Плевральный выпот

Авторы:Najib M Rahman, BMBCh MA (oxon) DPhil, University of Oxford
Reviewed ByRichard K. Albert, MD, Department of Medicine, University of Colorado Denver - Anschutz Medical
Проверено/пересмотрено Изменено авг. 2023
v922580_ru

Плевральные выпоты – это скопление жидкости в плевральной полости. Они имеют множество причин и обычно классифицируются как транссудаты или экссудаты. Выявление проводится при физикальном осмотре, рентгенографии грудной клетки и прикроватном торакальном УЗИ. Для определения причины часто требуется пункция плевральной полости и анализ плевральной жидкости. Бессимптомные двусторонние транссудаты не требуют лечения. Симптоматические транссудаты и большинство экссудатов требуют торакоцентеза, дренажа плевры и окончательного лечения плевры (постоянный плевральный катетер, тальк-плевродез, торакальная хирургия или их комбинация).

В норме в плевральной полости находится 10–20 мл жидкости, которая по составу сходна с плазмой крови, но имеет более низкое содержание белка (< 1,5 г/дл [< 15 г/л]). Жидкость распределена между висцеральным и париетальным листками плевры и обеспечивает скольжение между легкими и грудной стенкой. Жидкость поступает в плевральную полость из системных капилляров париетальной плевры и оттекает по устьям и лимфатическим сосудам париетальной плевры. Жидкость в конечном счете стекает в правое предсердие, поэтому клиренс зависит от капиллярного и, отчасти, правостороннего давления. Накопление жидкости в плевральной полости происходит при избыточном поступлении или медленном выведении.

Этиология плеврального выпота

Плевральные выпоты обычно классифицируются как

  • Транссудаты

  • Экссудаты

Классификация выпотов основана на лабораторных характеристиках жидкости (см. таблицу Критерии выявления экссудативных плевральных выпотов [Criteria for Identifying Exudative Pleural Effusions]). Независимо от того, является транссудат односторонним или двусторонним, его обычно можно лечить без проведения обширных обследований, в то время как причина его появления требует изучения. Существует множество (> 50) причин (см. таблицу Некоторые причины плеврального выпота).

Транссудат образуется при увеличении гидростатического давления и уменьшении онкотического давления плазмы. Наиболее частой причиной появления транссудата является сердечная недостаточность, реже – цирроз печени с асцитом и гипоальбуминемия, обусловленная нефротическим синдромом.

Экссудат образуется при наличии местных процессов, приводящих к увеличению проницаемости капилляров, в результате в плевральную полость попадает плазма крови, белок, форменные элементы и другие компоненты. Наиболее частыми причинами появления экссудата являются: пневмония, рак, тромбоэмболия легочной артерии, вирусная инфекция, туберкулез.

Синдром жёлтых ногтей - это редкое расстройство, которое проявляется в хронических экссудативных плевральных выпотах, лимфедеме и дистрофических желтых ногтях - все эти симптомы считаются результатом нарушения лимфооттока.

Таблица
Таблица

Хилезный выпот (хилоторакс) – это выпот молочно-белого цвета с высоким содержанием триглицеридов, в результате травматических или опухолевых (как правило, лимфомы) повреждений грудного лимфатического протока. Хилоторакс также наблюдается при синдроме верхней полой вены.

Лимфоподобный (холестериновый или псевдохиллезный) выпот напоминает хилезный выпот, но имеет низкое содержание триглицеридов и высокое содержание холестерина. Считается, что лимфоподобный выпот появляется в результате высвобождения холестерина из лизированных эритроцитов и нейтрофилов при длительно существующем выпоте, когда отток жидкости из плевральной полости нарушается вследствие утолщения плевры. Наиболее распространенными причинами являются ревматоидный плеврит и хронический туберкулез.

Гемоторакс – это скопление крови в плевральной полости (гематокрит плеврального выпота составляет > 50% гематокрита периферической крови), обусловленное травмой, реже – коагулопатией или разрывом крупного сосуда - аорты или легочной артерии.

Эмпиема плевры – это скопление гноя в плевральной полости. Эмпиема плевры может быть осложнением пневмонии, торакотомии, абсцесса легкого, абсцесса печени, поддиафрагмального абсцесса, проникающей травмы (вторичная инфекция). Самопроизольное вскрытие эмпиемы приводит к проникновению гноя в мягкие ткани, инфицированию грудной стенки и наружному дренированию гнойного очага.

Панцирное легкое – это легкое, покрытое фиброзной капсулой, появление которой обусловлено эмпиемой плевры или опухолью. Поскольку легкое не расправляется, давление в плевральной полости снижается, что приводит к транссудации плазмы крови из капилляров париетальной плевры. По содержанию различных компонентов плевральный выпот при панцирном легком представляет собой нечто среднее между транссудатом и экссудатом, т.е. увеличение биохимических показателей не превышает 15% согласно критериям Лайта (см. таблицу Критерии экссудативного плеврального выпота [Criteria for Identifying Exudative Pleural Effusions]).

Ятрогенный плевральный выпот может быть вызван миграцией или смещением пищевого зонда в трахею или перфорацией верхней полой вены центральным венозным катетером, что приводит к попаданию пищи или растворов, вводимых внутривеннно, в плевральную полость.

Таблица
Таблица

Плевральный выпот без видимой причины возникает при бессимптомной тромбоэмболии легочной артерии, туберкулезе или раке (1). Этиология некоторых выпотов неизвестна даже после обширного исследования (также называемого неспецифическим плевритом); считается, что многие из этих выпотов вызваны вирусной инфекцией.

Справочные материалы по этиологии

  1. 1. Roberts ME, Rahman NM, Maskell NA, et al. British Thoracic Society Guideline for pleural disease. Thorax 2023;78(Suppl 3):s1-s42. doi:10.1136/thorax-2022-219784

Симптомы и признаки плеврального выпота

В некоторых случаях плевральный выпот протекает бессимптомно и является случайной находкой при объективном обследовании или рентгенографии грудной клетки.

Многие выпоты вызывают одышку и/или плевритическую боль в груди. Плевритическая боль, неопределенный дискомфорт или острая боль в грудной клетке, которая усиливается на вдохе, указывают на воспаление париетального листка плевры. Как правило, боль локализуется в зоне воспаления, но может наблюдаться иррадиация. Задняя и периферические части диафрагмальной плевры иннервируют 6 нижних межреберных нервов и их раздражение вызывает боль в нижних отделах грудной клетки или в брюшной полости. Раздражение центральной части диафрагмальной плевры, которую иннервируют диафрагмальные нервы, вызывает боль, иррадиирущую в шею и плечо.

При объективном обследовании наблюдается отсутствие голосового дрожания, притупление перкуторного звука и ослабленное дыхание на стороне выпота. Указанные симптомы могут быть вызваны утолщением плевры. При большом объеме выпота дыхание частое и поверхностное.

Классическим симптомом является шум трения плевры, хотя он встречается нечасто. Его выраженность варьирует от непостоянных звуков, напоминающих потрескивание, до интенсивного хруста на вдохе и выдохе. Шум трения рядом с сердцем (плевроперикардиальный шум) может варьироваться в зависимости от сердечного ритма и может быть спутан с шумом трения перикарда. Шум трения перикарда лучше всего прослушивается по левой границе грудины в 3-м и 4-м межреберном пространстве, имеет характерное пилящие звучание, синхронное с сердцебиением, и существенно не изменяется при дыхании. Чувствительность и специфичность объективного обследования для выявления выпота, вероятно, низкие.

Диагностика плеврального выпота

  • Рентгенография грудной клетки

  • УЗИ грудной клетки

  • Анализ плеврального выпота

  • Иногда КТ с венозным контрастом, КТ-ангиография или другие тесты

Плевральный выпот следует заподозрить при наличии плевритической боли, необъяснимой одышки и других симптомов. Диагностические исследования назначаются с целью подтверждения наличия плеврального выпота и определения его причины (см. рисунок Диагностика плеврального выпота).

Наличие плеврального выпота

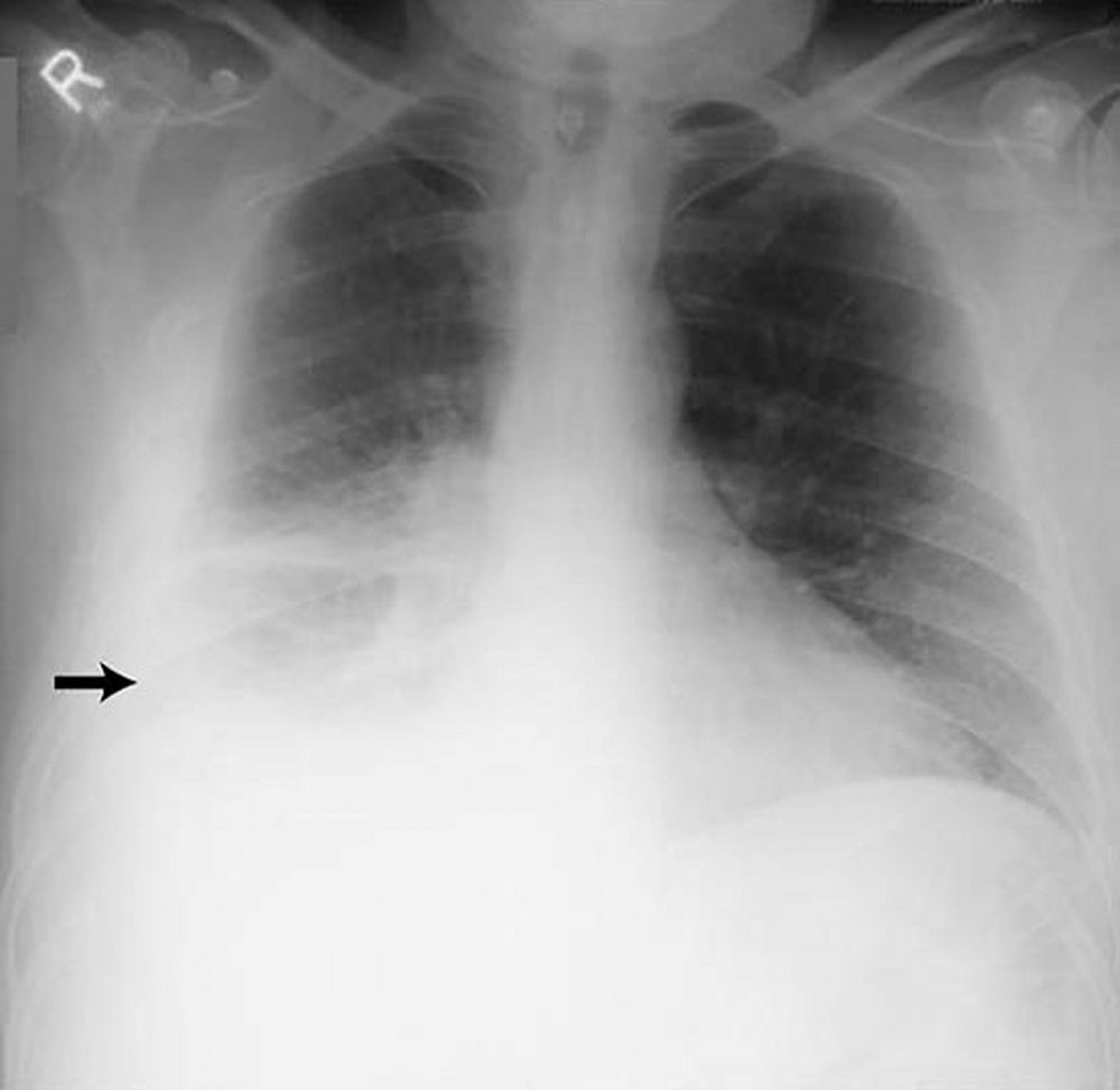
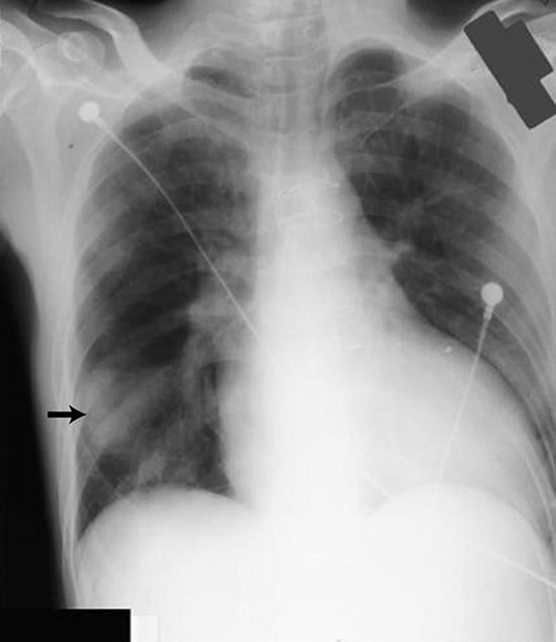
Для подтверждения наличия плеврального выпота, прежде всего, проводится рентгенография органов грудной клетки в положении стоя. При подозрении на плевральный выпот необходимо проанализировать снимок в боковой проекции. Затемнение в области заднего реберно-диафрагмального синуса свидетельствует о наличии 75 мл жидкости. При затемнении латерального реберно-диафрагмального синуса объем плеврального выпота составляет не менее 175 мл, но может достигать 500 мл. Большой плевральный выпот визуализируется как затемнение части легочного поля, может наблюдаться смещение средостения; если объем выпота > 4 л, может наблюдаться затемнение всего легочного поля и смещение средостения в противоположную сторону.

Ограниченный выпот формируется при наличии плевральных спаек или располагается в междолевых щелях. Если природа затемнения не ясна или не удается определить, является ли выпот ограниченным или свободным, необходимо провести дальнейшее визуализирующее обследование (рентгенографию органов грудной клетки в боковой проекции в положении лежа, КТ органов грудной клетки или ультразвуковое исследование). Данные исследования более чувствительны, чем рентгенография в положении стоя, и позволяют обнаружить небольшие объемы жидкости. Ограниченный выпот, особенно в горизонтальной или косой междолевых щелях, может быть ошибочно принят за солидное образование (ложная опухоль). Форма и размеры выпота меняются при изменении положения пациента и количества жидкости.

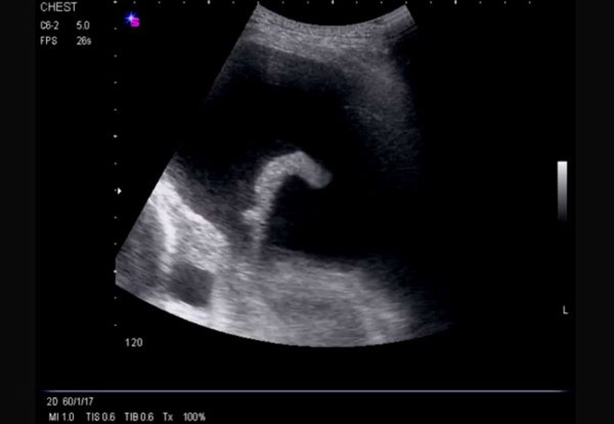
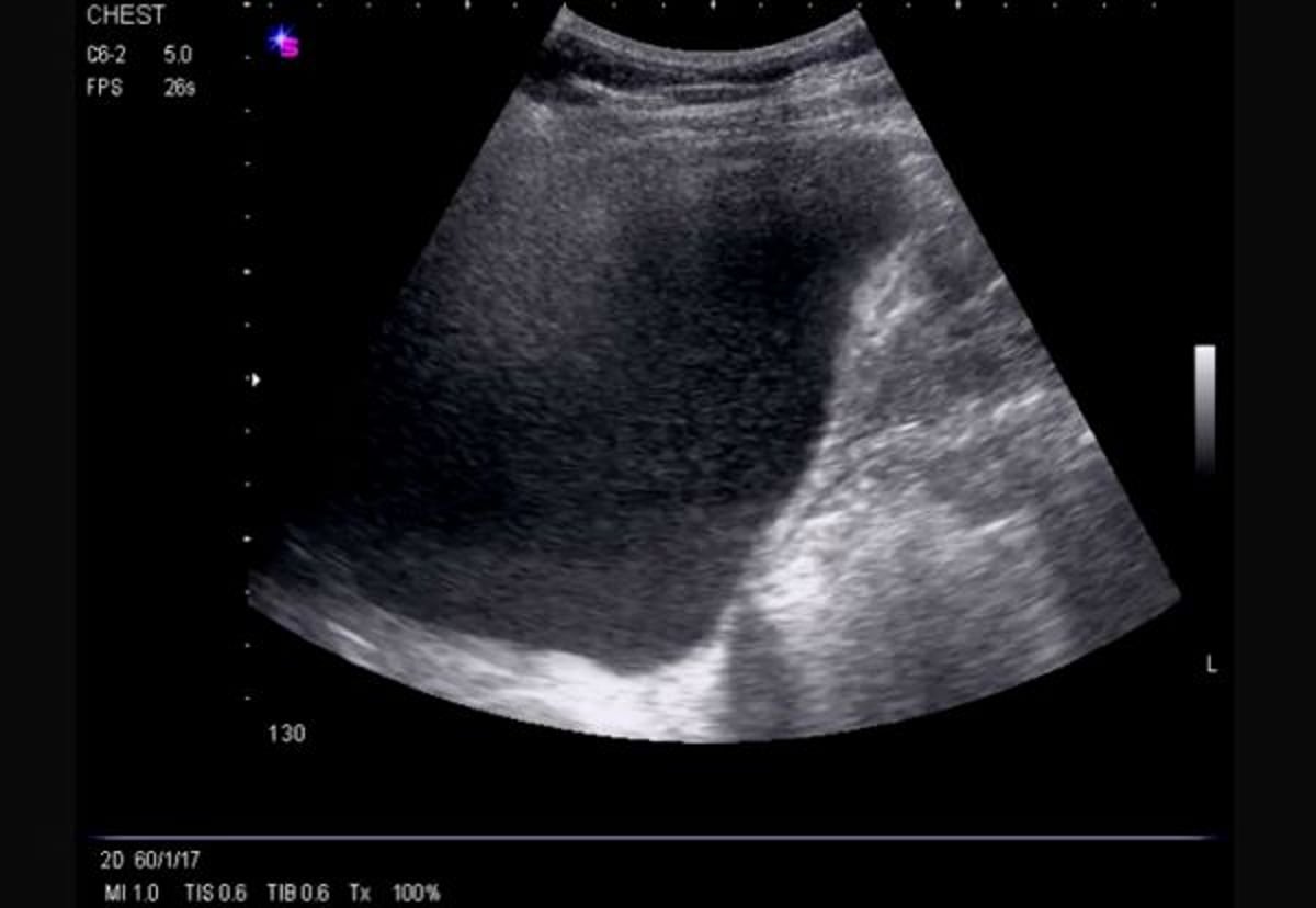
УЗИ грудной клетки считается стандартом диагностики плеврального выпота и проводится у постели больного пульмонологами, а иногда и врачами неотложной помощи, что позволяет избежать необходимости рентгенологического исследования. Оно отличается высокой точностью обнаружения небольших объемов плевральной жидкости и дает дополнительную диагностическую информацию (например, наличие перегородок, утолщение плевры).

КТ с венозным контрастом является ценным дополнительным исследованием, которое дает информацию о контрастировании плевры и потенциальной узловатости плевры. КТ с венозным контрастированием позволяет оценить паренхиму легких на предмет инфильтратов или образований, когда легкое заслонено выпотом или детализация рентгенограммы грудной клетки недостаточна для того, чтобы отличить локализованную жидкость от солидного образования.

Причина плеврального выпота

Пункция плевральной полости проводится практически всем пациентам, у которых объем плеврального выпота по данным КТ, ультразвукового исследования или рентгенографии в боковой проекции в положении лежа составляет 10 мм, а также пациентам, у которых выпот выявлен впервые, или с выпотом неустановленной этиологии. В целом, при сердечной недостаточности с симметричным плевральным выпотом, отсутствии боли в груди или лихорадки пункция плевральной полости не нужна – таким пациентам показаны диуретики; торакоцентез проводится только в том случае, если выпот сохраняется в течение 3 дней. Если плевральный выпот носит хронический характер, его причина установлена и он имеет бессимптомное течение, пункция плевральной полости с последующим анализом плевральной жидкости часто не проводятся.

Торакоцентез во всех случаях следует проводить под контролем УЗИ, поскольку это повышает точность процедуры и предотвращает осложнения.

Здравый смысл и предостережения

  • Рентгенография органов грудной клетки после торакоцентеза проводится только при появлении симптомов, позволяющих заподозрить пневмоторакс (одышка или боль в груди), или в том случае, если в плевральную полость мог попасть воздух.

Исследование плеврального выпота выполняется с целью установления его причины. Сначала проводится визуальная оценка, которая позволяет:

  • Дифференцировать геморрагический и хилезный (или лимфоподобный) выпот с другими видами выпота

  • Установить наличие гнойного выпота, свидетельствующего об эмпиеме плевры

  • Оценить вязкость выпота, поскольку выпот высокой вязкости характерен для некоторых мезотелиом

Жидкость всегда следует отправлять на анализ содержания общего белка, глюкозы, лактатдегидрогеназы (ЛДГ), подсчета общего количества клеток и клеточного состава, а также окрашивания по Граму. Другие исследования, такие как рН плевральной жидкости, аэробные и анаэробные бактериальные культуры, цитологическое исследование, маркеры туберкулезной жидкости [аденозин дезаминаза или интерферон-гамма], амилаза, микроскопическое и культуральное исследования на микобактерии и грибки, триглицериды и холестерин используются в соответствующих клинических условиях.

Анализ жидкости позволяет дифференцировать транссудат от экссудата; существует большое количество критериев, которые позволяют дифференцировать 2 вида выпота, но ни один из них не является универсальным. При использовании критериев Лайта (см. таблицу Критерии экссудативного плеврального выпота) необходимо определить уровень ЛДГ и уровень общего белка как можно ближе к моменту торакоцентеза для сравнения с уровнем белка в плевральной жидкости. Критерии Лайта позволяют почти всегда выявить экссудат, однако в 20% случаев ошибочно определяет транссудат как экссудат. При подозрении на транссудат (например, сердечная недостаточность или цирроз печени), в том случае когда увеличение биохимических показателей не превышает < 15% согласно критериям Лайта, используется разница содержания белка в сыворотке крови и плевральном выпоте. Если разница составляет > 3,1 г/дл (> 31 гр/л), следует думать о транссудате.

Также может быть полезной визуализация. Если диагноз остается неясным после анализа плевральной жидкости, показана КТ с венозным контрастированием для оценки усиления контрастирования плевры, узловатости плевры, легочных инфильтратов или поражений средостения. КТ-ангиография легких показана для исключения подозрения на легочную эмболию. Обнаружение легочной эмболии является показанием для длительной антикоагулянтной терапии. Узелки и утолщения плевры является показанием для проведения плевральной биопсии (торакоскопической или под контролем визуализации). Наличие инфильтратов или поражений легких, в зависимости от предполагаемых причин, может указывать на необходимость бронхоскопии или биопсии легких под контролем визуализации.

При подозрении на туберкулезный плеврит определяют уровень аденозин дезаминазы в плевральном выпоте. Уровень > 40 Ед/л (667 нкат/л) имеет 95% чувствительность и специфичность для диагностики туберкулезного плеврита (1); однако уровень аденозин-дезаминазы также может быть положительным у пациентов с раком.

Диагностика плеврального выпота

*На основании наличия лихорадки, потери веса, данных анамнеза о раке или наличия других симптомов, позволяющих предположить причину плеврального выпота.

ТБ = туберкулез.

Справочные материалы по диагностике

  1. 1. Roberts ME, Rahman NM, Maskell NA, et al. British Thoracic Society Guideline for pleural disease. Thorax 2023;78(Suppl 3):s1-s42. doi:10.1136/thorax-2022-219784

Лечение плеврального выпота

  • Проводится симптоматическое лечение и лечение основного заболевания

  • При наличии симптомов некоторым пациентам проводится дренирование

  • При парапневмоническом и злокачественном выпоте используются другие методы лечения

При бессимптомном течении сам по себе выпот, как правило, не требует лечения, поскольку во многих случаях он разрешается спонтанно на фоне лечения основного заболевания, особенно при неосложненной пневмонии, тромбоэмболии легочной артерии или хирургических вмешательствах. Плевритическая боль купируется с помощью нестероидных противовоспалительных препаратов (НПВП) или других пероральных анальгетиков. Лишь в некоторых случаях требуется короткий курс пероральных опиоидов.

Терапевтический торакоцентез (обычно от 1 до 1,5 л за один сеанс) достаточен при многих симптоматических выпотах и может быть повторен при повторном накоплении выпотов. Не существует однозначных пределов относительно объема жидкости, который можно удалить (1). Эвакуация выпота проводится до тех пор, пока полученный у пациента выпот не приводит к появлнию сдавления в груди, боли в груди или сильного кашля.

При хроническом, рецидивирующем выпоте, сопровождающимся клинической симптоматикой, проводят плевродез или устанавливают постоянный катетер. При парапневмоническом или злокачественном выпоте требуются дополнительные методы лечения.

Парапневмонический выпот и эмпиема плевры

При наличии неблагоприятных прогностических факторов (pH < 7,20, глюкоза < 60 мг/дл [< 3,33 ммоль/л], положительные результаты мазка с окраской по Граму или положительный результат посева, ограниченный выпот) необходимо полностью удалить выпот с помощью торакоцентеза или установки катетера. Если полное дренирование невозможно, тромболитический (фибринолитический) препарат (например, альтеплаза) плюс ДНКаза (например, дорназа альфа) может быть введен интраплеврально. При безуспешности внутриплеврального лечения показано торакальное хирургическое вмешательство. Видеоассистированная торакоскопия (ВАТ) обычно проводится в первую очередь, хотя может потребоваться торакотомия.

Злокачественный плевральный выпот

Если при злокачественном плевральном выпоте после торакоцентеза вновь появляется одышка и накапливается жидкость, в плевральную полость устанавливают катетер или проводят плевродез. Бессимптомный выпот и выпот, вызывающий одышку, которая не купируется после торакоцентеза, не требуют дополнительного лечения.

Постоянные плевральные катетеры и плевродез одинаково эффективны для лечения злокачественного плеврального выпота. Выбор зависит от предпочтений пациента. Оба препарата уменьшают одышку и эффективно улучшают качество жизни. Плевродез тальком требует госпитализации, но долгосрочные осложнения чаще возникают при наличии постоянных катетеров.

Плевродез производится путем введения склерозирующего средства в плевральную полость с целью сращения висцерального и париетального листков плевры и облитерации плевральной полости. К наиболее эффективным склерозирующим средствам относится тальк, доксициклин и блеомицин; их вводят через катетер или во время торакоскопии. Плевродез противопоказан, если легкое не расширяется после полного дренирования плевральной дренажной трубкой (панцирное легкое), и в этом случае показан постоянный плевральный катетер.

Шунтирование плевральной жидкости в брюшную полость (плевроперитонеальный шунт) выполняется редко, но является вариантом терапии для пациентов с панцирным легким.

Хирургическое лечение (плеврэктомию или декортикацию) следует рассмотреть у пациентов с панцирным легким, имеющих хорошее общее состояние и хороший прогноз.

Справочные материалы по лечению

  1. 1. Feller-Kopman D, Berkowitz D, Boiselle P, et al: Large-volume thoracentesis and the risk of reexpansion pulmonary edema. Ann Thoracic Surg 84:1656–1662, 2007.

Основные положения

  • Транссудат образуется при увеличении гидростатического давления и уменьшении онкотического давления плазмы.

  • Механизм образования экссудата – увеличение проницаемости капилляров, которое ведет к пропотеванию белка, форменных элементов и других составляющих сыворотки крови.

  • Основные причины появления транссудата: сердечная недостаточность, цирроз печени с асцитом, гипоальмубинемия (нефротический синдром).

  • Основные причины появления экссудата: пневмония, рак, тромбоэмболия легочной артерии, туберкулез.

  • Оценка требует визуализации (обычно рентгенография грудной клетки и торакальная ультрасонография) для подтверждения наличия жидкости и анализа плевральной жидкости, чтобы помочь определить причину.

  • Если неясно, отображает ли рентгенография выпот или паренхимальный инфильтрат, а также для дифференциальной диагностики ограниченного и свободного выпота выполняется рентгенография в боковой проекции в положении лежа, КТ или ультразвуковое исследование.

  • При хроническом, рецидивирующем выпоте, сопровождающимся клинической симптоматикой, проводится плевродез или устанавливается постоянный катетер.

quizzes_lightbulb_red
Test your KnowledgeTake a Quiz!
iOS ANDROID
iOS ANDROID
iOS ANDROID