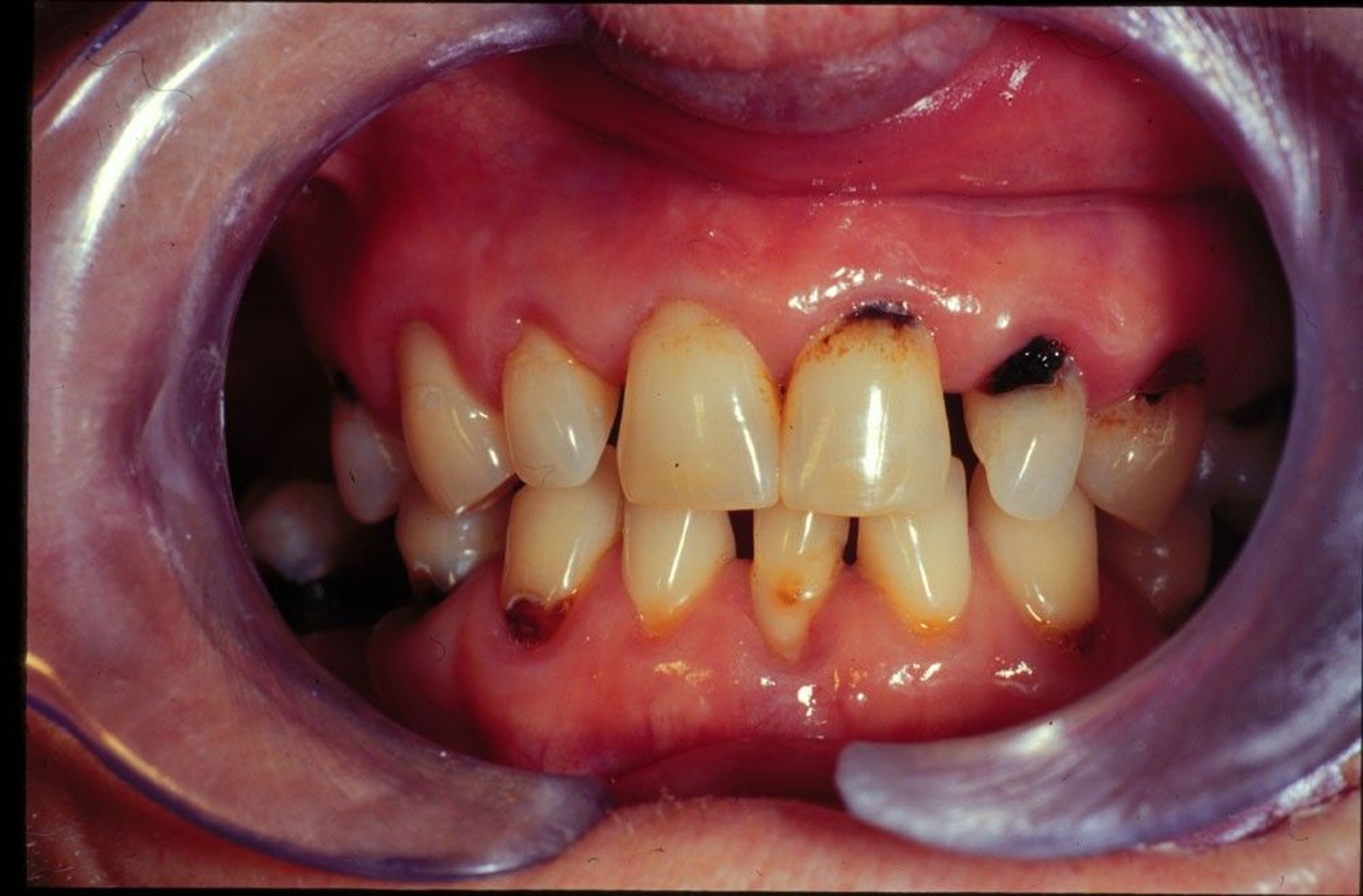
Gigi berlubang

Ditinjau/Direvisi Mar 2024 | Dimodifikasi Jul 2025
v34376601_id

Permukaan luar yang keras pada gigi Anda disebut enamel. Pulp berada jauh di dalam gigi dan mengandung pembuluh darah dan saraf. Bakteri dapat merusak bagian gigi yang berbeda.

Apa yang dimaksud dengan gigi berlubang?

Gigi berlubang adalah bagian gigi yang rusak.

  • Bakteri menumpuk pada enamel gigi Anda dan membuat asam yang menyebabkan lubang pada gigi—lubang tersebut disebut cavity

  • Sakit gigi terjadi saat gigi berlubang bertambah besar dan menembus enamel ke bagian dalam gigi Anda

  • Dokter gigi mencari gigi berlubang dengan melihat gigi Anda dan melakukan sinar-x

  • Perawatannya termasuk mengebor kerusakan dan menambal lubang

  • Menyikat gigi Anda secara teratur, melakukan pemeriksaan gigi, dan menghindari makanan manis dapat membantu mencegah gigi berlubang

Tampilan di Dalam Gigi

Apa penyebab gigi berlubang?

Bakteri menumpuk pada gigi Anda dan membuat asam yang menyebabkan kerusakan.

Bakteri, air liur (ludah), dan potongan makanan membentuk lapisan tipis yang disebut plak yang menempel pada gigi Anda. Plak mengeras seiring waktu dan berubah menjadi karang gigi. Karang gigi biasanya berwarna kuning. Anda terkadang melihatnya di dasar gigi. Bakteri yang hidup di plak dan karang gigi sulit dihilangkan.

Bakteri berkembang karena gula. Itulah sebabnya makanan dan minuman manis dapat menyebabkan gigi berlubang. Jumlah gula yang Anda makan kurang penting dibandingkan seberapa sering Anda makan gula. Yang penting adalah berapa lama waktu gula bersentuhan dengan gigi Anda. Dengan demikian, menyeruput minuman ringan manis selama satu jam dapat lebih merusak daripada mengonsumsi permen dalam 5 menit, meskipun permen tersebut mungkin mengandung lebih banyak gula. Bayi yang tidur sambil minum dari botol, meskipun hanya berisi susu atau formula, juga berisiko terkena gigi berlubang. Botol minum waktu tidur hanya boleh berisi air.

Anda lebih mungkin mengalami gigi berlubang jika Anda:

  • Memiliki banyak plak dan karang gigi di mulut Anda

  • Makan dan minum makanan manis atau asam, seperti soda cola atau jus

  • Memiliki terlalu sedikit fluoride (mineral yang membuat enamel Anda lebih keras) pada gigi Anda

  • Tidak memiliki banyak air liur (ludah) di mulut Anda (kondisi yang disebut mulut kering)

  • Memiliki gusi yang menyusut di bagian bawah gigi Anda (gusi yang menurun)

Apa saja gejala gigi berlubang?

Lubang dangkal pada enamel Anda tidak sakit. Gigi berlubang yang sedikit lebih dalam bisa menyebabkan rasa sakit saat Anda mengonsumsi makanan atau minuman panas, dingin, atau manis.

Lubang yang cukup dalam untuk mencapai pulpa akan menyebabkan pulpitis. Pulpitis menyebabkan sakit gigi meskipun Anda tidak makan atau minum. Jika pulpa terinfeksi, Anda mungkin akan mengalami terbentuknya kantong nanah yang disebut abses gigi.

Bagaimana dokter gigi dapat mengetahui jika saya mengalami gigi berlubang?

Dokter gigi mendiagnosis gigi berlubang dengan:

  • Melihat gigi Anda dan memeriksanya dengan alat bantu gigi

  • Mengambil foto sinar-x pada gigi Anda

Bagaimana dokter gigi mengobati gigi berlubang?

Jika lubang pada gigi Anda sangat kecil dan hanya ada di enamel, gigi dapat pulih dengan sendirinya jika Anda memiliki fluoride yang cukup.

Dokter gigi mengobati gigi berlubang yang lebih dalam dari enamel dengan mengebor bagian gigi yang rusak dan menambalnya. Tambal bisa dibuat dari:

  • Amalgam perak (kombinasi perak, merkuri, tembaga, timah, dan terkadang logam lainnya), sering digunakan pada gigi belakang sehingga tidak terlihat

  • Resin komposit, yang cocok dengan warna gigi Anda

  • Ionomer kaca, yang berwarna seperti gigi dan melepaskan fluoride, cocok untuk orang-orang yang sering mengalami kerusakan gigi

  • Emas

Perawatan saluran akar atau pencabutan gigi

Saat kerusakan gigi cukup dalam hingga mencapai pulpa dan menjadi sangat meradang, dokter gigi akan memberi Anda obat nyeri dan:

  • Melakukan perawatan saluran akar untuk mengeluarkan pulpa dari gigi Anda, lalu mengisi dan menutup saluran akar

  • Mencabut gigi jika tidak dapat diselamatkan

Jika Anda mengalami infeksi, dokter akan memberikan antibiotik kepada Anda.

Bagaimana cara mencegah gigi berlubang?

Anda dapat mencegah gigi berlubang dengan:

  • Menyikat gigi Anda dengan pasta gigi yang mengandung fluoride (di pagi dan malam hari serta setelah mengonsumsi makanan manis)

  • Membersihkan gigi Anda setiap hari dengan benang

  • Mendapatkan perawatan gigi rutin

  • Mengonsumsi makanan sehat dan mengurangi asupan makanan serta minuman yang mengandung banyak gula atau asam

Penting untuk mendapatkan cukup fluorida. Fluorida adalah mineral yang melindungi gigi Anda dari gigi berlubang. Fluorida ditambahkan ke pasokan air publik di beberapa daerah. Apabila tidak ada di dalam air Anda, dokter gigi dapat meresepkan suplemen fluorida untuk anak-anak berusia hingga 8 tahun, atau menerapkan perawatan fluorida pada gigi Anda.

Apabila Anda masih banyak gigi berlubang, dokter gigi dapat:

  • Memasang sealant pada gigi Anda (sealant adalah lapisan plastik keras yang mencegah lubang pada gigi yang memiliki celah dalam)

  • Meminta Anda menggunakan larutan kumur antibakteri yang membantu membunuh bakteri penyebab gigi berlubang

Uji Pengetahuan Anda
Uji Pengetahuan AndaTake a Quiz!