالرنين المغناطيسي قد يساعد على تحديد الحجم الدقيق للورم.يقوم الأطباء بأخذ خزعةًٍ لتأكيد التَّشخيص.
جرى استخدام الصورة بعد موافقة أصحابها Michael J.Joyce, MD, and Hakan Ilaslan, MD.
تنطوي معالجة ساركومة يوينغ على استعمال توليفاتٍ علاجيَّة مختلفة من الجراحة والمُعالجة الكِيميائيَّة والمُعالجة الشعاعيَّة، وهذا يتوقف على ما إذا كانت العملية الجراحية خيارًا عمليًّا ناجحًا في حال إجرائها.ويمكن لهذه التوليفات العلاجيَّة مُعالَجَة أكثر من 60٪ من الأشخاص المصابين بساركومة يوينغ.
الورمُ اللَّمفي العظمي (لمفومة العظم)
اللمفوما العظمية هي ورم سرطاني عادةً ما يصيب البالغين.يمكن أن ينشأ في أيِّ عظم أو في أيِّ مكانٍ آخر من الجسم، ثم ينتشر بكثافة إلى نقِي العِظام.يُسبب هذا الورمُ شعورًا بالألم وتورُّمًا وتجمُّعًا للنَّسيج الرَّخو عادةً.تميل العظامُ المتضررة إلى أن يحدث فيها كسر.
يوصي الأطبَّاء بإجراء صورة بالأشعَّة السينيَّة والرنين المغناطيسي (MRI) لتشخيص الورم اللمفي العظمي بهدف الحصول على صورة أكثر دقة لمدى إصابة الأنسجة الرخوة والعظام.
ينطوي علاجُ الورم اللمفي العظمي عادةً على استعمال توليفةٍ من المُعالجة الكِيميائيَّة مع أو من دون المُعالجة الشعاعيَّة، حيث يبدو أنَّ فعاليَّتها مماثلة لفعاليَّة الاستئصال الجراحي للورم.ونادرًا ما يكون البتر ضروريًّا.يمكن للأطباء عندَ الاشتباه في احتمال حدوث كسرٍ في العظم أن يُثبِّتوه جراحيًّا في محاولةٍ لمنع حدوثه.
السَّاركوماتُ العظميَّة (السَّاركومات العظميَّة المنشأ)
تُعدُّ السَّاركومَة العظميَّة النَّوع الأكثر شُيُوعًا لورم العظام السرطاني الأوَّلي إذا جرى اعتبار الورم النِّقوي المتعدِّد ورمًا دمويًا.ويمكن أن تحدثَ السَّاركومَة العظميَّة في أيِّ عمر، رغمَ أنَّها أكثرَ شيوعًا بين الأطفال والمراهقين.يكون الأطفال الذين يحملون جينة الورم الأرومي الشبكي الوراثي ومتلازمة لي-فروميني معرضون لخطر أكبر للإصابة بالساركوما العظمية.يحدث هذا النوع من الأورام أحيانًا عند البالغين الذين تزيد أعمارهم عن 60 عامًا، وخاصةً المصابين بداء باجيت العظمي، أو الذين خضعوا لعلاج إشعاعي للعظام من سرطان آخر، أو لديهم مناطق من الأنسجة العظمية الميتة (تسمّى احتشاءات عظمية) وغيرها من الحالات.
تحدث الساركوماتُ العظميَّة في الركبة أو محيطها عادةً، ولكن يمكن أن تنشأ في أيِّ عظم.ويميل هذا الورم إلى الانتشار (الانتقال) إلى الرئتين أو إلى عظام أخرى.تُسبب هذه الأورامُ شعورًا بالألم، أو تورمًا، أو تجمعًا للنسيج الرخو وفقدان حركة المفاصل عادةً.
يوصى بإجراء صورةٍ بالأشعَّة السينيَّة، إلَّا أنَّه توجد ضرورة إلى استئصال عَيِّنَة نسيجيَّةٍ للفحص تحت المجهر (خزعة) لتشخيص السَّاركومَة العظمية.يحتاج المرضى إلى إجراء صورةٍ بالأشعَّة السِّينية وتصوير مقطعي مُحوسب للصدر للتَّحرِّي عن السرطان الذي انتقل إلى الرئتين، وإجراء مسح للعظام للكشف عن السرطان الذي انتشر إلى عظامٍ أخرى.كما يمكن إجراءُ التصوير بالرنين المغناطيسي والتصوير المقطعي بالإصدار البوزيتروني أيضًا بالتَّزامن مع التصوير المقطعي المُحوسَب (التصوير المقطعي بالإصدار البوزيتروني مع التصوير المقطعي المُحوسَب)، وهي اختبارات تصوير أخرى تُجرى أيضًا.
جرى استخدام الصورة بعد موافقة أصحابها Michael J.Joyce, MD, and Hakan Ilaslan, MD.
يبقى أكثر من 65٪ من المصابين بهذا النوع من الورم أحياء لمدة 5 سنوات على الأقل بعد التَّشخيص عندَ استعمال المُعالجة الكِيميائيَّة وعدم انتقال السرطان.تزداد فرصة البقاء على قيد الحياة لمدة 5 سنوات على الأقلّ إلى أكثر من 90% عند نجاح المعالجة الكيميائيَّة بالقضاء على جميع الخلايا السرطانيَّة تقريبًا.يمكن المحافظةُ على الذراع أو الساق المصابة وإعادة تشكيلها عادةً نتيجة تحسُّن العمليَّات الجراحيَّة؛لقد كان من المفروض بتر الطرف المصاب في الماضي غالبًا.
تُعالَجُ السَّاركومَاتُ العظمية بتوليفةٍ من المُعالجة الكِيميائيَّة والجراحة عادةً.تُستَعملُ المُعالجة الكِيميائيَّة في البداية عادةً.تنخفض شدَّة الألم خلال هذه المرحلة من العلاج غالبًا؛ثم يَجرِي استئصال الورم جراحيًّا دون بضعه.يؤدي بضعُ الورم إلى تسرُّب خلاياه التي قد تُسبِّبُ عودة الإصابة بالسرطان في المنطقة نفسها.يستمر العلاج الكيميائي بعد الجراحة.
