Предоставлено Вамmsd logo
This site is not intended for use in the Russian Federation

Внебольничная пневмония

Авторы:Sanjay Sethi, MD, University at Buffalo, Jacobs School of Medicine and Biomedical Sciences
Reviewed ByRichard K. Albert, MD, Department of Medicine, University of Colorado Denver - Anschutz Medical
Проверено/пересмотрено февр. 2024 | Изменено янв. 2025
v916866_ru
Вид

Внебольничная пневмония определяется как пневмония, приобретенная за пределами больницы. Чаще всего выявленными возбудителями оказываются Streptococcus pneumoniae, Haemophilus influenzae, атипичные бактерии (т.е., Chlamydia pneumoniae, Mycoplasma pneumoniae, виды Legionella) и вирусы. Бактерии Staphylococcus aureus (включая метициллин-резистентный S. aureus) и Pseudomonas aeruginosa могут стать причиной внебольничной пневмонии у пациентов с определенными факторами риска по этим патогенам. Симптомы и жалобы включают лихорадку, кашель, выделение мокроты, плевритическую боль в груди, одышку, тахипноэ и тахикардию. Диагноз ставится на основании клинического обследования и рентгенографии органов грудной клетки. Лечение проводится эмпирически выбранными антибиотиками. Прогноз для относительно молодых или здоровых пациентов благоприятный, но многие пневмонии протекают тяжело или даже приводят к летальному исходу у пациентов старшего возраста или ослабленных.

(См. также Обзор пневмонии (Overview of Pneumonia)).

Этиология внебольничной пневмонии

Возбудителями внебольничной пневмонии могут быть различнные микроорганизмы: бактерии, вирусы и грибы. Наличие того или иного возбудителя зависит от возраста пациента и других факторов (см. таблицу Внебольничная пневмония у взрослых), но относительная значимость каждого возбудителя сомнительна, поскольку большинство пациентов не проходят полное обследование, но даже при прохождении тестирования возбудителя удается выявить менее чем в < 50% случаев.

Бактериальные причины

Самыми частыми бактериальными возбудителями являются:

Хламидийная и микоплазменная пневмонии клинически не отличаются от пневмоний, вызванных другими возбудителями.

C. pneumoniae — второй по распространенности возбудитель легочных инфекций у здоровых людей в возрасте от 5 до 35 лет. C. pneumoniae обычно вызывает вспышки инфекций дыхательных путей в семьях, учебных заведениях и военных учебных лагерях. Она вызывает относительно доброкачественную форму пневмонии, редко требующую госпитализации. Пневмония, вызванная Chlamydia psittaci (орнитоз), является редкой и встречается у пациентов, имеющих птиц семейства попугаевых или часто контактирующих с ними (т.е., с длиннохвостыми попугаями, арами).

Начиная с 2000 г., уровень заболеваемости кожной инфекцией, вызванной внебольничным метициллин-устойчивым Staphylococcus aureus (МРЗС), заметно возрос. Этот возбудитель редко приводит к тяжелой кавитационной пневмонии, имеет тенденцию поражать лиц молодого возраста.

Пневмококк и золотистый стафилококк (включая МРЗС) могут тать причиной некротической пневмонии.

Выявление возможной МРЗС-пневмонии основано на оценке факторов риска, которые включают диагностированную колонизацию МРЗС (назальную), предшествующую инфекцию МРЗС, соответствующие результаты окрашивания по Граму, госпитализацию или использование антибиотиков в предыдущие 3 месяца, иммуносупрессию, некротизирующую или кавитационную пневмонию, недавний грипп, эмпиему.

Выявление возможной пневмонии, вызванной P. aeruginosa, основано на оценке факторов риска, которые включают диагностированную колонизацию Pseudomonas, перенесенную ранее инфекцию Pseudomonas, госпитализацию или использование антибиотиков в предыдущие 3 месяца, тяжелую хроническую обструктивную болезнь легких (ХОБЛ) или другие структурные заболевания легких и иммуносупрессию.

Ку-лихорадка, туляремия, сибирская язва и чума — редкие бактериальные синдромы, связанные с воздействием зараженных животных или продуктов животноводства, при которых пневмония может быть характерным признаком. В случае туляремии, сибирской язвы и чумы следует подозревать биотерроризм.

Вирусные причины заболевания

Бактериальная суперинфекция может затруднить дифференциальную диагностику вирусной и бактериальной инфекции.

К распространенным вирусным возбудителям относятся

Вирус Эпштейна-Барр и вирус Коксаки – распространенные вирусы, которые редко вызывают пневмонию. Сезонный грипп в редких случаях может вызывать контактную вирусную пневмонию, но часто предрасполагает к развитию тяжелой вторичной бактериальной пневмонии. Вирус ветряной оспы и хантавирус вызывают инфекцию легкого при ветрянке у взрослых и хантавирусном легочном синдроме. Коронавирусы вызывают тяжелый острый респираторный синдром (ТОРС), ближневосточный респираторный синдром (БВРС) и COVID-19.

Другие причины

К распространенным грибковым возбудителям относятся: Histoplasma capsulatum (гистоплазмо) и Coccidioides immitis (кокцидиоидомикоз). Менее распространенные грибковые патогены включают Blastomyces dermatitidis (бластомикоз) и Paracoccidioides braziliensis (паракокцидиоидомикоз). Pneumocystis jirovecii обычно вызывает пневмонию у пациентов с вирусом иммунодефицита (ВИЧ-инфицированных) или с ослабленным иммунитетом (см. Пневмония у лиц с иммунодефицитом).

К паразитам, вызывающие легочные инфекции в странах с высоким уровнем дохода, относятся собачья токсокара или кошачья токсокара (токсокароз), Dirofilaria immitis (дирофиляриоз), и легочная двуустка (парагонимоз).

Туберкулез легких, а также нетуберкулезные микобактериальные инфекции обсуждаются в других разделах.

Пневмония у детей

У детей наиболее частые причины пневмонии зависят от возраста:

  • < 5 лет: Чаще всего вирусы; среди бактерий распространены S. pneumoniae, S. aureus и S. pyogenes

  • ≥ 5 лет: Наиболее часто бактерии: S. pneumoniae, M. pneumoniae или Chlamydia pneumoniae

Пневмония у новорожденных подробно рассматривается в других разделах.

Симптомы и признаки внебольничной пневмонии

Жалобы включают недомогание, зябкость, озноб, лихорадку, кашель, одышку и боль в груди. Кашель обычно продуктивный у детей старшего возраста и взрослых и сухой у младенцев, детей младшего возраста и пожилых людей. Одышка выражена слабо, возникает при физической нагрузке и редко присутствует в покое. Боль в груди является плевритической и локализуется рядом с пораженной областью. Пневмония может проявиться болью в эпигастральной области при раздражении диафрагмы. Гастроинтестинальные симптомы (тошнота, рвота, диарея) также являются распространенными.

Симптомы меняются в зависимости от возраста. У младенцев может наблюдаться неспецифическая раздражительность и беспокойство. У лиц старшего возраста инфекция может проявляться в виде спутанности сознания и состояния оглушения.

Симптомы включают высокую температуру тела, тахипноэ, тахикардию, хрипы, бронхиальное дыхание, эгофонию (изменения Е-на-A, которое происходит, когда во время аускультации пациент произносит букву “Е”, а врач слышит букву “А” через стетоскоп) и тупой перкуторный звук. Также могут наблюдаться признаки плеврального выпота. У младенцев часто наблюдается раздувание ноздрей, участие дополнительных групп мышц в акте дыхания и цианоз. У пожилых людей часто отсутствует лихорадка.

Раньше считалось, что жалобы и симптомы зависят от возбудителя. Однако симптоматика, вызванная типичными и атипичными патогенами, в значительной степени совпадает. Кроме того, ни одна жалоба и ни один симптом не является достаточно чувствительными или специфичными для того, чтобы определить этиологию. Симптомы и признаки даже похожи на проявления других неинфекционных воспалительных заболеваний легких, таких как острый гиперчувствительный пневмонит и криптогенная организующаяся пневмония.

Диагностика внебольничной пневмонии

  • Рентгенография грудной клетки

  • Рассмотрение альтернативных диагнозов (таких, как сердечная недостаточность, тромбоэмболия легочной артерии, воспалительные заболевания легких)

  • Иногда идентификация патогена

  • Оценка степени тяжести и стратификация риска

Пневмонию можно заподозрить на основе клинической картины и инфильтрата, видимого на рентгеновских снимках грудной клетки. При высокой настороженности в отношении пневмонии и в случае, если рентгенография грудной клетки не выявила наличия инфильтрата, рекомендуется проведение компьютерной томографии (КТ) или повторной рентгенографии грудной клетки в течение 24-48 часов.

Тяжесть пневмонии оценивается с помощью данных различных клинических и лабораторных исследований (см. Стратификация риска), которые иногда упорядочиваются с использованием систем количественного подсчета баллов.

Как правило, тестирование включает насыщение кислородом, общий анализ крови и базовый или полный метаболический профиль.

Дифференциальная диагностика у пациентов с пневмониеподобными симптомами включает острый бронхит, а также обострение хронической обструктивной болезни легких (ХОБЛ), которые можно отличить от пневмонии по отсутствию инфильтратов на рентгенограмме. Должны быть рассмотрены другие расстройства, такие как сердечная недостаточность, организующаяся пневмония и гиперчувствительный пневмонит, особенно если результаты противоречивы. К наиболее серьезным распространенным ошибкам диагноза относится эмболия легочных сосудов, которая может быть более вероятной у пациентов с острой одышкой с минимальной продукцией мокроты, а также при отсутствии сопровождающих признаков инфекции верхних дыхательных путей или системных симптомов, и наличии факторов риска относительно тромбоэмболии (см. таблицу Факторы риска развития тромбоза глубоких вен и тромбоэмболии легочной артерии); таким образом, следует рассмотреть возможность проведения исследований для выявления легочной эмболии у пациентов с такими симптомами и факторами риска.

Количественная характеристика культур образцов, полученных при бронхоскопии или аспирации, при условии, что они получены до терапии антибиотиками, может помочь различить бактериальную колонизацию (т.е., присутствие микроорганизмов в концентрациях, которые не провоцируют ни симптомы, ни иммунный ответ) и инфекцию. Однако, бронхоскопия обычно проводится только у пациентов, получающих искусственную вентиляцию легких, или у пациентов с другими факторами риска для атипичных микроорганизмов или осложненной пневмонии (например, иммунная недостаточность, неэффективность эмпирической терапии).

Различие бактериальной и вирусной пневмонии является сложной задачей. Много исследований рассматривали полезность клинических, визуальных исследований, стандартного анализа крови, однако ни один тест не является достаточно надежным для проведения такой дифференциации. Даже идентификация вируса не исключает сопутствующей бактериальной инфекции, поэтому антибиотики показаны почти всем пациентам с внебольничной пневмонией.

У амбулаторных пациентов с легкой пневмонией, за исключением обследования на COVID-19 и обследования на грипп в сезон гриппа, нет необходимости в дальнейших диагностических исследованиях (см. таблицу Стратификация риска развития внебольничной пневмонии). У пациентов с умеренной или тяжелой пневмонией для классификации риска и степени гидратации могут использоваться показатели содержания лейкоцитов и измерения электролитов, концентрации азота мочевины в крови АМК и креатинина. Для оценки оксигенации также должно быть проведено исследование пульсоксиметрии или газового состава артериальной крови (ГСАК). У пациентов со средней или тяжелой пневмонией, требующих госпитализации, следует получить 2 образца посева крови для анализа на бактериемию и сепсис. Дополнительные исследования, показанные этим пациентам, включают окрашивание по Граму и посев мокроты, тестирование мочи на антигены пневмококков и Legionella, респираторную вирусную панель методом мультиплексной полимеразной цепной реакции (ПЦР) и скрининг на ВИЧ. Отдельным тяжело больным пациентам, особенно пациентам с ослабленным иммунитетом, для получения образцов нижних дыхательных путей показана бронхоскопия (1).

Идентификация патогена

Установление этиологии может быть затруднено. Тщательно собранный анамнез о контактах, путешествиях, наличии домашних животных, увлечениях и прочих рисках очень важен для того чтобы возникло подозрение на то, что заболевание вызвано более редким патогеном. Например, контакт с сельскохозяйственными животными может указывать на Ку-лихорадку, а недавнее пребывание в отеле или на круизном судне может указывать на инфекцию, вызванную представителями рода Legionella.

Идентификация патогена может быть полезна для выбора терапии и проверки восприимчивости бактерий к антибиотикам. Однако, из-за ограничений текущих диагностических тестов и успеха эмпирической антибактериальной терапии, специалисты рекомендуют ограничение попыток микробиологической идентификации (например, культивирования, определения специфического антигена), за исключением случаев, когда пациенты относятся к группе высокого риска или имеют осложнения (например, тяжелую пневмонию, иммунную недостаточность, асплению, неэффективность эмпирической терапии). В общем, чем легче протекает пневмония, тем меньше требуется диагностических обследований. Пациенты, находящиеся в критическом состоянии, пациенты, у которых подозревается наличие антибиотикорезистентного или необычного организма (например, микобактерии туберкулеза, P. jirovecii), а также пациенты, состояние которых ухудшается или у которых отсутствует клинический результат на проводимое в течение 72 часов лечение, требуют наиболее интенсивного обследования.

По результатам рентгенографии грудной клетки невозможно отличить один тип инфекции от другого, хотя следующие исследования позволяют предположить:

  • Многодолевые инфильтраты предполагают инфекцию S. pneumoniae или Legionella pneumophila.

  • Интерстициальная пневмония (на рентгенографии грудной клетки появляется как усиление легочного рисунка за счет интерстициального компонента и субплевральные ретикулярные помутнения, которые увеличиваются от вершины до основания легких) предполагает вирусную или микоплазменную этиологию.

  • Кавитационная форма пневмонии указывает на заражение штаммом S. aureus или на грибковую или микобактериальную этиологию.

Рентгенологические находки при пневмонии
Пневмония в правой средней доле с исчезновением определяющегося контура анатомической структуры на рентгенограмме
Пневмония в правой средней доле с исчезновением определяющегося контура анатомической структуры на рентгенограмме

Такая рентгенография грудной клетки показывает наличие инфильтрата, который маскирует правую границу сердца (признак "утраты контура"). Признак "утраты контура" указывает на размытое изображение 2 структур, которые имеют похожую рентгенконтрастность; к правой границе сердца примыкает правая средняя доля легкого, таким образом, в этой доле диагностируется наличие инфильтрата и пневмонии.

Такая рентгенография грудной клетки показывает наличие инфильтрата, который маскирует правую границу сердца (признак "

... Прочитайте дополнительные сведения

SCIENCE PHOTO LIBRARY

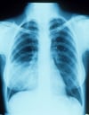
Правосторонняя нижнедолевая пневмония
Правосторонняя нижнедолевая пневмония

Такая рентгенография грудной клетки показывает наличие инфильтрата, который не затемняет правую границу сердца (т.е., признак "утраты контура" отсутствует). Поскольку признак "утраты контура" развивается, когда 2 примыкающие структуры имеют сходную рентгенконтрастность, доля легкого, пораженная этим инфильтратом, не соприкасается с правой границей сердца, т.е. является правой нижней долей.

Такая рентгенография грудной клетки показывает наличие инфильтрата, который не затемняет правую границу сердца (т.е., п

... Прочитайте дополнительные сведения

LIVING ART ENTERPRISES, LLC/SCIENCE PHOTO LIBRARY

Инфильтрат нижней доли левого легкого
Инфильтрат нижней доли левого легкого

Альвеолярный инфильтрат в нижней доле левого легкого у пациента с бактериальной пневмонией.

Альвеолярный инфильтрат в нижней доле левого легкого у пациента с бактериальной пневмонией.

By permission of the publisher. Из Roberts R. In Atlas of Infectious Diseases: Pleuropulmonary and Bronchial Infections. Edited by GL Mandell (series editor) and MS Simberkoff. Philadelphia, Current Medicine, 1996.

Многодолевая пневмония
Многодолевая пневмония

Поражение правой верхней, средней и нижней долей легкого у 64-летнего мужчины с пневмококковой пневмонией.

Поражение правой верхней, средней и нижней долей легкого у 64-летнего мужчины с пневмококковой пневмонией.

By permission of the publisher. Из Roberts R. In Atlas of Infectious Diseases: Pleuropulmonary and Bronchial Infections. Edited by GL Mandell (series editor) and MS Simberkoff. Philadelphia, Current Medicine, 1996.

Интерстициальные затемнения
Интерстициальные затемнения

Двусторонние интерстициальные помутнения у пожилого мужчины с респираторно-синцитиальной вирусной пневмонией.

Двусторонние интерстициальные помутнения у пожилого мужчины с респираторно-синцитиальной вирусной пневмонией.

By permission of the publisher. Betts R, Falsey A, Hall C и др. In Atlas of Infectious Diseases: Pleuropulmonary and Bronchial Infections. Edited by GL Mandell (series editor) and MS Simberkoff. Philadelphia, Current Medicine, 1996.

Тяжелая пневмония
Тяжелая пневмония

У таких интубированных пациентов наблюдаются множественные двусторонние инфильтраты, наиболее заметные в правой верхней доле. Стрелка указывает на правую горизонтальную щель.

У таких интубированных пациентов наблюдаются множественные двусторонние инфильтраты, наиболее заметные в правой верхне

... Прочитайте дополнительные сведения

Photo courtesy of Thomas M. File, Jr., MD MSc MACP FIDSA FCCP.

Культура клеток крови, которую часто получают у пациентов, госпитализированных с пневмонией, помогает идентифицировать бактериальные патогены, если присутствует бактериемия. Примерно у 7–12% всех пациентов, госпитализированных с пневмонией, развивается бактериемия; в этих случаях наиболее частой причиной заболевания являются пневмококки (2).

Исследование мокроты может включать окрашивание по Граму и посев для идентификации патогена, но ценность этих тестов является неопределенной, поскольку образцы часто загрязнены микрофлорой полости рта, и в целом такая диагностическая эффективность является низкой. Несмотря на это, типичные признаки окрашивания по Граму могут вызвать подозрение на наличие МРЗС или синегнойной палочки, а идентификация бактериального возбудителя в посевах мокроты позволяет провести тест на чувствительность. Получение образцов мокроты также позволяет идентифицировать вирусные патогены с помощью определения антител методом прямой флюоресценции или полимеразной цепной реакции, но необходимо проявлять осторожность при интерпретации, потому что 15% здоровых взрослых являются носителями респираторных вирусов или потенциально патогенных бактерий. Для пациентов, чье состояние ухудшается и тех, у кого не наблюдается отклик на антибиотики широкого спектра действия, мокрота должна быть исследована (с окрашиванием и культурой) на микобактерии и грибки.

Образцы мокроты можно получить неинвазивно путем простого отхаркивания или у пациентов, не способных продуцировать мокроту, после небулизации гипертоническим солевым раствором (индуцированная мокрота). В качестве альтернативы пациентам можно провести бронхоскопию или эндотрахеальную аспирацию. Любая из этих процедур может быть легко выполнена через эндотрахеальную трубку у пациентов, находящихся на искусственной вентиляции легких. В противном случае, бронхоскопический отбор проб обычно проводят только у пациентов с другими факторами риска (например, иммунная недостаточность, неэффективность эмпирической терапии).

Широко доступны анализы мочи на антиген легионеллы и пневмококковый антиген. Эти тесты являются простыми и быстрыми, имеют более высокую чувствительность и специфичность, чем окраска мокроты по Граму и получение культуры этих патогенов. После начала лечения антиген Legionella в моче остается присутствовать в течение длительного времени, при этом тест обнаруживает только серогруппу 1 L. pneumophila (70% случаев).

Тест на COVID-19 респираторного секрета (предпочтительнее носоглоточный образец) с использованием полимеразной цепной реакции с обратной транскриптазой (ОТ-ПЦР) рекомендуется проводить пациентам с пневмонией.

Назофарингеальные мазки, мокрота и образцы, взятые при бронхоскопии, также могут быть исследованы с помощью мультиплексной ПЦР на предмет наличия других вирусов, включая грипп, РСВ и другие респираторные вирусы, атипичные патогены и бактерии. Из-за исходной колонизации и неполной валидации образцов нижних дыхательных путей эти результаты следует интерпретировать с осторожностью.

Сывороточный прокальцитонин может помочь отличить бактериальную инфекцию от инфекции или воспаления другого происхождения. Однако использовать уровень прокальцитонина в сыворотке крови в качестве критерия для начала антибиотикотерапии при внебольничной пневмонии не рекомендуется. Он может быть использован вместе с клинической оценкой в качестве руководства для раннего прекращения приема антибиотиков при инфекциях нижних дыхательных путей.

Справочные материалы по диагностике

  1. 1. Metlay JP, Waterer GW, Long AC, et al. Diagnosis and Treatment of Adults with Community-acquired Pneumonia. An Official Clinical Practice Guideline of the American Thoracic Society and Infectious Diseases Society of America. Am J Respir Crit Care Med 2019;200(7):e45-e67. doi:10.1164/rccm.201908-1581ST

  2. 2. Metersky ML, Ma A, Bratzler DW, Houck PM. Predicting bacteremia in patients with community-acquired pneumonia. Am J Respir Crit Care Med 2004;169(3):342-347. doi:10.1164/rccm.200309-1248OC

Лечение внебольничной пневмонии

  • Стратификация риска для определения места оказания помощи;

  • Антибиотики

  • Противовирусные препараты при гриппе и ветряной оспе;

  • Системные кортикостероиды у отдельных критически больных пациентов

  • Поддерживающие меры

Стратификация риска

Cтратификация риска по правилам прогнозирования риска могут использоваться для оценки риска смерти и поэтому могут быть полезны для принятия решения о госпитализации (1). Правила используются для выявления тех пациентов, которые могут безопасно лечиться в амбулаторных условиях, и тех, кому требуется госпитализация из-за высокого риска осложнений (см. таблицу Стратификация риска для внебольничной пневмонии). Однако эти правила прогнозирования должны дополнять, а не заменять клиническую оценку, поскольку многие непредсказуемые факторы, такие как возможность соблюдения рекомендаций, способность ухаживать за собой, способность перорального приема лекарств также должны влиять на расстановку приоритетов при принятии решения.

Госпитализация в блок интенсивной терапии (БИТ) необходима пациентам, которые

  • имеют потребность в механической вентиляции

  • имеют гипотензию (систолическое артериальное давление ≤ 90 мм рт. ст.) с неэффективностью попыток восполнения объема жидкости

Другие критерии, особенно если их ≥ 3, заставляющие задуматься о госпитализации такого пациента в БИТ, включают:

  • Гипотензию, требующая инфузионной терапии

  • Частота дыхания > 30/минуту

  • Парциальное давление артериального кислорода (PaO2)/фракция вдыхаемого кислорода (FIO2) < 250

  • Многодолевую пневмонию

  • Спутанность сознания

  • Уровень азота мочевины в крови (АМК) > 19,6 мг/дл (> 7 ммоль/л)

  • Количество лейкоцитов < 4000 клеток/мкл (< 4 × 109/Л)

  • Количество тромбоцитов < 100 000/мкл (< 100 × 109/л)

  • Температура < 36° C

Индекс тяжести пневмонии (ИТП) является предпочтительным утвержденным правилом прогнозирования (1). Однако, поскольку ИТП является сложным и требует проведения нескольких лабораторных исследований, более простые правила, такие как шкала CURB-65, являются полезной альтернативой. Использование этих правил для прогнозирования привело к сокращению ненужных госпитализаций среди пациентов с более легкими формами заболеваний.

В шкале CURB-65 по 1 баллу отводится на каждый из следующих факторов риска:

  • Спутанность сознания;

  • Уремия (АМК ≥ 19 мг/дл [6,8 ммоль/л]);

  • Частота дыхания > 30 в минуту

  • Систолическое артериальное давление < 90мм рт. ст. или диастолическое артериальное давление ≤ 60 мм рт. ст.;

  • Возраст ≥ 65 лет

Результаты могут быть использованы следующим образом:

  • 0 или 1 балл: Риск смерти составляет < 3%. Обычно подходит амбулаторная терапия, особенно, если вопрос касается возраста пациента.

  • 2 балла: Риск смерти составляет 9%. Должна быть рассмотрена возможность госпитализации.

  • ≥ 3 баллов:Риск смерти составляет 15-40%. Показана госпитализация, и, в частности, с 4 или 5 баллов должно быть рассмотрено помещение в блок интенсивной терапии.

В клинических условиях, когда доступ к измерению АМК недоступен, вместо него может быть применена шкала CRB-65. Использование шкалы CRB-65 аналогично использованию шкалы CURB-65, где 0 баллов: подходит для амбулаторной терапии; 1-2 балла: рассмотреть возможность госпитализации; ≥ 3 баллов: рассмотреть возможность госпитализации в отделение интенсивной терапии.

Таблица
Таблица

Антибактериальные препараты

Основой лечения внебольничной пневмонии является антибактериальная терапия. Правильное лечение предполагает немедленное начало использования эмпирических антибиотиков, предпочтительно не позднее 4 часов после начала заболевания. Поскольку идентификация возбудителя затруднена и требует времени, эмпирический режим антибиотикотерапии подбирается основываясь на вероятных возбудителях и тяжести заболевания. Многими профессиональными организациями были разработаны консенсусные рекомендации, одни из широко используемых рекомендаций подробно описаны в таблице Внебольничная пневмония у взрослых (см. также American Thoracic Society and Infectious Diseases Society of America Clinical Guideline on Community-Acquired Pneumonia). Рекомендации должны быть адаптированы к местным особенностям восприимчивости, справочникам лекарственных препаратов и индивидуальным особенностям пациента (например, воздействие специфических агентов). Если патоген был выявлен позже, для проведения надлежащих изменений в антибактериальной терапии могут быть полезны результаты тестирования чувствительности к антибиотикам. Может быть рассмотрено назначение омадациклина и лефамулина, особенно в ситуациях, когда обычно рекомендуемые схемы не подходят.

У педиатрических пациентов лечение зависит от их возраста, предыдущих прививок и вида лечения: амбулаторное или стационарное.

При амбулаторном лечении детей терапия зависит от возраста:

  • < 5 лет: обычно препаратом выбора является амоксициллин или амоксициллин/клавуланат. Если эпидемиология предполагает наличие атипичных патогенов как причину и результаты клинических исследований этому соответствуют, вместо этих препаратов могут использоваться макролиды (например, азитромицин, кларитромицин). Некоторые эксперты предлагают не использовать антибиотики, если клинические особенности четко свидетельствуют о наличии вирусной пневмонии.

  • ≥ 5 лет: амоксициллин или (особенно если не может быть исключен атипичный патоген) амоксициллин плюс макролид. Альтернативой является амоксициллин/клавуланат. Если причиной оказывается атипичный патоген, может применяться монотерапия макролидами.

Для детей, проходящих лечение в стационаре, антибактериальная терапия, как правило, должна иметь более широкий спектр действия, и она зависит от предыдущих прививок ребенка:

  • Полностью иммунизированные (против S. pneumoniae и H. influenzae типа B): ампициллин или пенициллина G (альтернативой являются цефтриаксон или цефотаксим). Если подозревают МРЗС, добавляют ванкомицин или клиндамицин. Если атипичный патоген нельзя исключить, добавляется макролид.

  • Не полностью иммунизированные: цефтриаксон или цефотаксим (альтернативой является левофлоксацин). Если подозревают МРЗС, добавляют ванкомицин или клиндамицин. Если атипичный патоген нельзя исключить, добавляется макролид.

Подробности описаны в Руководстве по клинической практике Европейского общества детских инфекционистов и Американского общества инфекционистов (Clinical Practice Guidelines by the Pediatric Infectious Diseases Society and the Infectious Diseases Society of America).

При эмпирическом лечении у 90% пациентов с бактериальной пневмонией наблюдается улучшение. Улучшение проявляется уменьшением кашля и одышки, нормализацией температуры, уменьшением боли в грудной клетке и снижением количества лейкоцитов крови. При отсутствии улучшения состояния пациента следует подозревать:

  • атипичный патоген;

  • устойчивость к антибактериальным препаратам, используемым при лечении;

  • эмпиему;

  • Сочетанная инфекция или суперинфекция вторым инфекционным агентом;

  • Обструктивное эндобронхиальное поражение;

  • Иммуносупрессия

  • Метастатический очаг инфекции с реколонизацией (в случае пневмококковой инфекции);

  • Несоблюдение схемы приема лекарственных препаратов (для амбулаторных пациентов)

  • Неправильный диагноз (т.е., неинфекционная причина заболевания, такая как острый гиперчувствительный пневмонит)

Если обычная терапия неэффективна, назначают консультации врача-пульмонолога и/или инфекциониста.

При некоторых вирусных пневмониях может быть показанапротивовирусная терапия. Рибавирин рутинно не используется при пневмонии, вызванной респираторно синцитиальным вирусом, у детей или взрослых пациентов, но может применяться выборочно для детей возрастом < 24 месяца с высоким риском.

При гриппе осельтамивир или занамивир, начатый в течение 48 часов после появления симптомов и применяемый в течение 5 дней, сокращает продолжительность и тяжесть симптомов у пациентов с гриппозной инфекцией. В качестве альтернативы можно дать одну дозу балоксавира в течение первых 48 часов после появления симптомов. Пациенты, госпитализированные с подтвержденной инфекцией гриппа, могут получить пользу даже через 48 часов после появления симптомов.

Ацикловир рекомендуется детям и взрослым с легочными инфекциями, вызванными ветряной оспой.

Несмотряна то, что иногда наблюдаются чисто вирусные пневмонии, чаще встречаются бактериальные суперинфекции, при которых требуется применение антибиотиков против S. pneumoniae,H. influenzae и S. aureus.

Последующая рентгенография, как правило, не рекомендуется пациентам, у которых пневмония, как и ожидалось, разрешилась клинически. Рентгенологические признаки разрешения заболевания могут отставать от клинических на несколько недель. У пациентов с симптомами пневмонии, которые не разрешаются или ухудшаются с течением времени, должна рассматриваться рентгенография органов грудной клетки.

Таблица
Таблица

Поддерживающая терапия

Поддерживающая терапия включает введение жидкостей, жаропонижающие средства (при необходимости при высокой степени лихорадки), анальгетики и, у пациентов с гипоксемией – кислород. Профилактика тромбоэмболических заболеваний и ранняя мобилизация улучшают исходы для пациентов, госпитализированных по причине пневмонии. Курильщикам следует назначить психотерапевтическую консультацию с целью прекращения курения.

У иммунокомпетентных пациентов с тяжелой формой заболевания могут применяться вспомогательные кортикостероиды. Рандомизированные исследования продемонстрировали снижение смертности и заболеваемости при раннем начале внутривенного введения гидрокортизона в дозе 200 мг ежедневно путем непрерывной инфузии в течение 4–7 дней у иммунокомпетентных пациентов с тяжелой пневмонией (определяется потребностью в искусственной вентиляции легких или кислородной терапии с высокой скоростью потока) (2). Такое лечение не рекомендуется при менее тяжелой пневмонии, у пациентов с ослабленным иммунитетом или при подозрении на вирусную или грибковую пневмонию.

Справочные материалы по лечению

  1. 1. Metlay JP, Waterer GW, Long AC, et al. Diagnosis and Treatment of Adults with Community-acquired Pneumonia. An Official Clinical Practice Guideline of the American Thoracic Society and Infectious Diseases Society of America. Am J Respir Crit Care Med 2019;200(7):e45-e67. doi:10.1164/rccm.201908-1581ST

  2. 2. Dequin PF, Meziani F, Quenot JP, et al. Hydrocortisone in Severe Community-Acquired Pneumonia. N Engl J Med 2023;388(21):1931-1941. doi:10.1056/NEJMoa2215145

Пневмония, связанная с оказанием медицинской помощи

Категория пневмоний, связанных с оказанием медицинской помощи, в 2016 году была исключена как отдельная категория пневмонии из Руководства Американского общества инфекционистов (IDSA) и Американского торакального общества (1). Пневмония, связанная с оказанием медицинской помощи, возникает у негоспитализированных пациентов, в недавнем прошлом посещавших или пребывавших в учреждениях системы здравоохранения, в том числе в домах престарелых, центрах диализа или инфузий. Эта категория была создана для помощи в идентификации пациентов с повышенным риском развития заболеваний, вызываемых резистентными к антибиотикам бактериями. Тем не менее, методические рекомендации Американского сообщества по инфекционным болезням (IDSA) от 2016 года выявили увеличение доказательств того, что многие пациенты с госпитальной пневмонией, не были инфицированы бактериями, резистентными к антибиотикам. Скорее всего, риск заражения резистентными к антибиотикам микроорганизмами у данных пациентов связан с подтвержденными факторами риска, описанными для пациентов с негоспитальной пневмонией.

Справочные материалы по пневмонии, связанной с оказанием медицинской помощи

  1. 1. Kalil AC, Metersky ML, Klompas M, et al. Management of Adults With Hospital-acquired and Ventilator-associated Pneumonia: 2016 Clinical Practice Guidelines by the Infectious Diseases Society of America and the American Thoracic Society [published correction appears in Clin Infect Dis. 2017 May 1;64(9):1298] [published correction appears in Clin Infect Dis. 2017 Oct 15;65(8):1435] [published correction appears in Clin Infect Dis. 2017 Nov 29;65(12):2161]. Clin Infect Dis 2016;63(5):e61-e111. doi:10.1093/cid/ciw353

Прогноз при внебольничной пневмонии

Смертность вскоре после начала пневмонии связана с тяжестью заболевания. У пациентов, которые являются кандидатами для амбулаторного лечения, смертность составляет < 1%. Смертность у госпитализированных пациентов составляет 8%. Смерть может быть обусловлена собственно пневмонией, прогрессированием в сепсис или обострением сопутствующих заболеваний. У пациентов, госпитализированных в связи с пневмонией, риск смерти увеличивается в течение года после выписки из стационара.

В некоторой степени смертность варьирует в зависимости от патогена. Показатели смертности являются самыми высокими для грамотрицательных бактерий и внебольничного МРЗС. Однако поскольку эти патогены являются относительно нечастыми причинами внебольничной пневмонии, S. pneumoniae остается наиболее частой причиной смерти пациентов с внебольничной пневмонией. Пневмонии, вызванные атипичными патогенами, такие как Mycoplasma, имеют хороший прогноз. Более высокая смертность наблюдается у пациентов, у которых не было отклика на первоначальные эмпирические антибиотики и у тех, чье лечение не соответствовало рекомендациям.

Профилактика внебольничной пневмонии

Для профилактики некоторых форм внебольничной пневмонии используется вакцинация. Имеющиеся пневмококковые вакцины, их дозы и схемы введения обсуждаются отдельно. (См. Пневмококковая вакцина).

Рекомендации по применению других вакцин, как, например, вакцины против H. influenzae типа b (Hib) (для пациентов < 2 лет), вакцины против ветряной оспы (для пациентов < 18 месяцев и бустерной вакцины для более старшего возраста) и вакцины против гриппа (ежегодно для всех пациентов 6 месяцев, особенно для группы высокого риска развития постгриппозных осложнений) можно также найти на сайте CDC. В указанную группу высокого риска входят пациенты ≥ 65 лет, люди любого возраста с определенными хроническими заболеваниями (такими как диабет, астма или болезни сердца), беременные и маленькие дети.

Пациентам из группы высокого риска, не привитым против гриппа, а также лицам, контактирующим с заболевшими гриппом, в качестве профилактики можно назначать осельтамивир 75 мг внутрь 1 раз в день или занамивир 10 мг внутрь 1 раз в день в течение 2 недель, что отличается от схем дозирования для лечения. Если введение противовирусных препаратов начато в течение 48 часов после контакта, они могут предотвратить грипп (несмотря на имеющиеся данные о резистентности к озельтамивиру).

Прекращение курения может снизить риск развития пневмонии.

Основные положения

  • Внебольничная пневмония является ведущей причиной смертей в Соедененных Штатах и во всем мире.

  • Общие симптомы и признаки включают кашель, лихорадочное состояние, озноб, утомляемость, одышку, дрожь, отделение мокроты и боль в груди вследствие вовлечения плевры.

  • Для пациентов со слабой или средней степенью риска пневмонии следует применять эмпирическую терапию антибиотиками без анализов, направленных на выявление фонового патогена.

  • Пациентам из группы высокого риска, определенных инструментами оценки риска, необходима госпитализация.

  • Следует рассмотреть альтернативные диагнозы, в том числе тромбоэмболию легочных сосудов, особенно если признаки и симптомы пневмонии не являются типичными.

Дополнительная информация

Ниже следуют англоязычные ресурсы, которые могут быть информативными. Обратите внимание, что The manual не несет ответственности за содержание этих ресурсов.

  1. Centers for Disease Control and Prevention: Child and Adolescent Immunization Schedule by Age. Reviewed April 27, 2023. Accessed October 19, 2023.

  2. Clinical Practice Guidelines by the Pediatric Infectious Diseases Society and the Infectious Diseases Society of America

  3. American Thoracic Society and Infectious Diseases Society of America Clinical Guideline on Community-Acquired Pneumonia

  4. Kalil AC, Metersky ML, Klompas M, et al. Management of Adults With Hospital-acquired and Ventilator-associated Pneumonia: 2016 Clinical Practice Guidelines by the Infectious Diseases Society of America and the American Thoracic Society [published correction appears in Clin Infect Dis. 2017 May 1;64(9):1298] [published correction appears in Clin Infect Dis. 2017 Oct 15;65(8):1435] [published correction appears in Clin Infect Dis. 2017 Nov 29;65(12):2161]. Clin Infect Dis 2016;63(5):e61-e111. doi:10.1093/cid/ciw353

  5. Pneumococcal ACIP Vaccine Recommendations

quizzes_lightbulb_red
Test your KnowledgeTake a Quiz!
ANDROID iOS
ANDROID iOS
ANDROID iOS