Корь — это очень заразная вирусная инфекция, которая вызывает различные симптомы, похожие на простуду, и характерную сыпь. Она может вызвать тяжелые осложнения и привести к летальному исходу у некоторых людей. Для профилактики эффективна вакцинация.
Корь вызывается вирусом.
Симптомы: повышенная температура, насморк, сухой кашель, красные глаза и красная сыпь.
Диагноз обычно ставится на основе симптомов и характерной сыпи или белых пятен в горле.
Лабораторные анализы проводятся для подтверждения диагноза кори у людей со стойкими симптомами и у людей с факторами риска заражения корью.
Противовирусных препаратов против вируса кори не существует, поэтому лечение направлено на облегчение симптомов.
Детей с корью можно лечить витамином А.
Несмотря на то, что большинство больных выздоравливают, корь может приводить к смерти или к поражению головного мозга.
Плановая вакцинация предотвращает инфекцию.
Коревая инфекция редко встречается в регионах, где большинство людей получили вакцину против кори. До того, как вакцинация против кори стала широкодоступной, эпидемии кори происходили каждые 2 или 3 года, особенно у детей дошкольного и школьного возраста. В другие годы происходили небольшие локальные вспышки.
В некоторых странах корь остается распространенным заболеванием. В мире ежегодно корью болеют около 10 миллионов людей, и она становится причиной примерно 100 000 случаев смерти, главным образом среди детей.
Соединенных Штатах Америки заболевание корью встречается нечасто благодаря плановой вакцинации в детском возрасте. С 2000 года по 2010 год в Центрах по контролю и профилактике заболеваний (CDC) регистрировалось всего 71 случай в год.
В 2019 году CDC было зарегистрировано 1274 случая кори. Это был самый высокий показатель, зарегистрированный с 1992 года. Это увеличение в 2019 г. было вызвано в основном невакцинированными людьми, которые заразились в странах, где корь встречается чаще, а затем отправились в Соединенные Штаты Америки. В 2020 году в условиях глобальной пандемии COVID-19 в Соединенных Штатах Америки было зарегистрировано только 13 случаев кори. В период с 2020 по 2023 гг. в Соединенных Штатах было зарегистрировано 242 случая заболевания, а в 2024 г. — 285 случаев.
В 2025 году значительно увеличилось как общее количество случаев, так и количество вспышек. С января по 22 мая 2025 г. в США было зарегистрировано 1046 случаев кори и 3 летальных исхода. Было зарегистрировано 14 вспышек, и 92 % случаев были связаны с вспышками заболевания. Для сравнения, в 2024 году было зарегистрировано 16 вспышек заболевания за весь год.
Количество вспышек и случаев кори в целом увеличивается, поскольку снижается уровень вакцинации. Более частой причиной снижения частоты вакцинации стало нежелание вакцинироваться. Неприятие прививок означает ситуацию, когда родители откладывают или не позволяют вводить детям некоторые или все рекомендованные вакцины. Например, уровень вакцинации в детских садах в США снизился с 95,2 % в 2019–2020 учебном году до 92,7 % в 2023–2024 учебном году.
Пути передачи кори
Люди обычно заражаются корью воздушно-капельным путём (вдыхание крупных или мелких капель жидкости, содержащих возбудитель, при кашле больного). Люди могут заразиться при прикосновении к поверхностям, на которых попадали капли, но этот путь заражения встречается гораздо реже. У большинства людей, которые не были привиты против кори, после контакта с вирусом развивается инфекция.
Корь заразна в течение 4 дней до появления сыпи и 4 дней после ее появления. Люди, болеющие корью, могут не знать, что они инфицированы или заразны, и неосознанно передавать инфекцию другим.
Поездка в регионы, где распространена корь, или в регионы с активной вспышкой является фактором риска передачи кори.
Беременная женщина, переболевшая корью или получившая прививку, передает своему ребенку иммунитет в виде антител, которые могут проникать через плаценту. Этот иммунитет длится максимум в течение 6–12 месяцев жизни. Однако после этого периода дети, которые контактируют с вирусом кори, подвергаются высокому риску заражения, если они не были вакцинированы.
У человека, переболевшего корью, вырабатывается иммунитет, и, как правило, повторное заражение корью невозможно. Взрослые, родившиеся до 1957 года, также считаются переболевшими корью и, следовательно, имеющими иммунитет.
Симптомы кори
Корь — это заразная вирусная инфекция, которая обычно развивается стандартным образом (количество дней приблизительно и может быть разным для каждого человека):
Воздействие вируса: происходит при контакте человека с вирусом.
Инкубационный период: После контакта симптомы обычно возникают примерно через 7–21 день (в среднем через 11–12 дней). В это время вирус имеется в организме, но человек не чувствует себя больным.
Продромальный период: эта фаза длится около 3–7 дней. В это время появляются такие симптомы, как лихорадка, кашель, насморк и покраснение глаз, а также небольшие белые пятна в горле, но сыпи еще нет.
Сыпь: Сыпь при кори появляется после продромального периода и длится около 4–7 дней. Она обычно начинается на лице и распространяется на остальные части тела. После этого периода сыпь начинает быстро исчезать. Если не возникают осложнения, человек начинает чувствовать себя лучше.
Симптомы кори возникают примерно через 11–12 дней после контакта с вирусом. У зараженного человека сначала возникает повышенная температура, насморк, сухой кашель и покраснение глаз.
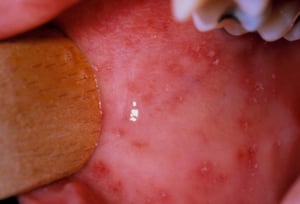
До начала сыпи во рту могут появиться пятна Коплика. Пятна Коплика — это мелкие ярко-красные пятна с белым или синеватым центром. Центр пятна может быть похож на песчинку.
Пятна Коплика — это ярко-красные пятна с белым или синеватым центром, которые могут быть похожи на песчинки. Они могут возникать в любом месте рта у людей с корью.
Пятна Коплика — это ярко-красные пятна с белым или синеватым центром, которые могут быть похожи на песчинки. Они могут
Изображение любезно предоставлено библиотекой изображений общественного здравоохранения центров по контролю и профилактике заболеваний Public Health Image Library of the Centers for Disease Control and Prevention).
Пятна Коплика — это ярко-красные пятна с белым или синеватым центром, которые могут быть похожи на песчинки. Они могут возникать в любом месте рта у людей с корью.
Пятна Коплика — это ярко-красные пятна с белым или синеватым центром, которые могут быть похожи на песчинки. Они могут
НАУЧНАЯ ФОТОБИБЛИОТЕКА Д-РА П. МАРАЦЦИ
Пятна Коплика — это ярко-красные пятна с белым или синеватым центром, которые могут быть похожи на песчинки. Они могут возникать в любом месте рта у людей с корью.
Пятна Коплика — это ярко-красные пятна с белым или синеватым центром, которые могут быть похожи на песчинки. Они могут
НАУЧНАЯ ФОТОБИБЛИОТЕКА Д-РА П. МАРАЦЦИ
Сыпь появляется через 3-7 дней после начала симптомов. Сыпь сначала возникает на лице, спереди и ниже ушей, а также сбоку на шее. Она выглядит как плоские области неправильной формы, которые вскоре становятся приподнятыми Сыпь красного цвета у людей со светлой кожей и может быть пурпурной или темнее, чем окружающая кожа, у людей с темной кожей. В течение 1-2 дней сыпь распространяется на туловище, руки, ладони, ноги и подошвы и затем начинает проходить на лице. После исчезновения сыпи на лице кожа может шелушиться.
На фотографии показана коревая сыпь.
На фотографии показана коревая сыпь.
Изображение любезно предоставлено библиотекой изображений общественного здравоохранения центров по контролю и профилактике заболеваний (Public Health Image Library of the Centers for Disease Control and Prevention).
На фотографии показана коревая сыпь.
На фотографии показана коревая сыпь.
SCIENCE PHOTO LIBRARY
На фотографии показана коревая сыпь.
На фотографии показана коревая сыпь.
CDC/ Betty G. Partin
При наиболее тяжелых формах инфекции человек чувствует себя очень больным и у него возникает воспаление, отек и повышенная чувствительность глаз к яркому свету (конъюнктивит); обширная сыпь; температура тела может превысить 40°C.
Еще через 4-7 дней температура падает, человек начинает чувствовать себя лучше, и оставшаяся сыпь быстро исчезает. Сыпь приобретает коричневатый цвет, а затем кожа шелушится.
Инфицированные люди заразны от 4 дней до и до 4 дней после возникновения сыпи.
Осложнения кори
Дети младшего возраста, беременные женщины и люди, которые истощены или с ослабленной иммунной системой, подвержены более высокому риску развития осложнений, вызванных корью. Коревая инфекция может привести к угнетению иммунитета, которое длится от нескольких месяцев до нескольких лет после выздоровления от кори и может повышать риск переболевших людей заболеть другими инфекциями.
К бактериальным инфекциям, связанным с корью и называемым суперинфекциями, относятся пневмония, бронхит и средний отит (инфекция среднего уха).
Пневмония, вызванная коревой инфекцией легких, случается примерно у 6% больных. В смертельных случаях кори у младенцев причиной смерти часто является пневмония.
Во время инфекции могут возникать временное воспаление печени (гепатит) и диарея.
Инфекция головного мозга (см. Энцефалит) встречается примерно у 1 из 1000 детей с корью. Энцефалит часто начинается с высокой температуры, головной боли, судорожных припадков и комы, обычно через 2 дня — 2 недели после того, как появляется сыпь. Болезнь может быть краткой, с выздоровлением примерно через 1 неделю, или она может длиться дольше, приводя к поражению головного мозга или смерти.
После выздоровления может произойти обильное кровотечение, потому что уровень тромбоцитов в крови человека снижается (тромбоцитопения). Обычно у людей появляются синяки на коже или бывает слабое кровотечение, но иногда кровотечение может быть обильным.
Подострый склерозирующий панэнцефалит является редким и смертельным осложнением кори. Он вызывает поражение головного мозга и прогрессирующее его повреждение. Эти симптомы могут развиться в течение 7–10 лет после коревой инфекции и чаще встречаются у людей, которые были инфицированы корью в раннем возрасте (до 5 лет).
Диагностика кори
Обследование врачом
Лабораторные анализы
Врачи подозревают корь у людей с типичными симптомами простуды, пятнами Коплика и характерной сыпью.
Врачи для подтверждения диагноза берут образцы крови, мочи, мазки из носа и горла и отправляют их в лабораторию для анализа. Эти анализы особенно полезны для диагностики у людей с симптомами, которые не были вакцинированы или были вакцинированы не полностью, или которые недавно контактировали с больным корью.
Лечение кори
Витамин А для детей
Лекарственные препараты для снижения температуры
Иногда антибиотики, если развивается бактериальная инфекция
Противовирусных препаратов для лечения кори не существует.
Инфицированных людей, которые были госпитализированы, на время их болезни следует помещать в специальные больничные палаты и изолировать от других людей. Инфицированные люди, которые не были госпитализированы, на время их болезни должны существенно ограничить контакт с другими людьми.
Врачи дают витамин A всем детям, которые болеют корью, потому что, как было показано, применение витамина A приводит к уменьшению количества смертей и тяжелых инфекций вследствие кори в странах, где дефицит витамина A — распространенное явление.
Для снижения температуры могут назначить ацетаминофен или ибупрофен.
Антибиотики могут назначаться людям, у которых развиваются другие инфекции, вызванные бактериями, например, инфекция уха.
Прогноз при кори
В США корь приводит к летальному исходу примерно у 1–3 из 1000 инфицированных людей. Во всем мире корь приводит к летальному исходу примерно у 1 из 100 инфицированных людей.
У людей, инфицированных в младенчестве, людей с ограниченным доступом к медицинской помощи, с тяжелыми нарушениями питания и дефицитом витамина А, а также у людей, у которых развивается пневмония, показатели смертности от кори выше.
См. также Осложнения кори.
Профилактика кори
Вакцина MMR
Доконтактная профилактика
Люди, переболевшие корью в прошлом, имеют иммунитет к ней. К ним относятся все взрослые, родившиеся до 1957 года, которые, считаются иммунными к кори, потому что они, вероятно, контактировали с вирусом.
Две дозы вакцины против кори для ее профилактики эффективны на 96 %. Вакцина против кори вводится в составе комбинированной вакцины против кори, паротита и краснухи (MMR), которая содержит живые, но ослабленные вирусы кори, паротита и краснухи. Вакцина MMR входит в график плановой иммунизации детей и вводится детям в большинстве стран с устойчивой инфраструктурой системы здравоохранения.
Вакцина MMR в 2 дозах была введена в практику в 1989 г., поэтому взрослые, родившиеся с 1957 по 1989 г., могли получить только одну ее дозу. Тем взрослым из этой группы, у кого анализы крови не показывают наличие иммунитета к кори, и у кого повышен риск инфекции (например, студенты колледжа, медицинские работники, международные путешественники, контакты людей с ослабленным иммунитетом и люди с ВИЧ-инфекцией) рекомендуется дополнительно 1–2 дозы вакцины.
Как правило, вакцина MMR обеспечивает длительный иммунитет, благодаря чему количество случаев кори в Соединенных Штатах Америки снизилось на 99 %.
У некоторых людей вакцина вызывает незначительное повышение температуры и слабую сыпь, но они не заразны. Вакцина MMR не вызывает расстройства аутистического спектра (см. Вакцина против кори, паротита и краснухи (MMR): опасения по поводу расстройства аутистического спектра).
MMR — это живая вакцина, которая не вводится во время беременности. Ее также не назначают некоторым людям с сильно ослабленной иммунной системой или людям, у которых была серьезная опасная для жизни аллергическая реакция (например, анафилактическая реакция) на компонент вакцины или на предыдущую дозу вакцины.
Дополнительная информация о том, кто должен и кому не следует получать вакцину MMR, представлена в разделе Доза и рекомендации относительно вакцины MMR. См. также Побочные эффекты вакцины MMR.
Профилактическое лечение после воздействия вируса
Детям (и взрослым), которые контактировали с больными корью и не имеют иммунитета, вакцина MMR может быть введена в течение 3 дней после контакта с больным и может защитить их. Если вакцина не может быть введена в течение 3 дней, или человек, контактировавший с больным, не соответствует критериям получения вакцины, незамедлительно (в течение 6 дней) назначают иммуноглобулин.
Людям, получившим иммуноглобулин в виде инъекции в мышцу, можно вводить вакцину MMR через 6 месяцев, а людям, получившим иммуноглобулин в виде инъекции в вену, можно вводить вакцину MMR через 8 месяцев.



