Aneurismi dell'aorta addominale

DiMark A. Farber, MD, FACS, University of North Carolina;
Federico E. Parodi, MD, University of North Carolina School of Medicine
Reviewed ByJonathan G. Howlett, MD, Cumming School of Medicine, University of Calgary
Revisionato/Rivisto Modificata dic 2024
v11696468_it
Visualizzazione l’educazione dei pazienti

Il diametro dell'aorta addominale 3 cm in genere costituisce un aneurisma dell'aorta addominale. La causa è multifattoriale, ma l'aterosclerosi è spesso coinvolta. La maggior parte degli aneurismi cresce lentamente (~ 10%/anno) senza causare sintomi e la maggior parte si riscontra incidentalmente. Il rischio di rottura è proporzionale alla dimensione dell'aneurisma. La diagnosi viene effettuata tramite ecografia o tramite TC. Il trattamento consiste in chirurgia tradizionale o dispositivi endovascolari.

(Vedi anche Panoramica sugli aneurismi dell'aorta.)

Gli aneurismi dell'aorta addominale rappresentano i tre quarti degli aneurismi aortici e possono interessare tra lo 0,4 e il 7,6% della popolazione, a seconda della popolazione studiata (1). La prevalenza è 3 volte maggiore negli uomini. Gli aneurismi dell'aorta addominale generalmente originano al di sotto delle arterie renali (infrarenali), (2) ma ne possono coinvolgere gli ostii (pararenali); circa il 50% coinvolge le arterie iliache. Per definizione, un diametro aortico 3 cm costituisce un aneurisma dell'aorta addominale. La maggior parte degli aneurismi dell'aorta addominale è fusiforme (allargamento circonferenziale dell'arteria). Molti sono rivestiti da trombi laminati.

Riferimenti generali

  1. 1. O'Donnell TFX, Landon BE, Schermerhorn ML. The case for expanding abdominal aortic aneurysm screening. J Vasc Surg 2020;71(5):1809-1812. doi:10.1016/j.jvs.2019.10.024

  2. 2. Jongkind V, Yeung KK, Akkersdijk GJ, et al. Juxtarenal aortic aneurysm repair. J Vasc Surg 2010;52(3):760-767. doi:10.1016/j.jvs.2010.01.049

Eziologia degli aneurismi dell'aorta addominale

L'eziologia degli aneurismi dell'aorta addominale è multifattoriale, ma comunemente comporta un indebolimento della parete arteriosa, solitamente

Altre cause comprendono

  • Traumi

  • Necrosi cistica mediale (degenerazione del mezzo aortico)

  • Interruzione post-chirurgica dell'anastomosi

  • Vasculite (p. es., arterite di Takayasu)

Raramente, la sifilide e le infezioni batteriche o micotiche localizzate, tipicamente dovute a sepsi o endocardite infettiva, indeboliscono la parete arteriosa causando aneurismi infetti (micotici). Lo Staphylococcus aureus è la prima causa di aneurismi micotici, seguito dalla Salmonella.

Fattori di rischio

I fattori di rischio per gli aneurismi dell'aorta addominale comprendono

  • Fumo (fattore di rischio più importante)

  • Ipertensione

  • Età avanzata (incidenza di picco a 70-80 anni)

  • Anamnesi familiare (dal 15 al 25%)

  • Razza (più frequente tra i pazienti bianchi rispetto ai pazienti di origine africana)

  • Sesso maschile

  • Malattie ereditarie del tessuto connettivo (p. es., sindrome di Marfan, sindrome di Ehlers-Danlos, sindrome di Loeys-Dietz)

Sintomatologia degli aneurismi dell'aorta addominale

La maggior parte degli aneurismi aortici addominali è asintomatico. I sintomi e i segni, quando si manifestano, possono essere aspecifici ma di solito derivano dalla compressione di strutture adiacenti. Gli aneurismi dell'aorta addominale, ingrandendosi, possono causare un dolore che è fisso, profondo, lancinante, viscerale e avvertito principalmente nella regione lombosacrale. I pazienti possono inoltre avvertire una pulsazione addominale prominente. Sebbene la maggior parte degli aneurismi cresca lentamente, gli aneurismi in rapida espansione che stanno per rompersi possono essere dolenti.

L'aneurisma può essere più o meno apprezzabile alla palpazione come una massa pulsatile, a seconda delle sue dimensioni e dell'habitus del paziente. La probabilità che un paziente con una massa palpabile pulsante abbia un piccolo aneurisma (ossia, < 4 cm) è di circa il 55% (valore predittivo positivo); la probabilità supera l'80% solo quando la massa è > 5 cm di diametro (1). Inoltre, in corrispondenza dell'aneurisma, si può auscultare un soffio sistolico.

I pazienti con aneurisma dell'aorta addominale occulti talvolta presentano i sintomi delle complicanze o dell'eziologia (p. es., febbre, malessere o perdita di peso da infezione o vasculite).

Complicanze

Le principali complicanze degli aneurismi dell'aorta addominale comprendono

La rottura è più probabile che si verifichi sulla parete posterolaterale sinistra da 2 a 4 cm al di sotto delle arterie renali. Se un aneurisma dell'aorta addominale si rompe, la maggior parte dei pazienti muore prima di raggiungere una struttura medica. I pazienti che non muoiono immediatamente presentano tipicamente dolore addominale o lombare, ipotensione e tachicardia. Potrebbero avere un'anamnesi positiva per un recente trauma all'addome superiore, spesso minimo, o per uno sforzo isometrico (p. es., sollevare un oggetto pesante). Anche i pazienti che raggiungono l'ospedale in vita hanno una mortalità di circa il 50% (2).

L'embolizzazione distale di trombi o di materiale ateromatoso può dislocare e bloccare le arterie dei reni, dell'intestino e degli arti inferiori. Quando un'arteria dell'arto inferiore è bloccata, i pazienti in genere si presentano con improvviso dolore unilaterale degli arti e spesso pallore e perdita dei polsi (vedi anche Occlusione arteriosa periferica acuta).

Raramente, gli aneurismi dell'aorta addominale di grandi dimensioni provocano una coagulazione intravascolare disseminata, probabilmente a causa della presenza di ampie aree di superficie endoteliale alterata, in grado di scatenare rapidamente la trombosi e il consumo dei fattori della coagulazione.

Riferimenti relativi alla sintomatologia

  1. 1. Venkatasubramaniam AK, Mehta T, Chetter IC, et al. The value of abdominal examination in the diagnosis of abdominal aortic aneurysm. Eur J Vasc Endovasc Surg 2004;27(1):56-60. doi:10.1016/j.ejvs.2003.09.006

  2. 2. Durieux R, Lardinois MJ, Albert A, Defraigne JO, Sakalihasan N. Outcomes and Predictors of Mortality in a Belgian Population of Patients Admitted with Ruptured Abdominal Aortic Aneurysm and Treated by Open Repair in the Contemporary Era. Ann Vasc Surg 2022;78:197-208. doi:10.1016/j.avsg.2021.05.015

Diagnosi degli aneurismi dell'aorta addominale

  • Spesso un reperto accidentale all'esame obiettivo o in occasione di uno studio radiologico

  • La conferma viene fatta con ecografia o TC addominale

  • A volte angio-TC o angio-RM

La maggior parte degli aneurismi dell'aorta addominale è diagnosticata incidentalmente nel corso di un esame obiettivo o in occasione di ecografie addominali, TC o RM eseguite per altri motivi. La presenza di un aneurisma dell'aorta addominale deve essere sospettata nei pazienti anziani con dolore addominale o lombare acuto in presenza o meno di una massa pulsante.

Immagini radiografiche di aneurismi dell'aorta addominale
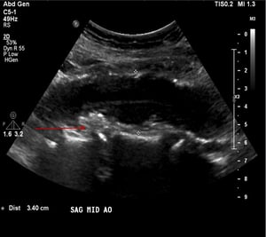
Aneurisma dell'aorta addominale (ecografia)
Aneurisma dell'aorta addominale (ecografia)

Questo paziente ha un aneurisma dell'aorta addominale che misura 3,4 cm (tra le croci bianche) nonché placca aterosclerotica o trombo murale (freccia rossa).

Questo paziente ha un aneurisma dell'aorta addominale che misura 3,4 cm (tra le croci bianche) nonché placca ateroscler

... maggiori informazioni

© 2017 Elliot K. Fishman, MD.

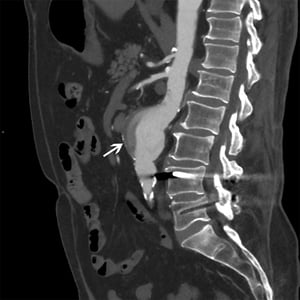
Aneurisma dell'aorta addominale (TC)
Aneurisma dell'aorta addominale (TC)

La freccia bianca mostra un aneurisma dell'aorta addominale di 5 cm con flusso eterogeneo e placca murale.

La freccia bianca mostra un aneurisma dell'aorta addominale di 5 cm con flusso eterogeneo e placca murale.

© 2017 Elliot K. Fishman, MD.

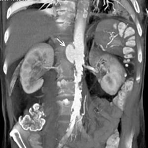
Pseudoaneurisma dell'aorta addominale (TC)
Pseudoaneurisma dell'aorta addominale (TC)

La freccia bianca mostra uno pseudoaneurisma dell'aorta addominale soprarenale. Vi è anche un'ampia placca nell'aorta sottorenale e le arterie iliache.

La freccia bianca mostra uno pseudoaneurisma dell'aorta addominale soprarenale. Vi è anche un'ampia placca nell'aorta s

... maggiori informazioni

© 2017 Elliot K. Fishman, MD.

Quando i sintomi o i riscontri obiettivi suggeriscono un aneurisma dell'aorta addominale, l'ecografia, la TC o la RM dell'addome rappresentano in genere l'esame di scelta (1). I pazienti sintomatici devono effettuare un esame immediato per fare diagnosi prima di una rottura catastrofica. Nel caso di pazienti con presunta rottura, emodinamicamente instabili, l'ecografia fornisce risultati più rapidi al letto del paziente, ma la presenza di gas e la distensione intestinale possono limitarne l'accuratezza.

Gli esami di laboratorio come emocromo con formula, elettroliti, azotemia, creatinina, tempo di protrombina, tempo di tromboplastina parziale, e gruppo sanguigno e prove crociate, devono essere eseguiti in preparazione di un eventuale intervento chirurgico.

Se non si sospetta la rottura, l'angio-TC o l'angio-RM possono caratterizzare più accuratamente le dimensioni e l'anatomia dell'aneurisma. Qualora sia presente un trombo sulla parete interna dell'aneurisma, l'angiografia convenzionale può sottostimarne le reali dimensioni; una TC può fornire una stima più accurata. L'aortografia è qualche volta necessaria se si sospetta un coinvolgimento dell'arteria renale o del tratto aortoiliaco o se viene preso in considerazione il trattamento con dispositivi endovascolari (endograft).

La RX diretta dell'addome non è sensibile né specifica; tuttavia, se eseguita per altri motivi, la RX può mostrare le calcificazioni aortiche che delimitano la parete aneurismatica.

Se c'è il sospetto di un aneurisma micotico, devono essere eseguite le emocolture per batteri e miceti.

Lo screening per gli uomini > 65 anni che hanno fumato nel passato mediante ecografia addominale riduce la mortalità, ma la riduzione assoluta è piccola per gli uomini che sono altrimenti a basso rischio. Lo screening può anche provocare ansia, in particolare per gli aneurismi gestiti mediante una vigile attesa. Alcune autorità raccomandano processi decisionali condivisi.

Riferimento relativo alla diagnosi

  1. 1. Isselbacher EM, Preventza O, Hamilton Black J 3rd, et al. 2022 ACC/AHA Guideline for the Diagnosis and Management of Aortic Disease: A Report of the American Heart Association/American College of Cardiology Joint Committee on Clinical Practice Guidelines. Circulation 2022;146(24):e334-e482. doi:10.1161/CIR.0000000000001106

Trattamento degli aneurismi dell'aorta addominale

  • Gestione medica, in particolare la cessazione del fumo e il controllo della pressione arteriosa

  • Chirurgia tradizionale o dispositivi endovascolari

Alcuni aneurismi dell'aorta addominale si ingrandiscono a un tasso del 10%/anno. L'allargamento si verifica spesso in uno schema graduale con periodi di assenza di crescita osservati. Altri aneurismi si ingrandiscono in modo esponenziale.

Il controllo dei fattori di rischio per l'aterosclerosi è importante, in particolar modo la cessazione del fumo e un adeguato uso di farmaci antipertensivi. Se un piccolo (< 4 cm) o moderato (tra 4 e 5 cm) aneurisma. Quando l'aneurisma diventa > 5 cm in una femmina o > 5,5 cm in un maschio e se il rischio di complicanze perioperatorie è inferiore al rischio stimato di rottura, è indicata la riparazione dell'aneurisma dell'aorta addominale (1). Il rischio di rottura rispetto a quello delle complicanze perioperatorie deve essere discusso francamente con il paziente.

La necessità del trattamento chirurgico è in rapporto alle dimensioni dell'aneurisma, che a loro volta si correlano al rischio di rottura (vedi tabella Misurazione dell'aneurisma addominale aortico e rischio di rottura).

Tabella
Tabella

La rottura degli aneurismi dell'aorta addominale richiede un immediato intervento chirurgico a cielo aperto o mediante posizionamento di dispositivi endovascolari (endograft). Senza trattamento, la percentuale di decessi è prossima al 100%. Non vi è alcuna differenza chiara nella mortalità tra il trattamento chirurgico a cielo aperto e l'endoprotesi endovascolare (2). La mortalità risulta comunque elevata perché molti pazienti presentano una concomitante aterosclerosi coronarica, cerebrovascolare e periferica.

I pazienti che si presentano in shock emorragico hanno bisogno del reintegro dei liquidi e di trasfusioni di sangue, anche se la pressione arteriosa media non deve oltrepassare i > 70-80 mmHg (ipotensione permissiva) perché altrimenti il sanguinamento può aumentare. È importante anche il controllo preoperatorio della pressione arteriosa e l'eliminazione dell'ipertensione.

Consigli ed errori da evitare

  • In un paziente ipoteso e con una rottura dell'aneurisma dell'aorta addominale non aumentare la pressione arteriosa media oltre > 70-80 mmHg poiché il sanguinamento può aumentare.

L'intervento chirurgico elettivo è raccomandato per

  • Aneurismi di diametro > 5 cm nelle donne e > 5,5 cm negli uomini (quando il rischio di rottura aumenta da > 5-10%/anno), a meno che non vi siano altre patologie coesistenti che controindicano l'intervento chirurgico (1)

Indicazioni supplementari per il trattamento chirurgico elettivo comprendono

  • Aumento delle dimensioni dell'aneurisma di > 0,5 cm entro 6 mesi indipendentemente dalle dimensioni

  • Dolore cronico addominale

  • Complicanze tromboemboliche

  • Aneurisma dell'arteria iliaca o femorale che causa l'ischemia degli arti inferiori

  • Aneurismi > 4,5 cm nei pazienti con sindrome di Marfan

Prima della riparazione in elezione, è spesso necessaria la considerazione clinica di una coronaropatia che può o meno richiedere una valutazione ulteriore (vedi tabella Test per la valutazione dell'anatomia e della funzione cardiaca) poiché alcuni pazienti con un aneurisma dell'aorta addominale presentano un significativo rischio di eventi cardiovascolari. Un trattamento medico aggressivo e il controllo dei fattori di rischio sono essenziali. L'angioplastica coronarica preoperatoria di routine o la chirurgia di bypass non si sono dimostrate necessarie nella maggior parte dei pazienti che possono essere preparati con una buona gestione medica prima della riparazione dell'aneurisma; la rivascolarizzazione coronarica deve essere considerata solo in pazienti con malattia coronarica instabile (p. es., sindrome coronarica acuta, compresa l'angina instabile) o fattori di rischio multipli per la malattia coronarica.

La riparazione chirurgica consiste nel sostituire la porzione aneurismatica dell'aorta addominale con un innesto protesico. Se sono coinvolte le arterie iliache, l'innesto protesico deve essere esteso in modo da comprenderle nella riparazione. Se si esegue una riparazione aorto-bifemorale, è importante assicurare il flusso ad almeno un'arteria iliaca interna (arteria ipogastrica) per evitare la disfunzione erettile vasculogenica e l'ischemia pelvica. Se l'aneurisma si estende sopra le arterie renali, queste devono essere reimpiantate sulla protesi o deve essere eseguito un bypass protesico.

Il posizionamento di una protesi endovascolare all'interno del lume aneurismatico attraverso l'arteria femorale è un'alternativa meno invasiva che ha una morbilità e una mortalità acuta inferiori rispetto alla riparazione chirurgica a cielo aperto. Questa procedura esclude l'aneurisma dal circolo sistemico e riduce il rischio di una sua rottura. Il risultato finale è la trombizzazione dell'aneurisma, con una riduzione del diametro nel 50% dei casi. I risultati a breve termine di tale procedura sono buoni, e quelli a lungo termine sono favorevoli (3). Le complicanze comprendono l'angolazione, la formazione di un gomito, la trombosi, la dislocazione dell'endoprotesi e l'endoleak (persistenza di flusso ematico nel sacco aneurismatico dopo il posizionamento dell'endoprotesi). Per questo motivo, le visite di follow-up devono essere più frequenti dopo il posizionamento di endoprotesi rispetto alla riparazione chirurgica. Se non si verificano complicanze, gli esami per immagini di controllo sono raccomandati a 1, 6, 12 mesi e a ogni anno successivo. La complessità anatomica dell'aneurisma (p. es., un breve colletto dell'aneurisma al di sotto delle arterie renali, una marcata tortuosità arteriosa) rende difficoltoso il posizionamento routinario dell'endoprotesi in questi pazienti; tuttavia, sono stati sviluppati dispositivi per superare questi problemi. In generale, per una riparazione endovascolare di successo, i chirurghi devono scegliere un dispositivo specifico appropriato per le caratteristiche anatomiche del paziente.

Nella maggior parte dei casi, la riparazione degli aneurismi < 5 cm di fatto non sembra aumentare la sopravvivenza. Gli aneurismi devono essere monitorati con l'ecografia o la TC addominale ogni 6-12 mesi per individuare un'espansione che giustifichi il trattamento.

Il trattamento di un aneurisma micotico consiste in una massiccia terapia antibiotica diretta contro il microrganismo patogeno, seguita dalla resezione chirurgica dell'aneurisma. La diagnosi e il trattamento precoce migliorano la prognosi.

Complicanze chirurgiche

L'infarto miocardico è la principale causa di morte postoperatoria precoce.

Le complicanze dopo la riparazione di aneurisma dell'aorta addominale comprendono

  • Danno alla vena di grosso calibro dovuto al bloccaggio trasversale prossimale

  • Disfunzione erettile (a causa di danni ai nervi o della diminuzione del flusso sanguigno)

  • Infezione dell'innesto

  • Pseudoaneurisma

  • Occlusione aterosclerotica dell'innesto

Riferimenti relativi al trattamento

  1. 1. Isselbacher EM, Preventza O, Hamilton Black J 3rd, et al. 2022 ACC/AHA Guideline for the Diagnosis and Management of Aortic Disease: A Report of the American Heart Association/American College of Cardiology Joint Committee on Clinical Practice Guidelines. Circulation 2022;146(24):e334-e482. doi:10.1161/CIR.0000000000001106

  2. 2. Badger S, Forster R, Blair PH, Ellis P, Kee F, Harkin DW. Endovascular treatment for ruptured abdominal aortic aneurysm. Cochrane Database Syst Rev. 2017;5(5):CD005261. Published 2017 May 26. doi:10.1002/14651858.CD005261.pub4

  3. 3. EVAR trial participants. Endovascular aneurysm repair versus open repair in patients with abdominal aortic aneurysm (EVAR trial 1): randomised controlled trial. Lancet 2005;365(9478):2179-2186. doi:10.1016/S0140-6736(05)66627-5

Punti chiave

  • Un diametro dell'aorta addominale 3 cm viene considerato indicativo di un aneurisma dell'aorta addominale.

  • Gli aneurismi dell'aorta addominale di solito aumentano di dimensioni a un tasso del 10% l'anno, ma alcuni si ingrandiscono in maniera esponenziale; circa il 20% mantiene la stessa dimensione indefinitamente.

  • Il rischio di rottura è proporzionale alla dimensione dell'aneurisma.

  • Diagnosticare usando l'ecografia o la TC addominale; per aneurismi non rotti, l'angio-TC o l'angio-RM possono caratterizzare più accuratamente le dimensioni e l'anatomia dell'aneurisma.

  • La rottura degli aneurismi dell'aorta addominale richiede un immediato intervento chirurgico a cielo aperto o mediante posizionamento di dispositivi endovascolari (endograft); anche in questo caso, la mortalità è alta.

  • L'intervento chirurgico elettivo è consigliato per gli aneurismi di diametro > 5 cm nelle donne, per quelli > 5,5 cm negli uomini e per quelli che si espandono rapidamente o che causano complicanze emboliche o ischemiche.

quizzes_lightbulb_red
Test your KnowledgeTake a Quiz!
iOS ANDROID
iOS ANDROID
iOS ANDROID