A asbestose é uma forma de fibrose intersticial pulmonar causada pela exposição ao amianto. A asbestose pode causar dispneia progressiva ao esforço, tosse sem expectoração e fadiga. O diagnóstico baseia-se em história ou radiografia de tórax. O tratamento é de suporte.
(Ver também Visão geral das doenças relacionadas com amianto e Visão geral da doença pulmonar ambiental e ocupacional.)
O amianto é uma família de silicatos que encontrados na natureza, cuja resistência ao calor e propriedades estruturais o tornam útil para a inclusão em materiais da construção civil e naval, freios de automóveis e alguns tecidos. Há duas classes principais de amianto: serpentina (que inclui crisotila) e anfibólio (que inclui amosita, crocidolita, antofilita, tremolita e actinolita).
A asbestose é uma forma de doença pulmonar intersticial causada pela exposição ao amianto. O período de latência entre a exposição e a manifestação da doença geralmente é de 20 a 40 anos. A asbestose aparece mais precocemente em pacientes com maior duração e intensidade da exposição.
Fatores de risco
A exposição ocupacional direta continua sendo a causa predominante da doença relacionada com o amianto. Na maioria dos países desenvolvidos, o uso de amianto diminuiu nas últimas décadas. O amianto ainda pode ser encontrado em materiais de construção antigos e em alguns produtos; atualmente, a maioria das exposições ocupacionais ocorre durante reparos, reformas, remoção ou manutenção de produtos contendo amianto instalados em épocas anteriores. Os níveis de exposição no local de trabalho em geral eram muito mais altos no passado.
As ocupações tradicionalmente associadas ao risco aumentado de exposição incluem profissionais da construção (isoladores, instaladores de canos, carpinteiros, eletricistas, profissionais que fazem telhado, profissionais que lidam com drywall), trabalhadores de manutenção, funcionários de estaleiros e profissionais da marinha, caldeireiros e trabalhadores de fornos, mecânicos de freios de automóveis e indivíduos envolvidos com mineração e processamento de amianto.
Fisiopatologia da asbestose
Macrófagos alveolares, que tentam englobar as fibras inaladas, liberam citocinas e fatores de crescimento, que estimulam a inflamação, a deposição de colágeno e, finalmente, a fibrose. As fibras de amianto também podem ser diretamente tóxicas ao tecido pulmonar.
Em geral, o risco da doença está relacionado com a duração e a intensidade da exposição e com o tipo, comprimento e espessura das fibras inaladas (1).
Referência sobre fisiopatologia
1. Solbes E, Harper RW. Biological responses to asbestos inhalation and pathogenesis of asbestos-related benign and malignant disease. J Investig Med 2018;66(4):721-727. doi:10.1136/jim-2017-000628
Sinais e sintomas da asbestose
A apresentação clínica mais comum é dispneia gradual e progressiva aos esforços, tosse não produtiva e fadiga.
Em geral, a asbestose progride lentamente ao longo de muitos anos e pode continuar progredindo depois de interrompida a exposição.
Casos graves podem resultar em fibrose terminal e insuficiência ventricular direita (cor pulmonale).
Diagnóstico da asbestose
Radiografia de tórax ou, preferencialmente, TC torácica de alta resolução
Às vezes, lavado broncoalveolar ou biópsia do pulmão
O diagnóstico da asbestose baseia-se na história de exposição ao amianto e na radiografia ou TC de alta resolução do tórax. A história deve incluir início, duração, tipo e intensidade da exposição do paciente.
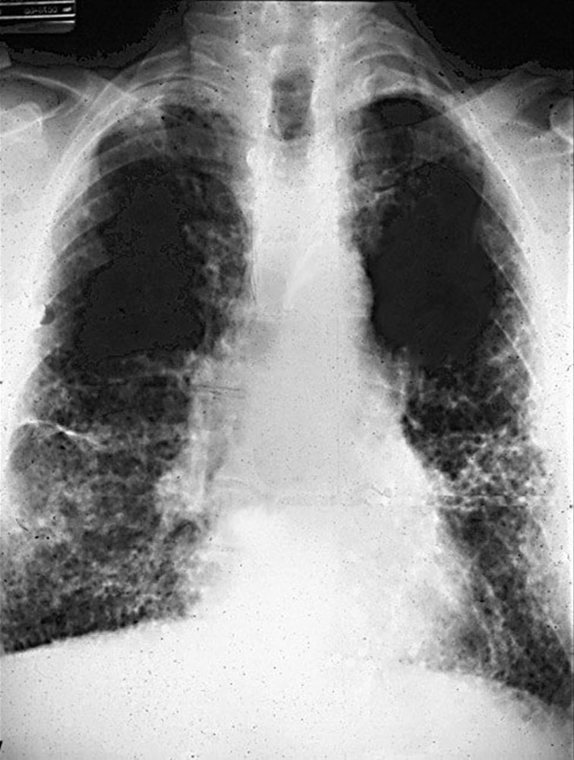
A radiografia do tórax revela opacidades bilaterais reticulares ou nodulares, significando fibrose, geralmente na periferia dos lobos inferiores, com ou sem alterações pleurais. A TC de tórax oferece maior sensibilidade na identificação de anormalidades pleurais e parenquimatosas e tipicamente mostra o padrão habitual de pneumonia intersticial da fibrose pulmonar. A presença de faveolamento, que pode envolver os campos pulmonares médio e inferior, indica uma doença mais avançada.
O sistema da Organização Internacional do Trabalho (International Classification of Radiographs of Pneumoconioses) é utilizado para caracterizar a presença e gravidade de pneumoconioses com base no tamanho, forma, localização e profusão de opacidades. A asbestose provoca opacidades reticulares, predominantemente no lobo inferior. As linfadenopatias hilar e mediastinal não são características e sugerem diagnóstico diferencial.
Testes de função pulmonar podem mostrar restrição, redução na capacidade de difusão do monóxido de carbono (DLCO) e/ou leve obstrução do fluxo de ar. Esses achados são inespecíficos, mas ajudam a caracterizar a gravidade da doença.
Um corpo de amianto íntegro em amostra de pulmão.
Imagem cedida por cortesia de David W. Cugell, MD.
Alterações reticulares com faveolamento na asbestose.
Imagem cedida por cortesia de David W. Cugell, MD.
Lavado broncoalveolar ou biópsia pulmonar é potencialmente útil quando o diagnóstico é incerto. A detecção de fibras de amianto e/ou corpos de amianto pode ajudar a apoiar o diagnóstico, mas não é necessária.
Tratamento da asbestose
Cuidados de suporte
Não existe tratamento específico. Os pacientes devem evitar mais exposição ao amianto.
O tratamento é de suporte, incluindo o uso de suplementação de oxigênio quando indicado e tratamento imediato de infecções respiratórias. Agentes antifibróticos e terapias imunes utilizadas em outras doenças pulmonares intersticiais podem ser eficazes.
A reabilitação pulmonar pode ser útil para os pacientes com comprometimento.
Pacientes com doença avançada podem ser elegíveis para transplante de pulmão.
A vacinação contra influenza, covid-19, e pneumonia é importante em pacientes com asbestose.
Prognóstico da asbestose
O prognóstico varia; a asbestose normalmente progride lentamente ao longo de muitos anos. Muitos pacientes evoluem bem, sem qualquer sintoma ou com sintomas leves, ao passo que outros desenvolvem dispneia progressiva e poucos desenvolvem insuficiência respiratória, insuficiência ventricular direita.
Pacientes com asbestose têm um risco significativamente aumentado de câncer de pulmão (geralmente carcinoma de pulmão de células não pequenas). Além disso amianto e tabagismo têm efeito sinérgico no risco de câncer pulmonar. Todas as formas de amianto inalado foram associadas a um risco elevado de câncer de pulmão.
Prevenção da asbestose
As medidas preventivas incluem eliminação da exposição, redução da exposição a amianto em ambientes ocupacionais e não ocupacionais, e cessação do tabagismo. A cessação do tabagismo é crítica, considerando o risco sinérgico de câncer de pulmão com tabagismo e exposição ao amianto.
Embora não haja recomendação específica para rastreamento de câncer de pulmão em pacientes cm asbestose, todos os que se qualificam para o rastreamento de câncer de pulmão de acordo com as recomendações para a população geral devem ser submetidos a rastreamento anual.
Pontos-chave
Embora o uso de amianto tenha diminuído, em razão da longa latência do início da doença (20 a 40 anos), a asbestose continua sendo uma preocupação de saúde pública importante.
O diagnóstico é baseado em uma história de exposição ao amianto e evidências radiográficas de doença pulmonar intersticial.
O tratamento é principalmente de suporte; a cessação do tabagismo é importante.



