Surua

(Rubeola; Surua ya Siku 9)

NaBrenda L. Tesini, MD, University of Rochester School of Medicine and Dentistry
Imekaguliwa naBrenda L. Tesini, MD, University of Rochester School of Medicine and Dentistry
Imepitiwa/Imerekebishwa Jun 2025 | Imebadilishwa Nov 2025
v819090_sw

Surua ni maambukizi ya virusi ambayo huambukiza sana yasababishayo dalili mbalimbali kama mafua na upele maalum. Yanaweza kusababisha matatizo makubwa na yanaweza kusababisha kifo kwa watu wengine. Chanjo inafaa kwa uzuiaji.

  • Surua husababishwa na virusi.

  • Dalili zinajumuisha homa, mafua, kikohozi kinachouma, macho mekundu, na upele mwekundu.

  • Utambuzi kwa kawaida hutegemea dalili za kawaida, upele maalum au madoa meupe kwenye koo.

  • Vipimo vya maabara hufanywa ili kuthibitisha utambuzi wa surua kwa watu wenye dalili zinazoendelea na wale walio katika hatari ya kuambukizwa surua.

  • Hakuna dawa ya kuzuia virusi kwa surua, kwa hivyo matibabu hulenga kupunguza dalili.

  • Watoto wenye surua wanaweza kutibiwa kwa vitamini A.

  • Ingawa watu wengi hupona, surua inaweza kusababisha kifo au kusababisha uharibifu wa ubongo.

  • Chanjo ya kawaida huzuia maambukizi.

Maambukizi ya surua hayapatikani sana katika maeneo ambayo watu wengi wamepokea chanjo ya surua. Kabla ya chanjo ya surua kupatikana kwa wingi, milipuko ya surua ilikuwa ikitokea kila baada ya miaka 2 au 3, hasa kwa watoto wa umri wa shule ya watoto wachanga na wa umri wa kwenda shule. Milipuko mingine ya maeneo madogo ilitokea katika miaka mingine.

Surua bado hupatikana sana katika baadhi ya nchi. Kote duniani, kila mwaka, surua huathiri takriban watu milioni 10 na husababisha takriban vifo 100,000, hasa kwa watoto.

Nchini Marekani, surua haipatikani sana kwa sababu ya chanjo ya kawaida ya utotoni. Kuanzia mwaka wa 2000 hadi mwaka wa 2010, wastani wa visa 71 pekee kwa mwaka viliripotiwa katika Vituo vya Kudhibiti na Kuzuia Magonjwa (CDC).

Katika mwaka wa 2019, visa 1,274 vya surua viliripotiwa kwa CDC. Hiyo ndiyo iliyokuwa idadi kubwa zaidi iliyoripotiwa tangu mwaka wa 1992. Ongezeko hilo la mwaka wa 2019 lilisababishwa zaidi na watu ambao hawakupokea chanjo walioambukizwa katika nchi ambazo surua hupatikana sana kisha wakasafiri hadi Marekani. Mnamo 2020, visa 13 pekee vya surua viliripotiwa nchini Marekani huku kukiwa na Janga la kimataifa la COVID-19. Kuanzia mwaka wa 2020 hadi 2023, kulikuwa na visa 242 vilivyoripotiwa kwa pamoja, na mnamo mwaka wa 2024 kulikuwa na visa 285 nchini Marekani.

Jumla ya visa na idadi ya milipuko imeongezeka kwa kiasi kikubwa mwaka wa 2025. Kuanzia Januari hadi Mei 22, 2025, visa 1,046 na vifo 3 viliripotiwa nchini Marekani. Kulikuwa na milipuko 14 na asilimia 92 ya visa vimehusishwa na mlipuko. Kwa kulinganisha, milipuko 16 iliripotiwa kwa mwaka mzima katika mwaka wa 2024.

Idadi ya milipuko na visa vya surua kwa ujumla inaongezeka kwa kuwa kiwango cha chanjo kinapungua. Kusitasita kwa watu kupata chanjo kumekuwa sababu ya mara kwa mara ya kupungua kwa viwango vya wanaochanjwa. Kusitasita kwa watu kupata chanjo ni wazazi wanapochelewa au kutotoa idhini kwa watoto wao kupewa baadhi au chanjo zote ambazo zimependekezwa. Kwa mfano, kiwango cha chanjo miongoni mwa watoto wa chekechea nchini Marekani kilipungua kutoka asilimia 95.2 katika mwaka wa shule wa 2019-2020 hadi asilimia 92.7 katika mwaka wa shule wa 2023-2024.

Uambukizaji wa Surua

Kwa kawaida watu huambukizwa surua kwa kupumua matone makubwa au madogo ya unyevunyevu yaliyotolewa na mtu aliyeambukizwa. Watu wanaweza kuambukizwa kwa kugusa sehemu ambazo matone huanguka, lakini njia hii ya maambukizi si ya kawaida sana. Watu wengi wasio na kinga dhidi ya surua hupata maambukizi baada ya kupata virusi.

Surua huambukizwa kuanzia siku 4 kabla hadi siku 4 baada ya upele kutokea. Watu walio na surua huenda wasijue kuwa wameambukizwa au wanaambukiza na huenda wakaeneza maambukizi kwa wengine bila kujua.

Kusafiri kwenda maeneo ambayo surua hupatikana sana au ambapo mlipuko unaendelea ni kiashiria cha hatari ya maambukizi ya surua.

Mwanamke mjamzito ambaye amewahi kupata surua au amepokea chanjo humpa mtoto wake kinga ya mwili kwa njia ya kingamwili zinazovuka kupitia kondo la nyuma. Kinga hii hudumu kwa miezi ya kwanza 6 hadi 12 ya maisha. Hata hivyo, baada ya hapo, watoto wanaoambukizwa virusi vya surua huwa katika hatari kuu ya kuambukizwa isipokuwa iwapo wamepokea chanjo.

Mtu ambaye amewahi kuwa na surua hupata kinga na kwa kawaida hawezi kuambukizwa surua tena. Watu wazima waliozaliwa kabla ya 1957 pia huchukuliwa kuwa waliwahi kuugua surua na kwa hivyo wana kinga.

Dalili za Surua

Surua ni maambukizi ya virusi ya kuambukizana ambayo kwa kawaida hujitokeza katika mtindo wa kawaida wa wakati (idadi ya siku ni kadirio na hutofautiana kwa kila mtu):

  • Kuambukizwa: Hii ni wakati ambapo mtu hugusana na virusi.

  • Kipindi cha kuatamiza: Baada ya kuambukizwa, kwa kawaida huchukua takriban siku 7 hadi 21 (wastani wa siku 11 hadi 12) kwa dalili kuanza. Wakati huu, virusi huwa mwilini, lakini mtu hajisikii mgonjwa.

  • Dalili za mapema: Awamu hii hudumu kwa takriban siku 3 hadi 7. Dalili kama vile homa, kikohozi, mafua na macho mekundu huonekana wakati huu, na madoa madogo meupe huenda yakaonekana kwenye koo, lakini upele bado hujajitokeza.

  • Upele: Upele wa surua huonekana baada ya awamu ya dalili za mapema na hudumu kwa takriban siku 4 hadi 7. Huanzia hasa usoni na kuenea kwenye sehemu nyingine ya mwili. Baada ya kipindi hiki, upele huanza kufifia haraka. Ikiwa hakuna matatizo ambayo yatatokea, mtu huanza kujisikia vizuri zaidi.

Dalili za surua huanza takriban siku 11 hadi 12 baada ya mtu kuambukizwa virusi. Mtu ambaye ameambukizwa kwanza hupata homa, mafua, kikohozi kikavu, na macho mekundu.

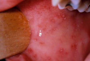
Kabla ya upele kuanza, madoa ya Koplik huenda yakaonekana ndani ya mdomo. Madoa ya Koplik ni madoa madogo mekundu angavu yenye sehemu nyeupe au bluu. Sehemu za katikati zinaweza kufanana na chembe za mchanga.

Mifano ya Madoa ya Koplik
Madoa ya Koplik katika Surua (1)

Madoadoa yanayotambuliwa kabla ya kuanza kwa upele ni madoadoa mekundu angavu yenye sehemu za kati zilizo na rangi nyeupe au bluu ambayo yanaweza kufanana na chembe za mchanga. Yanaweza kutokea popote mdomoni kwa watu walio na surua.

Madoadoa yanayotambuliwa kabla ya kuanza kwa upele ni madoadoa mekundu angavu yenye sehemu za kati zilizo na rangi nyeu

... soma zaidi

Picha kwa hisani ya Maktaba ya Picha ya Afya ya Umma ya Vituo vya Kudhibiti na Kuzuia Magonjwa.

Madoa ya Koplik katika Surua (2)

Koplik spots are bright red spots with white or bluish white centers that may resemble grains of sand. They may occur anywhere in the mouth in people who have measles.

Koplik spots are bright red spots with white or bluish white centers that may resemble grains of sand. They may occur a

... soma zaidi

DR P. MARAZZI/SCIENCE PHOTO LIBRARY

Madoa ya Koplik katika Surua (3)

Koplik spots are bright red spots with white or bluish white centers that may resemble grains of sand. They may occur anywhere in the mouth in people who have measles.

Koplik spots are bright red spots with white or bluish white centers that may resemble grains of sand. They may occur a

... soma zaidi

DR P. MARAZZI/SCIENCE PHOTO LIBRARY

Upele huonekana siku 3 hadi 7 baada ya dalili kuanza. Upele huanzia usoni sehemu ya mbele na ya chini ya masikio na upande wa shingo. Huonekana kama maeneo yasiyo ya kawaida, tambarare ambayo huinuka haraka. Upele huwa mwekundu kwa watu wenye ngozi nyeupe na unaweza kuwa wa zambarau au mweusi kuliko eneo lililo karibu kwa watu wenye ngozi nyeusi. Ndani ya siku 1 hadi 2, upele huenea kwenye pingiti, mikono, viganja, miguu na nyayo kisha huanza kufifia usoni. Ngozi inaweza kung'oka baada ya upele kuisha usoni.

Mifano ya Upele wa Surua
Upele wa Surua (1)

Picha hii inaonyesha upele unaosababishwa na surua.

Picha hii inaonyesha upele unaosababishwa na surua.

Picha kwa hisani ya Maktaba ya Picha za Afya kwa Umma ya Vituo vya Kudhibiti na Kuzuia Magonjwa.

Upele wa Surua (2)

This photo shows the rash caused by measles.

This photo shows the rash caused by measles.

SCIENCE PHOTO LIBRARY

Upele wa Surua (3)

This photo shows the rash caused by measles.

This photo shows the rash caused by measles.

CDC/ Betty G. Partin

Maambukizi yanapokuwa makali zaidi, mtu hujihisi mgonjwa sana na kuwa na uvimbe wa macho (conjunctivitis), kufura, na kuongezeka kwa hisi ya mwanga mkali; upele huenea; na halijoto ya mtu huenda ikazidi 104° F (40° C).

Katika siku 4 hadi 7 zijazo, halijoto hupungua, mtu huanza kujihisi vyema, na upele wowote uliobaki hupotea haraka. Upele hubadilika na kuwa wa rangi ya kahawia, kisha ngozi huchubuka.

Watu walioambukizwa wanaweza kuambukizana kuanzia siku 4 kabla hadi siku 4 baada ya upele kutokea.

Matatizo ya surua

Watoto wadogo na watu ambao wana mimba, wenye utapiamlo, au wenye mfumo dhaifu wa kinga mwilini wako katika hatari kuu zaidi ya kupata matatizo yanayotokana na surua. Maambukizi ya surua yanaweza kudhoofisha kinga mwilini na hii hudumu kwa miezi hadi miaka baada ya kupona kutokana na surua na inaweza kuwasababishia watu ambao wameambukizwa awali kupata maambukizi mengine.

Maambukizi ya bakteria yanayohusiana na surua, yanayoitwa maambukizi makubwa, ni pamoja na nimonia, mkamba (bronchitis) na otitis media (maambukizi ya sikio la kati).

Nimonia inayosababisshwa na maambukizi ya surua kwenye mapafu hutokea kwa takriban asilimia 6 ya watu. Katika visa vya surua vinavyoweza kusababisha vifo kwa watoto wachanga, mara nyingi nimonia ndiyo husababisha kifo.

Kuvimba kwa ini kwa muda (homa ya ini) na kuhara kunaweza kutokea wakati wa maambukizi.

Maambukizi ya ubongo (tazama encephalitis) hutokea kwa takriban mtoto 1 kati ya 1,000 walio na surua. Ikiwa encephalitis itatokea, mara nyingi huanza na homa kali, maumivu ya kichwa, kifafa na kukosa fahamu, kwa kawaida siku 2 hadi wiki 2 baada ya upele kuonekana. Ugonjwa huu unaweza kuwa wa muda mfupi, na kupona ndani ya takriban wiki moja hivi, au unaweza kudumu kwa muda mrefu zaidi, ukisababisha uharibifu wa ubongo au kifo.

Kutokwa na damu nyingi huenda kukatokea baada ya maambukizi ya surua kuisha kwa sababu viwango vya chembe chembe za damu za mtu hupungua (thrombocytopenia). Kwa kawaida watu huwa na michubuko kwenye ngozi na kutokwa na damu kidogo, lakini wakati mwingine kutokwa na damu hukithiri.

Subacute sclerosing panencephalitis ni tatizo nadra la surua linaloweza kusababisha kifo. Husababisha uharibifu wa ubongo na kuzorota kwa ubongo kunaoendelea. Dalili hizi zinaweza kutokea hadi miaka 7 hadi 10 baada ya maambukizi ya surua na ni za kawaida zaidi miongoni mwa watu ambao waliambukizwa surua hapo awali wakiwa watoto wadogo (chini ya miaka 5).

Utambuzi wa Surua

  • Tathmini ya daktari

  • Vipimo vya maabara

Madaktari hushuku surua kwa watu wenye dalili za kawaida kama vile mafua, madoa ya Koplik, na upele wa kawaida.

Madaktari huthibitisha utambuzi kwa kuchukua sampuli za damu, mkojo, pua, na koo na kuzituma kwenye maabara kwa ajili ya kupimwa. Vipimo hivi husaidia sana hasa katika kuwatambua watu wenye dalili na ambao pia hawajapata chanjo au hawajapata chanjo kabisa au ambao hivi karibuni wameambukizwa virusi vya surua.

Matibabu ya Surua

  • Vitamini A kwa watoto

  • Dawa za kupunguza homa

  • Wakati mwingine viuavijasumu ikiwa maambukizi ya bakteria yatatokea

Hakuna dawa ya kuzuia virusi ya kutibu surua.

Watu ambao wameambukizwa waliolazwa hospitalini wanapaswa kuwekwa katika vyumba maalum vya hospitali na kutengwa na wengine wakati wa ugonjwa wao. Watu walioambukizwa ambao hawajalazwa hospitalini wanapaswa kupunguza kabisa kutangamana na wengine wakati wa ugonjwa wao.

Madaktari huwapa watoto wote wenye surua vitamini A kwa sababu vitamini A imeonyeshwa kupunguza idadi ya vifo na maambukizi makubwa yanayotokana na surua katika nchi ambazo upungufu wa vitamini A ni jambo la kawaida.

Acetaminophen au ibuprofen zinaweza kutolewa ili kupunguza homa.

Antibiotiki zinaweza kutolewa kwa watu wanaopata maambukizi mengine ambayo yanasababishwa na bakteria, kama vile maambukizi ya sikio.

Ubashiri wa Surua

Nchini Marekani, surua ni ugonjwa unaosababisha vifo kwa takriban mtu 1 hadi watu 3 kati ya watu 1,000 walioambukizwa. Kote duniani, surua ni ugonjwa unaosababisha vifo kwa takriban mtu 1 kati ya watu 100 walioambukizwa.

Watu walioambukizwa wakiwa watoto wachanga, watu wasiopata sana huduma za matibabu, watu wenye utapiamlo mkali na upungufu wa vitamini A, na watu wanaopata nimonia wana viwango vya juu vya vifo kutokana na surua.

Tazama pia Matatizo ya surua.

Kinga ya Surua

  • Chanjo ya MMR

Kinga kabla ya kupata

Watu ambao tayari wameambukizwa surua hapo awali wana kinga. Hii inajumuisha watu wazima wote waliozaliwa kabla ya mwaka wa 1957, wanaochukuliwa kuwa na kinga dhidi ya surua kwa kuwa huenda walikuwa wameambukizwa virusi hivyo.

Dozi mbili za chanjo ya surua zina ufanisi wa asilimia 96 katika kuzuia surua. Chanjo ya surua hutolewa kama sehemu ya chanjo ya pamoja ya surua-matumbwitumbwi-rubela (MMR), iliyo na virusi vya surua, matumbwitumbwi, na rubela vilivyo hai lakini vilivyo dhaifu. Chanjo ya MMR ni mojawapo ya chanjo za kawaida za utotoni na hutolewa kwa watoto katika mataifa mengi ambayo yana miundombinu imara ya huduma za afya.

Ratiba ya chanjo ya MMR ya dozi 2 ilianzishwa mwaka wa 1989; kwa hivyo, watu wazima waliozaliwa kuanzia mwaka wa 1957 hadi 1989 huenda walipokea dozi moja tu. Kwa watu wazima katika kundi hili, dozi 1 hadi 2 za ziada zinapendekezwa kwa wale ambao vipimo vya damu havionyeshi kuwa na kinga na ambao wako katika hatari kubwa ya kuambukizwa (kwa mfano, wanafunzi wa vyuo vikuu, wafanyakazi wa afya, wasafiri wa kimataifa, watu waliotangamana na watu wenye kinga dhaifu, na wale walio na maambukizi ya VVU).

Chanjo ya MMR kwa ujumla hutoa kinga ya kudumu na imepunguza visa vya surua nchini Marekani kwa asilimia 99.

Kwa baadhi ya watu, chanjo husababisha homa kidogo na upele, lakini watu hawawezi kuambukiza.

MMR ni chanjo hai na haitolewi wakati wa ujauzito. Pia haitolewi kwa watu fulani walio na mfumo dhaifu wa kinga au watu ambao wamekuwa na athari mbaya ya mzio inayohatarisha maisha (kama vile athari ya anaphylactic) kwa sehemu ya chanjo au kwa kipimo cha hapo awali cha chanjo.

Kwa maelezo zaidi kuhusu ni nani anayepaswa kupokea na kutopokea chanjo ya MMR, tazama Kipimo na Mapendekezo ya Chanjo ya MMR. Tazama pia Madhara ya Chanjo ya MMR.

Matibabu ya kuzuia baada ya kukumbwa

Watoto (na watu wazima) walio katika hatari ya kupata surua na wasio na kinga wanaweza kupewa chanjo ya MMR ndani ya siku 3 baada ya kuambukizwa na kisha wanaweza kulindwa. Iwapo chanjo haiwezi kutolewa ndani ya siku 3 au mtu aliyeathiriwa hastahiki kupokea chanjo, kinga ya globini hutolewa mara moja (ndani ya siku 6).

Watu waliopokea kinga ya globulini kwa sindano ndani ya misuli wanaweza kupewa chanjo ya MMR miezi 6 baadaye, na watu ambao walipokea kinga ya globulini kwa sindano ndani ya mshipa wanaweza kupewa chanjo ya MMR miezi 8 baadaye.