Гіперчутливий пневмоніт

(Зовнішній алергійний альвеоліт)

ЗаJoyce Lee, MD, MAS, University of Colorado School of Medicine
ПереглянутоRichard K. Albert, MD, Department of Medicine, University of Colorado Denver - Anschutz Medical
Переглянуто/перевірено Змінено черв. 2025
v919823_uk

Hypersensitivity pneumonitis is a syndrome of cough, dyspnea, and fatigue caused by sensitization and subsequent hypersensitivity to environmental (frequently occupational or domestic) antigens. Acute, subacute, and chronic forms exist; all are characterized by acute interstitial inflammation and development of poorly formed granulomas and fibrosis with long-term exposure. Diagnosis is based on a combination of history, physical examination, imaging, bronchoalveolar lavage, and biopsy. Short-term treatment is with glucocorticoids; long-term treatment is antigen avoidance and, if fibrosis is present, often immunosuppression and/or antifibrotic therapy.

Hypersensitivity pneumonitis is a rare and complex syndrome that arises from the chronic inhalation of various foreign antigens in individuals who are genetically predisposed. While it is a common cause of interstitial lung disease, its overall prevalence remains low, estimated at approximately 1 to 2 cases per 100,000 individuals per year in resource-rich settings (1). Prevalence rates may be higher in specific regions or among certain occupational groups, such as farmers or bird breeders, although the overall prevalence within these higher-risk populations is not well-documented. Seasonal variations are also common, with certain molds implicated as triggers only in hot and humid weather. Active cigarette smoking appears to be associated with a decreased risk of developing hypersensitivity pneumonitis (2).

Довідкові матеріали загального характеру

  1. 1. Fernández Pérez ER, Kong AM, Raimundo K, Koelsch TL, Kulkarni R, Cole AL. Epidemiology of Hypersensitivity Pneumonitis among an Insured Population in the United States: A Claims-based Cohort Analysis. Ann Am Thorac Soc 2018;15(4):460-469. doi:10.1513/AnnalsATS.201704-288OC

  2. 2. Solaymani-Dodaran M, West J, Smith C, Hubbard R. Extrinsic allergic alveolitis: incidence and mortality in the general population. QJM. 2007;100(4):233-237. doi:10.1093/qjmed/hcm008

Etiology of Hypersensitivity Pneumonitis

All cases of hypersensitivity pneumonitis result from immunological reactivity occurring after exposure to a foreign antigen, often in individuals who have some degree of genetic susceptibility. More than 300 antigens have been identified as triggers for hypersensitivity pneumonitis. Antigens encountered through farming, contact with birds, and water contamination account for about 75% of cases.

Antigens are commonly categorized by type and occupation (see table Examples of Hypersensitivity Pneumonitis); farmer’s lung, caused by inhalation of hay dust containing thermophilic actinomycetes, is the prototype. Substantial overlap exists between hypersensitivity pneumonitis and chronic bronchitis in farmers, in whom chronic bronchitis is far more common, occurs independently of smoking status, is linked to thermophilic actinomycete exposure, and leads to findings similar to those of hypersensitivity pneumonitis on diagnostic testing.

Таблиця
Таблиця

Pathophysiology of Hypersensitivity Pneumonitis

The disorder seems to represent a type IV hypersensitivity reaction, in which repeated exposure to antigen in genetically susceptible people leads to acute or subacute inflammation followed by chronic inflammation and fibrosis. Initially, in the acute phase, neutrophilic and mononuclear alveolitis prevail. Subsequently, in the subacute phase, interstitial Th1 and Th17 lymphocytic infiltration and formation and deposition of immune complexes target the foreign antigen. In more chronic cases, granulomatous reactions may occur due to influxes of CD4+ Th1 cells (similar to the pathogenesis in sarcoid or tuberculous granulomas). Finally, with continued exposure, invasion of fibroblasts may cause fibrosis with bronchiolar obliteration. The primary role of the immune response appears to be an attempt to eliminate or if unsuccessful, to isolate the offending antigen. Certain genetic polymorphisms, such as MUC5B, may influence a patient's risk of developing hypersensitivity pneumonitis and contribute to increased disease morbidity (1).

Circulating IgG precipitins (antibodies sensitized to antigen) seem not to have a primary etiologic role, and clinical history of allergy (such as asthma and seasonal allergies) is not a predisposing factor. Cigarette smoking seems to delay or prevent development, perhaps through down-regulation of the lung’s immune response to inhaled antigens. However, smoking may exacerbate the disease once established.

Hypersensitivity pneumonitis has clinical similarities to other disorders that have different pathophysiologies.

  • Organic dust toxic syndrome (pulmonary mycotoxicosis, grain fever), for example, is a syndrome consisting of fever, chills, myalgias, and dyspnea that does not require prior sensitization and is thought to be caused by inhalation of toxins produced by fungi or other contaminants of organic dust.

  • Silo filler’s disease may lead to respiratory failure, acute respiratory distress syndrome (ARDS), and bronchiolitis obliterans or bronchitis but is caused by inhalation of toxic nitrogen oxides produced by freshly fermented corn or alfalfa silage.

  • Work-related asthma causes dyspnea in people previously sensitized to an inhaled antigen, but features such as airflow obstruction, airway eosinophilia, and negative history of contact or exposure and resultant differences in triggering antigens help to distinguish it from hypersensitivity pneumonitis.

Довідковий матеріал щодо патофізіології

  1. 1. Ley B, Newton CA, Arnould I, et al. The MUC5B promoter polymorphism and telomere length in patients with chronic hypersensitivity pneumonitis: an observational cohort-control study. Lancet Respir Med 2017;5(8):639-647. doi:10.1016/S2213-2600(17)30216-3

Symptoms and Signs of Hypersensitivity Pneumonitis

Symptoms and signs tend to depend on whether onset is

  • Acute (days)

  • Subacute (weeks)

  • Chronic (months to years)

Only a small proportion of exposed people develop symptoms and in most cases only after weeks to months of exposure and sensitization.

Гострий гіперчутливий пневмоніт

Acute disease occurs in previously sensitized people with acute high-level antigen exposure and manifests as fever, chills, cough, bilateral vice-like chest tightness (as can occur in asthma), and dyspnea 4 to 8 hours after exposure. Anorexia, nausea, and vomiting may also be present. Physical examination shows tachypnea, diffuse fine-to-medium inspiratory crackles, and, in almost all cases, absence of wheezing. Symptoms may mimic those of acute bacterial pneumonia.

Підгострий гіперчутливий пневмоніт

Subacute disease falls manifests either as cough, dyspnea, fatigue, and anorexia that develops over days to weeks or as acute symptoms superimposed on chronic ones. Wheezing may first begin in the subacute stage.

Хронічний гіперчутливий пневмоніт

Chronic disease occurs in people with long-term low-level antigen exposure (such as owners of birds). Over months to years, patients may present with exertional dyspnea, productive cough, fatigue, and weight loss. There are few physical findings; clubbing uncommonly occurs, and fever is absent. Although rare, in advanced cases, pulmonary fibrosis causes symptoms and signs of right heart failure, respiratory failure, or both.

Diagnosis of Hypersensitivity Pneumonitis

  • High-resolution CT (HRCT)

  • Pulmonary function tests

  • Serologic tests for antigen-specific immunoglobulins

  • Bronchoalveolar lavage

  • Histologic examination

The diagnosis of hypersensitivity pneumonitis requires a high index of suspicion in patients with compatible symptoms and a compatible occupational, avocational, or domestic exposure history. Hypersensitivity pneumonitis must be considered in patients with newly identified interstitial lung disease (1, 2). HRCT is performed to identify the characteristic radiographic findings. Pulmonary function tests may also be performed to assess for the degree of respiratory impairment. Serum antigen-specific immunoglobulin (Ig) G or IgA against suspected antigens may be obtained, but their diagnostic utility is limited and a negative result does not exclude the diagnosis (1). Bronchoalveolar lavage and/or lung biopsy may be necessary if results are inconclusive. The differential diagnosis is broad and includes environmental pulmonary diseases, sarcoidosis, bronchiolitis obliterans, systemic rheumatic–associated pulmonary disease, and other interstitial lung diseases.

Clues in the history include:

  • Recurring atypical pneumonias

  • Symptom onset after moving to a new job or home

  • A hot tub, a sauna, a swimming pool, or other sources of standing water or water damage in the home or regular exposure to them elsewhere

  • Having birds as pets

  • Working on a farm

  • Working in certain industries (eg, woodworking; cheese, wine, or bread making; animal husbandry; textiles)

  • Exacerbation and relief of symptoms in and away from specific settings

Physical examination often is not useful in making the diagnosis, although abnormal lung sounds (eg, inspiratory squeaks, basilar crackles) and clubbing may be present.

Діагностична візуалізація

Imaging tests are typically done for patients with appropriate history, symptoms, and signs.

Chest radiograph is neither sensitive nor specific for detecting disease and is frequently normal in patients with acute and subacute forms. It may show reticular or nodular opacities, usually when symptoms are present. Chest radiographs of patients with chronic disease are more likely to show reticular or nodular opacities in the upper lobes with reduced lung volumes and honeycombing, similar to that of idiopathic pulmonary fibrosis.

High-resolution CT is the preferred imaging modality for evaluating parenchymal changes in hypersensitivity pneumonitis, and is more likely to show abnormalities than standard CT or radiographs (2).

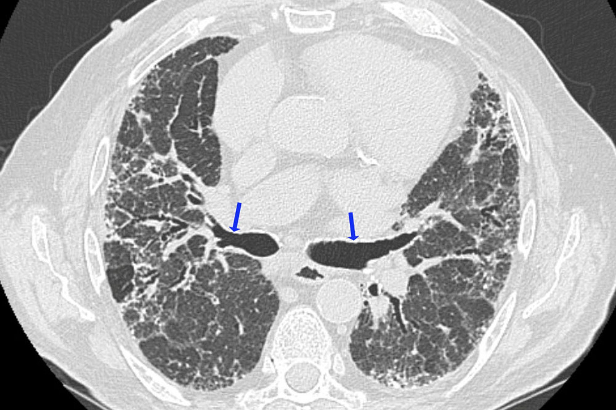
In acute and subacute hypersensitivity pneumonitis, the most typical HRCT findings are centrilobular micronodules, typically measuring less than 3 mm in diameter, usually located near the central airways of those lobules. Occasionally, ground-glass opacification (attenuation) is the predominant or sometimes the only finding. It is usually diffuse but sometimes spares the periphery of the secondary lobule. Focal areas of hyperlucency, similar to those present in bronchiolitis obliterans, may be a prominent feature in some patients (eg, mosaic attenuation with air trapping on expiratory HRCT).

In chronic hypersensitivity pneumonitis, there are findings of lung fibrosis, which include lobar volume loss, linear or reticular opacities, honeycombing, and traction bronchiectasis. Centrilobular micronodules, ground-glass opacification, and areas of hyperlucency may occur but are less prominent. Some patients with chronic hypersensitivity pneumonitis who do not smoke have findings of upper lobe emphysema. Mediastinal lymphadenopathy is uncommon, thereby distinguishing hypersensitivity pneumonitis from sarcoidosis.

Дослідження функції легень

Pulmonary function tests should be done as part of the standard evaluation of suspected cases of hypersensitivity pneumonitis. The syndrome can cause obstructive, restrictive, or a mixed pattern of airway changes. Advanced disease most commonly causes a restrictive defect (decreased lung volumes), a decreased diffusing capacity of the lung for carbon monoxide (DLCO), and exertional hypoxemia progressing to hypoxemia at rest. Airway obstruction is unusual in acute disease but may develop in chronic disease.

Бронхоальвеолярний лаваж

Results of bronchoalveolar lavage are rarely specific for the hypersensitivity pneumonitis but are often a component of the diagnostic assessment for patients with chronic respiratory symptoms and pulmonary function abnormalities. A lymphocytosis in lavage fluid (> 40%) with CD4+/CD8+ ratio < 1.0 (the normal ratio ± standard error of the mean = 2.3 ± 0.2) is characteristic of the disorder (3); by contrast, lymphocytosis with CD4+ predominance (ratio > 1.0) is more characteristic of sarcoidosis. Other findings may include mast cells > 1% (after acute exposure) and increased neutrophils and eosinophils. Older age and cigarette smoking are associated with lower (sometimes falsely low) lymphocyte counts in lavage fluid (2).

Легенева біопсія

Transbronchial or surgical lung biopsy may be indicated when noninvasive testing is inconclusive. Findings vary but typically include peribronchiolar metaplasia, poorly formed non-necrotizing granulomas, and organizing pneumonia. Interstitial fibrosis may be present in chronic cases.

Інші дослідження

Further testing is indicated when additional support for the diagnosis is required or to detect other causes of interstitial lung disease. The detection of serum antigen-specific IgG/IgA, sometimes also called precipitins, may be suggestive of an exposure associated with the illness. However, the presence of circulating precipitins is neither sensitive nor specific. Identification of a specific precipitating antigen may require that industrial hygiene specialists do detailed aerobiologic and/or microbiologic assessment of the workplace, but workplace assessments usually are guided by known sources of inciting antigens (eg, Bacillus subtilis in detergent factories).

Allergy skin tests are not helpful, and peripheral eosinophilia is typically absent.

Tests helpful in detecting other disorders include serologic tests and cultures (for psittacosis and other pneumonias) and autoantibodies (for systemic rheumatic disease). Elevated eosinophil levels may suggest chronic eosinophilic pneumonias. Hilar and paratracheal lymph node enlargement is more characteristic of sarcoidosis.

Довідкові матеріали щодо діагностики

  1. 1. Fernández Pérez ER, Travis WD, Lynch DA, et al. Diagnosis and Evaluation of Hypersensitivity Pneumonitis: CHEST Guideline and Expert Panel Report. Chest 2021;160(2):e97-e156. doi:10.1016/j.chest.2021.03.066

  2. 2. Raghu G, Remy-Jardin M, Ryerson CJ, et al: Diagnosis of hypersensitivity pneumonitis in adults. An Official ATS/JRS/ALAT Clinical Practice Guideline. Am J Respir Crit Care Med 202(3):e36–e69, 2020. doi: 10.1164/rccm.202005-2032ST

  3. 3. Walsh SL, Sverzellati N, Devaraj A, Wells AU, Hansell DM. Chronic hypersensitivity pneumonitis: high resolution computed tomography patterns and pulmonary function indices as prognostic determinants. Eur Radiol. 2012;22(8):1672-1679. doi:10.1007/s00330-012-2427-0

Treatment of Hypersensitivity Pneumonitis

  • Antigen identification and mitigation

  • glucocorticoids

  • Sometimes antifibrotic therapy

Treatment of acute or subacute hypersensitivity pneumonitis is with glucocorticoids, usually high-dose prednisone for 1 to 2 weeks, which is subsequently tapered over the next few weeks until the medication is discontinued. This regimen relieves initial symptoms but does not appear to alter long-term outcome.

Treatment of chronic hypersensitivity pneumonitis is usually with longer courses of low-dose maintenance prednisone with tapering dependent on clinical response. Some patients require corticosteroid-sparing agents (eg, mycophenolate mofetil, azathioprine) for long-term treatment.

In patients with progressive fibrosis despite immunosuppressive therapy, antifibrotic therapy can be considered. Nintedanib, a tyrosine kinase inhibitor, appears to slow the rate of decline in lung function in patients with progressive pulmonary fibrosis, including those with chronic hypersensitivity pneumonitis (1). Pirfenidone, another antifibrotic medication, is sometimes used as an alternative if nintedanib is not tolerated. It has been less well-studied in hypersensitivity pneumonitis, but may also slow progression of lung disease (2).

Довідкові матеріали щодо лікування

  1. 1. Flaherty KR, Wells AU, Cottin V, et al.Nintedanib in Progressive Fibrosing Interstitial Lung Diseases. N Engl J Med 2019;381(18):1718-1727. doi:10.1056/NEJMoa1908681

  2. 2. Behr J, Prasse A, Kreuter M, et al. Pirfenidone in patients with progressive fibrotic interstitial lung diseases other than idiopathic pulmonary fibrosis (RELIEF): a double-blind, randomised, placebo-controlled, phase 2b trial. Lancet Respir Med 2021;9(5):476-486. doi:10.1016/S2213-2600(20)30554-3

Prognosis for Hypersensitivity Pneumonitis

The pathologic changes of acute hypersensitivity pneumonitis are completely reversible if detected early and if antigen exposure is eliminated. Acute disease is self-limiting with antigen avoidance; symptoms usually lessen within hours. Nonfibrotic forms of subacute hypersensitivity pneumonitis generally have a favorable prognosis if the inciting antigen is identified and exposure is avoided. The prognosis is less favorable for patients with fibrotic hypersensitivity pneumonitis. In chronic disease, fibrosis is usually irreversible and may progress even if the patient is no longer exposed to the antigen.

Prevention of Hypersensitivity Pneumonitis

The most important aspect of long-term management of hypersensitivity pneumonitis is avoidance of exposure to antigens. A complete change of environment is rarely realistic, especially for farmers and other workers, in which case dust control measures (such as wetting down compost before disturbing it) or using air filters or protective masks may be effective. Fungicides may be used to prevent the growth of antigenic microorganisms (eg, in hay or on sugar cane), but the long-term safety of this approach is unknown. Extensive cleaning of wet ventilation systems, removal of moist carpets, and maintenance of low humidity by dehumidifiers are also effective in some settings. Patients must be informed, however, that these measures may be inadequate if exposure continues.

Ключові моменти

  • Hypersensitivity pneumonitis is a type IV hypersensitivity reaction that can be triggered with a wide variety of allergens.

  • In patients at risk and who have compatible symptoms, elicit a thorough history of occupational, avocational, and domestic exposure.

  • Perform high-resolution CT and pulmonary function tests and, if the diagnosis is unclear, possibly bronchoalveolar lavage and serologic precipitin testing.

  • Treat most patients with oral prednisone.

  • Advanced cases may respond to antifibrotic agents.