Ultraschall

VonMustafa A. Mafraji, MD, Rush University Medical Center
Überprüft vonWilliam E. Brant, MD, University of Virginia
Überprüft/überarbeitet Geändert Sept. 2025
v833294_de
DIE AUSGABE FÜR MEDIZINISCHE FACHKREISE ANSEHEN
Kurzinformationen

Die Ultraschalluntersuchung (Ultrasonographie) ist ein bildgebendes Verfahren, das hochfrequente Schallwellen (Ultraschallwellen) generiert, um Bilder von inneren Organen und anderen Geweben zu erstellen.

Während der Beschallung wandelt ein als „Schallkopf“ bezeichnetes Gerät elektrischen Strom in Schallwellen um, die dann in das Körpergewebe gesendet werden. Die Schallwellen treffen in den Körperstrukturen auf Widerstand und werden zurück zum Schallkopf reflektiert, der die Schallwellen wieder in elektrische Signale umwandelt. Ein Computer wandelt das Muster der elektrischen Signale in ein Bild um, das auf einem Monitor angezeigt und als Film, Video oder digitales Computerbild aufgezeichnet wird. Es werden keine Röntgenstrahlen verwendet, sodass es während der Ultraschalluntersuchung zu keiner Strahlenbelastung kommt.

Eine Ultraschalluntersuchung ist schmerzlos, relativ kostengünstig und gilt als sicher – auch während der Schwangerschaft. (Siehe auch Bildgebende Verfahren im Überblick und Schwangerenbetreuung: Ultraschall.)

Ablauf des Ultraschalls

Werden bei einer Ultrasonographie bestimmte Bereiche im Bauchraum (Abdomen) untersucht, sollten Patienten mehrere Stunden vorher nichts mehr essen und trinken. Die normale Gasansammlung im Darm nach dem Essen oder Trinken kann manchmal die Aufnahme von Ultraschallbildern erschweren. In anderen Fällen, etwa bei der Ultrasonographie der weiblichen Geschlechtsorgane, werden Frauen gebeten, eine große Menge Flüssigkeit zu trinken, damit sich ihre Blase füllt.

Für gewöhnlich trägt die Person, die die Untersuchung durchführt, auf der Haut über dem zu untersuchenden Bereich ein dickes Gel auf, um eine gute Schallübertragung sicherzustellen. Ein Handgerät mit Schallkopf wird auf der Haut platziert und über den zu untersuchenden Bereich bewegt.

Zur Untersuchung einiger Körperteile wird der Schallkopf in den Körper eingeführt, so z. B. in die Vagina zur besseren Darstellung des Uterus und der Ovarien oder in den Anus zur Darstellung der Prostata.

Bei einer Herzuntersuchung wird der Schallkopf (Transducer) an einem Beobachtungsschlauch, dem Endoskop, befestigt und über den Hals in die Speiseröhre geschoben. Dieses Verfahren wird „Endoskopische Ultraschalluntersuchung“ genannt. Das Endoskop kann in den Rachen eingeführt werden, um das Herz anzusehen (transösophageale Echokardiographie) oder durch den Magen, um die Leber und andere benachbarte Organe zu betrachten.

Nach der Untersuchung können die meisten Patienten sofort wieder ihren normalen Tätigkeiten nachgehen.

Wussten Sie ...?

  • Für Ultraschalluntersuchungen und die Magnetresonanztomographie (MRT) wird keine Röntgenstrahlung verwendet.

Anwendung von Ultraschall

Ultraschallbilder werden so schnell erzeugt, dass sich die Bewegung von Organen und Strukturen im Körper in Echtzeit (wie in einem Film) darstellen lässt. So sieht man z. B. die Bewegung des schlagenden Herzens, sogar bei einem Fötus.

Mittels Ultraschalluntersuchung lassen sich Wachstum und Fremdobjekte, z. B. der Schilddrüse, der weiblichen Brust, der Hoden und Gliedmaßen sowie einiger Lymphknoten, die sich nahe der Körperoberfläche befinden, effektiv untersuchen.

Ultraschall wird auch verwendet, um innere Organe im Bauchraum, im Becken und im Brustkorb darzustellen. Da Schallwellen jedoch durch Gase (zum Beispiel in den Lungen oder im Darm) und durch Knochen blockiert werden, sind für den Ultraschall innerer Organe besondere Fertigkeiten erforderlich. Personen, die in der Durchführung von Ultraschalluntersuchungen geschult wurden, werden als Ultraschalldiagnostiker bezeichnet.

Ultraschall wird meist zur Untersuchung folgender Körperteile verwendet:

  • Herz: Zur Erkennung von Unregelmäßigkeiten des Herzschlags, strukturellen Unregelmäßigkeiten wie defekten Herzklappen und anormaler Vergrößerung der Herzkammern oder -wände. Eine Ultraschalluntersuchung des Herzens wird als Echokardiographie bezeichnet

  • Blutgefäße: Zum Beispiel zur Feststellung erweiterter und verengter Blutgefäße

  • Gallenblase und Gallengangsystem: Zur Entdeckung von Gallensteinen und Blockaden der Gallenwege

  • Leber, Milz und Bauchspeicheldrüse: Zur Feststellung von Tumoren und anderen Erkrankungen

  • Harnwege: Zur Unterscheidung von gutartigen Zysten und Raumforderungen in den Nieren, die Krebs sein können, oder zur Erkennung von Blockaden wie Steinen oder anderen strukturellen Anomalien in den Nieren, Harnleitern oder der Blase

  • Weibliche Geschlechtsorgane: Zur Entdeckung von Tumoren und Entzündungen in den Eierstöcken, Eileitern und der Gebärmutter

  • Schwangerschaft: Zur Beurteilung des Wachstums und der Entwicklung des Fötus sowie zur Erkennung von Anomalien des Mutterkuchens (Plazenta), z. B. eine Fehllage der Plazenta (Placenta praevia).

  • Strukturen des Bewegungsapparats: Zum Beispiel, um Schwellungen in einem Gelenk oder einem gerissenen Band festzustellen

Ultraschall kann auch zur Führung von Instrumenten eingesetzt werden, wenn z. B. im Rahmen einer Biopsie eine Gewebeprobe entnommen werden muss. Per Ultraschall lassen sich die Position des Biopsieinstruments sowie der Bereich darstellen, aus dem die Gewebeprobe entnommen wird (z. B. eine Raumforderung). Somit kann der Arzt sehen, wo er das Instrument einführen muss, und es direkt zum Zielgewebe führen.

Varianten von Ultraschalluntersuchungen

Ultraschalldaten können auf verschiedene Arten dargestellt werden:

  • A-Mode: Als Kurve in einem Diagramm (z. B. bei einem Scan des Auges)

  • B-Mode: Als zweidimensionale anatomische Abbildungen (Anwendung während der Schwangerschaft zur Beurteilung der Entwicklung des Fötus oder zur Beurteilung innerer Organe). Als dreidimensionale Bildgebung zur Darstellung des Volumens (hilfreich bei der Beurteilung der fötalen Anatomie). Als vierdimensionale Bildgebung, bei der die Zeit als Faktor ergänzt wird (hilfreich bei der Beurteilung von sich bewegenden Strukturen, wie die Bewegung des Fötus oder Herzbewegungen).

  • M-Mode: Kontinuierliche Abbildung in Form von Wellen zur Anzeige von sich bewegenden Strukturen (Anwendung zur Beurteilung des Herzschlags eines Fötus oder zur Beurteilung von Erkrankungen der Herzklappen)

Das am häufigsten angewendete Verfahren ist der Ultraschall im B-Mode.

Doppler-Ultraschall

Die Doppler-Sonographie macht sich Frequenzänderungen von Schallwellen zunutze, die von einem sich bewegenden Objekt reflektiert werden (so genannter Doppler-Effekt). Bei der medizinischen Bildgebung handelt es sich bei den sich bewegenden Objekten um rote Blutkörperchen im Blutstrom. Die Doppler-Sonographie kann also angewendet werden, um Folgendes zu beurteilen

  • Den Blutfluss durch Blutgefäße

  • Wie schnell das Blut fließt

  • In welcher Richtung das Blut fließt

Eine Doppler-Sonographie wird für folgende Zwecke verwendet:

  • Beurteilung der Herzfunktion (als Teil der Echokardiographie)

  • Entdeckung blockierter Blutgefäße, insbesondere in den Venen der Beine (tiefe Beinvenenthrombose, bei der Venen durch Blutgerinnsel verstopft werden)

  • Erkennung verengter Arterien, insbesondere der Karotis-Arterien im Hals, die Blut zum Gehirn führen

Spektral-Doppler-Sonographie

Anhand der Spektral-Doppler-Sonographie lassen sich Informationen über den Blutfluss als Diagramm darstellen. Dadurch kann beurteilt werden, in welchem Umfang ein Blutgefäß blockiert ist.

Duplex-Doppler-Sonographie

Die Duplex-Doppler-Sonographie kombiniert die Spektral- und Duplexsonographie (auch B-Mode-Sonographie).

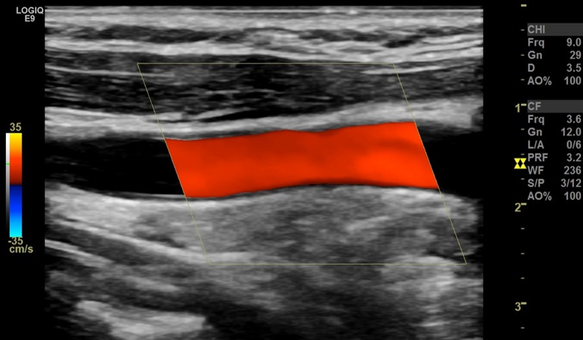
Farbdoppler-Ultraschall

Beim Farbdoppler-Ultraschall werden die Grauschattierungen der mittels Doppler-Sonographie erstellten Aufnahmen vom Blutfluss farblich überlagert. Die Farbe markiert die Richtung des Blutflusses. Rot kann zum Beispiel den Fluss zum Schallkopf hin anzeigen, während blau zur Anzeige des Flusses vom Schallkopf weg verwendet wird. Die Helligkeit der Farbe zeigt an, wie schnell das Blut fließt.

Mittels Farbdoppler-Ultraschall lässt sich das Schlaganfallrisiko beurteilen, da damit Verengungen oder Blockaden von Hals- und Hirnarterien leichter festgestellt und beurteilt werden können. Das Verfahren eignet sich zur Untersuchung von Patienten mit transitorischer ischämischer Attacke oder Schlaganfall sowie von Patienten, die Risikofaktoren für eine Atherosklerose, aber keine Symptome haben. Der Farbdoppler-Ultraschall wird auch zur Beurteilung des Blutflusses zu inneren Organen und Tumoren angewendet.

Nachteile des Ultraschalls

Wenn der Untersucher den Schallkopf in den Körper einführt, kann dies Beschwerden verursachen. In seltenen Fällen wird beim Einführen des Schallkopfes Gewebe verletzt, wodurch eine Blutung oder eine Infektion entstehen kann.

Knochen oder Gase können den Ultraschall blockieren. Daher ist eine Ultraschalluntersuchung zur Abbildung einiger Strukturen, die sich hinter Knochen oder Gasansammlungen befinden, schwierig.

quizzes_lightbulb_red
Test your KnowledgeTake a Quiz!