Bệnh sởi là một bệnh truyền nhiễm do vi rút có khả năng lây lan cao, phổ biến hơn ở trẻ em sống ở những khu vực chưa tiêm vắc-xin phòng bệnh rộng rãi. Bệnh có đặc điểm là sốt, ho, sổ mũi, viêm kết mạc, ban đỏ đặc trưng (đốm Koplik) trên niêm mạc miệng và ban đỏ dạng sẩn lan rộng từ đầu đến chân. Các biến chứng, chủ yếu là viêm phổi hoặc viêm não, có thể gây tử vong, đặc biệt là ở quần thể bệnh nhân không có đầy đủ dịch vụ y tế. Chẩn đoán thường dựa vào lâm sàng và xác nhận bằng xét nghiệm phản ứng chuỗi polymerase. Điều trị hỗ trợ; trẻ em được dùng vitamin A. Tiêm chủng có hiệu quả phòng ngừa.
Trên toàn thế giới, bệnh sởi lây nhiễm cho khoảng 10 triệu người và gây ra khoảng 100.000 ca tử vong mỗi năm, chủ yếu ở trẻ em (1, 2, 3). Tỷ lệ bị nhiễm trùng và tỷ lệ tử vong cao hơn đáng kể ở quần thể có tỷ lệ tiêm phòng sởi thấp. Trẻ nhỏ, phụ nữ mang thai, người suy dinh dưỡng và người suy giảm miễn dịch có nguy cơ cao bị biến chứng do bệnh sởi.
Bệnh sởi không phổ biến ở Hoa Kỳ do tiêm chủng thường xuyên cho trẻ em và bệnh sởi lưu hành đã được tuyên bố loại trừ ở Hoa Kỳ vào năm 2000. Trung bình có 71 trường hợp/năm được báo cáo cho Trung tâm Kiểm soát và Phòng ngừa Dịch bệnh (CDC) từ năm 2000 đến năm 2010 (4).
Vào năm 2019, tỷ lệ mắc bệnh hàng năm tại Hoa Kỳ đã tăng lên 1274 trường hợp, con số cao nhất được báo cáo kể từ năm 1992 (4). Sự gia tăng này chủ yếu là do sự lây lan ở những người chưa được tiêm vắc-xin. Vào năm 2020, trong đại dịch COVID-19 toàn cầu, chỉ có 13 trường hợp mắc bệnh sởi được báo cáo tại Hoa Kỳ. Từ năm 2020 đến năm 2023, tổng cộng có 242 trường hợp được xác nhận và trong năm 2024, có 285 trường hợp(4).
Năm 2025 (tính đến ngày 22 tháng 5), 1046 trường hợp được xác nhận và 3 trường hợp tử vong đã được báo cáo tại Hoa Kỳ. Đã có 14 đợt bùng phát (được xác định là ≥ 3 trường hợp liên quan) và 92% số trường hợp được xác nhận (961 trường hợp trong số 1046 trường hợp) có liên quan đến đợt bùng phát (4). Để so sánh, trong 2024, có 16 đợt bùng phát được báo cáo và 69% số trường hợp (198 trường hợp trong số 285 trường hợp) có liên quan đến đợt bùng phát.
Tỷ lệ mắc và số lượng bùng phát bệnh sởi ngày càng tăng có liên quan đến việc giảm tỷ lệ tiêm chủng, do các yếu tố khác nhau, bao gồm do dự và gián đoạn trong các chương trình tiêm chủng (4, 5). Ở Hoa Kỳ, tình trạng cha mẹ từ chối tiêm vắc-xin cho con cái họ ngày càng phổ biến và tỷ lệ tiêm chủng giảm đã dẫn đến tỷ lệ trẻ em mắc các bệnh có thể phòng ngừa bằng vắc-xin tăng lên. Tỷ lệ tiêm chủng cho trẻ mẫu giáo tại Hoa Kỳ đã giảm từ 95,2% trong năm học 2019–2020 xuống còn 92,7% trong năm học 2023–2024 (4). Ngưỡng miễn dịch cộng đồng (tỷ lệ dân số có khả năng miễn dịch với bệnh truyền nhiễm thông qua miễn dịch bẩm sinh, tiêm chủng hoặc nhiễm trùng trước đó cần thiết để ngăn ngừa sự lây truyền bệnh) đối với bệnh sởi ở Hoa Kỳ được ước tính là từ 92% đến 95% (6, 7).
Tài liệu tham khảo chung
1. World Health Organization: The Global Health Observatory; Measles - number of reported cases. Truy cập ngày 9 tháng 5 năm 2025.
2. World Health Organization: Facts Sheet; Measles. Truy cập ngày 9 tháng 5 năm 2025.
3. Minta AA, Ferrari M, Antoni S, et al. Progress Toward Measles Elimination - Worldwide, 2000-2023. MMWR Morb Mortal Wkly Rep. 2024;73(45):1036-1042. Xuất bản ngày 14 tháng 11 năm 2024. doi:10.15585/mmwr.mm7345a4
4. Centers for Disease Control and Prevention (CDC): Measles Cases and Outbreaks. Truy cập ngày 9 tháng 5 năm 2025.
5. Zucker JR, Rosen JB, Iwamoto M, et al. Consequences of Undervaccination - Measles Outbreak, New York City, 2018-2019. N Engl J Med. 2020;382(11):1009-1017. doi:10.1056/NEJMoa1912514
6. Measles vaccines: WHO position paper – Tháng 4 năm 2017. Note de synthèse de l’OMS sur les vaccins contre la rougeole – avril 2017. Wkly Epidemiol Rec. 2017;92(17):205-227. Xuất bản ngày 28 tháng 4 năm 2017.
7. Funk S, Knapp JK, Lebo E, et al. Combining serological and contact data to derive target immunity levels for achieving and maintaining measles elimination. BMC Med. 2019;17(1):180. Xuất bản ngày 25 tháng 9 năm 2019. doi:10.1186/s12916-019-1413-7
Sinh lý bệnh của bệnh sởi
Sởi là do paramyxovirus và là bệnh ở người không có vật chủ động vật hoặc vật trung gian không triệu chứng. Bệnh này cực kỳ dễ lây lan; tỷ lệ mắc bệnh thứ phát > 90% ở những người dễ bị nhiễm bệnh và phơi nhiễm với bệnh (1). Đây là một trong những loại vi rút lây nhiễm nhất ở người được biết đến (2).
Bệnh sởi lây truyền chủ yếu trong giai đoạn tiền triệu hoặc giai đoạn đầu của phát ban. Lây truyền thường thông qua các giọt bắn lớn ở đường hô hấp bị thải ra khi ho và tồn tại trong không khí trong cự ly ngắn. Lây truyền cũng có thể xảy ra thông qua các giọt bắn nhỏ dạng khí dung có thể lơ lửng trong không khí (và do đó có thể hít phải) trong tối đa 2 giờ ở những khu vực kín (ví dụ: trong phòng khám). Có thể lây truyền qua vật trung gian nhưng ít quan trọng về mặt lâm sàng hơn so với lây truyền qua không khí vì vi rút sởi được cho là chỉ tồn tại trong thời gian ngắn trên các bề mặt khô (3).
Du lịch trong nước hoặc quốc tế đến những khu vực đang lưu hành bệnh sởi hoặc nơi có dịch bệnh bùng phát là yếu tố nguy cơ lây truyền bệnh sởi.
Khả năng lây truyền bắt đầu từ 4 ngày trước và kéo dài cho đến 4 ngày sau khi phát ban xuất hiện. Bệnh nhân suy giảm miễn dịch có thể có tiết vi rút sởi kéo dài trong đường hô hấp.
Tài liệu tham khảo sinh bệnh học
1. Centers for Disease Control and Prevention (CDC): Yellow Book: Health Information for International Travel. Measles (Rubeola). 2026.
2. Strebel PM, Orenstein WA. Measles. N Engl J Med. 2019;381(4):349-357. doi:10.1056/NEJMcp1905181
3. Bischoff WE, McNall RJ, Blevins MW, et al. Detection of Measles Virus RNA in Air and Surface Specimens in a Hospital Setting. J Infect Dis. 2016;213(4):600-603. doi:10.1093/infdis/jiv465
Các triệu chứng và dấu hiệu của bệnh sởi
Diễn biến điển hình của bệnh sởi như sau (số ngày chỉ là ước tính và thời gian kéo dài có thể thay đổi) (1, 2):
Phơi nhiễm
Thời gian ủ bệnh: 7 ngày đến 21 ngày (trung bình 11 ngày đến 12 ngày) kể từ khi phơi nhiễm đến khi bắt đầu sốt
Tiền triệu: Từ 3 ngày đến 7 ngày kể từ khi có triệu chứng cho đến khi phát ban
Đốm Koplik (nội ban): Xuất hiện khoảng 2 ngày trước và kéo dài trong 1 ngày đến 2 ngày sau khi phát ban
Phát ban (ngoại ban): Phát ban xuất hiện từ 4 ngày đến 7 ngày rồi bắt đầu mờ dần nhanh chóng.
Phục hồi (hết triệu chứng và hết phát ban): 7 ngày sau khi phát ban ở những trường hợp không biến chứng
Giai đoạn lây nhiễm: Bệnh nhân bị nhiễm bệnh có thể lây nhiễm từ 4 ngày trước cho đến 4 ngày sau khi phát ban.
Sau khi phơi nhiễm và thời gian ủ bệnh trung bình từ 11 ngày đến 12 ngày (dao động từ 7 ngày đến 20 ngày [3]), bệnh sởi bắt đầu bằng tiền triệu là sốt, sổ mũi, ho khan và viêm kết mạc sụn mi.
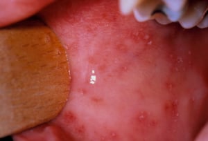
Các đốm Koplik ở niêm mạc miệng trông giống như những hạt cát trắng có quầng màu đỏ bao quanh. Các vết nội ban này là đặc trưng của bệnh và xuất hiện ở 70% số bệnh nhân (2). Các đốm Koplik xuất hiện trong giai đoạn tiền triệu trước khi xuất hiện nội ban, thường ở niêm mạc miệng đối diện với răng hàm trên thứ nhất và răng hàm trên thứ hai. Chúng có thể lan rộng, tạo ra đốm đỏ lan toả trong niêm mạc miệng.
Các đốm Koplik được mô tả một cách cổ điển là các đốm đỏ sáng với các trung tâm màu trắng hoặc hơi trắng có thể giống với các hạt cát. Chúng có thể xảy ra ở bất cứ nơi nào trong miệng, thường xảy ra trước khi xuất hiện triệu chứng và là đặc trưng bệnh lý đối với bệnh sởi (rubeola).
Các đốm Koplik được mô tả một cách cổ điển là các đốm đỏ sáng với các trung tâm màu trắng hoặc hơi trắng có thể giống v
Hình ảnh từ Thư viện Hình ảnh Y tế Công cộng của Trung tâm Kiểm soát và Phòng ngừa Dịch bệnh.
Các đốm Koplik được mô tả một cách cổ điển là các đốm đỏ sáng với các trung tâm màu trắng hoặc hơi trắng có thể giống với các hạt cát. Chúng có thể xảy ra ở bất cứ nơi nào trong miệng, thường xảy ra trước khi xuất hiện triệu chứng và là đặc trưng bệnh lý đối với bệnh sởi (rubeola).
Các đốm Koplik được mô tả một cách cổ điển là các đốm đỏ sáng với các trung tâm màu trắng hoặc hơi trắng có thể giống v
BÁC SĨ P. MARAZZI/THƯ VIỆN HÌNH ẢNH KHOA HỌC
Các đốm Koplik được mô tả một cách cổ điển là các đốm đỏ sáng với các trung tâm màu trắng hoặc hơi trắng có thể giống với các hạt cát. Chúng có thể xảy ra ở bất cứ nơi nào trong miệng, thường xảy ra trước khi xuất hiện triệu chứng và là đặc trưng bệnh lý đối với bệnh sởi (rubeola).
Các đốm Koplik được mô tả một cách cổ điển là các đốm đỏ sáng với các trung tâm màu trắng hoặc hơi trắng có thể giống v
BÁC SĨ P. MARAZZI/THƯ VIỆN HÌNH ẢNH KHOA HỌC
Phát ban xuất hiện khoảng 3 ngày đến 7 ngày sau khi xuất hiện triệu chứng báo trước, thường là 1 ngày đến 2 ngày sau khi xuất hiện các nốt Koplik. Nó bắt đầu trên mặt ở phía trước và sau tai và ở hai bên cổ như những vết ban không đều, sau đó sớm hoà lẫn với các vết sẩn. Phát ban có màu đỏ nhưng có thể sẫm màu hơn ở những bệnh nhân có làn da sẫm màu. Trong vòng 24 giờ đến 48 giờ, các tổn thương sẽ xuất hiện ở thân và tứ chi (bao gồm lòng bàn tay và lòng bàn chân) khi các tổn thương này bắt đầu mờ dần trên mặt. Có thể xảy ra tình trạng bong tróc sau khi hết ban trên mặt. Xuất huyết hoặc bầm máu có thể xảy ra trong những trường hợp nặng.
Bệnh sởi (rubeola) biểu hiện bằng phát ban dạng dát sẩn lan tỏa, sau đó hợp lại và lan rộng theo kiểu từ đầu đến chân.
Bệnh sởi (rubeola) biểu hiện bằng phát ban dạng dát sẩn lan tỏa, sau đó hợp lại và lan rộng theo kiểu từ đầu đến chân.
Hình ảnh từ Thư viện Hình ảnh Y tế Công cộng của Trung tâm Kiểm soát và Phòng ngừa Dịch bệnh.
Bệnh sởi (rubeola) biểu hiện bằng phát ban dạng dát sẩn lan tỏa, sau đó hợp lại và lan rộng theo kiểu từ đầu đến chân.
Bệnh sởi (rubeola) biểu hiện bằng phát ban dạng dát sẩn lan tỏa, sau đó hợp lại và lan rộng theo kiểu từ đầu đến chân.
THƯ VIỆN HÌNH ẢNH KHOA HỌC
Bệnh sởi (rubeola) biểu hiện bằng phát ban dạng dát sẩn lan tỏa, sau đó hợp lại và lan rộng theo kiểu từ đầu đến chân.
Bệnh sởi (rubeola) biểu hiện bằng phát ban dạng dát sẩn lan tỏa, sau đó hợp lại và lan rộng theo kiểu từ đầu đến chân.
CDC/ Betty G. Partin
Trong giai đoạn bệnh nặng nhất, bệnh nhân có thể bị sốt cao, đôi khi vượt quá 40°C, kèm theo phù quanh hốc mắt, viêm kết mạc, sợ ánh sáng, ho khan, phát ban lan rộng và suy nhược. Các triệu chứng và dấu hiệu toàn thể song song với mức độ nặng của bộc phát ban.
Phát ban thường bắt đầu mờ đi nhanh chóng sau khoảng 4 ngày đến 7 ngày kể từ khi xuất hiện, để lại màu nâu đồng hoặc tăng sắc tố, sau đó là bong tróc sau khi phát ban mờ đi. Cùng lúc đó, sốt giảm dần và bệnh nhân cảm thấy dễ chịu hơn.
Bệnh nhân bị nhiễm bệnh có thể lây nhiễm từ 4 ngày trước cho đến 4 ngày sau khi phát ban.
Những bệnh nhân bị suy giảm miễn dịch có thể không bị phát ban và có thể bị viêm phổi tế bào khổng lồ nặng, tiến triển.
Complications of measles
Các biến chứng của bệnh sởi bao gồm:
Nhiễm trùng bội nhiễm do vi khuẩn, bao gồm viêm tai giữa, viêm phổi
Mất trí nhớ do miễn dịch
Viêm gan thoáng qua
Viêm não
Xuất huyết giảm tiểu cầu cấp tính
Viêm não toàn bộ xơ hoá bán cấp
Ở các quốc gia có nhiều nguồn lực, tỷ lệ biến chứng của bệnh sởi bao gồm viêm tai giữa (7% đến 9%), viêm phổi (1% đến 6%), tiêu chảy (8%), viêm não sau nhiễm trùng (khoảng 1/1000) và tử vong (khoảng 1/1000) (2). Viêm toàn bộ não bán cấp xơ cứng là biến chứng muộn xảy ra ở khoảng 1/10.000 số bệnh nhân có tiền sử nhiễm bệnh sởi. Tỷ lệ có biến chứng cao hơn ở trẻ nhỏ và bệnh nhân đang mang thai, suy dinh dưỡng hoặc suy giảm miễn dịch. Bệnh sởi tạm thời ức chế miễn dịch qua trung gian tế bào, dẫn đến chứng mất trí nhớ do miễn dịch và làm tăng nguy cơ nhiễm trùng tiếp theo trong nhiều tháng đến nhiều năm.
Bội nhiễm vi khuẩn bao gồm viêm phổi, viêm thanh quản và viêm tai giữa. Gợi ý bội nhiễm do vi khuẩn là các dấu hiệu khu trú liên quan hoặc tái phát sốt, tăng bạch cầu hoặc yếu.
Viêm phổi do nhiễm vi rút sởi xảy ra ở 6% số bệnh nhân, ngay cả trong trường hợp nhiễm trùng không có biến chứng (2). Trong các trường hợp tử vong do bệnh sởi ở trẻ sơ sinh, viêm phổi thường là nguyên nhân gây tử vong.
Suy giảm miễn dịch do bệnh sởi có thể làm bệnh lao hoạt động trầm trọng hơn và tạm thời ngăn ngừa phản ứng với kháng nguyên tuberculin và histoplasmin trong các xét nghiệm ở da.
Viêm gan thoáng qua và tiêu chảy có thể xảy ra trong một trường hợp nhiễm trùng cấp tính.
Viêm não sau nhiễm trùng xảy ra ở 1/1000 số trẻ em, thường là từ 2 ngày đến 2 tuần sau khi phát ban (4), thường bắt đầu bằng tình trạng sốt cao tái phát, đau đầu, co giật và hôn mê (2). Dịch não tuỷ thường có lượng tế bào bạch cầu từ 50 đến 500/mcL và mức protein tăng nhẹ nhưng có thể là bình thường lúc ban đầu. Viêm não có thể thuyên giảm trong khoảng 1 tuần hoặc có thể kéo dài lâu hơn, gây tình trạng bệnh hoặc tử vong.
Xuất huyết giảm tiểu cầu cấp tính có thể xảy ra sau khi khỏi nhiễm trùng và gây ra xu hướng chảy máu nhẹ, tự khỏi; đôi khi, chảy máu rất nghiêm trọng.
Viêm não toàn thể xơ cứng bán cấp (SSPE) là một biến chứng muộn, tiến triển, cuối cùng gây tử vong của bệnh sởi. SSPE là một căn bệnh thoái hóa có thể biểu hiện trong vòng 7 năm đến 10 năm (hoặc hơn) sau khi nhiễm sởi và thường gây tử vong trong vòng vài năm kể từ khi xuất hiện triệu chứng. Nguy cơ mắc SSPE cao hơn nhiều ở trẻ em ban đầu bị nhiễm sởi khi dưới 5 tuổi (1:1300 số trường hợp) và đặc biệt ở trẻ em bị nhiễm khi dưới 12 tháng tuổi (1:600 số trường hợp) (5).
Hội chứng sởi không điển hình là một biến chứng phát triển ở những người đã được tiêm vắc-xin sởi bằng loại vắc-xin sởi đã chết ban đầu được sử dụng ở Hoa Kỳ từ năm 1963 đến năm 1967 và cho đến đầu những năm 1970 ở một số quốc gia khác (6). Những vắc xin cũ này đã làm thay đổi biểu hiện bệnh ở một số bệnh nhân chưa được bảo vệ hoàn toàn và sau đó mắc thêm chủng sởi dại. Biểu hiện của bệnh sởi phát sinh đột ngột hơn và tình trạng thương tổn ở phổi đáng kể thường gặp hơn (7). Các trường hợp được xác nhận là cực kỳ hiếm kể từ những năm 1980 (8). Bệnh sởi không điển hình đáng lưu ý chủ yếu là do những bệnh nhân đã tiêm vắc xin sởi trong khoảng thời gian đó có thể có tiền sử tiêm vắc xin sởi và nhiễm sởi.
Tài liệu tham khảo về các dấu hiệu và triệu chứng
1. Centers for Disease Control and Prevention (CDC): Yellow Book: Health Information for International Travel. Measles (Rubeola). 2026.
2. Strebel PM, Orenstein WA. Measles. N Engl J Med. 2019;381(4):349-357. doi:10.1056/NEJMcp1905181
3. Tanaka H, Takahashi Y, Matsumoto S, et al. Shorter incubation period in symptomatic measles patients who had no history of measles vaccination. Vaccine. 2025;45:126652. doi:10.1016/j.vaccine.2024.126652
4. CDC: Clinical Overview of Measles. Truy cập ngày 5 tháng 5 năm 2025
5. Wendorf KA, Winter K, Zipprich J, et al. Subacute Sclerosing Panencephalitis: The Devastating Measles Complication That Might Be More Common Than Previously Estimated. Clin Infect Dis. 2017;65(2):226-232. doi:10.1093/cid/cix302
6. CDC: Measles prevention. MMWR Suppl. 1989;38(9):1–18.
7. Annunziato D, Kaplan MH, Hall WW, et al. Atypical measles syndrome: pathologic and serologic findings. Pediatrics. 1982;70(2):203-209.
8. Melenotte C, Cassir N, Tessonnier L, Brouqui P. Atypical measles syndrome in adults: still around. BMJ Case Rep. 2015;2015:bcr2015211054. Xuất bản ngày 23 tháng 9 năm 2015. doi:10.1136/bcr-2015-211054
Chẩn đoán bệnh Sởi
Bệnh sử và khám lâm sàng
Phát hiện virus bằng PCR sao chép ngược (RT-PCR)
Xét nghiệm huyết thanh học
Ban đầu, bệnh sởi có thể được nghi ngờ ở bệnh nhân tiếp xúc với nguồn bệnh bị sổ mũi, viêm kết mạc, sợ ánh sáng và ho. Các bác sĩ lâm sàng cần có mức độ nghi ngờ lâm sàng cao khi phát ban xuất hiện ở những bệnh nhân chưa tiêm vắc-xin hoặc tiêm vắc-xin chưa đầy đủ, có tiền sử đi du lịch hoặc đã biết là có phơi nhiễm với bệnh.
Chẩn đoán dựa trên việc phát hiện các đốm Koplik, là dấu hiệu đặc trưng của bệnh, hoặc phát ban đặc trưng ở bệnh nhân không có miễn dịch nhưng đã biết hoặc nghi ngờ có phơi nhiễm với bệnh.
Cần phải thực hiện việc xác nhận bằng xét nghiệm. Tiến hành lấy mẫu dịch mũi họng hoặc họng để xét nghiệm RT-PCR; mẫu nước tiểu cũng được thu thập để xét nghiệm RT-PCR nếu khả thi (1, 2). Lấy mẫu máu để làm xét nghiệm về huyết thanh. Sự gia tăng mức kháng thể IgG giữa huyết thanh giai đoạn cấp tính và hồi phục có độ chính xác cao, nhưng để thu thập thông tin này sẽ trì hoãn việc chẩn đoán. Nồng độ IgM cho thấy tình trạng nhiễm trùng cấp tính (hoặc gần đây) nhưng có thể không phát hiện được cho đến sau thời điểm khởi phát 3 ngày và có thể không có hoặc xuất hiện tạm thời ở những người đã được tiêm vắc-xin trước đó (3). Mọi trường hợp nghi ngờ mắc bệnh sởi phải được báo cáo cho cơ quan y tế địa phương ngay cả trước khi có xác nhận từ phòng xét nghiệm. (Xem thêm CDC: MMRV Testing for Clinicians để biết thông tin mới nhất về xét nghiệm bệnh sởi cấp tính và xét nghiệm miễn dịch với bệnh sởi.)
Xét nghiệm công thức máu có thể cho thấy tình trạng giảm bạch cầu lympho và giảm tiểu cầu nhưng không cần thiết để chẩn đoán bệnh sởi.
Chẩn đoán phân biệt bao gồm bệnh rubella (sởi Đức), sốt ban đỏ, phát ban do thuốc, bệnh huyết thanh (xem bảng Một số nguyên nhân gây mày đay), bệnh ban đào ở trẻ sơ sinh, bệnh tăng bạch cầu đơn nhân nhiễm trùng, ban đỏ nhiễm trùng, bệnh do ve truyền, bệnh Kawasaki và nhiễm trùng do echovirus và coxsackievirus (xem bảng Một số loại vi rút đường hô hấp). Các triệu chứng và dấu hiệu xuất hiện có thể gây nhầm lẫn trong chẩn đoán ở những vùng mà bệnh sởi rất hiếm gặp.
Một số đặc điểm có thể giúp phân biệt với bệnh sởi điển hình như sau:
Bệnh Rubella: Không có triệu chứng tiền triệu, sốt và các triệu chứng toàn thân khác vắng mặt hoặc ít trầm trọng hơn, các hạch bạch huyết quanh tai và dưới chẩm tăng kích thước (và thường mềm), và tồn tại trong thời gian ngắn.
Phát ban do thuốc: Phát ban do quá mẫn với thuốc thường giống với phát ban của bệnh sởi, nhưng không có tiền triệu chứng, không có tiến triển đầu não hoặc ho và thường có tiền sử phơi nhiễm thuốc gần đây.
Đào ban: Phát ban tương tự như bệnh sởi, nhưng hiếm khi xảy ra ở trẻ em > 3 tuổi. Nhiệt độ ban đầu thường cao, hạt Koplik và không có trạng thái mệt mỏi, và hạ sốt và phát ban xảy ra đồng thời.
Tài liệu tham khảo chẩn đoán
1. Centers for Disease Control and Prevention (CDC): Clinical Overview of Measles. Truy cập ngày 5 tháng 5 năm 2025
2. Hübschen JM, Gouandjika-Vasilache I, Dina J. Measles. Lancet. 2022;399(10325):678-690. doi:10.1016/S0140-6736(21)02004-3
3. CDC: Laboratory Testing for Measles. Truy cập ngày 16 tháng 5 năm 2025.
Điều trị bệnh Sởi
Chăm sóc hỗ trợ
Đối với trẻ em, vitamin A
Thuốc kháng sinh nếu có bội nhiễm vi khuẩn
Điều trị bệnh sởi là hỗ trợ, bao gồm cả viêm não.
Bệnh nhân có chẩn đoán nghi ngờ mắc bệnh sởi phải được cách ly ngay lập tức (1). Những bệnh nhân khỏe mạnh có thể được cách ly và điều trị ngoại trú.
Bệnh nhân mắc bệnh sởi nhập viện phải được xử trí bằng các biện pháp phòng ngừa tiêu chuẩn, phòng ngừa tiếp xúc và phòng ngừa lây truyền qua không khí. Cần có các phòng cách ly một bệnh nhân phòng lây nhiễm qua đường hô hấp và các máy thông khí N-95 hoặc các thiết bị bảo vệ cá nhân tương tự.
Bổ sung vitamin A đã được chứng minh là làm giảm tỷ lệ mắc bệnh và tử vong do bệnh sởi ở trẻ em ở các vùng chưa được phục vụ về mặt y tế. Vì nồng độ vitamin A trong huyết thanh thấp có liên quan đến bệnh nặng do bệnh sởi, nên điều trị bằng vitamin A được khuyến nghị cho tất cả trẻ em mắc bệnh sởi (2, 3). Liều được cho uống một lần/ngày trong 2 ngày và phụ thuộc vào tuổi của trẻ:
≥ 12 tháng: 200.000 đơn vị quốc tế (IU)
6 đến 11 tháng: 100.000 IU
< 6 tháng: 50.000 IU
Ở trẻ em có dấu hiệu lâm sàng của tình trạng thiếu vitamin A (ví dụ: giảm thị lực ban đêm, khô mắt và khô da, da và niêm mạc khô hoặc sừng hóa, suy giảm miễn dịch, bất thường về tăng trưởng ở trẻ nhỏ), một liều vitamin A bổ sung duy nhất theo độ tuổi được lặp lại sau 2 tuần đến 4 tuần.
Thuốc kháng sinh sẽ được sử dụng nếu chẩn đoán là bội nhiễm vi khuẩn.
Tài liệu tham khảo về điều trị
1. Centers for Disease Control and Prevention (CDC): Expanding Measles Outbreak in the United States and Guidance for the Upcoming Travel Season. Recommendations for Healthcare Professionals. Truy cập ngày 14 tháng 5 năm 2025.
2. World Health Organization. (2020). Guide for clinical case management and infection prevention and control during a measles outbreak. 2020.
3. CDC: Yellow Book: Health Information for International Travel. Measles (Rubeola). 2026.
Tiên lượng về bệnh sởi
Tỷ lệ tử vong ở bệnh nhân mắc bệnh sởi là khoảng 1 đến 3/1000 số trẻ em tại Hoa Kỳ; tỷ lệ này cao hơn đáng kể (2% đến 3%) ở các khu vực thiếu dịch vụ y tế (1, 2) và khoảng 1% trên toàn thế giới (3, 4).
Nhiễm trùng ở trẻ sơ sinh, không được tiếp cận chăm sóc y tế, suy dinh dưỡng nặng, thiếu vitamin A và viêm phổi là biến chứng có liên quan đến nguy cơ tử vong cao hơn (5, 6).
Xem thêm Các biến chứng của bệnh sởi.
Tài liệu tham khảo về tiên lượng
1. Gindler J, Tinker S, Markowitz L, Atkinson W, Dales L, Papania MJ. Acute measles mortality in the United States, 1987-2002. J Infect Dis. 2004;189 Suppl 1:S69-S77. doi:10.1086/378565
2. Lee B, Ying M, Papania MJ, Stevenson J, Seward JF, Hutchins SS. Measles hospitalizations, United States, 1985-2002. J Infect Dis. 2004;189 Suppl 1:S210-S215. doi:10.1086/381555
3. Minta AA, Ferrari M, Antoni S, et al. Progress Toward Measles Elimination - Worldwide, 2000-2023. MMWR Morb Mortal Wkly Rep. 2024;73(45):1036-1042. Xuất bản ngày 14 tháng 11 năm 2024. doi:10.15585/mmwr.mm7345a4
4. Sbarra AN, Mosser JF, Jit M, et al. Estimating national-level measles case-fatality ratios in low-income and middle-income countries: an updated systematic review and modelling study. Lancet Glob Health. 2023;11(4):e516-e524. doi:10.1016/S2214-109X(23)00043-8
5. Strebel PM, Orenstein WA. Measles. N Engl J Med. 2019;381(4):349-357. doi:10.1056/NEJMcp1905181
6. Donadel M, Stanescu A, Pistol A, et al. Risk factors for measles deaths among children during a Nationwide measles outbreak - Romania, 2016-2018. BMC Infect Dis. 2021;21(1):279. Xuất bản ngày 19 tháng 3 năm 2021. doi:10.1186/s12879-021-05966-3
Phòng ngừa bệnh sởi
Những người đã từng nhiễm sởi không đột biến được coi là có khả năng miễn dịch suốt đời (bao gồm cả người lớn sinh trước năm 1957 do được cho là đã phơi nhiễm với vi rút này). Trẻ sơ sinh có mẹ đã cố miễn dịch với bệnh sởi (ví dụ: do đã từng mắc bệnh hoặc tiêm vắc-xin trước đó) sẽ nhận được kháng thể từ mẹ qua nhau thai; những kháng thể này thường có tác dụng bảo vệ trong suốt 6 tháng đến 12 tháng đầu đời.
Vắc-xin sống giảm độc lực có chứa bệnh sởi, quai bị và rubella (MMR) thường được tiêm cho trẻ em ở hầu hết các quốc gia có cơ sở hạ tầng chăm sóc sức khỏe mạnh mẽ. Ở Hoa Kỳ, vắc-xin MMR được khuyến nghị cho trẻ em và được tiêm theo 2 liều: 1 liều khi trẻ từ 12 tháng tuổi đến 15 tháng tuổi và 1 liều khi trẻ từ 4 tuổi đến 6 tuổi. Tiêm 2 liều vắc-xin MMR được coi là có tác dụng bảo vệ chống lại bệnh sởi.
Tiêm vắc-xin MMR thường mang lại khả năng miễn dịch lâu dài và việc tiêm vắc-xin thường xuyên cho trẻ em đã làm giảm tỷ lệ mắc bệnh sởi ở Hoa Kỳ tới 99% (1). Một phân tích tổng hợp lớn các nghiên cứu theo đoàn hệ cho thấy hiệu quả của vắc-xin MMR trong việc ngăn ngừa bệnh sởi ở trẻ em từ 9 tháng tuổi đến 15 tuổi là 95% sau 1 liều và 96% sau 2 liều (2). Trên toàn thế giới, từ năm 2000 đến năm 2023, ước tính có 60,3 triệu ca tử vong do bệnh sởi đã được ngăn ngừa bằng cách tiêm chủng; tuy nhiên, không có khu vực nào đạt được và duy trì được việc loại trừ bệnh sởi tính đến cuối năm 2023 (3).
Lịch tiêm vắc-xin MMR 2 liều được đưa ra vào năm 1989; do đó, những người lớn sinh từ năm 1957 đến năm 1989 có thể chỉ được tiêm một liều duy nhất. Đối với người lớn trong nhóm này, khuyến nghị tiêm thêm 1 liều đến 2 liều cho những người không có bằng chứng miễn dịch và có nguy cơ phơi nhiễm cao (ví dụ: sinh viên tại các cơ sở giáo dục sau trung học, nhân viên y tế, khách du lịch quốc tế, người tiếp xúc với người suy giảm miễn dịch, người nhiễm HIV) (4, 5, 6). Ngoài ra, một số ít người lớn được tiêm vắc-xin từ năm 1963 đến năm 1967 có thể đã được tiêm vắc-xin sởi bất hoạt (không hoạt động), được coi là chưa tiêm vắc-xin và cần được tiêm lại.
MMR là vắc-xin sống và chống chỉ định trong thời kỳ mang thai. Vắc xin này cũng chống chỉ định ở một số bệnh nhân suy giảm miễn dịch và ở những bệnh nhân đã từng bị phản ứng phản vệ với thành phần vắc-xin hoặc liều vắc-xin trước đó (7).
Xem Vắc xin MMR để biết thêm thông tin, bao gồm chỉ định, chống chỉ định và biện pháp phòng ngừa, liều lượng và cách sử dụng cũng như tác dụng bất lợi.
Phòng ngừa sau phơi nhiễm
Có thể phòng ngừa cho những người tiếp xúc không có miễn dịch nhưng không bị suy giảm miễn dịch bằng cách tiêm vắc-xin MMR trong vòng 3 ngày sau khi phơi nhiễm.
Đối với những bệnh nhân dễ mắc bệnh và không thể tiêm vắc-xin (ví dụ: bệnh nhân suy giảm miễn dịch nghiêm trọng hoặc bệnh nhân đang mang thai), globulin miễn dịch của người có kháng thể sởi sẽ được tiêm ngay lập tức (trong vòng 6 ngày). Tất cả bệnh nhân bị suy giảm miễn dịch nặng sau khi phơi nhiễm với nguồn bệnh đều phải được tiêm globulin miễn dịch bất kể tình trạng tiêm chủng.
Bệnh nhân đã tiêm bắp globulin miễn dịch cần phải được tiêm vắc-xin MMR sau 6 tháng và bệnh nhân đã tiêm globulin miễn dịch theo đường tĩnh mạch cần phải được tiêm vắc-xin MMR sau 8 tháng nếu họ ≥ 12 tháng tuổi và đủ điều kiện tiêm vắc-xin sống. (5).
Trong một đợt bùng phát dịch ở cơ sở (ví dụ: trường học), những người tiếp xúc dễ bị bệnh từ chối hoặc không thể tiêm vắc xin và những người cũng chưa được tiêm globulin miễn dịch nên bị loại khỏi cơ sở bị ảnh hưởng cho đến 21 ngày sau khi bắt đầu phát ban trong trường hợp cuối cùng. Những nhân viên chăm sóc sức khỏe dễ bị phơi nhiễm và dễ bị tổn thương nên được cách ly sau khi phơi nhiễm và quyết định quay trở lại làm việc nên dựa trên các khuyến nghị về sức khỏe cộng đồng và nên xem xét đến tình trạng miễn dịch của người lao động và nguy cơ đối với những người khác trong môi trường làm việc.
Tài liệu tham khảo về phòng ngừa
1. McLean HQ, Fiebelkorn AP, Temte JL, Wallace GS; Centers for Disease Control and Prevention. Prevention of measles, rubella, congenital rubella syndrome, and mumps, 2013: Summary recommendations of the Advisory Committee on Immunization Practices (ACIP). [published correction appears in MMWR Recomm Rep. Ngày 13 tháng 3 năm 2015;64(9):259]. MMWR Recomm Rep. 2013;62(RR-04):1–34.
2. Di Pietrantonj C, Rivetti A, Marchione P, et al. Vaccines for measles, mumps, rubella, and varicella in children. Cochrane Database Syst Rev. 2020;4(4):CD004407. doi:10.1002/14651858.CD004407.pub4
3. Minta AA, Ferrari M, Antoni S, et al. Progress Toward Measles Elimination - Worldwide, 2000-2023. MMWR Morb Mortal Wkly Rep. 2024;73(45):1036-1042. Xuất bản ngày 14 tháng 11 năm 2024. doi:10.15585/mmwr.mm7345a4
4. Centers for Disease Control and Prevention (CDC): Expanding Measles Outbreak in the United States and Guidance for the Upcoming Travel Season. Recommendations for Healthcare Professionals. Truy cập ngày 14 tháng 5 năm 2025.
5. CDC: Yellow Book: Health Information for International Travel. Measles (Rubeola). 2026.
6. CDC: Measles Vaccine Recommendations. Truy cập ngày 30 tháng 5 năm 2025.
7. National Center for Immunization and Respiratory Diseases. General recommendations on immunization --- recommendations of the Advisory Committee on Immunization Practices (ACIP) [published correction appears in MMWR Recomm Rep. Ngày 29 tháng 7 năm 2011;60:993]. MMWR Recomm Rep. 2011;60(2):1-64.
Những điểm chính
Tiêm vắc-xin phòng sởi cho trẻ em là an toàn và hiệu quả và nên tiêm vắc-xin MMR trừ khi có chống chỉ định (ví dụ: do mang thai hoặc suy giảm miễn dịch nghiêm trọng).
Tỷ lệ sởi rất khác nhau tùy thuộc vào tỷ lệ tiêm chủng trong dân số.
Sởi rất dễ lây truyền, tiến triển ở > 90% số trường hợp có tiếp xúc nhạy cảm.
Bệnh sởi gây ra khoảng 100.000 ca tử vong trên toàn thế giới mỗi năm, chủ yếu ở trẻ em, đặc biệt là những trẻ sống ở các khu vực thiếu dịch vụ y tế.
Điều trị chủ yếu hỗ trợ, nhưng trẻ cũng nên được bổ sung vitamin A.
Tiến hành phòng ngừa sau phơi nhiễm cho những người phơi nhiễm dễ bị nhiễm bệnh; sử dụng vắc-xin trong vòng 3 ngày trừ khi có chống chỉ định, trong trường hợp đó, hãy tiêm globulin miễn dịch trong vòng 6 ngày.
