Криптогенна організуюча пневмонія (КОП)

ЗаJoyce Lee, MD, MAS, University of Colorado School of Medicine
ПереглянутоRichard K. Albert, MD, Department of Medicine, University of Colorado Denver - Anschutz Medical
Переглянуто/перевірено Змінено черв. 2025
v8496561_uk

Cryptogenic organizing pneumonia is an idiopathic condition in which granulation tissue obstructs alveolar ducts and alveolar spaces with chronic inflammation occurring in adjacent alveoli. Diagnosis is with imaging (high-resolution CT and radiography); sometimes, lung biopsy is indicated. Treatment is with glucocorticoids. Prognosis is excellent.

Cryptogenic organizing pneumonia (formerly known as bronchiolitis obliterans organizing pneumonia), a form of idiopathic interstitial pneumonia, affects men and women similarly, usually in their 50s or 60s (1). Cigarette smoking does not seem to be a risk factor.

The cause is often unknown. Secondary forms of organizing pneumonia may have a known trigger (eg, infectious, rheumatologic, medication-induced).

The characteristic histologic findings are plugs of organizing pneumonia. The suspected pathologic process begins with alveolar epithelial injury that leads to denudation and gaps in the alveolar structure. There is subsequent leakage of plasma proteins and fibrin formation, which is pro-inflammatory, resulting in an influx of chronic inflammatory cells such as fibroblasts. These inflammatory cells further differentiate and form fibroinflammatory buds (known as Masson bodies).

Довідковий матеріал загального характеру

  1. 1. King TE Jr, Lee JS. Cryptogenic Organizing Pneumonia. N Engl J Med 2022;386(11):1058-1069. doi:10.1056/NEJMra2116777

Symptoms and signs of Cryptogenic Organizing Pneumonia

Approximately one-half of patients recall having an illness that resembled community-acquired pneumonia (ie, a nonresolving flu-like illness characterized by nasal congestion, cough, fever with chills and sweats, malaise, fatigue, and weight loss) at the onset of the illness. Hemoptysis is rare. Progressive cough and exertional dyspnea are what usually prompt the patient to seek medical attention.

Chest examination demonstrates fine, dry, inspiratory crackles (Velcro crackles) in up to 60% of patients.

Diagnosis of Cryptogenic Organizing Pneumonia

  • High-resolution CT (HRCT)

  • Sometimes lung biopsy

Diagnosis of cryptogenic organizing pneumonia requires imaging tests and, if the diagnosis is not otherwise clear, lung biopsy.

Chest radiograph shows bilateral, diffuse, peripherally distributed alveolar opacities with normal lung volumes; a peripheral distribution similar to chronic eosinophilic pneumonia may occur. Rarely, alveolar opacities are unilateral. Recurrent and migratory pulmonary opacities are common. Rarely, irregular linear or nodular interstitial opacities or honeycombing are visible at presentation.

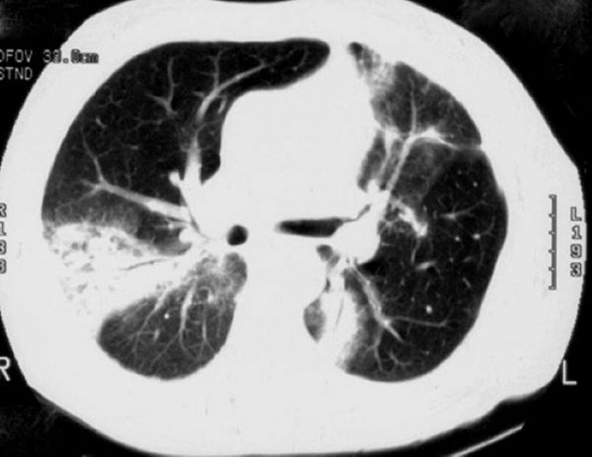
HRCT of the lung shows patchy airspace consolidation (present in 90% of patients), ground-glass opacities, small nodular opacities, and bronchial wall thickening and dilation. The patchy opacities are more common in the periphery of the lung, often in the lower lung zone. HRCT may show much more extensive disease than is expected from review of the chest radiograph. Small pleural effusions may be noted. The reversed halo sign (rim of consolidation with central clearing) is rare but appears to be relatively specific for organizing pneumonia.

Pulmonary function tests usually show a restrictive defect, although an obstructive defect (ratio of forced expiratory volume in 1 second to forced vital capacity [FEV1/FVC] < 70%) is found in some patients, and pulmonary function is occasionally normal. Diffusing capacity of the lung for carbon dioxide (DLCO) is typically low.

Routine laboratory test results are nonspecific. Leukocytosis without an increase in eosinophils occurs in approximately one-half of patients. The initial erythrocyte sedimentation rate (ESR) or C-reactive protein (CRP) often is elevated. Serology for autoantibodies may be performed when an autoimmune disorder is suspected.

Lung biopsy (surgical or bronchoscopic) is typically reserved for cases of diagnostic uncertainty. Characteristic histopathologic lesion shows excessive proliferation of granulation tissue within small airways and alveolar ducts, with chronic inflammation in the surrounding alveoli. A butterfly sign may be seen, which is a histologic pattern created by loose connective tissue that extends from one alveolus to an adjacent one through the pores of Kohn.  

Foci of organizing pneumonia are nonspecific and can occur secondary to other pathologic processes, including infections, vasculitis, lymphoma, and other interstitial lung diseases such as idiopathic pulmonary fibrosis, nonspecific interstitial pneumonia, systemic rheumatic disorder–related interstitial lung disease, drug-induced pulmonary disease, hypersensitivity pneumonitis, and chronic eosinophilic pneumonia.

Treatment of Cryptogenic Organizing Pneumonia

  • Glucocorticoids

Systemic glucocorticoids are the mainstay of treatment in patients with cryptogenic organizing pneumonia. In most patients, clinical recovery follows treatment with glucocorticoids, often within 2 weeks.

Cryptogenic organizing pneumonia recurs occur in up to 25% of patients (1). Recurrences appear related to the duration of treatment, so treatment should usually be given for 6 to 12 months. Recurrent disease is generally responsive to additional courses of glucocorticoids. Other immunosuppressive agents are generally reserved for patients who are refractory or do not tolerate glucocorticoids.

Recovery after treatment is common when cryptogenic organizing pneumonia appears on HRCT as parenchymal consolidation, ground-glass opacity, or nodules. In contrast, recovery is less common when cryptogenic organizing pneumonia appears on HRCT as linear and reticular opacities.

Prognosis is excellent, and relapses are uncommon but possible.

Довідковий матеріал щодо лікування

  1. 1. King TE Jr, Lee JS. Cryptogenic Organizing Pneumonia. N Engl J Med 2022;386(11):1058-1069. doi:10.1056/NEJMra2116777