Сидеробластні анемії

ЗаGloria F. Gerber, MD, Johns Hopkins School of Medicine, Division of Hematology
ПереглянутоAshkan Emadi, MD, PhD, West Virginia University School of Medicine, Robert C. Byrd Health Sciences Center
Переглянуто/перевірено Змінено бер. 2025
v969246_uk

Sideroblastic anemias are a diverse group of anemias characterized by the presence of increased serum iron, ferritin, and transferrin saturation as well as ringed sideroblasts (erythroblasts with perinuclear iron-engorged mitochondria). Symptoms are those of anemia and include fatigue and lethargy. Diagnosis requires a complete blood count, reticulocyte count, and peripheral blood smear as well as iron studies and bone marrow examination. Treatment requires stopping causative substances such as zinc, certain medications, or ethanol and giving vitamin supplements and erythropoietin or other treatments for myelodysplastic syndrome, if present.

(See also Overview of Decreased Erythropoiesis.)

Sideroblastic anemias may be

  • Acquired

  • Congenital

Acquired sideroblastic anemia is frequently associated with the myelodysplastic syndrome (but may be caused by medications or toxins) and causes a normocytic or macrocytic anemia.

Congenital sideroblastic anemia is caused by one of numerous X-linked or autosomal mutations and is usually a microcytic, hypochromic anemia but may be normocytic and can appear later in life.

Sideroblastic anemias are iron-dysutilization anemias, which are characterized by inadequate mitochondrial utilization of iron due to impaired heme synthesis despite the presence of adequate or increased amounts of iron. Sideroblastic anemias are sometimes characterized by the presence of stippled red blood cells (siderocytes) containing iron-laden granules (Pappenheimer bodies).

In both acquired and congenital sideroblastic anemia, heme synthesis is impaired due to the inability to incorporate iron into protoporphyrin IX, leading to the formation of ringed sideroblasts.

Набута сидеробластна анемія

Most often, acquired sideroblastic anemias are part of a

Somatic mutations in genes involved in RNA splicing, most frequently SF3B1 (splicing factor 3b subunit 1), occur in adulthood. Early erythroid progenitor cells are sideroblastic.

Less common causes include

  • Deficiency of vitamin B6 (pyridoxine) or copper (possibly caused by zinc ingestion, which prevents absorption of copper in the gastrointestinal tract)

  • Medications (eg, chloramphenicol, cycloserine, isoniazid, linezolid, pyrazinamide)

  • Toxins (including ethanol, zinc, and lead)

Deficient reticulocyte production, intramedullary death of red blood cells (RBCs), and bone marrow erythroid hyperplasia (and dysplasia) occur. Although hypochromic RBCs are produced, other RBCs may be large, producing normocytic or macrocytic indices; if so, variation in RBC size (dimorphism) usually produces a high RBC distribution width (RDW).

Вроджена сидеробластна анемія

Inherited forms of sideroblastic anemia are less common than acquired forms and usually occur in infancy or early childhood. The most common congenital sideroblastic anemia is an X-linked form caused by a germline mutation in ALAS2 (5'-aminolevulinate synthase 2), a gene involved in heme biosynthesis. Vitamin B6 (pyridoxine) is an essential cofactor for the enzyme produced by ALAS2; thus patients may respond to pyridoxine supplementation.

Numerous other X-linked, autosomal and mitochondrial forms have been identified with mutations in genes involved in heme synthesis or other mitochondrial enzymatic pathways (1).

RBCs are usually microcytic and hypochromic, but this is not always the case; the ringed sideroblasts involve late erythroblasts.

Довідковий матеріал загального характеру

  1. 1. Ducamp S, Fleming MD. The molecular genetics of sideroblastic anemia. Blood. 133:59–69, 2019. doi: 10.1182/blood-2018-08-815951

Diagnosis of Sideroblastic Anemias

  • Complete blood count (CBC), reticulocyte count, and peripheral blood smear

  • Iron studies (serum iron, serum ferritin, and transferrin saturation)

  • Bone marrow examination

  • Genetic testing for a suspected inherited or acquired mutation

Sideroblastic anemia is suspected in patients with microcytic anemia or a high RDW anemia, particularly with increased serum iron, serum ferritin, and transferrin saturation (see Iron Deficiency Anemia).

The peripheral smear shows RBC dimorphism. RBCs may appear stippled.

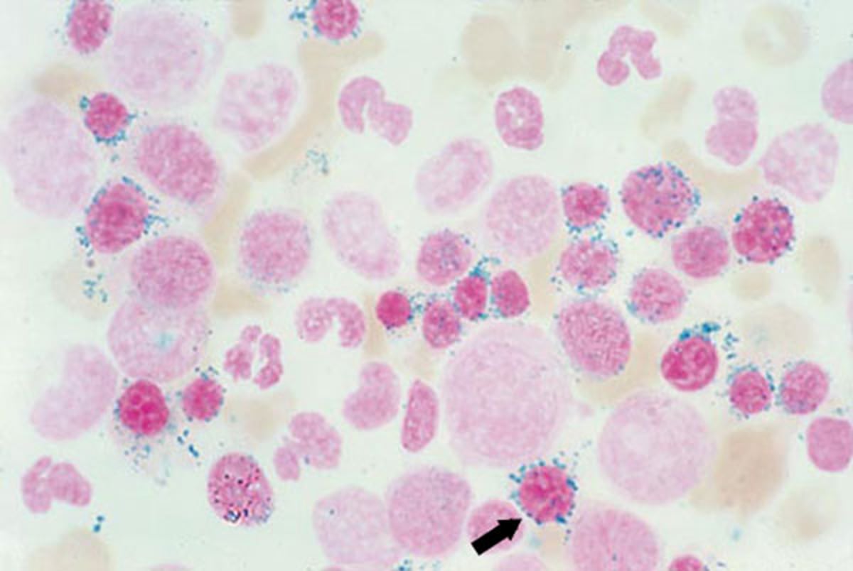
Bone marrow examination is necessary and reveals erythroid hyperplasia. Iron staining reveals the pathognomonic iron-engorged perinuclear mitochondria in developing RBCs (ringed sideroblasts). Other features of myelodysplastic syndrome, such as cytopenias and dysplasia, may be evident.

Serum lead is measured if sideroblastic anemia has an unknown cause.

Treatment of Sideroblastic Anemias

  • Stopping causative substances

  • Vitamin or mineral supplementation

  • Recombinant erythropoietin (EPO)

  • Luspatercept for lower-risk transfusion-dependent patients with myelodysplastic syndrome

Elimination of a toxin or medication (especially alcohol or zinc ingestion) or mineral/vitamin supplementation (copper or pyridoxine) can lead to recovery.

X-linked sideroblastic anemia may respond to pyridoxine, but usually incompletely.

Acquired cases will frequently respond to high doses of recombinant EPO and standard management for lower-risk myelodysplastic syndrome. Luspatercept, which promotes differentiation of red cell precursors, is also a first-line treatment for transfusion-dependent anemia in lower risk myelodysplastic syndrome in patients both with and without ringed sideroblasts (1, 2).

Treating iron overload with chelation or phlebotomy as tolerated helps to prevent end organ damage. Management of severe anemia is supportive with transfusions. In young patients with congenital cases who are transfusion-dependent, allogeneic bone marrow transplant should be considered.

Довідкові матеріали щодо лікування

  1. 1. Fenaux P, Platzbecker U, Mufti GJ, et al. Luspatercept in patients with lower-risk myelodysplastic syndromes. N Engl J Med. 382(2): 140–151, 2020.  doi: 10.1056/NEJMoa1908892

  2. 2. Platzbecker U, Della Porta MG, Santini V, et al. Efficacy and safety of luspatercept versus epoetin alfa in erythropoiesis-stimulating agent-naive, transfusion-dependent, lower-risk myelodysplastic syndromes (COMMANDS): interim analysis of a phase 3, open-label, randomised controlled trial. Lancet. 2023;402(10399):373-385. doi:10.1016/S0140-6736(23)00874-7

Ключові моменти

  • Sideroblastic anemia can be acquired or congenital.

  • Ringed sideroblasts on a bone marrow biopsy are pathognomic.

  • Anemia is usually microcytic in congenital sideroblastic anemia and macrocytic in acquired sideroblastic anemia.

  • Serum iron, ferritin, and transferrin are typically increased.

  • Treat the underlying disorder and consider pyridoxine in congenital cases or recombinant erythropoietin in acquired cases.

  • Consider luspatercept for lower-risk transfusion-dependent patients with myelodysplastic syndrome.